Pathological and Tissue-Based Molecular Investigation of Granulomas in Cichlids Reared as Ornamental Fish
Abstract
Simple Summary
Abstract
1. Introduction
2. Materials and Methods
2.1. Animals Clinical History and Sampling
2.2. Histology and Histochemistry
2.3. Molecular Investigation for Lymphocystis Disease Virus (LCDV)
2.4. Molecular Investigation for Bacteria
2.5. Immunohistochemistry (IHC)
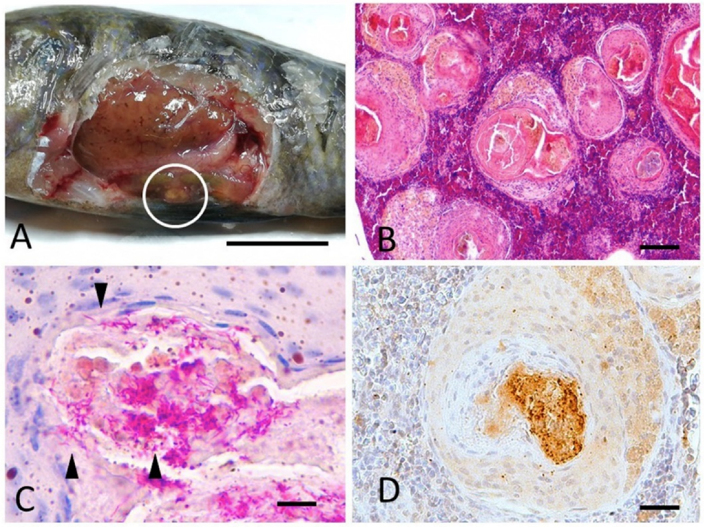
3. Results
3.1. Gross and Microscopical Findings
3.2. Molecular Analyses
3.3. Immunohistochemistry (IHC)
4. Discussion
5. Conclusions
Author Contributions
Funding
Institutional Review Board Statement
Data Availability Statement
Acknowledgments
Conflicts of Interest
References
- Msukwa, A.V.; Cowx, I.G.; Harvey, J.P. Vulnerability Assessment of Lake Malawi’s Ornamental Fish Resources to Export Ornamental Trade. Fish. Res. 2021, 238, 105869. [Google Scholar] [CrossRef]
- Dee, L.E.; Horii, S.S.; Thornhill, D.J. Conservation and Management of Ornamental Coral Reef Wildlife: Successes, Shortcomings, and Future Directions. Biol. Conserv. 2014, 169, 225–237. [Google Scholar] [CrossRef]
- Noga, E.J. Fish Disease: Diagnosis and Treatment, 2nd ed.; Wiley-Blackwell: Oxford, UK, 2010; ISBN 978-0-8138-0697-6. [Google Scholar]
- Novotny, L.; Halouzka, R.; Matlova, L.; Vavra, O.; Bartosova, L.; Slany, M.; Pavlik, I. Morphology and Distribution of Granulomatous Inflammation in Freshwater Ornamental Fish Infected with Mycobacteria: Mycobacteriosis in Fish. J. Fish Dis. 2010, 33, 947–955. [Google Scholar] [CrossRef] [PubMed]
- Johan, C.A.C.; Zainathan, S.C. Megalocytiviruses in Ornamental Fish: A Review. Vet. World 2020, 13, 2565–2577. [Google Scholar] [CrossRef]
- Whittington, R.J.; Becker, J.A.; Dennis, M.M. Iridovirus Infections in Finfish—Critical Review with Emphasis on Ranaviruses. J. Fish Dis. 2010, 33, 95–122. [Google Scholar] [CrossRef]
- Vanhove, M.P.M.; Hablützel, P.I.; Pariselle, A.; Šimková, A.; Huyse, T.; Raeymaekers, J.A.M. Cichlids: A Host of Opportunities for Evolutionary Parasitology. Trends Parasitol. 2016, 32, 820–832. [Google Scholar] [CrossRef]
- Paperna, I.; Vilenkin, M.; Alves de Matos, A. Iridovirus Infections in Farm-Reared Tropical Ornamental Fish. Dis. Aquat. Org. 2001, 48, 17–25. [Google Scholar] [CrossRef][Green Version]
- Birkbeck, T.H.; Feist, S.W.; Verner-Jeffreys, D.W. Francisella Infections in Fish and Shellfish: Francisella Infections in Fish and Shellfish. J. Fish Dis. 2011, 34, 173–187. [Google Scholar] [CrossRef]
- Lewisch, E.; Menanteau-Ledouble, S.; Tichy, A.; El-Matbouli, M. Susceptibility of Common Carp and Sunfish to a Strain of Francisella Noatunensis Subsp. Orientalis in a Challenge Experiment. Dis. Aquat. Org. 2016, 121, 161–166. [Google Scholar] [CrossRef]
- de Alexandre Sebastião, F.; LaFrentz, B.R.; Shelley, J.P.; Stevens, B.; Marancik, D.; Dunker, F.; Reavill, D.; Soto, E. Flavobacterium Inkyongense Isolated from Ornamental Cichlids. J. Fish Dis. 2019, 42, 1309–1313. [Google Scholar] [CrossRef]
