3D Reconstruction of the Blood Supply in an Elephant’s Forefoot Using Fused CT and MRI Sequences
Abstract
Simple Summary
Abstract
1. Introduction
2. Materials and Methods
2.1. Specimen
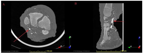
2.2. Image Acquisition
2.3. Visualisation
3. Results and Discussion
3.1. The Skeleton of the Forefoot
3.2. Results of the Vessel Reconstructions
4. Conclusions
Supplementary Materials
Author Contributions
Funding
Institutional Review Board Statement
Informed Consent Statement
Data Availability Statement
Acknowledgments
Conflicts of Interest
References
- Smuts, M.M.; Bezuidenhout, A.J. Osteology of the thoracic limb of the African elephant (Loxodonta africana). Onderstepoort J. Vet. Res. 1993, 60, 1–14. [Google Scholar]
- Smuts, M.M.; Bezuidenhout, A.J. Osteology of the pelvic limb of the African elephant (Loxodonta africana). Onderstepoort J. Vet. Res. 1994, 61, 51–66. [Google Scholar]
- Csuti, B.; Sargent, E.L.; Bechert, U.S. The Elephant’s Foot—Prevention and Care of Foot Conditions in Captive Asian and African Elephants; Iowa State University Press: Ames, IA, USA, 2001. [Google Scholar]
- Fowler, M.E.; Mikota, S.K. Biology, Medicine and Surgery of Elephants, 1st ed.; Blackwell: Ames, IA, USA, 2006. [Google Scholar]
- Mumby, C.; Bouts, T.; Sambrook, L.; Danika, S.; Rees, E.; Parry, A.; Rendle, M.; Masters, N.; Weller, R. Validation of a new radiographic protocol for Asian elephant feet and description of their radiographic anatomy. Vet. Rec. 2013, 173, 318–323. [Google Scholar] [CrossRef] [PubMed]
- Constantinescu, G.; Habel, R.; Hillebrand, A.; Sack, W.; Schaller, O.; Simoens, P.; De Vos, N. Illustrated Veterinary Anatomical Nomenclature, 3rd ed.; Stuttgart: Enke, Germany, 2012. [Google Scholar]
- Luikart, K.A.; Stover, S.M. Chronic sole ulcerations associated with degenerative bone disease in two Asian elephants (Elephas maximus). J. Zoo. Wildl. Med. 2005, 36, 684–688. [Google Scholar] [CrossRef] [PubMed]
- Regnault, S.; Dixon, J.J.; Warren-Smith, C.; Hutchinson, J.R.; Weller, R. Skeletal pathology and variable anatomy in elephant feet assessed using computed tomography. PeerJ. 2017, 5, e2877. [Google Scholar] [CrossRef]
- Ahasan, L.; Quasem, A.; Rahman, M.L.; Hasan, R.B.; Kibria, G.; Shil, S.K. Macroanatomy of the Bones of Thoracic Limb of an Asian Elephant (Elephas maximus). Int. J. Morphol. 2016, 34, 909–917. [Google Scholar] [CrossRef]
- Hutchinson, J.R.; Delmer, C.; Miller, C.E.; Hildebrandt, T.; Pitsillides, A.A.; Boyde, A. From flat foot to fat foot: Structure, ontogeny, function, and evolution of elephant “sixth toes”. Science 2011, 334, 1699–1703. [Google Scholar] [CrossRef]
- Miller, C.E.; Basu, C.; Fritsch, G.; Hildebrandt, T.; Hutchinson, J.R. Ontogenetic scaling of foot musculoskeletal anatomy in elephants. J. R. Soc. Interface 2008, 5, 465–475. [Google Scholar] [CrossRef]
- Weissengruber, G.E.; Egger, G.F.; Hutchinson, J.R.; Groenewald, H.B.; Elsässer, L.; Famini, D.; Forstenpointner, G. The structure of the cushions in the feet of African elephants (Loxodonta africana). J. Anat. 2006, 209, 781–792. [Google Scholar] [CrossRef] [PubMed]
