T329S Mutation in the FMO3 Gene Alleviates Lipid Metabolic Diseases in Chickens in the Late Laying Period
Simple Summary
Abstract
1. Introduction
2. Materials and Methods
2.1. Birds and Diet
2.2. Sample Collection
2.3. Serum Index Measurement
2.3.1. Serum-Lipid Parameters and Bile Acid
2.3.2. Nontraditional Serum-Lipid Parameters
2.3.3. Serum TMA and TMAO
2.3.4. Lipid-Related Transporters and VLDL
2.4. Lipid-Deposition Characteristics
2.4.1. AS Lesions Analysis
2.4.2. Liver Histopathological Observation
2.5. Statistical Analysis
3. Results
3.1. Hardy–Weinberg Equilibrium Test and Egg Production
3.2. Serum-Lipid Parameter and TBA Levels
3.3. Metabolic Characteristics
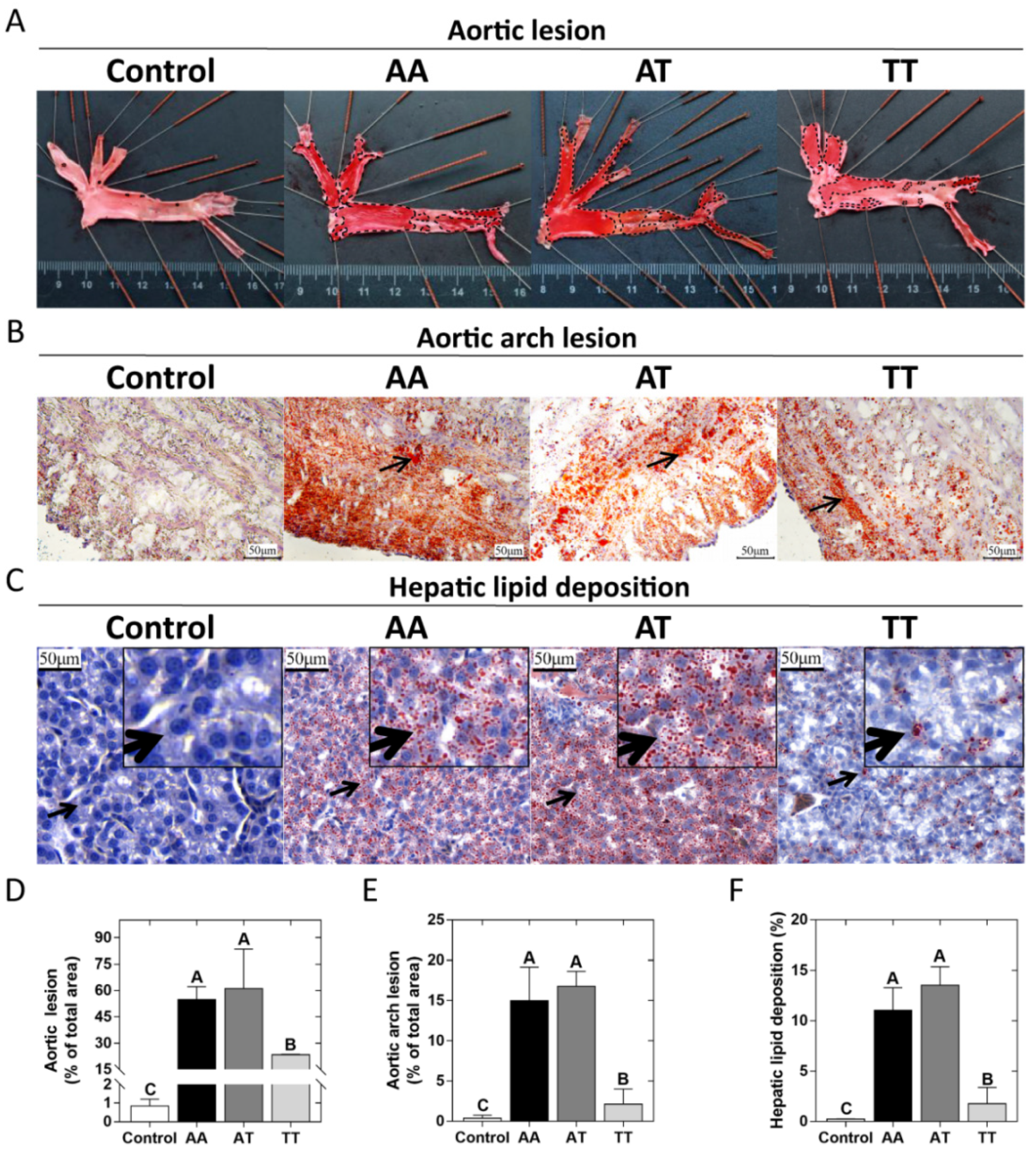
3.4. Lipid-Deposition Characteristics
3.5. Correlations among the Serum TMAO, TMA, and Lipid-Deposition Characteristics
4. Discussion
5. Conclusions
Supplementary Materials
Author Contributions
Funding
Institutional Review Board Statement
Data Availability Statement
Acknowledgments
Conflicts of Interest
References
- Krueger, S.K.; Williams, D.E. Mammalian flavin-containing monooxygenases: Structure/function, genetic polymorphisms and role in drug metabolism. Pharmacol. Ther. 2005, 106, 357–387. [Google Scholar] [CrossRef]
- Mo, F.; Zheng, J.; Wang, P. Quail FMO3 gene cloning, tissue expression profiling, polymorphism detection and association analysis with fishy taint in eggs. PLoS ONE 2013, 8, e81416. [Google Scholar] [CrossRef]
- Fennema, D.; Phillips, I.R.; Shephard, E.A. Trimethylamine and trimethylamine N-oxide, a flavin-containing monooxygenase 3 (FMO3)-mediated host-microbiome metabolic axis implicated in health and disease. Drug Metab. Dispos. 2016, 44, 1839–1850. [Google Scholar] [CrossRef]
- Phillips, I.R.; Shephard, E.A. Flavin-containing monooxygenases: Mutations, disease and drug response—ScienceDirect. Trends Pharmacol. Sci. 2008, 29, 294–301. [Google Scholar] [CrossRef]
- Honkatukia, M.; Reese, K.; Preisinger, R.; Tuiskula-Haavisto, M.; Weigend, S.; Roito, J.; Maki-Tanila, A.; Vilkki, J. Fishy taint in chicken eggs is associated with a substitution within a conserved motif of the FMO3 gene. Genomics 2005, 86, 225–232. [Google Scholar] [CrossRef]
