Effects of Sex on the Muscle Development and Meat Composition in Wuliangshan Black-Bone Chickens
Abstract
:Simple Summary
Abstract
1. Introduction
2. Materials and Methods
2.1. Animals and Sample Collection
2.2. Hematoxylin–Eosin (HE) Staining and Measurement of the Muscle Cell Size
2.3. Meat Chemical Composition
2.4. Fatty Acid Content Determination
2.5. Amino Acid Content Determination
2.6. Statistical Analysis
3. Results
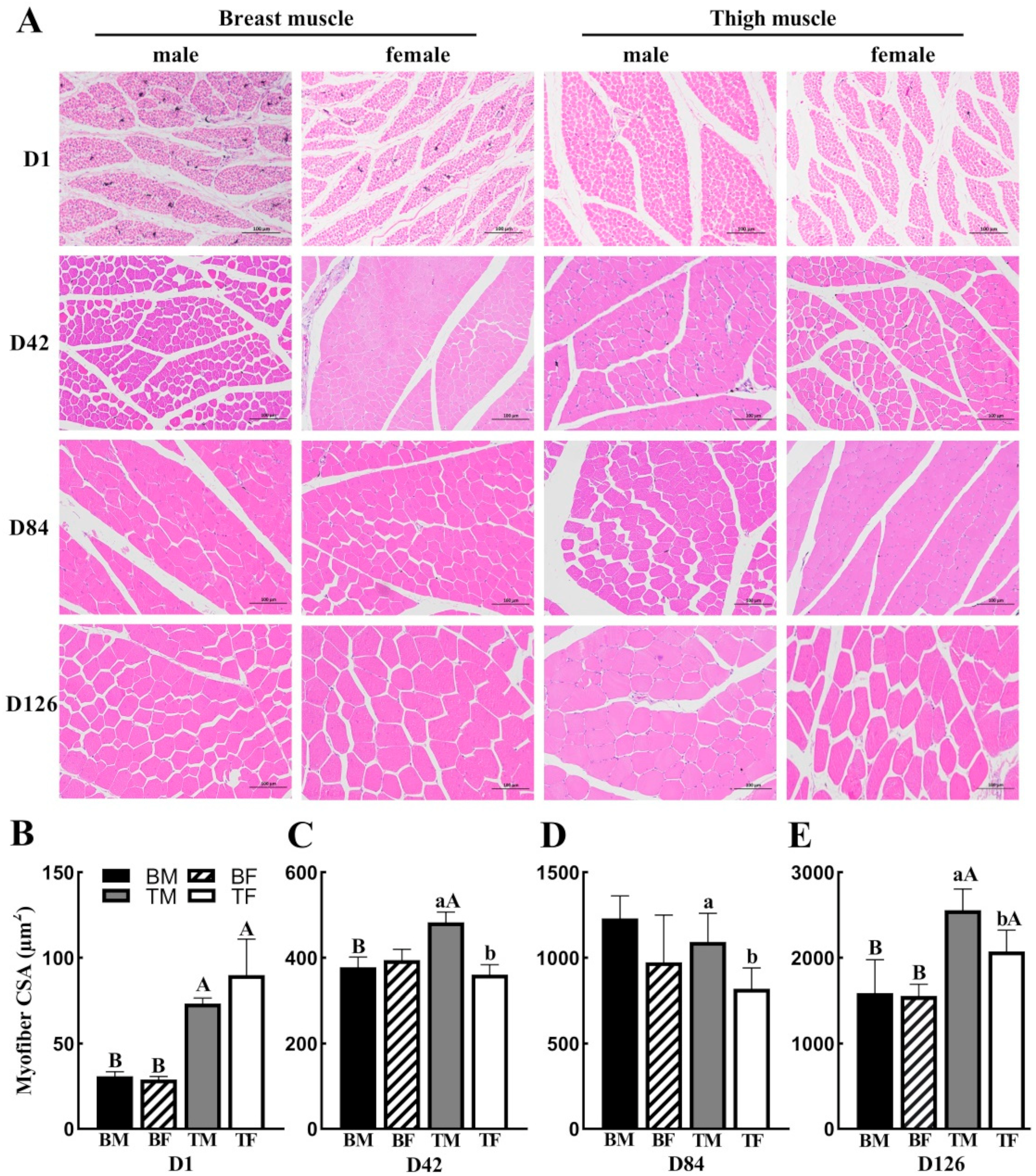
3.1. Histological Comparisons of Breast and Thigh Muscles in Wuliangshan Black-Bone Chickens
3.2. Chemical Composition of Breast and Thigh Muscles at D126 in Wuliangshan Black-Bone Chickens
3.3. Fatty Acid Composition of Breast and Thigh Muscles at D126 in Wuliangshan Black-Bone Chickens
3.4. Amino Acid Composition of Breast and Thigh Muscles at D126 in Wuliangshan Black-Bone Chickens
4. Discussion
5. Conclusions
Author Contributions
Funding
Institutional Review Board Statement
Informed Consent Statement
Data Availability Statement
Conflicts of Interest
References
- Franzoni, A.; Gariglio, M.; Castillo, A.; Soglia, D.; Sartore, S.; Buccioni, A.; Mannelli, F.; Cassandro, M.; Cendron, F.; Castellini, C.; et al. Overview of Native Chicken Breeds in Italy: Small Scale Production and Marketing. Animals 2021, 11, 629. [Google Scholar] [CrossRef] [PubMed]
- Soglia, D.; Sartore, S.; Maione, S.; Schiavone, A.; Dabbou, S.; Nery, J.; Zaniboni, L.; Marelli, S.; Sacchi, P.; Rasero, R. Growth Performance Analysis of Two Italian Slow-Growing Chicken Breeds: Bianca di Saluzzo and Bionda Piemontese. Animals 2020, 10, 969. [Google Scholar] [CrossRef] [PubMed]
- Jin, S.; Lee, S.H.; Lee, D.H.; Manjula, P.; Lee, S.H.; Lee, J.H. Genetic association of DEGS1, ELOVL6, FABP3, FABP4, FASN and SCD genes with fatty acid composition in breast and thigh muscles of Korean native chicken. Anim. Genet. 2020, 51, 344–345. [Google Scholar] [CrossRef] [PubMed]
