Does the Kis-Balaton Water Protection System (KBWPS) Effectively Safeguard Lake Balaton from Toxic Cyanobacterial Blooms?
Abstract
1. Introduction
2. Materials and Methods
2.1. Study Area and Sampling Sites
2.2. Sampling of Water and Fish
2.3. Analyses of Water Quality Parameters
2.4. Qualitative and Quantitative Analyses of Cyanobacterial Communities
2.5. Determination of Cyanotoxin-Coding Genes
2.6. Cyanotoxin Analyses
2.6.1. Preparation of Water Samples for Liquid Chromatography–Tandem Mass Spectrometry (LC–MS/MS)
2.6.2. Preparation of Fish Tissue Samples for Liquid Chromatography–Tandem Mass Spectrometry (LC–MS/MS)
2.6.3. High-Performance Liquid Chromatography with Diode-Array UV Detection (HPLC–DAD)
2.6.4. Liquid Chromatography–Tandem Mass Spectrometry (LC–MS/MS)
2.7. Histological Analyses
2.7.1. Sample Preparation
2.7.2. Semi-Quantitative Analysis
3. Results
3.1. Physical and Chemical Parameters of Water
3.2. Qualitative and Quantitative Analyses of the Cyanobacterial Community
3.3. Detection of Cyanotoxin-Coding Genes
3.4. Presence of Cyanotoxins in Water and Fish Tissues
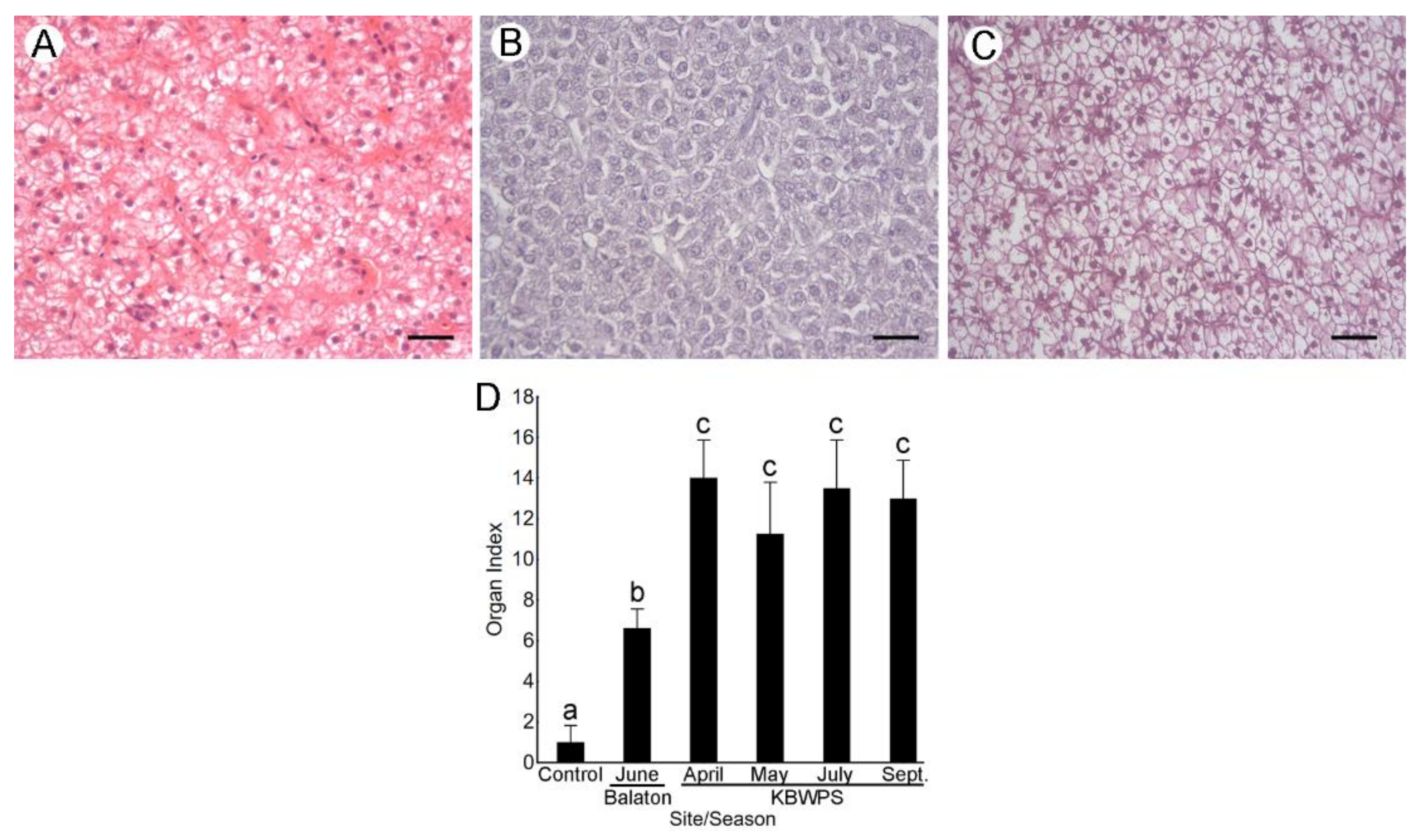
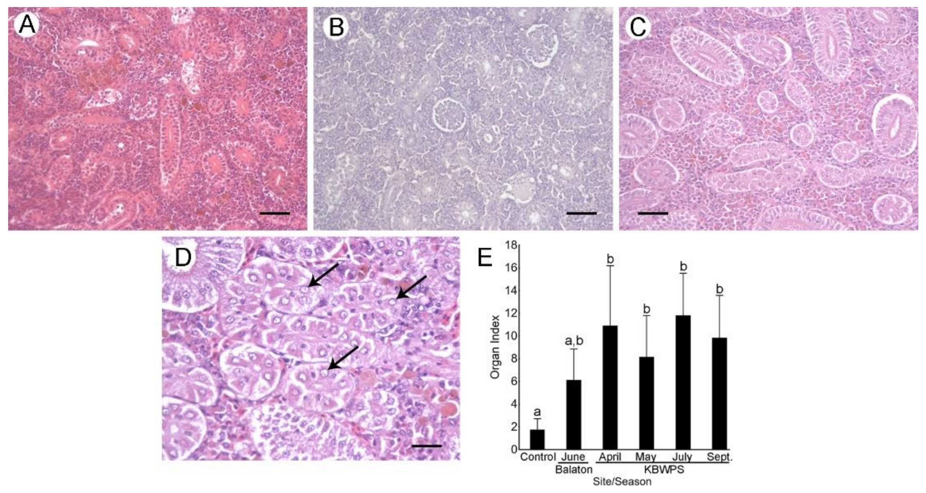
3.5. Histopathological Alterations of Fish Tissues
3.5.1. Hepatopancreas (Liver)
3.5.2. Kidney
3.5.3. Gills
4. Discussion
4.1. Water Quality and Cyanobacterial Blooming
4.2. Cyanobacterial Community Structure
4.3. Occurrence of Cyanotoxin-Coding Genes and Cyanotoxins
4.4. Effects of Cyanobacterial Blooming on Fish Tissues
4.5. Safeguarding Properties of KBWPS
5. Conclusions
Supplementary Materials
Author Contributions
Funding
Institutional Review Board Statement
Informed Consent Statement
Data Availability Statement
Acknowledgments
Conflicts of Interest
References
- Dömötörfy, Z.; Reeder, D.; Pomogyi, P. Changes in the macro-vegetation of the Kis-Balaton Wetlands over the last two centuries: A GIS perspective. Hydrobiologia 2003, 506, 671–679. [Google Scholar] [CrossRef]
- Kovács, J.; Hatvani, I.G.; Korponai, J.; Székely Kovács, I. Morlet wavelet and autocorrelation analysis of long-term data series of the Kis-Balaton water protection system (KBWPS). Ecol. Eng. 2010, 36, 1469–1477. [Google Scholar] [CrossRef]
- Hajnal, É.; Padisák, J. Analysis of long-term ecological status of Lake Balaton based on the ALMOBAL phytoplankton database. Hydrobiologia 2008, 599, 227–237. [Google Scholar] [CrossRef]
- Nguyen, H.L.; Leermakers, M.; Kurunczi, S.; Bozo, L.; Baeyens, W. Mercury distribution and speciation in Lake Balaton, Hungary. Sci. Total Environ. 2005, 340, 231–246. [Google Scholar] [CrossRef] [PubMed]
- Hatvani, I.G.; Clement, A.; Kovács, J.; Kovács, I.S.; Korponai, J. Assessing water-quality data: The relationship between the water quality amelioration of Lake Balaton and the construction of its mitigation wetland. J. Great Lakes Res. 2014, 40, 115–125. [Google Scholar] [CrossRef]
- Hatvani, I.G.; Kovács, J.; Székely Kovács, I.; Jakusch, P.; Korponai, J. Analysis of long-term water quality changes in the Kis-Balaton Water Protection System with time series-, cluster analysis and Wilks’ lambda distribution. Ecol. Eng. 2011, 37, 629–635. [Google Scholar] [CrossRef]
- Tátrai, I.; Mátyás, K.; Korponai, J.; Paulovits, G.; Pomogyi, P. The role of the Kis-Balaton Water Protection System in the control of water quality of Lake Balaton. Ecol. Eng. 2000, 16, 73–78. [Google Scholar] [CrossRef]
- Huisman, J.; Codd, G.A.; Paerl, H.W.; Ibelings, B.W.; Verspagen, J.M.H.; Visser, P.M. Cyanobacterial blooms. Nat. Rev. Microbiol. 2018, 16, 471–483. [Google Scholar] [CrossRef] [PubMed]
