Production and Bioseparation Applications of Polyhydroxyalkanoate Nano-Granules Functionalized with Streptavidin
Abstract
1. Introduction
2. Material and Methods
2.1. Microorganisms, Plasmids, and Culture Conditions
2.2. Plasmid and Strain Constructions for the Production of PHA Nano-Granules Decorated with Streptavidin (Shorted as PHA-SAP Nano-Granules)
2.3. Production and Purification of PHA-SAP Nano-Granules
2.4. Characterization of PHA-SAP Nano-Granules
2.4.1. Microscopic Observation of PHA Nano-Granules
2.4.2. Determination of PHA Content by Gas Chromatography
2.5. Identification of Streptavidin-PhaP Fusion Protein on the Surface of PHA-SAP Nano-Granules
2.5.1. SDS-PAGE Analysis of Purified PHA-SAP Nano-Granules
2.5.2. The Concentration of Total Proteins on the Surface of PHA Beads Was Determined by Bradford Analysis
2.5.3. Qualitative Characterization of Biotin Binding Ability of PHA-SAP Nano-Granules via Western Blot
2.5.4. Quantitative Characterization of Biotin Binding Ability of PHA-SAP Nano-Granules
2.6. Functionalization of PHA-SAP Nano-Granules with Oligo(dT) for mRNA Isolation
2.6.1. Modification of PHA-SAP Nano-Granules with Oligo(dT)
2.6.2. mRNA Isolation by PHA-SAP-oligo(dT) Nano-Granules
2.6.3. Real-Time Quantitative PCR
2.7. Preparation of the Magnetic PHA Nano-Granules for the Fast Recovery
3. Results
3.1. Construction and Verification of the Producer of PHA-SAP Nano-Granules
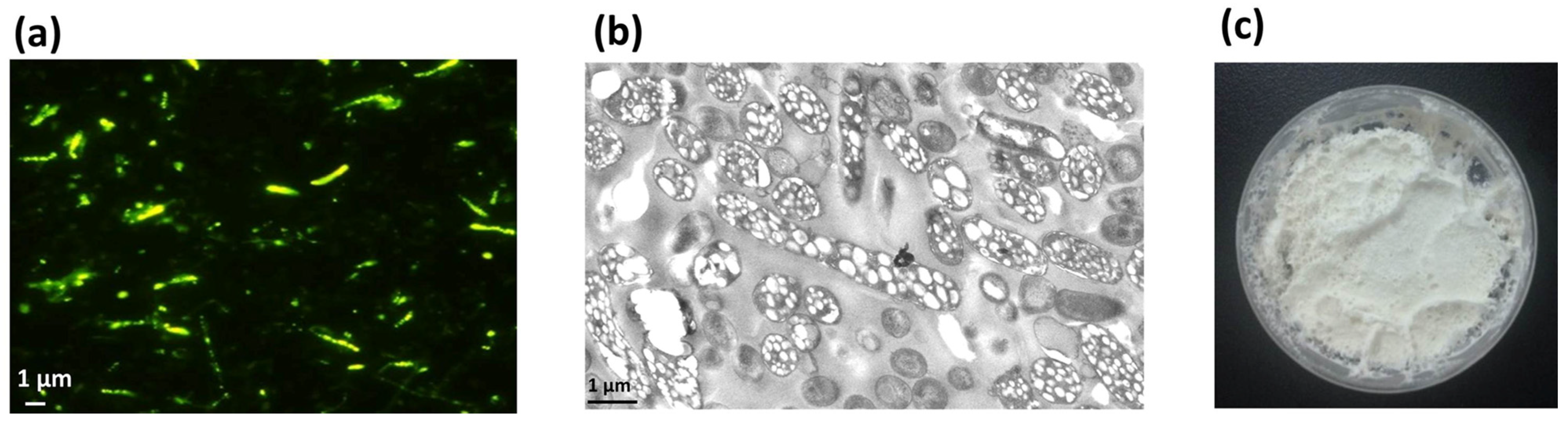
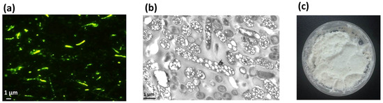
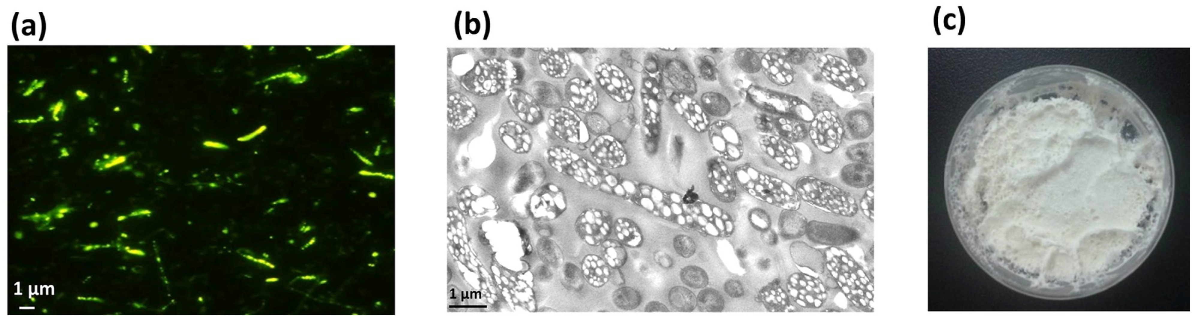
3.2. Production and Characterization of PHA-SAP Nano-Granules
3.3. Qualitative and Quantitative Characterization of Streptavidin-PhaP Fusion Protein on the Surface of PHA-SAP Nano-Granules
3.4. Functionalization of PHA-SAP Nano-Granules with Oligo(dT) for mRNA Isolation
3.5. Preparation of the Magnetic PHA Nano-Granules for the Fast Recovery
4. Discussion
Author Contributions
Funding
Institutional Review Board Statement
Informed Consent Statement
Data Availability Statement
Acknowledgments
Conflicts of Interest
References
- Zydney, A.L. Continuous downstream processing for high value biological products: A Review. Biotechnol. Bioeng. 2016, 113, 465–475. [Google Scholar] [CrossRef] [PubMed]
- Orr, V.; Zhong, L.; Moo-Young, M.; Chou, C.P. Recent advances in bioprocessing application of membrane chromatography. Biotechnol. Adv. 2013, 31, 450–465. [Google Scholar] [CrossRef] [PubMed]
- Borlido, L.; Azevedo, A.M.; Roque, A.C.; Aires-Barros, M.R. Magnetic separations in biotechnology. Biotechnol. Adv. 2013, 31, 1374–1385. [Google Scholar] [CrossRef]
