Molecular, Genetic, and Biochemical Characterization of OXA-484 Carbapenemase, a Difficult-to-Detect R214G Variant of OXA-181
Abstract
1. Introduction
2. Materials and Methods
2.1. Bacterial Strains
2.2. Antimicrobial Agents, Susceptibility Testing, and Microbiological Techniques
2.3. PCR, Cloning Experiments, and DNA Sequencing
2.4. Whole Genome Sequencing (WGS)
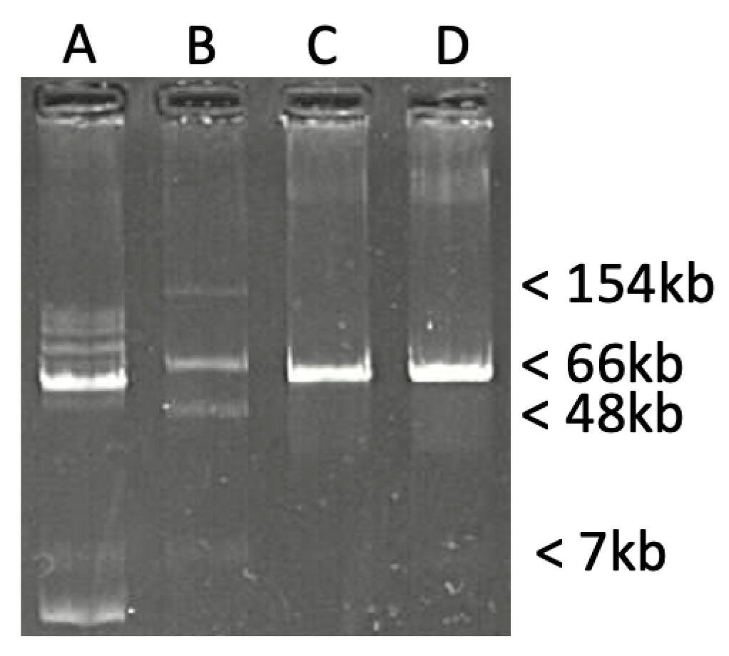
2.5. Plasmid Characterization and Conjugation Assays
2.6. β-Lactamase Purification and Steady-State Kinetic Parameters
2.7. Molecular Modeling
2.8. Nucleic Acid Sequences
3. Results
3.1. Antimicrobial Susceptibility Testing and Carbapenemase Confirmation Tests
3.2. Genomic Features of OXA-484 Producers
3.3. Genetic Support and Environment of blaOXA-484 Gene
3.4. Biochemical Properties Determination
3.5. Molecular Modeling
4. Discussion
5. Conclusions
Author Contributions
Funding
Data Availability Statement
Acknowledgments
Conflicts of Interest
References
- Pitout, J.D.D.; Peirano, G.; Kock, M.M.; Strydom, K.A.; Matsumura, Y. The Global Ascendency of OXA-48-Type Carbapenemases. Clin. Microbiol. Rev. 2019, 33, e00102-19. [Google Scholar] [CrossRef] [PubMed]
- Nordmann, P.; Naas, T.; Poirel, L. Global spread of Carbapenemase-producing Enterobacteriaceae. Emerg. Infect. Dis. 2011, 17, 1791–1798. [Google Scholar] [CrossRef]
- Oueslati, S.; Nordmann, P.; Poirel, L. Heterogeneous hydrolytic features for OXA-48-like β-lactamases. J. Antimicrob. Chemother. 2015, 70, 1059–1063. [Google Scholar] [CrossRef] [PubMed]
- Docquier, J.D.; Calderone, V.; De Luca, F.; Benvenuti, M.; Giuliani, F.; Bellucci, L.; Tafi, A.; Nordmann, P.; Botta, M.; Rossolini, G.M.; et al. Crystal structure of the OXA-48 β-lactamase reveals mechanistic diversity among class D carbapenemases. Chem. Biol. 2009, 16, 540–547. [Google Scholar] [CrossRef] [PubMed]
- Naas, T.; Oueslati, S.; Bonnin, R.A.; Dabos, M.L.; Zavala, A.; Dortet, L.; Retailleau, P.; Iorga, B.I. Beta-lactamase database (BLDB)—Structure and function. J. Enzyme Inhib. Med. Chem. 2017, 32, 917–919. [Google Scholar] [CrossRef] [PubMed]
- Oueslati, S.; Retailleau, P.; Marchini, L.; Berthault, C.; Dortet, L.; Bonnin, R.A.; Iorga, B.I.; Naas, T. Role of Arginine 214 in the Substrate Specificity of OXA-48. Antimicrob. Agents Chemother. 2020, 64, e02329-19. [Google Scholar] [CrossRef] [PubMed]
- Rima, M.; Emeraud, C.; Bonnin, R.A.; Gonzalez, C.; Dortet, L.; Iorga, B.I.; Oueslati, S.; Naas, T. Biochemical characterization of OXA-244, an emerging OXA-48 variant with reduced β-lactam hydrolytic activity. J. Antimicrob. Chemother. 2021, 76, 2024–2028. [Google Scholar] [CrossRef] [PubMed]
