Long-Term Preservation and Storage of Faecal Samples in Whatman® Cards for PCR Detection and Genotyping of Giardia duodenalis and Cryptosporidium hominis
Abstract
Simple Summary
Abstract
1. Introduction
2. Materials and Methods
2.1. Selected Whatman® Cards
2.2. Stool Samples
2.3. Impregnation of Whatman® Cards
2.4. Sensitivity Assay
2.5. DNA Extraction and Purification
2.6. Molecular Detection and Characterisation of Giardia duodenalis
2.7. Molecular Detection and Characterisation of Cryptosporidium hominis
2.8. Quality Control
2.9. Statistical Analyses
3. Results
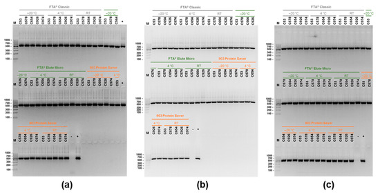
3.1. Performance of Whatman® Cards for the Preservation and Storage of G. duodenalis-Positive Faecal Samples
3.2. Performance of Whatman® Cards for the Preservation and Storage of C. hominis-Positive Faecal Samples
3.3. Sensitivity Assay
3.4. Quality Control
4. Discussion
5. Conclusions
Supplementary Materials
Author Contributions
Funding
Institutional Review Board Statement
Data Availability Statement
Acknowledgments
Conflicts of Interest
References
- Paulos, S.; Mateo, M.; de Lucio, A.; Hernández-de Mingo, M.; Bailo, B.; Saugar, J.M.; Cardona, G.A.; Fuentes, I.; Mateo, M.; Carmena, D. Evaluation of five commercial methods for the extraction and purification of DNA from human faecal samples for downstream molecular detection of the enteric protozoan parasites Cryptosporidium spp., Giardia duodenalis, and Entamoeba spp. J. Microbiol. Methods 2016, 127, 68–73. [Google Scholar] [CrossRef] [PubMed]
- Sánchez-Romero, M.I.; García-Lechuz Moya, J.M.; González López, J.J.; Orta Mira, N. Collection, transport and general processing of clinical specimens in microbiology laboratory. Enferm. Infecc. Microbiol. Clin. 2019, 37, 127–134. [Google Scholar] [CrossRef]
- Guthrie, R.; Susi, A. A simple phenylalanine method for detecting phenylketonuria in large population of newborn infants. Pediatrics 1963, 32, 338–343. [Google Scholar] [PubMed]
- Sharma, A.; Jaiswal, S.; Shukla, M.; Lal, J. Dried blood spots: Concepts, present status, and future perspectives in bioanalysis. Drug. Test. Anal. 2014, 6, 399–414. [Google Scholar] [CrossRef]
- GE Healthcare Life Sciences. Your Forensic Samples, Our Experience. Available online: www.gelifesciences.com/forensics (accessed on 1 May 2021).