- López-Crespo, R.A.; Martínez-Chavarría, L.C.; Lugo-García, A.T.; Romero-Romero, L.P.; García-Márquez, L.J.; Reyes-Matute, A. Outbreak of Francisellosis (Francisella Noatunensis Subsp. Orientalis) in Cultured Neon Jewel Cichlids Hemichromis Bimaculatus from Morelos, Mexico. Dis Aquat. Org. 2019, 137, 125–130. [Google Scholar] [CrossRef] [PubMed]
- Chang, C.-H.; Poudyal, S.; Pulpipat, T.; Wang, P.-C.; Chen, S.-C. Pathological Manifestations of Francisella Orientalis in the Green Texas Cichlid (Herichthys Cyanoguttatus). Animals 2021, 11, 2284. [Google Scholar] [CrossRef] [PubMed]
- Phillips Savage, A.C.N.; Suepaul, R.; Smith, S.A.; Ali, A.; Ramcharan, N.; Ramnarine, S.; Sookdeo, R. Cryptobia Iubilans Infections in Discus Fish in Trinidad and Tobago. J. Parasitol. 2020, 106, 506–512. [Google Scholar] [CrossRef] [PubMed]
- Kitamura, S.-I.; Jung, S.-J.; Kim, W.-S.; Nishizawa, T.; Yoshimizu, M.; Oh, M.-J. A New Genotype of Lymphocystivirus, LCDV-RF, from Lymphocystis Diseased Rockfish. Arch. Virol. 2006, 151, 607–615. [Google Scholar] [CrossRef] [PubMed]
- Kvitt, H.; Heinisch, G.; Diamant, A. Detection and Phylogeny of Lymphocystivirus in Sea Bream Sparus Aurata Based on the DNA Polymerase Gene and Major Capsid Protein Sequences. Aquaculture 2008, 275, 58–63. [Google Scholar] [CrossRef]
- Ciulli, S.; Pinheiro, A.C.D.; Volpe, E.; Moscato, M.; Jung, T.S.; Galeotti, M.; Stellino, S.; Farneti, R.; Prosperi, S. Development and Application of a Real-Time PCR Assay for the Detection and Quantitation of Lymphocystis Disease Virus. J. Virol Methods 2015, 213, 164–173. [Google Scholar] [CrossRef]
- Sirri, R.; Ciulli, S.; Barbé, T.; Volpe, E.; Lazzari, M.; Franceschini, V.; Errani, F.; Sarli, G.; Mandrioli, L. Detection of Cyprinid Herpesvirus 1 DNA in Cutaneous Squamous Cell Carcinoma of Koi Carp (Cyprinus Carpio). Vet. Dermatol. 2018, 29, 60-e24. [Google Scholar] [CrossRef]
- Telenti, A.; Marchesi, F.; Balz, M.; Bally, F.; Böttger, E.C.; Bodmer, T. Rapid Identification of Mycobacteria to the Species Level by Polymerase Chain Reaction and Restriction Enzyme Analysis. J. Clin. Microbiol. 1993, 31, 175–178. [Google Scholar] [CrossRef]
- López, V.; Risalde, M.A.; Contreras, M.; Mateos-Hernández, L.; Vicente, J.; Gortázar, C.; de la Fuente, J. Heat-Inactivated Mycobacterium Bovis Protects Zebrafish against Mycobacteriosis. J. Fish Dis. 2018, 41, 1515–1528. [Google Scholar] [CrossRef]
- Volpe, E.; Mandrioli, L.; Errani, F.; Serratore, P.; Zavatta, E.; Rigillo, A.; Ciulli, S. Evidence of Fish and Human Pathogens Associated with Doctor Fish (Garra Rufa, Heckel, 1843) Used for Cosmetic Treatment. J. Fish Dis. 2019, 42, 1637–1644. [Google Scholar] [CrossRef]
- Brüggemann, H.; Salar-Vidal, L.; Gollnick, H.P.M.; Lood, R. A Janus-Faced Bacterium: Host-Beneficial and -Detrimental Roles of Cutibacterium Acnes. Front. Microbiol. 2021, 12, 673845. [Google Scholar] [CrossRef] [PubMed]