- Xu, J.K.; Zhang, F.F.; Sun, J.J.; Sheng, J.; Wang, F.; Sun, M. Bio and nanomaterials based on Fe3O4. Molecules 2014, 19, 21506–21528. [Google Scholar] [CrossRef] [PubMed]
- Chaiet, L.; Wolf, F.J. The Properties of Streptavidin, a Biotin-Binding Protein Produced by Streptomycetes. Arch. Biochem. Biophys. 1964, 106, 1–5. [Google Scholar] [CrossRef]
- Dundas, C.M.; Demonte, D.; Park, S. Streptavidin-biotin technology: Improvements and innovations in chemical and biological applications. Appl. Microbiol. Biotechnol. 2013, 97, 9343–9353. [Google Scholar] [CrossRef]
- Tanaka, K.; Yokoi, S.; Morimoto, K.; Iwata, T.; Nakamoto, Y.; Nakayama, K.; Koyama, K.; Fujiwara, T.; Fukase, K. Cell surface biotinylation by azaelectrocyclization: Easy-handling and versatile approach for living cell labeling. Bioorg. Med. Chem. 2012, 20, 1865–1868. [Google Scholar] [CrossRef]
- Peters, V.; Rehm, B.H. Protein engineering of streptavidin for in vivo assembly of streptavidin beads. J. Biotechnol. 2008, 134, 266–274. [Google Scholar] [CrossRef]
- Hooks, D.O.; Venning-Slater, M.; Du, J.; Rehm, B.H.A. Polyhydroyxalkanoate synthase fusions as a strategy for oriented enzyme immobilisation. Molecules 2014, 19, 8629–8643. [Google Scholar] [CrossRef]
- Draper, J.L.; Rehm, B.H. Engineering bacteria to manufacture functionalized polyester beads. Bioengineered 2012, 3, 203–208. [Google Scholar] [CrossRef]
- Tan, D.; Wang, Y.; Tong, Y.; Chen, G.Q. Grand Challenges for Industrializing Polyhydroxyalkanoates (PHAs). Trends Biotechnol. 2021, 39, 953–963. [Google Scholar] [CrossRef] [PubMed]
- Lopez, N.I.; Pettinari, M.J.; Nikel, P.I.; Mendez, B.S. Polyhydroxyalkanoates: Much More than Biodegradable Plastics. Adv. Appl. Microbiol. 2015, 93, 73–106. [Google Scholar] [PubMed]
- Dinjaski, N.; Prieto, M.A. Smart polyhydroxyalkanoate nanobeads by protein based functionalization. Nanomedicine 2015, 11, 885–899. [Google Scholar] [CrossRef] [PubMed]
- Rehm, F.B.; Chen, S.; Rehm, B.H. Enzyme Engineering for In Situ Immobilization. Molecules 2016, 21, 1370. [Google Scholar] [CrossRef]
- Soda, N.; Gonzaga, Z.J.; Chen, S.; Koo, K.M.; Nguyen, N.T.; Shiddiky, M.J.A.; Rehm, B.H.A. Bioengineered Polymer Nanobeads for Isolation and Electrochemical Detection of Cancer Biomarkers. ACS Appl. Mater. Interfaces 2021, 13, 31418–31430. [Google Scholar] [CrossRef]
- Wibowo, D.; Jorritsma, S.H.T.; Gonzaga, Z.J.; Evert, B.; Chen, S.; Rehm, B.H.A. Polymeric nanoparticle vaccines to combat emerging and pandemic threats. Biomaterials 2021, 268, 120597. [Google Scholar] [CrossRef]
- Ran, G.; Tan, D.; Dai, W.; Zhu, X.; Zhao, J.; Ma, Q.; Lu, X. Immobilization of alkaline polygalacturonate lyase from Bacillus subtilis on the surface of bacterial polyhydroxyalkanoate nano-granules. Appl. Microbiol. Biotechnol. 2017, 101, 3247–3258. [Google Scholar] [CrossRef]
