A New Dual Fluorescence Method for Rapid Detection of Infectious Bronchitis Virus at Constant Temperature
Abstract
1. Introduction
2. Materials and Methods
2.1. Virus
2.2. Reagents and Instruments
2.3. Design of Primers and Probe in RT-RAA
2.4. Generation of Plasmid Standard
2.5. The RAA Method
2.6. The RT-RAA Reaction System
2.7. Verification of RT-RAA Primers
2.8. Specificity Test for the Single Fluorescence RT-RAA
2.9. Sensitivity Test for the Single Fluorescence RT-RAA
2.10. Specificity Test for the Dual Fluorescence RT-RAA
2.11. Sensitivity Test for the Dual Fluorescence RT-RAA
2.12. Repeatability Test for the Dual Fluorescence RT-RAA
2.13. Clinical Sample Testing
3. Results
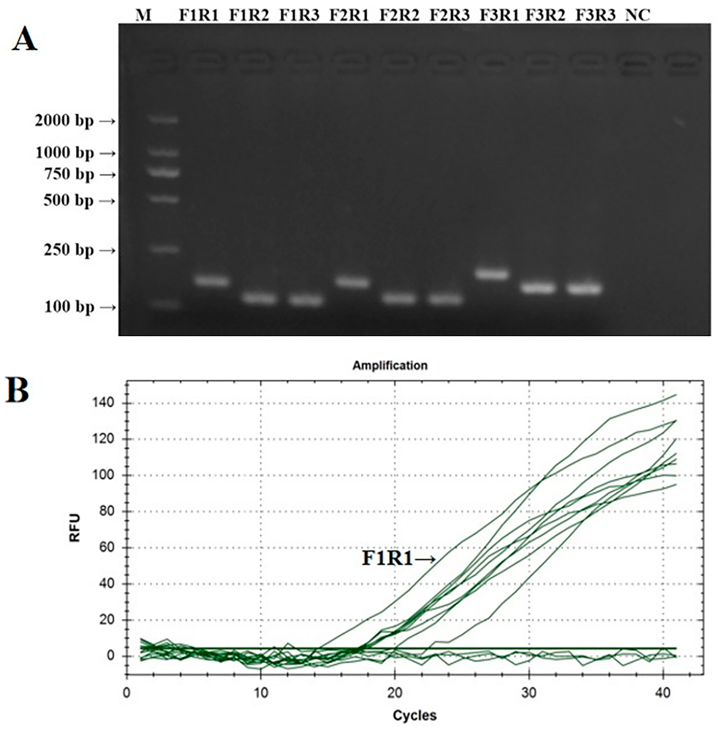
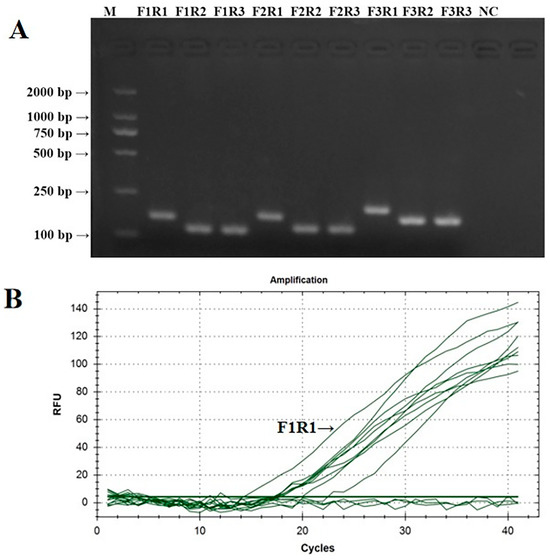
3.1. Verification of RT-RAA Primers
3.2. Specificity Test for the Single Fluorescence RT-RAA
3.3. Sensitivity Test for the Single Fluorescence RT-RAA Sensitivity
3.4. Specificity Test for the Dual Fluorescence RT-RAA
3.5. Sensitivity Test for the Dual Fluorescence RT-RAA
3.6. Repeatability Test for the Dual Fluorescence RT-RAA
3.7. Results of the Clinical Sample Test
4. Discussion
5. Conclusions
Author Contributions
Funding
Institutional Review Board Statement
Data Availability Statement
Conflicts of Interest
References
- Cook, J.K.A.; Jackwood, M.; Jones, R.C. The Long View: 40 Years of Infectious Bronchitis Research. Avian Pathol. 2012, 41, 239–250. [Google Scholar] [CrossRef]
- Collisson, E.W.; Pei, J.; Dzielawa, J.; Seo, S.H. Cytotoxic T Lymphocytes Are Critical in the Control of Infectious Bronchitis Virus in Poultry. Dev. Comp. Immunol. 2000, 24, 187–200. [Google Scholar] [CrossRef] [PubMed]
- Gingerich, E.N.; Winterfield, R.W.; Fadly, A.M. Variant Infectious Bronchitis Virus Isolated from Indiana Chickens. Poult. Sci. 1976, 55, 1482–1485. [Google Scholar] [CrossRef] [PubMed]
- Kwon, H.M.; Jackwood, M.W. Molecular Cloning and Sequence Comparison of the S1 Glycoprotein of the Gray and JMK Strains of Avian Infectious Bronchitis Virus. Virus Genes 1995, 9, 219–229. [Google Scholar] [CrossRef]
- Knoetze, A.D.; Moodley, N.; Abolnik, C. Two Genotypes of Infectious Bronchitis Virus Are Responsible for Serological Variation in KwaZulu-Natal Poultry Flocks Prior to 2012. Onderstepoort J. Vet. Res. 2014, 81, 1–10. [Google Scholar] [CrossRef]
- Fellahi, S.; El Harrak, M.; Ducatez, M.; Loutfi, C.; Koraichi, S.I.S.; Kuhn, J.H.; Khayi, S.; El Houadfi, M.; Ennaji, M.M. Phylogenetic Analysis of Avian Infectious Bronchitis Virus S1 Glycoprotein Regions Reveals Emergence of a New Genotype in Moroccan Broiler Chicken Flocks. Virol. J. 2015, 12, 116. [Google Scholar] [CrossRef]
- Andreopoulou, M.; Franzo, G.; Tucciarone, C.M.; Prentza, Z.; Koutoulis, K.C.; Cecchinato, M.; Chaligianni, I. Molecular Epidemiology of Infectious Bronchitis Virus and Avian Metapneumovirus in Greece. Poult. Sci. 2019, 98, 5374–5384. [Google Scholar] [CrossRef] [PubMed]
