Evaluation of Protective Immune Responses Induced in BALB/c Mice and Goats by the Neospora caninum Surface SRS Proteins and Interleukin-18
Abstract
Simple Summary
Abstract
1. Introduction
2. Materials and Methods
2.1. Cells, Parasites and Experimental Animals
2.2. Recombinant Plasmid Construction
2.3. Expression and Identification of Recombinant Proteins
2.4. BALB/c Mouse Immunization and Challenge
2.4.1. Immunization of Mice
2.4.2. Detection of Antibodies
2.4.3. In Vitro Blocking Experiment with Polyclonal Antibodies
2.4.4. Detection of Cytokines
2.4.5. Neospora caninum Infection
2.5. Goats Immunization and Challenge
2.5.1. Immunization of Goats
2.5.2. Detection of Cytokines
2.5.3. N. caninum Infection of Goats

2.6. Statistical Analysis
3. Results
3.1. In Vitro Blocking Experiment with Polyclonal Antibodies
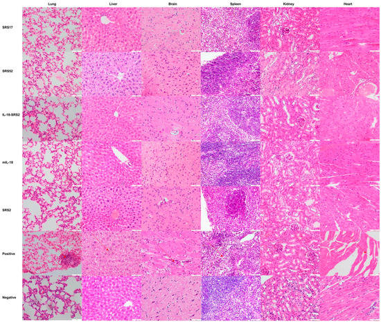
3.2. SRS17 Exerted a Better Protective Effect on Animals after N. caninum Infection
3.3. IL-18 Enhanced the Immunoprotective Effect of SRS2 and SRS17 against N. caninum Infection
4. Discussion
5. Conclusions
Author Contributions
Funding
Institutional Review Board Statement
Informed Consent Statement
Data Availability Statement
Conflicts of Interest
References
- Rico-San Roman, L.; Amieva, R.; Regidor-Cerrillo, J.; Garcia-Sanchez, M.; Collantes-Fernandez, E.; Pastor-Fernandez, I.; Saeij, J.P.J.; Ortega-Mora, L.M.; Horcajo, P. NcGRA7 and NcROP40 Play a Role in the Virulence of Neospora caninum in a Pregnant Mouse Model. Pathogens 2022, 11, 998. [Google Scholar] [CrossRef] [PubMed]
- Demattio, L.; Conejeros, I.; Grob, D.; Gartner, U.; Taubert, A.; Hermosilla, C.; Wehrend, A. Neospora caninum-induced NETosis in canine colostral polymorphonuclear neutrophils. J. Reprod Immunol. 2022, 154, 103749. [Google Scholar] [CrossRef]
- Withoeft, J.A.; Da Costa, L.S.; Marian, L.; Baumbach, L.F.; Do Canto Olegario, J.; Miletti, L.C.; Canal, C.W.; Casagrande, R.A. Microcephaly and hydrocephalus in a sheep fetus infected with Neospora caninum in Southern Brazil—Short communication. Acta Vet. Hung. 2022. [Google Scholar] [CrossRef] [PubMed]
- Asghari, A.; Kordi, B.; Maleki, B.; Majidiani, H.; Shams, M.; Naserifar, R. Neospora caninum SRS2 Protein: Essential Vaccination Targets and Biochemical Features for Next-Generation Vaccine Design. Biomed. Res. Int. 2022, 2022, 7070144. [Google Scholar] [CrossRef]
- Bezerra, M.A.; Pereira, L.M.; Bononi, A.; Biella, C.A.; Baroni, L.; Pollo-Oliveira, L.; Yatsuda, A.P. Constitutive expression and characterization of a surface SRS (NcSRS67) protein of Neospora caninum with no orthologue in Toxoplasma gondii. Parasitol. Int. 2017, 66, 173–180. [Google Scholar] [CrossRef] [PubMed]
- Bezerra, M.A.; Pereira, L.M.; Baroni, L.; Yatsuda, A.P. The soluble fraction of Neospora caninum treated with PI-PLC is dominated by NcSRS29B and NcSRS29C. Exp. Parasitol. 2019, 204, 107731. [Google Scholar] [CrossRef]
