Spermiogenesis, Stages of Seminiferous Epithelium and Variations in Seminiferous Tubules during Active States of Spermatogenesis in Yangzhou Goose Ganders
Simple Summary
Abstract
1. Introduction
2. Materials and Methods
2.1. Ethics Statement
2.2. Experimental Location
2.3. Birds and Management
2.4. Testes Sample Collection
2.5. Experimental Protocol and Microscopy
2.6. Germ Cells Identification and Stereological Analysis
2.7. Diameters of the Seminiferous Tubule (ST) and Tubular Lumen (LD), Epithelium Height (EH) and Number of Seminiferous Tubules Per Field (No. ST/Field)
2.8. Spermatogenesis Analysis
2.9. Statistical Analysis
3. Results
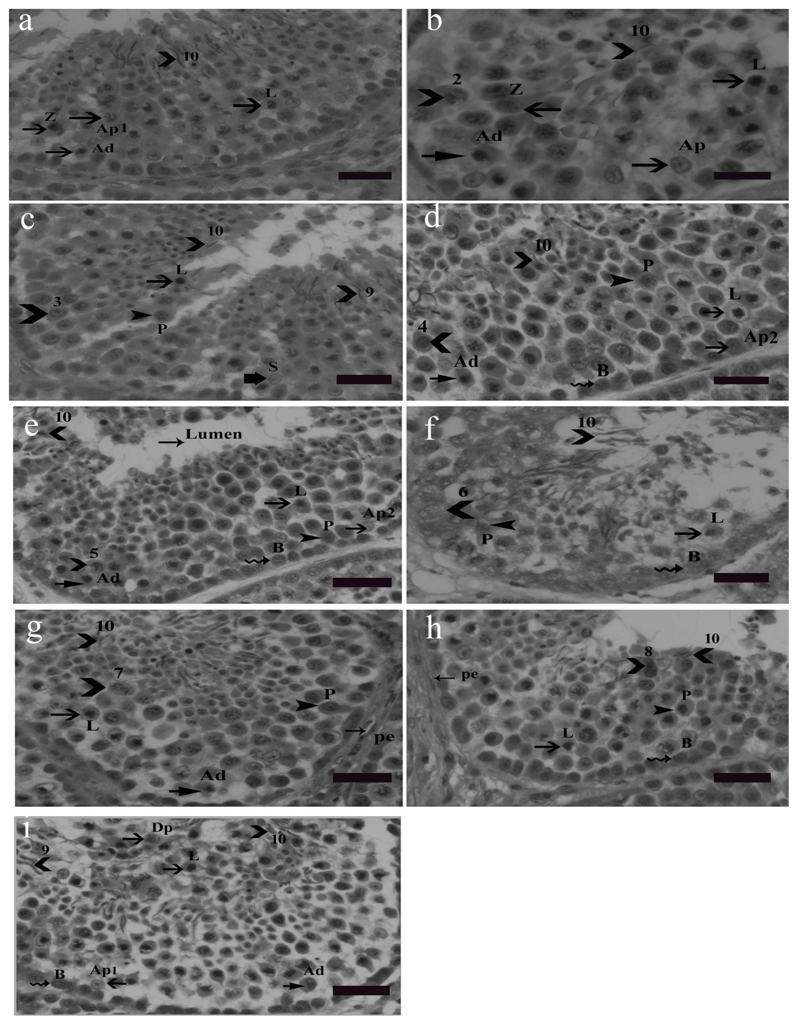
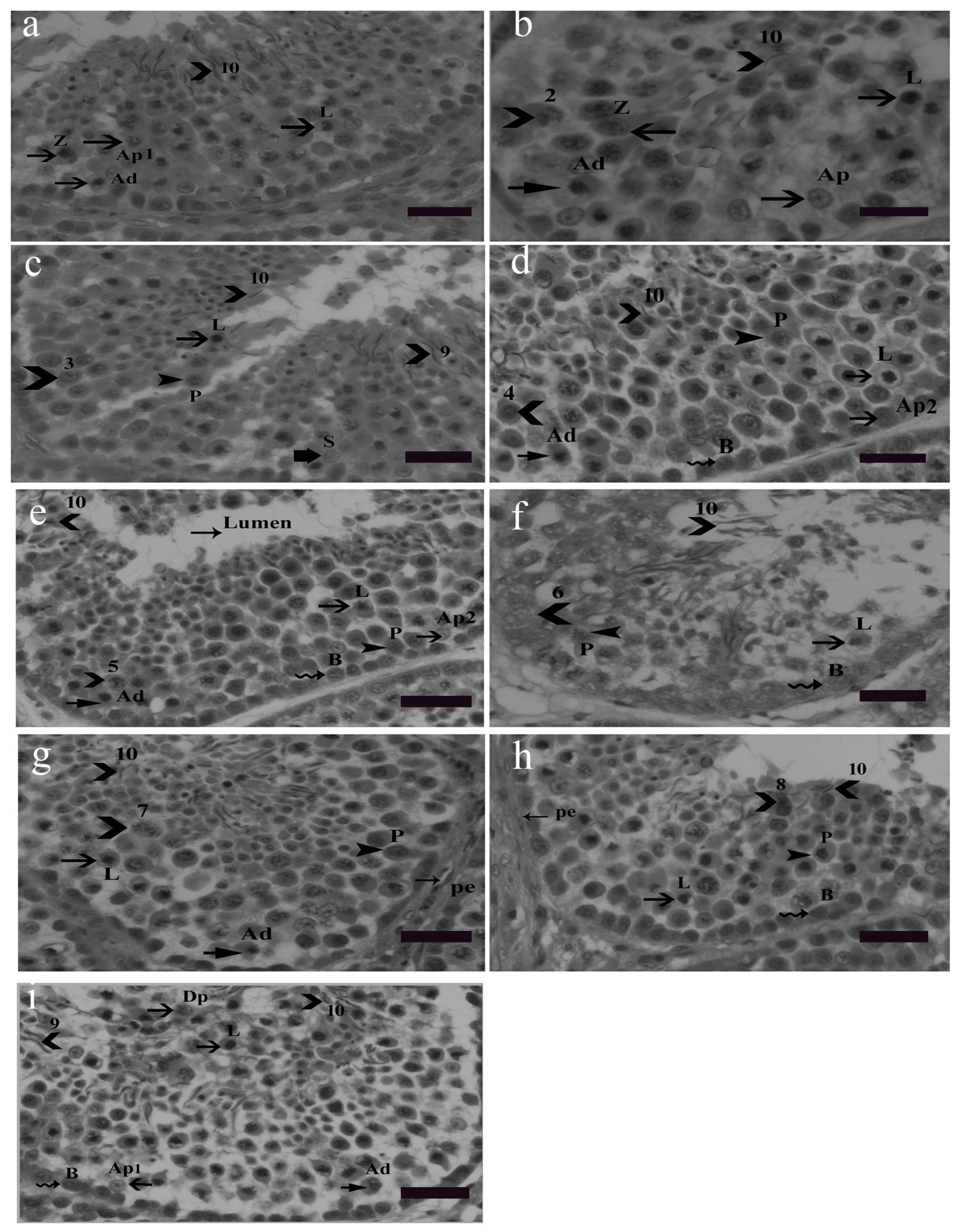
3.1. Steps of Spermiogenesis in Seminiferous Epithelium
3.2. Cellular Associations in the Seminiferous Epithelium of Yangzhou Goose Ganders
3.3. Diameter of ST, LD, EH and No. of ST/Field
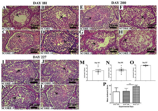
3.4. Johnsen Score
4. Discussion
5. Conclusions
Author Contributions
Funding
Conflicts of Interest
References
- Shi, Z.; Sun, A.; Shao, X.; Chen, Z.; Zhu, H. Boosting the economic returns of goose breeding and developing the industry by controlled photoperiod for out-of-season reproduction. Anim. Environ. Welf. 2015, 3, 357. [Google Scholar]
- Salamon, A. Fertility and hatchability in goose eggs: A review. Int. J. Poult. Sci. 2020, 19, 51–65. [Google Scholar] [CrossRef]
- Łukaszewicz, E.; Kruszyński, W. Evaluation of fresh and frozen-thawed semen of individual ganders by assessment of spermatozoa motility and morphology. Theriogenology 2003, 59, 1627–1640. [Google Scholar]
- Łukaszewicz, E. Artificial insemination in geese. World Poult. Sci. J. 2010, 66, 647–658. [Google Scholar] [CrossRef]
- Gumułka, M.; Rozenboim, I. Mating activity of domestic geese ganders (anser anser f. Domesticus) during breeding period in relation to age, testosterone and thyroid hormones. Anim. Reprod. Sci. 2013, 142, 183–190. [Google Scholar]
- Gumułka, M.; Rozenboim, I. Effect of the age of ganders on reproductive behavior and fertility in a competitive mating structure. Ann. Anim. Sci. 2017, 17, 733–746. [Google Scholar] [CrossRef]
