Morphological Assessment and Biomarkers of Low-Grade, Chronic Intestinal Inflammation in Production Animals
Abstract
Simple Summary
Abstract
1. Introduction
2. Intestinal Inflammation: What Is It?
3. Inflammation Impact on Animal Production
4. Chronic Inflammation
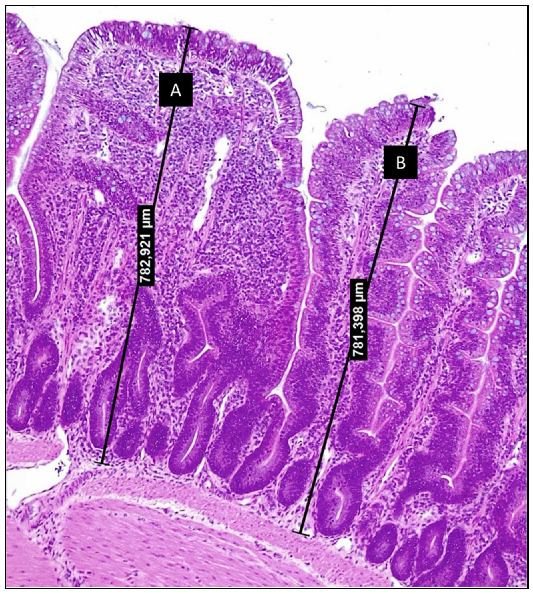
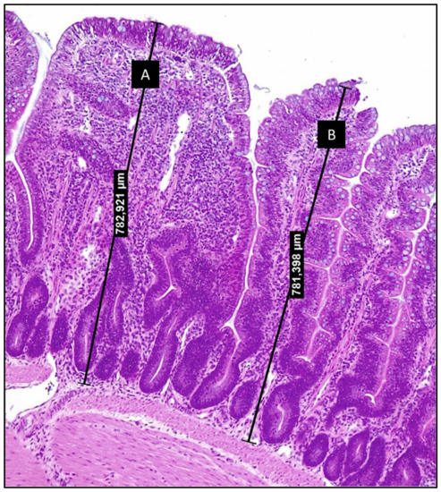
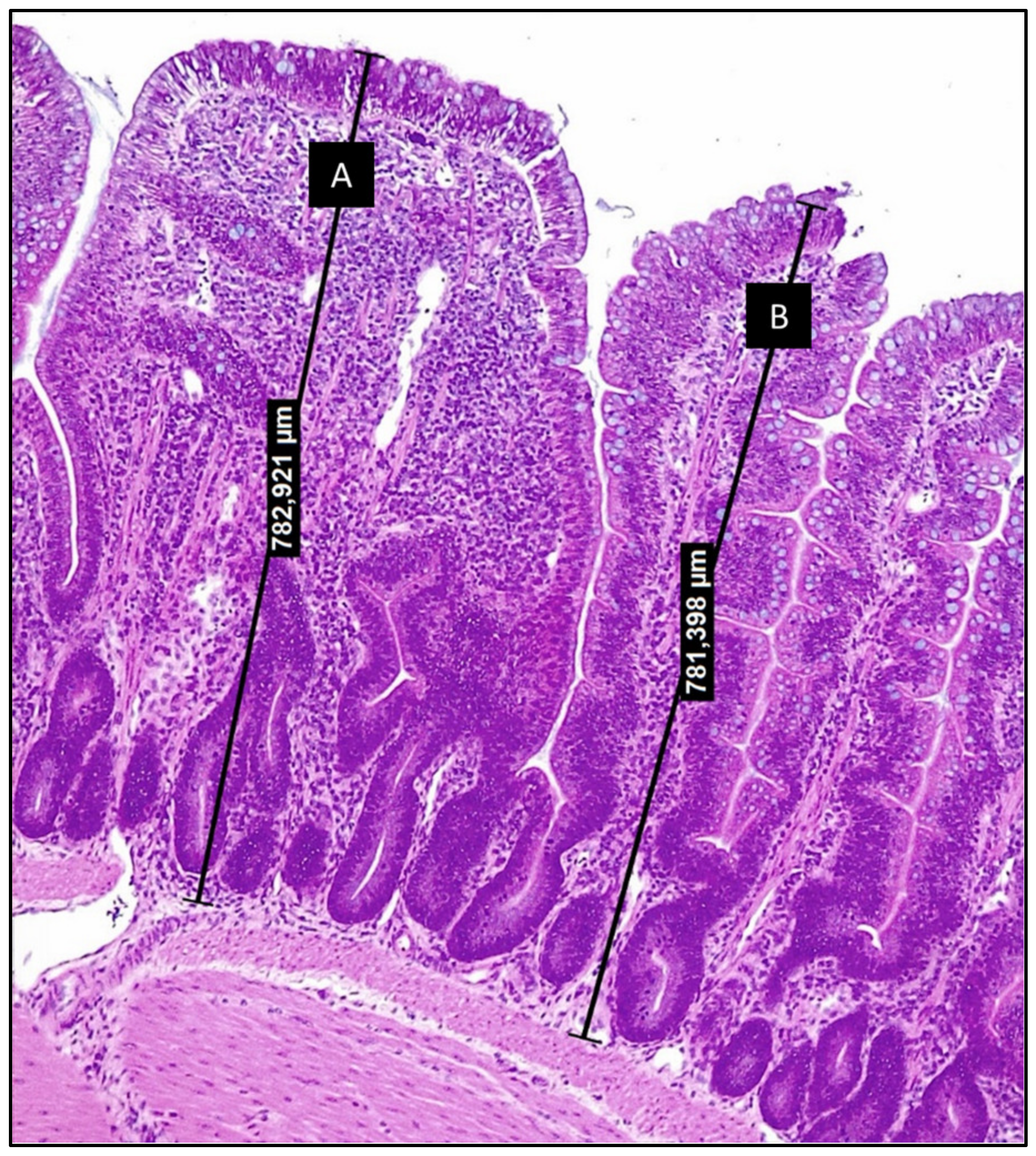
5. Morphometric Assessment of Gut Health
6. Structural and Inflammatory Biomarkers
7. Metabolic Biomarkers of Low-Grade, Chronic Intestinal Inflammation
7.1. Transcription Factors as Metabolic Biomarkers
7.2. Metabolic Intermediates as Metabolic Biomarkers
7.3. Post-Translational Modifiers as Metabolic Biomarkers
8. Conclusions
Author Contributions
Funding
Institutional Review Board Statement
Informed Consent Statement
Data Availability Statement
Conflicts of Interest
References
- Choct, M. Managing Gut Health through Nutrition. Br. Poult. Sci. 2009, 50, 9–15. [Google Scholar] [CrossRef] [PubMed]
- Svihus, B. Function of the Digestive System. J. Appl. Poult. Res. 2014, 23, 306–314. [Google Scholar] [CrossRef]
- Celi, P.; Verlhac, V.; Pérez Calvo, E.; Schmeisser, J.; Kluenter, A.M. Biomarkers of Gastrointestinal Functionality in Animal Nutrition and Health. Anim. Feed Sci. Technol. 2019, 250, 9–31. [Google Scholar] [CrossRef]
- Liu, H.Y.; Dicksved, J.; Rakhshandeh, A.; Cai, D. Integrated Role of Nutrition and Digestive Physiology for Animal Health. Front. Vet. Sci. 2021, 8, 789496. [Google Scholar] [CrossRef] [PubMed]
- Abraham, C.; Medzhitov, R. Interactions between the Host Innate Immune System and Microbes in Inflammatory Bowel Disease. Gastroenterology 2011, 140, 1729–1737. [Google Scholar] [CrossRef]
- Nicholson, J.K.; Holmes, E.; Kinross, J.; Burcelin, R.; Gibson, G.; Jia, W.; Pettersson, S. Host-Gut Microbiota Metabolic Interactions. Science (1979) 2012, 336, 1262–1267. [Google Scholar] [CrossRef]
- Kinnebrew, M.A.; Pamer, E.G. Innate Immune Signaling in Defense against Intestinal Microbes. Immunol. Rev. 2012, 245, 113–131. [Google Scholar] [CrossRef]
- Alexander, M.; Turnbaugh, P.J. Deconstructing Mechanisms of Diet-Microbiome-Immune Interactions. Immunity 2020, 53, 264–276. [Google Scholar] [CrossRef]
- Kogut, M.H. The Effect of Microbiome Modulation on the Intestinal Health of Poultry. Anim. Feed Sci. Technol. 2019, 250, 32–40. [Google Scholar] [CrossRef]
- Nobs, S.P.; Zmora, N.; Elinav, E. Nutrition Regulates Innate Immunity in Health and Disease. Annu. Rev. Nutr. 2020, 40, 189–219. [Google Scholar] [CrossRef]
- Kogut, M.H.; Arsenault, R.J. A Role for the Non-Canonical Wnt-β-Catenin and TGF-β Signaling Pathways in the Induction of Tolerance during the Establishment of a Salmonella Enterica Serovar Enteritidis Persistent Cecal Infection in Chickens. Front. Vet. Sci. 2015, 2, 33. [Google Scholar] [CrossRef] [PubMed]
- Lee, M.D.; Ipharraguerre, I.R.; Arsenault, R.J.; Lyte, M.; Lyte, J.M.; Humphrey, B.; Angel, R.; Korver, D.R. Informal Nutrition Symposium: Leveraging the Microbiome (and the Metabolome) for Poultry Production. Poult. Sci. 2022, 101, 101588. [Google Scholar] [CrossRef] [PubMed]
- Makowski, L.; Chaib, M.; Rathmell, J.C. Immunometabolism: From Basic Mechanisms to Translation. Immunol. Rev. 2020, 295, 5–14. [Google Scholar] [CrossRef] [PubMed]
- Lee, Y.S.; Wollam, J.; Olefsky, J.M. An Integrated View of Immunometabolism. Cell 2018, 172, 22–40. [Google Scholar] [CrossRef]
- Michaudel, C.; Sokol, H. The Gut Microbiota at the Service of Immunometabolism. Cell Metab. 2020, 32, 514–523. [Google Scholar] [CrossRef] [PubMed]
- Goo, D.; Kim, J.H.; Choi, H.S.; Park, G.H.; Han, G.P.; Kil, D.Y. Effect of Stocking Density and Sex on Growth Performance, Meat Quality, and Intestinal Barrier Function in Broiler Chickens. Poult. Sci. 2019, 98, 1153–1160. [Google Scholar] [CrossRef]
- Reisinger, N.; Emsenhuber, C.; Doupovec, B.; Mayer, E.; Schatzmayr, G.; Nagl, V.; Grenier, B. Endotoxin Translocation and Gut Inflammation Are Increased in Broiler Chickens Receiving an Oral Lipopolysaccharide (LPS) Bolus during Heat Stress. Toxins 2020, 12, 622. [Google Scholar] [CrossRef]
- Goo, D.; Kim, J.H.; Park, G.H.; Reyes, J.B.D.; Kil, D.Y. Effect of Heat Stress and Stocking Density on Growth Performance, Breast Meat Quality, and Intestinal Barrier Function in Broiler Chickens. Animals 2019, 9, 107. [Google Scholar] [CrossRef]
- Goossens, E.; Debyser, G.; Callens, C.; de Gussem, M.; Dedeurwaerder, A.; Devreese, B.; Haesebrouck, F.; Flügel, M.; Pelzer, S.; Thiemann, F.; et al. Elevated Faecal Ovotransferrin Concentrations Are Indicative for Intestinal Barrier Failure in Broiler Chickens. Vet. Res. 2018, 49, 51. [Google Scholar] [CrossRef]
- Lee, K.A.; Roth, R.A.; LaPres, J.J. Hypoxia, Drug Therapy and Toxicity. Pharmacol. Ther. 2007, 113, 229–246. [Google Scholar] [CrossRef]
- Taylor, C.T.; Colgan, S.P. Hypoxia and Gastrointestinal Disease. J. Mol. Med. 2007, 85, 1295–1300. [Google Scholar] [CrossRef] [PubMed]
- Oviedo-Rondón, E.O. Holistic View of Intestinal Health in Poultry. Anim. Feed Sci. Technol. 2019, 250, 1–8. [Google Scholar] [CrossRef]
- Tabler, T.W.; Greene, E.S.; Orlowski, S.K.; Hiltz, J.Z.; Anthony, N.B.; Dridi, S. Intestinal Barrier Integrity in Heat-Stressed Modern Broilers and Their Ancestor Wild Jungle Fowl. Front. Vet. Sci. 2020, 7, 249. [Google Scholar] [CrossRef] [PubMed]
- Kogut, M.H.; Genovese, K.J.; Swaggerty, C.L.; He, H.; Broom, L. Inflammatory Phenotypes in the Intestine of Poultry: Not All Inflammation Is Created Equal. Poult. Sci. 2018, 97, 2339–2346. [Google Scholar] [CrossRef]
- Broom, L.J.; Kogut, M.H. Deciphering Desirable Immune Responses from Disease Models with Resistant and Susceptible Chickens. Poult. Sci. 2019, 98, 1634–1642. [Google Scholar] [CrossRef] [PubMed]
- Lauridsen, C. From Oxidative Stress to Inflammation: Redox Balance and Immune System. Poult. Sci. 2019, 98, 4240–4246. [Google Scholar] [CrossRef]
- Roseth, A.G.; Aadland, E.; Jahnsen, J.; Raknerud, N. Assessment of Disease Activity in Ulcerative Colitis by Faecal Calprotectin, a Novel Granulocyte Marker Protein. Digestion 1997, 58, 176–180. [Google Scholar] [CrossRef]
- Rychlik, I.; Elsheimer-Matulova, M.; Kyrova, K. Gene Expression in the Chicken Caecum in Response to Infections with Non-Typhoid Salmonella. Vet. Res. 2014, 45, 119. [Google Scholar] [CrossRef]
- He, B.; Bortoluzzi, C.; King, W.D.; Graugnard, D.; Dawson, K.A.; Applegate, T.J. Zinc Source Influences the Gene Expression of Zinc Transporters in Jejunum and Cecal Tonsils during Broiler Challenge with Eimeria Maxima and Clostridium Perfringens. Poult. Sci. 2019, 98, 1146–1152. [Google Scholar] [CrossRef]
- Bento, A.F.; Leite, D.F.P.; Marcon, R.; Claudino, R.F.; Dutra, R.C.; Cola, M.; Martini, A.C.; Calixto, J.B. Evaluation of Chemical Mediators and Cellular Response during Acute and Chronic Gut Inflammatory Response Induced by Dextran Sodium Sulfate in Mice. Biochem. Pharmacol. 2012, 84, 1459–1469. [Google Scholar] [CrossRef]
- Lochmiller, R.L.; Deerenberg, C. Trade-Offs in Evolutionary Immunology: Just What Is the Cost of Immunity? Oikos 2000, 88, 87–98. [Google Scholar] [CrossRef]
- Corzo, A.; Kidd, M.T.; Dozier, W.A.; Pharr, G.T.; Koutsos, E.A. Dietary Threonine Needs for Growth and Immunity of Broilers Raised under Different Litter Conditions. J. Appl. Poult. Res. 2007, 16, 574–582. [Google Scholar] [CrossRef]
- Jiang, Z.; Schatzmayr, G.; Mohnl, M.; Applegate, T.J. Net Effect of an Acute Phase Response-Partial Alleviation with Probiotic Supplementation. Poult. Sci. 2010, 89, 28–33. [Google Scholar] [CrossRef] [PubMed]
- Klasing, K.C.; Laurin, D.E.; Peng, R.K.; Fry, D.M. Immunologically Mediated Growth Depression in Chicks: Influence of Feed Intake, Corticosterone and Interleukin-1. J. Nutr. 1987, 117, 1629–1637. [Google Scholar] [CrossRef]
- Medzhitov, R. The Spectrum of Inflammatory Responses. Science (1979) 2021, 374, 1070–1075. [Google Scholar] [CrossRef]
