A Descriptive Study of Keel Bone Fractures in Hens and Roosters from Four Non-Commercial Laying Breeds Housed in Furnished Cages
Abstract
Simple Summary
Abstract
1. Introduction
2. Materials and Methods
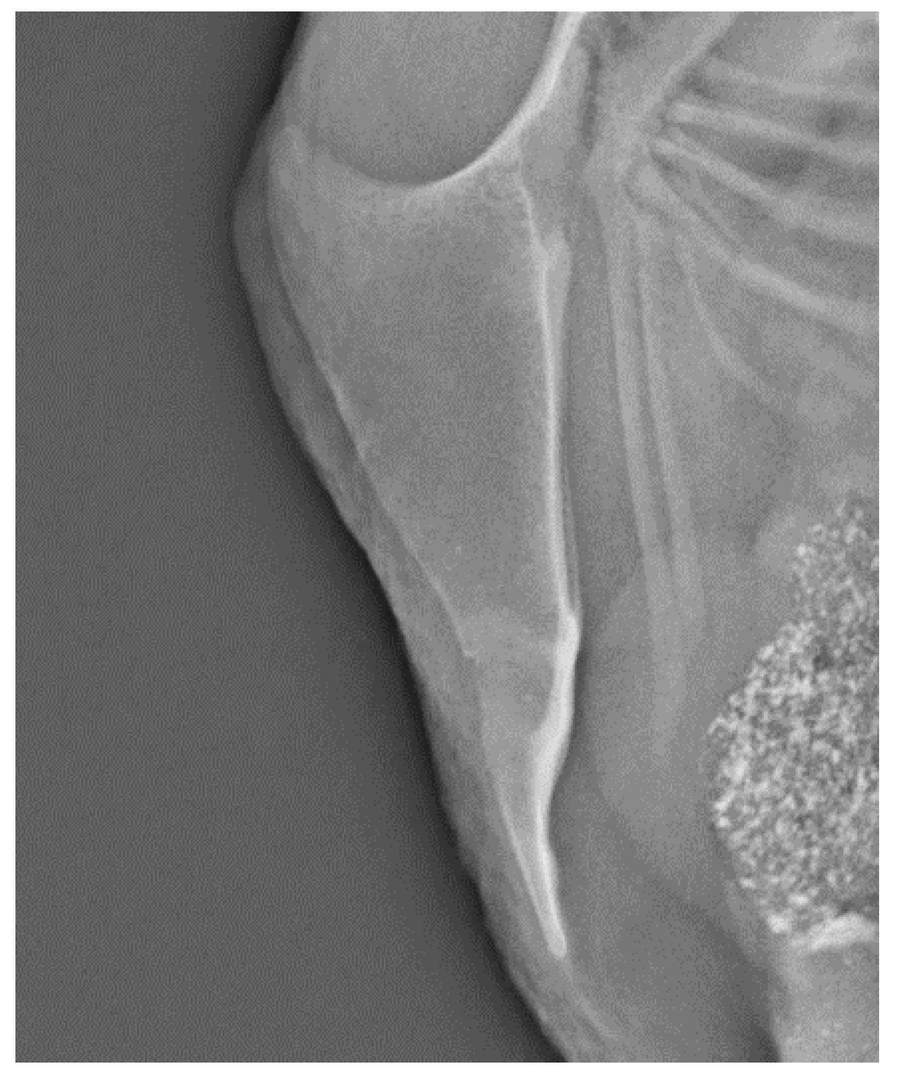
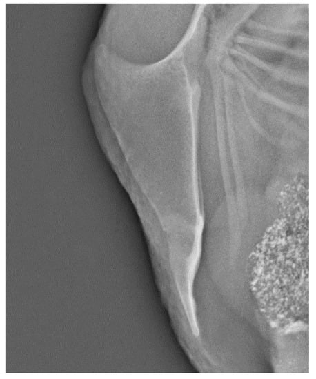
3. Results
4. Discussion
5. Conclusions
Author Contributions
Funding
Acknowledgments
Conflicts of Interest
References
- Tully, J.T. Basic avian bone growth and healing. Vet. Clin. North America. Exot. Anim. Pract. 2002, 5, 23–30. [Google Scholar] [CrossRef]
- Urist, M.R.; Deutsch, N.M. Osteoporosis in the laying hen. Endocrinology 1960, 66, 377–391. [Google Scholar] [CrossRef]
- Whitehead, C. Overview of bone biology in the egg-laying hen. Poult. Sci. 2004, 83, 193–199. [Google Scholar] [CrossRef]
- Whitehead, C.; Fleming, R. Osteoporosis in cage layers. Poult. Sci. 2000, 79, 1033–1041. [Google Scholar] [CrossRef] [PubMed]
- Wilson, S.; Duff, S.; Whitehead, C. Effects of age, sex and housing on the trabecular bone of kaying strain domestic fowl. Res. Vet. Sci. 1992, 53, 52–58. [Google Scholar] [CrossRef]
- Candelotto, L.; Stratmann, A.; Gebhardt-Henrich, S.G.; Rufener, C.; van de Braak, T.; Toscano, M.J. Susceptibility to keel bone fractures in laying hens and the role of genetic variation. Poult. Sci. 2017, 96, 3517–3528. [Google Scholar] [CrossRef] [PubMed]
- Casey-Trott, T.; Heerkens, J.; Petrik, M.; Regmi, P.; Schrader, L.; Toscano, M.J.; Widowski, T. Methods for assessment of keel bone damage in poultry. Poult. Sci. 2015, 94, 2339–2350. [Google Scholar] [CrossRef] [PubMed]
- Käppeli, S.; Gebhardt-Henrich, S.; Fröhlich, E.; Pfulg, A.; Stoffel, M.H. Prevalence of keel bone deformities in swiss laying hens. Br. Poult. Sci. 2011, 52, 531–536. [Google Scholar] [CrossRef]
- Heerkens, J.; Delezie, E.; Ampe, B.; Rodenburg, T.; Tuyttens, F. Ramps and hybrid effects on keel bone and foot pad disorders in modified aviaries for laying hens. Poult. Sci. 2016, 95, 2479–2488. [Google Scholar] [CrossRef]
- Heerkens, J.; Delezie, E.; Rodenburg, T.B.; Kempen, I.; Zoons, J.; Ampe, B.; Tuyttens, F. Risk factors associated with keel bone and foot pad disorders in laying hens housed in aviary systems. Poult. Sci. 2016, 95, 482–488. [Google Scholar] [CrossRef]
- Rodenburg, T.; Tuyttens, F.; De Reu, K.; Herman, L.; Zoons, J.; Sonck, B. Welfare assessment of laying hens in furnished cages and non-cage systems: An on-farm comparison. Anim. Welf. 2008, 17, 363–373. [Google Scholar]