- Smith, G.T.; Brenowitz, E.A.; Beecher, M.D.; Wingfield, J.C. Seasonal changes in testosterone, neural attributes of song control nuclei, and song structure in wild songbirds. J. Neurosci. 1997, 17, 6001–6010. [Google Scholar] [CrossRef]
- Shi, Z.; Huang, Y.; Liu, Z.; Liu, Y.; Li, X.; Proudman, J.; Yu, R. Seasonal and photoperiodic regulation of secretion of hormones associated with reproduction in magang goose ganders. Domest. Anim. Endocrinol. 2007, 32, 190–200. [Google Scholar] [CrossRef]
- Johnson, L.; Varner, D.; Roberts, M.; Smith, T.; Keillor, G.; Scrutchfield, W. Efficiency of spermatogenesis: A comparative approach. Anim. Reprod. Sci. 2000, 60, 471–480. [Google Scholar] [CrossRef]
- Hess, R.A.; de Franca, L.R. Spermatogenesis and Cycle of the Seminiferous Epithelium. In Molecular Mechanisms in Spermatogenesis; Springer: Berlin/Heidelberg, Germany, 2009; pp. 1–15. [Google Scholar]
- Deviche, P.; Hurley, L.L.; Fokidis, H.B. Avian Testicular Structure, Function, and Regulation. In Hormones and Reproduction of Vertebrates; Elsevier: Amsterdam, The Netherlands, 2011; pp. 27–70. [Google Scholar]
- Clermont, Y.; Leblond, C.P.; Messier, B. Duration of the cycle of the seminal epithelium of the rat. Arch. Anat. Microsc. Morphol. Exp. 1959, 48, 37–55. [Google Scholar]
- Clermont, Y.; Harvey, S.C. Duration of the cycle of the seminiferous epithelium of normal, hypophysectomized and hypophysectomized-hormone treated albino rats. Endocrinology 1965, 76, 80–89. [Google Scholar] [CrossRef] [PubMed]
- Hikim, A.P.; Maiti, B.R.; Ghosh, A. Spermatogenesis in the bandicoot rat. I: Duration of the cycle of the seminiferous epithelium. Arch. Androl. 1985, 14, 151–154. [Google Scholar] [CrossRef] [PubMed]
- Hafez, E.S.E.; Thilbault, C. The Biology of Spermatozoa: Transport, Survival, and Fertilizing Ability: Proceedings of the Inserm International Symposium, Nouzilly, France, 4–7 November 1973; S Karger Ag: Basel, Switzerland, 1974. [Google Scholar]
- Lin, M.; Jones, R. Renewal and proliferation of spermatogonia during spermatogenesis in the japanese quail, coturnix coturnix japonica. Cell Tissue Res. 1992, 267, 591–601. [Google Scholar] [CrossRef] [PubMed]
- Brillard, J.-P. Influence de la Photoperiode Quotidienne sur le Developpement des Testicules et sur L’etablissement de la Spermatogenese Chez la Pintade. Reprod. Nutr. Dev. 1981, 21, 1105–1112. [Google Scholar] [CrossRef]