- Wang, J.; Yue, H.Y.; Xia, Z.Q. Effect of dietary choline supplementation under different flavin-containing monooxygenase 3 genotypes on trimethylamine metabolism in laying hens. Poult. Sci. 2012, 91, 2221–2228. [Google Scholar] [CrossRef]
- Zhang, L.C. Studies on Genetic Parameters for and Candidate Genes Associated with Egg Quality Traits in Chickens. Ph.D. Thesis, China Agricultural University, Beijing, China, 2007. Available online: http://202.112.175.70/Thesis65/Detail?dbID=5&dbCode=Empty5&sysID=43039 (accessed on 10 July 2021).
- Wang, X.L.; Xu, G.Y.; Zheng, J.X.; Yao, J.F.; Qu, L.J.; Yang, N. Genotype frequencies of the fishy taint susceptible gene FMO3 in 11 Chinese local chicken breeds. Acta Vet. Zootech. Sin. 2010, 41, 1497–1501. [Google Scholar]
- Wang, Z.; Klipfell, E.; Bennett, B.J. Gut flora metabolism of phosphatidylcholine promotes cardiovascular disease. Nature 2011, 472, 57–63. [Google Scholar] [CrossRef]
- Zhu, W.; Gregory, J.C.; Org, E. Gut microbial metabolite TMAO enhances platelet hyperreactivity and thrombosis risk. Cell 2016, 165, 111–124. [Google Scholar] [CrossRef]
- Chen, Y.; Liu, Y.; Zhou, R. Associations of gut-flora-dependent metabolite trimethylamine-N-oxide, betaine and choline with non-alcoholic fatty liver disease in adults. Sci. Rep. 2016, 6, 19076. [Google Scholar] [CrossRef]
- Ma, J.; Zhou, Q.; Li, H. Gut microbiota and nonalcoholic fatty liver disease: Insights on mechanisms and therapy. Nutrients 2017, 9, 1124. [Google Scholar] [CrossRef]
- Canyelles, M.; Tondo, M.; Cedo, L. Trimethylamine N-oxide: A link among diet, gut microbiota, gene regulation of liver and intestine cholesterol homeostasis and HDL function. Int. J. Mol. Sci. 2018, 19, 3228. [Google Scholar] [CrossRef]
- Jia, W.; Wei, M.; Rajani, C.; Zheng, X. Targeting the alternative bile acid synthetic pathway for metabolic diseases. Protein Cell 2021, 12, 411–425. [Google Scholar] [CrossRef]
