Paratuberculosis in Captive Scimitar-Horned Oryxes (Oryx dammah)
Simple Summary
Abstract
1. Introduction
2. Materials and Methods
2.1. Animals
2.2. Biological Samples
2.3. Histology and Immunohistochemistry
2.4. IS900-qPCR
2.5. Culture
2.6. ELISA Test
2.7. Molecular Epidemiological Analyses
3. Results
3.1. Necropsy Findings
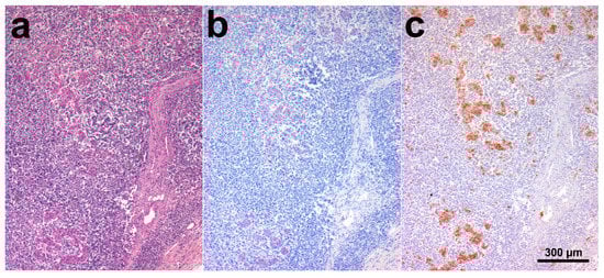
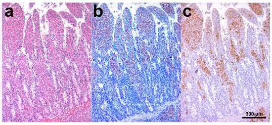
3.2. Histology and Immunohistochemistry
3.3. IS900-qPCR
3.4. Culture
3.5. ELISA test
3.6. Molecular Epidemiological Analyses
4. Discussion
5. Conclusions
Supplementary Materials
Author Contributions
Funding
Conflicts of Interest
References
- More, S.; Bøtner, A.; Butterworth, A.; Calistri, P.; Depner, K.; Edwards, S.; Garin-Bastuji, B.; Good, M.; Schmidt, C.G.; Michel, V. Assessment of listing and categorisation of animal diseases within the framework of the Animal Health Law (Regulation (EU) No 2016/429): Paratuberculosis. EFSA J. 2017, 15. [Google Scholar] [CrossRef]
- Shaughnessy, L.J.; Smith, L.A.; Evans, J.; Anderson, D.; Caldow, G.; Marion, G.; Low, J.C.; Hutchings, M.R. High prevalence of paratuberculosis in rabbits is associated with difficulties in controlling the disease in cattle. Vet. J. 2013, 198, 267–270. [Google Scholar] [CrossRef] [PubMed]
- Fecteau, M.-E. Paratuberculosis in cattle. Vet. Clin. Food Anim. Pract. 2018, 34, 209–222. [Google Scholar] [CrossRef]
- Verin, R.; Perroni, M.; Rossi, G.; De Grossi, L.; Botta, R.; De Sanctis, B.; Rocca, S.; Cubeddu, T.; Crosby-Durrani, H.; Taccini, E. Paratuberculosis in sheep: Histochemical, immunohistochemical and in situ hybridization evidence of in utero and milk transmission. Res. Vet. Sci. 2016, 106, 173–179. [Google Scholar] [CrossRef]
- Garcia, A.B.; Shalloo, L. Invited review: The economic impact and control of paratuberculosis in cattle. J. Dairy Sci. 2015, 98, 5019–5039. [Google Scholar] [CrossRef] [PubMed]
- Whittington, R.; Donat, K.; Weber, M.F.; Kelton, D.; Nielsen, S.S.; Eisenberg, S.; Arrigoni, N.; Juste, R.; Sáez, J.L.; Dhand, N. Control of paratuberculosis: Who, why and how. A review of 48 countries. BMC Vet. Res. 2019, 15, 1–29. [Google Scholar] [CrossRef]
- Münster, P.; Fechner, K.; Völkel, I.; von Buchholz, A.; Czerny, C.-P. Distribution of Mycobacterium avium ssp. paratuberculosis in a German zoological garden determined by IS900 semi-nested and quantitative real-time PCR. Vet. Microbiol. 2013, 163, 116–123. [Google Scholar] [CrossRef]
- Münster, P.; Völkel, I.; von Buchholz, A.; Czerny, C.-P. Detection of Mycobacterium avium subspecies paratuberculosis by IS900-based PCR assays from an alpaca (Vicugna pacos) kept in a German zoological garden. J. Zoo Wildl. Med. 2013, 44, 176–180. [Google Scholar] [CrossRef]
- Pavlik, I.; Bartl, J.; Dvorska, L.; Svastova, P.; Du Maine, R.; Machackova, M.; Ayele, W.Y.; Horvathova, A. Epidemiology of paratuberculosis in wild ruminants studied by restriction fragment length polymorphism in the Czech Republic during the period 1995–1998. Vet. Microbiol. 2000, 77, 231–251. [Google Scholar] [CrossRef]
