Field-Emission Scanning Electron Microscope as a Tool for Large-Area and Large-Volume Ultrastructural Studies
Abstract
:Simple Summary
Abstract
1. Introduction
2. Basic Principles of Image Formation in Scanning Electron Microscopy
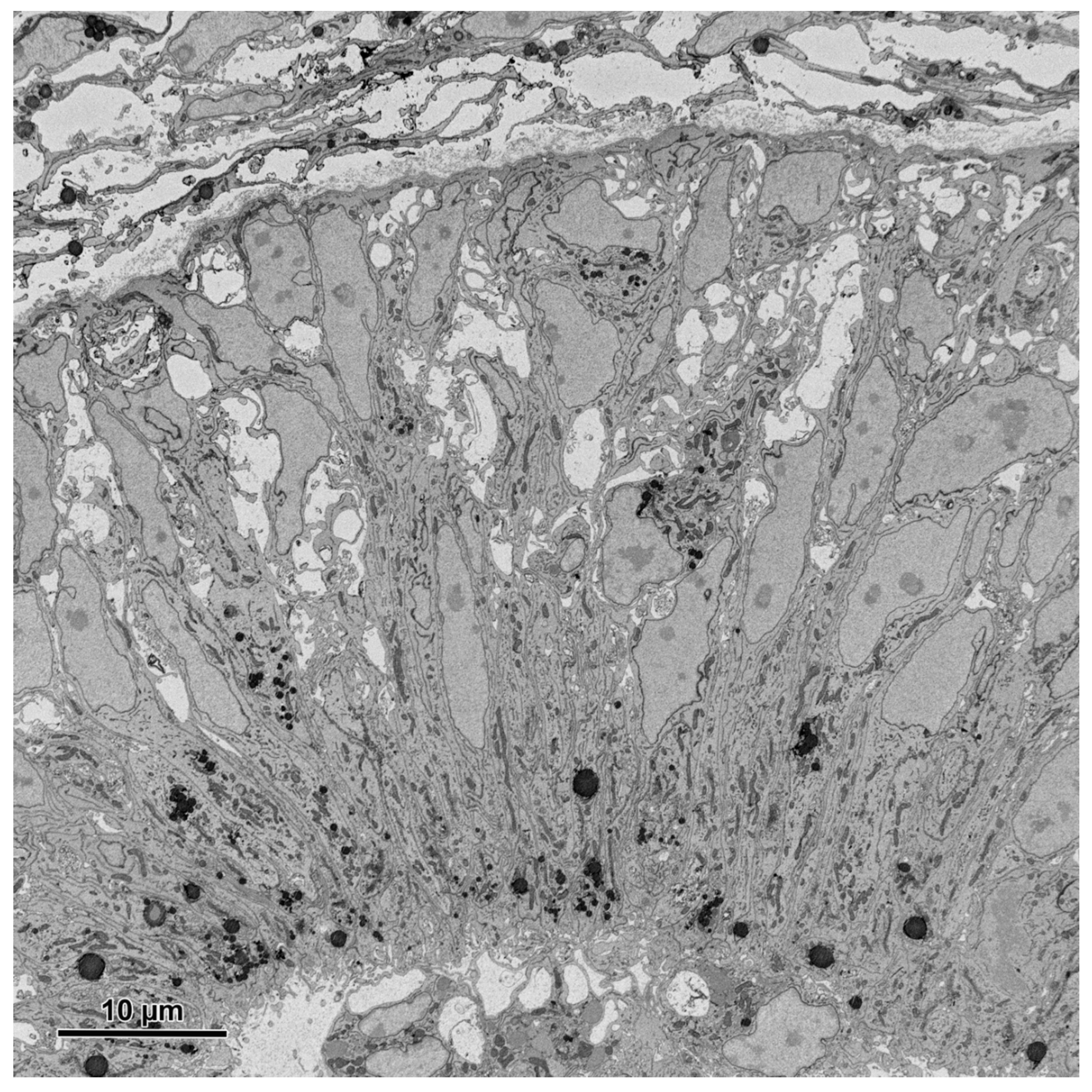
3. Multiscale Imaging of Large Sample Areas
4. Array Tomography
5. Serial Block-Face Imaging
6. Conclusions
Supplementary Materials
Author Contributions
Funding
Institutional Review Board Statement
Informed Consent Statement
Data Availability Statement
Acknowledgments
Conflicts of Interest
References
- Knoll, M.; Ruska, E. Das elektronenmikroskop. J. Phys. 1932, 78, 318–339. [Google Scholar] [CrossRef]
- Busch, H. Über die Wirkungsweise der Konzentrierungsspule bei der Braunschen Röhre. Electr. Eng. 1927, 18, 583–594. [Google Scholar] [CrossRef]
- Sabatini, D.D.; Bensch, K.; Barrnett, R.J. Cytochemistry and electron microscopy: The preservation of cellular ultrastructure and enzymatic activity by aldehyde fixation. J. Cell Biol. 1963, 17, 19–58. [Google Scholar] [CrossRef] [PubMed]
- Palay, S.L.; McGee-Russell, S.M.; Gordon Jr, S.; Grillo, M.A. Fixation of neural tissues for electron microscopy by perfusion with solutions of osmium tetroxide. J. Cell Biol. 1962, 12, 385–410. [Google Scholar] [CrossRef]
- Webster, H.; Collins, G.H. Comparison of osmium tetroxide and glutaraldehyde perfusion fixation for the electron microscopic study of the normal rat peripheral nervous system. J. Neuropathol. Exp. Neurol. 1964, 23, 109–126. [Google Scholar] [CrossRef] [PubMed]
- Williams, T.H.; Jew, J.Y. An improved method for perfusion fixation of neural tissues for electron microscopy. Tissue Cell 1975, 7, 407–418. [Google Scholar] [CrossRef]
- Sjöstrand, F.S. A new microtome for ultrathin sectioning for high resolution electron microscopy. Experientia 1953, 9, 114–115. [Google Scholar] [CrossRef] [PubMed]
- Fernández-Morán, H. Applications of a diamond knife for ultrathin sectioning to the study of the fine structure of biological tissues and metals. J. Biophys. Biochem. Cytol. 1956, 2, 29–30. [Google Scholar] [CrossRef] [PubMed]
- Reynolds, E.S. The use of lead citrate at high pH as an electron-opaque stain in electron microscopy. J. Cell Biol. 1963, 17, 208–212. [Google Scholar] [CrossRef] [PubMed] [Green Version]
- Watson, M.L. Staining of tissue sections for electron microscopy with heavy metals. J. Biophys. Biochem. Cytol. 1958, 4, 475–478. [Google Scholar] [CrossRef] [PubMed] [Green Version]
- Huxley, H.E.; Zubay, G. Preferential staining of nucleic acid-containing structures for electron microscopy. J. Biophys. Biochem. Cytol. 1961, 11, 273–296. [Google Scholar] [CrossRef] [Green Version]
- Dubochet, J.; Adrian, M.; Chang, J.J.; Homo, J.C.; Lepault, J.; McDowall, A.W.; Schultz, P. Cryo-electron microscopy of vitrified specimens. Q. Rev. Biophys. 1988, 21, 129–228. [Google Scholar] [CrossRef] [PubMed] [Green Version]
- Al-Amoudi, A.; Norlen, L.P.O.; Dubochet, J. Cryo-electron microscopy of vitreous sections of native biological cells and tissues. J. Struct. Biol. 2004, 148, 131–135. [Google Scholar] [CrossRef] [PubMed]