- Shih, D.M.; Wang, Z.; Lee, R. Flavin containing monooxygenase 3 exerts broad effects on glucose and lipid metabolism and atherosclerosis. J. Lipid Res. 2015, 56, 22–37. [Google Scholar] [CrossRef]
- Warrier, M.; Shih, D.M.; Burrows, A.C. The TMAO-generating enzyme flavin monooxygenase 3 is a central regulator of cholesterol balance. Cell Rep. 2015, 10, 326–338. [Google Scholar] [CrossRef]
- Bennett, B.J.; Vallim, T.Q.D.; Zeneng, W. Trimethylamine-N-oxide, a metabolite associated with atherosclerosis, exhibits complex genetic and dietary regulation. Cell Metab. 2013, 17, 49–60. [Google Scholar] [CrossRef]
- Li, H.; Li, Y.; Yang, L. Identification of a novel lipid metabolism-associated hepatic gene family induced by estrogen via ERα in chicken (Gallus gallus). Front. Genet. 2020, 11, 271. [Google Scholar] [CrossRef]
- Aziza, A.E.; Awadin, W.; Cherian, G. Impact of choline supplementation on hepatic histopathology, phospholipid content, and tocopherol status in layer hens fed flaxseed. J. Appl. Poult. Res. 2019, 28, 679–687. [Google Scholar] [CrossRef]
- Simpson, C.F.; Harms, R.H. Aortic atherosclerosis in nonlaying hens with fatty liver syndrome. Avian Dis. 1983, 27, 652–659. [Google Scholar] [CrossRef]
- Lv, Z.; Xing, K.; Li, G.; Liu, D.; Guo, Y. Dietary genistein alleviates lipid metabolism disorder and inflammatory response in laying hens with fatty liver syndrome. Front. Physiol. 2018, 9, 1493. [Google Scholar] [CrossRef] [PubMed]
- Ayala, I.; Perez, B.G.; Domenech, G.; Castells, M.T.; Valdes, M. Use of the chicken as an experimental animal model in atherosclerosis. Avian Poult. Biol. Rev. 2005, 16, 151–159. [Google Scholar] [CrossRef]
- Shini, S.; Stewart, G.D.; Shini, A.; Bryden, W.L. Mortality rates and causes of death in laying hens kept in cage and alternative housing systems. In Proceedings of the 12th European Poultry Conference, Verona, Italy, 10–14 September 2006; World Poultry Science Association: Beekbergen, The Netherlands, 2006; Volume 62, p. 601. Available online: http://espace.library.uq.edu.au/view/UQ:104802 (accessed on 20 July 2021).
