Synergic Effect of Brachyspira hyodysenteriae and Lawsonia intracellularis Coinfection: Anatomopathological and Microbiome Evaluation
Abstract
Simple Summary
Abstract
1. Introduction
2. Materials and Methods
2.1. Animals and Experiment
2.2. Inoculum Preparation
2.2.1. Lawsonia Intracellularis
2.2.2. Brachyspira Hyodysenteriae
2.3. Clinical Evaluation
2.4. Quantitative PCR
2.5. Pathology
2.6. Bacterial Isolation
2.7. Histopathology
2.8. Immunohistochemistry
2.9. Intestinal Microbioma
2.9.1. Samples
2.9.2. 16S Sequencing
2.10. Bioinformatics Analysis
2.10.1. Metagenomic Classification Pipeline
2.10.2. Alpha and Beta Diversity Analysis
2.11. Statistical analysis
3. Results
3.1. Clinical Signs
3.2. Anatomopathological Findings
3.2.1. Gross Lesions
3.2.2. Microscopic Lesions
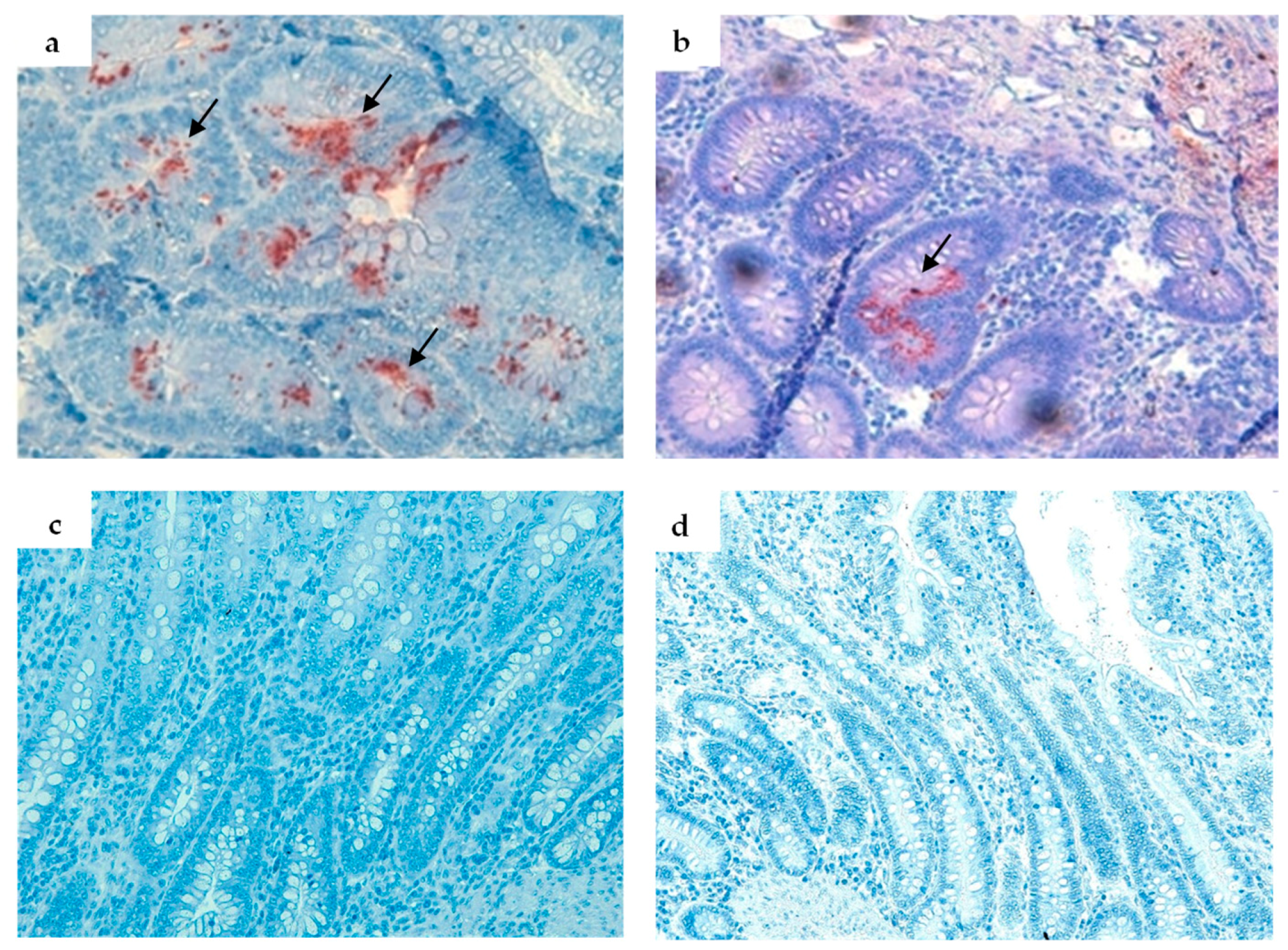
3.3. Immunohistochemistry
3.4. Bacterial Isolation
3.5. Quantitative PCR
3.6. Microbiome Analysis
4. Discussion
5. Conclusions
Supplementary Materials
Author Contributions
Funding
Institutional Review Board Statement
Informed Consent Statement
Data Availability Statement
Acknowledgments
Conflicts of Interest
References
- Varel, V.H.; Robinson, I.M.; Jung, H.J. Influence of dietary fiber on xylanolytic and cellulolytic bacteria of adult pigs. Appl. Environ. Microbiol. 1987, 53, 22–26. [Google Scholar] [CrossRef]
- Radecki, S.V.; Yokoyama, M.T. Intestinal bacteria and their influence on swine nutrition. In Swine Nutrition; Miller, E.R., Ullrey, D.E., Lewis, A., Eds.; Butterworth-Heinemann: Oxford, UK, 1991; pp. 439–447. [Google Scholar]
- Jensen, B.B.; Jørgensen, H. Effect of dietary fiber on microbial activity and microbial gas production in various regions of the gastrointestinal tract of pigs. Appl. Environ. Microbiol. 1994, 60, 1897–1904. [Google Scholar] [CrossRef]
- Zlotowski, P.; Driemeier, D.; Barcellos, D.E.S.N. Pathogenesis of diarrhoea in pigs: Models and examples. Acta Sci. Vet. 2008, 36, S81–S86. [Google Scholar]
- Taylor, D.; Alexander, T. The Production of Dysentery in Swine by Feeding Cultures Containing a Spirochaete. Br. Vet. J. 1971, 127, 58–61. [Google Scholar] [CrossRef]
- Hughes, R.; Olander, H.J.; Williams, C.B. Swine dysentery: Pathogenicity of Treponema hyodysenteriae. Am. J. Vet. Res. 1974, 36, 971–977. [Google Scholar]
- Kinyon, J.M.; Harris, D.L. Treponema innocens, a New Species of Intestinal Bacteria, and Emended Description of the Type Strain of Treponema hyodysenteriae Harris et al. Int. J. Syst. Evol. Microbiol. 1979, 29, 102–109. [Google Scholar] [CrossRef]
- Smith, S.; McOrist, S. Development of persistent intestinal infection and excretion of Lawsonia intracellularis by piglets. Res. Vet. Sci. 1997, 62, 6–10. [Google Scholar] [CrossRef] [PubMed]