- Rifkind, R.A.; Hsu, K.C.; Morgan, C. Immunochemical staining for electron microscopy. J. Histochem. Cytochem. 1964, 12, 131–136. [Google Scholar] [CrossRef] [PubMed]
- Fan, G.Y.; Ellisman, M.H. Digital imaging in transmission electron microscopy. J. Microsc. 2000, 200, 1–13. [Google Scholar] [CrossRef] [Green Version]
- Peltier, S.; Bouwer, J.C.; Xuong, N.H.; Ellisman, M.H. High performance digital imaging for transmission electron microscopy. Microsc. Microanal. 2003, 9, 1566–1567. [Google Scholar] [CrossRef] [Green Version]
- Koga, D.; Kusumi, S.; Watanabe, T. Backscattered electron imaging of resin-embedded sections. Microscopy 2018, 67, 196–206. [Google Scholar] [CrossRef]
- Reichelt, M.; Sagolla, M.; Katakam, A.K.; Webster, J.D. Unobstructed multiscale imaging of tissue sections for ultrastructural pathology analysis by backscattered electron scanning microscopy. J. Histochem. Cytochem. 2020, 68, 9–23. [Google Scholar] [CrossRef] [PubMed]
- Rodríguez, J.R.; Turégano-López, M.; DeFelipe, J.; Merchán-Pérez, A. Neuroanatomy from mesoscopic to nanoscopic scales: An improved method for the observation of semithin sections by high-resolution scanning electron microscopy. Front. Neuroanat. 2018, 12, 14. [Google Scholar] [CrossRef] [PubMed] [Green Version]
- Denk, W.; Horstmann, H. Serial block-face scanning electron microscopy to reconstruct three-dimensional tissue nanostructure. PLoS Biol. 2004, 2, e329. [Google Scholar] [CrossRef] [PubMed]
- Hughes, L.; Hawes, C.; Monteith, S.; Vaughan, S. Serial block face scanning electron microscopy-the future of cell ultrastructure imaging. Protoplasma 2014, 251, 395–401. [Google Scholar] [CrossRef]
- Horstmann, H.; Körber, C.; Sätzler, K.; Aydin, D.; Kuner, T. Serial section scanning electron microscopy (S3EM) on silicon wafers for ultra-structural volume imaging of cells and tissues. PLoS ONE 2012, 7, e35172. [Google Scholar] [CrossRef] [PubMed] [Green Version]
- Wanner, A.A.; Kirschmann, M.A.; Genoud, C. Challenges of microtome-based serial block-face scanning electron microscopy in neuroscience. J. Microsc. 2015, 259, 137–142. [Google Scholar] [CrossRef]
- Shami, G.J.; Cheng, D.; Huynh, M.; Vreuls, C.; Wisse, E.; Braet, F. 3-D EM exploration of the hepatic microarchitecture–lessons learned from large-volume in situ serial sectioning. Sci. Rep. 2016, 6, 36744. [Google Scholar] [CrossRef] [PubMed] [Green Version]
- Smith, D.; Starborg, T. Serial block face scanning electron microscopy in cell biology: Applications and technology. Tissue Cell 2019, 57, 111–122. [Google Scholar] [CrossRef] [PubMed] [Green Version]
- Goggin, P.; Ho, E.M.; Gnaegi, H.; Searle, S.; Oreffo, R.O.; Schneider, P. Development of protocols for the first serial block-face scanning electron microscopy (SBF SEM) studies of bone tissue. Bone 2020, 131, 115107. [Google Scholar] [CrossRef] [PubMed]
- Hayworth, K.J.; Morgan, J.L.; Schalek, R.; Berger, D.R.; Hildebrand, D.G.; Lichtman, J.W. Imaging ATUM ultrathin section libraries with WaferMapper: A multi-scale approach to EM reconstruction of neural circuits. Front. Neural. Circuits 2014, 8, 68. [Google Scholar] [CrossRef] [Green Version]
