Morphometrical and Immunohistochemical Evaluation of Kidney as an Indirect Parameter to Estimate Age in Puppies in Veterinary Forensic Pathology
Abstract
:Simple Summary
Abstract
1. Introduction
2. Materials and Methods
2.1. Study Design
2.2. Macroscopic and Histological Examinations
2.3. Immunohistochemical Examination
- -
- Pattern 1, α-SMA-positive cells in the glomerulus;
- -
- Pattern 2, periglomerular and glomerular α-SMA-positive cells;
- -
- Pattern 3, periglomerular α-SMA-positive cells;
- -
- Pattern 4, α-SMA-positive cells primary limited to blood vessel.
2.4. Statistical Analysis
3. Results
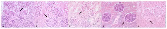
3.1. Histological Examination
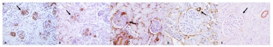
3.2. Immunohistochemical Examination
4. Discussion
5. Conclusions
Author Contributions
Funding
Institutional Review Board Statement
Informed Consent Statement
Data Availability Statement
Conflicts of Interest
References
- Schmeling, A.; Grundmann, C.; Fuhrmann, A.; Kaatsch, H.-J.; Knell, B.; Ramsthaler, F.; Reisinger, W.; Riepert, T.; Ritz-Timme, S.; Rösing, F.W.; et al. Criteria for age estimation in living individuals. Int. J. Legal Med. 2008, 122, 457–460. [Google Scholar] [CrossRef]
- Cameriere, R.; Ferrante, L.; Mirtella, D.; Cingolani, M. Carpals and epiphyses of radius and ulna as age indicators. Int. J. Legal Med. 2006, 120, 143–146. [Google Scholar] [CrossRef]
- Cameriere, R.; Ferrante, L.; Cingolani, M. Age estimation in children by measurement of open apices in teeth. Int. J. Legal Med. 2006, 120, 49–53. [Google Scholar] [CrossRef] [PubMed]
- Cameriere, R.; De Angelis, D.; Ferrante, L.; Scarpino, F.; Cingolani, M. Age estimation in children by measurement of open apices in teeth: A European formula. Int. J. Legal Med. 2007, 121, 449–453. [Google Scholar] [CrossRef] [PubMed]
- Giannitto, N.; Militi, A.; Sapienza, D.; Scurria, S.; Gualniera, P.; Mondello, C.; Spagnolo, E.V.; Terranova, A.; Portelli, M.; Cervino, G.; et al. Application of Third Molar Maturity Index (I3M) for Assessing Adult Age of 18 Years in a Southern Italian Population Sample. Eur. J. Dent. 2023, 17, 200–209. [Google Scholar] [CrossRef] [PubMed]
- Maher, J.; Wyatt, T. European illegal puppy trade and organised crime. Trends Organ. Crime 2021, 24, 506–525. [Google Scholar] [CrossRef] [PubMed]
- Arroyo-Quiroz, I.; Wyatt, T. Wildlife trafficking between the European union and Mexico. Int. J. Crime Justice Soc. Democr. 2019, 8, 23–37. [Google Scholar] [CrossRef]
- Rota Nodari, E.; Alonso, S.; Mancin, M.; De Nardi, M.; Hudson-Cooke, S.; Veggiato, C.; Cattoli, G.; De Benedictis, P. Rabies Vaccination: Higher Failure Rates in Imported Dogs than in those Vaccinated in Italy. Zoonoses Public Health 2017, 64, 146–155. [Google Scholar] [CrossRef]
- Schrijver, R.; Sikkema, R.; de Vries, H.; Dewar, D.; Bergevoet, R.; Messori, S.; D’Albenzio, S.; Barnard, S. Study on the Welfare of Dogs and Cats Involved in Commercial Practices (Specific Contract SANCO 2013/12364); European Commission: Brussels Belgium, 2015; pp. 1–84. [Google Scholar]
- Fox, M.W.; Stelzner, D. Behavioural effects of differential early experience in the dog. Anim. Behav. 1966, 14, 273–281. [Google Scholar] [CrossRef]
- Strandberg, E.; Jacobsson, J.; Saetre, P. Direct genetic, maternal and litter effects on behaviour in German shepherd dogs in Sweden. Livest. Prod. Sci. 2005, 93, 33–42. [Google Scholar] [CrossRef]
