New Approaches to Assess Fertility in Domestic Animals: Relationship between Arterial Blood Flow to the Testicles and Seminal Quality
Abstract
Simple Summary
Abstract
1. Introduction
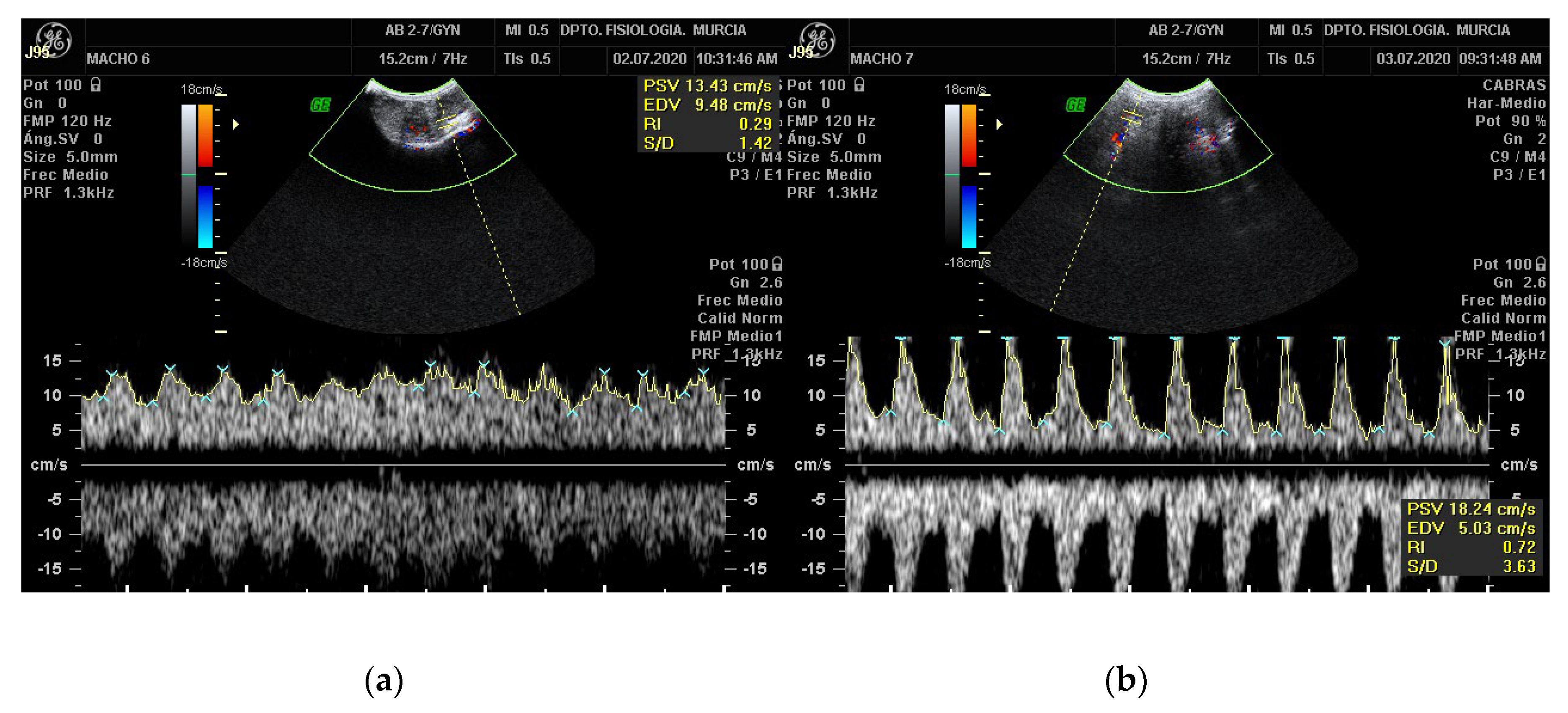
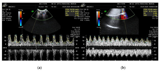
- Continuous Doppler: This type does not discriminate depth of field. All the blood vessels in the area are captured, regardless of the range of ultrasound applied.