- Plaas, H.E.; Paerl, H.W. Toxic cyanobacteria: A growing threat to water and air quality. Environ. Sci. Technol. 2021, 55, 44–64. [Google Scholar] [CrossRef] [PubMed]
- Svirčev, Z.; Lalić, D.; Bojadžija Savić, G.; Tokodi, N.; Drobac Backović, D.; Chen, L.; Meriluoto, J.; Codd, G.A. Global Geographical and Historical Overview of Cyanotoxin Distribution and Cyanobacterial Poisonings; Springer: Berlin/Heidelberg, Germany, 2019; Volume 93, ISBN 0123456789. [Google Scholar]
- Rabalais, N.N.; Díaz, R.J.; Levin, L.A.; Turner, R.E.; Gilbert, D.; Zhang, J. Dynamics and distribution of natural and human-caused hypoxia. Biogeosciences 2010, 7, 585–619. [Google Scholar] [CrossRef]
- Drobac, D.; Tokodi, N.; Simeunović, J.; Baltić, V.; Stanić, D.; Svirčev, Z. Human exposure to cyanotoxins and their effects on health. Arch. Ind. Hyg. Toxicol. 2013, 64, 305–316. [Google Scholar] [CrossRef] [PubMed]
- Du, X.; Liu, H.; Yuan, L.; Wang, Y.; Ma, Y.; Wang, R.; Chen, X.; Losiewicz, M.D.; Guo, H.; Zhang, H. The diversity of cyanobacterial toxins on structural characterization, distribution and identification: A systematic review. Toxins 2019, 11, 530. [Google Scholar] [CrossRef] [PubMed]
- Metcalf, J.S.; Souza, N.R. Cyanobacteria and their toxins. In Separation Science and Technology; Elsevier Inc.: Amsterdam, The Netherlands, 2019; Volume 11, pp. 125–148. ISBN 978-0-12815-730-5. [Google Scholar]
- Istvánovics, V.; Clement, A.; Somlyódy, L.; Specziár, A.; Tóth, L.G.; Padisák, J. Updating water quality targets for shallow Lake Balaton (Hungary), recovering from eutrophication. Hydrobiologia 2007, 581, 305–318. [Google Scholar] [CrossRef]
- Hatvani, G.I.; de Battos, V.D.; Tanos, P.; Kovács, J.; Székely Kovács, I.; Clement, A. Spatiotemporal changes and drivers of trophic status over three decades in the largest shallow lake in Central Europe, Lake Balaton. Ecol. Eng. 2020, 151, 105861. [Google Scholar] [CrossRef]
- Tokodi, N.; Drobac Backović, D.; Lujić, J.; Šćekić, I.; Simić, S.; Dordević, N.; Dulić, T.; Miljanović, B.; Kitanović, N.; Marinović, Z.; et al. Protected freshwater ecosystem with incessant cyanobacterial blooming awaiting a resolution. Water 2020, 12, 129. [Google Scholar] [CrossRef]
- Komárek, J.; Anagnostidis, K. Cyanoprokaryota 1. Teil: Chroococcaless. In Süßwasserflora von Mitteleuropa; Ettl, H., Gerloff, J., Heynig, H., Mollenhauer, D., Eds.; Spektrum Akademischer Verlag: Heidelberg/Berlin, Germany, 1998; pp. 1–548. [Google Scholar]
- Komárek, J.; Anagnostidis, K. Cyanoprokaryota 2. Teil: Oscillatoriales. In Süßwasserflora von Mitteleuropa; Budel, B., Krienitz, L., Gartner, G., Schagerl, M., Eds.; Spektrum Akademischer Verlag: Heidelberg/Berlin, Germany, 2005; pp. 1–759. [Google Scholar]
- Komárek, J. Cyanoprokaryota 3. Teil: Heterocytous Genera. In Süßwasserflora von Mitteleuropa; Budel, B., Gartner, G., Krienitz, L., Schagerl, M., Eds.; Springer Spektrum Verlag: Heidelberg/Berlin, Germany, 2013; pp. 1–1130. [Google Scholar]
- Utermöhl, H. Zur Vervollkommnung der quantitativenPhytoplankton-Methodik. Int. Ver. Theor. Angewandte Limnol. Mitt. 1958, 9, 1–38. [Google Scholar] [CrossRef]
- Dittman, E.; Mankiewicz-Boczek, J.; Gągała, I. SOP 6.2: PCR detection of microcystin and nodularin biosynthesis genes in the cyanobacterial orders Oscillatoriales, Chroococcales, Stigonematales, and Nostocales. In Molecular Tools for the Detection and Quantification of Toxigenic Cyanobacteria; Kurmayer, R., Sivonen, K., Wilmotte, A., Salmaso, N., Eds.; John Willey & Sons, Ltd.: Chichester, UK, 2017; pp. 175–178. [Google Scholar]