- Battaglia, C.L. Periods of Early Development and the Effects of Stimulation and Social Experiences in the Canine. J. Vet. Behav. Clin. Appl. Res. 2009, 4, 203–210. [Google Scholar] [CrossRef]
- Sacchettino, L.; Gatta, C.; Chirico, A.; Avallone, L.; Napolitano, F.; d’Angelo, D. Puppies Raised during the COVID-19 Lockdown Showed Fearful and Aggressive Behaviors in Adulthood: An Italian Survey. Vet. Sci. 2023, 10, 198. [Google Scholar] [CrossRef] [PubMed]
- Modina, S.C.; Andreis, M.E.; Moioli, M.; Di Giancamillo, M. Age assessment in puppies: Coming to terms with forensic requests. Forensic Sci. Int. 2019, 297, 8–15. [Google Scholar] [CrossRef] [PubMed]
- Mbizah, M.M.; Steenkamp, G.; Groom, R.J. Evaluation of the applicability of different age determination methods for estimating age of the endangered African wild dog (Lycaon Pictus). PLoS ONE 2016, 11, e0164676. [Google Scholar] [CrossRef]
- Lopate, C. Estimation of gestational age and assessment of canine fetal maturation using radiology and ultrasonography: A review. Theriogenology 2008, 70, 397–402. [Google Scholar] [CrossRef]
- Viciano, J.; López-Lázaro, S.; Tanga, C. Post-Mortem Dental Profile as a Powerful Tool in Animal Forensic Investigations—A Review. Animals 2022, 12, 2038. [Google Scholar] [CrossRef]
- Lorászkó, G.; Rácz, B.; Ózsvári, L. Changes in the Dentition of Small Dogs up to 4 Months of Age. Animals 2022, 12, 1417. [Google Scholar] [CrossRef]
- Van den Broeck, M.; De Bels, L.; Duchateau, L.; Cornillie, P. Time and sequence of emergence of the deciduous dentition in dogs and its applicability for age estimation. J. Vet. Med. Ser. C Anat. Histol. Embryol. 2022, 51, 640–657. [Google Scholar] [CrossRef]
- Kershaw, K.; Allen, L.; Lisle, A.; Withers, K. Determining the age of adult wild dogs (Canis lupus dingo, C. l. domesticus and their hybrids). I. Pulp cavity:tooth width ratios. Wildl. Res. 2005, 32, 581–585. [Google Scholar] [CrossRef]
- Gesierich, K.; Failing, K.; Neiger, R. Age determination in dogs using ocular light reflection, dental abrasion and tartar. Tierarztl. Prax. Ausg. K Kleintiere—Heimtiere 2015, 43, 317–322. [Google Scholar]
- Dapson, R.W.; Irland, J.M. An accurate method of determining age in small mammals. J. Mammal. 1972, 53, 100–106. [Google Scholar] [CrossRef] [PubMed]
- Smuts, G.L.; Anderson, J.L.; Austin, J.C. Age determination of the African lion (Panthera leo). J. Zool. 1978, 185, 115–146. [Google Scholar] [CrossRef]
- Binder, W.J.; Thompson, E.N.; Van Valkenburgh, B. Temporal variation in tooth fracture among rancho la brea dire wolves. J. Vertebr. Paleontol. 2002, 22, 423–428. [Google Scholar] [CrossRef]
- Pérez-Barbería, F.J.; Fernández-López, J.M. Using Cementum Annuli to Estimate Cantabrian Chamois Age. J. Wildl. Manag. 1996, 60, 62–67. [Google Scholar] [CrossRef]
- Kay, R.F.; Cant, J.G.H. Age assessment using cementum annulus counts and tooth wear in a free-ranging population of Macaca mulatta. Am. J. Primatol. 1988, 15, 1–15. [Google Scholar] [CrossRef] [PubMed]
- Harshyne, W.A.; Diefenbach, D.R.; Alt, G.L.; Matson, G.M. Analysis of Error from Cementum-Annuli Age Estimates of Known-Age Pennsylvania Black Bears. J. Wildl. Manag. 1998, 62, 1281–1291. [Google Scholar] [CrossRef]
- Goodwin, E.A.; Ballard, W.B. Use of Tooth Cementum for Age Determination of Gray Wolves. J. Wildl. Manag. 1985, 49, 313–316. Available online: https://www.jstor.org/stable/3801522 (accessed on 2 July 2023). [CrossRef]