- Dal Pont, G.C.; Belote, B.L.; Lee, A.; Bortoluzzi, C.; Eyng, C.; Sevastiyanova, M.; Khadem, A.; Santin, E.; Farnell, Y.Z.; Gougoulias, C.; et al. Novel Models for Chronic Intestinal Inflammation in Chickens: Intestinal Inflammation Pattern and Biomarkers. Front. Immunol. 2021, 12, 676628. [Google Scholar] [CrossRef]
- Caspary, W.F. Physiology and Pathophysiology of Intestinal Absorption. Am. J. Clin. Nutr. 1992, 55, 299–308. [Google Scholar] [CrossRef]
- Awad, W.A.; Ghareeb, K.; Abdel-Raheem, S.; Böhm, J. Effects of Dietary Inclusion of Probiotic and Synbiotic on Growth Performance, Organ Weights, and Intestinal Histomorphology of Broiler Chickens. Poult. Sci. 2009, 88, 49–55. [Google Scholar] [CrossRef]
- Kraieski, A.L.; Hayashi, R.M.; Sanches, A.; Almeida, G.C.; Santin, E. Effect of Aflatoxin Experimental Ingestion and Eimeira Vaccine Challenges on Intestinal Histopathology and Immune Cellular Dynamic of Broilers: Applying an Intestinal Health Index. Poult. Sci. 2017, 96, 1078–1087. [Google Scholar] [CrossRef]
- Belote, B.L.; Tujimoto-Silva, A.; Hümmelgen, P.H.; Sanches, A.W.D.; Wammes, J.C.S.; Hayashi, R.M.; Santin, E. Histological Parameters to Evaluate Intestinal Health on Broilers Challenged with Eimeria and C Lostridium Perfringens with or without Enramycin as Growth Promoter. Poult. Sci. 2018, 97, 2287–2294. [Google Scholar] [CrossRef]
- Belote, B.L.; Soares, I.; Tujimoto-Silva, A.; Sanches, A.W.D.; Kraieski, A.L.; Santin, E. Applying I See inside Histological Methodology to Evaluate Gut Health in Broilers Challenged with Eimeria. Vet. Parasitol. X 2019, 1, 100004. [Google Scholar] [CrossRef] [PubMed]
- Belote, B.L.; Soares, I.; Tujimoto-Silva, A.; Tirado, A.G.C.; Martins, C.M.; Carvalho, B.; Gonzalez-Esquerra, R.; Rangel, L.F.S.; Santin, E. Field Evaluation of Feeding Spray-Dried Plasma in the Starter Period on Final Performance and Overall Health of Broilers. Poult. Sci. 2021, 100, 101080. [Google Scholar] [CrossRef] [PubMed]
- Sanches, A.W.D.; Belote, B.L.; Hümmelgen, P.; Heemann, A.C.W.; Soares, I.; Tujimoto-Silva, A.; Tirado, A.G.C.; Cunha, A.F.; Santin, E. Basal and Infectious Enteritis in Broilers Under the I See Inside Methodology: A Chronological Evaluation. Front. Vet. Sci. 2020, 6, 512. [Google Scholar] [CrossRef] [PubMed]
- Santin, E.; Carlos Paulillo, A.; Maiorka, A.; Okada Nakaghi, L.S.; Macari, M.; da Silva, A.V.F.; Carlos Alessi, A. Evaluation of the Efficacy of Saccharomyces Cerevisiae Cell Wall to Ameliorate the Toxic Effects of Aflatoxin in Broilers. Int. J. Poult. Sci. 2003, 2, 341–344. [Google Scholar] [CrossRef]
- Ortatatli, M.; Oǧuz, H.; Hatipoǧlu, F.; Karaman, M. Evaluation of Pathological Changes in Broilers during Chronic Aflatoxin (50 and 100 Ppb) and Clinoptilolite Exposure. Res. Vet. Sci. 2005, 78, 61–68. [Google Scholar] [CrossRef]
- Ducatelle, R.; Goossens, E.; de Meyer, F.; Eeckhaut, V.; Antonissen, G.; Haesebrouck, F.; van Immerseel, F. Biomarkers for Monitoring Intestinal Health in Poultry: Present Status and Future Perspectives. Vet. Res. 2018, 49, 43. [Google Scholar] [CrossRef]
- Wan, Y.; Freeswick, P.D.; Khemlani, L.S.; Kispert, P.H.; Wang, S.C.; Su, G.L.; Billiar, T.R. Role of Lipopolysaccharide (LPS), Interleukin-1, Interleukin-6, Tumor Necrosis Factor, and Dexamethasone in Regulation of LPS-Binding Protein Expression in Normal Hepatocytes and Hepatocytes from LPS-Treated Rats. Infect. Immun. 1995, 63, 2435–2442. [Google Scholar] [CrossRef]
- Read, T.E.; Harris, H.W.; Grunfeld, C.; Feingold, K.R.; Calhoun, M.C.; Kane, J.P.; Rapp’, J.H. Chylomicrons Enhance Endotoxin Excretion in Bile. Infect. Immun. 1993, 61, 3496–3502. [Google Scholar] [CrossRef]
- Berbee, J.F.P.; Havekes, L.M.; Rensen, P.C.N. Apolipoproteins Modulate the Inflammatory Response to Lipopolysaccharide. J. Endotoxin Res. 2005, 11, 97–103. [Google Scholar] [CrossRef]
- Krasity, B.C.; Troll, J.V.; Weiss, J.P.; McFall-Ngai, M.J. LBP/BPI Proteins and Their Relatives: Conservation over Evolution and Roles in Mutualism. Biochem. Soc. Trans. 2011, 39, 1039–1044. [Google Scholar] [CrossRef]
- González, R.; Brokordt, K.; Rojas, R.; Schmitt, P. Molecular Characterization and Expression Patterns of Two LPS Binding /Bactericidal Permeability-Increasing Proteins (LBP/BPIs) from the Scallop Argopecten Purpuratus. Fish Shellfish Immunol. 2020, 97, 12–17. [Google Scholar] [CrossRef]
- Weiss, J. Bactericidal/Permeability-Increasing Protein (BPI) and Lipopolysaccharide-Binding Protein (LBP): Structure, Function and Regulation in Host Defence against Gram-Negative Bacteria. Biochem. Soc. Trans. 2003, 31, 785–790. [Google Scholar] [CrossRef] [PubMed]
- Roberts, L.M.; Buford, T.W. Lipopolysaccharide Binding Protein Is Associated with CVD Risk in Older Adults. Aging Clin. Exp. Res. 2021, 33, 1651–1658. [Google Scholar] [CrossRef] [PubMed]
- Kvidera, S.K.; Dickson, M.J.; Abuajamieh, M.; Snider, D.B.; Fernandez, M.V.S.; Johnson, J.S.; Keating, A.F.; Gorden, P.J.; Green, H.B.; Schoenberg, K.M.; et al. Intentionally Induced Intestinal Barrier Dysfunction Causes Inflammation, Affects Metabolism, and Reduces Productivity in Lactating Holstein Cows. J. Dairy Sci. 2017, 100, 4113–4127. [Google Scholar] [CrossRef] [PubMed]
- Oliva, A.; Aversano, L.; de Angelis, M.; Mascellino, M.T.; Miele, M.C.; Morelli, S.; Battaglia, R.; Iera, J.; Bruno, G.; Corazziari, E.S.; et al. Persistent Systemic Microbial Translocation, Inflammation, and Intestinal Damage during Clostridioides Difficile Infection. Open Forum. Infect. Dis. 2020, 7, ofz507. [Google Scholar] [CrossRef]
- Zhang, M.X.; Song, T.Z.; Zheng, H.Y.; Wang, X.H.; Lu, Y.; Zhang, H.D.; Li, T.; Pang, W.; Zheng, Y.T. Superior Intestinal Integrity and Limited Microbial Translocation Are Associated with Lower Immune Activation in SIVmac239-Infected Northern Pig-Tailed Macaques (Macaca Leonina). Zool. Res. 2019, 40, 522–531. [Google Scholar] [CrossRef]
- Cui, Y.; Wang, C.; Hao, Y.; Gu, X.; Wang, H. Chronic Heat Stress Induces Acute Phase Responses and Serum Metabolome Changes in Finishing Pigs. Animals 2019, 9, 395. [Google Scholar] [CrossRef]
- Mayorga, E.J.; Kvidera, S.K.; Horst, E.A.; Al-Qaisi, M.; Dickson, M.J.; Seibert, J.T.; Lei, S.; Keating, A.F.; Ross, J.W.; Rhoads, R.P.; et al. Effects of Zinc Amino Acid Complex on Biomarkers of Gut Integrity and Metabolism during and Following Heat Stress or Feed Restriction in Pigs. J. Anim. Sci. 2018, 96, 4173–4185. [Google Scholar] [CrossRef]
- Abuajamieh, M.; Kvidera, S.K.; Mayorga, E.J.; Kaiser, A.; Lei, S.; Seibert, J.T.; Horst, E.A.; Fernandez, M.V.S.; Ross, J.W.; Selsby, J.T.; et al. The Effect of Recovery from Heat Stress on Circulating Bioenergetics and Inflammatory Biomarkers. J. Anim. Sci. 2018, 96, 4599–4610. [Google Scholar] [CrossRef]
- Sanz Fernandez, M.V.; Pearce, S.C.; Mani, V.; Gabler, N.K.; Metzger, L.; Patience, J.F.; Rhoads, R.P.; Baumgard, L.H. Effects of Dairy Products on Intestinal Integrity in Heat-Stressed Pigs. Temperature 2014, 1, 128–134. [Google Scholar] [CrossRef][Green Version]
- Opgenorth, J.; Abuajamieh, M.; Horst, E.A.; Kvidera, S.K.; Johnson, J.S.; Mayorga, E.J.; Sanz-Fernandez, M.V.; Al-Qaisi, M.A.; DeFrain, J.M.; Kleinschmit, D.H.; et al. The Effects of Zinc Amino Acid Complex on Biomarkers of Gut Integrity, Inflammation, and Metabolism in Heat-Stressed Ruminants. J. Dairy Sci. 2021, 104, 2410–2421. [Google Scholar] [CrossRef] [PubMed]
- Kvidera, S.K.; Horst, E.A.; Sanz Fernandez, M.V.; Abuajamieh, M.; Ganesan, S.; Gorden, P.J.; Green, H.B.; Schoenberg, K.M.; Trout, W.E.; Keating, A.F.; et al. Characterizing Effects of Feed Restriction and Glucagon-like Peptide 2 Administration on Biomarkers of Inflammation and Intestinal Morphology. J. Dairy Sci. 2017, 100, 9402–9417. [Google Scholar] [CrossRef]
- Mayorga, E.J.; Kvidera, S.K.; Seibert, J.T.; Horst, E.A.; Abuajamieh, M.; Al-Qaisi, M.; Lei, S.; Ross, J.W.; Johnson, C.D.; Kremer, B.; et al. Effects of Dietary Chromium Propionate on Growth Performance, Metabolism, and Immune Biomarkers in Heat-Stressed Finishing Pigs. J. Anim. Sci. 2019, 97, 1185–1197. [Google Scholar] [CrossRef] [PubMed]