- Mazmouz, R.; Chapuis-Hugon, F.; Mann, S.; Pichon, V.; Méjean, A.; Ploux, O. Biosynthesis of cylindrospermopsin and 7-epicylindrospermopsin in Oscillatoria sp. strain PCC 6506: Identification of the cyr gene cluster and toxin analysis. Appl. Environ. Microbiol. 2010, 76, 4943–4949. [Google Scholar] [CrossRef]
- Savela, H.; Spoof, L.; Perälä, N.; Preede, M.; Lamminmäki, U.; Nybom, S.; Häggqvist, K.; Meriluoto, J.; Vehniäinen, M. Detection of cyanobacterial sxt genes and paralytic shellfish toxins in freshwater lakes and brackish waters on Åland Islands, Finland. Harmful Algae 2015, 46, 1–10. [Google Scholar] [CrossRef]
- Savela, H.; Spoof, L.; Höysniemi, N.; Vehniäinen, M.; Mankiewicz-Boczek, J.; Jurczak, T.; Kokociński, M.; Meriluoto, J. First report of cyanobacterial paralytic shellfish toxin biosynthesis genes and paralytic shellfish toxin production in Polish freshwater lakes. Adv. Oceanogr. Limnol. 2017, 8, 61–70. [Google Scholar] [CrossRef]
- Rantala-Ylinen, A.; Känä, S.; Wang, H.; Rouhiainen, L.; Wahlsten, M.; Rizzi, E.; Berg, K.; Gugger, M.; Sivonen, K. Anatoxin-a synthetase gene cluster of the cyanobacterium Anabaena sp. strain 37 and molecular methods to detect potential producers. Appl. Environ. Microbiol. 2011, 77, 7271–7278. [Google Scholar] [CrossRef]
- Tokodi, N.; Drobac, D.; Meriluoto, J.; Lujić, J.; Marinović, Z.; Važić, T.; Nybom, S.; Simeunović, J.; Dulić, T.; Lazić, G.; et al. Cyanobacterial effects in Lake Ludoš, Serbia—Is preservation of a degraded aquatic ecosystem justified? Sci. Total Environ. 2018, 635, 1047–1062. [Google Scholar] [CrossRef]
- Meriluoto, J.; Codd, G.A. TOXIC Cyanobacterial Monitoring and Cyanotoxin Analysis; Åbo Akademi University Press: Turku, Finland, 2005; Volume 65, p. 1. [Google Scholar]
- Meriluoto, J.; Lawton, L.; Harada, K. Isolation and detection of microcystins and nodularins, cyanobacterial peptide hepatotoxins. In Bacterial Toxins: Methods and Protocols; Holst, O., Ed.; Humana Press: Totowa, NJ, USA, 2000; pp. 65–87. [Google Scholar]
- Spoof, L.; Vesterkvist, P.; Lindholm, T.; Meriluoto, J. Screening for cyanobacterial hepatotoxins, microcystins and nodularin in environmental water samples by reversed-phase liquid chromatography-electrospray ionisation mass spectrometry. J. Chromatogr. A 2003, 1020, 105–119. [Google Scholar] [CrossRef]
- Caixach, J.; Flores, C.; Spoof, L.; Meriluoto, J.; Schmidt, W.; Mazur-Marzec, H.; Hiskia, A.; Kaloudis, T.; Furey, A. Liquid Chromatography-Mass Spectrometry. In Handbook of Cyanobacterial Monitoring and Cyanotoxin Analysis; Meriluoto, J., Spoof, L., Codd, G.A., Eds.; John Wiley & Sons, Ltd.: Chichester, UK, 2017; pp. 218–257. [Google Scholar]
- Hautala, H.; Lamminmäki, U.; Spoof, L.; Nybom, S.; Meriluoto, J.; Vehniäinen, M. Quantitative PCR detection and improved sample preparation of microcystin-producing Anabaena, Microcystis and Planktothrix. Ecotoxicol. Environ. Saf. 2013, 87, 49–56. [Google Scholar] [CrossRef]
- Kokociński, M.; Mankiewicz-Boczek, J.; Jurczak, T.; Spoof, L.; Meriluoto, J.; Rejmonczyk, E.; Hautala, H.; Vehniäinen, M.; Pawełczyk, J.; Soininen, J. Aphanizomenon gracile (Nostocales), a cylindrospermopsin-producing cyanobacterium in Polish lakes. Environ. Sci. Pollut. Res. 2013, 20, 5243–5264. [Google Scholar] [CrossRef] [PubMed]
- Drobac, D.; Tokodi, N.; Lujić, J.; Marinović, Z.; Subakov-Simić, G.; Dulić, T.; Važić, T.; Nybom, S.; Meriluoto, J.; Codd, G.A.; et al. Cyanobacteria and cyanotoxins in fishponds and their effects on fish tissue. Harmful Algae 2016, 55, 66–76. [Google Scholar] [CrossRef] [PubMed]