- Wu, S.C.; Wong, S.L. Engineering soluble monomeric streptavidin with reversible biotin binding capability. J. Biol. Chem. 2005, 280, 23225–23231. [Google Scholar] [CrossRef]
- Zhao, J.; Ran, G.; Xu, M.; Lu, X.; Tan, D. Cost-Effective Production of L-DOPA by Tyrosinase-Immobilized Polyhydroxyalkanoate Nanogranules in Engineered Halomonas bluephagenesis TD01. Molecules 2021, 26, 3778. [Google Scholar] [CrossRef]
- Peters, V.; Rehm, B.H. In vivo enzyme immobilization by use of engineered polyhydroxyalkanoate synthase. Appl. Environ. Microbiol. 2006, 72, 1777–1783. [Google Scholar] [CrossRef]
- Tan, D.; Zhao, J.P.; Ran, G.Q.; Zhu, X.L.; Ding, Y.; Lu, X.Y. Highly efficient biocatalytic synthesis of L-DOPA using in situ immobilized Verrucomicrobium spinosum tyrosinase on polyhydroxyalkanoate nano-granules. Appl. Microbiol. Biotechnol. 2019, 103, 5663–5678. [Google Scholar] [CrossRef] [PubMed]
- Tan, D.; Xue, Y.S.; Aibaidula, G.; Chen, G.Q. Unsterile and continuous production of polyhydroxybutyrate by Halomonas TD01. Bioresour. Technol. 2011, 102, 8130–8136. [Google Scholar] [CrossRef] [PubMed]
- Du, J.; Rehm, B.H.A. Purification of therapeutic proteins mediated by in vivo polyester immobilized sortase. Biotechnol. Lett. 2018, 40, 369–373. [Google Scholar] [CrossRef] [PubMed]
- Bradford, E.A.M. Note on technique for microbiological assay of vitamins by methods involving mould growth. Analyst 1946, 71, 228–229. [Google Scholar]
- Shang, S.; Wang, L.; Zhang, Y.; Lu, H.; Lu, X. The Beta-Hydroxybutyrate Suppresses the Migration of Glioma Cells by Inhibition of NLRP3 Inflammasome. Cell. Mol. Neurobiol. 2018, 38, 1479–1489. [Google Scholar] [CrossRef]
- Adams, J.C. Stabilizing and rapid thionin staining of TMB-based HRP reaction product. Neurosci. Lett. 1980, 17, 7–9. [Google Scholar] [CrossRef]
- Tan, B.; Shen, L.; Yang, K.; Huang, D.; Li, X.; Li, Y.; Zhao, L.; Chen, J.; Yi, Q.; Xu, H.; et al. C6 glioma-conditioned medium induces malignant transformation of mesenchymal stem cells: Possible role of S100B/RAGE pathway. Biochem. Biophys. Res. Commun. 2018, 495, 78–85. [Google Scholar] [CrossRef]
- Schmittgen, T.D.; Livak, K.J. Analyzing real-time PCR data by the comparative C(T) method. Nat. Protoc. 2008, 3, 1101–1108. [Google Scholar] [CrossRef]
- Kim, Y.J.; Choi, S.Y.; Kim, J.; Jin, K.S.; Lee, S.Y.; Kim, K.J. Structure and function of the N-terminal domain of Ralstonia eutropha polyhydroxyalkanoate synthase, and the proposed structure and mechanisms of the whole enzyme. Biotechnol. J. 2017, 12, 1600649. [Google Scholar] [CrossRef]
