Klebsiella pneumoniae Chorioamnionitis: An Underrecognized Cause of Preterm Premature Rupture of Membranes in the Second Trimester
Abstract
1. Introduction
2. Case Description
2.1. Mother Clinical Presentation and Treatment
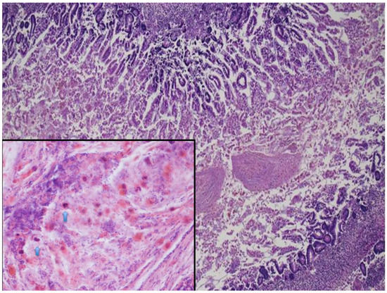
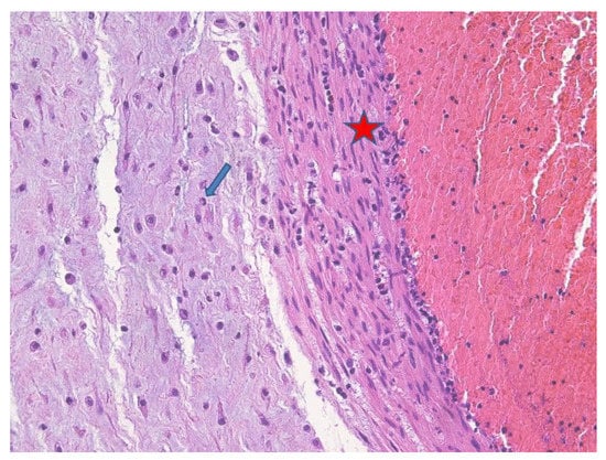
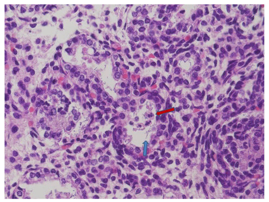
2.2. Fetal Autopsy and Microbiological Results
3. Materials and Methods
4. Discussion
Author Contributions
Funding
Institutional Review Board Statement
Informed Consent Statement
Conflicts of Interest
References
- Baergen, R. Chapter 16 Infectious Disease. In Manual of Pathology of the Human Placenta, 2nd ed.; Springer: Berlin/Heidelberg, Germany, 2011; pp. 281–297. [Google Scholar]
- Khong, T.Y.M.E.; Nikkels, P.G.J.; Morgan, T.K.; Gordijn, J.G. Chapter 12 Acute Chorioamnionitis. In Pathology of the Placenta—A Pratical Guide; Springer: Berlin/Heidelberg, Germany, 2019; pp. 103–108. [Google Scholar]
- Rezeberga, D.; Lazdane, G.; Kroica, J.; Sokolova, L.; Donders, G.G. Placental histological inflammation and reproductive tract infections in a low risk pregnant population in Latvia. Acta Obstet. Gynecol. Scand. 2008, 87, 360–365. [Google Scholar] [CrossRef] [PubMed]
- Seliga-Siwecka, J.P.; Kornacka, M.K. Neonatal outcome of preterm infants born to mothers with abnormal genital tract colonisation and chorioamnionitis: A cohort study. Early Hum. Dev. 2013, 89, 271–275. [Google Scholar] [CrossRef] [PubMed]
- Kim, C.J.; Romero, R.; Chaemsaithong, P.; Chaiyasit, N.; Yoon, B.H.; Kim, Y.M. Acute chorioamnionitis and funisitis: Definition, pathologic features, and clinical significance. Am. J. Obstet. Gynecol. 2015, 213 (Suppl. S4), S29–S52. [Google Scholar] [CrossRef] [PubMed]
- Pugni, L.; Pietrasanta, C.; Acaia, B.; Merlo, D.; Ronchi, A.; Ossola, M.W.; Bosari, S.; Mosca, F. Chorioamnionitis and neonatal outcome in preterm infants: A clinical overview. J. Matern. Fetal Neonatal Med. 2016, 29, 1525–1529. [Google Scholar] [CrossRef]
- Tchirikov, M.; Zhumadilov, Z.; Winarno, A.S.; Haase, R.; Buchmann, J. Treatment of Preterm Premature Rupture of Membranes with Oligo-/Anhydramnion Colonized by Multiresistant Bacteria with Continuous Amnioinfusion and Antibiotic Administrations through a Subcutaneously Implanted Intrauterine Port System: A Case Report. Fetal Diagn. Ther. 2017, 42, 71–76. [Google Scholar] [CrossRef]
- Venkatesh, K.K.; Jackson, W.; Hughes, B.L.; Laughon, M.M.; Thorp, J.M.; Stamilio, D.M. Association of chorioamnionitis and its duration with neonatal morbidity and mortality [published correction appears in J Perinatol. 7 March 2019]. J. Perinatol. 2019, 39, 673–682. [Google Scholar] [CrossRef]
- Ernst, L.M. A pathologist׳s perspective on the perinatal autopsy. Semin Perinatol. 2015, 39, 55–63. [Google Scholar] [CrossRef]