- Bernet, D.; Schmidt, H.; Meier, W.; Burkhardt-Holm, P.; Wahli, T. Histopathology in fish: Proposal for a protocol to assess aquactic pollution. J. Fish Dis. 1999, 22, 25–34. [Google Scholar] [CrossRef]
- Governmental Decree No 10/2010. (VIII. 18.) of Ministry of Rural Development (VM) on Defining the Rules for Establishment and Use of Water Pollution Limits of Surface Water. (In Hungarian). Available online: https://net.jogtar.hu/jogszabaly?docid=a1000010.vm (accessed on 25 February 2021).
- Falconer, I.R. Algal toxins and human health. In Quality and Treatment of Drinking Water II; Hrubec, J., Ed.; Springer: Berlin/Heidelberg, Germany, 1998; Volume 5, pp. 53–82. [Google Scholar]
- Istvánovics, V. Fractional composition, adsorption and release of sediment phosphorus in the Kis-Balaton reservoir. Water Res. 1994, 28, 717–726. [Google Scholar] [CrossRef]
- Tátrai, I.; Istvánovics, V.; Tóth, L.G.; Kóbor, I. Management measures and long-term water quality changes in Lake Balaton (Hungary). Fundam. Appl. Limnol. 2008, 172, 1–11. [Google Scholar] [CrossRef]
- Farkas, M.; Kaszab, E.; Radó, J.; Háhn, J.; Tóth, G.; Harkai, P.; Ferincz, Á.; Lovász, Z.; Táncsics, A.; Vörös, L.; et al. Planktonic and Benthic Bacterial Communities of the Largest Central European Shallow Lake, Lake Balaton and Its Main Inflow Zala River. Curr. Microbiol. 2020, 77, 4016–4028. [Google Scholar] [CrossRef]
- Sebestyén, V.; Németh, J.; Juzsakova, T.; Domokos, E.; Kovács, Z.; Rédey, Á. Aquatic environmental assessment of Lake Balaton in the light of physical-chemical water parameters. Environ. Sci. Pollut. Res. 2017, 24, 25355–25371. [Google Scholar] [CrossRef]
- Burdick, S.M.; Hereford, D.M.; Conway, C.M.; Banet, N.V.; Powers, R.; Martin, B.A.; Elliott, D.G. Mortality of endangered juvenile Lost River suckers associated with cyanobacteria blooms in mesocosms in Upper Klamath Lake, Oregon. Trans. Am. Fish. Soc. 2020, 149, 245–265. [Google Scholar] [CrossRef]
- Burdick, S.M.; Hewitt, D.A.; Martin, B.A.; Schenk, L.; Rounds, S.A. Effects of harmful algal blooms and associated water-quality on endangered Lost River and shortnose suckers. Harmful Algae 2020, 97, 101847. [Google Scholar] [CrossRef]
- Carvalho, L.; Miller, C.A.; Scott, E.M.; Codd, G.A.; Davies, P.S.; Tyler, A.N. Cyanobacterial blooms: Statistical models describing risk factors for national-scale lake assessment and lake management. Sci. Total Environ. 2011, 409, 5353–5358. [Google Scholar] [CrossRef]
- Conley, D.J.; Paerl, H.W.; Howarth, R.W.; Boesch, D.F.; Seitzinger, S.P.; Havens, K.E.; Lancelot, C.; Likens, G.E. Controlling eutrophication: Phosphorus and nitrogen. Science 2009, 323, 1014–1015. [Google Scholar] [CrossRef]
- Paerl, H.W.; Hall, N.S.; Calandrino, E.S. Controlling harmful cyanobacterial blooms in a world experiencing anthropogenic and climatic-induced change. Sci. Total Environ. 2011, 409, 1739–1745. [Google Scholar] [CrossRef]
- Schindler, D.W. Eutrophication and recovery in experimental lakes: Implications for lake management. Science 1974, 184, 897–899. [Google Scholar] [CrossRef]
- Jeppesen, E.; Søndergaard, M.; Jensen, J.P.; Havens, K.E.; Anneville, O.; Carvalho, L.; Coveney, M.F.; Deneke, R.; Dokulil, M.T.; Foy, B.; et al. Lake responses to reduced nutrient loading—An analysis of contemporary long-term data from 35 case studies. Freshw. Biol. 2005, 50, 1747–1771. [Google Scholar] [CrossRef]