- Walzem, R.L.; Hansen, R.J.; Williams, D.L.; Hamilton, R.L. Estrogen induction of VLDLy assembly in egg-laying hens. J. Nutr. 1999, 129, 467S–472S. [Google Scholar] [CrossRef]
- Bain, M.M.; Nys, Y.; Dunn, I.C. Increasing persistency in lay and stabilising egg quality in longer laying cycles. What are the challenges? Br. Poult. Sci. 2016, 57, 330–338. [Google Scholar] [CrossRef]
- Azmal, S.A.; Bhuiyan, A.A.; Omar, A.I. Novel polymorphisms in RAPGEF6 gene associated with egg-laying rate in chinese Jing Hong chicken using genome-wide SNP scan. Genes 2019, 10, 384. [Google Scholar] [CrossRef]
- Siller, W.G. The pathology of experimental atherosclerosis in egg-fed fowls. J. Atheroscler. Res. 1961, 1, 189–204. [Google Scholar] [CrossRef]
- Wang, W.; Wang, J.; Zhang, H.; Wu, S.; Qi, G. Supplemental clostridium butyricum modulates lipid metabolism through shaping gut microbiota and bile acid profile of aged laying hens. Front. Microbiol. 2020, 11, 600. [Google Scholar] [CrossRef]
- Afrose, S.; Hossain, M.S.; Salma, U.; Miah, A.G.; Tsujii, H. Dietary karaya saponin and rhodobacter capsulatus exert hypocholesterolemic effects by suppression of hepatic cholesterol synthesis and promotion of bile acid synthesis in laying hens. Cholesterol 2010, 2010, 272731. [Google Scholar] [CrossRef]
- Fuchs, C.; Traussnigg, S.; Trauner, M. Nuclear receptor modulation for the treatment of nonalcoholic fatty liver disease. Semin. Liver Dis. 2016, 36, 69–86. [Google Scholar] [CrossRef]
- Lai, W.; Huang, W.; Dong, B. Effects of dietary supplemental bile acids on performance, carcass characteristics, serum lipid metabolites and intestinal enzyme activities of broiler chickens. Poult. Sci. 2018, 97, 196–202. [Google Scholar] [CrossRef] [PubMed]
- Zhang, L.C.; Ning, Z.H.; Xu, G.Y.; Hou, Z.C.; Yang, N. Heritabilities and genetic and phenotypic correlations of egg quality traits in brown-egg dwarf layers. Poult. Sci. 2005, 84, 1209–1213. [Google Scholar] [CrossRef]
- Yi, G.; Liu, W.; Li, J.; Zheng, J.; Qu, L.; Xu, G.; Yang, N. Genetic analysis for dynamic changes of egg weight in 2 chicken lines. Poult. Sci. 2014, 93, 2963–2969. [Google Scholar] [CrossRef]
- Subcommittee on Poultry Nutrition; Committee on Animal Nutrition; 380 Board on Agriculture; National Research Council. Nutrient Requirements of Poultry, 9th ed.; National Academy Press: Washington, DC, USA, 1994; p. 155. [Google Scholar]
- Cai, G.; Shi, G.; Xue, S.; Lu, W. The atherogenic index of plasma is a strong and independent predictor for coronary artery disease in the Chinese Han population. Medicine 2017, 96, e8058. [Google Scholar] [CrossRef] [PubMed]
- Bain, M.A.; Faull, R.; Fornasini, G. Quantifying trimethylamine and trimethylamine-N-oxide in human plasma: Interference from endogenous quaternary ammonium compounds. Anal. Biochem. 2004, 334, 403–405. [Google Scholar] [CrossRef]
- Collins, H.L.; Drazul-Schrader, D.; Sulpizio, A.C. L-Carnitine intake and high trimethylamine N-oxide plasma levels correlate with low aortic lesions in ApoE/ transgenic mice expressing CETP. Atherosclerosis 2016, 244, 29–37. [Google Scholar] [CrossRef]
- Chen, M.L.; Yi, L.; Zhang, Y. Resveratrol attenuates trimethylamine-N-oxide (TMAO)-induced atherosclerosis by regulating TMAO synthesis and bile acid metabolism via remodeling of the gut microbiota. mBio 2016, 7, e2210–e2215. [Google Scholar] [CrossRef] [PubMed]