- Aire, T. Ultrastructural study of spermiogenesis in the turkey, meleagris gallopavo. Br. Poult. Sci. 2003, 44, 674–682. [Google Scholar] [CrossRef]
- Góes, R.; Dolder, H. Cytological steps during spermiogenesis in the house sparrow (passer domesticus, linnaeus). Tissue Cell 2002, 34, 273–282. [Google Scholar] [CrossRef]
- von Ebner, H. Untersuchunge über den bau de samekanälchen und die entwickling der spermatozoiden bei den säugethieren ind beim menschen. Untersuch. Inst. Physiol. Histol. Graz 1871, 2, 200–236. [Google Scholar]
- Regaud, C. Etudes sur la structure des tubes seminiferes et sur la spermatogenese chez les mammiferes. Arch. Anat. Microsc. 1901, 4, 101–155. [Google Scholar]
- Perey, B.; Clermont, Y.; Leblond, C. The wave of the seminiferous epithelium in the rat. Am. J. Anat. 1961, 108, 47–77. [Google Scholar] [CrossRef]
- De Kretser, D.; Loveland, K.; Meinhardt, A.; Simorangkir, D.; Wreford, N. Spermatogenesis. Hum. Reprod. 1998, 13, 1–8. [Google Scholar] [CrossRef]
- Aire, T.A. Spermiogenesis in birds. Spermatogenesis 2014, 4, e959392. [Google Scholar] [CrossRef] [PubMed]
- KIRBY, J.D. Reproduction in Male Birds. In Sturkie’s Avian Physiology; Academic Press: Cambridge, MA, USA, 2015; pp. 667–693. [Google Scholar]
- Marchand, C.R.; Gomot, L.; de Reviers, M. Autoradiography and tritiated thymidine labeling during spermatogenesis of the barbary duck (Cairina moschata L.). Comptes Rendus des Seances de la Societe de Biologie et de ses Filiales 1977, 171, 927–931. [Google Scholar] [PubMed]
- Johnsen, S.G. Testicular biopsy score count—A method for registration of spermatogenesis in human testes: Normal values and results in 335 hypogonadal males. Hormones 1970, 1, 2–25. [Google Scholar] [CrossRef] [PubMed]
- Xie, K.Z.; Huang, Y.P.; Chen, X.S.; Chen, S.Q.; Dai, G.J.; Zhao, W.L. Yangzhou goose meat and their hybrid combinations supporting research performance and meat quality. Chin. J. Anim. Sci. 2012, 9, 1–6. [Google Scholar]
- Aire, T.; Olowo-Okorun, M.; Ayeni, J. The seminiferous epithelium in the guinea fowl (Numida meleagris). Cell Tissue Res. 1980, 205, 319–325. [Google Scholar] [CrossRef]
- Alvarenga, É.R.D.; França, L.R.D. Effects of different temperatures on testis structure and function, with emphasis on somatic cells, in sexually mature nile tilapias (Oreochromis niloticus). Biol. Reprod. 2009, 80, 537–544. [Google Scholar] [CrossRef]
