Effects of Jerusalem Artichoke (Helianthus tuberosus) as a Prebiotic Supplement in the Diet of Red Tilapia (Oreochromis spp.)
Abstract
Simple Summary
Abstract
1. Introduction
2. Materials and Methods
2.1. Preparation of Experimental Diets
2.2. Experimental Design
2.3. Growth Performance
2.4. Blood Chemistry Analysis
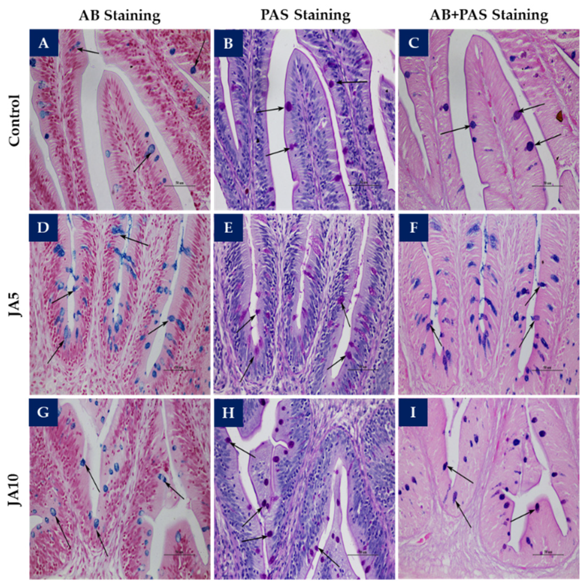
2.5. Measurement of Villous Height, Villous Width, Absorptive Area, and Mucous Cells
2.6. Antioxidant Gene Expression
2.7. Challenge Test
2.8. Statistical Analysis
3. Results
3.1. Growth Performance
3.2. Blood Collection and Serum Chemistry Analysis
3.3. Measurement of Villous Height, Villous Width, Absorptive Area, and Mucous Cells
3.4. Antioxidant Gene Expression
3.5. Challenge Test
4. Discussion
5. Conclusions
Author Contributions
Funding
Institutional Review Board Statement
Data Availability Statement
Acknowledgments
Conflicts of Interest
References
- Haque, M.R.; Islam, M.A.; Wahab, M.A.; Hoq, M.E.; Rahman, M.M.; Azim, M.E. Evaluation of production performance and profitability of hybrid red tilapia and genetically improved farmed tilapia (GIFT) strains in the carbon/nitrogen controlled periphyton-based (C/N-CP) on-farm prawn culture system in Bangladesh. Aquac. Rep. 2016, 4, 101–111. [Google Scholar] [CrossRef]
- Gupta, M.V.; Acosta, B.O. A review of global tilapia farming practices. Aquac. Asia 2004, 9, 7–12. [Google Scholar]
- Slaninova, A.; Smutna, M.; Modra, H.; Svobodova, Z. A review: Oxidative stress in fish induced by pesticides. Neuroendocrinol. Lett. 2009, 30, 2. [Google Scholar]
- Derome, N.; Gauthier, J.; Boutin, S.; Llewellyn, M. Bacterial opportunistic pathogens of fish. In The Rasputin Effect: When Commensals and Symbionts Become Parasitic; Springer: New York, NY, USA, 2016; pp. 81–108. [Google Scholar]
- Kayansamruaj, P.; Pirarat, N.; Hirono, I.; Rodkhum, C. Increasing of temperature induces pathogenicity of Streptococcus agalactiae and the up-regulation of inflammatory related genes in infected Nile tilapia (Oreochromis niloticus). Vet. Microbiol. 2014, 172, 265–271. [Google Scholar] [CrossRef] [PubMed]
- Beaz-Hidalgo, R.; Alperi, A.; Buján, N.; Romalde, J.L.; Figueras, M.J. Comparison of phenotypical and genetic identification of Aeromonas strains isolated from diseased fish. Syst. Appl. Microbiol. 2010, 33, 149–153. [Google Scholar] [CrossRef] [PubMed]
- Joseph, S.W.; Carnahan, A. The isolation, identification, and systematics of the motile Aeromonas species. Annu. Rev. Fish Dis. 1994, 4, 315–343. [Google Scholar] [CrossRef]
- Hoseinifar, S.H.; Esteban, M.Á.; Cuesta, A.; Sun, Y.-Z. Prebiotics and fish immune response: A review of current knowledge and future perspectives. Rev. Fish. Sci. Aquac. 2015, 23, 315–328. [Google Scholar] [CrossRef]
- Harikrishnan, R.; Devi, G.; Doan, H.V.; Gatphayak, K.; Balasundaram, C.; El-Haroun, E.; Soltan, M. Immunomulation effect of alginic acid and chitooligosaccharides in silver carp (Hypophthalmichthys molitrix). Fish Shellfish. Immunol. 2022, 128, 592–603. [Google Scholar] [CrossRef]
