First Report of Enterocytozoon hepatopenaei Infection in Giant Freshwater Prawn (Macrobrachium rosenbergii de Man) Cultured in the Republic of Korea
Abstract
Simple Summary
Abstract
1. Introduction
2. Materials and Methods
2.1. Sampling
2.2. PCR Detection and Prevalence of EHP
2.3. Histopathological Analysis
3. Results
3.1. Detection and Prevalence of EHP Infection
3.2. Sequence Analysis Using Nested PCR
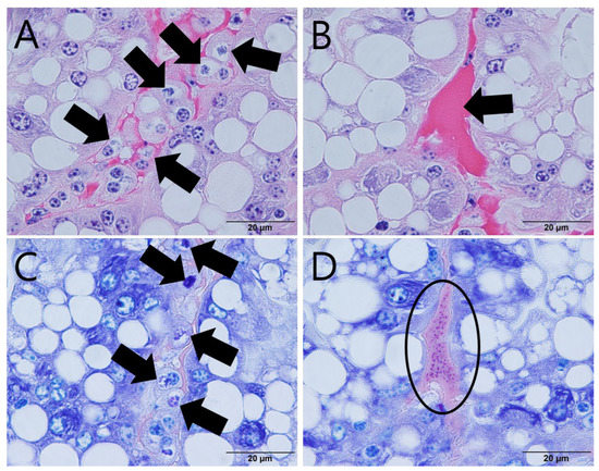
3.3. Histopathological Observation of Giant Freshwater Prawn Macrobrachium rosenbergii
4. Discussion
5. Conclusions
Author Contributions
Funding
Institutional Review Board Statement
Informed Consent Statement
Data Availability Statement
Conflicts of Interest
References
- Thitamadee, S.; Prachumwat, A.; Srisala, J.; Jaroenlak, P.; Salachan, P.V.; Sritunyalucksana, K.; Flegel, T.W.; Itsathitphaisarn, O. Review of current disease threats for cultivated penaeid shrimp in Asia. Aquaculture 2016, 452, 69–87. [Google Scholar] [CrossRef]
- Rőszer, T. The invertebrate midintestinal gland (“hepatopancreas”) is an evolutionary forerunner in the integration of immunity and metabolism. Cell Tissue Res. 2014, 358, 685–695. [Google Scholar] [CrossRef] [PubMed]
- Santhoshkumar, S.; Sivakumar, S.; Vimal, S.; Abdul Majeed, S.; Taju, G.; Haribabu, P.; Uma, A.; Sahul Hameed, A. Biochemical changes and tissue distribution of Enterocytozoon hepatopenaei (EHP) in naturally and experimentally EHP-infected whiteleg shrimp, Litopenaeus vannamei (Boone, 1931), in India. J. Fish Dis. 2017, 40, 529–539. [Google Scholar] [CrossRef] [PubMed]
- Ning, M.; Wei, P.; Shen, H.; Wan, X.; Jin, M.; Li, X.; Shi, H.; Qiao, Y.; Jiang, G.; Gu, W. Proteomic and metabolomic responses in hepatopancreas of whiteleg shrimp Litopenaeus vannamei infected by microsporidian Enterocytozoon hepatopenaei. Fish Shellfish Immunol. 2019, 87, 534–545. [Google Scholar] [CrossRef]
- Salachan, P.V.; Jaroenlak, P.; Thitamadee, S.; Itsathitphaisarn, O.; Sritunyalucksana, K. Laboratory cohabitation challenge model for shrimp hepatopancreatic microsporidiosis (HPM) caused by Enterocytozoon hepatopenaei (EHP). BMC Vet. Res. 2016, 13, 9. [Google Scholar] [CrossRef]
- Singh, M.; Singh, P. Enterocytozoon hepatopenaei: A microsporidian in the midst of serious threat to shrimp aquaculture. J. Entomol. Zool. Stud. 2018, 6, 936–939. [Google Scholar]
- Tangprasittipap, A.; Srisala, J.; Chouwdee, S.; Somboon, M.; Chuchird, N.; Limsuwan, C.; Srisuvan, T.; Flegel, T.W.; Sritunyalucksana, K. The microsporidian Enterocytozoon hepatopenaei is not the cause of white feces syndrome in whiteleg shrimp Penaeus (Litopenaeus) vannamei. BMC Vet. Res. 2013, 9, 139. [Google Scholar] [CrossRef]
- Karthikeyan, K.; Sudhakaran, R. Exploring the potentiality of Artemia salina to act as a reservoir for microsporidian Enterocytozoon hepatopenaei of penaeid shrimp. Biocatal. Agric. Biotechnol. 2020, 25, 101607. [Google Scholar] [CrossRef]
- Desrina, D.; Prayitno, S.B.; Haditomo, A.H.C.; Latritiani, R.; Sarjito, S. Detection of Enterocytozoon hepatopenaei (EHP) DNA in the polychaetes from shrimp ponds suffering white feces syndrome outbreaks. Biodiversitas J. Biol. Divers. 2020, 21, 369–374. [Google Scholar] [CrossRef]