- Li, J.; Zhao, Z.; Xiang, D.; Zhang, B.; Ning, T.; Duan, T.; Rao, J.; Yang, L.; Zhang, X.; Xiong, F. Expression of APOB, ADFP and FATP1 and their correlation with fat deposition in Yunnan’s top six famous chicken breeds. Br. Poult. Sci. 2018, 59, 494–505. [Google Scholar] [CrossRef] [PubMed]
- Rajkumar, U.; Haunshi, S.; Paswan, C.; Raju, M.; Rama Rao, S.V.; Chatterjee, R.N. Characterization of indigenous Aseel chicken breed for morphological, growth, production, and meat composition traits from India. Poult. Sci. 2017, 96, 2120–2126. [Google Scholar] [CrossRef] [PubMed]
- Shafiq, M.; Khan, M.T.; Rehman, M.S.; Raziq, F.; Bughio, E.; Farooq, Z.; Gondal, M.A.; Rauf, M.; Liaqat, S.; Sarwar, F.; et al. Assessing growth performance, morphometric traits, meat chemical composition and cholesterol content in four phenotypes of naked neck chicken. Poult. Sci. 2022, 101, 101667. [Google Scholar] [CrossRef] [PubMed]
- Bongiorno, V.; Schiavone, A.; Renna, M.; Sartore, S.; Soglia, D.; Sacchi, P.; Gariglio, M.; Castillo, A.; Mugnai, C.; Forte, C.; et al. Carcass Yields and Meat Composition of Male and Female Italian Slow-Growing Chicken Breeds: Bianca di Saluzzo and Bionda Piemontese. Animals 2022, 12, 406. [Google Scholar] [CrossRef] [PubMed]
- Daszkiewicz, T.; Murawska, D.; Kubiak, D.; Han, J. Chemical Composition and Fatty Acid Profile of the Pectoralis major Muscle in Broiler Chickens Fed Diets with Full-Fat Black Soldier Fly (Hermetia illucens) Larvae Meal. Animals 2022, 12, 464. [Google Scholar] [CrossRef] [PubMed]
- Cui, L.; Zhang, X.; Cheng, R.; Ansari, A.R.; Elokil, A.A.; Hu, Y.; Chen, Y.; Nafady, A.A.; Liu, H. Sex differences in growth performance are related to cecal microbiota in chicken. Microb. Pathog. 2021, 150, 104710. [Google Scholar] [CrossRef] [PubMed]
- Guo, Y.; Guo, X.; Deng, Y.; Cheng, L.; Hu, S.; Liu, H.; Hu, J.; Hu, B.; Li, L.; He, H.; et al. Effects of different rearing systems on intramuscular fat content, fatty acid composition, and lipid metabolism-related genes expression in breast and thigh muscles of Nonghua ducks. Poult. Sci. 2020, 99, 4832–4844. [Google Scholar] [CrossRef] [PubMed]