- Maseko, B.C.; Patzke, N.; Fuxe, K.; Manger, P.R. Architectural organization of the african elephant diencephalon and brainstem. Brain Behav. Evol. 2013, 82, 83–128. [Google Scholar] [CrossRef]
- Weissengruber, G.E.; Fuss, F.K.; Egger, G.; Stanek, G.; Hittmair, K.M.; Forstenpointner, G. The elephant knee joint: Morphological and biomechanical considerations. J Anat. 2006, 208, 59–72. [Google Scholar] [CrossRef] [PubMed]
- Gage, L.J.; Fowler, M.E.; Pascoe, J.R.; Blasko, D. Surgical removal of infected phalanges from an Asian elephant (Elephas maximus). J. Zoo Wildl. Med. 1997, 28, 208–211. [Google Scholar] [PubMed]
- Ollivet-Courtois, F.; Lécu, A.; Yates, R.A.; Spelman, L.H. Treatment of a sole abscess in an Asian elephant (Elephas maximus) using regional digital intravenous perfusion. J. Zoo Wildl. Med. 2003, 34, 292–295. [Google Scholar] [CrossRef] [PubMed]
- Guanghao, L.; Liming, C.; Youfeng, X.; Peng, W. Treatment of Hoof Disease in an Asian Elephant (Elephas maximus) Using Creative Surgery: A Successful Case Report. Iran. J. Vet. Surg. 2020, 15, 168–172. [Google Scholar] [CrossRef]
- Dutton, C.J.; Delnatte, P.G.; Hollamby, S.R.; Crawshaw, G.J. Successful treatment of digital osteitis by intravenous regional perfusion of ceftiofur in an african elephant (Loxodonta africana). J. Zoo Wildl. Med. 2017, 48, 554–558. [Google Scholar] [CrossRef]
- Weissengruber, G.E.; Forstenpointner, G. Musculature of the crus and pes of the African elephant (Loxodonta africana): Insight into semiplantigrade limb architecture. Anat. Embryol. 2004, 208, 451–461. [Google Scholar] [CrossRef]
- Nagel, R.M.; Forstenpointner, G.; Soley, J.T.; Weissengruber, G.E. Muscles and fascial elements of the antebrachium and manus of the African elephant (Loxodonta africana, Blumenbach 1797): Starring comparative and functional considerations. Anat. Histol. Embryol. 2018, 47, 195–205. [Google Scholar] [CrossRef]
- Birgfellner, C.M.V.; Soley, J.T.; Polsterer, E.; Forstenpointner, G.; Weissengruber, G.E. The graviportal spine: Epaxial muscles of the African savanna elephant (Loxodonta africana). Anat. Histol. Embryol. 2023, 52, 135–147. [Google Scholar] [CrossRef]
- Zehtabvar, O.; Vajhi, A.R.; Akbarein, H.A.; Ahmadian, F.S.; Khanamooeiashi, M.; Soflaei, R.; Borgheie, F. CT anatomy of cervical vertebrae of Asian elephant (Elephas maximus). Vet. Med. Sci. 2022, 8, 1750–1768. [Google Scholar] [CrossRef]
- Nganvongpanit, K.; Siengdee, P.; Buddhachat, K.; Brown, J.L.; Klinhom, S.; Pitakarnnop, T.; Angkawanish, T.; Thitaram, C. Anatomy, histology and elemental profile of long bones and ribs of the Asian elephant (Elephas maximus). Anat. Sci. Int. 2017, 92, 554–568. [Google Scholar] [CrossRef]
- Hayashi, T.; Fujima, N.; Hamaguchi, A.; Masuzuka, T.; Hida, K.; Kodera, S. Non-invasive three-dimensional bone-vessel image fusion using black bone MRI based on FIESTA-C. Clin. Radiol. 2019, 74, 326.e15–326.e21. [Google Scholar] [CrossRef]
- Baksa, G.; Czeibert, K.; Sharp, V.; Handschuh, S.; Gyebnar, J.; Barany, L.; Benis, S.; Nyiri, G.; Mandl, P.; Petnehazy, O.; et al. Vascular supply of the metacarpophalangeal joint. Front. Med. 2022, 20, 1015895. [Google Scholar] [CrossRef]
- Czeibert, K.; Baksa, G.; Grimm, A.; Nagy, S.A.; Kubinyi, E.; Petneházy, Ö. MRI, CT and high resolution macro-anatomical images with cryosectioning of a Beagle brain: Creating the base of a multimodal imaging atlas. PLoS ONE 2019, 14, e0213458. [Google Scholar] [CrossRef]