- Lawson, G.; Gebhart, C. Proliferative Enteropathy. J. Comp. Pathol. 2000, 122, 77–100. [Google Scholar] [CrossRef] [PubMed]
- Kroll, J.J.; Roof, M.B.; Hoffman, L.J.; Dickson, J.S.; Harris, D.L.H. Proliferative enteropathy: A global enteric disease of pigs caused by Lawsonia intracellularis. Anim. Health Res. Rev. 2005, 6, 173–197. [Google Scholar] [CrossRef]
- Rowland, A.C.; Lawson, G.H.K. Intestinal adenomatosis in the pig: A possible relationship with a haemorrhagic enteropathy. Res. Vet. Sci 1975, 18, 263–268. [Google Scholar] [CrossRef]
- Collins, A.M.; Barchia, I.M. The critical threshold of Lawsonia intracellularis in pig faeces that causes reduced average daily weight gains in experimentally challenged pigs. Vet. Microbiol. 2014, 168, 455–458. [Google Scholar] [CrossRef] [PubMed]
- Jacobson, M.; Segerstad, C.H.A.; Gunnarsson, A.; Fellström, C.; Klingenberg, K.d.V.; Wallgren, P.; Jensen-Waern, M. Diarrhoea in the growing pig—A comparison of clinical, morphological and microbial findings between animals from good and poor performance herds. Res. Vet. Sci. 2003, 74, 163–169. [Google Scholar] [CrossRef] [PubMed]
- Jacobson, M.; Fellström, C.; Lindberg, R.; Wallgren, P.; Jensen-Waern, M. Experimental swine dysentery: Comparison between infection models. J. Med. Microbiol. 2004, 53, 273–280. [Google Scholar] [CrossRef] [PubMed]
- Vannucci, F.A.; Gebhart, C.J. Recent Advances in Understanding the Pathogenesis of Lawsonia intracellularis Infections. Vet. Pathol. 2014, 51, 465–477. [Google Scholar] [CrossRef]
- McOrist, S.; Lawson, G. Proliferative enteropathies: Campylobacter species in the faeces of normal and contact pigs. Vet. Rec. 1989, 124, 40. [Google Scholar] [CrossRef]
- Durmic, Z.; Pethick, D.; Pluske, J.; Hampson, D. Changes in bacterial populations in the colon of pigs fed different sources of dietary fibre, and the development of swine dysentery after experimental infection. J. Appl. Microbiol. 1998, 85, 574–582. [Google Scholar] [CrossRef]
- Meyer, R.C.; Simon, J.; Byerly, C.S. The Etiology of Swine Dysentery: III The Role of Selected Gram-Negative Obligate Anaerobes. Vet. Pathol. 1975, 12, 46–54. [Google Scholar] [CrossRef]
- Whipp, S.C.; Robinson, I.M.; Harris, D.L.; Glock, R.D.; Matthews, P.J.; Alexander, T.J. Pathogenic synergism between Treponema hyodysenteriae and other selected anaerobes in gnotobiotic pigs. Infect. Immun. 1979, 26, 1042–1047. [Google Scholar] [CrossRef]
- Mølbak, L.; Johnsen, K.; Boye, M.; Jensen, T.K.; Johansen, M.; Møller, K.; Leser, T.D. The microbiota of pigs influenced by diet texture and severity of Lawsonia intracellularis infection. Vet. Microbiol. 2008, 128, 96–107. [Google Scholar] [CrossRef]