- Schalek, R.; Wilson, A.; Lichtman, J.; Josh, M.; Kasthuri, N.; Berger, D.; Seung, S.; Anger, P.; Hayworth, K.; Aderhold, D. ATUM-based SEM for high-speed large-volume biological reconstructions. Microsc. Microanal. 2012, 18, 572–573. [Google Scholar] [CrossRef]
- Cantoni, M.; Genoud, C.; Hébert, C.; Knott, G. Large volume, isotropic, 3D imaging of cell structure on the nanometer scale. Microsc. Anal. 2010, 24, 13–16. [Google Scholar]
- Titze, B.; Genoud, C. Volume scanning electron microscopy for imaging biological ultrastructure. Biol. Cell 2016, 108, 307–323. [Google Scholar] [CrossRef]
- Bushong, E.A.; Johnson Jr, D.D.; Kim, K.-Y.; Terada, M.; Hatori, M.; Peltier, S.T.; Satchidananda, P.; Merkle, A.; Ellisman, M.H. X-Ray Microscopy as an Approach to Increasing Accuracy and Efficiency of Serial Block-Face Imaging for Correlated Light and Electron Microscopy of Biological Specimens. Microsc. Microanal. 2015, 21, 231–238. [Google Scholar] [CrossRef] [Green Version]
- Lucas, M.S.; Günthert, M.; Gasser, P.; Lucas, F.; Wepf, R. Bridging microscopes: 3D correlative light and scanning electron microscopy of complex biological structures. Method. Cell Biol. 2012, 111, 325–356. [Google Scholar] [CrossRef]
- Bogner, A.; Jouneau, P.H.; Thollet, G.; Basset, D.; Gauthier, C. A history of scanning electron microscopy developments: Towards “wet-STEM” imaging. Micron 2007, 38, 390–401. [Google Scholar] [CrossRef] [PubMed]
- Bock, D.D.; Lee, W.-C.; Kerlin, A.M.; Andermann, M.L.; Hood, G.; Wetzel, A.W.; Yurgenson, S.; Soucy, E.R.; Kim, H.S.; Reid, R.C. Network anatomy and in vivo physiology of visual cortical neurons. Nature 2011, 471, 177–182. [Google Scholar] [CrossRef] [PubMed] [Green Version]
- Yin, W.; Brittain, D.; Borseth, J.; Scott, M.E.; Williams, D.; Perkins, J.; Own, C.S.; Murfitt, M.; Torres, R.M.; Kapner, D.; et al. A petascale automated imaging pipeline for mapping neuronal circuits with high-throughput transmission electron microscopy. Nat. Commun. 2020, 11, 4949. [Google Scholar] [CrossRef] [PubMed]
- Kuwajima, M.; Mendenhall, J.M.; Lindsey, L.F.; Harris, K.M. Automated transmission-mode scanning electron microscopy (tSEM) for large volume analysis at nanoscale resolution. PLoS ONE 2013, 8, e59573. [Google Scholar] [CrossRef] [Green Version]
- Kuwajima, M.; Mendenhall, J.M.; Harris, K.M. Large-volume reconstruction of brain tissue from high-resolution serial section images acquired by SEM-based scanning transmission electron microscopy. In Nanoimaging, Methods in Molecular Biology, 2nd ed.; Sousa, A.A., Kruhlak, M.J., Eds.; Humana Press: Totowa, NJ, USA, 2013; Volume 950, pp. 253–273. [Google Scholar] [CrossRef] [Green Version]
- Kuipers, J.; de Boer, P.; Giepmans, B.N. Scanning EM of non-heavy metal stained biosamples: Large-field of view, high contrast and highly efficient immunolabeling. Exp. Cell Res. 2015, 337, 202–207. [Google Scholar] [CrossRef] [PubMed]
- Kuipers, J.; Kalicharan, R.D.; Wolters, A.H.G.; van Ham, T.J.; Giepmans, B.N.G. Large-scale scanning transmission electron microscopy (nanotomy) of healthy and injured zebrafish brain. J. Vis. Exp. 2016, 111, e53635. [Google Scholar] [CrossRef] [PubMed] [Green Version]