- Issac, P.K.; Karan, R.; Guru, A.; Pachaiappan, R.; Arasu, M.V.; Al-Dhabi, N.A.; Choi, K.C.; Harikrishnan, R.; Arockia Raj, J. Insulin signaling pathway assessment by enhancing antioxidant activity due to morin using in vitro rat skeletal muscle L6 myotubes cells. Mol. Biol. Rep. 2021, 48, 5857–5872. [Google Scholar] [CrossRef] [PubMed]
- Gibson, G.R.; Roberfroid, M.B. Dietary modulation of the human colonic microbiota: Introducing the concept of prebiotics. J. Nutr. 1995, 125, 1401–1412. [Google Scholar] [CrossRef] [PubMed]
- Van Loo, J.; Coussement, P.; de Leenheer, L.; Hoebregs, H.; Smits, G. On the presence of inulin and oligofructose as natural ingredients in the western diet. Crit. Rev. Food Sci. Nutr. 1995, 35, 525–552. [Google Scholar] [CrossRef] [PubMed]
- Kleessen, B.; Schwarz, S.; Boehm, A.; Fuhrmann, H.; Richter, A.; Henle, T.; Krueger, M. Jerusalem artichoke and chicory inulin in bakery products affect faecal microbiota of healthy volunteers. Br. J. Nutr. 2007, 98, 540–549. [Google Scholar] [CrossRef] [PubMed]
- Moshfegh, A.J.; Friday, J.E.; Goldman, J.P.; Ahuja, J.K.C. Presence of inulin and oligofructose in the diets of Americans. J. Nutr. 1999, 129, 1407S–1411S. [Google Scholar] [CrossRef] [PubMed]
- Lied, G.A.; Lillestøl, K.; Lind, R.; Valeur, J.; Morken, M.H.; Vaali, K.; Gregersen, K.; Florvaag, E.; Tangen, T.; Berstad, A. Perceived food hypersensitivity: A review of 10 years of interdisciplinary research at a reference center. Scand. J. Gastroenterol. 2011, 46, 1169–1178. [Google Scholar] [CrossRef]
- Grabitske, H.A.; Slavin, J.L. Gastrointestinal effects of low-digestible carbohydrates. Crit. Rev. Food Sci. Nutr. 2009, 49, 327–360. [Google Scholar] [CrossRef]
- Slavin, J. Fiber and prebiotics: Mechanisms and health benefits. Nutrients 2013, 5, 1417–1435. [Google Scholar] [CrossRef]
- Costabile, A.; Kolida, S.; Klinder, A.; Gietl, E.; Bäuerlein, M.; Frohberg, C.; Landschütze, V.; Gibson, G.R. A double-blind, placebo-controlled, cross-over study to establish the bifidogenic effect of a very-long-chain inulin extracted from globe artichoke (Cynara scolymus) in healthy human subjects. Br. J. Nutr. 2010, 104, 1007–1017. [Google Scholar] [CrossRef]
- Tiengtam, N.; Khempaka, S.; Paengkoum, P.; Boonanuntanasarn, S. Effects of inulin and Jerusalem artichoke (Helianthus tuberosus) as prebiotic ingredients in the diet of juvenile Nile tilapia (Oreochromis niloticus). Anim. Feed. Sci. Technol. 2015, 207, 120–129. [Google Scholar] [CrossRef]
- Tiengtam, N.; Paengkoum, P.; Sirivoharn, S.; Phonsiri, K.; Boonanuntanasarn, S. The effects of dietary inulin and Jerusalem artichoke (Helianthus tuberosus) tuber on the growth performance, haematological, blood chemical and immune parameters of Nile tilapia (Oreochromis niloticus) fingerlings. Aquac. Res. 2017, 48, 5280–5288. [Google Scholar] [CrossRef]
- Boonanuntanasarn, S.; Tiengtam, N.; Pitaksong, T.; Piromyou, P.; Teaumroong, N. Effects of dietary inulin and Jerusalem artichoke (Helianthus tuberosus) on intestinal microbiota community and morphology of Nile tilapia (Oreochromis niloticus) fingerlings. Aquac. Nutr. 2018, 24, 712–722. [Google Scholar] [CrossRef]