- Linhart, S.B.; Knowlton, F.F. Determining Age of Coyotes by Tooth Cementum Layers. J. Wildl. Manag. 1967, 31, 362–365. [Google Scholar] [CrossRef]
- Nakanishi, N.; Ichinose, F.; Higa, G.; Izawa, M. Age determination of the iriomote cat by using cementum annuli. J. Zool. 2009, 279, 338–348. [Google Scholar] [CrossRef]
- Roccaro, M.; Diana, A.; Linta, N.; Rinnovati, R.; Freo, M.; Peli, A. Limb development in skeletally-immature large-sized dogs: A radiographic study. PLoS ONE 2021, 16, e0254788. [Google Scholar] [CrossRef]
- Hawthorne, A.J.; Booles, D.; Nugent, P.A.; Gettinby, G.; Wilkinson, J. Body-weight changes during growth in puppies of different breeds. J. Nutr. 2004, 134, 2027S–2030S. [Google Scholar] [CrossRef] [PubMed]
- Smith, R.N.; Allcock, J. Epiphysial fusion in the greyhound. Vet. Rec. 1960, 72, 75–79. [Google Scholar]
- HARE, W.C. The ages at which the centers of ossification appear roentgenographically in the limb bones of the dog. Am. J. Vet. Res. 1961, 22, 825–835. [Google Scholar] [PubMed]
- Chapman, W.L.J. Appearance of ossification centers and epiphysial closures as determined by radiographic techniques. J. Am. Vet. Med. Assoc. 1965, 147, 138–141. [Google Scholar] [PubMed]
- Yonamine, H.; Ogi, N.; Ishikawa, T.; Ichiki, H. Radiographic studies on skeletal growth of the pectoral limb of the beagle. Nihon Juigaku Zasshi. 1980, 42, 417–425. [Google Scholar] [CrossRef]
- Delaquerriere-Richardson, L.; Anderson, C.; Jorch, U.M.; Cook, M. Radiographic morphometry and radiographic photodensitometry of the femur in the Beagle at 13 and 21 months. Am. J. Vet. Res. 1982, 43, 2255–2258. [Google Scholar]
- Modina, S.C.; Veronesi, M.C.; Moioli, M.; Meloni, T.; Lodi, G.; Bronzo, V.; Di Giancamillo, M. Small-sized newborn dogs skeletal development: Radiologic, morphometric, and histological findings obtained from spontaneously dead animals. BMC Vet. Res. 2017, 13, 175. [Google Scholar] [CrossRef]
- Van den Broeck, M.; Cornillie, P. Legal framework and current techniques for age estimation in puppy trade. Vlaams Diergeneeskd. Tijdschr. 2020, 89, 135–144. [Google Scholar] [CrossRef]
- Gonlusen, G.; Ergin, M.; Payda, S. The expression of cytoskeletal proteins (α-SMA, vimentin, desmin) in kidney tissue: A comparison of fetal, normal kidneys, and glomerulonephritis. Int. Urol. Nephrol. 2002, 33, 299–305. [Google Scholar] [CrossRef]
- Park, F.; Mattson, D.L.; Roberts, L.A.; Cowley, A.W. Evidence for the presence of smooth muscle α-actin within pericytes of the renal medulla. Am. J. Physiol.—Regul. Integr. Comp. Physiol. 1997, 273, R1742–R1748. [Google Scholar] [CrossRef]
- Eisenbrandt, D.L.; Phemister, R.D. Postnatal development of the canine kidney: Quantitative and qualitative morphology. Am. J. Anat. 1979, 154, 179–193. [Google Scholar] [CrossRef] [PubMed]
- Piegari, G.; Iovane, V.; Carletti, V.; Fico, R.; Costagliola, A.; De Biase, D.; Prisco, F.; Paciello, O. Assessment of google glass for photographic documentation in veterinary forensic pathology: Usability study. JMIR mHealth uHealth 2018, 6, e180. [Google Scholar] [CrossRef] [PubMed]
- De Biase, D.; Esposito, F.; De Martino, M.; Pirozzi, C.; Luciano, A.; Palma, G.; Raso, G.M.; Iovane, V.; Marzocco, S.; Fusco, A.; et al. Characterization of inflammatory infiltrate of ulcerative dermatitis in C57BL/6NCrl-Tg(HMGA1P6)1Pg mice. Lab. Anim. 2019, 53, 447–458. [Google Scholar] [CrossRef] [PubMed]