- Wilkins, L.; McKinstry, J.; Avery, N.; Knowles, T.; Brown, S.; Tarlton, J.; Nicol, C. Influence of housing system and design on bone strength and keel bone fractures in laying hens. Vet. Rec. 2011, 169, 414. [Google Scholar] [CrossRef] [PubMed]
- Baur, S.; Rufener, C.; Toscano, M.J.; Geissbühler, U. Radiographic evaluation of keel bone damage in laying hens—morphologic and temporal observations in a longitudinal study. Front. Vet. Sci. 2020, 7, 7. [Google Scholar] [CrossRef] [PubMed]
- Thøfner, I.; Hougen, H.P.; Villa, C.; Lynnerup, N.; Christensen, J.P. Pathological characterization of keel bone fractures in laying hens does not support external trauma as the underlying cause. PLoS ONE 2020, 15, e0229735. [Google Scholar] [CrossRef]
- Kittelsen, K.E.; Jensen, P.; Christensen, J.P.; Toftaker, I.; Moe, R.O.; Vasdal, G. Prevalence of keel bone damage in red jungle fowls (gallus gallus)-a pilot study. Animals 2020, 10, 1655. [Google Scholar] [CrossRef]
- Eusemann, B.K.; Patt, A.; Schrader, L.; Weigend, S.; Thöne-Reineke, C.; Petow, S. The role of egg production in the etiology of keel bone damage in laying hens. Front. Vet. Sci. 2020, 7, 81. [Google Scholar] [CrossRef]
- Eusemann, B.K.; Baulain, U.; Schrader, L.; Thöne-Reineke, C.; Patt, A.; Petow, S. Radiographic examination of keel bone damage in living laying hens of different strains kept in two housing systems. PLoS ONE 2018, 13, e0194974. [Google Scholar] [CrossRef]
- Nasr, M.; Browne, W.; Caplen, G.; Hothersall, B.; Murrell, J.; Nicol, C. Positive affective state induced by opioid analgesia in laying hens with bone fractures. Appl. Anim. Behav. Sci. 2013, 147, 127–131. [Google Scholar] [CrossRef]
- Nasr, M.; Murrell, J.; Nicol, C. The effect of keel fractures on egg production, feed and water consumption in individual laying hens. Br. Poult. Sci. 2013, 54, 165–170. [Google Scholar] [CrossRef]
- Nasr, M.A.; Nicol, C.J.; Murrell, J.C. Do laying hens with keel bone fractures experience pain? PLoS ONE 2012, 7, e42420. [Google Scholar] [CrossRef]
- Rentsch, A.K.; Rufener, C.B.; Spadavecchia, C.; Stratmann, A.; Toscano, M.J. Laying hen’s mobility is impaired by keel bone fractures and does not improve with paracetamol treatment. Appl. Anim. Behav. Sci. 2019, 216, 19–25. [Google Scholar] [CrossRef]
- Richards, G.; Nasr, M.; Brown, S.; Szamocki, E.; Murrell, J.; Barr, F.; Wilkins, L. Use of radiography to identify keel bone fractures in laying hens and assess healing in live birds. Vet. Rec. 2011, 169, 279. [Google Scholar] [CrossRef] [PubMed]
