Empyema Necessitatis Caused by Prevotella melaninogenica and Dialister pneumosintes Resolved with Vacuum-Assisted Closure System: A Case Report
Abstract
1. Introduction
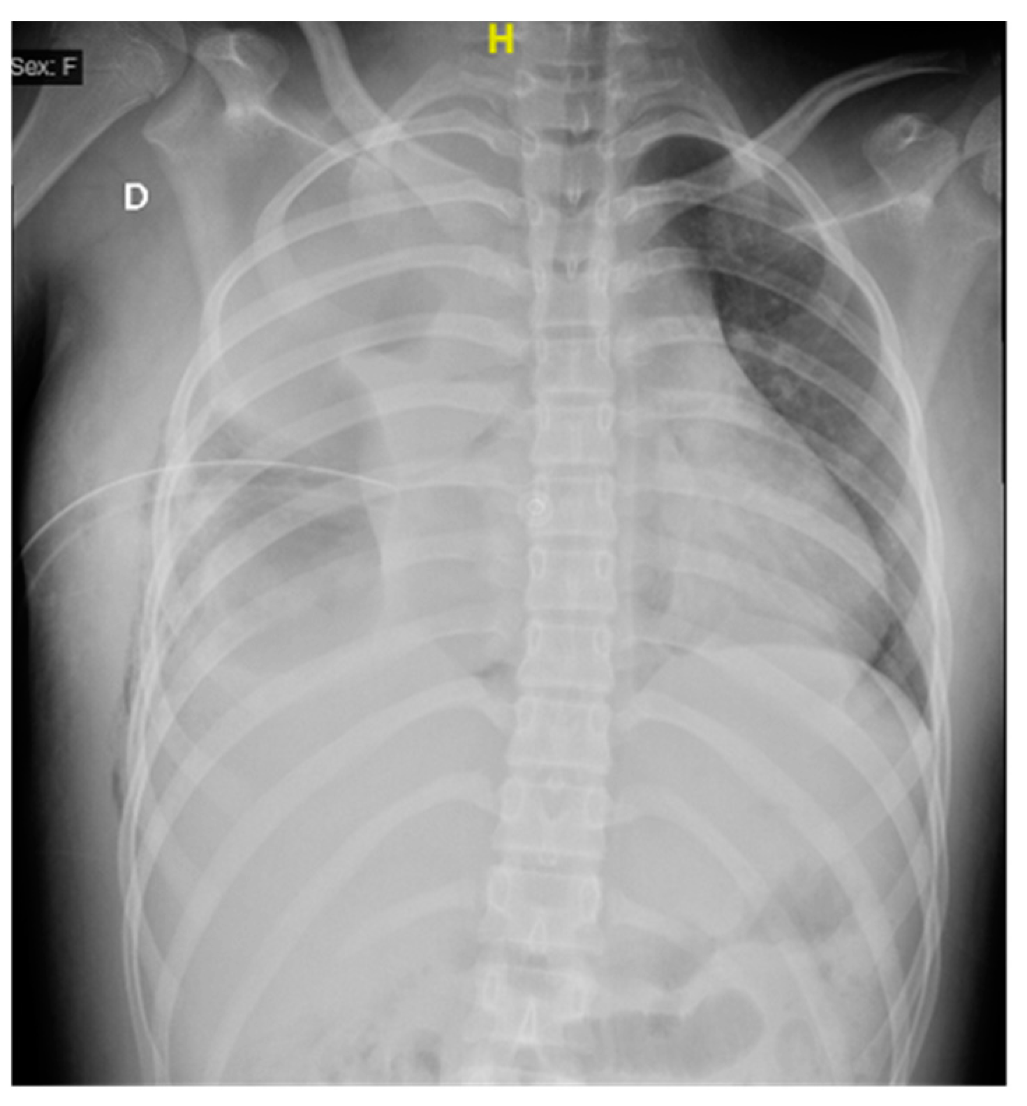
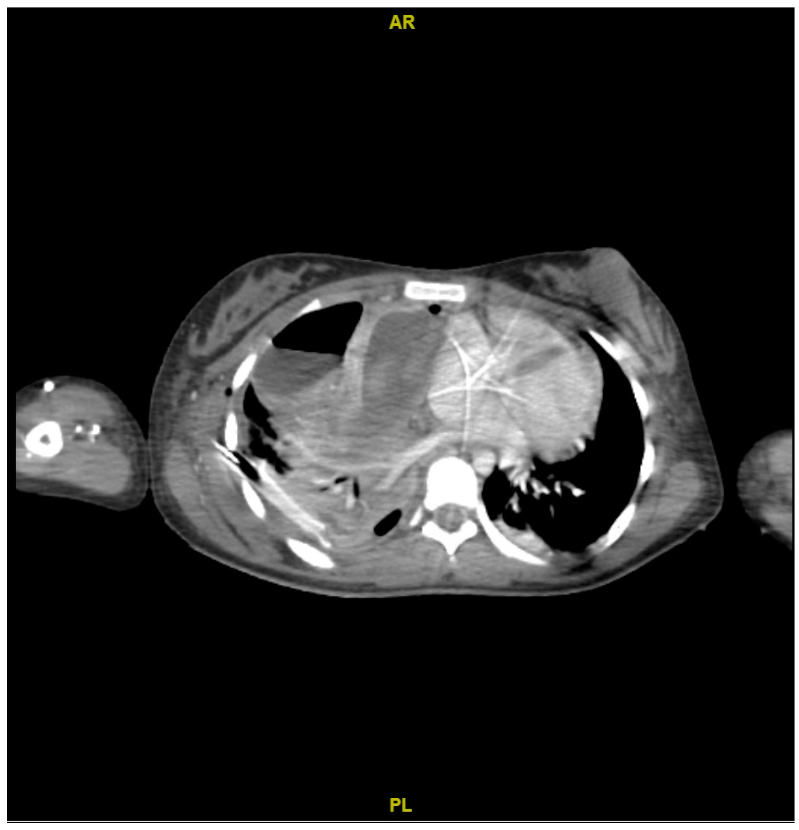
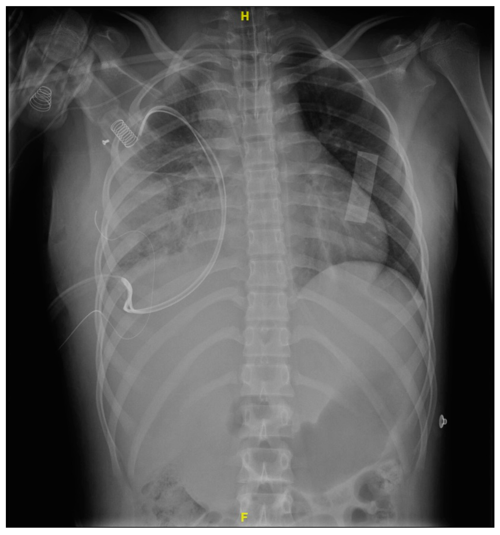
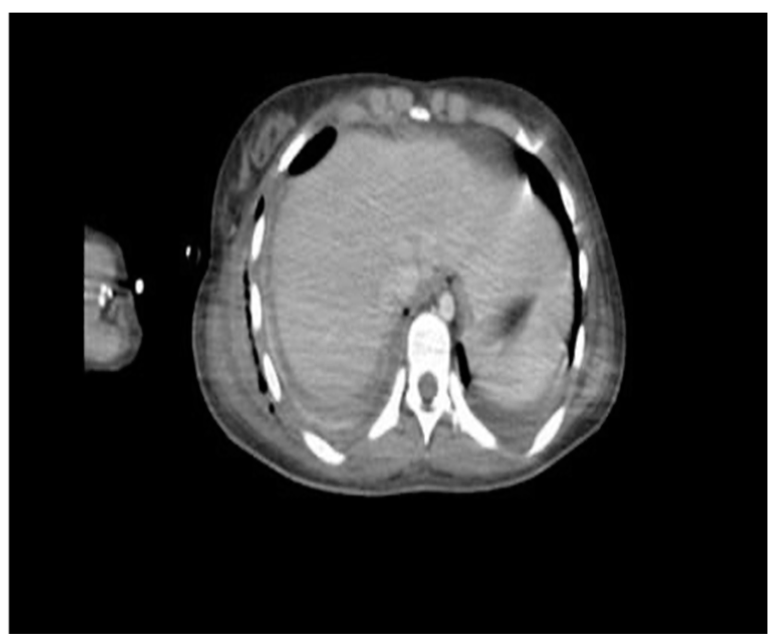
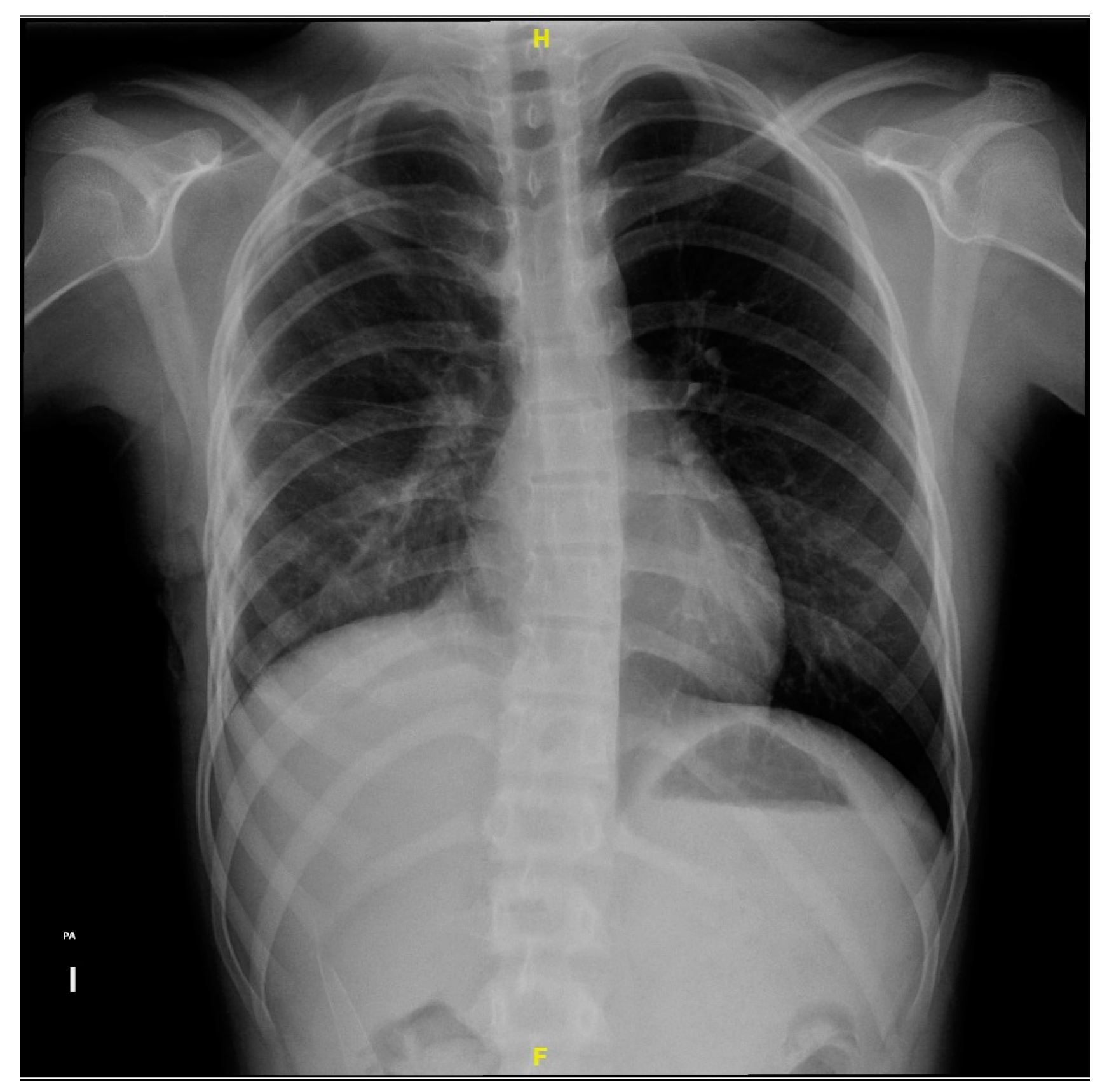
2. Case Presentation
3. Discussion
4. Conclusions
Author Contributions
Funding
Data Availability Statement
Conflicts of Interest
References
- Díaz, V.; Vernaza, V.; Donato, M.A.; Vincensini, A.R.; Dutari, J.E.; Caparó, E. Empiema necessitatis: Una complicación poco frecuente de una neumonía. Reporte de un caso. Pediatr. Panamá 2018, 47, 32–38. Available online: https://docs.bvsalud.org/biblioref/2018/06/885144/10.pdf (accessed on 9 June 2024).
- Contreras, G.A.; Pérez, N.; Murphy, J.R.; Cleary, T.G.; Heresi, G.P. Empyema necessitans and acute osteomyelitis associated with community acquired methicillin resistant Staphylococcus aureus in an infant. Biomedica 2009, 29, 506–512. [Google Scholar] [PubMed]
- Pedraza-Hervert, C.; Alamilla-Sánchez, M.; Hermida-Escobedo, C.E.; Nolasco-de la Rosa, A.L. Empiema necessitatis por Staphylococcus aureus. Neumol. Cir. Torax 2014, 73, 85–88. Available online: https://www.scielo.org.mx/scielo.php?script=sci_arttext&pid=S0028-37462014000300005 (accessed on 9 June 2024).
