Histological Lesions and Replication Sites of PCV3 in Naturally Infected Pigs
Abstract
Simple Summary
Abstract
1. Introduction
2. Materials and Methods
2.1. Case Selection
2.2. Histopathology and ISH-RNA
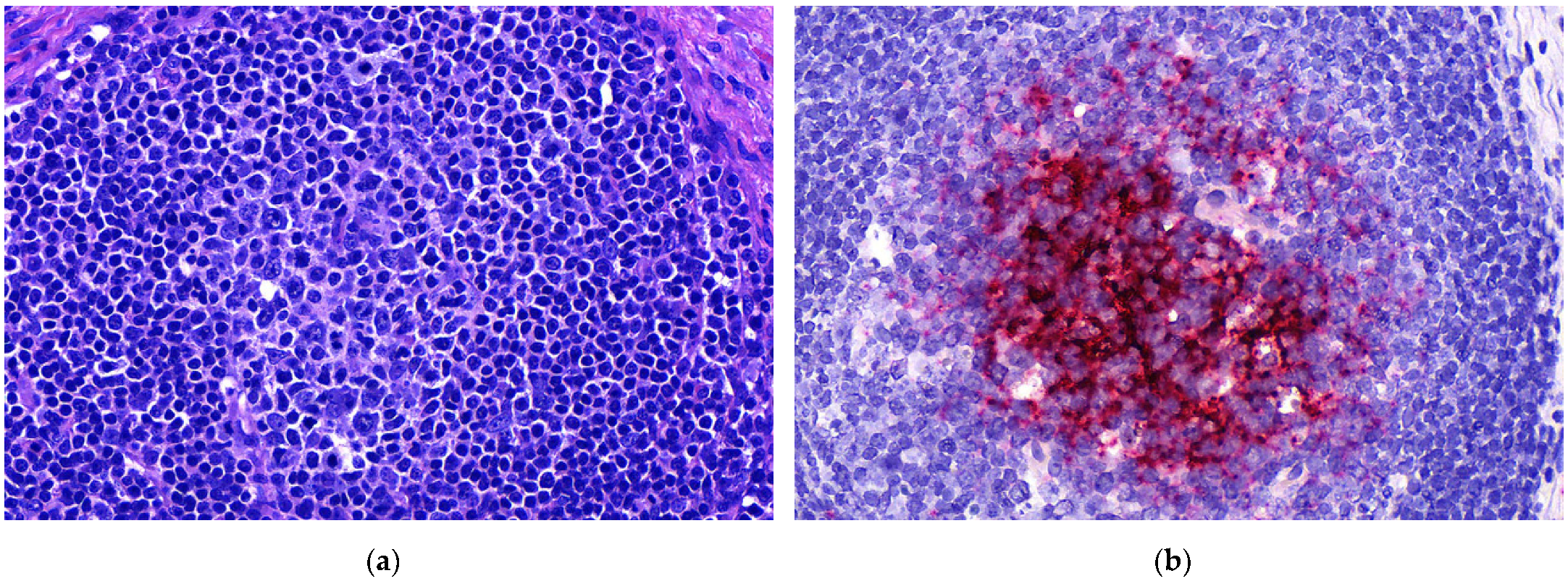
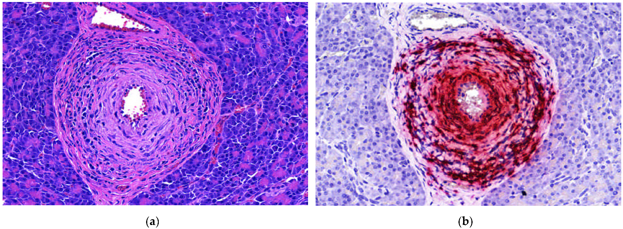
3. Results
4. Discussion
5. Conclusions
Supplementary Materials
Author Contributions
Funding
Conflicts of Interest
References
- Phan, T.G.; Giannitti, F.; Rossow, S.; Marthaler, D.; Knutson, T.; Li, L.; Deng, X.; Resende, T.; Vannucci, F.; Delwart, E. Detection of a novel circovirus PCV3 in pigs with cardiac and multi-systemic inflammation. Virol. J. 2016, 13, 1–8. [Google Scholar] [CrossRef]
- Palinski, R.; Piñeyro, P.; Shang, P.; Yuan, F.; Guo, R.; Fang, Y.; Byers, E.; Hause, B.M. A novel porcine circovirus distantly related to known circoviruses is associated with porcine dermatitis and nephropathy syndrome and reproductive failure. J. Virol. 2017, 91, e01879-16. [Google Scholar] [CrossRef]
- Bera, B.C.; Choudhary, M.; Anand, T.; Virmani, N.; Sundaram, K.; Choudhary, B.; Tripathi, B.N. Detection and genetic characterization of porcine circovirus 3 (PCV3) in pigs in India. Transbound. Emerg. Dis. 2019, 67, 1062–1067. [Google Scholar] [CrossRef] [PubMed]
- Franzo, G.; Legnardi, M.; Hjulsager, C.K.; Klaumann, F.; Larsen, L.E.; Segales, J.; Drigo, M. Full-genome sequencing of porcine circovirus 3 field strains from Denmark, Italy and Spain demonstrates a high within-Europe genetic heterogeneity. Transbound. Emerg. Dis. 2018, 65, 602–606. [Google Scholar] [CrossRef]
- Sun, J.; Wei, L.; Lu, Z.; Mi, S.; Bao, F.; Guo, H.; Tu, C.; Zhu, Y.; Gong, W. Retrospective study of porcine circovirus 3 infection in China. Transbound. Emerg. Dis. 2018, 65, 607–613. [Google Scholar] [CrossRef] [PubMed]
- Yuzhakov, A.G.; Raev, S.A.; Alekseev, K.P.; Grebennikova, T.V.; Verkhovsky, O.A.; Zaberezhny, A.D.; Aliper, T.I. First detection and full genome sequence of porcine circovirus type 3 in Russia. Virus Genes 2018, 54, 608–611. [Google Scholar] [CrossRef] [PubMed]
- Faccini, S.; Barbieri, I.; Gilioli, A.; Sala, G.; Gibelli, L.R.; Moreno, A.; Sacchi, C.; Rosignoli, C.; Franzini, G.; Nigrelli, A. Detection and genetic characterization of Porcine circovirus type 3 in Italy. Transbound. Emerg. Dis. 2017, 64, 1661–1664. [Google Scholar] [CrossRef]
- Stadejek, T.; Woźniak, A.; Miłek, D.; Biernacka, K. First detection of porcine circovirus type 3 on commercial pig farms in Poland. Transbound. Emerg. Dis. 2017, 64, 1350–1353. [Google Scholar] [CrossRef] [PubMed]
- Kwon, T.; Yoo, S.J.; Park, C.K.; Lyoo, Y.S. Prevalence of novel porcine circovirus 3 in Korean pig populations. Vet. Microbiol. 2017, 207, 178–180. [Google Scholar] [CrossRef] [PubMed]
