In Vitro Identification of Phosphorylation Sites on TcPolβ by Protein Kinases TcCK1, TcCK2, TcAUK1, and TcPKC1 and Effect of Phorbol Ester on Activation by TcPKC of TcPolβ in Trypanosoma cruzi Epimastigotes
Abstract
1. Introduction
2. Materials and Methods
2.1. Protein Expression and Purification
2.2. Phosphorylation Assays
2.3. DNA Polymerase Activity Gel
2.4. Protein Phosphorylation Analysis
2.5. Western Blot Analysis
2.6. Statistical Analysis
3. Results
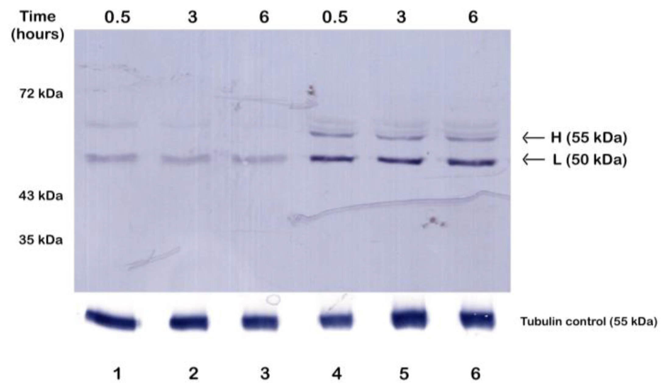
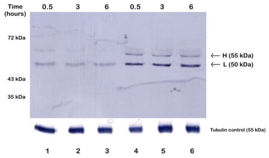
3.1. Fetal Calf Serum Increases Tcpolβ Protein Synthesis and Phosphorylation in Trypomastigotes
3.2. Tcpolβ DNA Synthesis Activity Can Be Detected in the Gel by a Colorimetric Assay
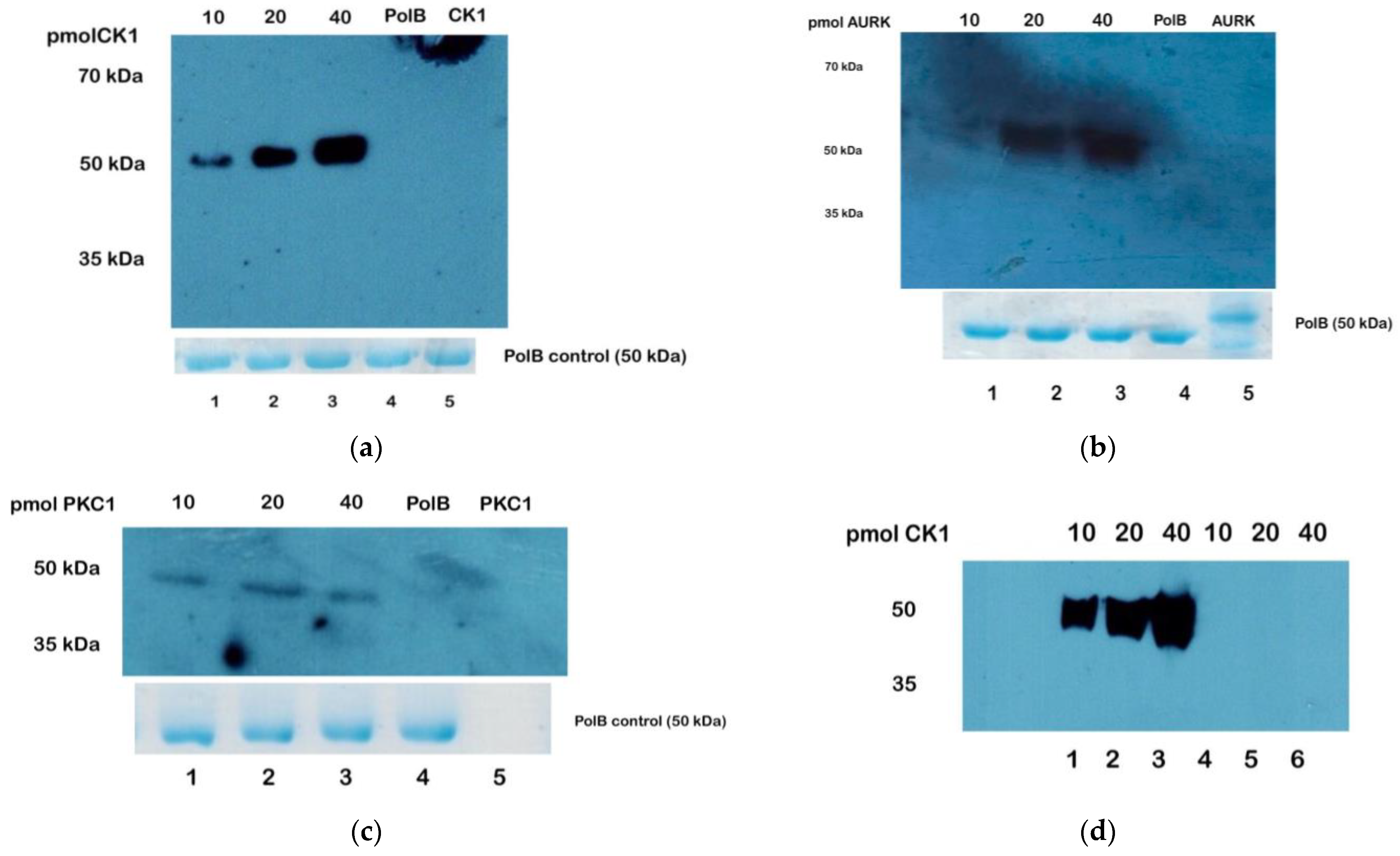
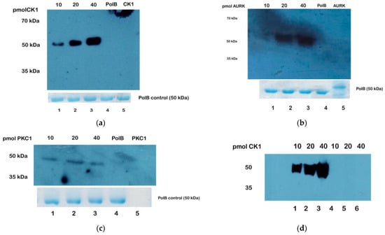
3.3. In Vitro Determination of the Phosphorylation Sites on TcPolβ by TcCK1, TcCK2, TcAUK1, and TcPKC1
3.4. Tcpolβ Phosphorylation Is Detected by Western Blot Analysis with Specific Anti-Phosphor Antibodies
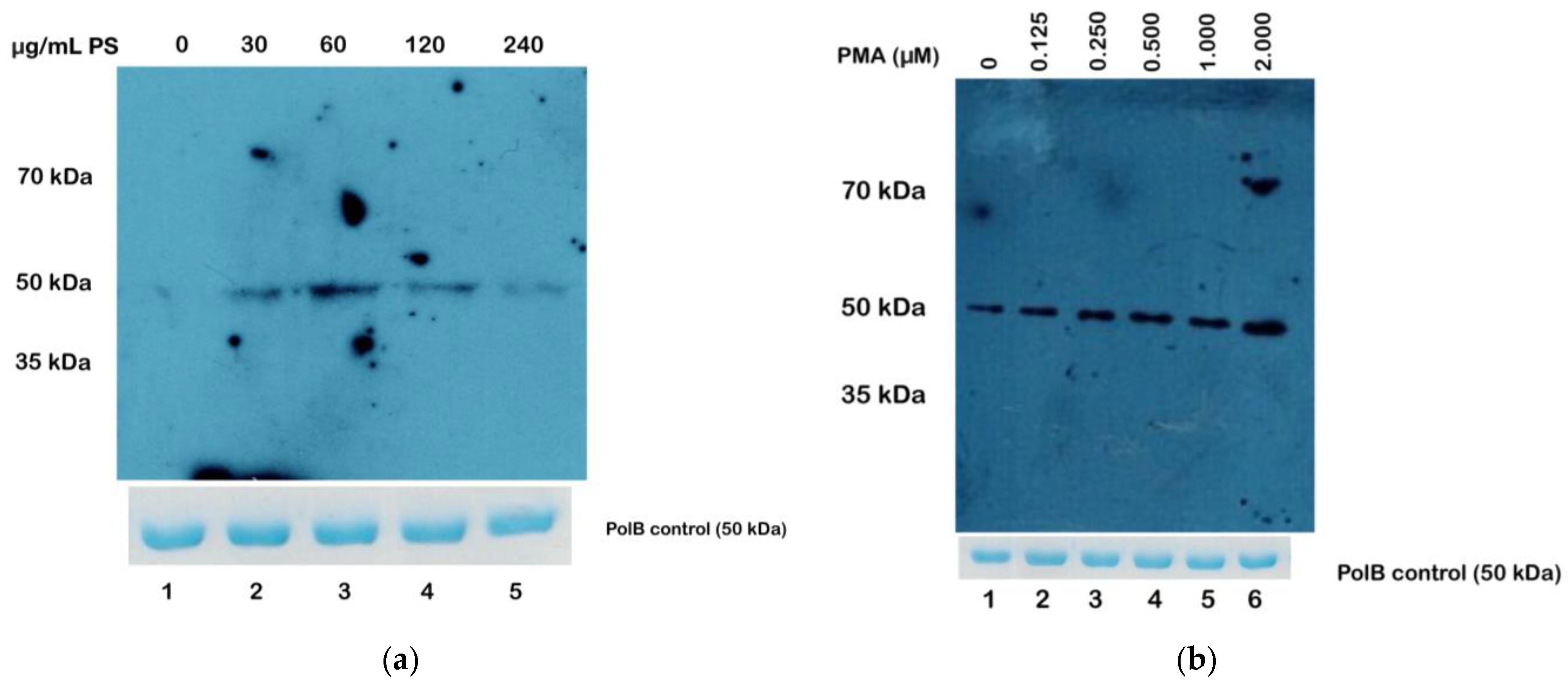