- Jakobsen, K.S.; Breivold, E.; Hornes, E. Purification of mRNA directly from crude plant tissues in 15 minutes using magnetic oligo dT microspheres. Nucleic Acids Res. 1990, 18, 3669. [Google Scholar] [CrossRef]
- Easton, L.E.; Shibata, Y.; Lukavsky, P.J. Rapid, nondenaturing RNA purification using weak anion-exchange fast performance liquid chromatography. RNA 2010, 16, 647–653. [Google Scholar] [CrossRef] [PubMed]
- Hornes, E.; Korsnes, L. Magnetic DNA Hybridization Properties of Oligonucleotide Probes Attached to Superparamagnetic Beads and Their Use in the Isolation of Poly(A) mRNA From Eukaryotic Cells. Genet. Anal. Tech. Appl. 1990, 7, 145–150. [Google Scholar] [CrossRef] [PubMed]
- Liu, S.; Yu, B.; Wang, S.; Shen, Y.; Cong, H. Preparation, surface functionalization and application of Fe3O4 magnetic nanoparticles. Adv. Colloid Interface Sci. 2020, 281, 102165. [Google Scholar] [CrossRef] [PubMed]
- Lan, L.H.; Zhao, H.; Chen, J.C.; Chen, G.Q. Engineering Halomonas spp. as A Low-Cost Production Host for Production of Bio-surfactant Protein PhaP. Biotechnol. J. 2016, 11, 1595–1604. [Google Scholar] [CrossRef]
- Wu, S.C.; Wong, S.L. Intracellular production of a soluble and functional monomeric streptavidin in Escherichia coli and its application for affinity purification of biotinylated proteins. Protein Expr. Purif. 2006, 46, 268–273. [Google Scholar] [CrossRef]
- Zhang, Z.; Zhu, H.; Tang, Y.; Cui, T.; Geng, T.; Chen, C.; Cui, Y. Preparation and application of streptavidin magnetic particles. Sci. China Ser. B Chem. 2007, 50, 127–134. [Google Scholar] [CrossRef]
- Kandasamy, G.; Sudame, A.; Luthra, T.; Saini, K.; Maity, D. Functionalized Hydrophilic Superparamagnetic Iron Oxide Nanoparticles for Magnetic Fluid Hyperthermia Application in Liver Cancer Treatment. ACS Omega 2018, 3, 3991–4005. [Google Scholar] [CrossRef]
- Dodi, G.; Hritcu, D.; Draganescu, D.; Popa, M.I. Iron oxide nanoparticles for magnetically assisted patterned coatings. J. Magn. Magn. Mater. 2015, 388, 49–58. [Google Scholar] [CrossRef]
- Han, J.S.; An, G.S.; Park, B.G.; Choi, S.-C. The Influence of Functionalization of the Fe3O4 Nanoparticle on its Dispersion Property. J. Korean Ceram. Soc 2018, 55, 80–84. [Google Scholar] [CrossRef]
- Ashour, R.M.; El-sayed, R.; Abdel-Magied, A.F.; Abdel-khalek, A.A.; Ali, M.M.; Forsberg, K.; Uheida, A.; Muhammed, M.; Dutta, J. Selective separation of rare earth ions from aqueous solution using functionalized magnetite nanoparticles: Kinetic and thermodynamic studies. Chem. Eng. J. 2017, 327, 286–296. [Google Scholar] [CrossRef]