- Horst, E.A.; Mayorga, E.J.; Al-Qaisi, M.; Rodriguez-Jimenez, S.; Goetz, B.M.; Abeyta, M.A.; Gorden, P.J.; Kvidera, S.K.; Baumgard, L.H. Evaluating Effects of Zinc Hydroxychloride on Biomarkers of Inflammation and Intestinal Integrity during Feed Restriction. J. Dairy Sci. 2020, 103, 11911–11929. [Google Scholar] [CrossRef] [PubMed]
- Mayorga, E.J.; Horst, E.A.; Al-Qaisi, M.; Goetz, B.M.; Abeyta, M.A.; Rodríguez-Jiménez, S.; Lei, S.; Acosta, J.A.; Patience, J.F.; Serao, M.R.; et al. Effects of Continuously Infusing Glucose or Casein into the Terminal Ileum on Biomarkers of Metabolism, Inflammation, and Intestinal Morphology in Growing Pigs 1. J. Anim. Sci. 2021, 99, skab163. [Google Scholar] [CrossRef]
- Zhu, Y.; Lin, X.; Zhao, F.; Shi, X.; Li, H.; Li, Y.; Zhu, W.; Xu, X.; Lu, C.; Zhou, G. Meat, Dairy and Plant Proteins Alter Bacterial Composition of Rat Gut Bacteria. Sci. Rep. 2015, 5, 15220. [Google Scholar] [CrossRef]
- Petry, A.L.; Huntley, N.F.; Bedford, M.R.; Patience, J.F. Xylanase Increased the Energetic Contribution of Fiber and Improved the Oxidative Status, Gut Barrier Integrity, and Growth Performance of Growing Pigs Fed Insoluble Corn-Based Fiber 1. J. Anim. Sci. 2020, 98, skaa233. [Google Scholar] [CrossRef]
- Bischoff, S.C.; Kaden-Volynets, V.; Filipe Rosa, L.; Guseva, D.; Seethaler, B. Regulation of the Gut Barrier by Carbohydrates from Diet–Underlying Mechanisms and Possible Clinical Implications. Int. J. Med. Microbiol. 2021, 311, 151499. [Google Scholar] [CrossRef]
- Ahmad, M.I.; Zou, X.; Ijaz, M.U.; Hussain, M.; Liu, C.; Xu, X.; Zhou, G.; Li, C. Processed Meat Protein Promoted Inflammation and Hepatic Lipogenesis by Upregulating Nrf2/Keap1 Signaling Pathway in Glrx-Deficient Mice. J. Agric. Food Chem. 2019, 67, 8794–8809. [Google Scholar] [CrossRef]
- Panasevich, M.R.; Meers, G.M.; Linden, M.A.; Booth, X.F.W.; Perfield Ii, J.W.; Fritsche, K.L.; Wankhade, U.D.; Chintapalli, S.V.; Shankar, K.; Ibdah, J.A.; et al. High-Fat, High-Fructose, High-Cholesterol Feeding Causes Severe NASH and Cecal Microbiota Dysbiosis in Juvenile Ossabaw Swine. Am. J. Physiol. Endocrinol. Metab. 2018, 314, 78–92. [Google Scholar] [CrossRef]
- Ayling, R.M.; Kok, K. Fecal Calprotectin. Adv. Clin. Chem. 2018, 87, 161–190. [Google Scholar] [CrossRef] [PubMed]
- Roseth, A.G.; Fagerhol, M.K.; Aadland, E.; Schjbnsby, H.; Rgseth, A.G. Assessment of the Neutrophil Dominating Protein Calprotectin in Feces A Methodologic Study. Scand. J. Gastroenterol. 1992, 27, 793–798. [Google Scholar] [CrossRef] [PubMed]
- Jukic, A.; Bakiri, L.; Wagner, E.F.; Tilg, H.; Adolph, T.E. Calprotectin: From Biomarker to Biological Function. Gut 2021, 70, 1978–1988. [Google Scholar] [CrossRef]
- Heilmann, R.M.; Nestler, J.; Schwarz, J.; Grützner, N.; Ambrus, A.; Seeger, J.; Suchodolski, J.S.; Steiner, J.M.; Gurtner, C. Mucosal Expression of S100A12 (Calgranulin C) and S100A8/A9 (Calprotectin) and Correlation with Serum and Fecal Concentrations in Dogs with Chronic Inflammatory Enteropathy. Vet. Immunol. Immunopathol. 2019, 211, 64–74. [Google Scholar] [CrossRef]
- Kehl-Fie, T.E.; Chitayat, S.; Hood, M.I.; Damo, S.; Restrepo, N.; Garcia, C.; Munro, K.A.; Chazin, W.J.; Skaar, E.P. Nutrient Metal Sequestration by Calprotectin Inhibits Bacterial Superoxide Defense, Enhancing Neutrophil Killing of Staphylococcus aureus. Cell Host Microbe 2011, 10, 158–164. [Google Scholar] [CrossRef] [PubMed]
- Nakashige, T.G.; Zygiel, E.M.; Drennan, C.L.; Nolan, E.M. Nickel Sequestration by the Host-Defense Protein Human Calprotectin. J. Am. Chem. Soc. 2017, 139, 8828–8836. [Google Scholar] [CrossRef] [PubMed]
- Burcham, L.R.; le Breton, Y.; Radin, J.N.; Spencer, B.L.; Deng, L.; Hiron, A.; Ransom, M.R.; Mendonça, J.d.C.; Belew, A.T.; El-Sayed, N.M.; et al. Identification of Zinc-Dependent Mechanisms Used by Group b Streptococcus to Overcome Calprotectin-Mediated Stress. mBio 2020, 11, 1–18. [Google Scholar] [CrossRef]
- Schoepfer, A.M.; Trummler, M.; Seeholzer, P.; Seibold-Schmid, B.; Seibold, F. Discriminating IBD from IBS: Comparison of the Test Performance of Fecal Markers, Blood Leukocytes, CRP, and IBD Antibodies. Inflamm. Bowel Dis. 2008, 14, 32–39. [Google Scholar] [CrossRef]
- Jusué, V.; Chaparro, M.; Gisbert, J.P. Accuracy of Fecal Calprotectin for the Prediction of Endoscopic Activity in Patients with Inflammatory Bowel Disease. Dig. Liver Dis. 2018, 50, 353–359. [Google Scholar] [CrossRef]
- Mosli, M.H.; Zou, G.; Garg, S.K.; Feagan, S.G.; MacDonald, J.K.; Chande, N.; Sandborn, W.J.; Feagan, B.G. C-Reactive Protein, Fecal Calprotectin, and Stool Lactoferrin for Detection of Endoscopic Activity in Symptomatic Inflammatory Bowel Disease Patients: A Systematic Review and Meta-Analysis. Am. J. Gastroenterol. 2015, 110, 802–819. [Google Scholar] [CrossRef]
- Schoepfer, A.M.; Beglinger, C.; Straumann, A.; Trummler, M.; Renzulli, P.; Seibold, F. Ulcerative Colitis: Correlation of the Rachmilewitz Endoscopic Activity Index with Fecal Calprotectin, Clinical Activity, C-Reactive Protein, and Blood Leukocytes. Inflamm. Bowel Dis. 2009, 15, 1851–1858. [Google Scholar] [CrossRef] [PubMed]
- Tibble, J.; Teahon, K.; Thjodleifsson, B.; Roseth, A.; Sigthorsson, G.; Bridger, S.; Foster, R.; Sherwood, R.; Fagerhol, M.; Bjarnason, I. A Simple Method for Assessing Intestinal Inflammation in Crohn’s Disease. Gut 2000, 47, 506–513. [Google Scholar] [CrossRef] [PubMed]
- Carroccio, A.; Iacono, G.; Cottone, M.; di Prima, L.; Cartabellotta, F.; Cavataio, F.; Scalici, C.; Montalto, G.; Fede, G.D.; Rini, G.; et al. Diagnostic Accuracy of Fecal Calprotectin Assay in Distinguishing Organic Causes of Chronic Diarrhea from Irritable Bowel Syndrome: A Prospective Study in Adults and Children. Clin. Chem. 2003, 49, 861–867. [Google Scholar] [CrossRef] [PubMed]
- Heilmann, R.M.; Berghoff, N.; Mansell, J.; Grützner, N.; Parnell, N.K.; Gurtner, C.; Suchodolski, J.S.; Steiner, J.M. Association of Fecal Calprotectin Concentrations with Disease Severity, Response to Treatment, and Other Biomarkers in Dogs with Chronic Inflammatory Enteropathies. J. Vet. Intern. Med. 2018, 32, 679–692. [Google Scholar] [CrossRef] [PubMed]
- Grellet, A.; Heilmann, R.M.; Vet, M.; Lecoindre, P.; Feugier, A.; Day, M.J.; Peeters, D.; Freiche, V.; Hernandez, J.; Grandjean, D.; et al. Fecal Calprotectin Concentrations in Adult Dogs with Chronic Diarrhea. Am. J. Vet. Res. 2013, 74, 706–711. [Google Scholar] [CrossRef]
- Heilmann, R.M.; Jergens, A.E.; Ackermann, M.R.; Barr, J.W.; Suchodolski, J.S.; Steiner, J.M. Serum Calprotectin Concentrations in Dogs with Idiopathic Inflammatory Bowel Disease. Am. J. Vet. Res. 2012, 73, 1900–1907. [Google Scholar] [CrossRef]
- Barbosa, J.A.; Rodrigues, L.A.; Columbus, D.A.; Aguirre, J.C.P.; Harding, J.C.S.; Cantarelli, V.S.; Costa, M.d.O. Experimental Infectious Challenge in Pigs Leads to Elevated Fecal Calprotectin Levels Following Colitis, but Not Enteritis. Porc. Health Manage. 2021, 7, 48. [Google Scholar] [CrossRef]
- Boeckman, J.X.; Sprayberry, S.; Korn, A.M.; Suchodolski, J.S.; Paulk, C.; Genovese, K.; Rech, R.R.; Giaretta, P.R.; Blick, A.K.; Callaway, T.; et al. Effect of Chronic and Acute Enterotoxigenic E. coli Challenge on Growth Performance, Intestinal Inflammation, Microbiome, and Metabolome of Weaned Piglets. Sci. Rep. 2022, 12, 5024. [Google Scholar] [CrossRef]
- Šplíchal, I.; Fagerhol, M.K.; Trebichavský, I.; Šplíchalová, A.; Schulze, J. The Effect of Intestinal Colonization of Germ-Free Pigs with Escherichia coli on Calprotectin Levels in Plasma, Intestinal and Bronchoalveolar Lavages. Immunobiology 2005, 209, 681–687. [Google Scholar] [CrossRef]
- Bogere, P.; Choi, J.; Heo, J. Optimization of Fecal Calprotectin Assay for Pig Samples. J. Agric. Life Sci. 2019, 53, 93–104. [Google Scholar] [CrossRef]