- Fastner, J.; Abella, S.; Litt, A.; Morabito, G.; Vörös, L.; Pálffy, K.; Straile, D.; Kümmerlin, R.; Matthews, D.; Phillips, M.G.; et al. Combating cyanobacterial proliferation by avoiding or treating inflows with high P load—Experiences from eight case studies. Aquat. Ecol. 2016, 50, 367–383. [Google Scholar] [CrossRef]
- Feng, W.; Yang, F.; Zhang, C.; Liu, J.; Song, F.; Chen, H.; Zhu, Y.; Liu, S.; Giesy, J.P. Composition characterization and biotransformation of dissolved, particulate and algae organic phosphorus in eutrophic lakes. Environ. Pollut. 2020, 265, 114838. [Google Scholar] [CrossRef]
- Xie, E.; Su, Y.; Deng, S.; Kontopyrgou, M.; Zhang, D. Significant influence of phosphorus resources on the growth and alkaline phosphatase activities of Microcystis aeruginosa. Environ. Pollut. 2021, 268. [Google Scholar] [CrossRef]
- Zhang, S.; Wang, W.; Zhang, K.; Xu, P.; Lu, Y. Phosphorus release from cyanobacterial blooms during their decline period in eutrophic Dianchi Lake, China. Environ. Sci. Pollut. Res. 2018, 25, 13579–13588. [Google Scholar] [CrossRef] [PubMed]
- Tóth, E.; Toumi, M.; Farkas, R.; Takáts, K.; Somodi, C. Ács Insight into the hidden bacterial diversity of Lake Balaton, Hungary. Biol. Futur. 2020, 71, 383–391. [Google Scholar] [CrossRef]
- Somogyi, B.; Felföldi, T.; Tóth, L.G.; Bernát, G.; Vörös, L. Photoautotrophic picoplankton—A review on their occurrence, role and diversity in Lake Balaton. Biol. Futur. 2020, 71, 371–382. [Google Scholar] [CrossRef]
- Horváth, H.; Mátyás, K.; Süle, G.; Présing, M. Contribution of nitrogen fixation to the external nitrogen load of a water quality control reservoir (Kis-Balaton Water Protection System, Hungary). Hydrobiologia 2013, 702, 255–265. [Google Scholar] [CrossRef][Green Version]
- Bíró, P. Long-term changes in Lake Balaton and its fish populations. Adv. Ecol. Res. 2000, 31, 599–613. [Google Scholar] [CrossRef]
- Padisák, J.; Reynolds, C.S. Selection of phytoplankton associations in Lake Balaton, Hungary, in response to eutrophication and restoration measures, with special reference to the cyanoprokaryotes. Hydrobiologia 1998, 384, 41–53. [Google Scholar] [CrossRef]
- Neilan, B.A.; Saker, M.L.; Fastner, J.; Törökné, A.; Burns, B.P. Phylogeography of the invasive cyanobacterium Cylindrospermopsis raciborskii. Mol. Ecol. 2003, 12, 133–140. [Google Scholar] [CrossRef]
- Haande, S.; Rohrlack, T.; Ballot, A.; Røberg, K.; Skulberg, R.; Beck, M.; Wiedner, C. Genetic characterisation of Cylindrospermopsis raciborskii (Nostocales, Cyanobacteria) isolates from Africa and Europe. Harmful Algae 2008, 7, 692–701. [Google Scholar] [CrossRef]
- Ács, A.; Kovács, A.W.; Csepregi, J.Z.; Töro, N.; Kiss, G.; Gyori, J.; Vehovszky, Á.; Kováts, N.; Farkas, A. The ecotoxicological evaluation of Cylindrospermopsis raciborskii from Lake Balaton (Hungary) employing a battery of bioassays and chemical screening. Toxicon 2013, 70, 98–106. [Google Scholar] [CrossRef]
- Buratti, F.M.; Manganelli, M.; Vichi, S.; Stefanelli, M.; Scardala, S.; Testai, E.; Funari, E. Cyanotoxins: Producing organisms, occurrence, toxicity, mechanism of action and human health toxicological risk evaluation. Arch. Toxicol. 2017, 91, 1049–1130. [Google Scholar] [CrossRef]
- Metcalf, J.S.; Codd, G.A. Cyanotoxins. In Ecology of Cyanobacteria II, Their Diversity in Space and Time; Whitton, B.A., Ed.; Springer: Berlin, Germany, 2012; pp. 651–675. [Google Scholar]
- Bouaïcha, N.; Miles, C.; Beach, D.; Labidi, Z.; Djabri, A.; Benayache, N.; Nguyen-Quang, T. Structural diversity, characterization and toxicology of Microcystins. Toxins 2019, 11, 714. [Google Scholar] [CrossRef]