- Brandenburg, A.C.; Miniats, O.P.; Geissinger, H.D.; Ewert, E. Swine dysentery: Inoculation of gnotobiotic pigs with Treponema hyodysenteriae and Vibrio coli and a Peptostreptococcus. Can. J. Comp. Med. 1977, 41, 294. [Google Scholar]
- Kinyon, J.M.; Harris, D.L.; Glock, R.D. Enteropathogenicity of various isolates of Treponema hyodysenteriae. Infect. Immun. 1977, 15, 638–646. [Google Scholar] [CrossRef] [PubMed]
- McOrist, S.; Jasni, S.; A Mackie, R.; MacIntyre, N.; Neef, N.; Lawson, G.H. Reproduction of porcine proliferative enteropathy with pure cultures of ileal symbiont intracellularis. Infect. Immun. 1993, 61, 4286–4292. [Google Scholar] [CrossRef] [PubMed]
- McOrist, S.; Mackie, R.; Neef, N.; Aitken, I.; Lawson, G. Synergism of ileal symbiont intracellularis and gut bacteria in the reproduction of porcine proliferative enteropathy. Vet. Rec. 1994, 134, 331–332. [Google Scholar] [CrossRef]
- Stege, H.; Jensen, T.; Møller, K.; Bækbo, P.; Jorsal, S. Risk factors for intestinal pathogens in Danish finishing pig herds. Prev. Vet. Med. 2001, 50, 153–164. [Google Scholar] [CrossRef] [PubMed]
- Suh, D.K.; Song, J.C. Prevalence of Lawsonia intracellularis, Brachyspira hyodysenteriae and Salmonella in swine herds. J. Vet. Sci. 2005, 6, 289–293. [Google Scholar] [CrossRef]
- Phillips, N.D.; La, T.; Adams, P.J.; Harland, B.L.; Fenwick, S.G.; Hampson, D.J. Detection of Brachyspira hyodysenteriae, Lawsonia intracellularis and Brachyspira pilosicoli in feral pigs. Vet. Microbiol. 2009, 134, 294–299. [Google Scholar] [CrossRef]
- Reiner, G.; Winkelmann, M.; Willems, H. Prevalence of Lawsonia intracellularis, Brachyspira hyodysenteriae, and Brachyspira pilosicoli infection in hunted wild boars (Sus scrofa) in Germany. Eur. J. Wildl. Res. 2011, 57, 443–448. [Google Scholar] [CrossRef]
- Guedes, R.M.; Gebhart, C.J. Comparison of intestinal mucosa homogenate and pure culture of the homologous Lawsonia intracellularis isolate in reproducing proliferative enteropathy in swine. Vet. Microbiol. 2003, 93, 159–166. [Google Scholar] [CrossRef]
- Leser, T.D.; Møller, K.; Jensen, T.K.; Jorsal, S.E. Specific detection ofSerpulina hyodysenteriaeand potentially pathogenic weakly β-haemolytic porcine intestinal spirochetes by polymerase chain reaction targeting 23S rDNA. Mol. Cell. Probes 1997, 11, 363–372. [Google Scholar] [CrossRef]
- Kunkle, R.A.; Harris, D.L.; Kinyon, J.M. Autoclaved liquid medium for propagation of Treponema hyodysenteriae. J. Clin. Microbiol. 1986, 24, 669–671. [Google Scholar] [CrossRef]
- Rubin, J.E.; Costa, M.O.; Hill, J.E.; Kittrell, H.E.; Fernando, C.; Huang, Y.; O’connor, B.; Harding, J.C.S. Reproduction of Mucohaemorrhagic Diarrhea and Colitis Indistinguishable from Swine Dysentery following Experimental Inoculation with “Brachyspira hampsonii” Strain 30446. PLoS ONE 2013, 8, e57146. [Google Scholar] [CrossRef] [PubMed]