- Grellet, A.; Heilmann, R.M.; Polack, B.; Feugier, A.; Boucraut-Baralon, C.; Grandjean, D.; Grützner, N.; Suchodolski, J.S.; Steiner, J.M.; Chastant-Maillard, S. Influence of Breed Size, Age, Fecal Quality, and Enteropathogen Shedding on Fecal Calprotectin and Immunoglobulin A Concentrations in Puppies During the Weaning Period. J. Vet. Intern. Med. 2016, 30, 1056–1064. [Google Scholar] [CrossRef] [PubMed]
- Xiao, D.; Wang, Y.; Liu, G.; He, J.; Qiu, W.; Hu, X.; Feng, Z.; Ran, M.; Nyachoti, C.M.; Kim, S.W.; et al. Effects of Chitosan on Intestinal Inflammation in Weaned Pigs Challenged by Enterotoxigenic Escherichia coli. PLoS ONE 2014, 9, e104192. [Google Scholar] [CrossRef] [PubMed]
- Slinger, K.R.; Stewart, A.H.; Daniel, Z.C.T.R.; Hall, H.; Masey O’Neill, H.V.; Bedford, M.R.; Parr, T.; Brameld, J.M. The Association between Faecal Host DNA or Faecal Calprotectin and Feed Efficiency in Pigs Fed Yeast-Enriched Protein Concentrate. Animal 2019, 13, 2483–2491. [Google Scholar] [CrossRef] [PubMed]
- Mazgaj, R.; Lipiński, P.; Szudzik, M.; Jończy, A.; Kopeć, Z.; Stankiewicz, A.M.; Kamyczek, M.; Swinkels, D.; Żelazowska, B.; Starzyński, R.R. Comparative Evaluation of Sucrosomial Iron and Iron Oxide Nanoparticles as Oral Supplements in Iron Deficiency Anemia in Piglets. Int. J. Mol. Sci. 2021, 22, 9930. [Google Scholar] [CrossRef] [PubMed]
- Kristinsson, J.; Roseth, A.; Fagerhol, M.K.; Aadland, E.; Schjonsby, H.; Bormer, O.P.; Raknerud, N.; Nygaard, K. Fecal Calprotectin Concentration in Patients with Colorectal Carcinoma. Dis. Colon. Rectum. 1998, 41, 316–321. [Google Scholar] [CrossRef] [PubMed]
- Bunn, S.K.; Bisset, W.M.; Main, M.J.C.; Golden, B.E. Fecal Calprotectin as a Measure of Disease Activity in Childhood Inflammatory Bowel Disease. J. Pediatr. Gastroenterol. Nutr. 2001, 32, 171–177. [Google Scholar] [CrossRef]
- Goetz, D.H.; Holmes, M.A.; Borregaard, N.; Bluhm, M.E.; Raymond, K.N.; Strong, R.K. The Neutrophil Lipocalin NGAL Is a Bacteriostatic Agent That Interferes with Siderophore-Mediated Iron Acquisition Ation, Olfaction, Pheromone Transport, Prostaglandin Synthesis, Modulation of Cell Growth and Metabolism, Regulation of the Immune Response, Tissue Development, and Animal Behavior. However, Some of These Functional Assignments Have Been Made on Very Indirect or Circum. Mol. Cell 2002, 10, 1033–1043. [Google Scholar] [CrossRef]
- Xiao, X.; Yeoh, B.S.; Vijay-Kumar, M. Lipocalin 2: An Emerging Player in Iron Homeostasis and Inflammation. Annu. Rev. Nutr. 2017, 37, 103–130. [Google Scholar] [CrossRef]
- Moschen, A.R.; Adolph, T.E.; Gerner, R.R.; Wieser, V.; Tilg, H. Lipocalin-2: A Master Mediator of Intestinal and Metabolic Inflammation. Trends Endocrinol. Metab. 2017, 28, 388–397. [Google Scholar] [CrossRef]
- Li, D.; Yan Sun, W.; Fu, B.; Xu, A.; Wang, Y. Lipocalin-2—The Myth of Its Expression and Function. Basic Clin. Pharmacol. Toxicol. 2020, 127, 142–151. [Google Scholar] [CrossRef]
- Makris, K.; Rizos, D.; Kafkas, N.; Haliassos, A. Neurophil Gelatinase-Associated Lipocalin as a New Biomarker in Laboratory Medicine. Clin. Chem. Lab. Med. 2012, 50, 1519–1532. [Google Scholar] [CrossRef] [PubMed]
- Playford, R.J.; Belo, A.; Poulsom, R.; Fitzgerald, A.J.; Harris, K.; Pawluczyk, I.; Ryon, J.; Darby, T.; Nilsen-Hamilton, M.; Ghosh, S.; et al. Effects of Mouse and Human Lipocalin Homologues 24p3/Lcn2 and Neutrophil Gelatinase-Associated Lipocalin on Gastrointestinal Mucosal Integrity and Repair. Gastroenterology 2006, 131, 809–817. [Google Scholar] [CrossRef] [PubMed]
- Raffatellu, M.; George, M.D.; Akiyama, Y.; Hornsby, M.J.; Nuccio, S.P.; Paixao, T.A.; Butler, B.P.; Chu, H.; Santos, R.L.; Berger, T.; et al. Lipocalin-2 Resistance Confers an Advantage to Salmonella Enterica Serotype Typhimurium for Growth and Survival in the Inflamed Intestine. Cell Host Microbe 2009, 5, 476–486. [Google Scholar] [CrossRef] [PubMed]
- Zollner, A.; Schmiderer, A.; Reider, S.J.; Oberhuber, G.; Pfister, A.; Texler, B.; Watschinger, C.; Koch, R.; Effenberger, M.; Raine, T.; et al. Faecal Biomarkers in Inflammatory Bowel Diseases: Calprotectin versus Lipocalin-2-A Comparative Study. J. Crohns Colitis 2021, 15, 43–54. [Google Scholar] [CrossRef]
- Thorsvik, S.; Damås, J.K.; Granlund, A.B.; Flo, T.H.; Bergh, K.; Østvik, A.E.; Sandvik, A.K. Fecal Neutrophil Gelatinase-Associated Lipocalin as a Biomarker for Inflammatory Bowel Disease. J. Gastroenterol. Hepatol. 2017, 32, 128–135. [Google Scholar] [CrossRef]
- Chassaing, B.; Srinivasan, G.; Delgado, M.A.; Young, A.N.; Gewirtz, A.T.; Vijay-Kumar, M. Fecal Lipocalin 2, a Sensitive and Broadly Dynamic Non-Invasive Biomarker for Intestinal Inflammation. PLoS ONE 2012, 7, e44328. [Google Scholar] [CrossRef]
- Nielsen, O.H.; Gionchetti, P.; Ainsworth, M.; Vainer, B.; Campieri, M.; Borregaard, N.; Kjeldsen, L. Rectal Dialysate and Fecal Concentrations of Neutrophil Gelatinase-Associated Lipocalin, Interleukin-8, and Tumor Necrosis Factor-in Ulcerative Colitis. Am. J. Gastroentherology 1999, 94, 2923–2928. [Google Scholar] [CrossRef]
- Bakke, I.; Walaas, G.A.; Bruland, T.; Røyset, E.S.; van Beelen Granlund, A.; Escudero-Hernández, C.; Thorsvik, S.; Münch, A.; Sandvik, A.K.; Østvik, A.E. Mucosal and Faecal Neutrophil Gelatinase-Associated Lipocalin as Potential Biomarkers for Collagenous Colitis. J. Gastroenterol. 2021, 56, 914–927. [Google Scholar] [CrossRef]
- Thorsvik, S.; Bakke, I.; van Beelen Granlund, A.; Røyset, E.S.; Damås, J.K.; Østvik, A.E.; Sandvik, A.K. Expression of Neutrophil Gelatinase-Associated Lipocalin (NGAL) in the Gut in Crohn’s Disease. Cell Tissue Res. 2018, 374, 339–348. [Google Scholar] [CrossRef]
- Wang, Y.; Yang, Z.; Zhou, Y.; Tan, J.; Sun, H.; Sun, D.; Mu, Y.; Peng, J.; Wei, H. Effects of Different Amino Acid Levels and a Carvacrol–Thymol Blend on Growth Performance and Intestinal Health of Weaned Pigs. J. Anim. Sci. Biotechnol. 2022, 13, 22. [Google Scholar] [CrossRef]
- Cheng, C.; Wei, H.; Xu, C.; Xie, X.; Jiang, S.; Peng, J. Maternal Soluble Fiber Diet during Pregnancy Changes the Intestinal Microbiota, Improves Growth Performance, and Reduces Intestinal Permeability in Piglets. Appl. Environ. Microbiol. 2018, 84, e01047-18. [Google Scholar] [CrossRef] [PubMed]
- Xu, S.; Shi, J.; Dong, Y.; Li, Z.; Wu, X.; Lin, Y.; Che, L.; Li, J.; Feng, B.; Fang, Z.; et al. Fecal Bacteria and Metabolite Responses to Dietary Lysozyme in a Sow Model from Late Gestation until Lactation. Sci. Rep. 2020, 10, 3210. [Google Scholar] [CrossRef] [PubMed]
- Cheng, C.; Wu, X.; Zhang, X.; Zhang, X.; Peng, J. Obesity of Sows at Late Pregnancy Aggravates Metabolic Disorder of Perinatal Sows and Affects Performance and Intestinal Health of Piglets. Animals 2020, 10, 49. [Google Scholar] [CrossRef]
- Cheng, C.; Wei, H.; Yu, H.; Xu, C.; Jiang, S.; Peng, J. Metabolic Syndrome during Perinatal Period in Sows and the Link with Gut Microbiota and Metabolites. Front. Microbiol. 2018, 9, 1989. [Google Scholar] [CrossRef] [PubMed]
- Adlerova, L.; Bartoskova, A.; Faldyna, M. Lactoferrin: A Review. Vet. Med. 2008, 53, 457–468. [Google Scholar] [CrossRef]
- Legrand, D.; Mazurier, J. A Critical Review of the Roles of Host Lactoferrin in Immunity. BioMetals 2010, 23, 365–376. [Google Scholar] [CrossRef]
- Buderus, S.; Boone, J.H.; Lentze, M.J. Fecal Lactoferrin: Reliable Biomarker for Intestinal Inflammation in Pediatric IBD. Gastroenterol. Res. Pract. 2015, 2015, 578527. [Google Scholar] [CrossRef]
- Sipponen, T. Diagnostics and Prognostics of Inflammatory Bowel Disease with Fecal Neutrophil-Derived Biomarkers Calprotectin and Lactoferrin. Dig. Dis. 2013, 31, 336–344. [Google Scholar] [CrossRef]
- Gisbert, J.P.; McNicholl, A.G.; Gomollon, F. Questions and Answers on the Role of Fecal Lactoferrin as a Biological Marker in Inflammatory Bowel Disease. Inflamm. Bowel Dis. 2009, 15, 1746–1754. [Google Scholar] [CrossRef]
- Hansberry, D.R.; Shah, K.; Agarwal, P.; Agarwal, N. Fecal Myeloperoxidase as a Biomarker for Inflammatory Bowel Disease. Cureus 2017, 9, e1004. [Google Scholar] [CrossRef]