- Kaneda, M.; Takahashi, S.; Naito, I.; Chiba, Y.; Hikono, H.; Murakami, K. Nationwide Survey of Infectious Bronchitis Virus on Layer Farms in Japan During 2015. Avian Dis. 2020, 64, 80–84. [Google Scholar] [CrossRef]
- Jang, I.; Thai, T.N.; Lee, J.-I.; Kwon, Y.-K.; Kim, H.-R. Nationwide Surveillance for Infectious Bronchitis Virus in South Korea from 2020 to 2021. Avian Dis. 2022, 66, 135–140. [Google Scholar] [CrossRef]
- Zhao, J. Establishment and Application of Molecular Epidemiological Investigation of Avian Infectious Bronchitis Virus and ELISA Method for Antibody Detection in some Areas of China from 2018 to 2021. Master’s Thesis, Yangzhou University, Yangzhou, China, 2022. [Google Scholar]
- Wei, Y.; Gao, W.-H.; Sun, H.-L.; Yu, C.-F.; Pei, X.-Y.; Sun, Y.-P.; Liu, J.-H.; Pu, J. A Duplex RT-PCR Assay for Detection of H9 Subtype Avian Influenza Viruses and Infectious Bronchitis Viruses. J. Integr. Agric. 2016, 15, 2105–2113. [Google Scholar] [CrossRef]
- Chen, S.; Du, X.; Yan, K.; Liao, K.; Zhang, C.; Guo, M.; Wu, Y.; Zhang, X. A Real-Time Fluorescence Quantitative PCR Method was Established for the Detection of Avian Infectious Bronchitis Virus GVI-1 Genotype. Chin. J. Vet. Sci. 2021, 11, 2121–2125. [Google Scholar] [CrossRef]
- Chandrasekar, A.; Raja, A.; Dhinakar Raj, G.; Thangavelu, A.; Kumanan, K. Rapid Detection of Avian Infectious Bronchitis Virus by Reverse Transcriptase-Loop Mediated Isothermal Amplification. Proc. Natl. Acad. Sci. India Sect. B Biol. Sci. 2015, 85, 815–820. [Google Scholar] [CrossRef]
- Cui, H.; Tu, F.; Zhang, C.; Zhang, C.; Zhao, K.; Liu, J.; Dong, S.; Chen, L.; Liu, J.; Guo, Z. Real-Time Reverse Transcription Recombinase-Aided Amplification Assay for Rapid Amplification of the N Gene of SARS-CoV-2. Int. J. Mol. Sci. 2022, 23, 15269. [Google Scholar] [CrossRef] [PubMed]
- Shelite, T.R.; Uscanga-Palomeque, A.C.; Castellanos-Gonzalez, A.; Melby, P.C.; Travi, B.L. Isothermal Recombinase Polymerase Amplification-Lateral Flow Detection of SARS-CoV-2, the Etiological Agent of COVID-19. J. Virol. Methods 2021, 296, 114227. [Google Scholar] [CrossRef] [PubMed]
- Tu, F.; Zhang, Y.; Xu, S.; Yang, X.; Zhou, L.; Ge, X.; Han, J.; Guo, X.; Yang, H. Detection of Pseudorabies Virus with a Real-Time Recombinase-Aided Amplification Assay. Transbound. Emerg. Dis. 2022, 69, 2266–2274. [Google Scholar] [CrossRef]
- Li, X.; Wang, C.; Zhang, Z.; Wang, C.; Wang, W.; Zhao, Z.; Li, J.; Shang, Z.; Lv, J.; Zhang, T. Fast Detection of Duck Circovirus by Real-Time Fluorescence-Based Recombinase-Aided Amplification. Poult. Sci. 2022, 101, 101707. [Google Scholar] [CrossRef]