- Krishnan, A.N.; Kannappan, S.; Aneesh, P.T.; Praveena, P.E.; Jithendran, K.P. Polychaete worm-A passive carrier for Enterocytozoon hepatopenaei in shrimp. Aquaculture 2021, 545, 737187. [Google Scholar] [CrossRef]
- Munkongwongsiri, N.; Thepmanee, O.; Lertsiri, K.; Vanichviriyakit, R.; Itsathitphaisarn, O.; Sritunyalucksana, K. False mussels (Mytilopsis leucophaeata) can be mechanical carriers of the shrimp microsporidian Enterocytozoon hepatopenaei (EHP). J. Invertebr. Pathol. 2022, 187, 107690. [Google Scholar] [CrossRef] [PubMed]
- Chayaburakul, K.; Nash, G.; Pratanpipat, P.; Sriurairatana, S.; Withyachumnarnkul, B. Multiple pathogens found in growth-retarded black tiger shrimp Penaeus monodon cultivated in Thailand. Dis. Aquat. Org. 2004, 60, 89–96. [Google Scholar] [CrossRef] [PubMed]
- Tang, K.F.; Pantoja, C.R.; Redman, R.M.; Han, J.E.; Tran, L.H.; Lightner, D.V. Development of in situ hybridization and PCR assays for the detection of Enterocytozoon hepatopenaei (EHP), a microsporidian parasite infecting penaeid shrimp. J. Invertebr. Pathol. 2015, 130, 37–41. [Google Scholar] [CrossRef] [PubMed]
- Rajendran, K.; Shivam, S.; Praveena, P.E.; Rajan, J.J.S.; Kumar, T.S.; Avunje, S.; Jagadeesan, V.; Babu, S.P.; Pande, A.; Krishnan, A.N. Emergence of Enterocytozoon hepatopenaei (EHP) in farmed Penaeus (Litopenaeus) vannamei in India. Aquaculture 2016, 454, 272–280. [Google Scholar] [CrossRef]
- Tang, K.F.; Aranguren, L.F.; Piamsomboon, P.; Han, J.E.; Maskaykina, I.Y.; Schmidt, M.M. Detection of the microsporidian Enterocytozoon hepatopenaei (EHP) and Taura syndrome virus in Penaeus vannamei cultured in Venezuela. Aquaculture 2017, 480, 17–21. [Google Scholar] [CrossRef]
- Tang, K.F.; Han, J.E.; Aranguren, L.F.; White-Noble, B.; Schmidt, M.M.; Piamsomboon, P.; Risdiana, E.; Hanggono, B. Dense populations of the microsporidian Enterocytozoon hepatopenaei (EHP) in feces of Penaeus vannamei exhibiting white feces syndrome and pathways of their transmission to healthy shrimp. J. Invertebr. Pathol. 2016, 140, 1–7. [Google Scholar] [CrossRef]
- Aldama-Cano, D.J.; Sanguanrut, P.; Munkongwongsiri, N.; Ibarra-Gámez, J.C.; Itsathitphaisarn, O.; Vanichviriyakit, R.; Flegel, T.W.; Sritunyalucksana, K.; Thitamadee, S. Bioassay for spore polar tube extrusion of shrimp Enterocytozoon hepatopenaei (EHP). Aquaculture 2018, 490, 156–161. [Google Scholar] [CrossRef]
- Kim, B.-S.; Jang, G.-I.; Kim, S.-M.; Kim, Y.-S.; Jeon, Y.-G.; Oh, Y.-K.; Hwang, J.-Y.; Kwon, M.-G. First Report of Enterocytozoon hepatopenaei Infection in Pacific Whiteleg Shrimp (Litopenaeus vannamei) Cultured in Korea. Animals 2021, 11, 3150. [Google Scholar] [CrossRef]
- Kim, J.H.; Lee, C.; Jeon, H.J.; Kim, B.K.; Lee, N.-k.; Choi, S.-K.; Han, J.E. First report on Enterocytozoon hepatopenaei (EHP) infection in Pacific white shrimp (Penaeus vannamei) cultured in Korea. Aquaculture 2022, 547, 737525. [Google Scholar] [CrossRef]
