Corpus Luteum Color Doppler Ultrasound and Pregnancy Outcome in Buffalo during the Transitional Period
Simple Summary
Abstract
1. Introduction
2. Materials and Methods
2.1. Animals
2.2. Synchronization of Ovulation and Timed Artificial Insemination
- ✓
- FL = follicle
- ✓
- a = major axis of the follicle
- ✓
- b = minor axis of the follicle
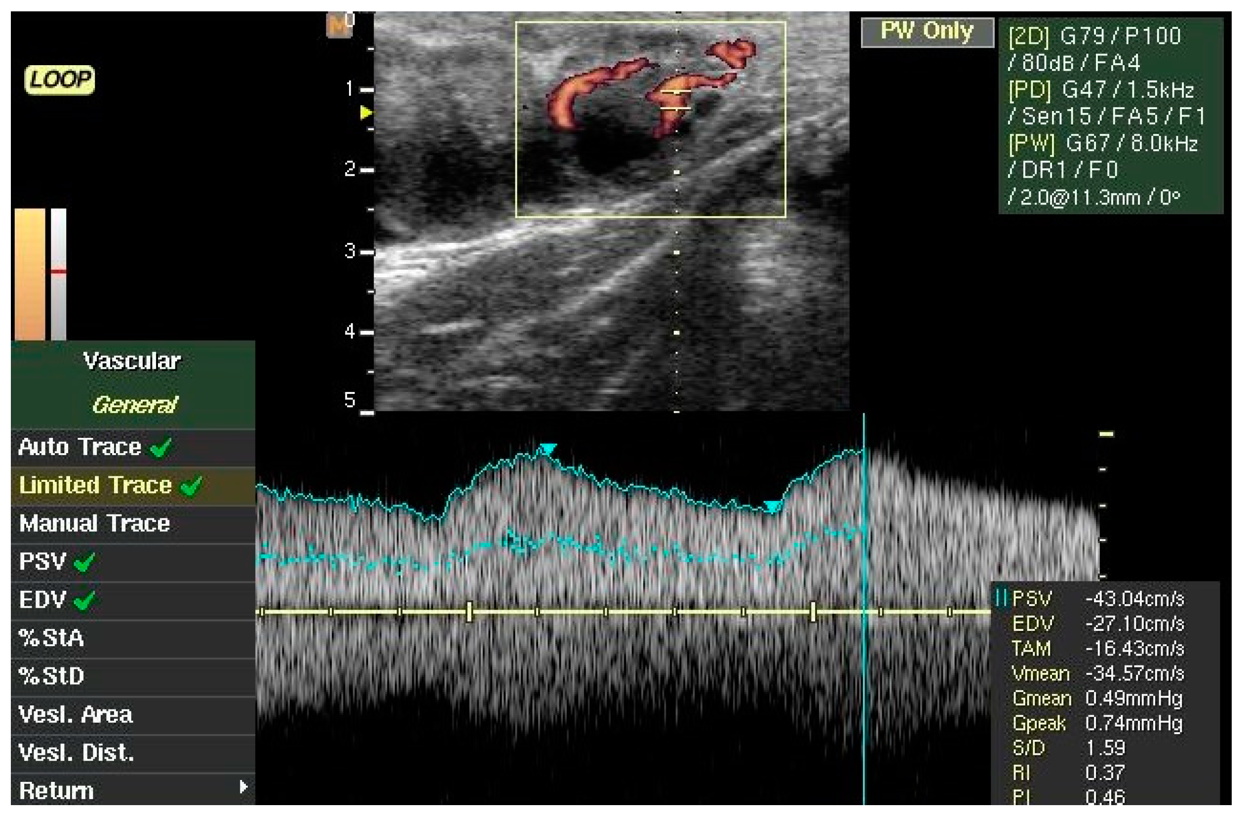
2.3. Corpus Luteum and Blood Flow Evaluation
2.4. Progesterone Assay
2.5. Pregnancy Diagnosis
2.6. Statistical Analysis
3. Results
3.1. Pregnancy Rate
3.2. Corpus Luteum Characteristics
3.3. Regression Analysis
3.4. Predicting Pregnancy
4. Discussion
5. Conclusions
Author Contributions
Funding
Acknowledgments
Conflicts of Interest
References
- Campanile, G.; Neglia, G.; Vecchio, D.; Zicarelli, L. Protein nutrition and nitrogen balance in buffalo cows. CAB Rev. Perspect. Agric. Vet. Sci. Nutr. Nat. Resour. 2010, 5, 1–8. [Google Scholar] [CrossRef]
- Warriach, H.M.; McGill, D.M.; Bush, R.D.; Wynn, P.C.; Chohan, F.R. A review of recent developments in buffalo reproduction. Asian-Australas. J. Anim. Sci. 2015, 28, 451–455. [Google Scholar] [CrossRef] [PubMed]
- Safari, A.; Ghavi Hossein-Zadeh, N.; Shadparvar, A.A.; Abdollahi Arpanahi, R. A review on breeding and genetic strategies in Iranian buffaloes (Bubalus bubalis). Trop. Anim. Health Prod. 2018, 50, 707–714. [Google Scholar] [CrossRef] [PubMed]
- Campanile, G.; Baruselli, P.S.; Neglia, G.; Vecchio, D.; Gasparrini, B.; Gimenes, L.U.; Zicarelli, L.; Michael, J.D. Ovarian function in the buffalo and implications for embryo development and assisted reproduction. Anim. Reprod. Sci. 2010, 121, 1–11. [Google Scholar] [CrossRef] [PubMed]
- Campanile, G.; Neglia, G. Embryonic mortality in buffalo cows. Ital. J. Anim. Sci. 2007, 6, 119–129. [Google Scholar] [CrossRef]
- Campanile, G.; Neglia, G.; D’Occhio, M.J. Embryonic and fetal mortality in river buffalo (Bubalus bubalis). Theriogenology 2016, 86, 207–213. [Google Scholar] [CrossRef]
- Robinson, R.S.; Hammond, A.J.; Wathes, D.C.; Hunter, M.G.; Mann, G.E. Corpus luteum-endometrium-embryo interactions in the dairy cow: Underlying mechanisms and clinical relevance. Reprod. Domest. Anim. 2008, 43, 104–112. [Google Scholar] [CrossRef]
- Neglia, G.; Vecchio, D.; Russo, M.; Di Palo, R.; Pacelli, C.; Comin, A.; Gasparrini, B.; Campanile, G. Efficacy of PGF2α on pre-ovulatory follicle and corpus luteum blood flow. Reprod. Domest. Anim. 2012, 47, 26–31. [Google Scholar] [CrossRef]