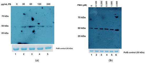
3.5. Phosphatidylserine and PMA Can Directly Stimulate TcPKC1
3.6. PMA Activates TcPKC1 to Phosphorylate TcPolβ and Increases Its DNA Polymerase Activity
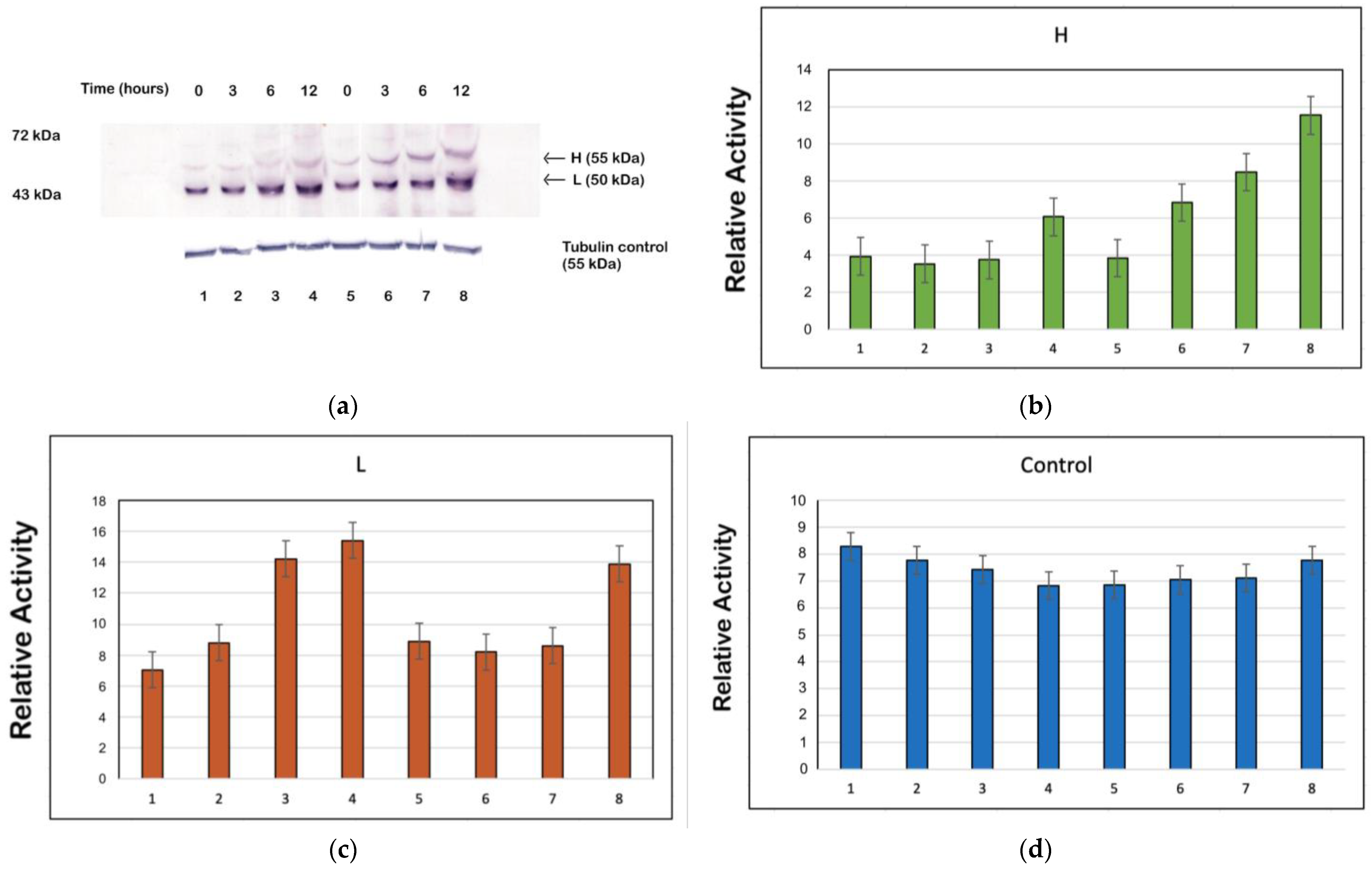
3.7. PMA can In Vivo Activate PKC to Phosphorylate TcPolβ in Epimastigotes
4. Discussion
Supplementary Materials
Author Contributions
Funding
Data Availability Statement
Conflicts of Interest
References
- Messenger, L.A.; Miles, M.A.; Bern, C. Between a bug and a hard place: Trypanosoma cruzi genetic diversity and the clinical outcomes of Chagas disease. Expert Rev. Anti-Infect. Ther. 2015, 13, 995–1029. [Google Scholar] [CrossRef] [PubMed]
- Zingales, B.; Miles, M.A.; Campbell, D.A.; Tibayrenc, M.; Macedo, A.M.; Teixeira, M.M.; Schijman, A.G.; Llewellyn, M.S.; Lages-Silva, E.; Machado, C.R.; et al. The revised Trypanosoma cruzi subspecific nomenclature: Rationale, epidemiological relevance and research applications. Infect. Genet. Evol. 2012, 12, 240–253. [Google Scholar] [CrossRef] [PubMed]