- Dittmayer, C.; Goebel, H.H.; Heppner, F.L.; Stenzel, W.; Bachmann, S. Preparation of samples for large-scale automated electron microscopy of tissue and cell ultrastructure. Microsc. Microanal. 2021, 27, 815–827. [Google Scholar] [CrossRef] [PubMed]
- Deerinck, T.J.; Bushong, E.A.; Thor, A.; Ellisman, M.H. NCMIR methods for 3D EM: A new protocol for preparation of biological specimens for serial block face scanning electron microscopy. Microscopy 2010, 1, 6–8. [Google Scholar]
- Jiménez, N.; Vocking, K.; van Donselaar, E.G.; Humbel, B.M.; Post, J.A.; Verkleij, A.J. Tannic acid-mediated osmium impregnation after freeze-substitution: A strategy to enhance membrane contrast for electron tomography. J. Struct. Biol. 2009, 166, 103–106. [Google Scholar] [CrossRef]
- Bushby, A.J.; P’ng, K.M.; Young, R.D.; Pinali, C.; Knupp, C.; Quantock, A.J. Imaging three-dimensional tissue architectures by focused ion beam scanning electron microscopy. Nat. Protoc. 2011, 6, 845–858. [Google Scholar] [CrossRef]
- Tapia, J.C.; Kasthuri, N.; Hayworth, K.J.; Schalek, R.; Lichtman, J.W.; Smith, S.J.; Buchanan, J. High-contrast en bloc staining of neuronal tissue for field emission scanning electron microscopy. Nat. Protoc. 2012, 7, 193–206. [Google Scholar] [CrossRef]
- Starborg, T.; Kalson, N.S.; Lu, Y.; Mironov, A.; Cootes, T.F.; Holmes, D.F.; Kadler, K.E. Using transmission electron microscopy and 3View to determine collagen fibril size and three-dimensional organization. Nat. Protoc. 2013, 8, 1433–1448. [Google Scholar] [CrossRef] [PubMed] [Green Version]
- Hayworth, K.J.; Xu, C.S.; Lu, Z.; Knott, G.W.; Fetter, R.D.; Tapia, J.C.; Lichtman, J.W.; Hess, H.F. Ultrastructurally smooth thick partitioning and volume stitching for large-scale connectomics. Nat. Method 2015, 12, 319–322. [Google Scholar] [CrossRef]
- Hua, Y.; Laserstein, P.; Helmstaedter, M. Large-volume en-bloc staining for electron microscopy-based connectomics. Nat. Commun. 2015, 6, 7923. [Google Scholar] [CrossRef] [Green Version]
- Mikula, S.; Denk, W. High-resolution whole-brain staining for electron microscopic circuit reconstruction. Nat. Methods 2015, 12, 541–546. [Google Scholar] [CrossRef] [PubMed]
- Polilov, A.A.; Makarova, A.A.; Pang, S.; Xu, C.S.; Hess, H. Protocol for preparation of heterogeneous biological samples for 3D electron microscopy: A case study for insects. Sci. Rep. 2021, 11, 4717. [Google Scholar] [CrossRef]
- Thai, T.Q.; Nguyen, H.B.; Saitoh, S.; Wu, B.; Saitoh, Y.; Shimo, S.; Elewa, Y.H.A.; Ichii, O.; Kon, Y.; Takaki, T.; et al. Rapid specimen preparation to improve the throughput of electron microscopic volume imaging for three-dimensional analyses of subcellular ultrastructures with serial block-face scanning electron microscopy. Med. Mol. Morphol. 2016, 49, 154–162. [Google Scholar] [CrossRef] [PubMed]
- Genoud, C.; Titze, B.; Graff-Meyer, A.; Friedrich, R.W. Fast Homogeneous En Bloc Staining of Large Tissue Samples for Volume Electron Microscopy. Fron. Neuroanat. 2018, 12, 76. [Google Scholar] [CrossRef] [PubMed]
- Seligman, A.M.; Wasserkrug, H.L.; Hanker, J.S. A new staining method (OTO) for enhancing contrast of lipid-containing membranes and droplets in osmium tetroxide-fixed tissue with osmiophilic thiocarbohydrazide (TCH). J. Cell Biol. 1966, 30, 424–432. [Google Scholar] [CrossRef] [PubMed] [Green Version]