- Balestrieri, M.L.; Gasparrini, B.; Neglia, G.; Vecchio, D.; Strazzullo, M.; Giovane, A.; Servillo, L.; Zicarelli, L.; D’Occhio, M.J.; Campanile, G. Proteomic profiles of the embryonic chorioamnion and uterine caruncles in buffaloes (Bubalus bubalis) with normal and retarded embryonic development. Biol. Reprod. 2013, 88, 119. [Google Scholar] [CrossRef]
- Neglia, G.; Restucci, B.; Russo, M.; Vecchio, D.; Gasparrini, B.; Prandi, A.; Di Palo, R.; Michael, J.D.; Campanile, G. Early development and function of the corpus luteum and relationship to pregnancy in the buffalo. Theriogenology 2015, 83, 959–967. [Google Scholar] [CrossRef]
- Campanile, G.; Vecchio, D.; Neglia, G.; Di Palo, R.; Prandi, A.; D’Occhio, M.J. Progesterone and pregnancy status of buffaloes treated with a GnRH agonist. Livest. Sci. 2008, 115, 242–248. [Google Scholar] [CrossRef]
- Campanile, G.; Vecchio, D.; Di Palo, R.; Neglia, G.; Gasparrini, B.; Prandi, A.; Zicarelli, L.; D’Occhio, M.J. Delayed treatment with GnRH agonist, hCG and progesterone and reduced embryonic mortality in buffaloes. Theriogenology 2008, 70, 1544–1549. [Google Scholar] [CrossRef]
- Pursley, J.R.; Mee, M.O.; Wiltbank, M.C. Synchronization of ovulation in dairy cows using PGF2a and GnRH. Theriogenology 1995, 44, 915–923. [Google Scholar] [CrossRef]
- Neglia, G.; Gasparrini, B.; Salzano, A.; Vecchio, D.; De Carlo, E.; Cimmino, R.; Balestrieri, A.; Michael, J.D.; Campanile, G. Relationship between the ovarian follicular response at the start of an Ovsynch-TAI program and pregnancy outcome in the Mediterranean river buffalo. Theriogenology 2016, 86, 2328–2333. [Google Scholar] [CrossRef] [PubMed]
- Siqueira, L.G.; Arashiro, E.K.; Ghetti, A.M.; Souza, E.D.; Feres, L.F.; Pfeifer, L.F.; Fonseca, J.F.; Viana, J.H. Vascular and morphological features of the corpus luteum 12 to 20 days after timed artificial insemination in dairy cattle. J. Dairy Sci. 2019, 102, 5612–5622. [Google Scholar] [CrossRef]
- Seren, E.; Leopold, A.; Bolelli, G. Peripheral plasma levels of oestrogens and progesterone during the bovine oestrous cycle. Arch Vet. It 1974, 25, 1–20. [Google Scholar]
- IBM Corp. IBM SPSS Statistics for Windows; Version 22.0; IBM Corp.: Armonk, NY, USA, 2013. [Google Scholar]