- Wiese, M.; D’Agostino, P.M.; Mihali, T.K.; Moffitt, M.C.; Neilan, B.A. Neurotoxic alkaloids: Saxitoxin and its analogs. Mar. Drugs 2010, 8, 2185–2211. [Google Scholar] [CrossRef] [PubMed]
- Bláha, L.; Babica, P.; Maršálek, B. Toxins produced in cyanobacterial water blooms—Toxicity and risks. Interdiscip. Toxicol. 2009, 2, 36–41. [Google Scholar] [CrossRef]
- Huang, I.S.; Zimba, P.V. Cyanobacterial bioactive metabolites—A review of their chemistry and biology. Harmful Algae 2019, 83, 42–94. [Google Scholar] [CrossRef]
- Svirčev, Z.; Lujić, J.; Marinović, Z.; Drobac, D.; Tokodi, N.; Stojiljković, B.; Meriluoto, J. Toxicopathology Induced by Microcystins and Nodularin: A Histopathological Review. J. Environ. Sci. Health Part C 2015, 33, 125–167. [Google Scholar] [CrossRef]
- Tencalla, F.G.; Dietrich, D.R.; Schlatter, C. Toxicity of Microcystis aeruginosa peptide toxin to yearling rainbow trout (Oncorhynchus mykiss). Aquat. Toxicol. 1994, 30, 215–224. [Google Scholar] [CrossRef]
- Ibelings, B.W.; Bruning, K.; De Jonge, J.; Wolfstein, K.; Dionisio Pires, L.M.; Postma, J.; Burger, T. Distribution of microcystins in a lake foodweb: No evidence for biomagnification. Microb. Ecol. 2005, 49, 487–500. [Google Scholar] [CrossRef]
- Komatsu, M.; Furukawa, T.; Ikeda, R.; Takumi, S.; Nong, Q.; Aoyama, K.; Akiyama, S.I.; Keppler, D.; Takeuchi, T. Involvement of mitogen-activated protein kinase signaling pathways in microcystin-LR-induced apoptosis after its selective uptake mediated by OATP1B1 and OATP1B3. Toxicol. Sci. 2007, 97, 407–416. [Google Scholar] [CrossRef]
- MacKintosh, C.; Beattie, K.A.; Klumpp, S.; Cohen, P.; Codd, G.A. Cyanobacterial microcystin-LR is a potent and specific inhibitor of protein phosphatases 1 and 2A from both mammals and higher plants. FEBS Lett. 1990, 264, 187–192. [Google Scholar] [CrossRef]
- Craig, M.; Luu, H.A.; McCready, T.L.; Williams, D.; Andersen, R.J.; Holmes, C.F.B. Molecular mechanisms underlying the interaction of motuporin and microcystins with type-1 and type-2A protein phosphatases. Biochem. Cell Biol. 1996, 74, 569–578. [Google Scholar] [CrossRef] [PubMed]
- Liu, J.; Sun, Y. The role of PP2A-associated proteins and signal pathways in microcystin-LR toxicity. Toxicol. Lett. 2015, 236, 1–7. [Google Scholar] [CrossRef] [PubMed]
- Wester, P.W.; Van Der Ven, L.T.M.; Vethaak, A.D.; Grinwis, G.C.M.; Vos, J.G. Aquatic toxicology: Opportunities for enhancement through histopathology. Environ. Toxicol. Pharmacol. 2002, 11, 289–295. [Google Scholar] [CrossRef]
- Thoolen, B.; Maronpot, R.R.; Harada, T.; Nyska, A.; Rousseaux, C.; Nolte, T.; Malarkey, D.E.; Kaufmann, W.; Küttler, K.; Deschl, U.; et al. Proliferative and nonproliferative lesions of the rat and mouse hepatobiliary system. Toxicol. Pathol. 2010, 38, 5–81. [Google Scholar] [CrossRef]
- Carbis, C.R.; Tawlin, G.T.; Grant, P.; Mitchell, G.F.; Anderson, J.W.; McCauley, I. A study of feral carp, Cyprinus carpio L., exposed to Microcystis aeruginosa at lake Mokoan, Austraila, and possible implications for fish health. J. Fish Dis. 1997, 20, 81–91. [Google Scholar] [CrossRef]
- Mitsoura, A.; Kagalou, I.; Papaioannou, N.; Berillis, P.; Mente, E.; Papadimitriou, T. The presence of microcystins in fish Cyprinus carpio tissues: A histopathological study. Int. Aquat. Res. 2013, 5, 8. [Google Scholar] [CrossRef]
- Amrani, A.; Nasri, H.; Azzouz, A.; Kadi, Y.; Bouaïcha, N. Variation in cyanobacterial hepatotoxin (microcystin) content of water samples and two species of fishes collected from a shallow lake in Algeria. Arch. Environ. Contam. Toxicol. 2014, 66, 379–389. [Google Scholar] [CrossRef]