- Rufener, C.; Baur, S.; Stratmann, A.; Toscano, M.J. Keel bone fractures affect egg laying performance but not egg quality in laying hens housed in a commercial aviary system. Poult. Sci. 2019, 98, 1589–1600. [Google Scholar] [CrossRef] [PubMed]
- Armstrong, E.; Rufener, C.; Toscano, M.; Eastham, J.; Guy, J.; Sandilands, V.; Boswell, T.; Smulders, T. Keel bone fractures induce a depressive-like state in laying hens. Sci. Rep. 2020, 10, 1–14. [Google Scholar] [CrossRef] [PubMed]
- FAWC. An Open Letter to Great Britain Governments: Keel Bone Fracture in Laying Hens; Farm Animal Welfare Council: London, UK, 2013. [Google Scholar]
- Harlander-Matauschek, A.; Rodenburg, T.; Sandilands, V.; Tobalske, B.; Toscano, M.J. Causes of keel bone damage and their solutions in laying hens. World’s Poult. Sci. J. 2015, 71, 461–472. [Google Scholar] [CrossRef]
- Toscano, M.J.; Dunn, I.C.; Christensen, J.-P.; Petow, S.; Kittelsen, K.; Ulrich, R. Explanations for keel bone fractures in laying hens: Are there explanations in addition to elevated egg production? Poult. Sci. 2020, 99, 4183–4194. [Google Scholar] [CrossRef]
- Sandilands, V.; Moinard, C.; Sparks, N. Providing laying hens with perches: Fulfilling behavioural needs but causing injury? Br. Poult. Sci. 2009, 50, 395–406. [Google Scholar] [CrossRef]
- FAWC. Opinion on Osteoporosis and Bone Fractures in Laying Hens; Farm Animal Welfare Council: London, UK, 2010. [Google Scholar]
- Fleming, R.; McCormack, H.; McTeir, L.; Whitehead, C. Incidence, pathology and prevention of keel bone deformities in the laying hen. Br. Poult. Sci. 2004, 45, 320–330. [Google Scholar] [CrossRef]
- Andersson, B. Genetic aspects of keel bone deformities and fractures determined by palpation in laying hens. Lohmann Inf. 2017, 51, 36–41. [Google Scholar]
- Gebhardt-Henrich, S.; Fröhlich, E. Early onset of laying and bumblefoot favor keel bone fractures. Animals 2015, 5, 1192–1206. [Google Scholar] [CrossRef]
- Eusemann, B.K.; Sharifi, A.R.; Patt, A.; Reinhard, A.-K.; Schrader, L.; Thöne-Reineke, C.; Petow, S. Influence of a sustained release deslorelin acetate implant on reproductive physiology and associated traits in laying hens. Front. Physiol. 2018, 9, 1846. [Google Scholar] [CrossRef] [PubMed]
- Stratmann, A.; Fröhlich, E.; Gebhardt-Henrich, S.; Harlander-Matauschek, A.; Würbel, H.; Toscano, M.J. Genetic selection to increase bone strength affects prevalence of keel bone damage and egg parameters in commercially housed laying hens. Poult. Sci. 2016, 95, 975–984. [Google Scholar] [CrossRef] [PubMed]