- Kim, D.H.; Choi, Y.M.; Lee, J.; Shin, S.; Kim, S.; Suh, Y.; Lee, K. Differential Expression of MSTN Isoforms in Muscle between Broiler and Layer Chickens. Animals 2022, 12, 539. [Google Scholar] [CrossRef] [PubMed]
- Masek, T.; Starcevic, K.; Filipovic, N.; Stojevic, Z.; Brozic, D.; Gottstein, Z.; Severin, K. Tissue fatty acid composition and estimated desaturase activity after castration in chicken broilers fed with linseed or sunflower oil. J. Anim. Physiol. Anim. Nutr. 2014, 98, 384–392. [Google Scholar] [CrossRef] [PubMed]
- Le Bihan-Duval, E.; Debut, M.; Berri, C.M.; Sellier, N.; Sante-Lhoutellier, V.; Jego, Y.; Beaumont, C. Chicken meat quality: Genetic variability and relationship with growth and muscle characteristics. BMC Genet. 2008, 9, 53. [Google Scholar] [CrossRef] [PubMed]
- Sokoya, O.O.; Babajide, J.M.; Shittu, T.A.; Sanwo, K.A.; Adegbite, J.A. Chemical and color characterization of breast meat from FUNAAB indigenous and marshal broiler chickens. Trop. Anim. Health Prod. 2019, 51, 2575–2582. [Google Scholar] [CrossRef] [PubMed]
- Mir, N.A.; Rafiq, A.; Kumar, F.; Singh, V.; Shukla, V. Determinants of broiler chicken meat quality and factors affecting them: A review. J. Food Sci. Technol. 2017, 54, 2997–3009. [Google Scholar] [CrossRef] [PubMed]
- Tejeda, O.J.; Calderon, A.J.; Arana, J.A.; Meloche, K.J.; Starkey, J.D. Broiler chicken myofiber morphometrics and myogenic stem cell population heterogeneity1,2. Poult. Sci. 2019, 98, 4123–4130. [Google Scholar] [CrossRef] [PubMed]
- Gonzalez Ariza, A.; Arando Arbulu, A.; Navas Gonzalez, F.J.; Nogales Baena, S.; Delgado Bermejo, J.V.; Camacho Vallejo, M.E. The Study of Growth and Performance in Local Chicken Breeds and Varieties: A Review of Methods and Scientific Transference. Animals 2021, 11, 2492. [Google Scholar] [CrossRef] [PubMed]
- Cygan-Szczegielniak, D.; Bogucka, J. Growth Performance, Carcass Characteristics and Meat Quality of Organically Reared Broiler Chickens Depending on Sex. Animals 2021, 11, 3274. [Google Scholar] [CrossRef] [PubMed]