- Huang, J.; Milton, A.; Arnold, R.D.; Huang, H.; Smith, F.; Panizzi, J.R.; Panizzi, P. Methods for Measuring Myeloperoxidase Activity toward Assessing Inhibitor Efficacy in Living Systems. J. Leukoc. Biol. 2016, 99, 541–548. [Google Scholar] [CrossRef] [PubMed]
- Klebanoff, S.J.; Kettle, A.J.; Rosen, H.; Winterbourn, C.C.; Nauseef, W.M. Myeloperoxidase: A Front-Line Defender against Phagocytosed Microorganisms. J. Leukoc. Biol. 2013, 93, 185–198. [Google Scholar] [CrossRef] [PubMed]
- Masoodi, I.; Kochhar, R.; Dutta, U.; Vaishnavi, C.; Prasad, K.K.; Vaiphei, K.; Kaur, S.; Singh, K. Fecal Lactoferrin, Myeloperoxidase and Serum C-Reactive Are Effective Biomarkers in the Assessment of Disease Activity and Severity in Patients with Idiopathic Ulcerative Colitis. J. Gastroenterol. Hepatol. 2009, 24, 1768–1774. [Google Scholar] [CrossRef]
- Hanifeh, M.; Sankari, S.; Rajamäki, M.M.; Syrjä, P.; Kilpinen, S.; Suchodolski, J.S.; Heilmann, R.M.; Guadiano, P.; Lidbury, J.; Steiner, J.M.; et al. S100A12 Concentrations and Myeloperoxidase Activities Are Increased in the Intestinal Mucosa of Dogs with Chronic Enteropathies. BMC Vet. Res. 2018, 14, 125. [Google Scholar] [CrossRef]
- Masoodi, I.; Dutta, U.; Vaiphei, K.; Kochhar, R.; Vaishnavi, C.; Hussain, S.; Prasad, K.K.; Singh, K. Evaluation of Fecal Myeloperoxidase as a Biomarker of Disease Activity and Severity in Ulcerative Colitis. Dig. Dis. Sci. 2012, 57, 1336–1340. [Google Scholar] [CrossRef] [PubMed]
- Yi, D.; Liu, W.; Hou, Y.; Wang, L.; Zhao, D.; Wu, T.; Ding, B.; Guoyao, W. Establishment of a Porcine Model of Indomethacin-Induced Intestinal Injury. Front. Biosci. Landmark 2018, 23, 2166–2176. [Google Scholar] [CrossRef]
- Khan, A.; Alsahli, M.; Rahmani, A. Myeloperoxidase as an Active Disease Biomarker: Recent Biochemical and Pathological Perspectives. Med. Sci. 2018, 6, 33. [Google Scholar] [CrossRef]
- Olza, J.; Aguilera, C.M.; Gil-Campos, M.; Leis, R.; Bueno, G.; Martínez-Jiménez, M.D.; Valle, M.; Canẽte, R.; Tojo, R.; Moreno, L.A.; et al. Myeloperoxidase Is an Early Biomarker of Inflammation and Cardiovascular Risk in Prepubertal Obese Children. Diabetes Care 2012, 35, 2373–2376. [Google Scholar] [CrossRef]
- Schindhelm, R.K.; van der Zwan, L.P.; Teerlink, T.; Scheffer, P.G. Myeloperoxidase: A Useful Biomarker for Cardiovascular Disease Risk Stratification? Clin. Chem. 2009, 55, 1462–1470. [Google Scholar] [CrossRef]
- Berdowska, A.; Zwirska-Korczala, K. Neopterin Measurement in Clinical Diagnosis. J. Clin. Pharm. Ther. 2001, 26, 319–329. [Google Scholar] [CrossRef]
- Fuchs, D.; Weiss, G.; Wachter, H. Neopterin, Biochemistry and Clinical Use as a Marker for Cellular Immune Reactions. Int. Arch. Allergy Immunol. 1993, 101, 236491. [Google Scholar] [CrossRef] [PubMed]
- Hoffmann, G.; Wirleitner, B.; Fuchs, D. Potential Role of Immune System Activation-Associated Production of Neopterin Derivatives in Humans. Inflamm. Res. 2003, 52, 313–321. [Google Scholar] [CrossRef] [PubMed]
- Husain, N.; Tokoro, K.; Popov, J.M.; Naides, S.J.; Kwasny, M.J.; Buchman, A.L. Neopterin Concentration as an Index of Disease Activity in Crohn’s Disease and Ulcerative Colitis. J. Clin. Gastroenterol. 2013, 47, 246–251. [Google Scholar] [CrossRef] [PubMed]
- Nancey, S.; Boschetti, G.; Moussata, D.; Cotte, E.; Peyras, J.; Cuerq, C.; Haybrard, J.; Charlois, A.L.; Mialon, A.; Chauvenet, M.; et al. Neopterin Is a Novel Reliable Fecal Marker as Accurate as Calprotectin for Predicting Endoscopic Disease Activity in Patients with Inflammatory Bowel Diseases. Inflamm. Bowel Dis. 2013, 19, 1043–1052. [Google Scholar] [CrossRef]
- Maršálek, P.; Svoboda, M.; Smutná, M.; Blahová, J.; Večerek, V. Neopterin and Biopterin as Biomarkers of Immune System Activation Associated with Castration in Piglets. J. Anim. Sci. 2011, 89, 1758–1762. [Google Scholar] [CrossRef][Green Version]
- Maršálek, P.; Svoboda, M.; Bernardy, J.; Večerek, V. Concentrations of Neopterin, Biopterin, and Cortisol Associated with Surgical Castration of Piglets with Lidocaine. Czech J. Anim. Sci. 2015, 60, 473–478. [Google Scholar] [CrossRef]
- Murray, M.; Coughlan, M.T.; Gibbon, A.; Kumar, V.; Marques, F.Z.; Selby-Pham, S.; Snelson, M.; Tsyganov, K.; Williamson, G.; Woodruff, T.M.; et al. Reduced Growth, Altered Gut Microbiome and Metabolite Profile, and Increased Chronic Kidney Disease Risk in Young Pigs Consuming a Diet Containing Highly Resistant Protein. Front. Nutr. 2022, 9, 816749. [Google Scholar] [CrossRef]
- Altindag, Z.Z.; Baydar, T.; Isimer, A.; Sahin, G. Neopterin as a New Biomarker for the Evaluation of Occupational Exposure to Silica. Int. Arch. Occup. Environ. Health 2003, 76, 318–322. [Google Scholar] [CrossRef]
- Firoz, C.K.; Jabir, N.R.; Kamal, M.A.; Alama, M.N.; Damanhouri, G.A.; Khan, W.; Alzahrani, A.S.; Almehdar, H.A.; Tabrez, S. Neopterin: An Immune Biomarker of Coronary Artery Disease and Its Association with Other CAD Markers. IUBMB Life 2015, 67, 453–459. [Google Scholar] [CrossRef]
- Baydar, T.; Yuksel, O.; Sahin, T.T.; Dikmen, K.; Girgin, G.; Sipahi, H.; Kurukahvecioglu, O.; Bostanci, H.; Sare, M. Neopterin as a Prognostic Biomarker in Intensive Care Unit Patients. J. Crit. Care 2009, 24, 318–321. [Google Scholar] [CrossRef]
- Melichar, B.; Spisarová, M.; Bartoušková, M.; Krcmová, L.K.; Javorská, L.; Študentová, H. Neopterin as a Biomarker of Immune Response in Cancer Patients. Ann. Transl. Med. 2017, 5, 280. [Google Scholar] [CrossRef] [PubMed]
- de Rosa, S.; Cirillo, P.; Pacileo, M.; Petrillo, G.; D’ascoli, G.-L.; Maresca, F.; Ziviello, F.; Chiariello, M. Neopterin: From Forgotten Biomarker to Leading Actor in Cardiovascular Pathophysiology. Curr. Vasc. Pharmacol. 2011, 9, 188–199. [Google Scholar] [CrossRef] [PubMed]
- Glatz, J.F.C.; van der Vusse, G.J. Cellular fatty acid-binding proteins: Their function and physiological significance. Prog. Lipid Res. 1996, 35, 243–282. [Google Scholar] [CrossRef]
- Pott, J.; Hornef, M. Innate Immune Signalling at the Intestinal Epithelium in Homeostasis and Disease. EMBO Rep. 2012, 13, 684–698. [Google Scholar] [CrossRef] [PubMed]
- Lau, E.; Marques, C.; Pestana, D.; Santoalha, M.; Carvalho, D.; Freitas, P.; Calhau, C. The Role of I-FABP as a Biomarker of Intestinal Barrier Dysfunction Driven by Gut Microbiota Changes in Obesity. Nutr. Metab. 2016, 13, 31. [Google Scholar] [CrossRef]
- Pelsers, M.M.A.L.; Namiot, Z.; Kisielewski, W.; Namiot, A.; Januszkiewicz, M.; Hermens, W.T.; Glatz, J.F.C. Intestinal-Type and Liver-Type Fatty Acid-Binding Protein in the Intestine. Tissue Distribution and Clinical Utility. Clin. Biochem. 2003, 36, 529–535. [Google Scholar] [CrossRef]
- Ockner, R.K.; Manning, J.A. Fatty Acid Binding Protein in Small Intestine. Identification, Isolation, and Evidence for Its Role in Cellular Fatty Acid Transport. J. Clin. Investig. 1974, 54, 326–338. [Google Scholar] [CrossRef]
- Kano, H.; Okada, K.; Morimoto, K.; Bao, W.; Fukase, K.; Ito, A.; Okita, Y. Prediction of Reversibility of Intestinal Mucosal Damage after Ischemia-Reperfusion Injury by Plasma Intestinal Fatty Acid-Binding Protein Levels in Pigs. Perfusion 2015, 30, 617–625. [Google Scholar] [CrossRef]
- López-Colom, P.; Yu, K.; Barba-Vidal, E.; Saco, Y.; Martín-Orúe, S.M.; Castillejos, L.; Solà-Oriol, D.; Bassols, A. I-FABP, Pig-MAP and TNF-α as Biomarkers for Monitoring Gut-Wall Integrity in Front of Salmonella Typhimurium and ETEC K88 Infection in a Weaned Piglet Model. Res. Vet. Sci. 2019, 124, 426–432. [Google Scholar] [CrossRef]
- Niewold, T.A.; Meinen, M.; van der Meulen, J. Plasma Intestinal Fatty Acid Binding Protein (I-FABP) Concentrations Increase Following Intestinal Ischemia in Pigs. Res. Vet. Sci. 2004, 77, 89–91. [Google Scholar] [CrossRef]
- Zhang, Q.; Wu, T.; Li, S.; Meng, Y.; Tan, Z.; Wu, M.; Yi, D.; Wang, L.; Zhao, D.; Hou, Y. Protective Effect of Zinc Oxide and Its Association with Neutrophil Degranulation in Piglets Infected with Porcine Epidemic Diarrhea Virus. Oxid. Med. Cell Longev. 2021, 2021, 3055810. [Google Scholar] [CrossRef] [PubMed]