- Johansson, E.; Prade, T.; Angelidaki, I.; Svensson, S.-E.; Newson, W.R.; Gunnarsson, I.B.; Persson Hovmalm, H. Economically viable components from Jerusalem artichoke (Helianthus tuberosus L.) in a biorefinery concept. Int. J. Mol. Sci. 2015, 16, 8997–9016. [Google Scholar] [CrossRef] [PubMed]
- Kim, D.; Fan, J.P.; Chung, H.C.; Han, G.D. Changes in extractability and antioxidant activity of Jerusalem artichoke (Helianthus tuberosus L.) tubers by various high hydrostatic pressure treatments. Food Sci. Biotechnol. 2010, 19, 1365–1371. [Google Scholar] [CrossRef]
- Petkova, N.; Ivanov, I.; Denev, P.; Pavlov, A. Bioactive substance and free radical scavenging activities of flour from Jerusalem artichoke (Helianthus tuberosus L.) tubers–a comparative study. Türk Tarım Doğa Bilimleri Derg. 2014, 1, 1773–1778. [Google Scholar]
- Dias, N.S.; Ferreira, J.F.; Liu, X.; Suarez, D.L. Jerusalem artichoke (Helianthus tuberosus, L.) maintains high inulin, tuber yield, and antioxidant capacity under moderately-saline irrigation waters. Ind. Crops Prod. 2016, 94, 1009–1024. [Google Scholar] [CrossRef]
- Van den Ende, W.; Peshev, D.; de Gara, L. Disease prevention by natural antioxidants and prebiotics acting as ROS scavengers in the gastrointestinal tract. Trends Food Sci. Technol. 2011, 22, 689–697. [Google Scholar] [CrossRef]
- Puertollano, M.A.; Puertollano, E.; Cienfuegos, G.A.D.; Pablo, M.A.d. Dietary antioxidants: Immunity and host defense. Curr. Top. Med. Chem. 2011, 11, 1752–1766. [Google Scholar] [CrossRef] [PubMed]
- Kamble, M.T.; Yakupitiyage, A.; Salin, K.R.; Chavan, B.R. Effect of Psidium guajava and Phyllanthus acidus leaf extract on immunostimulant response of Nile tilapia against Streptococcus agalactiae infection. Isr. J. Aquac.—Bamidgeh 2018, 70, 1–9. [Google Scholar] [CrossRef]
- Ali, S.S.R.; Ambasankar, K.; Musthafa, M.S.; Harikrishnan, R. Jerusalem artichoke enriched diet on growth performance, immuno-hematological changes and disease resistance against Aeromonas hydrophila in Asian seabass (Lates calcarifer). Fish Shellfish. Immunol. 2017, 70, 335–342. [Google Scholar]
- Livak, K.J.; Schmittgen, T.D. Analysis of relative gene expression data using real-time quantitative PCR and the 2 − ΔΔCT method. Methods 2001, 25, 402–408. [Google Scholar] [CrossRef]
- Dong, H.T.; Nguyen, V.V.; Le, H.D.; Sangsuriya, P.; Jitrakorn, S.; Saksmerprome, V.; Senapin, S.; Rodkhum, C. Naturally concurrent infections of bacterial and viral pathogens in disease outbreaks in cultured Nile tilapia (Oreochromis niloticus) farms. Aquaculture 2015, 448, 427–435. [Google Scholar] [CrossRef]
- Schneider, K.R. Review of Biology and Chemistry of Jerusalem Artichoke: Helianthus tuberosus L. J. Agric. Food Inf. 2009, 10, 352–353. [Google Scholar] [CrossRef]
- Ibrahem, M.D.; Fathi, M.; Mesalhy, S.; Abd El-Aty, A. Effect of dietary supplementation of inulin and vitamin C on the growth, hematology, innate immunity, and resistance of Nile tilapia (Oreochromis niloticus). Fish Shellfish. Immunol. 2010, 29, 241–246. [Google Scholar] [CrossRef] [PubMed]