- Negi, M.; Takemura, T.; Guzman, J.; Uchida, K.; Furukawa, A.; Suzuki, Y.; Iida, T.; Ishige, I.; Minami, J.; Yamada, T.; et al. Localization of Propionibacterium Acnes in Granulomas Supports a Possible Etiologic Link between Sarcoidosis and the Bacterium. Mod. Pathol. 2012, 25, 1284–1297. [Google Scholar] [CrossRef] [PubMed]
- Isshiki, T.; Homma, S.; Eishi, Y.; Yabe, M.; Koyama, K.; Nishioka, Y.; Yamaguchi, T.; Uchida, K.; Yamamoto, K.; Ohashi, K.; et al. Immunohistochemical Detection of Propionibacterium Acnes in Granulomas for Differentiating Sarcoidosis from Other Granulomatous Diseases Utilizing an Automated System with a Commercially Available PAB Antibody. Microorganisms 2021, 9, 1668. [Google Scholar] [CrossRef]
- Bucke, D. Viral Diseases. In BSAVA Manual of Ornamental Fish; Wildgoose, W.H., Ed.; British Small Animal Veterinary Association: Gloucester, UK, 2001; pp. 201–204. ISBN 978-0-905214-57-3. [Google Scholar]
- Russell, P.H. Lymphocystis in Wild Plaice Pleuronectes platessa (L.), and Flounder, Platichthys flesus (L.), in British Coastal Waters: A Histopathological and Serological Study. J. Fish Biol. 1974, 6, 771–778. [Google Scholar] [CrossRef]
- Volpatti, D.; Ciulli, S. Lymphocystis Virus Disease. In Aquaculture Pathophysiology; Kibenge, K., Baldisserotto, R.C.B., Eds.; Elsevier Science Publishing Co Inc: New York, NY, USA, 2021. [Google Scholar]
- Decostere, A.; Hermans, K.; Haesebrouck, F. Piscine Mycobacteriosis: A Literature Review Covering the Agent and the Disease It Causes in Fish and Humans. Vet. Microbiol. 2004, 99, 159–166. [Google Scholar] [CrossRef] [PubMed]
- Shukla, S.; Shukla, S.K.; Sharma, R.; Kumar, A. Identification of Mycobacterium Species from Apparently Healthy Freshwater Aquarium Fish Using Partial Sequencing and PCR-RFLP Analysis of Heat Shock Protein (Hsp65) Gene. J. Appl. Ichthyol. 2014, 30, 513–520. [Google Scholar] [CrossRef]
- Gómez, S. Prevalence of Microscopic Tubercular Lesions in Freshwater Ornamental Fish Exhibiting Clinical Signs of Non-Specific Chronic Disease. Dis. Aquat. Org. 2008, 80, 167–171. [Google Scholar] [CrossRef]
- Colquhoun, D.J.; Duodu, S. Francisella Infections in Farmed and Wild Aquatic Organisms. Vet. Res. 2011, 42, 47. [Google Scholar] [CrossRef]
- Maekawa, S.; Yoshida, T.; Wang, P.-C.; Chen, S.-C. Current Knowledge of Nocardiosis in Teleost Fish. J. Fish Dis. 2018, 41, 413–419. [Google Scholar] [CrossRef]
- He, S.; Wei, W.; Liu, T.; Yang, Q.; Xie, H.; He, Q.; Wang, K. Isolation, Identification and Histopathological Study on Lethal Sarcoidosis of Micropterus Salmoides. J. Fish. 2020, 44, 253–265. [Google Scholar] [CrossRef]
- Hsieh, C.-Y.; Wu, Z.-B.; Tung, M.-C.; Tsai, S.-S. PCR and in Situ Hybridization for the Detection and Localization of a New Pathogen Francisella-like Bacterium (FLB) in Ornamental Cichlids. Dis. Aquat. Organ. 2007, 75, 29–36. [Google Scholar] [CrossRef] [PubMed]