- Vansnick, E.; Vercammen, F.; Bauwens, L.; D’Haese, E.; Nelis, H.; Geysen, D. A survey for Mycobacterium avium subspecies paratuberculosis in the Royal Zoological Society of Antwerp. Vet. J. 2005, 170, 249–256. [Google Scholar] [CrossRef] [PubMed]
- Weber, A.; Gürke, R. Bakteriologische Untersuchungen zum Vorkommen von Mycobacterium paratuberculosis in Kotproben von Damwild (Dama dama L.). Z. Jagdwiss. 1992, 38, 55–59. [Google Scholar] [CrossRef]
- Witte, C.L.; Hungerford, L.L.; Rideout, B.A. Association between Mycobacterium avium subsp. paratuberculosis infection among offspring and their dams in nondomestic ruminant species housed in a zoo. J. Vet. Diagn. Investig. 2009, 21, 40–47. [Google Scholar] [CrossRef] [PubMed]
- Zavgorodniy, A.I.; Pozmogova, S.A.; Girka, M.A.; Goncharova, N.V. Isolation of Mycobacterium avium subspecies paratuberculosis from zoo animals. J. Vet. Med. Biotechnol. Biosaf. 2015, 1, 17–19. [Google Scholar]
- The International Union for Conservation of Nature’s Red List of Threatened Species. Available online: https://www.iucnredlist.org/species/15568/50191470 (accessed on 19 September 2020).
- Hernández Reyes, A.L.; Chávez Gris, G.; Maldonado Castro, E.; Alcaraz Sosa, L.E. Detection of Mycobacterium avium subsp. paratuberculosis through different diagnostic techniques in ungulates kept in captivity in México. In Proceedings of the 14th International Colloquium on Paratuberculosis, Riviera Maya, Mexico, 4–8 June 2018. [Google Scholar]
- Ricchi, M.; Savi, R.; Bolzoni, L.; Pongolini, S.; Grant, I.R.; De Cicco, C.; Cerutti, G.; Cammi, G.; Garbarino, C.A.; Arrigoni, N. Estimation of Mycobacterium avium subsp. paratuberculosis load in raw bulk tank milk in Emilia-Romagna Region (Italy) by qPCR. Microbiologyopen 2016, 5, 551–559. [Google Scholar] [CrossRef] [PubMed]
- Taddei, S.; Robbi, C.; Cesena, C.; Rossi, I.; Schiano, E.; Arrigoni, N.; Vicenzoni, G.; Cavirani, S. Detection of Mycobacterium avium subsp. paratuberculosis in bovine fecal samples: Comparison of three polymerase chain reaction—Based diagnostic tests with a conventional culture method. J. Vet. Diagn. Investig. 2004, 16, 503–508. [Google Scholar] [CrossRef] [PubMed]
- World Organisation for Animal Health. Anonymous Chapter 2.1. 11 Paratuberculosis (Johne’s Disease). In Manual of Diagnostic Tests and Vaccines for Terrestrial Animals (Mammals, Birds and Bees); OIE: Paris, France, 2014. [Google Scholar]
- Savi, R.; Ricchi, M.; Cammi, G.; Garbarino, C.; Leo, S.; Pongolini, S.; Arrigoni, N. Survey on the presence of Mycobacterium avium subsp. paratuberculosis in ground beef from an industrial meat plant. Vet. Microbiol. 2015, 177, 403–408. [Google Scholar] [CrossRef] [PubMed]
- Whitlock, R.H.; Wells, S.J.; Sweeney, R.W.; Van Tiem, J. ELISA and fecal culture for paratuberculosis (Johne’s disease): Sensitivity and specificity of each method. Vet. Microbiol. 2000, 77, 387–398. [Google Scholar] [CrossRef]