- Rufener, C.; Makagon, M.M. Keel bone fractures in laying hens: A systematic review of prevalence across age, housing systems, and strains. J. Anim. Sci. 2020, 98, S36–S51. [Google Scholar] [CrossRef] [PubMed]
- Wilkins, L.; Brown, S.; Zimmerman, P.; Leeb, C.; Nicol, C. Investigation of palpation as a method for determining the prevalence of keel and furculum damage in laying hens. Vet. Rec. 2004, 155, 547–549. [Google Scholar] [CrossRef]
- Buijs, S.; Heerkens, J.; Ampe, B.; Delezie, E.; Rodenburg, T.; Tuyttens, F. Assessing keel bone damage in laying hens by palpation: Effects of assessor experience on accuracy, inter-rater agreement and intra-rater consistency. Poult. Sci. 2019, 98, 514–521. [Google Scholar] [CrossRef]
- Gebhardt-Henrich, S.G.; Rufener, C.; Stratmann, A. Improving intra-and inter-observer repeatability and accuracy of keel bone assessment by training with radiographs. Poult. Sci. 2019, 98, 5234–5240. [Google Scholar] [CrossRef]
- Tracy, L.M.; Temple, S.M.; Bennett, D.C.; Sprayberry, K.A.; Makagon, M.M.; Blatchford, R.A. The reliability and accuracy of palpation, radiography, and sonography for the detection of keel bone damage. Animals 2019, 9, 894. [Google Scholar] [CrossRef]
- Cornell, C.N.; Lane, J.M. Newest factors in fracture healing. Clin. Orthop. Relat. Res. 1992, 297–311. [Google Scholar] [CrossRef]
- Rufener, C.; Baur, S.; Stratmann, A.; Toscano, M.J. A reliable method to assess keel bone fractures in laying hens from radiographs using a tagged visual analogue scale. Front. Vet. Sci. 2018, 5, 124. [Google Scholar] [CrossRef]
- Groeneveld, L.F.; Müller, U.; Groeneveld, E.; Sæther, N.; Berg, P. Inbreeding in native norwegian poultry breeds, with partially unknown maternal pedigree. In EAAP-66th Annual Meeting 2015; Wageningen Academic Publishers: Noordwijk, The Netherlands, 2015. [Google Scholar]
- Lyimo, C.; Weigend, A.; Msoffe, P.; Eding, H.; Simianer, H.; Weigend, S. Global diversity and genetic contributions of chicken populations from a frican, a sian and e uropean regions. Anim. Genet. 2014, 45, 836–848. [Google Scholar] [CrossRef]
- Brekke, C. Genetic Diversity in Five Chicken Lines from the Norwegian Live Poultry Gene Bank; Norwegian University of Life Sciences: Ås, Norway, 2017. [Google Scholar]
- Forskrift om bruk av dyr i forsøk. The Norwegian Ministry of Agriculture and Food. 2015. Available online: https://lovdata.No/dokument/sf/forskrift/2015-06-18-761 (accessed on 10 October 2020).