- Aquino, T.I.; Zhang, J.; Kraus, F.T.; Knefel, R.; Taff, T. Subchorionic fibrin cultures for bacteriologic study of the placenta. Am. J. Clin. Pathol. 1984, 81, 482–486. [Google Scholar] [CrossRef]
- Zhang, J.M.; Kraus, F.T.; Aquino, T.I. Chorioamnionitis: A comparative histologic, bacteriologic, and clinical study. Int. J. Gynecol. Pathol. 1985, 4, 1–10. [Google Scholar] [CrossRef]
- Sheikh, S.S.; Amr, S.S.; Lage, J.M. Acute placental infection due to Klebsiella pneumoniae: Report of a unique case. Infect. Dis. Obstet. Gynecol. 2005, 13, 49–52. [Google Scholar] [CrossRef][Green Version]
- Omwandho, C.O.; Gruessner, S.E.; Tinneberg, H.R. Early pregnancy loss and neonatal deaths associated with Klebsiella pneumonia infection: A mini review of possible occupational health risk. Arch. Gynecol. Obstet. 2006, 273, 258–260. [Google Scholar] [CrossRef] [PubMed]
- Torabi, R.; Charnova, S.; Abellar, R.G.; Pinar, H.; De Paepe, M.E. Intrauterine infection with Klebsiella pneumoniae: Report of a case and literature review. Pediatr. Dev. Pathol. 2008, 11, 152–155. [Google Scholar] [CrossRef] [PubMed]
- Tchirikov, M.; Schlabritz-Loutsevitch, N.; Maher, J.; Buchmann, J.; Naberezhnev, Y.; Winarno, A.S.; Seliger, G. Mid-trimester preterm premature rupture of membranes (PPROM): Etiology, diagnosis, classification, international recommendations of treatment options and outcome. J. Perinat. Med. 2018, 46, 465–488. [Google Scholar] [CrossRef] [PubMed]
- Archie, J.G.; Collins, J.S.; Lebel, R.R. Quantitative standards for fetal and neonatal autopsy. Am. J. Clin. Pathol. 2006, 126, 256–265. [Google Scholar] [CrossRef] [PubMed]
- Brisse, S.; Passet, V.; Grimont, P.A.D. Description of Klebsiella quasipneumoniae sp. nov.; isolated from human infections, with two subspecies, Klebsiella quasipneumoniae subsp. quasipneumoniae subsp. nov. and Klebsiella quasipneumoniae subsp. similipneumoniae subsp. nov.; and demonstration that Klebsiella singaporensis is a junior heterotypic synonym of Klebsiella variicola. Int. J. Syst. Evol. Microbiol. 2014, 64, 3146–3152. [Google Scholar] [CrossRef]
- Fang, C.T.; Chuang, Y.P.; Shun, C.T.; Chang, S.C.; Wang, J.T. A novel virulence gene in Klebsiella pneumoniae strains causing primary liver abscess and septic metastatic complications. J. Exp. Med. 2004, 199, 697–705. [Google Scholar] [CrossRef]
- Kraus, F.T.; Redline, R.W.; Gersell, D.J.; Nelson, D.M.; Dicke, J.M. Chapter 5 Inflammation and Infection. In Placental Pathology; Armed Forces Institue of Pathology (AFIP): Washington, DC, USA, 2004; pp. 75–86. [Google Scholar]
- Podschun, R.; Ullmann, U. Klebsiella spp. as nosocomial pathogens: Epidemiology, taxonomy, typing methods, and pathogenicity factors. Clin. Microbiol. Rev. 1998, 11, 589–603. [Google Scholar] [CrossRef]