- Min, K.L.; Ryu, J.Y.; Chang, M.J. Development and clinical applications of the dried blood spot method for therapeutic drug monitoring of anti-epileptic drugs. Basic Clin. Pharmacol. Toxicol. 2019, 125, 215–236. [Google Scholar] [CrossRef] [PubMed]
- Choi, E.H.; Lee, S.K.; Ihm, C.; Sohn, Y.H. Rapid DNA extraction from dried blood spots on filter paper: Potential applications in biobanking. Osong Public Health Res. Perspect. 2014, 5, 351–357. [Google Scholar] [CrossRef]
- Zheng, N.; Zeng, J.; Ji, Q.C.; Angeles, A.; Aubry, A.F.; Basdeo, S.; Buzescu, A.; Landry, I.S.; Jariwala, N.; Turley, W.; et al. Bioanalysis of dried saliva spot (DSS) samples using detergent-assisted sample extraction with UHPLC-MS/MS detection. Anal. Chim. Acta 2016, 934, 170–179. [Google Scholar] [CrossRef] [PubMed]
- da Cunha Santos, G. FTA cards for preservation of nucleic acids for molecular assays: A review on the use of cytologic/tissue samples. Arch. Pathol. Lab. Med. 2018, 142, 308–312. [Google Scholar] [CrossRef]
- Yan, X.; Yuan, S.; Yu, Z.; Zhao, Y.; Zhang, S.; Wu, H.; Yan, H.; Xiang, P. Development of an LC-MS/MS method for determining 5-MeO-DIPT in dried urine spots and application to forensic cases. J. Forensic Leg. Med. 2020, 72, 101963. [Google Scholar] [CrossRef] [PubMed]
- Serra, O.; Frazzi, R.; Perotti, A.; Barusi, L.; Buschini, A. Use of FTA® classic cards for epigenetic analysis of sperm DNA. Biotechniques 2018, 64, 45–51. [Google Scholar] [CrossRef]
- Kashiwagi, T.; Maxwell, E.A.; Marshall, A.D.; Christensen, A.B. Evaluating manta ray mucus as an alternative DNA source for population genetics study: Underwater-sampling, dry-storage and PCR success. Peer J. 2015, 3, e1188. [Google Scholar] [CrossRef] [PubMed][Green Version]
- Elliott, I.; Dittrich, S.; Paris, D.; Sengduanphachanh, A.; Phoumin, P.; Newton, P.N. The use of dried cerebrospinal fluid filter paper spots as a substrate for PCR diagnosis of the aetiology of bacterial meningitis in the Lao PDR. Clin. Microbiol. Infect. 2013, 19, E466–E472. [Google Scholar] [CrossRef]
- Duscher, G.; Peschke, R.; Wille-Piazzai, W.; Joachim, A. Parasites on paper–The use of FTA Elute® for the detection of Dirofilaria repens microfilariae in canine blood. Vet. Parasitol. 2009, 161, 349–351. [Google Scholar] [CrossRef] [PubMed]
- Hashimoto, M.; Bando, M.; Kido, J.I.; Yokota, K.; Mita, T.; Kajimoto, K.; Kataoka, M. Nucleic acid purification from dried blood spot on FTA Elute Card provides template for polymerase chain reaction for highly sensitive Plasmodium detection. Parasitol. Int. 2019, 73, 101941. [Google Scholar] [CrossRef] [PubMed]
- Orlandi, P.A.; Lampel, K.A. Extraction-free, filter-based template preparation for rapid and sensitive PCR detection of pathogenic parasitic protozoa. J. Clin. Microbiol. 2000, 38, 2271–2277. [Google Scholar] [CrossRef] [PubMed]
- Lalani, T.; Tisdale, M.D.; Maguire, J.D.; Wongsrichanalai, C.; Riddle, M.S.; Tribble, D.R. Detection of enteropathogens associated with travelers’ diarrhea using a multiplex Luminex-based assay performed on stool samples smeared on Whatman FTA Elute cards. Diagn. Microbiol. Infect. Dis. 2015, 83, 18–20. [Google Scholar] [CrossRef] [PubMed][Green Version]