- Liu, Y.; Xu, Q.; Wang, Y.; Liang, T.; Li, X.; Wang, D.; Wang, X.; Zhu, H.; Xiao, K. Necroptosis Is Active and Contributes to Intestinal Injury in a Piglet Model with Lipopolysaccharide Challenge. Cell Death Dis. 2021, 12, 62. [Google Scholar] [CrossRef] [PubMed]
- Güzel, M.; Sözüer, E.M.; Salt, Ö.; İkizceli, İ.; Akdur, O.; Yazıcı, C. The Value of the Serum I-FABP Level for Diagnosing Acute Mesenteric Ischemia. Surg. Today 2014, 44, 2072–2076. [Google Scholar] [CrossRef] [PubMed]
- Cahyaningsih, U.; Satyaningtijas, A.S.; Tarigan, R.; Nugraha, A.B. Chicken I-FABP as Biomarker of Chicken Intestinal Lesion Caused by Coccidiosis. IOP Conf. Ser. Earth Environ. Sci. 2018, 196, 012032. [Google Scholar] [CrossRef]
- Li, L.; Wang, M.; Chen, J.; Xu, Z.; Wang, S.; Xia, X.; Liu, D.; Wang, S.; Xie, C.; Wu, J.; et al. Preventive Effects of Bacillus Licheniformis on Heat Stroke in Rats by Sustaining Intestinal Barrier Function and Modulating Gut Microbiota. Front. Microbiol. 2021, 12, 630841. [Google Scholar] [CrossRef]
- McGrath, A.P.; Hilmer, K.M.; Collyer, C.A.; Shepard, E.M.; Elmore, B.O.; Brown, D.E.; Dooley, D.M.; Guss, J.M. Structure and Inhibition of Human Diamine Oxidase. Biochemistry 2009, 48, 9810–9822. [Google Scholar] [CrossRef]
- Luk, G.D.; Bayless, T.M.; Baylin, S.B. Plasma Postheparin Diamine Oxidase Sensitive Provocative Test for Quantitating Length of Acute Intestinal Mucosal Injury in the Rat. J. Clin. Investig. 1983, 71, 1308–1315. [Google Scholar] [CrossRef]
- Wolvekamp, M.C.J.; Bruin, R.W.F. Diamine Oxidase: An Overview of Historical, Biochemical and Functional Aspects. Dig. Dis. 1994, 12, 2–14. [Google Scholar] [CrossRef]
- Dieryck, I.; de Backere, J.; Paeshuyse, J. Effect of Hatching System and Prophylactic Antibiotic Use on Serum Levels of Intestinal Health Biomarker Diamine Oxidase in Broilers at an Early Age. Animal 2022, 16, 100493. [Google Scholar] [CrossRef]
- Tsunooka, N.; Maeyama, K.; Nakagawa, H.; Doi, T.; Horiuchi, A.; Miyauchi, K.; Watanabe, Y.; Imagawa, H.; Kawachi, K. Localization and Changes of Diamine Oxidase during Cardiopulmonary Bypass in Rabbits. J. Surg. Res. 2006, 131, 58–63. [Google Scholar] [CrossRef]
- Song, Z.; Cheng, K.; Zhang, L.; Wang, T. Dietary Supplementation of Enzymatically Treated Artemisia Annua Could Alleviate the Intestinal Inflammatory Response in Heat-Stressed Broilers. J. Therm. Biol. 2017, 69, 184–190. [Google Scholar] [CrossRef] [PubMed]
- Zhang, L.; Zhang, L.; Zhan, X.; Zeng, X.; Zhou, L.; Cao, G.; Chen, A.; Yang, C. Effects of Dietary Supplementation of Probiotic, Clostridium Butyricum, on Growth Performance, Immune Response, Intestinal Barrier Function, and Digestive Enzyme Activity in Broiler Chickens Challenged with Escherichia coli K88. J. Anim. Sci. Biotechnol. 2016, 7, 3. [Google Scholar] [CrossRef] [PubMed]
- Liu, N.; Wang, J.Q.; Jia, S.C.; Chen, Y.K.; Wang, J.P. Effect of Yeast Cell Wall on the Growth Performance and Gut Health of Broilers Challenged with Aflatoxin B 1 and Necrotic Enteritis. Poult. Sci. 2018, 97, 477–484. [Google Scholar] [CrossRef] [PubMed]
- Liu, Y.; Chen, F.; Odle, J.; Lin, X.; Jacobi, S.K.; Zhu, H.; Wu, Z.; Hou, Y. Fish Oil Enhances Intestinal Integrity and Inhibits TLR4 and NOD2 Signaling Pathways in Weaned Pigs after LPS Challenge. J. Nutr. 2012, 142, 2017–2024. [Google Scholar] [CrossRef]
- Hou, Y.; Wang, L.; Zhang, W.; Yang, Z.; Ding, B.; Zhu, H.; Liu, Y.; Qiu, Y.; Yin, Y.; Wu, G. Protective Effects of N-Acetylcysteine on Intestinal Functions of Piglets Challenged with Lipopolysaccharide. Amino Acids 2012, 43, 1233–1242. [Google Scholar] [CrossRef]
- Wang, L.; Zhou, J.; Hou, Y.; Yi, D.; Ding, B.; Xie, J.; Zhang, Y.; Chen, H.; Wu, T.; Zhao, D.; et al. N-Acetylcysteine Supplementation Alleviates Intestinal Injury in Piglets Infected by Porcine Epidemic Diarrhea Virus. Amino Acids 2017, 49, 1931–1943. [Google Scholar] [CrossRef]
- Zhang, J.; Zhao, D.; Yi, D.; Wu, M.; Chen, H.; Wu, T.; Zhou, J.; Li, P.; Hou, Y.; Wu, G. Microarray Analysis Reveals the Inhibition of Intestinal Expression of Nutrient Transporters in Piglets Infected with Porcine Epidemic Diarrhea Virus. Sci. Rep. 2019, 9, 19798. [Google Scholar] [CrossRef]
- Çakmaz, R.; Büyükaşik, O.; Kahramansoy, N.; Erkol, H.; Çöl, C.; Boran, Ç.; Buǧdayci, G. A Combination of Plasma DAO and Citrulline Levels as a Potential Marker for Acute Mesenteric Ischemia. Libyan J. Med. 2013, 8, 20596. [Google Scholar] [CrossRef]
- Wang, S.; Yang, J.; Zhang, B.; Wu, K.; Yang, A.; Li, C.; Zhang, J.; Zhang, C.; Rajput, S.A.; Zhang, N.; et al. Deoxynivalenol Impairs Porcine Intestinal Host Defense Peptide Expression in Weaned Piglets and IPEC-J2 Cells. Toxins 2018, 10, 541. [Google Scholar] [CrossRef]
- Crenn, P.; Messing, B.; Cynober, L. Citrulline as a Biomarker of Intestinal Failure Due to Enterocyte Mass Reduction. Clin. Nutr. 2008, 27, 328–339. [Google Scholar] [CrossRef]
- Wu, G.; Knabe, D.A.; Flynn, N.E. Synthesis of Citrulline from Glutamine in Pig Enterocytes. Biochem. J. 1994, 299, 115–121. [Google Scholar] [CrossRef]
- Barzał, J.A.; Szczylik, C.; Rzepecki, P.; Jaworska, M.; Anuszewska, E. Plasma Citrulline Level as a Biomarker for Cancer Therapy-Induced Small Bowel Mucosal Damage. Acta Biochim. Pol. 2014, 61, 615–631. [Google Scholar] [CrossRef]
- Ye, F.; Ning, J.; Fardous, Z.; Katsube, T.; Li, Q.; Wang, B. Citrulline, A Potential Biomarker of Radiation-Induced Small Intestine Damage. Dose-Response 2020, 18, 1559325820962341. [Google Scholar] [CrossRef] [PubMed]
- van der Velden, W.J.F.M.; Herbers, A.H.E.; Brüggemann, R.J.M.; Feuth, T.; Peter Donnelly, J.; Blijlevens, N.M.A. Citrulline and Albumin as Biomarkers for Gastrointestinal Mucositis in Recipients of Hematopoietic SCT. Bone Marrow Transpl. 2013, 48, 977–981. [Google Scholar] [CrossRef]
- Lutgens, L.; Lambin, P.; Com, W. Biomarkers for Radiation-Induced Small Bowel Epithelial Damage: An Emerging Role for Plasma Citrulline. World J. Gastroenterol. 2007, 13, 3033–3042. [Google Scholar] [CrossRef] [PubMed]
- Jäckel, S.; Pipp, F.C.; Emde, B.; Weigt, S.; Vigna, E.; Hanschke, B.; Kasper, L.; Siddharta, A.; Hellmann, J.; Czasch, S.; et al. L-Citrulline: A Preclinical Safety Biomarker for the Small Intestine in Rats and Dogs in Repeat Dose Toxicity Studies. J. Pharmacol. Toxicol. Methods 2021, 111, 107110. [Google Scholar] [CrossRef] [PubMed]
- Shin, S.; Jeong, H.M.; Chung, S.E.; Kim, T.H.; Thapa, S.K.; Lee, D.Y.; Song, C.H.; Lim, J.Y.; Cho, S.M.; Nam, K.Y.; et al. Simultaneous Analysis of Acetylcarnitine, Proline, Hydroxyproline, Citrulline, and Arginine as Potential Plasma Biomarkers to Evaluate NSAIDs-Induced Gastric Injury by Liquid Chromatography–Tandem Mass Spectrometry. J. Pharm. Biomed. Anal. 2019, 165, 101–111. [Google Scholar] [CrossRef]
- Sacoor, C.; Barros, L.M.; Montezinho, L. What Are the Potential Biomarkers That Should Be Considered in Diagnosing and Managing Canine Chronic Inflammatory Enteropathies? Open Vet. J. 2020, 10, 412–430. [Google Scholar] [CrossRef]
- Gerou-Ferriani, M.; Allen, R.; Noble, P.J.M.; German, A.J.; Caldin, M.; Batchelor, D.J. Determining Optimal Therapy of Dogs with Chronic Enteropathy by Measurement of Serum Citrulline. J. Vet. Intern. Med. 2018, 32, 993–998. [Google Scholar] [CrossRef]
- Fasano, A. Zonulin, Regulation of Tight Junctions, and Autoimmune Diseases. Ann. N. Y. Acad. Sci. 2012, 1258, 25–33. [Google Scholar] [CrossRef]
- Vanuytsel, T.; Vermeire, S.; Cleynen, I. The Role of Haptoglobin and Its Related Protein, Zonulin, in Inflammatory Bowel Disease. Tissue Barriers 2013, 1, 27321. [Google Scholar] [CrossRef]
- el Asmar, R.; Panigrahi, P.; Bamford, P.; Berti, I.; Not, T.; Coppa, G.V.; Catassi, C.; Fasano, A. Host-Dependent Zonulin Secretion Causes the Impairment of the Small Intestine Barrier Function after Bacterial Exposure. Gastroenterology 2002, 123, 1607–1615. [Google Scholar] [CrossRef] [PubMed]