- Ortiz, L.; Rebolé, A.; Velasco, S.; Rodríguez, M.; Treviño, J.; Tejedor, J.; Alzueta, C. Effects of inulin and fructooligosaccharides on growth performance, body chemical composition and intestinal microbiota of farmed rainbow trout (Oncorhynchus mykiss). Aquac. Nutr. 2013, 19, 475–482. [Google Scholar] [CrossRef]
- Mahious, A.; Gatesoupe, F.; Hervi, M.; Metailler, R.; Ollevier, F. Effect of dietary inulin and oligosaccharides as prebiotics for weaning turbot, Psetta maxima (Linnaeus, C. 1758). Aquac. Int. 2006, 14, 219–229. [Google Scholar] [CrossRef]
- Witeska, M.; Kondera, E.; Ługowska, K.; Bojarski, B. Hematological methods in fish—Not only for beginners. Aquaculture 2022, 547, 737498. [Google Scholar] [CrossRef]
- Guerreiro, I.; Oliva-Teles, A.; Enes, P. Prebiotics as functional ingredients: Focus on Mediterranean fish aquaculture. Rev. Aquac. 2017, 10, 800–832. [Google Scholar] [CrossRef]
- Hassaan, M.; Soltan, M.; Ghonemy, M. Effect of synbiotics between Bacillus licheniformis and yeast extract on growth, hematological and biochemical indices of the Nile tilapia (Oreochromis niloticus). Egypt. J. Aquat. Res. 2014, 40, 199–208. [Google Scholar] [CrossRef]
- Kumar, V.; Makkar, H.; Becker, K. Nutritional, physiological and haematological responses in rainbow trout (Oncorhynchus mykiss) juveniles fed detoxified Jatropha curcas kernel meal. Aquac. Nutr. 2011, 17, 451–467. [Google Scholar] [CrossRef]
- Chen, C.-Y.; Wooster, G.A.; Getchell, R.G.; Bowser, P.R.; Timmons, M.B. Blood chemistry of healthy, nephrocalcinosis-affected and ozone-treated tilapia in a recirculation system, with application of discriminant analysis. Aquaculture 2003, 218, 89–102. [Google Scholar] [CrossRef]
- Guerreiro, I.; Oliva-Teles, A.; Enes, A.P. Improved glucose and lipid metabolism in European sea bass (Dicentrarchus labrax) fed short-chain fructooligosaccharides and xylooligosaccharides. Aquaculture 2015, 441, 57–63. [Google Scholar] [CrossRef]
- Guerreiro, I.; Serra, C.R.; Pousão-Ferreira, P.; Oliva-Teles, A.; Enes, P. Prebiotics effect on growth performance, hepatic intermediary metabolism, gut microbiota and digestive enzymes of white sea bream (Diplodus sargus). Aquac. Nutr. 2017, 24, 153–163. [Google Scholar]
- Yarahmadi, P.; Farsani, H.G.; Khazaei, A.; Khodadadi, M.; Rashidiyan, G.; Jalali, M.A. Protective effects of the prebiotic on the immunological indicators of rainbow trout (Oncorhynchus mykiss) infected with Aeromonas hydrophila. Fish Shellfish. Immunol. 2016, 54, 589–597. [Google Scholar] [CrossRef] [PubMed]
- Xu, S.; Zhao, M.; Wang, Q.; Xu, Z.; Pan, B.; Xue, Y.; Dai, Z.; Wang, S.; Xue, Z.; Wang, F.; et al. Effectiveness of probioitcs and prebiotics against acute liver injury: A Meta-Analysis. Front. Med. 2021, 8, 739337. [Google Scholar] [CrossRef]
- Welker, T.L.; Lim, C.; Yildirim-Aksoy, M.; Shelby, R.; Klesius, P.H. Immune response and resistance to stress 694 and Edwardsiella ictaluri challenge in channel catfish, Ictalurus punctatus, fed diets containing commercial whole-cell yeast or yeast subcomponents. J. World Aquac. Soc. 2007, 38, 24–35. [Google Scholar] [CrossRef]