- Pulsed Doppler: With this system you can choose the depth of the field to study, specifically evaluating the vessels in that area.
- Color Doppler (CD): Provides a general idea of the presence and direction of blood flow. It encodes the frequency changes in red and blue. If the frequency is positive, the image will be red, while if it is negative, it will be blue. In addition to color, the brightness of the image is taken into account; the higher the brightness, the greater the frequency amplitude [14,15,16].
- Power Doppler (PwD): It is the newest method. Unlike the others, it does not measure the speed or direction of the flow, but the intensity. It measures the number of cells that pass through a glass in a unit of time. The images are represented in color mode (orange-brown) in B mode. PwD is used in areas where blood flow is very slow, such as ovarian follicles or corpora lutea [17,18].
1.1. Relationship between Spermatogenesis and Doppler Ultrasonography Parameters
1.2. Influence of the Location of the Assessment on Doppler Indices and the Spectral Doppler Waveform
1.3. Influence of Breed and Size on Doppler Indices
1.4. Influence of Season in Testicular Blood Flow Dynamics
1.5. Effect of Laterality in Testicular Blood Flow Dynamic
1.6. Limitations of the Use of Doppler in BSE
2. Conclusions
Funding
Informed Consent Statement
Data Availability Statement
Acknowledgments
Conflicts of Interest
References
- Hansen, P.J. Current and Future Assited Reproductive Technologies for Mammalian Farm Animals. In Current and Future Technologies and World Food Production. Advances in Experimental Medicine and Biology; Lamb, G.C., DiLorenzo, N., Eds.; Springer: New York, NY, USA, 2014; Volume 752, pp. 1–22. [Google Scholar] [CrossRef]
- Samir, H.; Nyametease, P.; Nagaoka, K.; Watanabe, G. Effect of seasonality on testicular blood flow as determined by color Doppler ultrasonography and hormonal profiles in Shiba goats. Anim. Reprod. Sci. 2018, 197, 185–192. [Google Scholar] [CrossRef] [PubMed]
- Boukhliq, R.; Allali, K.; El Tibary, A. Gross anatomy and ultrasonographic examination of the reproductive organs in rams and bucks. Acta Sci. Agron. 2018, 2, 226–240. [Google Scholar]
- Singla, M.; Saini, A.L.; Kumar, A.; Kaswan, S.; Brar, P.S. Breeding soundness evaluation of stall-fed bucks using ultrasonography. Indian J. Anim. Sci. 2017, 87, 584–586. [Google Scholar]
- Tibary, A.; Boukhliq, R.; El Allali, K. Ram and Buck Breeding Soundness Examination. Rev. Maroc. Sci Agron. Vét. 2018, 6, 241–255. [Google Scholar]
- Griffin, P.G. The breeding soundness examination in the stallion. J. Equine Vet. Sci. 2000, 20, 168–171. [Google Scholar] [CrossRef]
- Pinho, R.; Camilo, B.; Lima, D.; Villadiego, F.; Vergara, J.; Shiomi, H.; Cardoso, R.; Lopes, P.; Guimarães, S.; Guimarães, J. The use of ultrasonography in the reproductive evaluation of boars. Reprod. Domest. Anim. 2018, 53, 393–400. [Google Scholar] [CrossRef]
- Eilts, B.E.; Pechman, R.D. B-mode ultrasound observations of bull testes during breeding soundness examinations. Theriogenology 1988, 30, 1169–1175. [Google Scholar] [CrossRef]