- Gao, X.; Liu, P.; Wu, C. Effects of fatty liver hemorrhagic syndrome on the AMP-activated protein kinase signaling pathway in laying hens. Poult. Sci. 2019, 98, 2201–2210. [Google Scholar] [CrossRef]
- Schneider, C.A.; Rasband, W.S.; Eliceiri, K.W. NIH image to imageJ: 25 years of image analysis. Nat. Methods 2012, 9, 671–675. [Google Scholar] [CrossRef] [PubMed]
- Wang, J.; Long, C.; Zhang, H. Genetic variant in flavin-containing monooxygenase 3 alters lipid metabolism in laying hens in a diet-specific manner. Int. J. Biol. Sci. 2016, 12, 1382–1393. [Google Scholar] [CrossRef] [PubMed][Green Version]
- Gao, S.; Li, R.; Heng, N. Effects of dietary supplementation of natural astaxanthin from Haematococcus pluvialis on antioxidant capacity, lipid metabolism, and accumulation in the egg yolk of laying hens. Poult. Sci. 2020, 99, 5874–5882. [Google Scholar] [CrossRef] [PubMed]
- Peter, T. Triglyceride-rich lipoproteins as a causal factor for cardiovascular disease. Vasc. Health Risk Manag. 2016, 12, 171–183. [Google Scholar] [CrossRef]
- Go, G.W.; Srivastava, R.; Hernandez-Ono, A. The combined hyperlipidemia caused by impaired Wnt-LRP6 signaling is reversed by Wnt3a rescue. Cell Metab. 2014, 19, 209–220. [Google Scholar] [CrossRef]
- Marchesini, G.; Bugianesi, E.; Forlani, G. Nonalcoholic fatty liver, steatohepatitis, and the metabolic syndrome. Hepatology 2003, 37, 917–923. [Google Scholar] [CrossRef]
- Tutunchi, H.; Naeini, F.; Saghafi-Asl, M.; Farrin, N.; Ostadrahimi, A. Effects of oleoylethanolamide supplementation on atherogenic indices and hematological parameters in patients with nonalcoholic fatty liver disease: A clinical trial. Health Promot. Perspect. 2020, 10, 373–382. [Google Scholar] [CrossRef]
- Manninen, V.; Tenkanen, L.; Koskinen, P. Joint effects of serum triglyceride and LDL cholesterol and HDL cholesterol concentrations on coronary heart disease risk in the Helsinki Heart Study. Implications for treatment. Circulation 1992, 85, 37–45. [Google Scholar] [CrossRef]
- Ward, A.K.; Classen, H.L.; Buchanan, F.C. Fishy-egg tainting is recessively inherited when brown-shelled layers are fed canola meal. Poult. Sci. 2009, 88, 714–721. [Google Scholar] [CrossRef]
- Charach, G.; Rabinovich, A.; Argov, O.; Weintraub, M.; Rabinovich, P. The role of bile Acid excretion in atherosclerotic coronary artery disease. Int. J. Vasc. Med. 2012, 2012, 949672–949673. [Google Scholar] [CrossRef]
- Rader, D.J. Molecular regulation of HDL metabolism and function: Implications for novel therapies. J. Clin. Investig. 2006, 116, 3090–3100. [Google Scholar] [CrossRef]
- Agnes, K.; Vance, D.E.; Vance, J.E. A choline-deficient diet in mice inhibits neither the CDP-choline pathway for phosphatidylcholine synthesis in hepatocytes nor apolipoprotein B secretion. J. Biol. Chem. 2004, 279, 23916–23924. [Google Scholar] [CrossRef]




| Item 1 | AA | AT | TT | Total p-Value | |
|---|---|---|---|---|---|
| TG (mmol/L) | 49 weeks | 7.67 ± 0.99 a | 6.56 ± 1.67 b | 8.52 ± 0.82 a | p < 0.05 |
| 62 weeks | 23.51 ± 1.28 a | 20.55 ± 2.02 b | 17.96 ± 3.69 b | p < 0.05 | |
| RC (%)2 | 206.52 ± 37.35 a | 213.26 ± 80.17 a | 110.80 ± 51.74 b | p < 0.05 | |