- Natarajan, G.; Kabir, M.; Perin, J.; Hossain, B.; Debes, A.; Haque, R.; George, C.M. Whatman protein saver cards for storage and detection of parasitic enteropathogens. Am. J. Trop. Med. Hyg. 2018, 99, 1613–1618. [Google Scholar] [CrossRef]
- Checkley, W.; White, A.C., Jr.; Jaganath, D.; Arrowood, M.J.; Chalmers, R.M.; Chen, X.M.; Fayer, R.; Griffiths, J.K.; Guerrant, R.L.; Hedstrom, L.; et al. A review of the global burden, novel diagnostics, therapeutics, and vaccine targets for cryptosporidium. Lancet Infect. Dis. 2015, 15, 85–94. [Google Scholar] [CrossRef]
- Escobedo, A.A.; Almirall, P.; Robertson, L.J.; Franco, R.M.; Hanevik, K.; Mørch, K.; Cimerman, S. Giardiasis: The ever-present threat of a neglected disease. Infect. Disord. Drug Targets 2010, 10, 329–348. [Google Scholar] [CrossRef] [PubMed]
- Santin, M. Cryptosporidium and Giardia in ruminants. Vet. Clin. N. Am. Food Anim. Pract. 2020, 36, 223–238. [Google Scholar] [CrossRef] [PubMed]
- Thomson, S.; Hamilton, C.A.; Hope, J.C.; Katzer, F.; Mabbott, N.A.; Morrison, L.J.; Innes, E.A. Bovine cryptosporidiosis: Impact, host-parasite interaction and control strategies. Vet. Res. 2017, 48, 42. [Google Scholar] [CrossRef] [PubMed]
- Feng, Y.; Xiao, L. Zoonotic potential and molecular epidemiology of Giardia species and giardiasis. Clin. Microbiol. Rev. 2011, 24, 110–140. [Google Scholar] [CrossRef]
- Kotloff, K.L.; Nataro, J.P.; Blackwelder, W.C.; Nasrin, D.; Farag, T.H.; Panchalingam, S.; Wu, Y.; Sow, S.O.; Sur, D.; Breiman, R.F.; et al. Burden and aetiology of diarrhoeal disease in infants and young children in developing countries (the Global Enteric Multicenter Study, GEMS): A prospective, case-control study. Lancet 2013, 382, 209–222. [Google Scholar] [CrossRef]
- Widmer, G.; Köster, P.C.; Carmena, D. Cryptosporidium hominis infections in non-human animal species: Revisiting the concept of host specificity. Int. J. Parasitol. 2020, 50, 253–262. [Google Scholar] [CrossRef] [PubMed]
- GE Healthcare. Helping You Build a Smarter Diagnostic Assay. Available online: www.gelifesciences.com (accessed on 1 May 2021).
- Cytiva. Available online: https://www.cytivalifesciences.com/en/us/shop/whatman-laboratory-filtration/whatman-dx-components/blood-collection-cards-and-accessories/903-proteinsaver-card-p-01011#related-documents (accessed on 1 May 2021).
- Verweij, J.J.; Shinkel, J.; Laeijendecker, D.; van Rooyen, M.A.; van Lieshout, L.; Polderman, A.M. Real-time PCR for the detection of Giardia lamblia. Mol. Cell Probes 2003, 17, 223–225. [Google Scholar] [CrossRef]
- Read, C.M.; Monis, P.T.; Thompson, R.C. Discrimination of all genotypes of Giardia duodenalis at the glutamate dehydrogenase locus using PCR-RFLP. Infect. Genet. Evol. 2004, 4, 125–130. [Google Scholar] [CrossRef]
- Tiangtip, R.; Jongwutiwes, S. Molecular analysis of Cryptosporidium species isolated from HIV-infected patients in Thailand. Trop. Med. Int. Health 2002, 7, 357–364. [Google Scholar] [CrossRef]
- Feltus, D.C.; Giddings, C.W.; Schneck, B.L.; Monson, T.; Warshauer, D.; McEvoy, J.M. Evidence supporting zoonotic transmission of Cryptosporidium spp. in Wisconsin. J. Clin. Microbiol. 2006, 44, 4303–4308. [Google Scholar] [CrossRef] [PubMed]
- R Core Team. A Language and Environment for Statistical Computing. R Foundation for Statistical Computing, Vienna, Austria 2020. Available online: https://www.R-project.org (accessed on 1 May 2021).