- De Bruijn, W.C. Glycogen, its chemistry and morphologic appearance in the electron microscope: I. A modified OsO4 fixative which selectively contrasts glycogen. J. Ultrastruct. Res. 1973, 42, 29–50. [Google Scholar] [CrossRef]
- Lich, B.; Boughorbel, F.; Potocek, P.; Korkmaz, E. FEG-SEM for Large Volume 3D Structural Analysis in Life Sciences. In Biological Field Emission Scanning Electron Microscopy, 2nd ed.; Fleck, R.A., Humbel, B.M., Eds.; John Wiley & Sons Ltd.: New York, NY, USA, 2019; pp. 103–115. [Google Scholar]
- Angert, I.; Kirmse, R.; Thaler, M.; Kirk, C. Array Tomography and Beam Deceleration—High-Throughput Imaging with the ZEISS GeminiSEM using Atlas 5 and Beam Deceleration. Microsc. Microanal. 2016, 22, 28–29. [Google Scholar] [CrossRef] [Green Version]
- Bouwer, J.C.; Deerinck, T.J.; Bushong, E.; Astakhov, V.; Ramachandra, R.; Peltier, S.T.; Ellisman, M.H. Deceleration of probe beam by stage bias potential improves resolution of serial block-face scanning electron microscopic images. Adv. Struct. Chem. Imag. 2016, 2, 11. [Google Scholar] [CrossRef] [Green Version]
- Lane, R.; Vos, Y.; Wolters, A.H.G.; Kessel, L.V.; Chen, S.E.; Liv, N.; Klumperman, J.; Giepmans, B.N.G.; Hoogenboom, J.P. Optimization of negative stage bias potential for faster imaging in large-scale electron microscopy. J. Struct. Biol. X 2021, 5, 100046. [Google Scholar] [CrossRef] [PubMed]
- Wacker, I.; Spomer, W.; Hofmann, A.; Thaler, M.; Hillmer, S.; Gengenbach, U.; Schröder, R.R. Hierarchical imaging: A new concept for targeted imaging of large volumes from cells to tissues. BMC Cell Biol. 2016, 17, 38. [Google Scholar] [CrossRef] [Green Version]
- Micheva, K.D.; Smith, S.J. Array tomography: A new tool for imaging the molecular architecture and ultrastructure of neural circuits. Neuron 2007, 55, 25–36. [Google Scholar] [CrossRef] [PubMed] [Green Version]
- Kasthuri, N.; Hayworth, K.; Lichtman, J.; Erdman, N.; Ackerley, C.A. New technique for ultra-thin serial brain section imaging using scanning electron microscopy. Microsc. Microanal. 2007, 13, 26–27. [Google Scholar] [CrossRef]
- Hayworth, K.J.; Kasthuri, N.; Schalek, R.; Lichtman, J.W. Automating the collection of ultrathin serial sections for large volume TEM reconstructions. Microsc. Microanal. 2006, 12, 86–87. [Google Scholar] [CrossRef] [Green Version]
- Mohammadi-Gheidari, A.; Kruit, P. Electron optics of multi-beam scanning electron microscope. Nucl. Instrum. Methods Phys. Res. Sect. Accel. Spectrometers Detect. Assoc. Equip. 2011, 645, 60–67. [Google Scholar] [CrossRef]
- Eberle, A.L.; Zeidler, D. Multi-beam scanning electron microscopy for high-throughput imaging in connectomics research. Front. Neuroanat. 2018, 12, 112. [Google Scholar] [CrossRef] [Green Version]
- Micheva, K.D.; O’Rourke, N.; Busse, B.; Smith, S.J. Array tomography: Immunostaining and antibody elution. Cold Spring Harb. Protoc. 2010, 11, 1270–1273. [Google Scholar] [CrossRef] [PubMed]
