Immunolocalization of Nesfatin-1 in the Gastrointestinal Tract of the Common Bottlenose Dolphin Tursiops truncatus
Abstract
:Simple Summary
Abstract
1. Introduction
2. Materials and Methods
2.1. Animals and Sample Preparations
2.2. Single Immunohistochemistry
2.3. Controls of Specificity
2.4. Image Acquisition
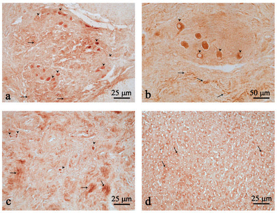
3. Results
4. Discussion
5. Conclusions
Supplementary Materials
Author Contributions
Funding
Institutional Review Board Statement
Informed Consent Statement
Data Availability Statement
Acknowledgments
Conflicts of Interest
References
- Hopkins, M.; Blundell, J.; Halford, J.; King, N.; Finlayson, G. The regulation of food intake in humans. In Endotext [Internet]; Feingold, K.R., Anawalt, B., Boyce, A., Chrousos, G., de Herder, W.W., Dhatariya, K., Dungan, K., Hershman, J.M., Hofland, J., Kalra, S., et al., Eds.; MDText.com, Inc.: South Dartmouth, MA, USA, 2000. Available online: https://www.ncbi.nlm.nih.gov/books/NBK278931/ (accessed on 30 March 2016).
- Palasz, A.; Krzystanek, M.; Worthington, J.; Czajkowska, B.; Kostro, K.; Wiaderkiewicz, R.; Bajor, G. Nesf-1, a unique regulatory neuropeptide of the brain. Neuropeptides 2012, 46, 105–112. [Google Scholar] [CrossRef] [PubMed] [Green Version]
- Dotania, K.; Tripathy, M.; Rai, U. A comparative account of nesfatin-1 in vertebrates. Gen. Comp. Endocrinol. 2021, 312, 113874. [Google Scholar] [CrossRef] [PubMed]
- Oh-I, S.; Shimizu, H.; Satoh, T.; Okada, S.; Adachi, S.; Inoue, K.; Eguchi, H.; Yamamoto, M.; Imaki, T.; Hashimoto, K.; et al. Identification of Nesf-1 as a satiety molecule in the hypothalamus. Nature 2006, 443, 709–712. [Google Scholar] [CrossRef] [PubMed]
- Stengel, A.; Mori, M.; Tachè, Y. The role of nesfatin-1 in the regulation of food intake and body weight—Recent developments and future endeavors. Obes. Rev. 2013, 14, 859–870. [Google Scholar] [CrossRef] [PubMed] [Green Version]
- Gotoh, K.; Masaki, T.; Chiba, S.; Ando, H.; Shimasaki, T.; Mitsutomi, K.; Fujiwara, K.; Katsuragi, I.; Kakuma, T.; Sakata, T.; et al. Nesfatin-1, corticotropin-releasing hormone, thyrotropin-releasing hormone, and neuronal histamine interact in the hypothalamus to regulate feeding behavior. J. Neurochem. 2013, 124, 90–99. [Google Scholar] [CrossRef]
- Shimizu, H.; Oh-I, S.; Hashimoto, K.; Nakata, M.; Yamamoto, S.; Yoshida, N.; Eguchi, H.; Kato, I.; Inoue, K.; Satoh, T.; et al. Peripheral administration of Nesf-1 reduces food intake in mice: The leptin-independent mechanism. Endocrinology 2009, 150, 662–671. [Google Scholar] [CrossRef]
- Stengel, A.; Goebel, M.; Yakubov, I.; Wang, L.; Witcher, D.; Coskun, T.; Taché, Y.; Sachs, G.; Lambrecht, N.W. Identification and characterization of nesfatin-1immunoreactivity in endocrine cell types of the rat gastric oxyntic mucosa. Endocrinology 2009, 150, 232–238. [Google Scholar] [CrossRef] [Green Version]
- Ramanjaneya, M.; Chen, J.; Brown, J.E.; Tripathi, G.; Hallschmid, M.; Patel, S.; Kern, W.; Hillhouse, E.W.; Lehnert, H.; Tan, B.K.; et al. Identification of Nesf-1 in human and murine adipose tissue: A novel depot-specific adipokine with increased levels in obesity. Endocrinology 2010, 151, 3169–3180. [Google Scholar] [CrossRef] [Green Version]
- Kim, J.; Chung, Y.; Kim, H.; Im, E.; Lee, H.; Yang, H. The tissue distribution of Nesf-1/NUCB2 in mouse. Dev. Reprod. 2014, 18, 301–309. [Google Scholar] [CrossRef] [Green Version]
- Garcia-Galiano, D.; Pineda, R.; Ilhan, T.; Castellano, J.M.; Ruiz-Pino, F.; Sánchez-Garrido, M.A.; Vazquez, M.J.; Sangiao-Alvarellos, S.; Romero-Ruiz, A.; Pinilla, L.; et al. Cellular distribution, regulated expression, and functional role of the anorexigenic peptide, NUCB2/nesfatin 1, in the testis. Endocrinology 2012, 153, 1959–1971. [Google Scholar] [CrossRef]