- Sampieri, F.; Vannucci, F.A.; Allen, A.L.; Pusterla, N.; Antonopoulos, A.J.; Ball, K.R.; Thompson, J.; Dowling, P.M.; Hamilton, D.L.; Gebhart, C.J. Species-specificity of equine and porcine Lawsonia intracellularis isolates in laboratory animals. Can. J. Vet. Res. Rev. Can. de Rech. Veter 2023, 77, 261–272. [Google Scholar]
- Luna, L.G. Routine Staining Procedures: Manual of Histologic Staining. In Methods of The Armed Forces Institute of Pathology; McGraw-Hill Book Co.: New York, NY, USA, 1968; pp. 24–58. [Google Scholar]
- Guedes, R.M.C.; Gebhart, C.J. Preparation and Characterization of Polyclonal and Monoclonal Antibodies against Lawsonia Intracellularis. J. Vet. Diagn. Investig. 2003, 15, 438–446. [Google Scholar] [CrossRef]
- Bokulich, N.A.; Bamforth, C.W.; Mills, D.A. Brewhouse-Resident Microbiota Are Responsible for Multi-Stage Fermentation of American Coolship Ale. PLoS ONE 2012, 7, e35507. [Google Scholar] [CrossRef]
- Bokulich, N.A.; Subramanian, S.; Faith, J.J.; Gevers, D.; Gordon, J.I.; Knight, R.; Mills, D.A.; Caporaso, J.G. Quality-filtering vastly improves diversity estimates from Illumina amplicon sequencing. Nat. Methods 2013, 10, 57–59. [Google Scholar] [CrossRef] [PubMed]
- Pylro, V.S.; Roesch, L.F.W.; Morais, D.K.; Clark, I.M.; Hirsch, P.R.; Tótola, M.R. Data analysis for 16S microbial profiling from different benchtop sequencing platforms. J. Microbiol. Methods 2014, 107, 30–37. [Google Scholar] [CrossRef]
- Edgar, R.C. UPARSE: Highly accurate OTU sequences from microbial amplicon reads. Nat. Methods 2013, 10, 996–998. [Google Scholar] [CrossRef]
- Edgar, R.C. Updating the 97% identity threshold for 16S ribosomal RNA OTUs. Bioinformatics 2018, 34, 2371–2375. [Google Scholar] [CrossRef]
- Caporaso, J.G.; Kuczynski, J.; Stombaugh, J.; Bittinger, K.; Bushman, F.D.; Costello, E.K.; Fierer, N.; Gonzalez Peña, A.; Goodrich, J.K.; Gordon, J.I.; et al. QIIME allows analysis of high-throughput community sequencing data. Nat. Methods 2010, 7, 335–336. [Google Scholar] [CrossRef]
- McDonald, D.; Clemente, J.C.; Kuczynski, J.; Rideout, J.R.; Stombaugh, J.; Wendel, D.; Wilke, A.; Huse, S.; Hufnagle, J.; Meyer, F.; et al. The Biological Observation Matrix (BIOM) format or: How I learned to stop worrying and love the ome-ome. Gigascience 2012, 1, 7. [Google Scholar] [CrossRef]
- R Core Team. R: A Language and Environment for Statistical Computing; R Foundation for Statistical Computing: Vienna, Austria, 2011; ISBN 3-900051-07-0. Available online: http://www.R-project.org/ (accessed on 8 October 2019).