- Nazeam, J.A.; Singab, A.N.B. Immunostimulant plant proteins: Potential candidates as vaccine adjuvants. Phytother. Res. 2022. [CrossRef]
- Moreno Amor, A.L.; Santos, L.N.; Alcantara Galvao, A.; Medeiros de Andrade Belitardo, E.M.; Santos Silva, E.; Alcantara-Neves, N.M.; Pontes-de-Carvalho, L. Candidin and trichophytin stimulate the production of Th1 and regulatory cytokines by peripheral blood mononuclear cells: Implication for their use as adjuvants in immunotherapy. Immunotherapy 2014, 6, 1255–1264. [Google Scholar] [CrossRef]
- Zhang, C.; Xu, W.; Chen, J.; Guan, R.; Bi, S.; Jin, H.; Cui, X.; Shi, F.; Hu, S. Soybean oil containing ginseng saponins as adjuvants promotes production of cytokines and enhances immune responses to foot-and-mouth disease vaccine. Microbiol. Immunol. 2018, 62, 187–194. [Google Scholar] [CrossRef]
- Song, Y.; Yuan, M.; Xu, Y.; Xu, H. Tackling Inflammatory Bowel Diseases: Targeting Proinflammatory Cytokines and Lymphocyte Homing. Pharmaceuticals 2022, 15, 1080. [Google Scholar] [CrossRef]
- Weinstein-Marom, H.; Pato, A.; Levin, N.; Susid, K.; Itzhaki, O.; Besser, M.J.; Peretz, T.; Margalit, A.; Lotem, M.; Gross, G. Membrane-attached Cytokines Expressed by mRNA Electroporation Act as Potent T-Cell Adjuvants. J. Immunother. 2016, 39, 60–70. [Google Scholar] [CrossRef] [PubMed]
- Sharma, B.R.; Kanneganti, T.D. Inflammasome signaling in colorectal cancer. Transl. Res. 2022. [Google Scholar] [CrossRef] [PubMed]
- Xu, J.; Gu, X.; Xie, Y.; He, R.; Xu, J.; Xiong, L.; Peng, X.; Yang, G. A novel cysteine protease inhibitor in Baylisascaris schroederi migratory larvae regulates inflammasome activation through the TLR4-ROS-NLRP3 pathway. Parasite. Vectors 2022, 15, 334. [Google Scholar] [CrossRef] [PubMed]
- Zhang, Z.; Wang, P.; Ma, C.; Wang, J.; Li, W.; Quan, C.; Cao, H.; Guo, H.; Wang, L.; Yan, C.; et al. Host inflammatory response is the major factor in the progression of Chlamydia psittaci pneumonia. Front. Immunol. 2022, 13, 929213. [Google Scholar] [CrossRef] [PubMed]
- Wang, X.; Li, X.; Gong, P.; Zhang, N.; Li, L.; Ouyang, H.; Jia, L.; Li, J.; Zhang, X. Pyroptosis executioner gasdermin D contributes to host defense and promotes Th 1 immune response during Neospora caninum infection. Vet. Parasitol. 2020, 286, 109254. [Google Scholar] [CrossRef]
- Tuo, W.; Feng, X.; Cao, L.; Vinyard, B.; Dubey, J.P.; Fetterer, R.; Jenkins, M. Vaccination with Neospora caninum-cyclophilin and -profilin confers partial protection against experimental neosporosis-induced abortion in sheep. Vaccine 2021, 39, 4534–4544. [Google Scholar] [CrossRef]