- Stengel, A.; Goebel-Stengel, M.; Jawien, J.; Kobelt, P.; Taché, Y.; Lambrecht, N.W. Lipopolysaccharide increases gastric and circulating NUCB2/nesfatin-1 concentrations in rats. Peptides 2011, 32, 1942–1947. [Google Scholar] [CrossRef] [PubMed] [Green Version]
- Gonzalez, R.; Kerbel, B.; Chun, A.; Unniappan, S. Molecular, cellular and physiological evidences for the anorexigenic actions of nesfatin-1 in goldfish. PLoS ONE 2010, 5, e15201. [Google Scholar] [CrossRef] [PubMed]
- Hatef, A.; Shajan, S.; Unniappan, S. Nutrient status modulates the expression of nesfatin-1 encoding nucleobindin 2A and 2B mRNAs in zebrafish gut, liver and brain. Gen. Comp. Endocrinol. 2015, 215, 51–60. [Google Scholar] [CrossRef]
- Montesano, A.; De Felice, E.; Leggieri, A.; Palladino, A.; Lucini, C.; Scocco, P.; de Girolamo, P.; Baumgart, M.; D’Angelo, L. Ontogenic pattern changes of Nucleobindin-2/Nesfatin-1 in the brain and intestinal bulb of the short lived African turquoise killifish. J. Clin. Med. 2020, 9, 13. [Google Scholar]
- Szekely, M.; Petervari, E.; Balasko, M. Thermoregulation, energy balance, regulatory peptides: Recent developments. Front. Biosci. 2010, 2, 1009–1046. [Google Scholar] [CrossRef] [PubMed] [Green Version]
- Russo, F.; Gatta, C.; de Girolamo, P.; Cozzi, B.; Giurisato, M.; Lucini, C.; Varricchio, E. Expression and immunohistochemical detection of leptin-like peptide in the gastrointestinal tract of the South American sea lion (Otaria flavescens) and the bottlenose dolphin (Tursiops truncatus). Anat. Rec. 2012, 295, 1482–1493. [Google Scholar] [CrossRef]
- Bombardi, C.; Rambaldi, A.M.; Galiazzo, G.; Giancola, F.; Graïc, J.M.; Salamanca, G.; Cozzi, B.; Chiocchetti, R. Nitrergic and substance p immunoreactive neurons in the enteric nervous system of the bottlenose dolphin (Tursiops truncatus) intestine. Animals 2021, 11, 1057. [Google Scholar] [CrossRef]
- Reindenberg, J.S. Anatomical adaptations of aquatic mammals. Anat. Rec. 2007, 290, 507–513. [Google Scholar] [CrossRef]
- Gatta, C.; Russo, F.; Russolillo, M.G.; Varricchio, E.; Paolucci, M.; Castaldo, L.; Lucini, C.; de Girolamo, P.; Cozzi, B.; Maruccio, L. The orexin system in the enteric nervous system of the bottlenose dolphin (Tursiops truncatus). PLoS ONE 2014, 9, e105009. [Google Scholar] [CrossRef] [Green Version]
- Gatta, C.; De Felice, E.; D’Angelo, L.; Maruccio, L.; Leggieri, A.; Lucini, C.; Palladino, A.; Paolucci, M.; Scocco, P.; Varricchio, E.; et al. The case study of nesfatin-1 in the pancreas of Tursiops truncates. Front. Physiol. 2018, 9, 1845. [Google Scholar] [CrossRef]
- Perrin, W.F.; Wursig, B.; Thewissen, J.G.M. Encyclopedia of Marine Mammals, 2nd ed.; Academic Press: Cambridge, MA, USA, 2008; pp. 472–476. [Google Scholar]
- Gaskin, D.E. Form and function in the digestive tract and associated organs in cetacean, with a consideration of metabolic rates and specific energy budgets. Oceanogr. Mar. Biol. Ann. Rev. 1978, 16, 313–345. [Google Scholar]
- Harrison, R.J.; Johnson, F.R.; Young, B.A. The oesaphagus and stomach of dolphins (Tursiops, Delphinus, Stenella). J. Zool. Lond. 1970, 160, 377–390. [Google Scholar] [CrossRef]
- Ridgway, S.M. Mammals of the Sea. Biology and Medicine, 1st ed.; Thomas: Springfield, IL, USA, 1972; cap.4; pp. 247–363. [Google Scholar]
- Cozzi, B.; Huggenberger, S.; Oelschlager, H. The Anatomy of the Dolphins: Insights into Body Structure and Function, 1st ed.; Academic Press: Cambridge, MA, USA, 2016; cap.8; pp. 339–368. [Google Scholar]