- Samir, H.; Nyametease, P.; Elbadawy, M.; Nagaoka, K.; Sasaki, K.; Watanabe, G. Administration of melatonin improves testicular blood flow, circulating hormones, and semen quality in Shiba goats. Theriogenology 2020, 146, 111–119. [Google Scholar] [CrossRef]
- Setchell, B.P.; Breed, W.G. Anatomy, vasculature, and innervation of the male reproductive tract. In Knobil Neill’s Physiol Reprod, 3rd ed.; Neill, J., Ed.; Elsevier: Adelaide, Australia, 2006; Volume 1, pp. 771–825. [Google Scholar] [CrossRef]
- Bergh, A.; Collin, O.; Lissbrant, E. Effects of Acute Graded Reductions in Testicular Blood Flow on Testicular Morphology in the Adult Rat. Biol. Reprod. 2001, 64, 13–20. [Google Scholar] [CrossRef]
- Strina, A.; Corda, A.; Nieddu, S.; Solinas, M.G.; Lilliu, M.; Zedda, M.T.; Pau, S.; Ledda, S. Annual variations in resistive index (RI) of testicular artery, volume measurements and testosterone levels in bucks. Comp. Clin. Pathol. 2016, 25, 409–413. [Google Scholar] [CrossRef]
- Viana, J.H.; Urashiro, E.K.; Siqueira, L.G.; Ghetti, A.; Areas, V.; Guimarães, C.R.; Palhão, M.P.; Camargo, L.S.A.; Fernandes, C.A. Doppler ultrasonography as a tool for ovarian management. Anim. Reprod. 2013, 10, 215–222. [Google Scholar]
- Rubio, I.; Tirapu, M.; Zabalza, J. Ecografía Doppler: Principios básicos y guía práctica para residentes. In Proceedings of the Congreso de la Sociedad Española de Radiología Médica, Pamplona, España, 22–25 May 2014. [Google Scholar]
- Bollwein, H.; Heppelmann, M.; Lüttgenau, J. Ultrasonographic Doppler Use for Female Reproduction Management. Vet. Clin. N. Am. 2016, 32, 149–164. [Google Scholar] [CrossRef] [PubMed]
- Abdelrahman, M.A.; Oqlat, A.A.; Oqlat, M.A.; Matjafri, M.Z.; Oglat1, A.A.; Suardi, N. A review of Medical Doppler US. J. Med. Ultrasound 2018, 26, 115–117. [Google Scholar] [CrossRef]
- Markey, C.M.; Jequier, A.M.; Meyer, G.T.; Martin, G.B. Relationship between testicular morphology and sperm production following ischaemia in the ram. Reprod. Fertil. Dev. 1995, 7, 119–128. [Google Scholar] [CrossRef] [PubMed]
- De Souza, M.B.; Barbosa, C.D.C.; Pereira, B.S.; Monteiro, C.L.B.; Pinto, J.N.; Linhares, J.C.S.; Da Silva, L.D.M. Doppler velocimetric parameters of the testicular artery in healthy dogs. Res. Vet. Sci 2014, 96, 533–536. [Google Scholar] [CrossRef] [PubMed]
- Lotti, F.; Maggi, M. Color-Doppler Ultrasound and New Imaging Techniques in Andrological Examination. In Endocrinology of Testis and Male Reproduction, 1st ed.; Simoni, M., Huhtaniemi, I.T., Eds.; Springer: New York, NY, USA, 2017; Volume 1, pp. 555–621. [Google Scholar] [CrossRef]
- Pozor, M.A.; McDonnell, S.M. Color Doppler ultrasound evaluation of testicular blood flow in stallions. Theriogenology 2004, 61, 799–810. [Google Scholar] [CrossRef]
- Ortiz-Rodriguez, J.M.; Anel-López, L.; Martín-Muñoz, P.; Álvarez, M.; Gaitskell-Phillips, G.; Anel, L.; Rodríguez-Medina, P.; Peña, F.J.; Ferrusola, C.O. Doppler ultrasound as a tool for the diagnosis of chronic testicular dysfunction in stallions. PLoS ONE 2017, 12, e0175878. [Google Scholar] [CrossRef]