- Baena, V.; Lee Schalek, R.; Lichtman, J.W.; Terasaki, M. Serial-section electron microscopy using automated tape-collecting ultramicrotome (ATUM). In Methods in Cell Biology, 2nd ed.; Müller-Reichert, T., Pigino, G., Eds.; Academic Press: Cambridge, MA, USA, 2019; Volume 152, pp. 41–67. [Google Scholar] [CrossRef]
- Lane, R.; De Boer, P.; Giepmans, B.; Hoogenboom, J. Integrated Correlative Light Electron Microscopy for Automated Array Tomography. Microsc. Microanal. 2018, 24, 372–373. [Google Scholar] [CrossRef] [Green Version]
- Burel, A.; Lavault, M.T.; Chevalier, C.; Gnaegi, H.; Prigent, S.; Mucciolo, A.; Dutertre, S.; Humbel, B.M.; Guillaudeux, T.; Kolotuev, I. A targeted 3D EM and correlative microscopy method using SEM array tomography. Development 2018, 145, dev160879. [Google Scholar] [CrossRef] [Green Version]
- Gabarre, S.; Vernaillen, F.; Baatsen, P.; Vints, K.; Cawthorne, C.; Boeynaems, S.; Michiels, E.; Vandael, D.; Gounko, N.V.; Munck, S. A workflow for streamlined acquisition and correlation of serial regions of interest in array tomography. BMC Biol. 2021, 19, 152. [Google Scholar] [CrossRef]
- Guérin, C.J.; Kremer, A.; Borghgraef, P.; Shih, A.Y.; Lippens, S. Chapter 5—Combining serial block face and focused ion beam scanning electron microscopy for 3D studies of rare events. In Methods in Cell Biology, 2nd ed.; Müller-Reichert, T., Pigino, G., Eds.; Academic Press: Cambridge, MA, USA, 2019; Volume 152, pp. 87–101. [Google Scholar] [CrossRef]
- Cheng, L.; Liu, W.; Zhou, C.; Zou, Y.; Hou, Z.G. Automated Silicon-Substrate Ultra-Microtome for Automating the Collection of Brain Sections in Array Tomography. IEEE/CAA J. Autom. Sin. 2021, 8, 389–401. [Google Scholar] [CrossRef]
- Templier, T. MagC, magnetic collection of ultrathin sections for volumetric correlative light and electron microscopy. eLife 2019, 8, e45696. [Google Scholar] [CrossRef] [PubMed]
- Koike, T.; Kataoka, Y.; Maeda, M.; Hasebe, Y.; Yamaguchi, Y.; Suga, M.; Saito, A.; Yamada, H. A device for ribbon collection for array tomography with scanning electron microscopy. Acta Histochem. Cytoc. 2017, 50, 135–140. [Google Scholar] [CrossRef] [PubMed] [Green Version]
- Kubota, Y.; Sohn, J.; Hatada, S.; Schurr, M.; Straehle, J.; Gour, A.; Neujahr, R.; Miki, T.; Mikula, S.; Kawaguchi, Y. A carbon nanotube tape for serial-section electron microscopy of brain ultrastructure. Nat. Commun. 2018, 9, 437. [Google Scholar] [CrossRef] [PubMed] [Green Version]
- de Boer, P.; Hoogenboom, J.; Giepmans, B. Correlated light and electron microscopy: Ultrastructure lights up! Nat. Methods 2016, 12, 503–513. [Google Scholar] [CrossRef] [PubMed]
- Leighton, S.B. SEM images of block faces, cut by a miniature microtome within the SEM—A technical note. Scanning Electron Microsc. 1981, 2, 73–76. [Google Scholar]
- Lippens, S.; Kremer, A.; Borghgraef, P.; Guérin, C.J. Serial block face-scanning electron microscopy for volume electron microscopy. In Methods in Cell Biology; Müller-Reichert, T., Pigino, G., Eds.; Academic Press: Cambridge, MA, USA, 2019; Volume 152, pp. 69–85. [Google Scholar] [CrossRef]
- Vanslembrouck, B.; Kremer, A.; Pavie, B.; van Roy, F.; Lippens, S.; van Hengel, J. Three-dimensional reconstruction of the intercalated disc including the intercellular junctions by applying volume scanning electron microscopy. Histochem. Cell Biol. 2018, 149, 479–490. [Google Scholar] [CrossRef] [PubMed]