- Glock, R.D.; Harris, D.L.; Kluge, J.P. Localization of Spirochetes with the Structural Characteristics of Treponema hyodysenteriae in the Lesions of Swine Dysentery. Infect. Immun. 1974, 9, 167–178. [Google Scholar] [CrossRef] [PubMed]
- Guedes, R.M.C. Known facts about the epidemiology of porcine proliferative enteropathy. Thai J. Vet. Med. 2008, 38, 9–19. [Google Scholar]
- Guedes, R.M.C.; França, S.A.; Machado, G.S.; Blumer, M.A.; da Costa Cruz, E.C., Jr. Use of tylvalosin-medicated feed to control porcine proliferative enteropathy. Vet. Rec. 2009, 165, 342–345. [Google Scholar] [CrossRef] [PubMed]
- McOrist, S.; Roberts, L.; Jasni, S.; Rowland, A.; Lawson, G.; Gebhart, C.; Bosworth, B. Developed and resolving lesions in porcine proliferative enteropathy: Possible pathogenetic mechanisms. J. Comp. Pathol. 1996, 115, 35–45. [Google Scholar] [CrossRef] [PubMed]
- Guedes, R.M.C.; Gebhart, C.J.; Armbruster, G.A.; Roggow, B.D. Serologic follow-up of a repopulated swine herd after an outbreak of proliferative hemorrhagic enteropathy. Can. J. Vet. Res. Rev. Can. de Rech. Veter 2002, 66, 258–263. [Google Scholar]
- Guedes, R.M.; Gebhart, C.J.; Winkelman, N.L.; Mackie-Nuss, R.A.; Marsteller, T.A.; Deen, J. Comparison of different methods for diagnosis of porcine proliferative enteropathy. Can. J. Vet. Res. Rev. Can. de Rech. Veter 2002, 66, 99–107. [Google Scholar]
- McOrist, S.; Gebhart, C.J.; Bosworth, B.T. Evaluation of porcine ileum models of enterocyte infection by Lawsonia intracel-lularis. Can. J. Vet. Res. 2006, 70, 155. [Google Scholar]
- Oh, Y.-S.; Lee, J.-B.; McOrist, S. Microarray analysis of differential expression of cell cycle and cell differentiation genes in cells infected with Lawsonia intracellularis. Vet. J. 2010, 184, 340–345. [Google Scholar] [CrossRef]
- Macintyre, N.; Smith, D.G.E.; Shaw, D.J.; Thomson, J.R.; Rhind, S.M. Immunopathogenesis of Experimentally Induced Proliferative Enteropathy in Pigs. Vet. Pathol. 2003, 40, 421–432. [Google Scholar] [CrossRef]
- Boutrup, T.; Boesen, H.; Boye, M.; Agerholm, J.; Jensen, T. Early Pathogenesis in Porcine Proliferative Enteropathy caused by Lawsonia intracellularis. J. Comp. Pathol. 2010, 143, 101–109. [Google Scholar] [CrossRef]
- Cox, F.E.G. Concomitant infections, parasites and immune responses. Parasitology 2001, 122, S23–S38. [Google Scholar] [CrossRef]
- Grimprel, E.; Rodrigo, C.; Desselberger, U. Rotavirus Disease. Pediatr. Infect. Dis. J. 2008, 27, S3–S10. [Google Scholar] [CrossRef]
- Opriessnig, T.; Giménez-Lirola, L.G.; Halbur, P.G. Polymicrobial respiratory disease in pigs. Anim. Health Res. Rev. 2011, 12, 133–148. [Google Scholar] [CrossRef] [PubMed]
- Wellenberg, G.; Stockhofe-Zurwieden, N.; Boersma, W.; de Jong, M.; Elbers, A. The presence of co-infections in pigs with clinical signs of PMWS in The Netherlands: A case-control study. Res. Vet. Sci. 2004, 77, 177–184. [Google Scholar] [CrossRef] [PubMed]
- Opriessnig, T.; Thacker, E.L.; Yu, S.; Fenaux, M.; Meng, X.-J.; Halbur, P.G. Experimental Reproduction of Postweaning Multisystemic Wasting Syndrome in Pigs by Dual Infection with Mycoplasma hyopneumoniae and Porcine Circovirus Type 2. Vet. Pathol. 2004, 41, 624–640. [Google Scholar] [CrossRef]
- Pallarés, F.J.; Halbur, P.G.; Opriessnig, T.; Sorden, S.D.; Villar, D.; Janke, B.H.; Yaeger, M.J.; Larson, D.J.; Schwartz, K.J.; Yoon, K.J.; et al. Porcine Circovirus Type 2 (PCV-2) Coinfections in US Field Cases of Postweaning Multisystemic Wasting Syndrome (PMWS). J. Vet. Diagn. Investig. 2002, 14, 515–519. [Google Scholar] [CrossRef] [PubMed]