- Collins, D.M.; De Zoete, M.; Cavaignac, S.M. Mycobacterium avium subsp. paratuberculosis strains from cattle and sheep can be distinguished by a PCR test based on a novel DNA sequence difference. J. Clin. Microbiol. 2002, 40, 4760–4762. [Google Scholar] [CrossRef]
- Ricchi, M.; Barbieri, G.; Taddei, R.; Belletti, G.L.; Carra, E.; Cammi, G.; Garbarino, C.A.; Arrigoni, N. Effectiveness of combination of Mini-and Microsatellite loci to sub-type Mycobacterium avium subsp. paratuberculosis Italian type C isolates. BMC Vet. Res. 2011, 7, 54. [Google Scholar] [CrossRef]
- Bryant, J.M.; Thibault, V.C.; Smith, D.G.E.; McLuckie, J.; Heron, I.; Sevilla, I.A.; Biet, F.; Harris, S.R.; Maskell, D.J.; Bentley, S.D. Phylogenomic exploration of the relationships between strains of Mycobacterium avium subspecies paratuberculosis. BMC Genomics 2016, 17, 1–12. [Google Scholar] [CrossRef]
- Pightling, A.W.; Pettengill, J.B.; Luo, Y.; Baugher, J.D.; Rand, H.; Strain, E. Interpreting whole-genome sequence analyses of foodborne bacteria for regulatory applications and outbreak investigations. Front. Microbiol. 2018, 9, 1482. [Google Scholar] [CrossRef] [PubMed]
- Stamatakis, A. RAxML version 8: A tool for phylogenetic analysis and post-analysis of large phylogenies. Bioinformatics 2014, 30, 1312–1313. [Google Scholar] [CrossRef] [PubMed]
- MAC-INMV-SSR Database. Available online: http://mac-inmv.tours.inra.fr/index.php (accessed on 26 August 2020).
- Olsen, I.; Sigurðardóttir, Ó.G.; Djønne, B. Paratuberculosis with special reference to cattle a review. Vet. Q. 2002, 24, 12–28. [Google Scholar] [CrossRef] [PubMed]
- Harris, N.B.; Barletta, R.G. Mycobacterium avium subsp. paratuberculosis in veterinary medicine. Clin. Microbiol. Rev. 2001, 14, 489–512. [Google Scholar] [CrossRef]
- González, J.; Geijo, M.V.; Garcia-Pariente, C.; Verna, A.; Corpa, J.M.; Reyes, L.E.; Ferreras, M.C.; Juste, R.A.; Marin, J.F.G.; Perez, V. Histopathological classification of lesions associated with natural paratuberculosis infection in cattle. J. Comp. Pathol. 2005, 133, 184–196. [Google Scholar] [CrossRef]
- Gossner, A.; Watkins, C.; Chianini, F.; Hopkins, J. Pathways and genes associated with immune dysfunction in sheep paratuberculosis. Sci. Rep. 2017, 7, 1–12. [Google Scholar] [CrossRef]
- Sweeney, R.W.; Collins, M.T.; Koets, A.P.; McGuirk, S.M.; Roussel, A.J. Paratuberculosis (Johne’s disease) in cattle and other susceptible species. J. Vet. Intern. Med. 2012, 26, 1239–1250. [Google Scholar] [CrossRef]
- de Silva, K.; Begg, D.J.; Plain, K.M.; Purdie, A.C.; Kawaji, S.; Dhand, N.K.; Whittington, R.J. Can early host responses to mycobacterial infection predict eventual disease outcomes? Prev. Vet. Med. 2013, 112, 203–212. [Google Scholar] [CrossRef]
- Kralik, P.; Slana, I.; Kralova, A.; Babak, V.; Whitlock, R.H.; Pavlik, I. Development of a predictive model for detection of Mycobacterium avium subsp. paratuberculosis in faeces by quantitative real time PCR. Vet. Microbiol. 2011, 149, 133–138. [Google Scholar] [CrossRef]