- Findlay, J.; Hopkins, K.L.; Loy, R.; Doumith, M.; Meunier, D.; Hill, R.; Pike, R.; Mustafa, N.; Livermore, D.M.; Woodford, N. OXA-48-like carbapenemases in the UK: An analysis of isolates and cases from 2007 to 2014. J. Antimicrob. Chemother. 2017, 72, 1340–1349. [Google Scholar] [CrossRef] [PubMed]
- Sommer, J.; Gerbracht, K.M.; Krause, F.F.; Wild, F.; Tietgen, M.; Riedel-Christ, S.; Sattler, J.; Hamprecht, A.; Kempf, V.A.J.; Gottig, S. OXA-484, an OXA-48-Type Carbapenem-Hydrolyzing Class D β-Lactamase From Escherichia coli. Front. Microbiol. 2021, 12, 660094. [Google Scholar] [CrossRef]
- Ramsamy, Y.; Mlisana, K.P.; Amoako, D.G.; Abia, A.L.K.; Ismail, A.; Allam, M.; Mbanga, J.; Singh, R.; Essack, S.Y. Mobile genetic elements-mediated Enterobacterales-associated carbapenemase antibiotic resistance genes propagation between the environment and humans: A One Health South African study. Sci. Total Environ. 2022, 806, 150641. [Google Scholar] [CrossRef]
- Moser, A.I.; Campos-Madueno, E.I.; Sendi, P.; Perreten, V.; Keller, P.M.; Ramette, A.; Endimiani, A. Repatriation of a patient with COVID-19 contributed to the importation of an emerging carbapenemase producer. J. Glob. Antimicrob. Resist. 2021, 27, 267–272. [Google Scholar] [CrossRef] [PubMed]
- Hooban, B.; Fitzhenry, K.; O’Connor, L.; Miliotis, G.; Joyce, A.; Chueiri, A.; Farrell, M.L.; DeLappe, N.; Tuohy, A.; Cormican, M.; et al. A Longitudinal Survey of Antibiotic-Resistant Enterobacterales in the Irish Environment, 2019–2020. Sci. Total Environ. 2022, 828, 154488. [Google Scholar] [CrossRef] [PubMed]
- Findlay, J.; Duran, J.B.; Poirel, L.; Nordmann, P. Emergence of OXA-484, an OXA-48-type beta-lactamase, in Switzerland. J. Glob. Antimicrob. Resist. 2023, 32, 131–133. [Google Scholar] [CrossRef] [PubMed]
- Ge, H.; Qiao, J.; Xu, H.; Liu, R.; Zhao, J.; Chen, R.; Li, C.; Chen, M.; Guo, X. Emergence of OXA-484-Producing Klebsiella variicola in China. Infect. Drug Resist. 2023, 16, 1767–1775. [Google Scholar] [CrossRef] [PubMed]
- Hopkins, K.L.; Ellaby, N.; Ellington, M.J.; Doumith, M.; Mustafa, N.; Meunier, D.; Woodford, N. Diversity of carbapenemase-producing Enterobacterales in England as revealed by whole-genome sequencing of isolates referred to a national reference laboratory over a 30-month period. J. Med. Microbiol. 2022, 71, 001518. [Google Scholar] [CrossRef] [PubMed]
- Hoyos-Mallecot, Y.; Naas, T.; Bonnin, R.A.; Patino, R.; Glaser, P.; Fortineau, N.; Dortet, L. OXA-244-Producing Escherichia coli Isolates, a Challenge for Clinical Microbiology Laboratories. Antimicrob. Agents Chemother. 2017, 61, e00818-17. [Google Scholar] [CrossRef] [PubMed]