- Chen, S.-M.; Chen, J.-C. Effects of pH on survival, growth, molting and feeding of giant freshwater prawn Macrobrachium rosenbergii. Aquaculture 2003, 218, 613–623. [Google Scholar] [CrossRef]
- Bonami, J.-R.; Widada, J.S. Viral diseases of the giant fresh water prawn Macrobrachium rosenbergii: A review. J. Invertebr. Pathol. 2011, 106, 131–142. [Google Scholar] [CrossRef] [PubMed]
- Mukhopadhyay, P.; Rangacharyulu, P.; Mitra, G.; Jana, B. Applied nutrition in freshwater prawn, Macrobrachium rosenbergii, culture. J. Appl. Aquac. 2003, 13, 317–340. [Google Scholar] [CrossRef]
- New, M.B. Status of freshwater prawn farming: A review. Aquac. Res. 1995, 26, 1–54. [Google Scholar] [CrossRef]
- Chand, B.; Trivedi, R.; Dubey, S.; Rout, S.; Beg, M.; Das, U. Effect of salinity on survival and growth of giant freshwater prawn Macrobrachium rosenbergii (de Man). Aquac. Rep. 2015, 2, 26–33. [Google Scholar] [CrossRef]
- Crab, R.; Chielens, B.; Wille, M.; Bossier, P.; Verstraete, W. The effect of different carbon sources on the nutritional value of bioflocs, a feed for Macrobrachium rosenbergii postlarvae. Aquac. Res. 2010, 41, 559–567. [Google Scholar] [CrossRef]
- FAO. Global Production by Production Source Quantity (1950–2020). 2022. Available online: https://www.fao.org/fishery/statistics-query/en/global_production/global_production_quantity (accessed on 12 November 2022).
- Nair, C.M.; Salin, K.R.; Raju, M.S.; Sebastian, M. Economic analysis of monosex culture of giant freshwater prawn (Macrobrachium rosenbergii De Man): A case study. Aquac. Res. 2006, 37, 949–954. [Google Scholar] [CrossRef]
- Giap, D.H.; Yi, Y.; Lin, C.K. Effects of different fertilization and feeding regimes on the production of integrated farming of rice and prawn Macrobrachium rosenbergii (De Man). Aquac. Res. 2005, 36, 292–299. [Google Scholar] [CrossRef]
- Keysami, M.A.; Saad, C.R.; Sijam, K.; Daud, H.M.; Alimon, A.R. Effect of Bacillus subtilis on growth development and survival of larvae Macrobrachium rosenbergii (de Man). Aquac. Nutr. 2007, 13, 131–136. [Google Scholar] [CrossRef]
- NIFS (National Institute of Fisheries Science). Standard Manual of Giant Freshwater Prawn Culture; NIFS: Geumsan-gun, Korea, 2018. [Google Scholar]
- Altschul, S.F.; Madden, T.L.; Schäffer, A.A.; Zhang, J.; Zhang, Z.; Miller, W.; Lipman, D.J. Gapped BLAST and PSI-BLAST: A new generation of protein database search programs. Nucleic Acids Res. 1997, 25, 3389–3402. [Google Scholar] [CrossRef]
- Kumar, S.; Stecher, G.; Li, M.; Knyaz, C.; Tamura, K. MEGA X: Molecular evolutionary genetics analysis across computing platforms. Mol. Biol. Evol. 2018, 35, 1547. [Google Scholar] [CrossRef]
- Saitou, N.; Nei, M. The neighbor-joining method: A new method for reconstructing phylogenetic trees. Mol. Biol. Evol. 1987, 4, 406–425. [Google Scholar]
- Artanto, Y.K.; Prayitno, S.B.; Sarjito, S.; Desrina, D.; Haditomo, A.H.C. Molecular Characteristics of Indonesian Isolate Enterocytozoon hepatopenaei Based on Sequence Analysis of 18S rRNA Genes. Omni-Akuatika 2019, 15, 93–102. [Google Scholar] [CrossRef]