- Schwarz, P.; Kich, J.D.; Coldebella, A.; Seyboth, L.; Romeiro, C.; Corbellini, L.G.; Cardoso, M. Frequência de suínos soropositivos para Salmonella sp. em granjas afetadas em diferentes níveis de severidade pela Síndrome Multissistêmica de Definhamento do Leitão Desmamado. Acta Sci. Vet. 2010, 38, 127–132. [Google Scholar] [CrossRef]
- Lee, D.; Jang, G.; Min, K.-C.; Lee, I.H.; Won, H.; Yoon, I.-J.; Kang, S.C.; Lee, C. Coinfection with porcine epidemic diarrhea virus and Clostridium perfringens type A enhances disease severity in weaned pigs. Arch. Virol. 2023, 168, 166. [Google Scholar] [CrossRef]
- Mansfield, L.; Urban, J. The pathogenesis of necrotic proliferative colitis in swine is linked to whipworm induced suppression of mucosal immunity to resident bacteria. Vet. Immunol. Immunopathol. 1996, 50, 1–17. [Google Scholar] [CrossRef]
- Borewicz, K.A.; Kim, H.B.; Singer, R.S.; Gebhart, C.J.; Sreevatsan, S.; Johnson, T.; Isaacson, R.E. Changes in the Porcine Intestinal Microbiome in Response to Infection with Salmonella enterica and Lawsonia intracellularis. PLoS ONE 2015, 10, e0139106. [Google Scholar] [CrossRef]
- Burrough, E.R.; Arruda, B.L.; Plummer, P.J. Comparison of the Luminal and Mucosa-Associated Microbiota in the Colon of Pigs with and without Swine Dysentery. Front. Vet. Sci. 2017, 4, 139. [Google Scholar] [CrossRef] [PubMed]
- Carding, S.; Verbeke, K.; Vipond, D.T.; Corfe, B.M.; Owen, L.J. Dysbiosis of the gut microbiota in disease. Microb. Ecol. Health Dis. 2015, 26, 26191. [Google Scholar] [CrossRef] [PubMed]
- Sokol, H.; Pigneur, B.; Watterlot, L.; Lakhdari, O.; Bermúdez-Humaran, L.G.; Gratadoux, J.-J.; Blugeon, S.; Bridonneau, C.; Furet, J.P.; Corthier, G.; et al. Faecalibacterium prausnitzii is an anti-inflammatory commensal bacterium identified by gut microbiota analysis of Crohn disease patients. Proc. Natl. Acad. Sci. USA 2008, 105, 16731–16736. [Google Scholar] [CrossRef]
- Joossens, M.; Huys, G.; Cnockaert, M.; De Preter, V.; Verbeke, K.; Rutgeerts, P.; Vandamme, P.; Vermeire, S. Dysbiosis of the faecal microbiota in patients with Crohn’s disease and their unaffected relatives. Gut 2011, 60, 631–637. [Google Scholar] [CrossRef] [PubMed]
- Kim, H.B.; Borewicz, K.; White, B.A.; Singer, R.S.; Sreevatsan, S.; Tu, Z.J.; Isaacson, R.E. Longitudinal investigation of the age-related bacterial diversity in the feces of commercial pigs. Vet. Microbiol. 2011, 153, 124–133. [Google Scholar] [CrossRef]
- Looft, T.; Allen, H.K.; Cantarel, B.L.; Levine, U.Y.; Bayles, D.O.; Alt, D.P.; Henrissat, B.; Stanton, T.B. Bacteria, phages and pigs: The effects of in-feed antibiotics on the microbiome at different gut locations. ISME J. 2014, 8, 1566–1576. [Google Scholar] [CrossRef] [PubMed]
- Su, T.; Liu, R.; Lee, A.; Long, Y.; Du, L.; Lai, S.; Chen, X.; Wang, L.; Si, J.; Owyang, C.; et al. Altered Intestinal Microbiota with Increased Abundance of Prevotella Is Associated with High Risk of Diarrhea-Predominant Irritable Bowel Syndrome. Gastroenterol. Res. Pract. 2018, 2018, 6961783. [Google Scholar] [CrossRef]
- Liu, H.; Ivarsson, E.; Dicksved, J.; Lundh, T.; Lindberg, J.E. Inclusion of Chicory (Cichorium intybus L.) in Pigs’ Diets Affects the Intestinal Microenvironment and the Gut Microbiota. Appl. Environ. Microbiol. 2012, 78, 4102–4109. [Google Scholar] [CrossRef]