| TC (mmol/L) | 49 weeks | 3.25 ± 0.73 | 3.04 ± 0.51 | 3.46 ± 0.48 | p > 0.05 |
| 62 weeks | 4.93 ± 0.48 a | 4.23 ± 0.64 a | 3.94 ± 0.45 b | p < 0.05 | |
| RC (%) | 51.69 ± 26.42 a | 39.14 ± 24.43 a | 13.87 ± 23.11 b | p < 0.05 | |
| LDL-C (mmol/L) | 49 weeks | 1.84 ± 0.36 | 1.82 ± 0.22 | 1.89 ± 0.29 | p > 0.05 |
| 62 weeks | 2.53 ± 0.29 a | 2.14 ± 0.38 b | 2.33 ± 0.22 a,b | p < 0.05 | |
| RC (%) | 37.50 ± 20.68 a | 17.58 ± 19.21 b | 23.28 ± 15.58 b | p < 0.05 | |
| HDL-C (mmol/L) | 49 weeks | 0.98 ± 0.26 | 0.90 ± 0.15 | 1.04 ± 0.13 | p > 0.05 |
| 62 weeks | 1.78 ± 0.18 a | 1.45 ± 0.24 b | 1.67 ± 0.22 a,b | p < 0.05 | |
| RC (%) | 81.63 ± 38.92 a | 61.11 ± 24.23 b | 60.58 ± 31.32 b | p < 0.05 | |
| TBA (μmol/L) | 49 weeks | 2.52 ± 0.15 | 2.44 ± 0.02 | 2.38 ± 0.12 | p > 0.05 |
| 62 weeks | 6.35 ± 0.64 b | 6.35 ± 0.36 b | 8.53 ± 1.91 a | p < 0.05 | |
| RC (%) | 151.98 ± 14.45 b | 160.25 ± 10.28 b | 258.40 ± 55.35 a | p < 0.05 | |
| Item 1 | AA | AT | TT | Total p-Value |
|---|---|---|---|---|
| Nontraditional lipid parameters | ||||
| Non-HDL-C (mmol/L) | 3.15 ± 0.39 a | 2.78 ± 0.59 a,b | 2.27 ± 0.45 b | p < 0.05 |
| TC/HDL-C | 2.77 ± 0.25 a | 2.95 ± 0.48 a,b | 2.38 ± 0.35 b | p < 0.05 |
| AIS | 1.77 ± 0.25 a | 1.95 ± 0.48 a | 1.38 ± 0.35 b | p < 0.05 |
| LCI | 166.54 ± 34.61 a | 133.41 ± 55.33 a | 98.72 ± 21.96 b | p < 0.05 |
| Serum TMA and TMAO levels | ||||
| TMAO (μg/mL) | 7.49 ± 1.60 | 7.42 ± 1.01 | 6.62 ± 0.69 | p > 0.05 |
| TMA (μg/mL) | 3.21 ± 0.36 | 3.28 ± 0.23 | 3.63 ± 0.38 | p > 0.05 |
| Lipid-related transporters | ||||
| PLTP (ng/mL) | 38.86 ± 9.38 B | 39.89 ± 12.96 B | 61.35 ± 7.24 A | p < 0.01 |
| LCAT (mIU/mL) | 9.72 ± 1.68 B | 10.74 ± 2.51 B | 18.86 ± 5.01 A | p < 0.01 |
| CETP (ng/mL) | 1026.77 ± 150.38 B | 1172.33 ± 399.03 B | 2086.33 ± 858.76 A | p < 0.01 |
| VLDL (mmol/L) | 3.36 ± 0.45 B | 3.64 ± 0.75 B | 7.50 ± 2.25 A | p < 0.01 |
Publisher’s Note: MDPI stays neutral with regard to jurisdictional claims in published maps and institutional affiliations. |
© 2021 by the authors. Licensee MDPI, Basel, Switzerland. This article is an open access article distributed under the terms and conditions of the Creative Commons Attribution (CC BY) license (https://creativecommons.org/licenses/by/4.0/).
Share and Cite
Song, J.; Huang, M.; Shi, X.; Li, X.; Chen, X.; He, Z.; Li, J.; Xu, G.; Zheng, J. T329S Mutation in the FMO3 Gene Alleviates Lipid Metabolic Diseases in Chickens in the Late Laying Period. Animals 2022, 12, 48. https://doi.org/10.3390/ani12010048
Song J, Huang M, Shi X, Li X, Chen X, He Z, Li J, Xu G, Zheng J. T329S Mutation in the FMO3 Gene Alleviates Lipid Metabolic Diseases in Chickens in the Late Laying Period. Animals. 2022; 12(1):48. https://doi.org/10.3390/ani12010048
Chicago/Turabian StyleSong, Jianlou, Mingyi Huang, Xuefeng Shi, Xianyu Li, Xia Chen, Zhaoxiang He, Junying Li, Guiyun Xu, and Jiangxia Zheng. 2022. "T329S Mutation in the FMO3 Gene Alleviates Lipid Metabolic Diseases in Chickens in the Late Laying Period" Animals 12, no. 1: 48. https://doi.org/10.3390/ani12010048
APA StyleSong, J., Huang, M., Shi, X., Li, X., Chen, X., He, Z., Li, J., Xu, G., & Zheng, J. (2022). T329S Mutation in the FMO3 Gene Alleviates Lipid Metabolic Diseases in Chickens in the Late Laying Period. Animals, 12(1), 48. https://doi.org/10.3390/ani12010048