- Bollwein, H.; Scheibenzuber, E.; Stolla, R.; Echte, A.F.; Sieme, H. Testicular blood flow in the stallion: Variability and its relationship to sperm quality and fertility. Pferdeheilkd Equine Med. 2006, 22, 123–133. [Google Scholar] [CrossRef]
- Gacem, S.; Papas, M.; Catalan, J.; Miró, J. Examination of jackass (Equus asinus) accessory sex glands by B-mode ultrasound and of testicular artery blood flow by colour pulsed-wave Doppler ultrasound: Correlations with semen production. Reprod. Domest. Anim. 2020, 55, 181–188. [Google Scholar] [CrossRef]
- England, G.; Bright, L.; Pritchard, B.; Bowen, I.M.; De Souza, M.B.; Silva, L.; Moxon, R. Canine reproductive ultrasound examination for predicting future sperm quality. Reprod. Domest. Anim. 2017, 52, 202–207. [Google Scholar] [CrossRef]
- Lemos, H.; Dorado, J.; Hidalgo, M.; Gaivão, I.; Martins-Bessa, A. Assessment of Dog Testis Perfusion by Colour and Pulsed-Doppler Ultrasonography and Correlation With Sperm Oxidative DNA Damage. Top. Companion Anim. Med. 2020, 41, 1–19. [Google Scholar] [CrossRef] [PubMed]
- De Brito, M.; Feliciano, M.A.R.; Coutinho, L.; Uscategui, R.A.R.; Simões, A.; Maronezi, M.; De Almeida, V.; Crivelaro, R.; Gasser, B.; Pavan, L.; et al. Doppler and Contrast-Enhanced Ultrasonography of Testicles in Adult Domestic Felines. Reprod. Domest. Anim. 2015, 50, 730–734. [Google Scholar] [CrossRef] [PubMed]
- Junior, F.A.B.; Junior, C.K.; Favaro, P.D.C.; Pereira, G.R.; Morotti, F.; Menegassi, S.R.O.; Barcellos, J.O.J.; Seneda, M.M. Effect of breed on testicular blood flow dynamics in bulls. Theriogenology 2018, 118, 16–21. [Google Scholar] [CrossRef] [PubMed]
- Gloria, A.; Carluccio, A.; Wegher, L.; Robbe, D.; Valorz, C.; Contri, A. Pulse wave Doppler ultrasound of testicular arteries and their relationship with semen characteristics in healthy bulls. J. Anim. Sci. Biotechnol. 2018, 9, 1–7. [Google Scholar] [CrossRef] [PubMed]
- Rodrigues, N.N.; Rossi, G.F.; Vrisman, D.P.; Taira, A.R.; Souza, L.L.; Zorzetto, M.F.; Bastos, N.M.; De Paz, C.C.P.; De Lima, V.F.M.H.; Monteiro, F.M.; et al. Ultrasonographic characteristics of the testes, epididymis and accessory sex glands and arterial spectral indices in peri- and post-pubertal Nelore and Caracu bulls. Anim. Reprod. Sci. 2019, 212, 106235. [Google Scholar] [CrossRef] [PubMed]
- Hedia, M.G.; El-Belely, M.S.; Ismail, S.T.; El-Maaty, A.M.A. Evaluation of testicular blood flow and ultraso-nographic measurements in rams with emphasis on laterality. J. Adv. Vet. Res. 2020, 10, 17–20. [Google Scholar]
- Camela, E.S.C.; Nociti, R.P.; Santos, V.J.C.; Macente, B.I.; Murawski, M.; Vicente, W.R.R.; Bartlewski, P.M.; Oliveira, M.E.F. Changes in testicular size, echotexture, and arterial blood flow associated with the attainment of puberty in Dorper rams raised in a subtropical climate. Reprod. Domest. Anim. 2018, 54, 131–137. [Google Scholar] [CrossRef]
- Elbaz, H.; Elweza, A.; Sharshar, A. Testicular Color Doppler Ultrasonography in Barki Rams. Alex. J. Veter Sci. 2019, 61, 39. [Google Scholar] [CrossRef]