- Lewis-Johnes, D. A modified johnsen’s count for evaluation of spermatogenesis in the rat. IRCS Med. Sci. 1985, 13, 510–511. [Google Scholar]
- Lin, M.; Jones, R.; Blackshaw, A. The cycle of the seminiferous epithelium in the japanese quail (coturnix coturnix japonica) and estimation of its duration. Reproduction 1990, 88, 481–490. [Google Scholar] [CrossRef]
- De Reviers, M.; Richetin, C.; Brillard, J.-P. Le Développement Testiculaire Chez le coq. Ii.—Morphologie de L’épithélium Séminifère et établissement de la Spermatogenèse; Annales de Biologie Animale Biochimie Biophysique; EDP Sciences: Lesullis, France, 1971; pp. 531–546. [Google Scholar]
- Gunawardana, V. Stages of spermatids in the domestic fowl: A light microscope study using araldite sections. J. Anat. 1977, 123, 351–360. [Google Scholar]
- Abdul-Rahman, I.I.; Obese, F.Y.; Robinson, J.E. Spermatogenesis and cellular associations in the seminiferous epithelium of guinea cock (numida meleagris). Can. J. Anim. Sci. 2016, 97, 241–249. [Google Scholar] [CrossRef]
- Clermont, Y. Structure de l’epithelium seminal et mode de renouvellement des spermatogonies chez le canard. Arch. Anat. Microsc. Morphol. Exp. 1958, 47, 47–66. [Google Scholar] [PubMed]
- Yamamoto, S.; Tamate, H.; ITIKAwA, O. Morphological studies on the sexual maturation in the male japanese quail (coturnix coturnix japonica) ii. The germ cell types and cellular associations during spermatogenesis. Tohoku J. Agricul. Res. 1967, 18, 27–39. [Google Scholar]
- Freneau, G.E.; Carvalho, S.F.; Saboia-Morais, S.M.; Freneau, B.N. Aspects of spermatogenesis and microscopic testicular morphology in greater rhea, rhea americana (linnaeus, 1758). Pesquisa Veterinária Brasileira 2016, 36, 1045–1052. [Google Scholar] [CrossRef]
- Jamieson, B.G. Reproductive biology and phylogeny of birds, part a: Phylogeny, morphology, hormones and fertilization; CRC Press: Boca Raton, FL, USA, 2011. [Google Scholar]
- Bock, W.J. Reproductive biology and phylogeny of birds: Phylogeny, morphology, hormones, fertilization (volume 6a of series). Reproductive biology and phylogeny of birds: Sexual selection, behavior, conservation, embryology and genetics (volume 6b of series); Jamieson, B.G.M., Ed.; Oxford University Press: Oxford, UK, 2007. [Google Scholar]