- Emeraud, C.; Biez, L.; Girlich, D.; Jousset, A.B.; Naas, T.; Bonnin, R.A.; Dortet, L. Screening of OXA-244 producers, a difficult-to-detect and emerging OXA-48 variant? J. Antimicrob. Chemother. 2020, 75, 2120–2123. [Google Scholar] [CrossRef] [PubMed]
- Hopkins, K.L.; Meunier, D.; Mustafa, N.; Pike, R.; Woodford, N. Evaluation of temocillin and meropenem MICs as diagnostic markers for OXA-48-like carbapenemases. J. Antimicrob. Chemother. 2019, 74, 3641–3643. [Google Scholar] [CrossRef] [PubMed]
- Emeraud, C.; Girlich, D.; Bonnin, R.A.; Jousset, A.B.; Naas, T.; Dortet, L. Emergence and Polyclonal Dissemination of OXA-244—Producing Escherichia coli, France. Emerg. Infect. Dis. 2021, 27, 1206–1210. [Google Scholar] [CrossRef]
- Emeraud, C.; Birer, A.; Girlich, D.; Jousset, A.B.; Creton, E.; Naas, T.; Bonnin, R.A.; Dortet, L. Polyclonal Dissemination of OXA-232 Carbapenemase—Producing Klebsiella pneumoniae, France, 2013–2021. Emerg. Infect. Dis. 2022, 28, 2304–2307. [Google Scholar] [CrossRef]
- Philippon, L.N.; Naas, T.; Bouthors, A.T.; Barakett, V.; Nordmann, P. OXA-18, a class D clavulanic acid-inhibited extended-spectrum beta-lactamase from Pseudomonas aeruginosa. Antimicrob. Agents Chemother. 1997, 41, 2188–2195. [Google Scholar] [CrossRef] [PubMed]
- Dortet, L.; Agathine, A.; Naas, T.; Cuzon, G.; Poirel, L.; Nordmann, P. Evaluation of the RAPIDEC® CARBA NP, the Rapid CARB Screen® and the Carba NP test for biochemical detection of carbapenemase-producing Enterobacteriaceae. J. Antimicrob. Chemother. 2015, 70, 3014–3022. [Google Scholar] [CrossRef] [PubMed]
- Boutal, H.; Vogel, A.; Bernabeu, S.; Devilliers, K.; Creton, E.; Cotellon, G.; Plaisance, M.; Oueslati, S.; Dortet, L.; Jousset, A.; et al. A multiplex lateral flow immunoassay for the rapid identification of NDM-, KPC-, IMP- and VIM-type and OXA-48-like carbapenemase-producing Enterobacteriaceae. J. Antimicrob. Chemother. 2018, 73, 909–915. [Google Scholar] [CrossRef] [PubMed]
- Bortolaia, V.; Kaas, R.S.; Ruppe, E.; Roberts, M.C.; Schwarz, S.; Cattoir, V.; Philippon, A.; Allesoe, R.L.; Rebelo, A.R.; Florensa, A.F.; et al. ResFinder 4.0 for predictions of phenotypes from genotypes. J. Antimicrob. Chemother. 2020, 75, 3491–3500. [Google Scholar] [CrossRef] [PubMed]
- Carattoli, A.; Zankari, E.; Garcia-Fernandez, A.; Voldby Larsen, M.; Lund, O.; Villa, L.; Moller Aarestrup, F.; Hasman, H. In silico detection and typing of plasmids using PlasmidFinder and plasmid multilocus sequence typing. Antimicrob. Agents Chemother. 2014, 58, 3895–3903. [Google Scholar] [CrossRef]
- Larsen, M.V.; Cosentino, S.; Rasmussen, S.; Friis, C.; Hasman, H.; Marvig, R.L.; Jelsbak, L.; Sicheritz-Ponten, T.; Ussery, D.W.; Aarestrup, F.M.; et al. Multilocus sequence typing of total-genome-sequenced bacteria. J. Clin. Microbiol. 2012, 50, 1355–1361. [Google Scholar] [CrossRef] [PubMed]