- Batissaco, L.; Celeghini, E.C.C.; Pinaffi, F.L.V.; De Oliveira, B.M.M.; De Andrade, A.F.C.; Recalde, E.C.S.; Fernandes, C.B. Correlações entre a hemodinâmica testicular e as características espermáticas em carneiros. Braz. J. Veter-Res. Anim. Sci. 2014, 50, 384. [Google Scholar] [CrossRef]
- Samir, H.; Sasaki, K.; Ahmed, E.; Karen, A.; Nagaoka, K.; El Sayed, M.; Taya, K.; Watanabe, G. Effect of a single injection of gonadotropin-releasing hormone (GnRH) and human chorionic gonadotropin (hCG) on testicular blood flow measured by color Doppler ultrasonography in male Shiba goats. J. Vet. Med. Sci. 2015, 77, 549–556. [Google Scholar] [CrossRef]
- Kutzler, M.; Tyson, R.; Grimes, M.; Timm, K. Determination of testicular blood flow in camelids using vascular casting and color pulsed-wave Doppler ultrasonography. Vet. Med. Int. 2011, 2011, 638602. [Google Scholar] [CrossRef] [PubMed]
- Pinggera, G.-M.; Mitterberger, M.; Bartsch, G.; Strasser, H.; Gradl, J.; Aigner, F.; Pallwein, L.; Frauscher, F. Assessment of the intratesticular resistive index by colour Doppler ultrasonography measurements as a predictor of spermatogenesis. BJU Int. 2008, 101, 722–726. [Google Scholar] [CrossRef] [PubMed]
- Zaidi, J.; Jurkovic, D.; Campbell, S.; Pittrof, R.; Mcgregor, A.; Tan, S.L. Physiology: Description of circadian rhythm in uterine artery blood flow during the peri-ovulatory period. Hum. Reprod. 1995, 10, 1642–1646. [Google Scholar] [CrossRef] [PubMed]
- Mbaeri, T.U.; Orakwe, J.C.; Nwofor, A.M.E.; Oranusi, C.K.; Mbonu, O.O. Ultrasound measurements of testicular volume: Comparing the three common formulas with the true testicular volume determined by water displacement. Afr. J. Urol. 2013, 19, 69–73. [Google Scholar] [CrossRef]
- Kumaresan, A.; Das Gupta, M.; Datta, T.K.; Morrell, J.M. Sperm DNA Integrity and Male Fertility in Farm Animals: A Review. Front. Vet. Sci. 2020, 7, 321. [Google Scholar] [CrossRef]
- Franken, D.R.; Oehninger, S. Semen analysis and sperm function testing. Asian J. Androl. 2012, 14, 6–13. [Google Scholar] [CrossRef]
- Rodríguez-Martínez, H. State of the art in farm animal sperm evaluation. Reprod. Fertil. Dev. 2007, 19, 91–101. [Google Scholar] [CrossRef]
- Larsen, L.; Scheike, T.; Jensen, T.K.; Bonde, J.P.; Ernst, E.; Hjollund, N.H.; Zhou, Y.; Skakkebæk, N.E.; Giwercman, A. Computer-assisted semen analysis parameters as predictors for fertility of men from the general population. Hum. Reprod. 2000, 15, 1562–1567. [Google Scholar] [CrossRef]
- Michos, I.A.; Basioura, A.G.; Boscos, C.M.; Tsakmakidis, I.A. Proper use and impact of "Computer Assited Semen Analysis" technique on semen evaluation of farm animals. J. Hellenic Vet. Med. Soc. 2013, 64, 267–274. [Google Scholar] [CrossRef][Green Version]
- Cooper, T.G. WHO Laboratory Manual for the Examination and Processing of Human Semen, 5th ed.; EHO Press: Geneva, Switzerland, 2010; p. 139. [Google Scholar]
- Biagiotti, G.; Cavallini, G.; Modenini, F.; Vitali, G.; Gianaroli, L. Spermatogenesis and spectral echo-colour Doppler traces from the main testicular artery. BJU Int. 2002, 90, 903–908. [Google Scholar] [CrossRef]