- Ta, T.K.H.; Trinh, M.-T.; Long, N.V.; Nguyen, T.T.M.; Nguyen, T.L.T.; Thuoc, T.L.; Phan, B.T.; Mott, D.; Maenosono, S.; Tran-Van, H.; et al. Synthesis and surface functionalization of Fe3O4-SiO2 core-shell nanoparticles with 3-glycidoxypropyltrimethoxysilane and 1,1′-carbonyldiimidazole for bio-applications. Colloids Surf. A Physicochem. Eng. Asp. 2016, 504, 376–383. [Google Scholar] [CrossRef]
- Wong, J.X.; Ogura, K.; Chen, S.; Rehm, B.H.A. Bioengineered Polyhydroxyalkanoates as Immobilized Enzyme Scaffolds for Industrial Applications. Front. Bioeng. Biotechnol. 2020, 8, 156. [Google Scholar] [CrossRef] [PubMed]
- Lewis, J.G.; Rehm, B.H. ZZ polyester beads: An efficient and simple method for purifying IgG from mouse hybridoma supernatants. J. Immunol. Methods 2009, 346, 71–74. [Google Scholar] [CrossRef] [PubMed]
- Ran, G.; Tan, D.; Zhao, J.; Fan, F.; Zhang, Q.; Wu, X.; Fan, P.; Fang, X.; Lu, X. Functionalized polyhydroxyalkanoate nano-beads as a stable biocatalyst for cost-effective production of the rare sugar d-allulose. Bioresour. Technol. 2019, 289, 121673. [Google Scholar] [CrossRef]
- Petersen, R.L. Strategies Using Bio-Layer Interferometry Biosensor Technology for Vaccine Research and Development. Biosensors 2017, 7, 49. [Google Scholar] [CrossRef]
- Kohlberger, M.; Gadermaier, G. SELEX: Critical factors and optimization strategies for successful aptamer selection. Biotechnol Appl. Biochem. 2022, 69, 1771–1792. [Google Scholar] [CrossRef]







| Name | Descriptions | Source |
|---|---|---|
| Strains | ||
| Escherichia coli DH5α | F-φ-5dlacZΔlac Δ(lacZYA-argF)U169 deoR recA1 endA1 hsdR17(Rk+, mK+) phoA supE44 λ-thi-1 gyr96 relA1 | Takara, Beijing, China |
| Escherichia coli BL21(DE3) | F-ompT hsdSB(rB-, mB-)gal dcm (DE3) | Novagen, Madison, WI, USA |
| Plasmids | ||
| pET28a | Kanr, efficient expression vector with T7 promoter | Invitrogen, Carlsbad, CA, USA |
| pET28a-SAP | Kanr, expression vector for streptavidin-PhaP fusion protein under T7 promoter | This study |
| pCDF-ABC | Smr, plasmid for the production of PHA nano-granules, containing the PHA synthetic gene cluster phaABC from Ralstonia eutropha under the control of T7 promoter | [17] |
| Primers | ||
| SA-F | CATGCCATGGGCATGACCACCGTGAGCATTACC | This study |
| SA-R | AGCTCTTGATCACGTCCATATTGCTACCACCTGAACCACCAC | This study |
| PhaP-F | GTGGTGGTTCAGGTGGTAGCAATATGGACGTGATCAAGAGCT | This study |
| PhaP-R | ATCGCTCGAGTCAGGCCTTGCCCGTGCTCT | This study |
| Type | Components | Concentration (g/L) |
|---|---|---|
| Substrate | glucose | 20 |
| yeast extract | 1 | |
| Component I (50×) | Na2HPO4·H2O | 482.5 |
| KH2PO4 | 75 | |
| Component II (50×) | (NH4)2SO4 | 100 |