- Martin, R.M.; Bachman, M.A. Colonization, Infection, and the Accessory Genome of Klebsiella pneumoniae. Front. Cell Infect. Microbiol. 2018, 8, 4. [Google Scholar] [CrossRef]
- Magill, S.S.; Edwards, J.R.; Bamberg, W.; Beldavs, Z.G.; Dumyati, G.; Kainer, M.A.; Lynfield, R.; Maloney, M.; McAllister-Hollod, L.; Nadle, J.; et al. Emerging Infections Program Healthcare-Associated Infections and Antimicrobial Use Prevalence Survey Team. Multistate point-prevalence survey of health care-associated infections. N. Engl. J. Med. 2014, 370, 1198–1208. [Google Scholar] [CrossRef]
- Carpenter, J.L. Klebsiella pulmonary infections: Occurrence at one medical center and review. Rev. Infect. Dis. 1990, 12, 672–682. [Google Scholar] [CrossRef]
- Schroll, C.; Barken, K.B.; Krogfelt, K.A.; Struve, C. Role of type 1 and type 3 fimbriae in Klebsiella pneumoniae biofilm formation. BMC Microbiol. 2010, 10, 179. [Google Scholar] [CrossRef] [PubMed]
- Montgomerie, J.Z.; Ota, J.K. Klebsiella bacteremia. Arch. Intern. Med. 1980, 140, 525–527. [Google Scholar] [CrossRef] [PubMed]
- Kang, C.I.; Kim, S.H.; Bang, J.W.; Kim, H.B.; Kim, N.J.; Kim, E.C.; Oh, M.D.; Choe, K.W. Community-acquired versus nosocomial Klebsiella pneumoniae bacteremia: Clinical features, treatment outcomes, and clinical implication of antimicrobial resistance. J. Korean Med. Sci. 2006, 21, 816–822. [Google Scholar] [CrossRef] [PubMed]
- Cisse, C.T.; Mbengue-Diop, R.; Moubarek, M.; Ndiaye, O.; Dotou, C.R.; Boye, C.S.; Kuakuvi, N.K.; Diadhiou, F. Infections bactériennes néonatales au CHU de Dakar [Neonatal bacterial infections at the CUH of Dakar]. Gynecol. Obstet. Fertil. 2001, 29, 433–439. [Google Scholar] [CrossRef]
- Ben-Hamouda, T.; Foulon, T.; Ben-Cheikh-Masmoudi, A.; Fendri, C.; Belhadj, O.; Ben-Mahrez, K. Molecular epidemiology of an outbreak of multiresistant Klebsiella pneumoniae in a Tunisian neonatal ward. J. Med. Microbiol. 2003, 52, 427–433. [Google Scholar] [CrossRef]
- Han, Y.W.; Shen, T.; Chung, P.; Buhimschi, I.A.; Buhimschi, C.S. Uncultivated bacteria as etiologic agents of intra-amniotic inflammation leading to preterm birth. J. Clin. Microbiol. 2009, 47, 38–47. [Google Scholar] [CrossRef]
- Kachikis, A.; Eckert, L.O.; Walker, C.; Bardají, A.; Varricchio, F.; Lipkind, H.S.; Diouf, K.; Huang, W.T.; Mataya, R.; Bittaye, M.; et al. Brighton Collaboration Chorioamnionitis Working Group. Chorioamnionitis: Case definition & guidelines for data collection, analysis, and presentation of immunization safety data. Vaccine 2019, 37, 7610–7622. [Google Scholar] [CrossRef]
- Higgins, R.D.; Saade, G.; Polin, R.A.; Grobman, W.A.; Buhimschi, I.A.; Watterberg, K.; Silver, R.M.; Raju, T.N.; Chorioamnionitis Workshop Participants. Evaluation and Management of Women and Newborns With a Maternal Diagnosis of Chorioamnionitis: Summary of a Workshop. Obstet. Gynecol. 2016, 127, 426–436. [Google Scholar] [CrossRef]