- Rehman, K.U.; Zaneb, H.; Qureshi, A.B.; Yousaf, M.S.; Numan, A.; Majeed, K.A.; Rabbani, I.; Khan, T.M.; Rehman, H. Correlation between Testicular Hemodynamic and Semen Quality Indices in Clinical Varicocele Patients in Pakistan. Biomed. Res. Int. 2019, 2019, 1–6. [Google Scholar] [CrossRef]
- Zelli, R.; Troisi, A.; Elad Ngonput, A.; Cardinali, L.; Polisca, A. Evaluation of testicular artery blood flow by Doppler ultrasonography as a predictor of spermatogenesis in the dog. Res. Vet. Sci. 2013, 95, 632–637. [Google Scholar] [CrossRef] [PubMed]
- De Souza, M.B.; Barbosa, C.C.; England, G.; Filho, A.C.M.; Sousa, C.V.S.; De Carvalho, G.G.; Silva, H.V.R.; Pinto, J.N.; Linhares, J.C.; Da Silva, L.D.M. Regional differences of testicular artery blood flow in post pubertal and pre-pubertal dogs. BMC Vet. Res. 2015, 11, 47–53. [Google Scholar] [CrossRef] [PubMed]
- Trautwein, L.; Cardoso, G.S.; Almeida, A.; Hidalgo, M.; Neta, J.; Paranzini, C.; Souza, A.K.; Martins, M.I.M. Correlation between sperm kinetics and Doppler velocimetry of testicular artery with kinetics and sperm morphology in dogs. Reprod. Domest. Anim. 2019, 16, 84. [Google Scholar]
- Trautwein, L.G.C.; Souza, A.K.; Martins, M.I.M. Can testicular artery Doppler velocimetry values change according to the measured region in dogs? Reprod. Domest. Anim. 2019, 54, 687–695. [Google Scholar] [CrossRef] [PubMed]
- Middleton, W.D.; Thorne, D.A.; Melson, G.L. Color Doppler ultrasound of the normal testis. Am. J. Roentgenol. 1989, 152, 293–297. [Google Scholar] [CrossRef]
- Nuti, L.C. Goat Semen Collection and Processsing. Cornell Univ. 2016, 40, 184–185. [Google Scholar] [CrossRef]
- De Souza, M.B.; Filho, A.C.M.; Sousa, C.V.; Monteiro, C.L.; Carvalho, G.G.; Pinto, J.N.; Linhares, J.C.; Da Silva, L.D.M. Triplex Doppler evaluation of the testes in dogs of different sizes. Pesqui. Vet. Bras. 2014, 34, 1135–1140. [Google Scholar] [CrossRef][Green Version]
- Chemineau, P.; Malpaux, B.; Brillard, J.P.; Fostier, A. Seasonality of reproduction and production in farm fishes, birds and mammals. Animal 2007, 1, 419–432. [Google Scholar] [CrossRef]
- Ungerfeld, R.; Bielli, A. Seasonal and social factors affecting reproduction. In Animal Reproduction in Livestock; Encycl Life Support System: Paris, France, 2012; pp. 1–5. [Google Scholar]
- Karagiannidis, A.; Varsakeli, S.; Karatzas, G. Characteristics and seasonal variations in the semen of alpine saanen and samascus goat bucks born and raised in Greece. Theriogenology 2000, 53, 1285–1293. [Google Scholar] [CrossRef]
- Hedia, M.; El-Belely, M.; Ismail, S.; El-Maaty, A. Seasonal changes in testicular ultrasonogram pixel-intensity and their association with semen characteristics in rams. Asian Pac. J. Reprod. 2020, 9, 49–54. [Google Scholar] [CrossRef]
- Farm, C.; Verstegen, J. Effect of seasonality on testicular blood flow in mature stallions. Anim. Reprod. Sci. 2006, 94, 144–145. [Google Scholar] [CrossRef]
- Rizzoto, G.; Ferreira, J.; Garcia, H.M.; Teixeira-Neto, F.; Bardella, L.; Martins, C.; Silva, J.; Thundathil, J.; Kastelic, J. Short-term testicular warming under anesthesia causes similar increases in testicular blood flow in Bos taurus versus Bos indicus bulls, but no apparent hypoxia. Theriogenology 2020, 145, 94–99. [Google Scholar] [CrossRef] [PubMed]