- Wirth, T.; Falush, D.; Lan, R.; Colles, F.; Mensa, P.; Wieler, L.H.; Karch, H.; Reeves, P.R.; Maiden, M.C.; Ochman, H.; et al. Sex and virulence in Escherichia coli: An evolutionary perspective. Mol. Microbiol. 2006, 60, 1136–1151. [Google Scholar] [CrossRef] [PubMed]
- Kieser, T. Factors affecting the isolation of CCC DNA from Streptomyces lividans and Escherichia coli. Plasmid 1984, 12, 19–36. [Google Scholar] [CrossRef]
- Dabos, L.; Raczynska, J.E.; Bogaerts, P.; Zavala, A.; Girlich, D.; Bonnin, R.A.; Dortet, L.; Peyrat, A.; Retailleau, P.; Iorga, B.I.; et al. Structural and Biochemical Features of OXA-517: A Carbapenem and Expanded-Spectrum Cephalosporin Hydrolyzing OXA-48 Variant. Antimicrob. Agents Chemother. 2023, 67, e0109522. [Google Scholar] [CrossRef]
- Naas, T.; Sougakoff, W.; Casetta, A.; Nordmann, P. Molecular characterization of OXA-20, a novel class D β-lactamase, and its integron from Pseudomonas aeruginosa. Antimicrob. Agents Chemother. 1998, 42, 2074–2083. [Google Scholar] [CrossRef]
- Dunbrack, R.L., Jr. Rotamer libraries in the 21st century. Curr. Opin. Struct. Biol. 2002, 12, 431–440. [Google Scholar] [CrossRef] [PubMed]
- Pettersen, E.F.; Goddard, T.D.; Huang, C.C.; Couch, G.S.; Greenblatt, D.M.; Meng, E.C.; Ferrin, T.E. UCSF Chimera—A visualization system for exploratory research and analysis. J. Comput. Chem. 2004, 25, 1605–1612. [Google Scholar] [CrossRef] [PubMed]
- Tsai, J.; Taylor, R.; Chothia, C.; Gerstein, M. The packing density in proteins: Standard radii and volumes. J. Mol. Biol. 1999, 290, 253–266. [Google Scholar] [CrossRef] [PubMed]
- Verdonk, M.L.; Cole, J.C.; Hartshorn, M.J.; Murray, C.W.; Taylor, R.D. Improved protein-ligand docking using GOLD. Proteins 2003, 52, 609–623. [Google Scholar] [CrossRef] [PubMed]
- Chen, S.L.; Hung, C.S.; Xu, J.; Reigstad, C.S.; Magrini, V.; Sabo, A.; Blasiar, D.; Bieri, T.; Meyer, R.R.; Ozersky, P.; et al. Identification of genes subject to positive selection in uropathogenic strains of Escherichia coli: A comparative genomics approach. Proc. Natl. Acad. Sci. USA 2006, 103, 5977–5982. [Google Scholar] [CrossRef] [PubMed]
- Dabos, L.; Oueslati, S.; Bernabeu, S.; Bonnin, R.A.; Dortet, L.; Naas, T. To Be or Not to Be an OXA-48 Carbapenemase. Microorganisms 2022, 10, 258. [Google Scholar] [CrossRef] [PubMed]
- Oueslati, S.; Retailleau, P.; Marchini, L.; Dortet, L.; Bonnin, R.A.; Iorga, B.I.; Naas, T. Biochemical and Structural Characterization of OXA-405, an OXA-48 Variant with Extended-Spectrum β-Lactamase Activity. Microorganisms 2019, 8, 24. [Google Scholar] [CrossRef] [PubMed]