- Noguchi, K.; Gel, Y.; Brunner, E.; Konietschke, F. nparLD: An R Software Package for the Nonparametric Analysis of Longitudinal Data in Factorial Experiments. J. Stat. Softw. 2012, 12, 50. [Google Scholar] [CrossRef]
- Brunner, E.; Puri, M.L. Nonparametric Methods in Factorial Designs. Stat. Pap. 2001, 42, 1–52. [Google Scholar] [CrossRef]
- Niswender, G.D.; Juengel, J.L.; Silva, P.J.; Rollyson, K.M.; Mc Intush, E.W. Mechanisms controlling the function and life span of the corpus luteum. Physiol. Rev. 2000, 80, 1–29. [Google Scholar] [CrossRef]
- Russo, M.; Vecchio, D.; Neglia, G.; Pacelli, C.; Prandi, A.; Gasparrini, B.; Zicarelli, L.; D’Occhio, M.J.; Campanile, G. Corpus luteum function and pregnancy outcome in buffaloes during the transition period from breeding to non-breeding season. Reprod. Domest. Anim. 2010, 45, 988–991. [Google Scholar] [CrossRef]
- Di Francesco, S.; Neglia, G.; Vecchio, D.; Rossi, P.; Russo, M.; Zicarelli, L.; D’Occhio, M.J.; Campanile, G. Influence of season on corpus luteum structure and function and outcome to artificial insemination (AI) in the Italian Mediterranean buffalo (Bubalus bubalis). Theriogenology 2012, 78, 1839–1845. [Google Scholar] [CrossRef]
- Herzog, K.; Kiossis, E.; Bollwein, H. Examination of cyclic changes in bovine luteal echotexture using computer-assisted statistical pattern recognition techniques. Anim. Reprod. Sci. 2008, 106, 289–297. [Google Scholar] [CrossRef]
- Schmauder, S.; Weber, F.; Kiossis, E.; Bollwein, H. Cyclic changes in endometrial echotexture of cows using a computer-assisted program for the analysis of first- and second-order grey level statistics of B-mode ultrasound images. Anim. Reprod. Sci. 2008, 106, 153–161. [Google Scholar] [CrossRef]
- Vecchio, D.; Neglia, G.; Gasparrini, B.; Russo, M.; Pacelli, C.; Prandi, A.; D’Occhio, M.J.; Campanile, G. Corpus luteum development and function and relationship to pregnancy during the breeding season in the Mediterranean buffalo. Theriogenology 2012, 77, 1811–1815. [Google Scholar] [CrossRef]
- Strazzullo, M.; Gasparrini, B.; Neglia, G.; Balestrieri, M.L.; Francioso, R.; Rossetti, C.; Nassa, G.; De Filippo, M.R.; Weisz, A.; Di Francesco, S.; et al. Global transcriptome profiles of Italian Mediterranean buffalo embryos with normal and retarded growth. PLoS ONE 2014, 9, e90027. [Google Scholar] [CrossRef]