- Baquero Marín, P.J.; Agudelo, B.I.; Giraldo Mejía, Á.M.; Barrera Ramírez, L.; Vinasco, L.G. Empiema necessitatis por Mycobacterium tuberculosis en Pediatría: Reporte de caso. Rev. Patol. Respir. 2022, 25, 57–59. Available online: https://hp.dev3.link/descargas/PR_25-2_57-59.pdf (accessed on 9 June 2024). [CrossRef]
- Amado, S.; Gómez, J.S.; Bogotá, D.C. Empyema necessitatis. Acta Med. Colomb. 2013, 38, 28–31. Available online: http://www.scielo.org.co/scielo.php?script=sci_arttext&pid=S0120-24482013000100008 (accessed on 9 June 2024). [CrossRef]
- Alvarado-Arce, E.M.; Arce-Cordero, G.; Santana-Segura, J. Empyema necessitatis: Complicación muy poco frecuente de las infecciones pleurales. Rev. Med. Universid Costa Rica 2018, 12, 51–62. Available online: https://revistas.ucr.ac.cr/index.php/medica/article/view/36299/36908 (accessed on 9 June 2024).
- Elyashiv, D.; Alpert, E.A.; Nadav-Granat, A. Empyema Necessitans Diagnosed by Point-of-Care Ultrasound. J. Emerg. Med. 2020, 59, e221–e223. [Google Scholar] [CrossRef]
- Rendón, M.A.; Giraldo, J.A. Empiema Necessitatis: Reporte de un caso. Med. UPB 2020, 39, 71–74. [Google Scholar] [CrossRef]
- Könonen, E.; Gursoy, U.K. Oral Prevotella Species and Their Connection to Events of Clinical Relevance in Gastrointestinal and Respiratory Tracts. Front. Microbiol. 2022, 12, 798763. [Google Scholar] [CrossRef]
- White-Dzuro, C.G.; Patrick, E.; Thomas, H.C.; Thayer, W.P. Unusual presentation of empyema necessitans: Case report and review of the literature. Gen. Thorac. Cardiovasc. Surg. 2021, 69, 1026–1030. [Google Scholar] [CrossRef]
- Nazario-Dolz, A.M.; Rodríguez-Fernández, Z.; Toledo, C.L.; Miyares-Roca, M.V.; Nazario-Garbey, A. Empyema necessitatis. Rev. Cuban Ciru. 2021, 60, 1–12. [Google Scholar]
- Santalla-Valle, E.A.; García, S.; Cartón, M.B. Empiema necessitatis tras traumatismo torácico, Sección de Neumología, Complejo Asistencial Universitario de León. Arch. Bronconeumol. 2014, 50, 80–84. [Google Scholar] [CrossRef]
- Homsi, N.; Kapila, R. Aggregatibacter actinomycetemcomitans Causing Empyema Necessitans and Pyomyositis in an Immunocompetent Patient. Cureus 2020, 12, e9454. [Google Scholar] [CrossRef]
- Pugh, C.P. Empyema Necessitans a Rare Complication of Methicillin-Resistant Staphylococcus Aureus Empyema in A Child. Pediatr. Infect. Dis. J. 2020, 39, 256–257. [Google Scholar] [CrossRef] [PubMed]
- Ahmed, S.I.; Gripaldo, R.E.; Alao, O.A. Empyema Necessitans in the Setting of Pneumonia and Parapneumonic Effusion. Am. J. Med. Sci. 2007, 333, 106–108. [Google Scholar] [CrossRef] [PubMed]
- Tanaka, A.; Kogamia, M.; Nagatomoa, Y.; Takedaa, Y.; Kanzawac, H.; Kawaguchic, Y.; Onoc, S.; Furukawac, K.; Nakamuraa, H.; Aoshibaa, K. Subcutaneous abscess due to empyema necessitans caused by Porphyromonas gingivalis in a patient with periodontitis. IDCases 2022, 27, e01458. [Google Scholar] [CrossRef] [PubMed]
- García-Luna, A.; Nez-Esquivel, V.H.; Magaña Reyes, J.; Domínguez-Carrillo, L.G. Empiema necessitatis. Acta Médica Grupo Ángeles 2016, 14, 181. Available online: https://www.scielo.org.mx/scielo.php?script=sci_arttext&pid=S1870-72032016000300181 (accessed on 9 June 2024).