- De Belder, D.; Ghiglione, B.; Pasteran, F.; de Mendieta, J.M.; Corso, A.; Curto, L.; Di Bella, A.; Gutkind, G.; Gomez, S.A.; Power, P. Comparative Kinetic Analysis of OXA-438 with Related OXA-48-Type Carbapenem-Hydrolyzing Class D β-Lactamases. ACS Infect. Dis. 2020, 6, 3026–3033. [Google Scholar] [CrossRef] [PubMed]
- Cuenod, A.; Agnetti, J.; Seth-Smith, H.M.B.; Roloff, T.; Walchli, D.; Shcherbakov, D.; Akbergenov, R.; Tschudin-Sutter, S.; Bassetti, S.; Siegemund, M.; et al. Bacterial genome-wide association study substantiates papGII of Escherichia coli as a major risk factor for urosepsis. Genome Med. 2023, 15, 89. [Google Scholar] [CrossRef]
- Kocsis, B.; Gulyas, D.; Szabo, D. Emergence and Dissemination of Extraintestinal Pathogenic High-Risk International Clones of Escherichia coli. Life 2022, 12, 2077. [Google Scholar] [CrossRef]
- Biez, L.; Bonnin, R.A.; Emeraud, C.; Birer, A.; Jousset, A.B.; Naas, T.; Dortet, L. Nationwide molecular epidemiology of carbapenemase-producing Citrobacter spp. in France in 2019 and 2020. mSphere 2023, 8, e0036623. [Google Scholar] [CrossRef] [PubMed]
- Gottig, S.; Walker, S.V.; Saleh, A.; Koroska, F.; Sommer, J.; Stelzer, Y.; Steinmann, J.; Hamprecht, A. Comparison of nine different selective agars for the detection of carbapenemase-producing Enterobacterales (CPE). Eur. J. Clin. Microbiol. Infect. Dis. 2020, 39, 923–927. [Google Scholar] [CrossRef] [PubMed]
- Bush, K.; Bradford, P.A. Epidemiology of β-Lactamase-Producing Pathogens. Clin. Microbiol. Rev. 2020, 33, e00047-19. [Google Scholar] [CrossRef] [PubMed]
- Hoyos-Mallecot, Y.; Ouzani, S.; Dortet, L.; Fortineau, N.; Naas, T. Performance of the Xpert® Carba-R v2 in the daily workflow of a hygiene unit in a country with a low prevalence of carbapenemase-producing Enterobacteriaceae. Int. J. Antimicrob. Agents 2017, 49, 774–777. [Google Scholar] [CrossRef]
- Muntean, M.M.; Muntean, A.A.; Gauthier, L.; Creton, E.; Cotellon, G.; Popa, M.I.; Bonnin, R.A.; Naas, T. Evaluation of the rapid carbapenem inactivation method (rCIM): A phenotypic screening test for carbapenemase-producing Enterobacteriaceae. J. Antimicrob. Chemother. 2018, 73, 900–908. [Google Scholar] [CrossRef]




| MIC (mg/L) a | |||||||||||
|---|---|---|---|---|---|---|---|---|---|---|---|
| E. coli | C. youngae | E. coli TOP10 | E. coli HB4 | ||||||||
| ß-lactam | 172D10 | 173G7 | pN-OXA-484 | pTOPO-OXA-181 | pTOPO-OXA-484 | pTOPO-OXA-232 | pTOPO-OXA-244 | pTOPO-OXA-48 | - b | pN-OXA-484 | - b |
| Amoxicillin | >256 | >256 | >256 | >256 | 96 | >256 | >256 | >256 | 2 | >256 | 16 |
| Temocillin | 64 | 128 | 128 | >256 | 12 | 6 | 6 | >256 | 4 | >256 | 24 |
| Cephalotin | ND | ND | ND | 16 | 8 | 16 | 16 | 16 | 4 | 128 | 32 |