- Sado, R.Y.; Bicudo, A.J.D.A.; Cyrino, J.P.E. Feeding dietary mannan oligosaccharides to juvenile Nile tilapia, Oreochromis niloticus, has no effect on hematological parameters and showed decreased feed consumption. J. World Aquac. Soc. 2008, 39, 821–826. [Google Scholar] [CrossRef]
- Gultepe, N.; Hisar, O.; Salnur, S.; Hossu, B.; Tansel Tanrikul, T.; Aydm, S. Preliminary assessment of dietary mannanoligosaccharides on growth performance and health status of gilthead sea bream Sparus auratus. J. Aquat. Anim. Health 2012, 24, 37–42. [Google Scholar] [CrossRef]
- Razeghi Mansour, M.; Akrami, R.; Ghobadi, S.H.; Amani Denji, K.; Ezatrahimi, N.; Gharaei, A. Effect of dietary mannan oligosaccharide on growth performance, survival, body composition and some hematological parameters in giant sturgeon juvenile (Huso huso Linnaeus, 1754). Fish Physiol. Biochem. 2012, 38, 829–835. [Google Scholar] [CrossRef]
- Reza, A.; Abdolmajid, H.; Abbas, M.; Abdolmohammad, A.K. Effect of dietary prebiotic inulin on growth performance, intestinal microflora, body composition and hematological parameters of juvenile beluga Huso huso (Linnaeus, 1758). J. World Aquac. Soc. 2009, 40, 771–779. [Google Scholar] [CrossRef]
- Hoseinifar, S.H.; Mirvaghefi, D.L.; Merrifield, B.M.; Amiri, S.; Yelghi, S.; Bastami, K.D. The study of some haematological and serum biochemical parameters of juvenile beluga (Huso huso) fed oligofructose. Fish Physiol. Biochem. 2011, 37, 91–96. [Google Scholar] [CrossRef] [PubMed]
- Dimitroglou, A.; Davis, S.J.; Sweetman, J.; Duvanach, P.; Chatzifotis, S. Dietary supplementation of mannan oligosaccharide on white sea bream (Diplodus sargus L.) larvae: Effects on development, gut morphology and salinity tolerance. Aquac. Res. 2010, 41, e245–e251. [Google Scholar] [CrossRef]
- Salze, G.; Mclean, E.; Schwarz, M.H.; Craig, S.R. Dietary mannan oligosaccharide enhances salinity tolerance and gut development of larval cobia. Aquaculture 2008, 274, 148–152. [Google Scholar] [CrossRef]
- Zhou, Q.-C.; Buentello, J.A.; Gatlin III, D.M. Effects of dietary prebiotics on growth performance, immune response and intestinalmorphology of red drum (Sciaenops ocellatus). Aquaculture 2010, 309, 253–257. [Google Scholar] [CrossRef]
- Butt, R.L.; Volkoff, H. Gut microbiota and energy homoestasis in fish. Front. Endocrinol. 2019, 10, 12. [Google Scholar] [CrossRef] [PubMed]
- Gatlin III, D.M.; Peredo, A. Prebiotics and Probiotics:Definitions and Applications; SRAC Publication—Southern Regional Aquaculture Center: Stoneville, MS, USA, 2012; p. 8. [Google Scholar]
- Jutfelt, F. Barrier function of the gut. In Encyclopedia of Fish Physiology: From Genome to Environment; Farrell, A.P., Stevens, E.D., Cech, J.J.J., Richards, J.G., Eds.; Elsevier: Amsterdam, The Netherlands, 2011; Volume 1, pp. 1322–1331. [Google Scholar]
- Pelaseyed, T.; Bergström, J.H.; Gustafsson, J.K.; Ermund, A.; Birchenough, G.M.; Schütte, A.; van der Post, S.; Svensson, F.; Rodríguez-Piñeiro, A.M.; Nyström, E.E. The mucus and mucins of the goblet cells and enterocytes provide the first defense line of the gastrointestinal tract and interact with the immune system. Immunol. Rev. 2014, 260, 8–20. [Google Scholar] [CrossRef] [PubMed]