- Fedorov, A.; Beichel, R.; Kalpathy-Cramer, J.; Finet, J.; Fillion-Robin, J.C.; Pujol, S.; Bauer, C.; Jennings, D.; Fennessy, F.; Sonka, M.; et al. 3D Slicer as an image computing platform for the Quantitative Imaging Network. Magn. Reson. Imaging 2012, 30, 1323–1341. [Google Scholar] [CrossRef] [PubMed]
- Kapur, T.; Pieper, S.; Fedorov, A.; Fillion-Robin, J.C.; Halle, M.; O’Donnell, L.; Lasso, A.; Ungi, T.; Pinter, C.; Finet, J.; et al. Increasing the impact of medical image computing using community-based open-access hackathons: The NA-MIC and 3D Slicer experience. Med. Image Anal. 2016, 33, 176–180. [Google Scholar] [CrossRef]
- Kikinis, R.; Pieper, S.D.; Vosburgh, K.G. 3D Slicer: A Platform for Subject-Specific Image Analysis, Visualization, and Clinical Support. In Intraoperative Imaging and Image-Guided Therapy; Springer: New York, NY, USA, 2013; pp. 277–289. [Google Scholar] [CrossRef]
- Callahan, S.; Crowe-Riddell, J.M.; Nagesan, R.S.; Gray, J.A.; Rabosky, A.R.D. A guide for optimal iodine staining and high-throughput diceCT scanning in snakes. Ecol Evol. 2021, 11, 11587–11603. [Google Scholar] [CrossRef] [PubMed]
- Siegal-Willott, J.; Isaza, R.; Johnson, R.; Blaik, M. Distal limb radiography, ossification, and growth plate closure in the juvenile Asian elephant (Elephas maximus). J. Zoo. Wildl. Med. 2008, 39, 320–334. [Google Scholar] [CrossRef] [PubMed]
- Nickel, R.; Schummer, A.; Seiferle, E. Lehrbuch der Anatomie der Haustiere. Band III. Kreislaufsystem, Haut und Hautorgane; Verlag Paul Parey: Stuttgart, Germany, 2005. [Google Scholar]





Disclaimer/Publisher’s Note: The statements, opinions and data contained in all publications are solely those of the individual author(s) and contributor(s) and not of MDPI and/or the editor(s). MDPI and/or the editor(s) disclaim responsibility for any injury to people or property resulting from any ideas, methods, instructions or products referred to in the content. |
© 2023 by the authors. Licensee MDPI, Basel, Switzerland. This article is an open access article distributed under the terms and conditions of the Creative Commons Attribution (CC BY) license (https://creativecommons.org/licenses/by/4.0/).
Share and Cite
Petneházy, Ö.; Rück, S.; Sós, E.; Reinitz, L.Z. 3D Reconstruction of the Blood Supply in an Elephant’s Forefoot Using Fused CT and MRI Sequences. Animals 2023, 13, 1789. https://doi.org/10.3390/ani13111789
Petneházy Ö, Rück S, Sós E, Reinitz LZ. 3D Reconstruction of the Blood Supply in an Elephant’s Forefoot Using Fused CT and MRI Sequences. Animals. 2023; 13(11):1789. https://doi.org/10.3390/ani13111789
Chicago/Turabian StylePetneházy, Örs, Shannon Rück, Endre Sós, and László Z. Reinitz. 2023. "3D Reconstruction of the Blood Supply in an Elephant’s Forefoot Using Fused CT and MRI Sequences" Animals 13, no. 11: 1789. https://doi.org/10.3390/ani13111789
APA StylePetneházy, Ö., Rück, S., Sós, E., & Reinitz, L. Z. (2023). 3D Reconstruction of the Blood Supply in an Elephant’s Forefoot Using Fused CT and MRI Sequences. Animals, 13(11), 1789. https://doi.org/10.3390/ani13111789