- Wang, S.; Huang, B.; Ma, X.; Liu, P.; Wang, Y.; Zhang, X.; Zhu, L.; Fan, Q.; Sun, Y.; Wang, K. Reverse-Transcription Recombinase-Aided Amplification Assay for H7 Subtype Avian Influenza Virus. Transbound. Emerg. Dis. 2020, 67, 877–883. [Google Scholar] [CrossRef] [PubMed]
- Wang, S.; Li, Y.; Zhang, F.; Jiang, N.; Zhuang, Q.; Hou, G.; Jiang, L.; Yu, J.; Yu, X.; Liu, H.; et al. Reverse Transcription Recombinase-Aided Amplification Assay for H5 Subtype Avian Influenza Virus. Virol. J. 2022, 19, 129. [Google Scholar] [CrossRef]
- Zhang, Q.; Ding, X.; Wu, X.; Liu, Y.; Liu, J.; Xu, X.; Ying, Q.; Cao, J.; Dai, Y. Establishment and Preliminary Evaluation of Recombinase Aided Amplification (RAA) Assay for Specific Nucleic Acid Detection of Clonorchis Sinensis. Chin. J. Schistosomiasis Control 2019, 31, 468–473. [Google Scholar] [CrossRef]
- Zhang, X.; Guo, L.; Ma, R.; Cong, L.; Wu, Z.; Wei, Y.; Xue, S.; Zheng, W.; Tang, S. Rapid Detection of Salmonella with Recombinase Aided Amplification. J. Microbiol. Methods 2017, 139, 202–204. [Google Scholar] [CrossRef]
- Mu, D.; Zhou, D.; Xie, G.; Liu, J.; Xiong, Q.; Feng, X.; Xu, H. The Fluorescent Probe-Based Recombinase-Aided Amplification for Rapid Detection of Escherichia coli O157:H7. Mol. Cell. Probes 2021, 60, 101777. [Google Scholar] [CrossRef] [PubMed]
- Li, T.; Liu, Y.; Zhao, S.; Xiong, C.; Dong, X.; Zhang, J.; Li, W.; Ying, Q.; Yang, K. Rapid Detection of Schistosomiasis Japonicum Infective Snail by Recombinant Enzyme-Mediated Isothermal Amplification Fluorescence Assay. Chin. J. Schistosomiasis Control 2019, 31, 109–114+120. [Google Scholar] [CrossRef]
- Chen, T. Epidemiology of IBV in 2016–2018 and Study of TW Type IBV Attenuated Vaccine. Master’s Thesis, South China Agricultural University, Guangzhou, China, 2019. [Google Scholar]
- Liu, S.W.; Zhang, Q.X.; Chen, J.D.; Han, Z.X.; Liu, X.; Feng, L.; Shao, Y.H.; Rong, J.G.; Kong, X.G.; Tong, G.Z. Genetic Diversity of Avian Infectious Bronchitis Coronavirus Strains Isolated in China between 1995 and 2004. Arch. Virol. 2006, 151, 1133–1148. [Google Scholar] [CrossRef] [PubMed]
- Li, L.; Xue, C.; Chen, F.; Qin, J.; Xie, Q.; Bi, Y.; Cao, Y. Isolation and Genetic Analysis Revealed No Predominant New Strains of Avian Infectious Bronchitis Virus Circulating in South China during 2004–2008. Vet. Microbiol. 2010, 143, 145–154. [Google Scholar] [CrossRef] [PubMed]
- Ji, J.; Xie, J.; Chen, F.; Shu, D.; Zuo, K.; Xue, C.; Qin, J.; Li, H.; Bi, Y.; Ma, J.; et al. Phylogenetic Distribution and Predominant Genotype of the Avian Infectious Bronchitis Virus in China during 2008–2009. Virol. J. 2011, 8, 184. [Google Scholar] [CrossRef] [PubMed]
- Luo, H.; Qin, J.; Chen, F.; Xie, Q.; Bi, Y.; Cao, Y.; Xue, C. Phylogenetic Analysis of the S1 Glycoprotein Gene of Infectious Bronchitis Viruses Isolated in China during 2009–2010. Virus Genes 2012, 44, 19–23. [Google Scholar] [CrossRef] [PubMed]