- Moncrieff, D.A.; Robinson, V.N.E.; Harris, L.B. Charge neutralisation of insulating surfaces in the SEM by gas ionisation. J. Phys. D Appl. Phys. 1978, 11, 2315–2325. [Google Scholar] [CrossRef]
- Kizilyaprak, C.; Longo, G.; Daraspe, J.; Humbel, B.M. Investigation of resins suitable for the preparation of biological sample for 3-D electron microscopy. J. Struct. Biol. 2015, 189, 135–146. [Google Scholar] [CrossRef] [PubMed]
- Nguyen, H.B.; Thai, T.Q.; Saitoh, S.; Wu, B.; Saitoh, Y.; Shimo, S.; Fujitani, H.; Otobe, H.; Ohno, N. Conductive resins improve charging and resolution of acquired images in electron microscopic volume imaging. Sci. Rep. 2016, 6, 23721. [Google Scholar] [CrossRef]
- Deerinck, T.J.; Shone, T.M.; Bushong, E.A.; Ramachandra, R.; Peltier, S.T.; Ellisman, M.H. High-performance serial block-face SEM of nonconductive biological samples enabled by focal gas injection-based charge compensation. J. Microsc. 2018, 270, 142–149. [Google Scholar] [CrossRef] [PubMed]
- De Goede, M.; Johlin, E.; Sciacca, B.; Boughorbel, F.; Garnett, E.C. 3D multi-energy deconvolution electron microscopy. Nanoscale 2017, 9, 684–689. [Google Scholar] [CrossRef] [PubMed]
- He, Q.; Hsueh, M.; Zhang, G.; Joy, D.C.; Leapman, R.D. Biological serial block face scanning electron microscopy at improved z-resolution based on Monte Carlo model. Sci. Rep. 2018, 8, 12985. [Google Scholar] [CrossRef] [PubMed] [Green Version]









| Authors | Protocol Name | Objective | Primary Fixation | Contrasting En Bloc | Resin | Polymerization | Overall Time 1 |
|---|---|---|---|---|---|---|---|
| Seligman et al., 1966 [52] | OTO | - enhancing contrast of lipid- containing membranes and droplets | GA + PFA | 2% OsO4 in H2O | Araldite | nd | nd |
| 1% TCH (1 h 50 °C) | |||||||
| 2% OsO4 in H2O (1 h 60 °C) | |||||||
| de Bruijn, 1973 [53] | ROTO | - staining of glycogen | 3% GA in 0.1 M CB + CaCl2 (72 h 0–4 °C) | 1% OsO4 in 0.1 M CB + 0.05 M K3Fe(CN)6 (24 h 0–4 °C) | Epon 812 | 72 h 37 °C, 24 h 60 °C | 12 d |
| Jiménez et al., 2009 [42] | TAMOI | - improving the membrane contrast | 2.5% GA, 2% PFA in 0.08 M CB + CaCl2 + MgCl2 (1 h) | 1% OsO4 + 1.5% K4Fe(CN)6 in CB (90 min on ice) | Epon | nd | nd |
| 1% TA in 0.1 M CB (30 min RT) | |||||||
| 1% OsO4 in H2O (30 min on ice | |||||||
| Deerink et al., 2010 [41] | NCMIR | - enhancing signal for BSE imaging of epoxy-embedded mammalian tissue at low accelerating voltages | 2.5% GA, 2% PFA in 0.15 M CB + CaCl2 (2–3 h) | 4% OsO4 + 3% K4Fe(CN)6 in 0.3 M CB + CaCl2 (1 h on ice) | Durcupan | 48 h 60 °C | 3 d |
| TCH (20 min RT) | |||||||
| 2% OsO4 in H2O (30 min RT) | |||||||
| 1% UA in H2O (overnight 4 °C) | |||||||
| PbAsp (30 min 60 °C) | |||||||
| Bushby et al., 2011 [43] | - | - enhancing contrast of cells and matrix for visualization through BSE imaging | 2.5% GA, 2% PFA in 0.1 M CB (2.5 h RT) | 1% OsO4 + 1.5% K4Fe(CN)6 in 0.1 M CB (1 h RT) | Durcupan | 24 h 45 °C | 2.5 d |
| 1% TA in H20 (1 h RT) | |||||||