- Tassell, M.L.V.; Miller, M.J. Lactobacillus adhesion to mucus. Nutrients 2011, 3, 613–636. [Google Scholar] [CrossRef]
- Caspary, W.F. Physiology and pathophysiology of intestinal absorption. Am. J. Clin. Nutr. 1992, 55, 299S–308S. [Google Scholar] [CrossRef]
- Preidis, G.A.; Hill, C.; Guerrant, R.L.; Ramakrishna, B.; Tannock, G.W.; Versalovic, J. Probiotics, enteric and diarrheal diseases, and global health. Gastroenterology 2011, 140, 8–14. [Google Scholar] [CrossRef] [PubMed]
- Meng, S.L.; Chen, J.Z.; Hu, G.D.; Song, C.; Fan, L.M.; Qiu, L.P.; Xu, P. Effects of chronic exposure of methomyl on the antioxidant system in liver of Nile tilapia (Oreochromis niloticus). Ecotoxicol. Environ. Saf. 2014, 101, 1–6. [Google Scholar] [CrossRef]
- Afifi, M.; Alkaladi, A.; Zinada, O.A.A.; Couderchet, M. Alteration in antioxidant genes expression in some fish caught from Jeddah and Yanbu coast as a bio-indicator of oil hydrocarbons pollution. Saudi J. Biol. Sci. 2017, 24, 1580–1587. [Google Scholar] [CrossRef] [PubMed]
- Salah, A.S.; El Nahas, A.F.; Mahmoud, S. Modulatory effect of different doses of β-1, 3/1, 6-glucan on the expression of antioxidant, inflammatory, stress and immune-related genes of Oreochromis niloticus challenged with Streptococcus iniae. Fish Shellfish. Immunol. 2017, 70, 204–213. [Google Scholar] [CrossRef]



| Gene Name | qPCR Primer, Forward/Reverse (5′–3′) | Amplicon Size (bp) |
|---|---|---|
| β-actin | AAGGACCTGTACGCCAACAC | 196 |
| ACATCTGCTGGAAGGTGGAC | ||
| gpx1 | GGAACGACAACCAGGGACTA | 160 |
| TCCCTGGACGGACATACTTC | ||
| gst | CAAAGGATCCCAAAGAACGA | 184 |
| AGGTACACGGGTCCAGTCAG | ||
| gr | GTTCCTCCCAGTAACGACCA | 160 |
| TGTAGCAGTGCTCCCTTCCT | ||
| cat | TGTTCCCATCCTTCATCCAT | 182 |
| GAAGGTGTGAGAGCCGTAGC | ||
| sod | AAAGGCATGTTGGAGACCTG | 196 |
| AGACGTCCACCAGCATTACC |
| Parameters | Control | JA5 | JA10 |
|---|---|---|---|
| Initial weight (g) | 14.68 ± 3.26 | 13.68 ± 5.15 | 13.88 ± 3.61 |
| Final weight (g) | 24.52 ± 5.67 a | 28.76 ± 5.37 b | 27.73 ± 6.18 b |
| WG (%) | 67.03 ± 7.0 a | 125.70 ± 45.46 c | 106.38 ± 13.79 b |
| FCR | 2.32 ± 0.55 c | 1.36 ± 0.11 a | 1.61 ± 0.35 b |
| SGR (%/day) | 1.76 ± 0.14 a | 2.74 ± 0.70 c | 2.49 ± 0.23 b |
| ADG (% /day) | 2.31 ± 0.24 a | 4.34 ± 1.57 c | 3.67 ± 0.48 b |
| Parameters | Control | JA5 | JA10 |
|---|---|---|---|
| Glucose (mg/dl) | 45.17 ± 7.49 a | 75.67 ± 36.43 b | 50.67 ± 10.54 ab |
| Triglycerides (mg/dl) | 200.00 ± 97.51 | 187.67 ± 81.41 | 187.00 ± 48.53 |
| Total cholesterol (mg/dl) | 161.33 ± 10.54 a | 163.83 ± 29.63 a | 227.83 ± 24.60 b |
| Total protein (g/dl) | 2.60 ± 0.22 | 2.52 ± 0.44 | 2.83 ± 0.38 |
| Albumin (g/dl) | 0.97 ± 0.27 | 0.77 ± 0.12 | 0.97 ± 0.21 |
| BUN (mg/dl) | 1.80 ± 0.40 b | 1.00 ± 0.00 a | 1.50 ± 0.55 b |
| Total bilirubin (mg/dl) | 0.02 ± 0.01 b | 0.01 ± 0.00 a | 0.01 ± 0.00 a |
| Direct bilirubin (mg/dl) | 0.015 ± 0.001 b | 0.003 ± 0.001 a | 0.002 ± 0.00 a |
| ALT (IU/l) | 9.50 ± 6.53 b | 3.20 ± 1.17 a | 3.33 ± 0.82 a |
| AST (IU/l) | 13.00 ± 2.76 | 14.80 ± 5.38 | 17.33 ± 7.69 |