- Rizzi, C.; Marangon, A.; Chiericato, G.M. Effect of genotype on slaughtering performance and meat physical and sensory characteristics of organic laying hens. Poult. Sci. 2007, 86, 128–135. [Google Scholar] [CrossRef] [PubMed]
- Mahiza, M.I.N.; Lokman, H.I.; Ibitoye, E.B. Fatty acid profile in the breast and thigh muscles of the slow- and fast-growing birds under the same management system. Trop. Anim. Health Prod. 2021, 53, 409. [Google Scholar] [CrossRef]

| Item | Breast Muscle | Thigh Muscle | ||
|---|---|---|---|---|
| Male | Female | Male | Female | |
| Moisture | 74.42 ± 0.17 | 74.38 ± 0.18 | 76.31 ± 0.26 A | 76.31 ± 0.16 A | 
| Crude protein | 23.64 ± 0.75 aA | 22.89 ± 0.17 bA | 20.29 ± 0.35 B | 19.96 ± 0.19 B | 
| Crude fat | 0.68 ± 0.02 bB | 0.92 ± 0.18 aB | 1.15 ± 0.09 bA | 1.78 ± 0.16 aA | 
| Items # | Breast Muscle | Thigh Muscle | ||
|---|---|---|---|---|
| Male | Female | Male | Female | |
| C12:0 | N.D. | 0.01 ± 0.01 | N.D. | 0.01 ± 0.00 | 
| C13:0 | 0.02 ± 0.01 b | 0.03 ± 0.01 a | N.D. | N.D. | 
| C14:0 | 0.19 ± 0.03 B | 0.25 ± 0.02 B | 0.30 ± 0.04 bA | 0.47 ± 0.02 aA | 
| C15:0 | 0.03 ± 0.01 bA | 0.09 ± 0.01 a | 0.09 ± 0.01 | 0.12 ± 0.01 A | 
| C16:0 | 21.85 ± 0.43bA | 23.78 ± 0.30 aA | 18.65 ± 0.70 B | 20.42 ± 2.28 B | 
| C17:0 | 0.19 ± 0.02 B | 0.19 ± 0.01 | 0.26 ± 0.01 A | 0.24 ± 0.02 | 
| C18:0 | 16.87 ± 0.49 | 14.77 ± 0.61 | 18.93 ± 1.41 a | 12.75 ± 0.86 b | 
| C20:0 | 0.05 ± 0.001 bB | 0.08 ± 0.01 a | 0.12 ± 0.01 A | 0.11 ± 0.00 | 
| C22:0 | 0.03 ± 0.01 B | 0.04 ± 0.00 | 0.06 ± 0.00 bA | 0.04 ± 0.01 a | 
| C24:0 | 0.16 ± 0.02 A | 0.17 ± 0.01 A | 0.08 ± 0.01 B | 0.07 ± 0.01 B | 
| ∑SFA | 39.48 ± 0.27 | 39.60 ± 0.54 A | 38.52 ± 0.90 a | 34.26 ± 1.99 bB | 
| C14:1 | 0.02 ± 0.02 B | 0.04 ± 0.02 B | 0.05 ± 0.01 A | 0.07 ± 0.01 A | 
| C16:1 | 0.20 ± 0.05 | 0.60 ± 0.13 B | 0.56 ± 0.13 b | 1.74 ± 0.90 aA | 
| C18:1(n-9)t | 0.01 ± 0.01 b | 0.06 ± 0.01 a | 0.03 ± 0.01 b | 0.07 ± 0.01 a | 
| C18:1(n-9)c | 17.66 ± 0.72 | 20.62 ± 1.06 B | 20.53 ± 1.51 b | 27.88 ± 1.18 aA | 
| C20:1 | 0.19 ± 0.02 B | 0.16 ± 0.01 B | 0.28 ± 0.02 A | 0.25 ± 0.03 A | 