- Zhang, L. Isolation, Identification and S1 Gene Sequence Analysis of Avian Infectious Bronchitis Virus in 2011–2012. Master’s Thesis, Henan Agricultural University, Zhengzhou, China, 2013. [Google Scholar]
- You, Y.J. Screening and Evaluation of Candidate Strains of Avian Infectious Bronchitis Virus Vaccine. Ph.D. Thesis, China Agricultural University, Beijing, China, 2015. [Google Scholar]
- Feng, K.; Xue, Y.; Wang, J.; Chen, W.; Chen, F.; Bi, Y.; Xie, Q. Development and Efficacy of a Novel Live-Attenuated QX-like Nephropathogenic Infectious Bronchitis Virus Vaccine in China. Vaccine 2015, 33, 1113–1120. [Google Scholar] [CrossRef] [PubMed]
- Feng, K.; Wang, F.; Xue, Y.; Zhou, Q.; Chen, F.; Bi, Y.; Xie, Q. Epidemiology and Characterization of Avian Infectious Bronchitis Virus Strains Circulating in Southern China during the Period from 2013–2015. Sci. Rep. 2017, 7, 6576. [Google Scholar] [CrossRef]
- Okino, C.H.; de Fátima Silva Montassier, M.; de Oliveira, A.P.; Montassier, H.J. Rapid Detection and Differentiation of Avian Infectious Bronchitis Virus: An Application of Mass Genotype by Melting Temperature Analysis in RT-qPCR Using SYBR Green I. J. Vet. Med. Sci. 2018, 80, 725–730. [Google Scholar] [CrossRef]
- Liu, C. Establishment of RT-PCR and RT-LAMP Detection Methods for Avian Infectious Bronchitis Virus. Master’s Thesis, Sichuan Agricultural University, Chengdu, China, 2012. [Google Scholar]









| Name of Virus Strain | Genotype | Accession Number |
|---|---|---|
| CK/CH/GD/HY09 | CH II | HQ018887.1 |
| Y10 | CH I | JX840411.1 |
| CK/CH/GZHP/200108 | CH I | MW560644.1 |
| CKCHYNML1912 | CH I | MT766988.1 |
| IBV-SDTA-171217 | CH I | MH159180.1 |
| CK/CH/Guangdong/Heyuan3/0910 | CH II | GU938421.1 |
| LDT3-A | CH III | KR608272.1 |
| CK/CH/GX/NN09 S1 | CH III | HQ018900.1 |
| CK CH SC ZJ12-1 | CH III | KC692249.1 |
| CK CH GX YL12-3 | CH III | KC692265.1 |
| 4/91 | CH II | KF377577.1 |
| CK CH JX JA09-1 | CH IV | HQ018890.1 |
| GX-YL5 | CH IV | FJ907238.1 |
| CK CH GD LZ12-4 | CH IV | KC692277.1 |
| GD04-1 | CH IV | DQ459473.1 |
| TW2575/98 | CH V | DQ646405.2 |
| CK/CH/GD/GZ14 | CH V | KX107660.1 |
| GZ14F80 | CH V | MG517474.1 |
| CK/CH/YN/SL12-3 | CH V | KJ524636.1 |
| H120 | Mass | KR605489.1 |
| CK/CH/GX/NN16-2 | CH VI | MF447729.1 |
| H52 | Mass | AF352315.1 |
| THA320352 | Mass | GQ885138.1 |
| CK/CH/GD/XX1412-2 | CH VI | KX107683.1 |
| Ma5 | Mass | AY561713.1 |
| TC07-2 | CH VI | GQ265948.1 |
| CK/CH/GXNN09 | CH VI | MT766940.1 |
| Primers | Sequences (5′-3′) |
|---|---|
| IBV-BF1 | TTTGTTACACATTGTTTTAAAAATGGAC |
| IBV-BF2 | TACACATTGTTTTAAAAATGGACAAGG |
| IBV-BF3 | TTTAGTACAATTGTTGTTTTTGTTACACATTG |
| IBV-BR1 | TAAATTTACTATAACTAGAAGTGGTAACTG |
| IBV-BR2 | AATGTAATGATTTAAATTTACTATAAC |