| Cefotaxime | 4 | 1.5 | 0.75 | 1 | 0.064 | 0.047 | 0.064 | 0.25 | 0.06 | 1.5 | 0.75 |
| Ceftazidime | 0.75 | 1.5 | 0.125 | 0.5 | 0.38 | 0.25 | 0.38 | 0.25 | 0.12 | 1 | 0.75 |
| Ertapenem | 1.5 | 1.5 | 0.75 | 0.125 | 0.047 | 0.047 | 0.064 | 0.094 | 0.003 | >32 | 0.75 |
| Imipenem | 1.5 | 1.5 | 0.19 | 0.75 | 0.19 | 0.25 | 0.25 | 0.5 | 0.25 | >32 | 0.125 |
| Meropenem | 0.75 | 0.75 | 0.125 | 0.094 | 0.016 | 0.016 | 0.047 | 0.047 | 0.016 | >32 | 0.38 |
| CarbaNP test c | Neg | Pos/Neg | Neg | Pos | Neg | Neg | Neg | Pos | Neg | Neg | Neg |
| NG-test CARBA5 d | OXA | OXA | OXA | OXA | OXA | OXA | OXA | OXA | Neg | OXA | Neg |
| Isolates | Plasmids | ß-Lactamases | Aminoglycosides | Fluoroquinolones | Others | ||||||||||||||||||||||||||||||||||||||||||
|---|---|---|---|---|---|---|---|---|---|---|---|---|---|---|---|---|---|---|---|---|---|---|---|---|---|---|---|---|---|---|---|---|---|---|---|---|---|---|---|---|---|---|---|---|---|---|---|
| Bacteria | Number | MLST | Country 1 | Size | IncP1 | col156 | Col8282 | IncB/O/K/Z | IncR | IncFIB(K) | IncFIA | IncFIB | IncX3 | IncY | IncN | IncX4 | p0111 | TEM-1 | Shv-28 | OXA-1 | OXA-9 | CTX-M-15 | CMY-like 2 | OXA-484 | AadA1 | aadA5 | aph(6)-Id | aac(6′)-Ib-cr | aac(3′)-Iid | aac(3′)-Iia | aac(6′)-Ib3 | aph(3”)-Ib | aac(6′)-Ib-cr | oqxA | oqxB | qnrS1 | sul1 | Sul2 | Tet(B) | Tet(A) | ere(A) | mdf(A) | mph(A) | dfrA-2 | fosA | cmlA1 | Reference |
| E. coli | 172D10 | 69 | F | 58.4 | 14 17 | This study | |||||||||||||||||||||||||||||||||||||||||
| C. youngae | 173G7 | 491 | F | 58.4 | 157 | This study | |||||||||||||||||||||||||||||||||||||||||
| K. pneumoniae | 32333 | 14 | UK | ND | 1 | [8,15] | |||||||||||||||||||||||||||||||||||||||||
| K. pneumoniae | 15179 | 14 | UK | ND | 1 | [8,15] | |||||||||||||||||||||||||||||||||||||||||
| E. coli | 260213 | 410 | UK | ND | 42 | [8,15] | |||||||||||||||||||||||||||||||||||||||||
| E. coli | EC-JS316 3 | 410 | G | 51.5 | 17 | [9] | |||||||||||||||||||||||||||||||||||||||||
| Km (μM) | kcat (s−1) | kcat/Km (mM−1.s−1) | |||||||||||||
|---|---|---|---|---|---|---|---|---|---|---|---|---|---|---|---|
| Susbtrate | OXA-48 | OXA-181 | OXA-232 | OXA-484 | OXA-244 | OXA-48 | OXA-181 | OXA-232 | OXA-484 | OXA-244 | OXA-48 | OXA-181 | OXA-232 | OXA-484 | OXA-244 |
| Benzylpenicillin | ND | 90 | 60 | 33 ± 1.9 | 450 ± 37 | ND | 444 | 125 | 329 ± 8.4 | 72 ± 8 | ND | 5000 | 2100 | 9972 ± 724 | 163 ± 28 |
| Ampicillin | 400 | 170 | 220 | 653 ± 72.2 | 657 ± 163 | 955 | 218 | 132 | 394 ± 20.6 | 373 ± 158 | 2400 | 1300 | 600 | 604 ± 43 | 549 ± 133 |
| Temocillin | 45 | 60 | 60 | 178 ± 25.1 | 364 ± 23 | 0.3 | 0.3 | 0.03 | 0.04 ± 0 | 0.11± 0.02 | 6 | 5 | 0.5 | 0.23 ± 0.03 | 0.31 ± 0.05 |