- Velásquez-Ortiz, N.; Herrera, G.; Hernández, C.; Muñoz, M.; Ramírez, J.D. Discrete typing units of Trypanosoma cruzi: Geographical and biological distribution in the Americas. Sci. Data 2022, 9, 360. [Google Scholar] [CrossRef] [PubMed]
- Ouarhache, M.; Marquet, S.; Frade, A.F.; Ferreira, A.M.; Ianni, B.; Almeida, R.R.; Nunes, J.P.S.; Ferreira, L.R.P.; Rigaud, V.O.-C.; Cândido, D.; et al. Rare pathogenic variants in mitochondrial and inflammation-associated genes may lead to inflammatory cardiomyopathy in Chagas disease. J. Clin. Immunol. 2021, 41, 1048–1063. [Google Scholar] [CrossRef] [PubMed]
- Nussbaum, K.; Honek, J.; Cadmus, C.C.; Efferth, T. Trypanosomatid parasites causing neglected diseases. Curr. Med. Chem. 2010, 17, 1594–1617. [Google Scholar] [CrossRef] [PubMed]
- Lidani, K.C.F.; Andrade, F.A.; Bavia, L.; Damasceno, F.S.; Beltrame, M.H.; Messias-Reason, I.J.; Sandri, T.L. Chagas disease: From discovery to a worldwide health problem. Front. Public Health 2019, 7, 166. [Google Scholar] [CrossRef] [PubMed]