- Frelier, P.; Sis, R.; Bell, T.; Lewis, D. Microscopic and ultrastructural studies of necrotizing hepatopancreatitis in Pacific white shrimp (Penaeus vannamei) cultured in Texas. Vet. Pathol. 1992, 29, 269–277. [Google Scholar] [CrossRef]
- Zhou, J.; Jiang, F.; Ding, F. The preliminary analysis of the reasons for the poor growth of Macrobrachium rosenbergii in pond. J. Shanghai Ocean. Univ. 2017, 26, 853–861. [Google Scholar]
- Sonthi, M.; Kasikidpongpan, N. Histopathological changes in the hepatopancreas (Macrobrachium rosenbergii) infected with microsporidian (Enterocytozoon hepatopenaei). J. Agric. Res. Ext. 2018, 35, 1015–1020. [Google Scholar]
- Gomes, R.S., Jr.; de Lima, J.P.V.; Cavalli, R.O.; Correia, E.d.S. Acute toxicity of ammonia and nitrite to painted river prawn, Macrobrachium carcinus, larvae. J. World Aquac. Soc. 2016, 47, 239–247. [Google Scholar] [CrossRef]
- Nkuba, A.C.; Mahasri, G.; Lastuti, N.D.R.; Mwendolwa, A.A. Correlation of Nitrite and Ammonia with Prevalence of Enterocytozoon hepatopenaei (EHP) in Shrimp (Litopenaeus vannamei) on Several Super-Intensive Ponds in East Java, Indonesia. J. Ilm. Perikan. Dan Kelaut. 2021, 13, 58–67. [Google Scholar] [CrossRef]
- Biju, N.; Sathiyaraj, G.; Raj, M.; Shanmugam, V.; Baskaran, B.; Govindan, U.; Kumaresan, G.; Kasthuriraju, K.K.; Chellamma, T.S.R.Y. High prevalence of Enterocytozoon hepatopenaei in shrimps Penaeus monodon and Litopenaeus vannamei sampled from slow growth ponds in India. Dis. Aquat. Org. 2016, 120, 225–230. [Google Scholar] [CrossRef]
- Aranguren, L.F.; Han, J.E.; Tang, K.F. Enterocytozoon hepatopenaei (EHP) is a risk factor for acute hepatopancreatic necrosis disease (AHPND) and septic hepatopancreatic necrosis (SHPN) in the Pacific white shrimp Penaeus vannamei. Aquaculture 2017, 471, 37–42. [Google Scholar] [CrossRef]
- Behera, B.; Das, A.; Paria, P.; Sahoo, A.; Parida, P.; Abdulla, T.; Das, B. Prevalence of microsporidian parasite, Enterocytozoon hepatopenaei in cultured Pacific White shrimp, Litopenaeus vannamei (Boone, 1931) in West Bengal, East Coast of India. Aquac. Int. 2019, 27, 609–620. [Google Scholar] [CrossRef]
- Shen, H.; Qiao, Y.; Wan, X.; Jiang, G.; Fan, X.; Li, H.; Shi, W.; Wang, L.; Zhen, X. Prevalence of shrimp microsporidian parasite Enterocytozoon hepatopenaei in Jiangsu Province, China. Aquac. Int. 2019, 27, 675–683. [Google Scholar] [CrossRef]
- Caro, L.F.A.; Mai, H.N.; Cruz-Florez, R.; Marcos, F.L.A.; Alenton, R.R.R.; Dhar, A.K. Experimental reproduction of White Feces Syndrome in whiteleg shrimp, Penaeus vannamei. PLoS ONE 2021, 16, e0261289. [Google Scholar]
- Caro, L.F.A.; Alghamdi, F.; De Belder, K.; Lin, J.; Mai, H.N.; Millabas, J.; Alrehaili, Y.; Alazwari, A.; Algetham, S.; Dhar, A.K. The effect of salinity on Enterocytozoon hepatopenaei infection in Penaeus vannamei under experimental conditions. BMC Vet. Res. 2021, 17, 65. [Google Scholar]


| Sampling Date | Province | Sampling Site | Length (Mean ± SD, cm) | No. of Specimen | Detection Numbers of Pooled Sample/Test Numbers of Pooled Samples | Prevalence of EHP Infection in Shrimp Farm (Average Prevalence /95% Confidence Interval) |
