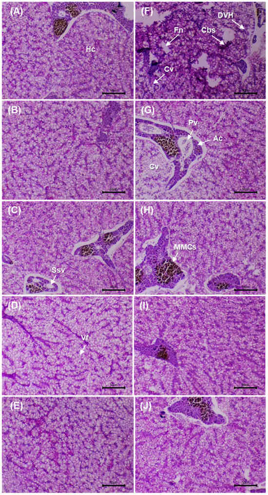
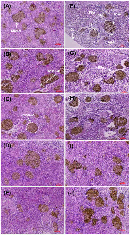
Protective Role of Morus alba Extract Against Vibrio cholerae: Impacts on Growth, Biochemical and Enzymatic Responses, Haematoimmunology, and Tissue Histopathology in Dormitator latifrons
Abstract
Share and Cite
Méndez-Martínez, Y.; Varas-Macias, C.; Zambrano-Mamonte, L.; Rengifo-Olvera, L.; Buri-Miño, S.; Gavilanes-Armijos, W.; Hernandez-Marin, P.; Segovia-Montesdeoca, V.; Cedeño-Blacio, H. Protective Role of Morus alba Extract Against Vibrio cholerae: Impacts on Growth, Biochemical and Enzymatic Responses, Haematoimmunology, and Tissue Histopathology in Dormitator latifrons. Microorganisms 2025, 13, 2784. https://doi.org/10.3390/microorganisms13122784
Méndez-Martínez Y, Varas-Macias C, Zambrano-Mamonte L, Rengifo-Olvera L, Buri-Miño S, Gavilanes-Armijos W, Hernandez-Marin P, Segovia-Montesdeoca V, Cedeño-Blacio H. Protective Role of Morus alba Extract Against Vibrio cholerae: Impacts on Growth, Biochemical and Enzymatic Responses, Haematoimmunology, and Tissue Histopathology in Dormitator latifrons. Microorganisms. 2025; 13(12):2784. https://doi.org/10.3390/microorganisms13122784
Chicago/Turabian StyleMéndez-Martínez, Yuniel, Cesar Varas-Macias, Liceth Zambrano-Mamonte, Lizly Rengifo-Olvera, Saul Buri-Miño, William Gavilanes-Armijos, Paulette Hernandez-Marin, Veronica Segovia-Montesdeoca, and Hector Cedeño-Blacio. 2025. "Protective Role of Morus alba Extract Against Vibrio cholerae: Impacts on Growth, Biochemical and Enzymatic Responses, Haematoimmunology, and Tissue Histopathology in Dormitator latifrons" Microorganisms 13, no. 12: 2784. https://doi.org/10.3390/microorganisms13122784
APA StyleMéndez-Martínez, Y., Varas-Macias, C., Zambrano-Mamonte, L., Rengifo-Olvera, L., Buri-Miño, S., Gavilanes-Armijos, W., Hernandez-Marin, P., Segovia-Montesdeoca, V., & Cedeño-Blacio, H. (2025). Protective Role of Morus alba Extract Against Vibrio cholerae: Impacts on Growth, Biochemical and Enzymatic Responses, Haematoimmunology, and Tissue Histopathology in Dormitator latifrons. Microorganisms, 13(12), 2784. https://doi.org/10.3390/microorganisms13122784