- Arsenault, J.; Singh Sohal, J.; Leboeuf, A.; Hélie, P.; Fecteau, G.; Robinson, Y.; L’Homme, Y. Validation of an in-house real-time PCR fecal assay and comparison with two commercial assays for the antemortem detection of Mycobacterium avium subsp. paratuberculosis infection in culled sheep. J. Vet. Diagn. Investig. 2019, 31, 58–68. [Google Scholar] [CrossRef]



| ID | Age (years) | Sex | Samples | qPCR | Culture | ELISA |
|---|---|---|---|---|---|---|
| 1 | 10 | M | Feces | Strong positive | Strong positive | |
| 2 | 12 | F | Intestine | Strong positive | Strong positive | |
| Mesenteric lymph node | Strong positive | Moderate positive | ||||
| Feces | Strong positive | Weak positive | ||||
| Serum | Positive | |||||
| 3 | 13.5 | M | Intestine | Weak positive | Negative | |
| Mesenteric lymph node | NP | NP | ||||
| Feces | Weak positive | Negative | ||||
| Serum | Negative | |||||
| 4 | 5 | M | Intestine | Strong positive | Strong positive | |
| Mesenteric lymph node 1 | Strong positive | Strong positive | ||||
| Mesenteric lymph node 2 | Strong positive | Weak positive | ||||
| Feces | Strong positive | Strong positive | ||||
| Serum | Positive | |||||
| 5 | 4.5 | M | Intestine (FFPE) | Weak positive | NP | |
| Serum | Positive | |||||
| 6 | 10 | M | Intestine (FFPE) | Weak positive | NP | |
| Serum | Negative | |||||
| 7 | 7.5 | M | Feces | Strong positive | Strong positive | |
| 8 | 4 | F | Feces | Negative | NP | |
| 9 | 3 | F | Feces | Negative | NP | |
| 10 | 1.5 | F | Feces | Weak positive | Negative |
Publisher’s Note: MDPI stays neutral with regard to jurisdictional claims in published maps and institutional affiliations. |
© 2020 by the authors. Licensee MDPI, Basel, Switzerland. This article is an open access article distributed under the terms and conditions of the Creative Commons Attribution (CC BY) license (http://creativecommons.org/licenses/by/4.0/).
Share and Cite
Pigoli, C.; Garbarino, C.; Ricchi, M.; Bonacina, E.; Gibelli, L.; Grieco, V.; Scaltriti, E.; Roccabianca, P.; Sironi, G.; Russo, S.; et al. Paratuberculosis in Captive Scimitar-Horned Oryxes (Oryx dammah). Animals 2020, 10, 1949. https://doi.org/10.3390/ani10111949
Pigoli C, Garbarino C, Ricchi M, Bonacina E, Gibelli L, Grieco V, Scaltriti E, Roccabianca P, Sironi G, Russo S, et al. Paratuberculosis in Captive Scimitar-Horned Oryxes (Oryx dammah). Animals. 2020; 10(11):1949. https://doi.org/10.3390/ani10111949
Chicago/Turabian StylePigoli, Claudio, Chiara Garbarino, Matteo Ricchi, Eleonora Bonacina, Lucia Gibelli, Valeria Grieco, Erika Scaltriti, Paola Roccabianca, Giuseppe Sironi, Simone Russo, and et al. 2020. "Paratuberculosis in Captive Scimitar-Horned Oryxes (Oryx dammah)" Animals 10, no. 11: 1949. https://doi.org/10.3390/ani10111949
APA StylePigoli, C., Garbarino, C., Ricchi, M., Bonacina, E., Gibelli, L., Grieco, V., Scaltriti, E., Roccabianca, P., Sironi, G., Russo, S., Pongolini, S., & Arrigoni, N. (2020). Paratuberculosis in Captive Scimitar-Horned Oryxes (Oryx dammah). Animals, 10(11), 1949. https://doi.org/10.3390/ani10111949