| Tapia et al., 2012 [44] | - | - high-contrast en bloc staining of neuronal tissue for FESEM | 2% GA, 2.5% PFA in 0.1 M CB (1 h RT) | 2% OsO4 in 0.1 M CB (2 h RT) | Embed 812 | 48 h 60 °C | 4.5 d |
| 1% TCH (30 min RT) | |||||||
| 4% OsO4 + K4Fe(CN)6 in 0.2 M CB (1 h RT) | |||||||
| LC + CS (2 h 37 °C or overnight 25 °C) | |||||||
| Starborg et al., 2013 [45] | ROUM | - studying collagen fibril organization | 2.5% GA in 0.1 M CB (2 h 4 °C) | 2% OsO4 + 1.5% K4Fe(CN)6 in 100 mM CB (1 h RT) | Agar100 | 72 h 60 °C | 5 d |
| 1% TA in 100 mM CB (2 × 2 h 4 °C) | |||||||
| 2% OsO4 in H2O (40 min RT) | |||||||
| 1% UA in H2O (16 h 4 °C) | |||||||
| Hayworth et al., 2015 [46] | - | - smooth thick partitioning and volume stitching for FIB-SEM imaging | 2.5% GA, 2% PFA in 0.1 M PB (2 h RT) | 1.5% K4Fe(CN)6 + 1% OsO4 (1 h) | Durcupan | 24 h 60 °C | 1 d 5 h |
| 1% OsO4 (1 h) | |||||||
| 1% UA in H2O (1 h) | |||||||
| Hua et al., 2015 [47] | - | - large-volume en bloc staining for electron microscopy-based connectomics | 2.5% PFA, 1.25% GA in 0.08 CB + CaCl2 (12–24 h 4 °C) | 2% OsO4 in 0.15 M CB (90 min RT) | Spurr | 48–72 h 70 °C | 5.5 d |
| 2.5% K4Fe(CN)6 in 0.15 M CB (90 min RT) | |||||||
| TCH (45 min 40 °C) | |||||||
| 2% OsO4 in H2O (90 min RT) | |||||||
| 1% UA (overnight 4 °C, 2 h 50 °C) | |||||||
| PbAsp (2 h 50 °C) | |||||||
| Mikula and Denk, 2015 [48] | BROPA | - reconstruction of neural circuits | 2.5% GA in 0.1 M CB + sucrose (48–72 h 2 °C) | OsO4 + K4Fe(CN)6 + CB + CH3NO (96 h RT) | Spurr | 48 h 60 °C | 26 d |
| OsO4 + CB (72 h RT) | |||||||
| Pyr in H2O (72 h RT) | |||||||
| OsO4 in H2O (96 h RT) | |||||||
| Polilov et al., 2021 [49] | - | - simple preparation of heterogeneous biological samples for 3D-EM | I: 1% GA + 1% OsO4 in 0.1 M CB (40 min 4 °C) II: 2% GA in 0.1 M CB (2 h 4 °C) | 2% OsO4 in 0.1 M CB (12–20 h 4 °C) | Epon 812 | 48 h 60 °C | 5.5 d |
| 1% K4Fe(CN)6 in 0.1 M CB (2 h 4 °C) | |||||||
| 1% UA in H2O (8–12 h 4 °C, 2 h 50 °C) | |||||||
| PbAsp (2 h 50 °C) |
Publisher’s Note: MDPI stays neutral with regard to jurisdictional claims in published maps and institutional affiliations. |
© 2021 by the authors. Licensee MDPI, Basel, Switzerland. This article is an open access article distributed under the terms and conditions of the Creative Commons Attribution (CC BY) license (https://creativecommons.org/licenses/by/4.0/).
Share and Cite
Lewczuk, B.; Szyryńska, N. Field-Emission Scanning Electron Microscope as a Tool for Large-Area and Large-Volume Ultrastructural Studies. Animals 2021, 11, 3390. https://doi.org/10.3390/ani11123390
Lewczuk B, Szyryńska N. Field-Emission Scanning Electron Microscope as a Tool for Large-Area and Large-Volume Ultrastructural Studies. Animals. 2021; 11(12):3390. https://doi.org/10.3390/ani11123390
Chicago/Turabian StyleLewczuk, Bogdan, and Natalia Szyryńska. 2021. "Field-Emission Scanning Electron Microscope as a Tool for Large-Area and Large-Volume Ultrastructural Studies" Animals 11, no. 12: 3390. https://doi.org/10.3390/ani11123390
APA StyleLewczuk, B., & Szyryńska, N. (2021). Field-Emission Scanning Electron Microscope as a Tool for Large-Area and Large-Volume Ultrastructural Studies. Animals, 11(12), 3390. https://doi.org/10.3390/ani11123390