- Clemente, M.G.; de Virgiliis, S.; Kang, J.S.; Macatagney, R.; Musu, M.P.; di Pierro, M.R. Early Effects of Gliadin on Enterocyte Intracellular Signalling Involved in Intestinal Barrier Function. Gut 2003, 52, 218–223. [Google Scholar] [CrossRef] [PubMed]
- Fasano, A. Intestinal Permeability and Its Regulation by Zonulin: Diagnostic and Therapeutic Implications. Clin. Gastroenterol. Hepatol. 2012, 10, 1096–1100. [Google Scholar] [CrossRef]
- Malíčková, K.; Francová, I.; Lukáš, M.; Kolář, M.; Králíková, E.; Bortlík, M.; Ďuricová, D.; Štěpánková, L.; Zvolská, K.; Pánková, A.; et al. Fecal Zonulin Is Elevated in Crohn’s Disease and in Cigarette Smokers. Pract. Lab. Med. 2017, 9, 39–44. [Google Scholar] [CrossRef]
- Szymanska, E.; Wierzbicka, A.; Dadalski, M.; Kierkus, J. Fecal Zonulin as a Noninvasive Biomarker of Intestinal Permeability in Pediatric Patients with Inflammatory Bowel Diseases—Correlation with Disease Activity and Fecal Calprotectin. J. Clin. Med. 2021, 10, 3905. [Google Scholar] [CrossRef]
- Rossi, G.; Gavazza, A.; Vincenzetti, S.; Mangiaterra, S.; Galosi, L.; Marchegiani, A.; Pengo, G.; Sagratini, G.; Ricciutelli, M.; Cerquetella, M. Clinicopathological and Fecal Proteome Evaluations in 16 Dogs Presenting Chronic Diarrhea Associated with Lymphangiectasia. Vet. Sci. 2021, 8, 242. [Google Scholar] [CrossRef]
- Meineri, G.; Martello, E.; Atuahene, D.; Miretti, S.; Stefanon, B.; Sandri, M.; Biasato, I.; Corvaglia, M.R.; Ferrocino, I.; Cocolin, L.S. Effects of Saccharomyces Boulardii Supplementation on Nutritional Status, Fecal Parameters, Microbiota, and Mycobiota in Breeding Adult Dogs. Vet. Sci. 2022, 9, 389. [Google Scholar] [CrossRef]
- Ohlsson, B.; Roth, B.; Larsson, E.; Höglund, P. Calprotectin in Serum and Zonulin in Serum and Feces Are Elevated after Introduction of a Diet with Lower Carbohydrate Content and Higher Fiber, Fat and Protein Contents. Biomed. Rep. 2017, 6, 411–422. [Google Scholar] [CrossRef]
- Damms-Machado, A.; Louis, S.; Schnitzer, A.; Volynets, V.; Rings, A.; Basrai, M.; Bischoff, S.C. Gut Permeability Is Related to Body Weight, Fatty Liver Disease, and Insulin Resistance in Obese Individuals Undergoing Weight Reduction. Am. J. Clin. Nutr. 2017, 105, 127–135. [Google Scholar] [CrossRef]
- Xiong, W.; Ma, H.; Zhang, Z.; Jin, M.; Wang, J.; Xu, Y.; Wang, Z. Icariin Enhances Intestinal Barrier Function by Inhibiting NF-ΚB Signaling Pathways and Modulating Gut Microbiota in a Piglet Model. RSC Adv. 2019, 9, 37947–37956. [Google Scholar] [CrossRef] [PubMed]
- Xu, Y.; Li, Y.; Scott, K.; Lindh, C.H.; Jakobsson, K.; Fletcher, T.; Ohlsson, B.; Andersson, E.M. Inflammatory Bowel Disease and Biomarkers of Gut Inflammation and Permeability in a Community with High Exposure to Perfluoroalkyl Substances through Drinking Water. Environ. Res. 2020, 181, 108923. [Google Scholar] [CrossRef] [PubMed]
- Raetz, C.R.H.; Whitfield, C. Lipopolysaccharide Endotoxins. Annu. Rev. Biochem. 2002, 71, 635–700. [Google Scholar] [CrossRef]
- Sulc, R.; Szekely, G.; Shinde, S.; Wierzbicka, C.; Vilela, F.; Bauer, D.; Sellergren, B. Phospholipid Imprinted Polymers as Selective Endotoxin Scavengers. Sci. Rep. 2017, 7, 44299. [Google Scholar] [CrossRef]
- Cheng, C.S.; Wei, H.K.; Wang, P.; Yu, H.C.; Zhang, X.M.; Jiang, S.W.; Peng, J. Early Intervention with Faecal Microbiota Transplantation: An Effective Means to Improve Growth Performance and the Intestinal Development of Suckling Piglets. Animal 2019, 13, 533–541. [Google Scholar] [CrossRef] [PubMed]
- Xiong, W.; Huang, J.; Li, X.; Zhang, Z.; Jin, M.; Wang, J.; Xu, Y.; Wang, Z. Icariin and Its Phosphorylated Derivatives Alleviate Intestinal Epithelial Barrier Disruption Caused by Enterotoxigenic Escherichia coli through Modulate P38 MAPK in Vivo and in Vitro. FASEB J. 2020, 34, 1783–1801. [Google Scholar] [CrossRef] [PubMed]
- Hall, D.M.; Buettner, G.R.; Oberley, L.W.; Xu, L.; Matthes, R.D.; Gisolfi, C.V.; Hall, D.M. Mechanisms of Circulatory and Intestinal Barrier Dysfunction during Whole Body Hyperthermia. Am. J. Physiol. Heart Circ. Physiol. 2001, 280, 509–521. [Google Scholar] [CrossRef]
- Liu, B.; Zhu, X.; Cui, Y.; Wang, W.; Liu, H.; Li, Z.; Guo, Z.; Ma, S.; Li, D.; Wang, C.; et al. Consumption of Dietary Fiber from Different Sources during Pregnancy Alters Sow Gut Microbiota and Improves Performance and Reduces Inflammation in Sows and Piglets. mSystems 2022, 6, 00591-20. [Google Scholar] [CrossRef]
- Mokkala, K.; Pellonperä, O.; Röytiö, H.; Pussinen, P.; Rönnemaa, T.; Laitinen, K. Increased Intestinal Permeability, Measured by Serum Zonulin, Is Associated with Metabolic Risk Markers in Overweight Pregnant Women. Metabolism 2017, 69, 43–50. [Google Scholar] [CrossRef]
- Ewaschuk, J.B.; Naylor, J.M.; Zello, G.A. D-Lactate in Human and Ruminant Metabolism. J. Nutr. 2005, 135, 1619–1625. [Google Scholar] [CrossRef]
- Montagnana, M.; Danese, E.; Lippi, G. Biochemical Markers of Acute Intestinal Ischemia: Possibilities and Limitations. Ann. Transl. Med. 2018, 6, 341. [Google Scholar] [CrossRef] [PubMed]
- Shi, H.; Wu, B.; Wan, J.; Liu, W.; Su, B. The Role of Serum Intestinal Fatty Acid Binding Protein Levels and D-Lactate Levels in the Diagnosis of Acute Intestinal Ischemia. Clin. Res. Hepatol. Gastroenterol. 2015, 39, 373–378. [Google Scholar] [CrossRef] [PubMed]
- Nielsen, C.; Kirkegård, J.; Erlandsen, E.J.; Lindholt, J.S.; Mortensen, F.v. D-Lactate Is a Valid Biomarker of Intestinal Ischemia Induced by Abdominal Compartment Syndrome. J. Surg. Res. 2015, 194, 400–404. [Google Scholar] [CrossRef]
- Nielsen, C.; Lindholt, J.S.; Erlandsen, E.J.; Mortensen, F.v. D-Lactate as a Marker of Venous-Induced Intestinal Ischemia: An Experimental Study in Pigs. Int. J. Surg. 2011, 9, 428–432. [Google Scholar] [CrossRef]
- Zhao, W.; Yuan, M.; Li, P.; Yan, H.; Zhang, H.; Liu, J. Short-Chain Fructo-Oligosaccharides Enhances Intestinal Barrier Function by Attenuating Mucosa Inflammation and Altering Colonic Microbiota Composition of Weaning Piglets. Ital. J. Anim. Sci. 2019, 18, 976–986. [Google Scholar] [CrossRef]
- Wang, Y.; Wang, W.; Wang, R.; Hao, X.; Duan, Y.; Meng, Z.; An, X.; Qi, J. Dietary Fermented Soybean Meal Inclusion Improves Growth Performance and Ileal Barrier Function of the Weaned Piglets Challenged by Enterotoxigenic Escherichia coli K88. Anim. Feed Sci. Technol. 2020, 268, 114596. [Google Scholar] [CrossRef]
- Wu, M.; Xiao, H.; Ren, W.; Yin, J.; Tan, B.; Liu, G.; Li, L.; Nyachoti, C.M.; Xiong, X.; Wu, G. Therapeutic Effects of Glutamic Acid in Piglets Challenged with Deoxynivalenol. PLoS ONE 2014, 9, e0100591. [Google Scholar] [CrossRef]
- Zhang, H.; Chen, Y.; Chen, Y.; Ji, S.; Jia, P.; Li, Y.; Wang, T. Comparison of the Protective Effects of Resveratrol and Pterostilbene against Intestinal Damage and Redox Imbalance in Weanling Piglets. J. Anim. Sci. Biotechnol. 2020, 11, 52. [Google Scholar] [CrossRef]
- Prakash, N.; Stumbles, P.; Mansfield, C.S. Concentrations of Interleukin-6, -8, -10 and Tumour Necrosis Factor-α in the Faeces of Dogs with Acute Diarrhoea. N. Z. Vet. J. 2019, 67, 138–142. [Google Scholar] [CrossRef]
- El, M.; Zaki, S.; Latif Alsayed, M.A.; Shrief, R. Study of the Diagnostic Value of Interleukin-6 and Interleukin-8 in Children with Acute Gastroenteritis. Germs 2020, 10, 27–33. [Google Scholar] [CrossRef]
- El Feghaly, R.E.; Stauber, J.L.; Tarr, P.I.; Haslam, D.B. Intestinal Inflammatory Biomarkers and Outcome in Pediatric Clostridium Difficile Infections. J. Pediatr. 2013, 163, 1697–1704.e2. [Google Scholar] [CrossRef] [PubMed]
- O’Neill, L.A.J.; Kishton, R.J.; Rathmell, J. A Guide to Immunometabolism for Immunologists. Nat. Rev. Immunol. 2016, 16, 553–565. [Google Scholar] [CrossRef] [PubMed]
- Donohoe, D.R.; Bultman, S.J. Metaboloepigenetics: Interrelationships between Energy Metabolism and Epigenetic Control of Gene Expression. J. Cell Physiol. 2012, 227, 3169–3177. [Google Scholar] [CrossRef] [PubMed]
- Shen, W.; Gao, C.; Cueto, R.; Liu, L.; Fu, H.; Shao, Y.; Yang, W.Y.; Fang, P.; Choi, E.T.; Wu, Q.; et al. Homocysteine-Methionine Cycle Is a Metabolic Sensor System Controlling Methylation-Regulated Pathological Signaling. Redox Biol. 2020, 28, 101322. [Google Scholar] [CrossRef]