| ∑MUFA | 18.08 ± 0.77 | 21.47 ± 1.18 B | 21.45 ± 1.63 b | 30.01 ± 4.53 aA | 
| C18:2(n-6) | 18.77 ± 1.04 B | 19.78 ± 0.58 B | 25.69 ± 0.94 A | 27.10 ± 1.16 A | 
| C18:3(n-6) | 0.10 ± 0.0 aA | 0.05 ± 0.01 bB | 0.05 ± 0.01 bB | 0.07 ± 0.01 aA | 
| C20:2(n-6) | 0.90 ± 0.06 aA | 0.67 ± 0.08 bA | 0.61 ± 0.04 bB | 0.37 ± 0.04 bB | 
| C20:3(n-6) | 0.60 ± 0.03 bA | 0.82 ± 0.06 aA | 0.33 ± 0.02 B | 0.33 ± 0.04 B | 
| C20:4(n-6) | 18.59 ± 1.31 aA | 14.57 ± 1.01 bA | 11.34 ± 1.39 aB | 5.94 ± 0.86 bB | 
| ∑n-6 | 38.77 ± 0.51 a | 35.89 ± 0.69 b | 38.01 ± 0.96 a | 33.82 ± 1.51 b | 
| C18:3(n-3) | 0.32 ± 0.09 B | 0.53 ± 0.09 B | 0.65 ± 0.14 bA | 1.150 ± 0.10 aA | 
| C20:3(n-3) | 0.06 ± 0.01 A | 0.05 ± 0.01 A | 0.03 ± 0.00 B | 0.02 ± 0.00 B | 
| C22:3(n-3) | 3.29 ± 0.26 aA | 2.48 ± 0.16 bA | 1.35 ± 0.21 aB | 0.75 ± 0.12 bB | 
| ∑n-3 | 3.67 ± 0.20 aA | 3.06 ± 0.15 bA | 2.02 ± 0.13 B | 1.91 ± 0.12 B | 
| ∑PUFA | 42.44 ± 0.63 aA | 38.96 ± 0.78 bA | 40.03 ± 0.97 aB | 35.73 ± 1.63 bB | 
| ∑MUFA/∑SFA | 0.46 ± 0.02 | 0.55 ± 0.04 B | 0.57 ± 0.05 b | 0.94 ± 0.13 aA | 
| ∑PUFA/∑SFA | 1.08 ± 0.01 | 0.98 ± 0.02 | 1.04 ± 0.03 | 1.13 ± 0.18 | 
| ∑n-6/∑n-3 | 10.82 ± 0.55 B | 11.95 ± 0.58 B | 19.50 ± 1.32 A | 18.16 ± 1.08 A | 
| Items | Breast Muscle | Thigh Muscle | ||
|---|---|---|---|---|
| Male | Female | Male | Female | |
| Arg * | 6.88 ± 0.01 B | 6.84 ± 0.20 B | 7.09 ± 0.02 A | 7.11 ± 0.02 A | 
| Ile | 5.14 ± 0.01 A | 5.11 ± 0.03 A | 4.97 ± 0.02 B | 4.90 ± 0.04 B | 
| Leu | 8.31 ± 0.04 aB | 8.24 ± 0.05 bA | 8.15 ± 0.02 A | 8.08 ± 0.04 B | 
| Lys | 9.19 ± 0.01 aA | 9.05 ± 0.03 b | 9.07 ± 0.04 B | 9.03 ± 0.03 | 
| Met | 2.78 ± 0.04 b | 2.97 ± 0.03 aA | 2.68 ± 0.05 | 2.81 ± 0.05 B | 
| Phe | 5.45 ± 0.01 bA | 5.53 ± 0.02 aA | 4.84 ± 0.03 aB | 4.76 ± 0.02 bB | 
| Thr | 4.79 ± 0.01 | 4.75 ± 0.02 A | 4.75 ± 0.01 a | 4.68 ± 0.02 bB | 
| Val | 5.33 ± 0.02 A | 5.31 ± 0.03 A | 4.99 ± 0.03 B | 4.93 ± 0.04 B | 
| ∑Eaa | 47.88 ± 0.07 A | 47.81 ± 0.03 A | 46.55 ± 0.09 B | 46.29 ± 0.19 B | 
| Ala * | 6.08 ± 0.02 aB | 6.02 ± 0.02 bB | 6.15 ± 0.02 A | 6.16 ± 0.04 A | 