- Wang, Z.; Wang, Y.; Sun, C.; Zhao, X.; Sun, M.; Gao, X.; Jia, F.; Zhang, T.; Ge, C.; Zhang, X.; et al. Protection against genotype VII Newcastle disease virus challenge by a minicircle DNA vaccine coexpressing F protein and chicken IL-18 adjuvant. Vet. Microbiol. 2022, 270, 109474. [Google Scholar] [CrossRef]
- Mazuz, M.L.; Leibovitz, B.; Savitsky, I.; Blinder, E.; Yasur-Landau, D.; Lavon, Y.; Sharir, B.; Tirosh-Levy, S. The Effect of Vaccination with Neospora caninum Live-Frozen Tachyzoites on Abortion Rates of Naturally Infected Pregnant Cows. Vaccines 2021, 9, 401. [Google Scholar] [CrossRef]
- Marin, M.S.; Hecker, Y.P.; Quintana, S.; Perez, S.E.; Leunda, M.R.; Canton, G.J.; Cobo, E.R.; Moore, D.P.; Odeon, A.C. Immunization with inactivated antigens of Neospora caninum induces toll-like receptors 3, 7, 8 and 9 in maternal-fetal interface of infected pregnant heifers. Vet. Parasitol. 2017, 243, 12–17. [Google Scholar] [CrossRef]
- Horcajo, P.; Regidor-Cerrillo, J.; Aguado-Martinez, A.; Hemphill, A.; Ortega-Mora, L.M. Vaccines for bovine neosporosis: Current status and key aspects for development. Parasite. Immunol. 2016, 38, 709–723. [Google Scholar] [CrossRef]
- Wang, X.; Gong, P.; Zhang, X.; Wang, J.; Tai, L.; Wang, X.; Wei, Z.; Yang, Y.; Yang, Z.; Li, J.; et al. NLRP3 in-flammasome activation in murine macrophages caused by Neospora caninum infection. Parasit Vectors 2017, 10, 266. [Google Scholar] [CrossRef] [PubMed]
- Björkman, C.; Näslund, K.; Stenlund, S.; Maley, S.W.; Buxton, D.; Uggla, A. An IgG avidity ELISA to discriminate between recent and chronic Neospora caninum infection. J. Vet. Diagn Investig. 1999, 11, 41–44. [Google Scholar] [CrossRef]
- Syed-Hussain, S.S.; Howe, L.; Pomroy, W.E.; West, D.M.; Smith, S.L.; Williamson, N.B. Adaptation of a commercial ELISA to determine the IgG avidity in sheep experimentally and naturally infected with Neospora caninum. Vet. Parasitol. 2014, 203, 21–28. [Google Scholar] [CrossRef]
- Wang, X.; Gong, P.; Zhang, N.; Li, L.; Chen, S.; Jia, L.; Liu, X.; Li, J.; Zhang, X. Inflammasome activation restrains the intracellular Neospora caninum proliferation in bovine macrophages. Vet. Parasitol. 2019, 268, 16–20. [Google Scholar] [CrossRef] [PubMed]
- Osawa, T.; Wastling, J.; Maley, S.; Buxton, D.; Innes, E.A. A multiple antigen ELISA to detect Neospora-specific antibodies in bovine sera, bovine foetal fluids, ovine and caprine sera. Vet. Parasitol. 1998, 79, 19–34. [Google Scholar] [CrossRef]
- Novoa, M.B.; Aguirre, N.P.; Ormaechea, N.; Palmero, S.; Rouzic, L.; Valentini, B.S.; Sarli, M.; Orcellet, V.M.; Marengo, R.; Vanzini, V.R.; et al. Validation and field evaluation of a competitive inhibition ELISA based on the recombinant protein tSAG1 to detect anti-Neospora caninum antibodies in sheep and goats. Vet. Parasitol. 2020, 284, 109201. [Google Scholar] [CrossRef] [PubMed]