- Harrison, R.J.; Johnson, F.R.; Young, B.A. The small intestine of dolphins (Tursiops, Delphinus, Stenella). In Functional Anatomy of Marine Mammals; Harrison, R.J., Ed.; Academic Press: New York, NY, USA, 1977; Volume 3, pp. 297–331. [Google Scholar]
- Zhang, A.Q.; Li, X.L.; Jiang, C.Y.; Lin, L.; Shi, R.H.; Chen, J.D.; Oomura, Y. Expression of nesfatin-1/NUCB2 in rodent digestive system. World J. Gastroenterol. 2010, 6, 1735–1741. [Google Scholar] [CrossRef]
- Varricchio, E.; Russolillo, M.G.; Russo, F.; Lombardi, V.; Paolucci, M.; Maruccio, L. Expression and immunohistochemical detection of Nesfatin-1 in the gastrointestinal tract of Casertana pig. Acta Histochem. 2014, 116, 583–587. [Google Scholar] [CrossRef]
- Furness, J.B.; Callaghan, B.P.; Rivera, L.R.; Cho, H.J. The enteric nervous system and gastrointestinal innervation: Integrated local and central control. Adv. Exp. Med. Biol. 2014, 817, 39–71. [Google Scholar] [PubMed]
- Szlachcic, A.; Sliwowski, Z.; Krzysiek-Maczka, G.; Majka, J.; Surmiak, M.; Pajdo, R.; Drozdowicz, D.; Konturek, S.J.; Brzozowski, T. New satiety hormone nesfatin-1 protects gastric mucosa against stress-induced injury: Mechanistic roles of prostaglandins, nitric oxide, sensory nerves and vanilloid receptors. Peptides 2013, 49, 9–20. [Google Scholar] [CrossRef]
- Atsuchi, K.; Asakawa, A.; Ushikai, M.; Ataka, K.; Tsai, M.; Koyama, K.; Sato, Y.; Kato, I.; Fujimiya, M.; Inui, A. Centrally administered nesfatin-1 inhibits feeding behaviour and gastroduodenal motility in mice. Neuroreport 2010, 21, 1008–1011. [Google Scholar] [CrossRef] [PubMed]
- Watanabe, A.; Mochiki, E.; Kimura, A.; Kogure, N.; Yanai, M.; Ogawa, A.; Toyomasu, Y.; Ogata, K.; Ohno, T.; Suzuki, H.; et al. Nesfatin-1 suppresses gastric contractions and inhibits interdigestive migrating contractions in conscious dogs. Dig. Dis. Sci. 2015, 6, 1595–1602. [Google Scholar] [CrossRef]



| Mucosal Epithelium | Enteric Nervous System | ||
|---|---|---|---|
| Neurons | Fibers | ||
| First chamber | − | − | + |
| Second chamber | + | + | + |
| Third chamber | + | + | + |
| Intestine | − | + | + |
Publisher’s Note: MDPI stays neutral with regard to jurisdictional claims in published maps and institutional affiliations. |
© 2022 by the authors. Licensee MDPI, Basel, Switzerland. This article is an open access article distributed under the terms and conditions of the Creative Commons Attribution (CC BY) license (https://creativecommons.org/licenses/by/4.0/).
Share and Cite
De Felice, E.; Gatta, C.; Giaquinto, D.; Fioretto, F.; Maruccio, L.; d’Angelo, D.; Scocco, P.; de Girolamo, P.; D’Angelo, L. Immunolocalization of Nesfatin-1 in the Gastrointestinal Tract of the Common Bottlenose Dolphin Tursiops truncatus. Animals 2022, 12, 2148. https://doi.org/10.3390/ani12162148
De Felice E, Gatta C, Giaquinto D, Fioretto F, Maruccio L, d’Angelo D, Scocco P, de Girolamo P, D’Angelo L. Immunolocalization of Nesfatin-1 in the Gastrointestinal Tract of the Common Bottlenose Dolphin Tursiops truncatus. Animals. 2022; 12(16):2148. https://doi.org/10.3390/ani12162148
Chicago/Turabian StyleDe Felice, Elena, Claudia Gatta, Daniela Giaquinto, Federica Fioretto, Lucianna Maruccio, Danila d’Angelo, Paola Scocco, Paolo de Girolamo, and Livia D’Angelo. 2022. "Immunolocalization of Nesfatin-1 in the Gastrointestinal Tract of the Common Bottlenose Dolphin Tursiops truncatus" Animals 12, no. 16: 2148. https://doi.org/10.3390/ani12162148
APA StyleDe Felice, E., Gatta, C., Giaquinto, D., Fioretto, F., Maruccio, L., d’Angelo, D., Scocco, P., de Girolamo, P., & D’Angelo, L. (2022). Immunolocalization of Nesfatin-1 in the Gastrointestinal Tract of the Common Bottlenose Dolphin Tursiops truncatus. Animals, 12(16), 2148. https://doi.org/10.3390/ani12162148