- Mikkaichi, T.; Suzuki, T.; Tanemoto, M.; Ito, S.; Abe, T. The organic anion transporter (OATP) family. Drug Metab. Pharmacokinet. 2004, 19, 171–179. [Google Scholar] [CrossRef]
- Xu, S.; Yi, X.; Liu, W.; Zhang, C.; Massey, I.Y.; Yang, F.; Tian, L. A review of nephrotoxicity of microcystins. Toxins 2020, 12, 693. [Google Scholar] [CrossRef]
- Li, L.; Xie, P.; Guo, L.; Ke, Z.; Zhou, Q.; Liu, Y.; Qiu, T. Field and laboratory studies on pathological and biochemical characterization of microcystin-induced liver and kidney damage in the phytoplanktivorous bighead carp. Sci. World J. 2008, 8, 121–137. [Google Scholar] [CrossRef]
- Fischer, W.J.; Dietrich, D.R. Pathological and biochemical characterization of microcystin-induced hepatopancreas and kidney damage in carp (Cyprinus carpio). Toxicol. Appl. Pharmacol. 2000, 164, 73–81. [Google Scholar] [CrossRef]
- Lujić, J.; Matavulj, M.; Poleksić, V.; Rašković, B.; Marinović, Z.; Kostić, D.; Miljanović, B. Gill Reaction to Pollutants from the Tamiš River in Three Freshwater Fish Species, Esox lucius L. 1758, Sander lucioperca (L. 1758) and Silurus glanis L. 1758: A Comparative Study. Anat. Histol. Embryol. 2015, 44, 128–137. [Google Scholar] [CrossRef]
- Flores, N.M.; Miller, T.R.; Stockwell, J.D. A global analysis of the relationship between concentrations of microcystins in water and fish. Front. Mar. Sci. 2018, 5, 30. [Google Scholar] [CrossRef]
- Zhang, D.; Yang, Q.; Xie, P.; Deng, X.; Chen, J.; Dai, M. The role of cysteine conjugation in the detoxification of microcystin-LR in liver of bighead carp (Aristichthys nobilis): A field and laboratory study. Ecotoxicology 2012, 21, 244–252. [Google Scholar] [CrossRef]
- Guo, X.; Chen, L.; Chen, J.; Xie, P.; Li, S.; He, J.; Li, W.; Fan, H.; Yu, D.; Zeng, C. Quantitatively evaluating detoxification of the hepatotoxic microcystin-LR through the glutathione (GSH) pathway in SD rats. Environ. Sci. Pollut. Res. 2015, 22, 19273–19284. [Google Scholar] [CrossRef]
- Zanchett, G.; Oliveira-Filho, E.C. Cyanobacteria and cyanotoxins: From impacts on aquatic ecosystems and human health to anticarcinogenic effects. Toxins 2013, 5, 1896–1917. [Google Scholar] [CrossRef]






| Site | Season | Species | No. Individuals | Sex (Male:Female) | TL (mm) |
|---|---|---|---|---|---|
| KBWPS | April | Cyprinus carpio | 5 | 2:3 | 438 ± 62 |
| May | Cyprinus carpio | 2 | 2:0 | 475 ± 35 | |
| Carassius gibelio | 5 | 2:3 | 384 ± 51 | ||
| July | Carassius gibelio | 5 | 2:3 | 355 ± 37 | |
| September | Abramis brama | 5 | 2:3 | 364 ± 42 | |
| Lake Balaton | June | Abramis brama | 5 | 2:3 | 234 ± 12 |
| Control | - | Cyprinus carpio | 3 | 1:2 | 355 ± 99 |
| Gene | Primer Name | 5′–3′ Sequence | Reference |
|---|---|---|---|
| mcyE | HEPF | TTTGGGGTTAACTTTTTTGGGCATAGTC | [22] |
| HEPR | AATTCTTGAGGCTGTAAATCGGGTTT | ||
| cyrJ | cyrJ_F | TTCTCTCCTTTCCCTATCTCTTTATC | [23] |
| cyrJ_R | GCTACGGTGCTGTACCAAGGGGC | ||
| sxtG | sxtG432_F | AATGGCAGATCGCAACCGCTAT | [24] |
| sxtG928_R | ACATTCAACCCTGCCCATTCACT | ||
| sxtS | sxtS205_F | GGAGTATTDGCGGGTGACTATGA | [25] |
| sxtS566_R | GGTGGCTACTTGGTATAACTCGCA | ||
| anaC | anaC-genF | TCTGGTATTCAGTCCCCTCTAT | [26] |
| anaC-genR | CCCAATAGCCTGTCATCAA |
| Physical and Chemical Parameters | KBWPS | Lake Balaton | Guideline 1 | |||
|---|---|---|---|---|---|---|
| April | May | July | September | June | ||
| Temperature (℃) | 15.9 | 24.4 | 25.5 | 25.4 | 23.1 | |
| Conductivity (μS/cm) | 726 | 729 | 741 | 757 | 809 | 800 |
| pH | 9.26 | 9.42 | 9.52 | 9.44 | 8.54 | 9 |