|---|---|---|---|---|---|---|
| April 2021 | Gyeonsangnam-do | Geoje-si | 6.7 ± 1.3 | 30 | 1/6 | 4.9% (0.2–15.0%) |
| Sancheong-gun | 13.3 ± 1.6 | 30 | 1/6 | 4.9% (0.2–15.0%) | ||
| Changnyeong-gun | 8.6 ± 1.3 | 29 | 0/6 | - | ||
| Hadong-gun | 6.2 ± 0.6 | 29 | 0/6 | - | ||
| Gyeonsangbuk-do | Gyeongju-si | 5.2 ± 0.9 | 30 | 2/6 | 7.3% (0.3–21.3%) | |
| Goryeong-gun | 3.4 ± 0.9 | 30 | 0/6 | - | ||
| Mungyeong-si | 7.5 ± 1.0 | 30 | 1/6 | 4.9% (0.2–15.0%) | ||
| Yeongyang-gun | 7.9 ± 0.9 | 30 | 3/6 | 11.3% (0.6–28.6%) | ||
| Yeongcheon-si | 7.9 ± 2.0 | 30 | 0/6 | - | ||
| Cheongsong-gun | 6.7 ± 1.0 | 30 | 1/6 | 4.9% (0.2–15.0%) | ||
| Chilgok-gun | 8.4 ± 1.2 | 30 | 0/6 | - | ||
| Ulsan | Ulju-gun | N.D. | 30 | 0/6 | - | |
| September 2021 | Gyeonsangnam-do | Sancheong-gun | 7.9 ± 1.6 | 30 | 0/6 | - |
| October 2021 | Gyeonsangbuk-do | Gyeongju-si | 6.1 ± 0.7 | 30 | 2/6 | 7.3% (0.3–21.3%) |
| Gimcheon-si | 11.2 ± 1.7 | 30 | 0/6 | - | ||
| Mungyeong-si | 11.2 ± 1.4 | 30 | 0/6 | - | ||
| Yeongyang-gun | 10.0 ± 1.3 | 30 | 0/6 | - | ||
| Cheongsong-gun | 10.2 ± 2.0 | 30 | 4/6 | 18.2% (2.3%–40.2%) | ||
| Chilgok-gun | 11.5 ± 2.1 | 30 | 0/6 | - | ||
| Jeollanam-do | Hampyeong-gun | 12.9 ± 2.3 | 30 | 0/6 | - | |
| Jeollabuk-do | Wanju-gun | 7.5 ± 1.6 | 30 | 0/6 | - | |
| November 2021 | Gyeonsangnam-do | Hadong-gun | 8.2 ± 0.9 | 30 | 0/6 | - |
| Total | 22 times of sampling | 658 | 15/132 | 0.8% (0–2.3%) | ||
Publisher’s Note: MDPI stays neutral with regard to jurisdictional claims in published maps and institutional affiliations. |
© 2022 by the authors. Licensee MDPI, Basel, Switzerland. This article is an open access article distributed under the terms and conditions of the Creative Commons Attribution (CC BY) license (https://creativecommons.org/licenses/by/4.0/).
Share and Cite
Jang, G.-I.; Kim, S.-M.; Oh, Y.-K.; Lee, S.-J.; Hong, S.-Y.; Lee, H.-E.; Kwon, M.-G.; Kim, B.-S. First Report of Enterocytozoon hepatopenaei Infection in Giant Freshwater Prawn (Macrobrachium rosenbergii de Man) Cultured in the Republic of Korea. Animals 2022, 12, 3149. https://doi.org/10.3390/ani12223149
Jang G-I, Kim S-M, Oh Y-K, Lee S-J, Hong S-Y, Lee H-E, Kwon M-G, Kim B-S. First Report of Enterocytozoon hepatopenaei Infection in Giant Freshwater Prawn (Macrobrachium rosenbergii de Man) Cultured in the Republic of Korea. Animals. 2022; 12(22):3149. https://doi.org/10.3390/ani12223149
Chicago/Turabian StyleJang, Gwang-Il, Su-Mi Kim, Yun-Kyeong Oh, Soon-Jeong Lee, Sung-Youl Hong, Hyo-Eun Lee, Mun-Gyeong Kwon, and Bo-Seong Kim. 2022. "First Report of Enterocytozoon hepatopenaei Infection in Giant Freshwater Prawn (Macrobrachium rosenbergii de Man) Cultured in the Republic of Korea" Animals 12, no. 22: 3149. https://doi.org/10.3390/ani12223149
APA StyleJang, G.-I., Kim, S.-M., Oh, Y.-K., Lee, S.-J., Hong, S.-Y., Lee, H.-E., Kwon, M.-G., & Kim, B.-S. (2022). First Report of Enterocytozoon hepatopenaei Infection in Giant Freshwater Prawn (Macrobrachium rosenbergii de Man) Cultured in the Republic of Korea. Animals, 12(22), 3149. https://doi.org/10.3390/ani12223149