| MgSO4·7H2O | 20 | |
| Component III (100×) Prepare with 1 mol/L HCl | Fe(III)-NH4-Citrate | 5 |
| CaCl2·2H2O | 2 | |
| ZnSO4·7H2O | 0.1 | |
| MnCl2·4H2O | 0.03 | |
| H3BO3 | 0.3 | |
| Component IV (1000×) Prepare with 1 mol/L HCl | CoCl2·6H2O | 0.2 |
| CuSO4·5H2O | 0.01 | |
| NiCl2·6H2O | 0.02 | |
| NaMoO4·2H2O | 0.03 |
| Concentration (ng/μL) | OD260/OD280 | Amount of RNA (μg) | Percentage of the Total RNA | |
|---|---|---|---|---|
| Total RNA | 1938.07 ± 19.42 | 1.89 ± 0.06 | 48.45 ± 0.49 | 100% |
| Supernatant 0 | 1241.60 ± 11.57 | 1.88 ± 0.02 | 31.04 ± 0.29 | 64.06% |
| Supernatant 1 | 109.43 ± 6.01 | 1.90 ± 0.07 | 2.74 ± 0.15 | 5.65% |
| Supernatant 3 | 2.70 ± 0.47 | 1.95 ± 0.01 | 0.07 ± 0.01 | 0.14% |
| Purified mRNA | 50.25 ± 6.29 | 1.92 ± 0.05 | 1.26 ± 0.16 | 2.59% |
| Amount of PHA by GC Analysis (mg) | Percentage | |
|---|---|---|
| 50 mL cell lysates | 61.49 ± 0.91 | 100% |
| Magnetic PHA nano-granules | 28.12 ± 2.23 | 45.73% |
| Supernatant collections | 32.55 ± 1.41 | 52.93% |
Disclaimer/Publisher’s Note: The statements, opinions and data contained in all publications are solely those of the individual author(s) and contributor(s) and not of MDPI and/or the editor(s). MDPI and/or the editor(s) disclaim responsibility for any injury to people or property resulting from any ideas, methods, instructions or products referred to in the content. |
© 2025 by the authors. Licensee MDPI, Basel, Switzerland. This article is an open access article distributed under the terms and conditions of the Creative Commons Attribution (CC BY) license (https://creativecommons.org/licenses/by/4.0/).
Share and Cite
Zhang, Y.; Zhao, J.; Guo, H.; Lu, X.; Tan, D. Production and Bioseparation Applications of Polyhydroxyalkanoate Nano-Granules Functionalized with Streptavidin. Microorganisms 2025, 13, 312. https://doi.org/10.3390/microorganisms13020312
Zhang Y, Zhao J, Guo H, Lu X, Tan D. Production and Bioseparation Applications of Polyhydroxyalkanoate Nano-Granules Functionalized with Streptavidin. Microorganisms. 2025; 13(2):312. https://doi.org/10.3390/microorganisms13020312
Chicago/Turabian StyleZhang, Yuyan, Jiping Zhao, Hui Guo, Xiaoyun Lu, and Dan Tan. 2025. "Production and Bioseparation Applications of Polyhydroxyalkanoate Nano-Granules Functionalized with Streptavidin" Microorganisms 13, no. 2: 312. https://doi.org/10.3390/microorganisms13020312
APA StyleZhang, Y., Zhao, J., Guo, H., Lu, X., & Tan, D. (2025). Production and Bioseparation Applications of Polyhydroxyalkanoate Nano-Granules Functionalized with Streptavidin. Microorganisms, 13(2), 312. https://doi.org/10.3390/microorganisms13020312