| Parameters | Control | JA5 | JA10 |
|---|---|---|---|
| Proximal part | |||
| Villi height (µm) | 288.22 ± 6.96 | 293.82 ± 6.34 | 295.23 ± 5.98 |
| Villi width (µm) | 77.08 ± 3.20 | 76.71 ± 3.26 | 80.06 ± 1.45 |
| Absorptive area (mm2) | 0.0222 ± 0.001 | 0.0225 ± 0.0005 | 0.0235 ± 0.0002 |
| Middle part | |||
| Villi height (µm) | 262.21 ± 2.72 | 263.92 ± 9.47 | 265.61 ± 8.39 |
| Villi width (µm) | 91.58 ± 7.42 | 94.29 ± 10.07 | 91.87 ± 5.00 |
| Absorptive area (mm2) | 0.0240 ± 0.0017 | 0.0248 ± 0.0017 | 0.0242 ± 0.0006 |
| Distal part | |||
| Villi height (µm) | 172.96 ± 4.81 | 182.66 ± 3.62 | 178.89 ± 7.62 |
| Villi width (µm) | 89.20 ± 4.73 | 101.46 ± 4.66 | 104.14 ± 5.37 |
| Absorptive area (mm2) | 0.0154 ± 0.0006 a | 0.0185 ± 0.0005 b | 0.0185 ± 0.0009 b |
| Parameters | Control | JA5 | JA10 |
|---|---|---|---|
| Proximal part | |||
| AB | 27.84 ± 4.51 a | 46.00 ± 2.68 b | 47.50 ± 2.07 b |
| PAS | 30.75 ± 3.88 a | 58.37 ± 4.78 b | 61.83 ± 1.72 b |
| AB-PAS double-staining | 14.55 ± 1.37 a | 30.97 ± 2.23 b | 30.63 ± 0.95 b |
| Middle part | |||
| AB | 57.00 ± 2.74 a | 56.80 ± 2.15 a | 56.80 ± 1.79 a |
| PAS | 56.60 ± 3.05 a | 57.40 ± 2.15 ab | 60.00 ± 1.58 b |
| AB-PAS double-staining | 48.00 ± 2.00 a | 51.00 ± 2.19 b | 49.50 ± 1.29 ab |
| Distal part | |||
| AB | 49.00 ± 3.54 a | 88.50 ± 3.73 b | 89.23 ± 7.03 b |
| PAS | 56.44 ± 3.43 a | 100.17 ± 3.92 b | 100.33 ± 2.94 b |
| AB-PAS double-staining | 30.40 ± 1.67 a | 53.04 ± 1.93 b | 52.20 ± 3.56 b |
Publisher’s Note: MDPI stays neutral with regard to jurisdictional claims in published maps and institutional affiliations. |
© 2022 by the authors. Licensee MDPI, Basel, Switzerland. This article is an open access article distributed under the terms and conditions of the Creative Commons Attribution (CC BY) license (https://creativecommons.org/licenses/by/4.0/).
Share and Cite
Trullàs, C.; Sewaka, M.; Rodkhum, C.; Chansue, N.; Boonanuntanasarn, S.; Kamble, M.T.; Pirarat, N. Effects of Jerusalem Artichoke (Helianthus tuberosus) as a Prebiotic Supplement in the Diet of Red Tilapia (Oreochromis spp.). Animals 2022, 12, 2882. https://doi.org/10.3390/ani12202882
Trullàs C, Sewaka M, Rodkhum C, Chansue N, Boonanuntanasarn S, Kamble MT, Pirarat N. Effects of Jerusalem Artichoke (Helianthus tuberosus) as a Prebiotic Supplement in the Diet of Red Tilapia (Oreochromis spp.). Animals. 2022; 12(20):2882. https://doi.org/10.3390/ani12202882
Chicago/Turabian StyleTrullàs, Clara, Mariya Sewaka, Channarong Rodkhum, Nantarika Chansue, Surintorn Boonanuntanasarn, Manoj Tukaram Kamble, and Nopadon Pirarat. 2022. "Effects of Jerusalem Artichoke (Helianthus tuberosus) as a Prebiotic Supplement in the Diet of Red Tilapia (Oreochromis spp.)" Animals 12, no. 20: 2882. https://doi.org/10.3390/ani12202882
APA StyleTrullàs, C., Sewaka, M., Rodkhum, C., Chansue, N., Boonanuntanasarn, S., Kamble, M. T., & Pirarat, N. (2022). Effects of Jerusalem Artichoke (Helianthus tuberosus) as a Prebiotic Supplement in the Diet of Red Tilapia (Oreochromis spp.). Animals, 12(20), 2882. https://doi.org/10.3390/ani12202882