- Naguleswaran, A.; Hemphill, A.; Rajapakse, R.P.; Sager, H. Elaboration of a crude antigen ELISA for serodiagnosis of caprine neosporosis: Validation of the test by detection of Neospora caninum-specific antibodies in goats from Sri Lanka. Vet. Parasitol. 2004, 126, 257–262. [Google Scholar] [CrossRef]
- Nayeri, T.; Sarvi, S.; Moosazadeh, M.; Daryani, A. The Global Prevalence of Neospora caninum Infection in Sheep and Goats That Had an Abortion and Aborted Fetuses: A Systematic Review and Meta-Analysis. Front. Vet. Sci. 2022, 9, 870904. [Google Scholar] [CrossRef] [PubMed]
- Collantes-Fernandez, E.; Zaballos, A.; Alvarez-Garcia, G.; Ortega-Mora, L.M. Quantitative detection of Neospora caninum in bovine aborted fetuses and experimentally infected mice by real-time PCR. J. Clin. Microbiol. 2002, 40, 1194–1198. [Google Scholar] [CrossRef] [PubMed]
- Xu, H.; Niu, Y.; Hong, W.; Liu, W.; Zuo, X.; Bao, X.; Guo, C.; Lu, Y.; Deng, B. Development of a water-in-oil-in-water adjuvant for foot-and-mouth disease vaccine based on ginseng stem-leaf saponins as an immune booster. Comp Immunol Microbiol Infect Dis. 2020, 71, 101499. [Google Scholar] [CrossRef]
- Seubert, A.; Monaci, E.; Pizza, M.; O’Hagan, D.T.; Wack, A. The adjuvants aluminum hydroxide and MF59 induce monocyte and granulocyte chemoattractants and enhance monocyte differentiation toward dendritic cells. J. Immunol. 2008, 180, 5402–5412. [Google Scholar] [CrossRef] [PubMed]
- Moore, K.W.; de Waal Malefyt, R.; Coffman, R.L.; O’Garra, A. Interleukin-10 and the interleukin-10 receptor. Annu. Rev. Immunol. 2001, 19, 683–765. [Google Scholar] [CrossRef] [PubMed]
- Martínez-Barricarte, R.; Markle, J.G.; Ma, C.S.; Deenick, E.K.; Ramírez-Alejo, N.; Mele, F.; Latorre, D.; Mahdaviani, S.A.; Aytekin, C.; Mansouri, D.; et al. Human IFN-γ immunity to mycobacteria is governed by both IL-12 and IL-23. Sci. Immunol. 2018, 3, eaau6759. [Google Scholar] [CrossRef] [PubMed]
- Mierzchala-Pasierb, M.; Krzystek-Korpacka, M.; Lesnik, P.; Adamik, B.; Placzkowska, S.; Serek, P.; Gamian, A.; Lipinska-Gediga, M. Interleukin-18 serum levels in sepsis: Correlation with disease severity and inflammatory markers. Cytokine 2019, 120, 22–27. [Google Scholar] [CrossRef] [PubMed]
- Nishikawa, Y. Towards a preventive strategy for neosporosis: Challenges and future perspectives for vaccine development against infection with Neospora caninum. J. Vet. Med. Sci. 2017, 79, 1374–1380. [Google Scholar] [CrossRef] [PubMed]
- Nagai, N.; Tanino, T.; Ito, Y. Excessive Interleukin 18 Relate the Aggravation of Indomethacin-Induced Intestinal Ulcerogenic Lesions in Adjuvant-Induced Arthritis Rat. Biol. Pharm. Bull. 2015, 38, 1580–1590. [Google Scholar] [CrossRef][Green Version]
- Zhang, H.Y.; Zhu, F.F.; Zhu, Y.J.; Hu, Y.J.; Chen, X. Effects of IL-18 on the proliferation and steroidogenesis of bovine theca cells: Possible roles in the pathogenesis of polycystic ovary syndrome. J. Cell Mol. Med. 2021, 25, 1128–1139. [Google Scholar] [CrossRef] [PubMed]