- Tochetto, C.; Lima, D.A.; Varela, A.P.M.; Loiko, M.R.; Paim, W.P.; Scheffer, C.M.; Herpich, J.I.; Cerva, C.; Schmitd, C.; Cibulski, S.P.; et al. Full-genome sequence of porcine circovirus type 3 recovered from serum of sows with stillbirths in Brazil. Transbound. Emerg. Dis. 2018, 65, 5–9. [Google Scholar] [CrossRef]
- Temeeyasen, G.; Lierman, S.; Arruda, B.L.; Main, R.; Vannucci, F.; Gimenez-Lirola, L.G.; Piñeyro, P.E. Pathogenicity and immune response against porcine circovirus type 3 infection in caesarean-derived, colostrum-deprived pigs. J. Gen. Virol. 2021, 102, 001502. [Google Scholar] [CrossRef] [PubMed]
- Jiang, H.; Wang, D.; Wang, J.; Zhu, S.; She, R.; Ren, X.; Tian, J.; Quan, R.; Hou, L.; Li, Z.; et al. Induction of porcine dermatitis and nephropathy syndrome in piglets by infection with porcine circovirus type 3. J. Virol. 2019, 93. [Google Scholar] [CrossRef]
- Opriessnig, T.; Meng, X.J.; Halbur, P.G. Porcine circovirus type 2 associated disease: Update on current terminology, clinical manifestations, pathogenesis, diagnosis, and intervention strategies. J. Vet. Diagn. Investig 2007, 19, 591–615. [Google Scholar] [CrossRef]
- Segalés, J. Porcine circovirus type 2 (PCV2) infections: Clinical signs, pathology and laboratory diagnosis. Virus Res. 2012, 164, 10–19. [Google Scholar] [CrossRef] [PubMed]
- Opriessnig, T.; Karuppannan, A.K.; Castro, A.M.; Xiao, C.T. Porcine circoviruses: Current status, knowledge gaps and challenges. Virus. Res. 2020, 198044. [Google Scholar] [CrossRef]
- Allan, G.M.; McNeilly, F.; Cassidy, J.P.; Reilly, G.A.C.; Adair, B.; Ellis, W.A.; McNulty, M.S. Pathogenesis of porcine circovirus; experimental infections of colostrum deprived piglets and examination of pig foetal material. Vet. Microbiol. 1995, 44, 49–64. [Google Scholar] [CrossRef]
- Meehan, B.M.; McNeilly, F.; Todd, D.; Kennedy, S.; Jewhurst, V.A.; Ellis, J.A.; Hassard, L.E.; Clark, E.G.; Haines, D.M.; Allan, G.M. Characterization of novel circovirus DNAs associated with wasting syndromes in pigs. J. Gen. Virol. 1998, 79, 2171–2179. [Google Scholar] [CrossRef]
- Zhang, H.H.; Hu, W.Q.; Li, J.Y.; Liu, T.N.; Zhou, J.Y.; Opriessnig, T.; Xiao, C.T. Novel circovirus species identified in farmed pigs designated as Porcine circovirus 4, Hunan province, China. Transbound. Emerg. Dis. 2020, 67, 1057–1061. [Google Scholar] [CrossRef] [PubMed]
- Mora-Díaz, J.; Piñeyro, P.; Shen, H.; Schwartz, K.; Vannucci, F.; Li, G.; Arruda, B.; Giménez-Lirola, L. Isolation of PCV3 from perinatal and reproductive cases of PCV3-associated disease and in vivo characterization of PCV3 replication in CD/CD growing pigs. Viruses 2020, 12, 219. [Google Scholar] [CrossRef]