- Mølbak, L.; Thomsen, L.E.; Jensen, T.K.; Bach Knudsen, K.E.; Boye, M. Increased amount of Bifidobacterium thermaci-dophilum and Megasphaera elsdenii in the colonic microbiota of pigs fed a swine dysentery preventive diet containing chicory roots and sweet lupine. J. Appl. Microbiol. 2007, 103, 1853–1867. [Google Scholar] [CrossRef]
- Hobson, P.N.; Mann, S.O. The Isolation of Glycerol-Fermenting and Lipolytic Bacteria from the Rumen of the Sheep. J. Gen. Microbiol. 1961, 25, 227–240. [Google Scholar] [CrossRef]
- Stanton, T.B. Cholesterol metabolism by Treponema hyodysenteriae. Infect. Immun. 1987, 55, 309–313. [Google Scholar] [CrossRef]
- Stanton, T.B. Physiology of ruminal and intestinal spirochaetes. In Intestinal Spiro-Chaetes in Domestic Animals and Humans; Hampson, D.J., Stanton, T.B., Eds.; CAB International: New York, NY, USA, 1997; pp. 7–45. [Google Scholar]
- Koh, H.-W.; Kim, M.S.; Lee, J.-S.; Kim, H.; Park, S.-J. Changes in the Swine Gut Microbiota in Response to Porcine Epidemic Diarrhea Infection. Microbes Environ. 2015, 30, 284–287. [Google Scholar] [CrossRef] [PubMed]
- Yang, Q.; Huang, X.; Zhao, S.; Sun, W.; Yan, Z.; Wang, P.; Li, S.; Huang, W.; Zhang, S.; Liu, L.; et al. Structure and Function of the Fecal Microbiota in Diarrheic Neonatal Piglets. Front. Microbiol. 2017, 8, 502. [Google Scholar] [CrossRef]
- Sun, Y.; Wolcott, R.D.; Domingo, A.; Carroll, J.A.; Baltar, F.; Palovaara, J.; Unrein, F.; Catala, P.; Horňák, K.; Šimek, K.; et al. Bacterial Tag–Encoded FLX Amplicon Pyrosequencing (bTEFAP) for Microbiome Studies: Bacterial Diversity in the Ileum of Newly Weaned Salmonella-Infected Pigs. Foodborne Pathog. Dis. 2008, 5, 459–472. [Google Scholar] [CrossRef]
- Azcarate-Peril, M.A.; Foster, D.M.; Cadenas, M.B.; Stone, M.R.; Jacobi, S.K.; Stauffer, S.H.; Pease, A.; Gookin, J.L. Acute necrotizing enterocolitis of preterm piglets is characterized by dysbiosis of ileal mucosa-associated bacteria. Gut Microbes 2011, 2, 234–243. [Google Scholar] [CrossRef] [PubMed]
- Rowan, F.; Docherty, N.G.; Murphy, M.; Murphy, B.; Coffey, J.C.; O‘connell, P.R. Desulfovibrio Bacterial Species Are Increased in Ulcerative Colitis. Dis. Colon Rectum 2010, 53, 1530–1536. [Google Scholar] [CrossRef]
- Earley, H.; Lennon, G.; Balfe, A.; Kilcoyne, M.; Clyne, M.; Joshi, L.; Carrington, S.; Martin, S.T.; Coffey, J.C.; Winter, D.C.; et al. A Preliminary Study Examining the Binding Capacity of Akkermansia muciniphila and Desulfovibrio spp., to Colonic Mucin in Health and Ulcerative Colitis. PLoS ONE 2015, 10, e0135280. [Google Scholar] [CrossRef]
- Quintana-Hayashi, M.P.; Mahu, M.; De Pauw, N.; Boyen, F.; Pasmans, F.; Martel, A.; Premaratne, P.; Fernandez, H.R.; Teymournejad, O.; Maele, L.V.; et al. The Levels of Brachyspira hyodysenteriae Binding to Porcine Colonic Mucins Differ between Individuals, and Binding Is Increased to Mucins from Infected Pigs with De Novo MUC5AC Synthesis. Infect. Immun. 2015, 83, 1610–1619. [Google Scholar] [CrossRef]
- Wang, J.; Han, M.; Zhang, G.; Qiao, S.; Li, D.; Ma, X. The Signal Pathway of Antibiotic Alternatives on Intestinal Microbiota and Immune Function. Curr. Protein Pept. Sci. 2016, 17, 785–796. [Google Scholar] [CrossRef]
- Ushida, K.; Segawa, T.; Tsuchida, S.; Murata, K. Cecal bacterial communities in wild Japanese rock ptarmigans and captive Svalbard rock ptarmigans. J. Vet. Med. Sci. 2016, 78, 251–257. [Google Scholar] [CrossRef]