| IBV-BR3 | TTAACACAATGTAATGATTTAAATTTAC |
| IBV-BP | TAAATTAAGGGAGGGTGATATTCGTATTGG/iHEXdT//THF//iBHQ1dT/TCTAGATAGTAGTGG[C3-spacer] |
| IBV-VP | TAGGCCAAGGTTTTATTACAATGTGACTGAT/i6FAMdT//THF//iBHQ1dT/GCTGCTAATTTTAGT[C3-spacer] |
| IBV-VF1 | TATTAATGCAACACAATTATAATAATATTAC |
| IBV-VF2 | ATAAGTGTGTTGACTATAATATATATGGCAGAG |
| IBV-VF3 | ATAAGTGTGTTGACTATAATATATATGG |
| IBV-VR1 | AAGTATCTAAAATAGCTAACCCACCATCTGC |
| IBV-VR2 | ATGGCACCCGAAGTATCTAAAATAGCTAACCCACC |
| IBV-VR3 | AAGACCATAGCTGCCCTGTACAACAAAGACATC |
| Primer Name | Sequence (5′-3′) | Amplified Fragment (bp) |
|---|---|---|
| PCR-IBVS-F | AAGACTGAACAAAAGACCGACT | 1700 |
| PCR-IBVS-R | CAAAACCTGCCATAACTAACATA | |
| qPCR-VF | GATGGCTCTCGTATACAGACTA | 111 |
| qPCR-VR | GCCTACTCTGCCATATATATTATAG | |
| qPCR-VP | AACGGAGCCCTTAGTATTAATGCAAC | |
| qPCR-BF | TGAGTGCGTATTGCTTGTGTTTATT | 124 |
| qPCR-BR | ATAATCAACACACCTATCTAAAACCACATT | |
| qPCR-BP | TAGCCCAGGCAGTCGCATATTTACTTCTGA |
| V-qPCR | B-qPCR | ||||
|---|---|---|---|---|---|
| Positive | Negative | Positive | Negative | ||
| RT-RAA | Positive | 29 | 2 | 6 | 1 |
| Negative | 1 | 18 | 0 | 43 | |
| Sensitivity (%) | 96.67 | 100 | |||
| Specificity (%) | 90 | 97.73 | |||
| Kappa | 0.87 | 0.91 | |||
Disclaimer/Publisher’s Note: The statements, opinions and data contained in all publications are solely those of the individual author(s) and contributor(s) and not of MDPI and/or the editor(s). MDPI and/or the editor(s) disclaim responsibility for any injury to people or property resulting from any ideas, methods, instructions or products referred to in the content. |
© 2024 by the authors. Licensee MDPI, Basel, Switzerland. This article is an open access article distributed under the terms and conditions of the Creative Commons Attribution (CC BY) license (https://creativecommons.org/licenses/by/4.0/).
Share and Cite
Zhang, X.; Wu, X.; Feng, K.; Wang, Q.; Xie, Q. A New Dual Fluorescence Method for Rapid Detection of Infectious Bronchitis Virus at Constant Temperature. Microorganisms 2024, 12, 1315. https://doi.org/10.3390/microorganisms12071315
Zhang X, Wu X, Feng K, Wang Q, Xie Q. A New Dual Fluorescence Method for Rapid Detection of Infectious Bronchitis Virus at Constant Temperature. Microorganisms. 2024; 12(7):1315. https://doi.org/10.3390/microorganisms12071315
Chicago/Turabian StyleZhang, Xinheng, Xiuhong Wu, Keyu Feng, Qian Wang, and Qingmei Xie. 2024. "A New Dual Fluorescence Method for Rapid Detection of Infectious Bronchitis Virus at Constant Temperature" Microorganisms 12, no. 7: 1315. https://doi.org/10.3390/microorganisms12071315
APA StyleZhang, X., Wu, X., Feng, K., Wang, Q., & Xie, Q. (2024). A New Dual Fluorescence Method for Rapid Detection of Infectious Bronchitis Virus at Constant Temperature. Microorganisms, 12(7), 1315. https://doi.org/10.3390/microorganisms12071315