| SRS2 (1041 bp) | Forward | 5’-CCGGATATCCCGTTCAAGTCGGAAAATGAGAAGT -3’ (EcoR V) |
| Reverse | 5’- CCGCTCGAGGTACGCAAAGATTGCCGTTGCA -3’ (Xho I) | |
| SRS17 (1095 bp) | Forward | 5’- CCGGATATCTTTGGCAACCTGTCGTTGGATTGCG -3’ (EcoR V) |
| Reverse | 5’- CCGCTCGAGTTTCCCCTCGACCACAGGCAGAAA -3’ (Xho I) | |
| SRS52 (921 bp) | Forward | 5’- CCGGATATCAAGGGACGGACTAGCACTCCG -3’ (EcoR V) |
| Reverse | 5’- CCGCTCGAGGTACATGACCTGAACGAAGGCTACA -3’ (Xho I) | |
| mIL-18 (471 bp) | Forward | 5’-CCGGATATCAACTTTGGCCGACTTCACT -3’ (EcoR V) |
| Reverse | 5’- CCGCTCGAGACTTTGATGTAAGTTAGTGAGAGTG-3’ (Xho I) | |
| SRS2-mIL-18 (1557 bp) | Forward | 5’-CCGGATATCCCGTTCAAGTCGGAAAATGAGAAGT -3’ (EcoR V) |
| Reverse | 5’- CCGCTCGAGACTTTGATGTAAGTTAGTGAGAGTG-3’ (Xho I) | |
| gIL-18 (471 bp) | Forward | 5’- CCGGATATCTTTGGCAACCTGTCGTTGGATTGCG-3’ (EcoR V) |
| Reverse | 5’- CCGCTCGAGTTTCCCCTCGACCACAGGCAGAAA-3’ (Xho I) | |
| SRS17-gIL-18 (1166 bp) | Forward | 5’- CCGGATATCCCGTTCAAGTCGGAAAATG-3’ (EcoR V) |
| Reverse | 5’-CCGCTCGAGGTTCTGGTTTTGAACAGTGAAC-3’ (Xho I) |
Publisher’s Note: MDPI stays neutral with regard to jurisdictional claims in published maps and institutional affiliations. |
© 2022 by the authors. Licensee MDPI, Basel, Switzerland. This article is an open access article distributed under the terms and conditions of the Creative Commons Attribution (CC BY) license (https://creativecommons.org/licenses/by/4.0/).
Share and Cite
Wang, P.; Wang, X.; Wang, W.; Gong, P.; Zhang, N.; Zhang, R.; Zeng, H.; Sun, Q.; Li, W.; Li, X.; et al. Evaluation of Protective Immune Responses Induced in BALB/c Mice and Goats by the Neospora caninum Surface SRS Proteins and Interleukin-18. Animals 2022, 12, 2952. https://doi.org/10.3390/ani12212952
Wang P, Wang X, Wang W, Gong P, Zhang N, Zhang R, Zeng H, Sun Q, Li W, Li X, et al. Evaluation of Protective Immune Responses Induced in BALB/c Mice and Goats by the Neospora caninum Surface SRS Proteins and Interleukin-18. Animals. 2022; 12(21):2952. https://doi.org/10.3390/ani12212952
Chicago/Turabian StyleWang, Pu, Xiaocen Wang, Weirong Wang, Pengtao Gong, Nan Zhang, Renzhe Zhang, Huan Zeng, Qian Sun, Wanqing Li, Xin Li, and et al. 2022. "Evaluation of Protective Immune Responses Induced in BALB/c Mice and Goats by the Neospora caninum Surface SRS Proteins and Interleukin-18" Animals 12, no. 21: 2952. https://doi.org/10.3390/ani12212952
APA StyleWang, P., Wang, X., Wang, W., Gong, P., Zhang, N., Zhang, R., Zeng, H., Sun, Q., Li, W., Li, X., Cheng, S., Zhang, X., Huang, X., Gao, C., Zheng, Y., Li, J., & Zhang, X. (2022). Evaluation of Protective Immune Responses Induced in BALB/c Mice and Goats by the Neospora caninum Surface SRS Proteins and Interleukin-18. Animals, 12(21), 2952. https://doi.org/10.3390/ani12212952