- Neglia, G.; Natale, A.; Esposito, G.; Salzillo, F.; Adinolfi, L.; Campanile, G.; Francillo, M.; Zicarelli, L. Effect of prostaglandin F2α at the time of A.I. on progesterone levels and pregnancy rate in synchronized Italian Mediterranean buffaloes. Theriogenology 2008, 69, 953–960. [Google Scholar] [CrossRef]
- Kanazawa, T.; Seki, M.; Ishiyama, K.; Araseki, M.; Izaike, Y.; Takahashi, T. Administration of gonadotropin-releasing hormone agonist on Day 5 increases luteal blood flow and improves pregnancy prediction accuracy on Day 14 in recipient Holstein cows. J. Reprod. Dev. 2017, 63, 389–399. [Google Scholar] [CrossRef]
- Kanazawa, T.; Seki, M.; Ishiyama, K.; Kubo, T.; Kaneda, Y.; Sakaguchi, M.; Izaike, Y.; Takahashi, T. Pregnancy prediction on the day of embryo transfer (Day 7) and Day 14 by measuring luteal blood flow in dairy cows. Theriogenology 2016, 86, 1436–1444. [Google Scholar] [CrossRef]
- Lasheen, M.E.; Badr, H.M.; Kandiel, M.M.M.; Abo El-Maaty, A.M.; Samir, H.; Farouk, M.; Eldawy, M.H. Predicting early pregnancy in Egyptian buffalo cows via measuring uterine and luteal blood flows, and serum and saliva progesterone. Trop. Anim. Health 2018, 50, 137–142. [Google Scholar] [CrossRef]
- Herzog, K.; Brockhan-Lüdemann, M.; Kaske, M.; Beindorf, N.; Paul, V.; Niemann, H.; Bollwein, H. Luteal blood flow is a more appropriate indicator for luteal function during the bovine estrous cycle than luteal size. Theriogenology 2010, 73, 691–697. [Google Scholar] [CrossRef]
- Matsui, M.; Miyamoto, A. Evaluation of ovarian blood flow by colour Doppler ultrasound: Practical use for reproductive management in the cow. Vet. J. 2009, 181, 232–240. [Google Scholar] [CrossRef] [PubMed]
- Herzog, K.; Voss, C.; Kastelic, J.; Beindorff, N.; Paul, V.; Niemann, H.; Bollwein, H. Luteal blood flow increases during the first three weeks of pregnancy in lactating dairy cows. Theriogenology 2011, 75, 549–554. [Google Scholar] [CrossRef] [PubMed]
- Park, S.H.; Goo, J.M.; Jo, C.H. Receiver operating characteristic (ROC) curve: Practical review for radiologists. Korean J. Radiol. 2004, 5, 11–18. [Google Scholar] [CrossRef] [PubMed]


| Days | CL Area (cm2) | P4 (ng/mL) | ||
|---|---|---|---|---|
| P (n = 13) | NP (n = 13) | P (n = 13) | NP (n = 13) | |
| 5 | 1.80 ± 0.1 | 1.72 ± 0.2 | 1.24 ± 0.1 | 1.11 ± 0.1 |
| 6 | 1.86 ± 0.2 | 1.84 ± 0.2 | 1.45 ± 0.1 | 1.26 ± 0.2 |
| 7 | 2.32 ± 0.2 | 2.10 ± 0.2 | 1.70 ± 0.1 a | 1.32 ± 0.1 b |
| 8 | 2.49 ± 0.2 | 2.14 ± 0.1 | 1.91 ± 0.1 A | 1.25 ± 0.1 B |