| Saturation (%) | 87.9 | 76.1 | 73.9 | 41.1 | 86.1 | 80 |
| O2 (mg/L) | 8.53 | 6.3 | 5.96 | 3.38 | 7.26 | 7.5 |
| NO3–N (mg/L) | <1.0 | <1.0 | <1.0 | <1.0 | <1.0 | 0.06 |
| NO2–N (mg/L) | <0.01 | <0.01 | <0.01 | <0.01 | <0.01 | / |
| NH4–N (mg/L) | 0 | 0 | <0.1 | 1.6 | 0 | 0.05 |
| PO4–P (mg/L) | 1.8 | <0.2 | <0.2 | 1.5 | <0.2 | 0.01 |
| Cyanobacterial Taxon | KBWPS | Balaton | |||
|---|---|---|---|---|---|
| April | May | July | September | June | |
| Aphanizomenon flos-aquae Ralfs ex Bornet and Flahault | 115,230 | 3,936,700 | 10,975,000 | 1,968,000 | − |
| Aphanizomenon hungaricum Komárková-Legnerová and Mátyás | 24,300 | 53,640 | 714,500 | 241,300 | − |
| Cuspidothrix issatschenkoi (Usachev) Rajaniemi et al. | 14,500 | 32,100 | 110,500 | 74,200 | − |
| Dolichospermum flos-aquae (Brébisson ex Bornet and Flahault) | 26,000 | 105,000 | 214,000 | 96,300 | − |
| Dolichospermum spiroides (Klebhan) Wacklin, L.Hoffmann and Komárek | 69,500 | 1,612,000 | 956,000 | 541,000 | − |
| Microcystis aeruginosa (Kützing) Kützing | 104,300 | 413,600 | 525,100 | 375,000 | 21,300 |
| Microcystis flos-aquae (Wittrock) Kirchner | 44,600 | 332,400 | 487,000 | 124,000 | − |
| Merismopedia glauca (Ehrenberg) Kützing | + | 12,300 | 9,600 | + | − |
| Oscillatoria tenuis C. Agardh ex Gomont | + | + | + | + | 10,650 |
| Σ | 398,430 | 6,497,740 | 13,991,700 | 3,419,800 | 31,950 |
| MC Variant (µg/L) | KBWPS | Balaton | |
|---|---|---|---|
| July | September | June | |
| MC-LR | 1.290 | 0.316 | / |
| dmMC-LR | / | / | / |
| MC-RR | 0.023 | 0.015 | / |
| dmMC-RR | / | / | / |
| MC-YR | 0.051 | 0.009 | / |
| dmMC-YR | / | / | / |
| MC-LF | 0.005 | / | / |
| MC-LY | / | / | / |
| MC-LW | 0.050 | / | / |
Publisher’s Note: MDPI stays neutral with regard to jurisdictional claims in published maps and institutional affiliations. |
© 2021 by the authors. Licensee MDPI, Basel, Switzerland. This article is an open access article distributed under the terms and conditions of the Creative Commons Attribution (CC BY) license (https://creativecommons.org/licenses/by/4.0/).
Share and Cite
Marinović, Z.; Tokodi, N.; Backović, D.D.; Šćekić, I.; Kitanović, N.; Simić, S.B.; Đorđević, N.B.; Ferincz, Á.; Staszny, Á.; Dulić, T.; et al. Does the Kis-Balaton Water Protection System (KBWPS) Effectively Safeguard Lake Balaton from Toxic Cyanobacterial Blooms? Microorganisms 2021, 9, 960. https://doi.org/10.3390/microorganisms9050960
Marinović Z, Tokodi N, Backović DD, Šćekić I, Kitanović N, Simić SB, Đorđević NB, Ferincz Á, Staszny Á, Dulić T, et al. Does the Kis-Balaton Water Protection System (KBWPS) Effectively Safeguard Lake Balaton from Toxic Cyanobacterial Blooms? Microorganisms. 2021; 9(5):960. https://doi.org/10.3390/microorganisms9050960
Chicago/Turabian StyleMarinović, Zoran, Nada Tokodi, Damjana Drobac Backović, Ilija Šćekić, Nevena Kitanović, Snežana B. Simić, Nevena B. Đorđević, Árpád Ferincz, Ádám Staszny, Tamara Dulić, and et al. 2021. "Does the Kis-Balaton Water Protection System (KBWPS) Effectively Safeguard Lake Balaton from Toxic Cyanobacterial Blooms?" Microorganisms 9, no. 5: 960. https://doi.org/10.3390/microorganisms9050960
APA StyleMarinović, Z., Tokodi, N., Backović, D. D., Šćekić, I., Kitanović, N., Simić, S. B., Đorđević, N. B., Ferincz, Á., Staszny, Á., Dulić, T., Meriluoto, J., Urbányi, B., Lujić, J., & Svirčev, Z. (2021). Does the Kis-Balaton Water Protection System (KBWPS) Effectively Safeguard Lake Balaton from Toxic Cyanobacterial Blooms? Microorganisms, 9(5), 960. https://doi.org/10.3390/microorganisms9050960