- Ryan, U.; Zahedi, A. Molecular epidemiology of giardiasis from a veterinary perspective. Adv. Parasitol. 2019, 106, 209–254. [Google Scholar]
- Ryan, U.; Cacciò, S.M. Zoonotic potential of Giardia. Int. J. Parasitol. 2013, 43, 943–956. [Google Scholar] [CrossRef] [PubMed]
- Yang, X.; Guo, Y.; Xiao, L.; Feng, Y. Molecular epidemiology of human cryptosporidiosis in low- and middle-income countries. Clin. Microbiol. Rev. 2021, 34, e00087–e00119. [Google Scholar] [CrossRef] [PubMed]
- Guo, Y.; Li, N.; Ryan, U.; Feng, Y.; Xiao, L. Small ruminants and zoonotic cryptosporidiosis. Parasitol. Res. 2021, in press. [Google Scholar] [CrossRef] [PubMed]
- Li, J.; Ryan, U.; Guo, Y.; Feng, Y.; Xiao, L. Advances in molecular epidemiology of cryptosporidiosis in dogs and cats. Int. J. Parasitol. 2021, in press. [Google Scholar] [CrossRef] [PubMed]



| Card | Reference | Cards/Pack | Sample Areas/ Card | Total Volume/Card (µL) | Total Sample Area (cm2)/Card |
|---|---|---|---|---|---|
| FTA® Classic | WB120205 | 100 | 4 | 500 | 19.6 |
| FTA® Elute Micro | WB120410 | 100 | 4 | 120 | 4.0 |
| 903 Protein Saver | 10531018 | 100 | 5 | 390‒400 | 6.1 |
| Faecal Material (mg) | Ct Value |
|---|---|
| 200 | 25.6 |
| 100 | 27.3 |
| 50 | 27.1 |
| 25 | 28.7 |
| 12.5 | 30.2 |
| 6.25 | 33.1 |
Publisher’s Note: MDPI stays neutral with regard to jurisdictional claims in published maps and institutional affiliations. |
© 2021 by the authors. Licensee MDPI, Basel, Switzerland. This article is an open access article distributed under the terms and conditions of the Creative Commons Attribution (CC BY) license (https://creativecommons.org/licenses/by/4.0/).
Share and Cite
Köster, P.C.; Bailo, B.; Dashti, A.; Hernández-Castro, C.; Calero-Bernal, R.; Ponce-Gordo, F.; González-Barrio, D.; Carmena, D. Long-Term Preservation and Storage of Faecal Samples in Whatman® Cards for PCR Detection and Genotyping of Giardia duodenalis and Cryptosporidium hominis. Animals 2021, 11, 1369. https://doi.org/10.3390/ani11051369
Köster PC, Bailo B, Dashti A, Hernández-Castro C, Calero-Bernal R, Ponce-Gordo F, González-Barrio D, Carmena D. Long-Term Preservation and Storage of Faecal Samples in Whatman® Cards for PCR Detection and Genotyping of Giardia duodenalis and Cryptosporidium hominis. Animals. 2021; 11(5):1369. https://doi.org/10.3390/ani11051369
Chicago/Turabian StyleKöster, Pamela Carolina, Begoña Bailo, Alejandro Dashti, Carolina Hernández-Castro, Rafael Calero-Bernal, Francisco Ponce-Gordo, David González-Barrio, and David Carmena. 2021. "Long-Term Preservation and Storage of Faecal Samples in Whatman® Cards for PCR Detection and Genotyping of Giardia duodenalis and Cryptosporidium hominis" Animals 11, no. 5: 1369. https://doi.org/10.3390/ani11051369
APA StyleKöster, P. C., Bailo, B., Dashti, A., Hernández-Castro, C., Calero-Bernal, R., Ponce-Gordo, F., González-Barrio, D., & Carmena, D. (2021). Long-Term Preservation and Storage of Faecal Samples in Whatman® Cards for PCR Detection and Genotyping of Giardia duodenalis and Cryptosporidium hominis. Animals, 11(5), 1369. https://doi.org/10.3390/ani11051369