- Peng, C.C.; Chang, J.H.; Lin, H.Y.; Cheng, P.J.; Su, B.H. Intrauterine inflammation, infection, or both (Triple I): A new concept for chorioamnionitis. Pediatr. Neonatol. 2018, 59, 231–237. [Google Scholar] [CrossRef]
- Johnson, C.T.; Farzin, A.; Burd, I. Current management and long-term outcomes following chorioamnionitis. Obstet. Gynecol. Clin. North. Am. 2014, 41, 649–669. [Google Scholar] [CrossRef]





| Antibiotic | MIC µg/mL | Resistance/Susceptibility |
|---|---|---|
| amikacin | <=4 | S |
| amoxicillin/clavulanic acid | <4/4 | S |
| ampicillin | >8 | R |
| aztreonam | <=1 | S |
| cefepime | <=1 | S |
| ceftazidime | <=0.5 | S |
| ceftriaxone | <=0.5 | S |
| ciprofloxacin | <=0.25 | S |
| colistin | 0.5 | S |
| ertapenem | <=0.25 | S |
| fosfomycin | 32 | S |
| gentamicin | <=1 | S |
| imipenem | 0.5 | S |
| levofloxacin | <=0.5 | S |
| meropenem | <=0.125 | S |
| piperacillin/tazobactam | <4/4 | S |
| tobramicyn | <=1 | S |
| trimethoprim/sulfamethoxazole | <=1/19 | S |
Publisher’s Note: MDPI stays neutral with regard to jurisdictional claims in published maps and institutional affiliations. |
© 2021 by the authors. Licensee MDPI, Basel, Switzerland. This article is an open access article distributed under the terms and conditions of the Creative Commons Attribution (CC BY) license (http://creativecommons.org/licenses/by/4.0/).
Share and Cite
Bonasoni, M.P.; Palicelli, A.; Dalla Dea, G.; Comitini, G.; Nardini, P.; Vizzini, L.; Russello, G.; Bardaro, M.; Carretto, E. Klebsiella pneumoniae Chorioamnionitis: An Underrecognized Cause of Preterm Premature Rupture of Membranes in the Second Trimester. Microorganisms 2021, 9, 96. https://doi.org/10.3390/microorganisms9010096
Bonasoni MP, Palicelli A, Dalla Dea G, Comitini G, Nardini P, Vizzini L, Russello G, Bardaro M, Carretto E. Klebsiella pneumoniae Chorioamnionitis: An Underrecognized Cause of Preterm Premature Rupture of Membranes in the Second Trimester. Microorganisms. 2021; 9(1):96. https://doi.org/10.3390/microorganisms9010096
Chicago/Turabian StyleBonasoni, Maria Paola, Andrea Palicelli, Giulia Dalla Dea, Giuseppina Comitini, Paola Nardini, Loredana Vizzini, Giuseppe Russello, Marcellino Bardaro, and Edoardo Carretto. 2021. "Klebsiella pneumoniae Chorioamnionitis: An Underrecognized Cause of Preterm Premature Rupture of Membranes in the Second Trimester" Microorganisms 9, no. 1: 96. https://doi.org/10.3390/microorganisms9010096
APA StyleBonasoni, M. P., Palicelli, A., Dalla Dea, G., Comitini, G., Nardini, P., Vizzini, L., Russello, G., Bardaro, M., & Carretto, E. (2021). Klebsiella pneumoniae Chorioamnionitis: An Underrecognized Cause of Preterm Premature Rupture of Membranes in the Second Trimester. Microorganisms, 9(1), 96. https://doi.org/10.3390/microorganisms9010096