| Asp * | 9.45 ± 0.02 A | 9.45 ± 0.02 A | 9.24 ± 0.02 B | 9.28 ± 0.03 B | 
| Cys | 0.17 ± 0.02 bB | 0.26 ± 0.03 a | 0.25 ± 0.02 A | 0.27 ± 0.02 | 
| Glu * | 15.60 ± 0.04 aB | 15.44 ± 0.04 bB | 16.43 ± 0.03 A | 16.43 ± 0.05 A | 
| Gly * | 4.55 ± 0.04 B | 4.55 ± 0.02 B | 5.30 ± 0.06 A | 5.57 ± 0.14 A | 
| His | 4.16 ± 0.08 bA | 4.47 ± 0.04 aA | 3.15 ± 0.04 B | 3.09 ± 0.03 B | 
| Pro | 3.92 ± 0.05 B | 3.88 ± 0.03 B | 4.55 ± 0.04 A | 4.68 ± 0.05 A | 
| Ser | 4.21 ± 0.01 B | 4.17 ± 0.01 B | 4.39 ± 0.01 A | 4.34 ± 0.02 A | 
| Tyr | 3.98 ± 0.01 a | 3.94 ± 0.01 bA | 3.99 ± 0.03 a | 3.88 ± 0.01 bB | 
| ∑NEAA | 52.12 ± 0.07 B | 52.19 ± 0.03 B | 53.45 ± 0.09 A | 53.71 ± 0.19 A | 
| ∑flavor amino acid | 42.56 ± 0.07 B | 42.31 ± 0.07 B | 44.22 ± 0.10 A | 44.55 ± 0.20 A | 
| Publisher’s Note: MDPI stays neutral with regard to jurisdictional claims in published maps and institutional affiliations. | 
© 2022 by the authors. Licensee MDPI, Basel, Switzerland. This article is an open access article distributed under the terms and conditions of the Creative Commons Attribution (CC BY) license (https://creativecommons.org/licenses/by/4.0/).
Share and Cite
Ou, Z.; Shi, Y.; Li, Q.; Wu, Y.; Chen, F. Effects of Sex on the Muscle Development and Meat Composition in Wuliangshan Black-Bone Chickens. Animals 2022, 12, 2565. https://doi.org/10.3390/ani12192565
Ou Z, Shi Y, Li Q, Wu Y, Chen F. Effects of Sex on the Muscle Development and Meat Composition in Wuliangshan Black-Bone Chickens. Animals. 2022; 12(19):2565. https://doi.org/10.3390/ani12192565
Chicago/Turabian StyleOu, Zhengmiao, Yanyan Shi, Qingqing Li, Yun Wu, and Fenfen Chen. 2022. "Effects of Sex on the Muscle Development and Meat Composition in Wuliangshan Black-Bone Chickens" Animals 12, no. 19: 2565. https://doi.org/10.3390/ani12192565
APA StyleOu, Z., Shi, Y., Li, Q., Wu, Y., & Chen, F. (2022). Effects of Sex on the Muscle Development and Meat Composition in Wuliangshan Black-Bone Chickens. Animals, 12(19), 2565. https://doi.org/10.3390/ani12192565
 
        
 
       