- Jung, J.; Zeng, H.; Horng, T. Metabolism as a Guiding Force for Immunity. Nat. Cell Biol. 2019, 21, 85–93. [Google Scholar] [CrossRef]
- Soto-Heredero, G.; Gómez de las Heras, M.M.; Gabandé-Rodríguez, E.; Oller, J.; Mittelbrunn, M. Glycolysis–a Key Player in the Inflammatory Response. FEBS J. 2020, 287, 3350–3369. [Google Scholar] [CrossRef]
- Zasłona, Z.; O’Neill, L.A.J. Cytokine-like Roles for Metabolites in Immunity. Mol. Cell 2020, 78, 814–823. [Google Scholar] [CrossRef]
- Chauhan, P.; Saha, B. Metabolic Regulation of Infection and Inflammation. Cytokine 2018, 112, 1–11. [Google Scholar] [CrossRef]
- McGettrick, A.F.; O’Neill, L.A.J. The Role of HIF in Immunity and Inflammation. Cell Metab. 2020, 32, 524–536. [Google Scholar] [CrossRef]
- Pålsson-McDermott, E.M.; O’Neill, L.A.J. Targeting Immunometabolism as an Anti-Inflammatory Strategy. Cell Res. 2020, 30, 300–314. [Google Scholar] [CrossRef]
- Ryan, D.G.; O’neill, L.A.J. Krebs Cycle Reborn in Macrophage Immunometabolism. Annu. Rev. Immunol. 2020, 38, 289–313. [Google Scholar] [CrossRef] [PubMed]
- Harber, K.J.; de Goede, K.E.; Verberk, S.G.S.; Meinster, E.; de Vries, H.E.; van Weeghel, M.; de Winther, M.P.J.; van den Bossche, J. Succinate Is an Inflammation-Induced Immunoregulatory Metabolite in Macrophages. Metabolites 2020, 10, 372. [Google Scholar] [CrossRef] [PubMed]
- Fortuny, L.; Sebastián, C. Sirtuins as Metabolic Regulators of Immune Cells Phenotype and Function. Genes 2021, 12, 1698. [Google Scholar] [CrossRef] [PubMed]
- Peace, C.G.; O’Neill, L.A.J. The Role of Itaconate in Host Defense and Inflammation. J. Clin. Investig. 2022, 132, 148548. [Google Scholar] [CrossRef]
- Masson, N.; Ratcliffe, P.J. Hypoxia Signaling Pathways in Cancer Metabolism: The Importance of Co-Selecting Interconnected Physiological Pathways. Cancer Metab. 2014, 2, 3. [Google Scholar] [CrossRef]
- Corcoran, S.E.; O’Neill, L.A.J. HIF1α and Metabolic Reprogramming in Inflammation. J. Clin. Investig. 2016, 126, 3699–3707. [Google Scholar] [CrossRef]
- Katayama, K.; Wada, K.; Nakajima, A.; Mizuguchi, H.; Hayakawa, T.; Nakagawa, S.; Kadowaki, T.; Nagai, R.; Kamisaki, Y.; Blumberg, R.S.; et al. Basic-Alimentary Tract A Novel PPAR Gene Therapy to Control Inflammation Associated with Inflammatory Bowel Disease in a Murine Model. Gastroenterology 2003, 124, 1315–1324. [Google Scholar] [CrossRef]
- Croasdell, A.; Duffney, P.F.; Kim, N.; Lacy, S.H.; Sime, P.J.; Phipps, R.P. PPAR γ and the Innate Immune System Mediate the Resolution of Inflammation. PPAR Res. 2015, 2015, 549691. [Google Scholar] [CrossRef]
- Mauro, C.; Leow, S.C.; Anso, E.; Rocha, S.; Thotakura, A.K.; Tornatore, L.; Moretti, M.; de Smaele, E.; Beg, A.A.; Tergaonkar, V.; et al. NF-ΚB Controls Energy Homeostasis and Metabolic Adaptation by Upregulating Mitochondrial Respiration. Nat. Cell Biol. 2011, 13, 1272–1279. [Google Scholar] [CrossRef]
- Johnson, R.F.; Perkins, N.D. Nuclear Factor-ΚB, P53, and Mitochondria: Regulation of Cellular Metabolism and the Warburg Effect. Trends Biochem. Sci. 2012, 37, 317–324. [Google Scholar] [CrossRef]
- Mills, E.; O’Neill, L.A.J. Succinate: A Metabolic Signal in Inflammation. Trends Cell Biol. 2014, 24, 313–320. [Google Scholar] [CrossRef] [PubMed]
- Macias-Ceja, D.C.; Ortiz-Masiá, D.; Salvador, P.; Gisbert-Ferrándiz, L.; Hernández, C.; Hausmann, M.; Rogler, G.; Esplugues, J.V.; Hinojosa, J.; Alós, R.; et al. Succinate Receptor Mediates Intestinal Inflammation and Fibrosis. Mucosal. Immunol. 2019, 12, 178–187. [Google Scholar] [CrossRef] [PubMed]
- Zotta, A.; Zaslona, Z.; O’Neill, L.A. Is Citrate A Critical Signal in Immunity and Inflammation? J. Cell. Signal. Rev. Artic. 2020, 1, 87–96. [Google Scholar]
- Navarro, M.N.; Gómez de las Heras, M.M.; Mittelbrunn, M. Nicotinamide Adenine Dinucleotide Metabolism in the Immune Response, Autoimmunity and Inflammageing. Br. J. Pharmacol. 2022, 179, 1839–1856. [Google Scholar] [CrossRef] [PubMed]
- Rongvaux, A.; Shea, R.J.; Mulks, M.H.; Gigot, D.; Urbain, J.; Leo, O.; Andris, F. Pre-B-Cell Colony-Enhancing Factor, Whose Expression Is up-Regulated in Activated Lymphocytes, Is a Nicotinamide Phosphoribosyltransferase, a Cytosolic Enzyme Involved in NAD Biosynthesis. Eur. J. Immunol. 2002, 32, 3225–3234. [Google Scholar] [CrossRef]
- Gerner, R.R.; Klepsch, V.; Macheiner, S.; Arnhard, K.; Adolph, T.E.; Grander, C.; Wieser, V.; Pfister, A.; Moser, P.; Hermann-Kleiter, N.; et al. NAD Metabolism Fuels Human and Mouse Intestinal Inflammation. Gut 2018, 67, 1813–1823. [Google Scholar] [CrossRef]
- Vachharajani, V.T.; Liu, T.; Wang, X.; Hoth, J.J.; Yoza, B.K.; McCall, C.E. Sirtuins Link Inflammation and Metabolism. J. Immunol. Res. 2016, 2016, 8167273. [Google Scholar] [CrossRef]
- Kogut, M.H.; Genovese, K.J.; He, H.; Arsenault, R.J. AMPK and MTOR: Sensors and Regulators of Immunometabolic Changes during Salmonella Infection in the Chicken. Poult. Sci. 2016, 95, 345–353. [Google Scholar] [CrossRef]
- Proszkowiec-Weglarz, M.; Richards, M.P. 5′-AMP-Activated Protein Kinase in Avian Biology. Avian Poult. Biol. Rev. 2007, 18, 123–145. [Google Scholar] [CrossRef]
- O’Neill, L.A.J.; Grahame Hardie, D. Metabolism of Inflammation Limited by AMPK and Pseudo-Starvation. Nature 2013, 493, 346–355. [Google Scholar] [CrossRef]
- Yang, C.S.; Kim, J.J.; Lee, H.M.; Jin, H.S.; Lee, S.H.; Park, J.H.; Kim, S.J.; Kim, J.M.; Han, Y.M.; Lee, M.S.; et al. The AMPK-PPARGC1A Pathway Is Required for Antimicrobial Host Defense through Activation of Autophagy. Autophagy 2014, 10, 785–802. [Google Scholar] [CrossRef] [PubMed]
- Blagih, J.; Coulombe, F.; Vincent, E.E.; Dupuy, F.; Galicia-Vázquez, G.; Yurchenko, E.; Raissi, T.C.; van der Windt, G.J.W.; Viollet, B.; Pearce, E.L.; et al. The Energy Sensor AMPK Regulates T Cell Metabolic Adaptation and Effector Responses In Vivo. Immunity 2015, 42, 41–54. [Google Scholar] [CrossRef] [PubMed]
- Laplante, M.; Sabatini, D.M. MTOR Signaling in Growth Control and Disease. Cell 2012, 149, 274–293. [Google Scholar] [CrossRef]
- Cobbold, S.P. The MTOR Pathway and Integrating Immune Regulation. Immunology 2013, 140, 391–398. [Google Scholar] [CrossRef] [PubMed]
- Powell, J.D.; Pollizzi, K.N.; Heikamp, E.B.; Horton, M.R. Regulation of Immune Responses by MTOR. Annu. Rev. Immunol. 2012, 30, 39–68. [Google Scholar] [CrossRef]
- Battaglioni, S.; Benjamin, D.; Wälchli, M.; Maier, T.; Hall, M.N. MTOR Substrate Phosphorylation in Growth Control. Cell 2022, 185, 1814–1836. [Google Scholar] [CrossRef]


Publisher’s Note: MDPI stays neutral with regard to jurisdictional claims in published maps and institutional affiliations. |
© 2022 by the authors. Licensee MDPI, Basel, Switzerland. This article is an open access article distributed under the terms and conditions of the Creative Commons Attribution (CC BY) license (https://creativecommons.org/licenses/by/4.0/).
Share and Cite
Soares, I.; Belote, B.L.; Santin, E.; Dal Pont, G.C.; Kogut, M.H. Morphological Assessment and Biomarkers of Low-Grade, Chronic Intestinal Inflammation in Production Animals. Animals 2022, 12, 3036. https://doi.org/10.3390/ani12213036
Soares I, Belote BL, Santin E, Dal Pont GC, Kogut MH. Morphological Assessment and Biomarkers of Low-Grade, Chronic Intestinal Inflammation in Production Animals. Animals. 2022; 12(21):3036. https://doi.org/10.3390/ani12213036
Chicago/Turabian StyleSoares, Igor, Bruna L. Belote, Elizabeth Santin, Gabriela C. Dal Pont, and Michael H. Kogut. 2022. "Morphological Assessment and Biomarkers of Low-Grade, Chronic Intestinal Inflammation in Production Animals" Animals 12, no. 21: 3036. https://doi.org/10.3390/ani12213036
APA StyleSoares, I., Belote, B. L., Santin, E., Dal Pont, G. C., & Kogut, M. H. (2022). Morphological Assessment and Biomarkers of Low-Grade, Chronic Intestinal Inflammation in Production Animals. Animals, 12(21), 3036. https://doi.org/10.3390/ani12213036