- Lorgen-Ritchie, M.; Clarkson, M.; Chalmers, L.; Taylor, J.F.; Migaud, H.; Martin, S.A.M. A Temporally Dynamic Gut Microbiome in Atlantic Salmon During Freshwater Recirculating Aquaculture System (RAS) Production and Post-Seawater Transfer. Front. Mar. Sci. 2021, 8, 711797. [Google Scholar] [CrossRef]
- Meron, D.; Davidovich, N.; Ofek-Lalzar, M.; Berzak, R.; Scheinin, A.; Regev, Y.; Diga, R.; Tchernov, D.; Morick, D. Specific Pathogens and Microbial Abundance within Liver and Kidney Tissues of Wild Marine Fish from the Eastern Mediterranean Sea. Microb. Biotechnol. 2020, 13, 770–780. [Google Scholar] [CrossRef] [PubMed]
- Fischer, K.; Tschismarov, R.; Pilz, A.; Straubinger, S.; Carotta, S.; McDowell, A.; Decker, T. Cutibacterium Acnes Infection Induces Type I Interferon Synthesis Through the CGAS-STING Pathway. Front. Immunol. 2020, 11, 571334. [Google Scholar] [CrossRef] [PubMed]
- Mayslich, C.; Grange, P.A.; Dupin, N. Cutibacterium Acnes as an Opportunistic Pathogen: An Update of Its Virulence-Associated Factors. Microorganisms 2021, 9, 303. [Google Scholar] [CrossRef]
- Sevellec, M.; Pavey, S.A.; Boutin, S.; Filteau, M.; Derome, N.; Bernatchez, L. Microbiome Investigation in the Ecological Speciation Context of Lake Whitefish (Coregonus clupeaformis) Using next-Generation Sequencing. J. Evol. Biol. 2014, 27, 1029–1046. [Google Scholar] [CrossRef]
- Capoor, M.N.; Birkenmaier, C.; Wang, J.C.; McDowell, A.; Ahmed, F.S.; Brüggemann, H.; Coscia, E.; Davies, D.G.; Ohrt-Nissen, S.; Raz, A.; et al. A Review of Microscopy-Based Evidence for the Association of Propionibacterium Acnes Biofilms in Degenerative Disc Disease and Other Diseased Human Tissue. Eur. Spine J. 2019, 28, 2951–2971. [Google Scholar] [CrossRef]
- Casanova, N.G.; Gonzalez-Garay, M.L.; Sun, B.; Bime, C.; Sun, X.; Knox, K.S.; Crouser, E.D.; Sammani, N.; Gonzales, T.; Natt, B.; et al. Differential Transcriptomics in Sarcoidosis Lung and Lymph Node Granulomas with Comparisons to Pathogen-Specific Granulomas. Respir. Res. 2020, 21, 321. [Google Scholar] [CrossRef]
- Mousapasandi, A.; Herbert, C.; Thomas, P. Potential Use of Biomarkers for the Clinical Evaluation of Sarcoidosis. J. Investig. Med. 2021, 69, 804–813. [Google Scholar] [CrossRef]
- Wilson, J.L.; Mayr, H.K.; Weichhart, T. Metabolic Programming of Macrophages: Implications in the Pathogenesis of Granulomatous Disease. Front. Immunol. 2019, 10, 2265. [Google Scholar] [CrossRef]
- Locke, L.W.; Schlesinger, L.S.; Crouser, E.D. Current Sarcoidosis Models and the Importance of Focusing on the Granuloma. Front. Immunol. 2020, 11, 1719. [Google Scholar] [CrossRef] [PubMed]




| Case Number | Genus/Species | Weight (g) | Length (cm) | Sex | Gross Findings | Histological Findings | Molecular Pathogen Detection | |||
|---|---|---|---|---|---|---|---|---|---|---|