- Mieusset, R.; Sowerbutts, S.F.; Zupp, J.L.; Setchell, B.P. Increased flow of testicular blood plasma during local heating of the testes of rams. J. Reprod. Fertil. 1990, 94, 345–352. [Google Scholar] [CrossRef]





| Species | Relation between CD Ultrasonography Parameters and Seminal Quality |
|---|---|
| Bovine | RI at the MA and IT associated with total sperm per ejaculate, inmmature sperm, teratoid sperm and dag effect sperm. Gloria et al. [28] |
| Ovine | RI and PI at the STA were associated with the total sperm deffects. Batissaco et al. [33] |
| Equine | Relationship between BFV at the STA and total sperm per ejaculate. Bollwein et al. [22] |
| Infertile stallions exhibited higher values of RI and PI at the MTA level. Ortiz-Rodriguez et al. [21] | |
| Donkey | RI and PI at the capsular artery were associated CASA motility variables and sperm viability. Sperm concentration was inversely associated with PSV, EDV and TAMV Gacem et al. [23] |
| Canine | PSV had a inversed association with vitality. Negative connection between RI and PI with the percentage of intact sperm membranes. Zelli et al. [47] |
| No association between RI and PI of the TA and total sperm output or vitality. England et al. [24] | |
| Positive association between PSV at the proximal STA with SVI, VCL and VAP. Trautwein et al. [50] | |
| PSV was associated with sperm concentration. RI and PI of the STA were inversely associated with sperm membrane integrity. EDV at the STA was associated with sperm concentration and inversely associated with sperm oxidative DNA damage. Lemos et al. [25] | |
| Camelid | Fertile males exhibited higher values of PSV and EDV at the STA level and higher values of PSV at the MTA level. Kuzler et al. [35] |
Publisher’s Note: MDPI stays neutral with regard to jurisdictional claims in published maps and institutional affiliations. |
© 2020 by the authors. Licensee MDPI, Basel, Switzerland. This article is an open access article distributed under the terms and conditions of the Creative Commons Attribution (CC BY) license (http://creativecommons.org/licenses/by/4.0/).
Share and Cite
Velasco, A.; Ruiz, S. New Approaches to Assess Fertility in Domestic Animals: Relationship between Arterial Blood Flow to the Testicles and Seminal Quality. Animals 2021, 11, 12. https://doi.org/10.3390/ani11010012
Velasco A, Ruiz S. New Approaches to Assess Fertility in Domestic Animals: Relationship between Arterial Blood Flow to the Testicles and Seminal Quality. Animals. 2021; 11(1):12. https://doi.org/10.3390/ani11010012
Chicago/Turabian StyleVelasco, Ana, and Salvador Ruiz. 2021. "New Approaches to Assess Fertility in Domestic Animals: Relationship between Arterial Blood Flow to the Testicles and Seminal Quality" Animals 11, no. 1: 12. https://doi.org/10.3390/ani11010012
APA StyleVelasco, A., & Ruiz, S. (2021). New Approaches to Assess Fertility in Domestic Animals: Relationship between Arterial Blood Flow to the Testicles and Seminal Quality. Animals, 11(1), 12. https://doi.org/10.3390/ani11010012