| Breed | Classification | Origin 1 | Onset of Lay, in Weeks 2 |
|---|---|---|---|
| Icelandic landrace | Egg layer | The native breed of Iceland, originating from Old Norwegian Jadar 3. Not cultivated for specific characteristics | 22 |
| NorBrid 8 | Egg layer | The paternal line of the last Norwegian, commercial layer hybrid, NorBrid 87. Descends from Red Rhode Island | 15 |
| Minorca | Egg layer | Developed in England from imported Castilian fowl | 22 |
| Roko | Egg layer | The oldest existing purebred line in Norway. Originated from White Leghorn 4 | 16 |
| Breed | Examination, 30 Weeks of Age | Examination, 63 Weeks of Age | ||||||
|---|---|---|---|---|---|---|---|---|
| Females | Females with Fractures | Roosters * | Females | Females with Fractures 2 | Roosters * | |||
| n | n | % | n | n3 | n | % | n | |
| Icelandic landrace | 24 | 0 | 0 | 4 | 19 4 | 0 | 0 | 4 |
| Norbrid 8 | 24 | 2 | 8.3 | 4 | 20 5 | 2 | 10 | 4 |
| Minorca | 24 | 1 | 4.2 | 4 | 29 6 | 0 | 0 | 4 |
| Roko | 24 | 0 | 0 | 4 | 17 7 | 0 | 0 | 4 |
| Total | 96 | 3 | 3.1 | 16 | 85 | 2 | 2.4 | 16 |
Publisher’s Note: MDPI stays neutral with regard to jurisdictional claims in published maps and institutional affiliations. |
© 2020 by the authors. Licensee MDPI, Basel, Switzerland. This article is an open access article distributed under the terms and conditions of the Creative Commons Attribution (CC BY) license (http://creativecommons.org/licenses/by/4.0/).
Share and Cite
Kittelsen, K.E.; Moe, R.O.; Hansen, T.B.; Toftaker, I.; Christensen, J.P.; Vasdal, G. A Descriptive Study of Keel Bone Fractures in Hens and Roosters from Four Non-Commercial Laying Breeds Housed in Furnished Cages. Animals 2020, 10, 2192. https://doi.org/10.3390/ani10112192
Kittelsen KE, Moe RO, Hansen TB, Toftaker I, Christensen JP, Vasdal G. A Descriptive Study of Keel Bone Fractures in Hens and Roosters from Four Non-Commercial Laying Breeds Housed in Furnished Cages. Animals. 2020; 10(11):2192. https://doi.org/10.3390/ani10112192
Chicago/Turabian StyleKittelsen, Käthe Elise, Randi Oppermann Moe, Tone Beate Hansen, Ingrid Toftaker, Jens Peter Christensen, and Guro Vasdal. 2020. "A Descriptive Study of Keel Bone Fractures in Hens and Roosters from Four Non-Commercial Laying Breeds Housed in Furnished Cages" Animals 10, no. 11: 2192. https://doi.org/10.3390/ani10112192
APA StyleKittelsen, K. E., Moe, R. O., Hansen, T. B., Toftaker, I., Christensen, J. P., & Vasdal, G. (2020). A Descriptive Study of Keel Bone Fractures in Hens and Roosters from Four Non-Commercial Laying Breeds Housed in Furnished Cages. Animals, 10(11), 2192. https://doi.org/10.3390/ani10112192