- Yu, T.; Zhu, C.; Chen, S.; Gao, L.; Lv, H.; Feng, R.; Zhu, Q.; Xu, J.; Chen, Z.; Jiang, Z. Dietary High Zinc Oxide Modulates the Microbiome of Ileum and Colon in Weaned Piglets. Front. Microbiol. 2017, 8, 825. [Google Scholar] [CrossRef] [PubMed]
- Enemchukwu, C.; Ben-Faras, H.; Gialanella, P.; Szymczak, W.; Nosanchuk, J.; Madaline, T. Butyricimonas virosa bacteraemia and bowel disease: Case report and review. New Microbes New Infect. 2016, 13, 34–36. [Google Scholar] [CrossRef]
- Jiang, W.; Wu, N.; Wang, X.; Chi, Y.; Zhang, Y.; Qiu, X.; Hu, Y.; Li, J.; Liu, Y. Dysbiosis gut microbiota associated with inflammation and impaired mucosal immune function in intestine of humans with non-alcoholic fatty liver disease. Sci. Rep. 2015, 5, 8096. [Google Scholar] [CrossRef] [PubMed]
- Miquel, S.; Martin, R.; Rossi, O.; Bermudez-Humaran, L.G.; Chatel, J.M.; Sokol, H.; Thomas, M.; Wells, J.M.; Langella, P. Faecalibacterium prausnitzii and human intestinal health. Curr. Opin. Microbiol. 2013, 16, 255–261. [Google Scholar] [CrossRef] [PubMed]
- Rainey, F.; Kämpfer, P.; Trujillo, M.; Chun, J.; DeVos, P.; Hedlund, B.; Dedysh, S. Bergey’s Manual of Systematics of Archaea and Bacteria; Whitman, W.B., Ed.; Wiley: Hoboken, NJ, USA, 2015; Volume 410. [Google Scholar]











Disclaimer/Publisher’s Note: The statements, opinions and data contained in all publications are solely those of the individual author(s) and contributor(s) and not of MDPI and/or the editor(s). MDPI and/or the editor(s) disclaim responsibility for any injury to people or property resulting from any ideas, methods, instructions or products referred to in the content. |
© 2023 by the authors. Licensee MDPI, Basel, Switzerland. This article is an open access article distributed under the terms and conditions of the Creative Commons Attribution (CC BY) license (https://creativecommons.org/licenses/by/4.0/).
Share and Cite
Daniel, A.G.S.; Pereira, C.E.R.; Dorella, F.; Pereira, F.L.; Laub, R.P.; Andrade, M.R.; Barrera-Zarate, J.A.; Gabardo, M.P.; Otoni, L.V.A.; Macedo, N.R.; et al. Synergic Effect of Brachyspira hyodysenteriae and Lawsonia intracellularis Coinfection: Anatomopathological and Microbiome Evaluation. Animals 2023, 13, 2611. https://doi.org/10.3390/ani13162611
Daniel AGS, Pereira CER, Dorella F, Pereira FL, Laub RP, Andrade MR, Barrera-Zarate JA, Gabardo MP, Otoni LVA, Macedo NR, et al. Synergic Effect of Brachyspira hyodysenteriae and Lawsonia intracellularis Coinfection: Anatomopathological and Microbiome Evaluation. Animals. 2023; 13(16):2611. https://doi.org/10.3390/ani13162611
Chicago/Turabian StyleDaniel, Amanda G. S., Carlos E. R. Pereira, Fernanda Dorella, Felipe L. Pereira, Ricardo P. Laub, Mariana R. Andrade, Javier A. Barrera-Zarate, Michelle P. Gabardo, Luísa V. A. Otoni, Nubia R. Macedo, and et al. 2023. "Synergic Effect of Brachyspira hyodysenteriae and Lawsonia intracellularis Coinfection: Anatomopathological and Microbiome Evaluation" Animals 13, no. 16: 2611. https://doi.org/10.3390/ani13162611
APA StyleDaniel, A. G. S., Pereira, C. E. R., Dorella, F., Pereira, F. L., Laub, R. P., Andrade, M. R., Barrera-Zarate, J. A., Gabardo, M. P., Otoni, L. V. A., Macedo, N. R., Correia, P. A., Costa, C. M., Vasconcellos, A. O., Wagatsuma, M. M., Marostica, T. P., Figueiredo, H. C. P., & Guedes, R. M. C. (2023). Synergic Effect of Brachyspira hyodysenteriae and Lawsonia intracellularis Coinfection: Anatomopathological and Microbiome Evaluation. Animals, 13(16), 2611. https://doi.org/10.3390/ani13162611