| 9 | 2.70 ± 0.2 | 2.25 ± 0.2 | 2.09 ± 0.1 A | 1.32 ± 0.2 B |
| 10 | 2.66 ± 0.1 a | 2.23 ± 0.1 b | 2.28 ± 0.1 A | 1.36 ± 0.1 B |
| Day 5 to Day 10 | 2.31 ± 0.1 | 2.05 ± 0.1 | 1.78 ± 0.1 A | 1.27 ± 0.1 B |
| Day | Items | Cutoff Value | AUC Value | Sensitivity (%) | Specificity (%) | p Value |
|---|---|---|---|---|---|---|
| 6 | TAMV | 11.88 cm/s | 0.90 | 76.9 | 76.9 | p < 0.01 |
| 7 | TAMV | 10.53 cm/s | 0.87 | 84.6 | 69.2 | p < 0.01 |
| 8 | TAMV | 11.00 cm/s | 0.82 | 84.6 | 61.5 | p < 0.01 |
| 9 | TAMV | 12.13 cm/s | 0.75 | 69.2 | 69.2 | p < 0.05 |
| 10 | TAMV | 13.19 cm/s | 0.94 | 92.3 | 84.6 | p < 0.01 |
| Day | Items | Cutoff Value | AUC Value | Sensitivity (%) | Specificity (%) | p Value |
|---|---|---|---|---|---|---|
| 6 | P4 | 1.15 ng/mL | 0.73 | 84.6 | 61.5 | p < 0.05 |
| 7 | P4 | 1.34 ng/mL | 0.73 | 84.6 | 61.5 | p < 0.05 |
| 8 | P4 | 1.47 ng/mL | 0.89 | 92.3 | 76.9 | p < 0.01 |
| 9 | P4 | 1.60 ng/mL | 0.88 | 92.3 | 69.2 | p < 0.01 |
| 10 | P4 | 1.69 ng/mL | 0.95 | 92.3 | 92.3 | p < 0.01 |
© 2020 by the authors. Licensee MDPI, Basel, Switzerland. This article is an open access article distributed under the terms and conditions of the Creative Commons Attribution (CC BY) license (http://creativecommons.org/licenses/by/4.0/).
Share and Cite
Esposito, L.; Salzano, A.; Russo, M.; de Nicola, D.; Prandi, A.; Gasparrini, B.; Campanile, G.; Neglia, G. Corpus Luteum Color Doppler Ultrasound and Pregnancy Outcome in Buffalo during the Transitional Period. Animals 2020, 10, 1181. https://doi.org/10.3390/ani10071181
Esposito L, Salzano A, Russo M, de Nicola D, Prandi A, Gasparrini B, Campanile G, Neglia G. Corpus Luteum Color Doppler Ultrasound and Pregnancy Outcome in Buffalo during the Transitional Period. Animals. 2020; 10(7):1181. https://doi.org/10.3390/ani10071181
Chicago/Turabian StyleEsposito, Luigi, Angela Salzano, Marco Russo, Donato de Nicola, Alberto Prandi, Bianca Gasparrini, Giuseppe Campanile, and Gianluca Neglia. 2020. "Corpus Luteum Color Doppler Ultrasound and Pregnancy Outcome in Buffalo during the Transitional Period" Animals 10, no. 7: 1181. https://doi.org/10.3390/ani10071181
APA StyleEsposito, L., Salzano, A., Russo, M., de Nicola, D., Prandi, A., Gasparrini, B., Campanile, G., & Neglia, G. (2020). Corpus Luteum Color Doppler Ultrasound and Pregnancy Outcome in Buffalo during the Transitional Period. Animals, 10(7), 1181. https://doi.org/10.3390/ani10071181