| Black Spots | Cutaneous Nodules | Visceral Granulomas | Splenic Granulomas | LCDV | Bacterium Identified | |||||
| 1 | A.jacobfreibergi | 7.90 | 10 | F | present | absent | absent | present | Negative | C. acnes |
| 2 | A. jacobfreibergi | 3.10 | 9.5 | F | present | absent | absent | present | nd | C. acnes |
| 3 | Placidochromis sp. | 6.40 | 9 | F | present | absent | absent | nv | nd | C. acnes |
| 4 | Placidochromis sp. | 7.75 | 8.5 | F | absent | absent | absent | nv | nd | C. acnes |
| 5 | M. estherae | 10.38 | 9.5 | nv | present | present | absent | present | Negative | C. acnes |
| 6 | M. estherae | 11.64 | 9.5 | nv. | absent | absent | absent | present | Negative | C. acnes |
| 7 | M. guentheri | 11.04 | 9.5 | F | absent | present | absent | absent | Negative | Negative |
| 8 | M. guentheri | 5.30 | 8.5 | nv | absent | absent | absent | absent | Negative | C. acnes |
| 9 | M. pulpican | 8.61 | 9 | F | absent | absent | present | present | Negative | M. chelonae |
| 10 | M. pulpican | 10.29 | 8.5 | M | absent | absent | absent | nv | Negative | Negative |
| 11 | M. lanisticola | 9.27 | 9 | nv | present | absent | absent | present | Negative | M. parascrofulaceum |
| 12 | P. xanthos | 13.60 | 10 | nv | absent | present | absent | absent | Negative | Negative |
Publisher’s Note: MDPI stays neutral with regard to jurisdictional claims in published maps and institutional affiliations. |
© 2022 by the authors. Licensee MDPI, Basel, Switzerland. This article is an open access article distributed under the terms and conditions of the Creative Commons Attribution (CC BY) license (https://creativecommons.org/licenses/by/4.0/).
Share and Cite
Mandrioli, L.; Codotto, V.; D’Annunzio, G.; Volpe, E.; Errani, F.; Eishi, Y.; Uchida, K.; Morini, M.; Sarli, G.; Ciulli, S. Pathological and Tissue-Based Molecular Investigation of Granulomas in Cichlids Reared as Ornamental Fish. Animals 2022, 12, 1366. https://doi.org/10.3390/ani12111366
Mandrioli L, Codotto V, D’Annunzio G, Volpe E, Errani F, Eishi Y, Uchida K, Morini M, Sarli G, Ciulli S. Pathological and Tissue-Based Molecular Investigation of Granulomas in Cichlids Reared as Ornamental Fish. Animals. 2022; 12(11):1366. https://doi.org/10.3390/ani12111366
Chicago/Turabian StyleMandrioli, Luciana, Victorio Codotto, Giulia D’Annunzio, Enrico Volpe, Francesca Errani, Yoshinobu Eishi, Keisuke Uchida, Maria Morini, Giuseppe Sarli, and Sara Ciulli. 2022. "Pathological and Tissue-Based Molecular Investigation of Granulomas in Cichlids Reared as Ornamental Fish" Animals 12, no. 11: 1366. https://doi.org/10.3390/ani12111366
APA StyleMandrioli, L., Codotto, V., D’Annunzio, G., Volpe, E., Errani, F., Eishi, Y., Uchida, K., Morini, M., Sarli, G., & Ciulli, S. (2022). Pathological and Tissue-Based Molecular Investigation of Granulomas in Cichlids Reared as Ornamental Fish. Animals, 12(11), 1366. https://doi.org/10.3390/ani12111366