- Nap, R.C.; Hazewinkel, H.A. Growth and skeletal development in the dog in relation to nutrition; a review. Vet. Q. 1994, 16, 50–59. [Google Scholar] [CrossRef] [PubMed]
- Van den Broeck, M.; Stock, E.; Vermeiren, Y.; Verhaert, L.; Duchateau, L.; Cornillie, P. Age estimation in young dogs by radiographic assessment of the canine pulp cavity/tooth width ratio. J. Vet. Med. Ser. C Anat. Histol. Embryol. 2022, 51, 269–279. [Google Scholar] [CrossRef]
- Roccaro, M.; Peli, A. Age determination in dog puppies by teeth examination: Legal, health and welfare implications, review of the literature and practical considerations. Vet. Ital. 2020, 56, 149–162. [Google Scholar]
- Van den Broeck, M.; Chen, Y.; Cornillie, P. Age estimation of puppies based on the radiographically assessed development of ossification centres in the carpal and metacarpal regions. Vet. Rec. 2023, 192, e2582. [Google Scholar] [CrossRef]
- Ekblom, P.; Lehtonen, E.; Saxen, L.; Timpl, R. Shift in collagen type as an early response to induction of the metanephric mesenchyme. J. Cell Biol. 1981, 89, 276–283. [Google Scholar] [CrossRef]
- Carey, A.V.; Carey, R.M.; Gomez, R.A. Expression of α-smooth muscle actin in the developing kidney vasculature. Hypertension 1992, 19, II-168–II-175. [Google Scholar] [CrossRef]




Disclaimer/Publisher’s Note: The statements, opinions and data contained in all publications are solely those of the individual author(s) and contributor(s) and not of MDPI and/or the editor(s). MDPI and/or the editor(s) disclaim responsibility for any injury to people or property resulting from any ideas, methods, instructions or products referred to in the content. |
© 2023 by the authors. Licensee MDPI, Basel, Switzerland. This article is an open access article distributed under the terms and conditions of the Creative Commons Attribution (CC BY) license (https://creativecommons.org/licenses/by/4.0/).
Share and Cite
d’Aquino, I.; Piegari, G.; Miletti, G.; Sannino, E.; Costanza, D.; Meomartino, L.; Fico, R.; Riccio, L.; Vaccaro, E.; De Biase, D.; et al. Morphometrical and Immunohistochemical Evaluation of Kidney as an Indirect Parameter to Estimate Age in Puppies in Veterinary Forensic Pathology. Animals 2023, 13, 2665. https://doi.org/10.3390/ani13162665
d’Aquino I, Piegari G, Miletti G, Sannino E, Costanza D, Meomartino L, Fico R, Riccio L, Vaccaro E, De Biase D, et al. Morphometrical and Immunohistochemical Evaluation of Kidney as an Indirect Parameter to Estimate Age in Puppies in Veterinary Forensic Pathology. Animals. 2023; 13(16):2665. https://doi.org/10.3390/ani13162665
Chicago/Turabian Styled’Aquino, Ilaria, Giuseppe Piegari, Gianluca Miletti, Emanuela Sannino, Dario Costanza, Leonardo Meomartino, Rosario Fico, Lorenzo Riccio, Emanuela Vaccaro, Davide De Biase, and et al. 2023. "Morphometrical and Immunohistochemical Evaluation of Kidney as an Indirect Parameter to Estimate Age in Puppies in Veterinary Forensic Pathology" Animals 13, no. 16: 2665. https://doi.org/10.3390/ani13162665
APA Styled’Aquino, I., Piegari, G., Miletti, G., Sannino, E., Costanza, D., Meomartino, L., Fico, R., Riccio, L., Vaccaro, E., De Biase, D., & Paciello, O. (2023). Morphometrical and Immunohistochemical Evaluation of Kidney as an Indirect Parameter to Estimate Age in Puppies in Veterinary Forensic Pathology. Animals, 13(16), 2665. https://doi.org/10.3390/ani13162665