- Aljehani, Y.; Al-Matar, Z.; Nawar, S. The Application of Vacuum-Assisted Closure Device in the Management of Empyema Necessitans. Case Rep. Surg. 2016, 2016, 1–4. [Google Scholar] [CrossRef]
- Kaiser, M.; Weis, M.; Kehr, K.; Varnholt, V.; Schroten, H.; Tenenbaum, T. Severe Pneumonia and Sepsis Caused by Dialister pneumosintes in an Adolescent. Pathogens 2021, 10, 733. [Google Scholar] [CrossRef]
- Mannan, S.; Ahmad, T.; Naeem, A.; Patel, V. A Case of Dialister pneumosintes Bacteremia-Associated Neck and Mediastinal Abscess. Am. J. Case Rep. 2021, 22, e930559-1–e930559-5. [Google Scholar] [CrossRef]
- Munguía-Canales, D.A.; Vargas-Mendoza, G.K.; Álvarez-Bestoff, G.; Calderón-Abbo, M.C. Management of Pleural Empyema with a Vacuum-Assisted Closure Device and Reconstruction of Open Thoracic Window in a Patient with Liver Cirrhosis. Arch. Bronconeumol. 2013, 49, 447–449. [Google Scholar] [CrossRef] [PubMed]
- Begum, S.S.; Papagiannopoulos, K. The use of vacuum-assisted wound closure therapy in thoracic operations. Ann. Thorac. Surg. 2012, 94, 1835–1839. [Google Scholar] [CrossRef] [PubMed]
- Sziklavari, Z.; Grosser, C.; Neu, R.; Schemm, R.; Szöke, T.; Ried, M.; Hofmann, H.S. Minimally invasive vacuum-assisted closure therapy in the management of complex pleural empyema. Interact. Cardiovasc. Thorac. Surg. 2013, 17, 49–53. [Google Scholar] [CrossRef] [PubMed][Green Version]






Disclaimer/Publisher’s Note: The statements, opinions and data contained in all publications are solely those of the individual author(s) and contributor(s) and not of MDPI and/or the editor(s). MDPI and/or the editor(s) disclaim responsibility for any injury to people or property resulting from any ideas, methods, instructions or products referred to in the content. |
© 2024 by the authors. Licensee MDPI, Basel, Switzerland. This article is an open access article distributed under the terms and conditions of the Creative Commons Attribution (CC BY) license (https://creativecommons.org/licenses/by/4.0/).
Share and Cite
Martínez Castrejón, E.B.; Reina-Bautista, E.; Ventura-Gómez, S.T.; Maldonado Cisneros, A.; Juárez Ramos, J.A.; Durán, M.A.S.; Aguilar Ventura, J.; Valencia-Ledezma, O.E.; Frías-De-León, M.G.; García Salazar, E.; et al. Empyema Necessitatis Caused by Prevotella melaninogenica and Dialister pneumosintes Resolved with Vacuum-Assisted Closure System: A Case Report. Microorganisms 2024, 12, 1881. https://doi.org/10.3390/microorganisms12091881
Martínez Castrejón EB, Reina-Bautista E, Ventura-Gómez ST, Maldonado Cisneros A, Juárez Ramos JA, Durán MAS, Aguilar Ventura J, Valencia-Ledezma OE, Frías-De-León MG, García Salazar E, et al. Empyema Necessitatis Caused by Prevotella melaninogenica and Dialister pneumosintes Resolved with Vacuum-Assisted Closure System: A Case Report. Microorganisms. 2024; 12(9):1881. https://doi.org/10.3390/microorganisms12091881
Chicago/Turabian StyleMartínez Castrejón, Esteban Bladimir, Erika Reina-Bautista, Sandra Tania Ventura-Gómez, Araceli Maldonado Cisneros, Jessica Alejandra Juárez Ramos, Miguel Alejandro Sánchez Durán, Jesús Aguilar Ventura, Omar Esteban Valencia-Ledezma, María Guadalupe Frías-De-León, Eduardo García Salazar, and et al. 2024. "Empyema Necessitatis Caused by Prevotella melaninogenica and Dialister pneumosintes Resolved with Vacuum-Assisted Closure System: A Case Report" Microorganisms 12, no. 9: 1881. https://doi.org/10.3390/microorganisms12091881
APA StyleMartínez Castrejón, E. B., Reina-Bautista, E., Ventura-Gómez, S. T., Maldonado Cisneros, A., Juárez Ramos, J. A., Durán, M. A. S., Aguilar Ventura, J., Valencia-Ledezma, O. E., Frías-De-León, M. G., García Salazar, E., & Castro-Fuentes, C. A. (2024). Empyema Necessitatis Caused by Prevotella melaninogenica and Dialister pneumosintes Resolved with Vacuum-Assisted Closure System: A Case Report. Microorganisms, 12(9), 1881. https://doi.org/10.3390/microorganisms12091881