- Joshi, L.R.; Fernandes, M.H.V.; Clement, T.; Lawson, S.; Pillatzki, A.; Resende, T.P.; Vannucci, F.A.; Kutish, G.F.; Nelson, E.A.; Diel, D.G. Pathogenesis of Senecavirus infection in finishing pigs. J. Gen. Virol. 2016, 97, 3267–3279. [Google Scholar] [CrossRef]
- Arruda, B.; Piñeyro, P.; Derscheid, R.; Hause, B.; Byers, E.; Dion, K.; Long, D.; Sievers, C.; Tangen, J.; Williams, T.; et al. PCV3-associated disease in the United States swine herd. Emerg. Microbes Infect. 2019, 8, 684–698. [Google Scholar] [CrossRef]
- Resende, T.P.; Marthaler, D.G.; Vannucci, F.A. A novel RNA-based in situ hybridization to detect Seneca Valley virus in neonatal piglets and sows affected with vesicular disease. PLoS ONE 2017, 12, e0173190. [Google Scholar] [CrossRef] [PubMed]
- Resende, T.P.; Marthaler, D.; Vannucci, F.A. In situ hybridization detection and subtyping of rotaviruses in swine samples. J. Vet. Diagn. Investig. 2019, 31, 113–117. [Google Scholar] [CrossRef]
- Wang, F.; Flanagan, J.; Su, N.; Wang, L.C.; Bui, S.; Nielson, A.; Wu, X.; Vo, H.T.; Ma, X.J.; Luo, Y. RNAscope: A novel in situ RNA analysis platform for formalin-fixed, paraffin-embedded tissues. J. Mol. Diagn. 2012, 14, 22–29. [Google Scholar] [CrossRef]
- Oropeza-Moe, M.; Delgado, A.J.O.; Framstad, T. Porcine circovirus type 2 associated reproductive failure in a specific pathogen free (SPF) piglet producing herd in Norway: A case report. Porc. Heal. Manag. 2017, 3, 1–6. [Google Scholar] [CrossRef] [PubMed]
- Resendes, A.R.; Segalés, J. Characterization of vascular lesions in pigs affected by porcine circovirus type 2–systemic disease. Vet. Pathol. 2015, 52, 497–504. [Google Scholar] [CrossRef] [PubMed]
- Grau-Roma, L.; Segalés, J. Detection of porcine reproductive and respiratory syndrome virus, porcine circovirus type 2, swine influenza virus and Aujeszky’s disease virus in cases of porcine proliferative and necrotizing pneumonia (PNP) in Spain. Vet. Microbiol. 2007, 119, 144–151. [Google Scholar] [CrossRef] [PubMed]





| Organ | No. of Samples with Lesions | Most Common Histologic Lesion |
|---|---|---|
| Heart | 16/21 | myocarditis (9/16) |
| epicarditis (6/16) | ||
| Lung | 14/21 | interstitial pneumonia (10/14) |
| bronchopneumonia (3/14) | ||
| Kidney | 3/13 | periarteritis (2/3) |
| glomerulonephritis (1/3) | ||
| Liver | 2/11 | periarteritis (1/2) |
| hepatitis (1/2) | ||
| Spleen | 5/12 | lymphoid depletion (2/5) |
| lympholysis (2/5) | ||
| periarteritis (2/5) | ||
| Lymph node | 3/6 | periarteritis (2/3) |