- Cai, K.; Hua, G.; Ahmad, S.; Liang, A.; Han, L.; Wu, C.; Yang, F.; Yang, L. Action mechanism of inhibin α-subunit on the development of sertoli cells and first wave of spermatogenesis in mice. PLoS ONE 2011, 6, e25585. [Google Scholar] [CrossRef]
- Akhtar, M.F.; Wei, Q.; Zhu, H.; Chen, Z.; Ahmad, E.; Zhendan, S.; Shi, F. The role of active immunization against inhibin alpha-subunit on testicular development, testosterone concentration and relevant genes expressions in testis, hypothalamus and pituitary glands in yangzhou goose ganders. Theriogenology 2019, 128, 122–132. [Google Scholar] [CrossRef]
- Johnson, L.; Petty, C.S.; Neaves, W.B. Age-related variation in seminiferous tubules in men a stereologic evaluation. J. Androl. 1986, 7, 316–322. [Google Scholar] [CrossRef]




© 2020 by the authors. Licensee MDPI, Basel, Switzerland. This article is an open access article distributed under the terms and conditions of the Creative Commons Attribution (CC BY) license (http://creativecommons.org/licenses/by/4.0/).
Share and Cite
Akhtar, M.F.; Ahmad, E.; Mustafa, S.; Chen, Z.; Shi, Z.; Shi, F. Spermiogenesis, Stages of Seminiferous Epithelium and Variations in Seminiferous Tubules during Active States of Spermatogenesis in Yangzhou Goose Ganders. Animals 2020, 10, 570. https://doi.org/10.3390/ani10040570
Akhtar MF, Ahmad E, Mustafa S, Chen Z, Shi Z, Shi F. Spermiogenesis, Stages of Seminiferous Epithelium and Variations in Seminiferous Tubules during Active States of Spermatogenesis in Yangzhou Goose Ganders. Animals. 2020; 10(4):570. https://doi.org/10.3390/ani10040570
Chicago/Turabian StyleAkhtar, Muhammad Faheem, Ejaz Ahmad, Sheeraz Mustafa, Zhe Chen, Zhendan Shi, and Fangxiong Shi. 2020. "Spermiogenesis, Stages of Seminiferous Epithelium and Variations in Seminiferous Tubules during Active States of Spermatogenesis in Yangzhou Goose Ganders" Animals 10, no. 4: 570. https://doi.org/10.3390/ani10040570
APA StyleAkhtar, M. F., Ahmad, E., Mustafa, S., Chen, Z., Shi, Z., & Shi, F. (2020). Spermiogenesis, Stages of Seminiferous Epithelium and Variations in Seminiferous Tubules during Active States of Spermatogenesis in Yangzhou Goose Ganders. Animals, 10(4), 570. https://doi.org/10.3390/ani10040570