| Cefalotin | 195 | 250 | 125 | 37 ± 2.6 | 88 ± 27 | 44 | 13 | 13 | 3 ± 0.2 | 3.3 ± 0.8 | 225 | 50 | 105 | 78 ± 1.7 | 39 ± 4 |
| Ceftazidime | NH | NH | >1000 | >1000 | NH | NH | ND | >0.6 | ND | NH | NH | ND | 0.1 | ND | NH |
| Cefotaxime | >900 | >1000 | >1000 | >1000 | >900 | >9 | >62 | >6.5 | ND | ND | 10 | 13 | 6 | ND | ND |
| Ertapenem | 100 | 100 | 110 | 27 ± 1.2 | 22.9 ± 0.3 | 0.13 | 0.2 | 0.04 | 0.02 ± 0 | 0.02 ± 0.01 | 1 | 2 | 0.4 | 0.6 ± 0.06 | 0.1 ± 0.03 |
| Imipenem | 13 | 13 | 9 | 6 ± 2.1 | 2.6 ± 0.8 | 5 | 7.5 | 0.2 | 0.1 ± 0.01 | 0.07 ± 0.01 | 370 | 550 | 20 | 20 ± 4.4 | 27 ± 11 |
| Meropenem | 10 | 70 | 100 | 263 ± 9.4 | 23 ± 4 | 0.07 | 0.1 | 0.03 | 0.05 ± 0.05 | 0.02 ± 0.001 | 6 | 1.5 | 0.3 | 0.2 ± 0.06 | 0.8 ± 0.2 |
Disclaimer/Publisher’s Note: The statements, opinions and data contained in all publications are solely those of the individual author(s) and contributor(s) and not of MDPI and/or the editor(s). MDPI and/or the editor(s) disclaim responsibility for any injury to people or property resulting from any ideas, methods, instructions or products referred to in the content. |
© 2024 by the authors. Licensee MDPI, Basel, Switzerland. This article is an open access article distributed under the terms and conditions of the Creative Commons Attribution (CC BY) license (https://creativecommons.org/licenses/by/4.0/).
Share and Cite
Gonzalez, C.; Oueslati, S.; Rima, M.; Nermont, R.; Dortet, L.; Hopkins, K.L.; Iorga, B.I.; Bonnin, R.A.; Naas, T. Molecular, Genetic, and Biochemical Characterization of OXA-484 Carbapenemase, a Difficult-to-Detect R214G Variant of OXA-181. Microorganisms 2024, 12, 1391. https://doi.org/10.3390/microorganisms12071391
Gonzalez C, Oueslati S, Rima M, Nermont R, Dortet L, Hopkins KL, Iorga BI, Bonnin RA, Naas T. Molecular, Genetic, and Biochemical Characterization of OXA-484 Carbapenemase, a Difficult-to-Detect R214G Variant of OXA-181. Microorganisms. 2024; 12(7):1391. https://doi.org/10.3390/microorganisms12071391
Chicago/Turabian StyleGonzalez, Camille, Saoussen Oueslati, Mariam Rima, Réva Nermont, Laurent Dortet, Katie L. Hopkins, Bogdan I. Iorga, Rémy A. Bonnin, and Thierry Naas. 2024. "Molecular, Genetic, and Biochemical Characterization of OXA-484 Carbapenemase, a Difficult-to-Detect R214G Variant of OXA-181" Microorganisms 12, no. 7: 1391. https://doi.org/10.3390/microorganisms12071391
APA StyleGonzalez, C., Oueslati, S., Rima, M., Nermont, R., Dortet, L., Hopkins, K. L., Iorga, B. I., Bonnin, R. A., & Naas, T. (2024). Molecular, Genetic, and Biochemical Characterization of OXA-484 Carbapenemase, a Difficult-to-Detect R214G Variant of OXA-181. Microorganisms, 12(7), 1391. https://doi.org/10.3390/microorganisms12071391