| lymphoid depletion (1/3) |
| Classification According to Real-Time PCR Ct | Number of Samples |
|---|---|
| PCV3 highly positive (Ct ≤ 20) | 10/25 |
| PCV3 moderately positive (20 < Ct ≤ 30) | 12/25 |
| PCV3 mildly positive cases (30 < Ct < 40) | 3/25 |
| Tissue | PCV2 by ISH-RNA | Site of PCV3-ISH-RNA Signal | No. of PCV3-ISH-RNA Positive Samples | Distribution | Intensity | ||||
|---|---|---|---|---|---|---|---|---|---|
| Focal | Multifocal | Diffuse | Mild | Moderate | Marked | ||||
| Heart | 7/21 | Cardiomyocytes | 20/21 | 2 | 11 | 8 | 6 | 5 | 10 |
| Arteries | 13/21 | 1 | 11 | 1 | 4 | 6 | 3 | ||
| Lung | 3/21 | Alveolar septa | 18/21 | 1 | 9 | 8 | 9 | 3 | 6 |
| Arteries | 9/21 | 0 | 8 | 1 | 3 | 4 | 2 | ||
| Bronchioles | 3/21 | 2 | 1 | 0 | 3 | 0 | 0 | ||
| Kidney | 2/13 | Parenchyma | 10/13 | 1 | 7 | 1 | 6 | 2 | 1 |
| Arteries | 5/13 | 0 | 3 | 2 | 0 | 0 | 5 | ||
| Liver | 2/11 | Parenchyma | 9/11 | 1 | 5 | 3 | 6 | 0 | 3 |
| Arteries | 4/11 | 1 | 2 | 1 | 1 | 1 | 1 | ||
| Spleen | 4/12 | White pulp | 10/12 | 0 | 10 | 0 | 1 | 5 | 4 |
| Red pulp | 5/12 | 0 | 4 | 1 | 2 | 2 | 1 | ||
| Arteries | 6/12 | 0 | 6 | 0 | 1 | 2 | 3 | ||
| Lymph node | 2/6 | Lymphoid follicle | 5/6 | 0 | 4 | 1 | 1 | 3 | 1 |
| Parenchyma | 1/6 | 0 | 1 | 0 | 0 | 0 | 1 | ||
| Arteries | 3/6 | 1 | 1 | 1 | 0 | 0 | 3 | ||
| Total | 20/84 | 72/84 | |||||||
Publisher’s Note: MDPI stays neutral with regard to jurisdictional claims in published maps and institutional affiliations. |
© 2021 by the authors. Licensee MDPI, Basel, Switzerland. This article is an open access article distributed under the terms and conditions of the Creative Commons Attribution (CC BY) license (https://creativecommons.org/licenses/by/4.0/).
Share and Cite
De Conti, E.R.; Resende, T.P.; Marshall-Lund, L.; Rovira, A.; Vannucci, F.A. Histological Lesions and Replication Sites of PCV3 in Naturally Infected Pigs. Animals 2021, 11, 1520. https://doi.org/10.3390/ani11061520
De Conti ER, Resende TP, Marshall-Lund L, Rovira A, Vannucci FA. Histological Lesions and Replication Sites of PCV3 in Naturally Infected Pigs. Animals. 2021; 11(6):1520. https://doi.org/10.3390/ani11061520
Chicago/Turabian StyleDe Conti, Elisa Rigo, Talita Pilar Resende, Lacey Marshall-Lund, Albert Rovira, and Fabio Augusto Vannucci. 2021. "Histological Lesions and Replication Sites of PCV3 in Naturally Infected Pigs" Animals 11, no. 6: 1520. https://doi.org/10.3390/ani11061520
APA StyleDe Conti, E. R., Resende, T. P., Marshall-Lund, L., Rovira, A., & Vannucci, F. A. (2021). Histological Lesions and Replication Sites of PCV3 in Naturally Infected Pigs. Animals, 11(6), 1520. https://doi.org/10.3390/ani11061520