- Álvarez-Hernández, D.-A.; García-Rodríguez-Arana, R.; Ortiz-Hernández, A.; Álvarez-Sánchez, M.; Wu, M.; Mejia, R.; Martínez-Juárez, L.-A.; Montoya, A.; Gallardo-Rincon, H.; Vázquez-López, R.; et al. A systematic review of historical and current trends in Chagas disease. Ther. Adv. Infect. Dis. 2021, 8, 20499361211033715. [Google Scholar] [CrossRef] [PubMed]
- Ortiz, S.; Solari, A. Excavata-Kinetoplastea Trypanosomatidae parasites and the interaction with their hosts. Int. J. Trop. Dis. 2019, 2, 015. [Google Scholar]
- Maldonado, E.; Morales-Pison, S.; Urbina, F.; Solari, A. Molecular and functional characteristics of DNA polymerase beta-like enzymes from trypanosomatids. Front. Cell. Infect. Microbiol. 2021, 11, 670564. [Google Scholar] [CrossRef] [PubMed]
- De Pablos, L.M.; Ferreira, T.R.; Walrad, P.B. Developmental differentiation in Leishmania lifecycle progression: Post-transcriptional control conducts the orchestra. Curr. Opin. Microbiol. 2016, 34, 82–89. [Google Scholar] [CrossRef] [PubMed]
- Huang, H. Signal transduction in Trypanosoma cruzi. Adv. Parasitol. 2011, 75, 325–344. [Google Scholar] [PubMed]
- Berná, L.; Chiribao, M.L.; Greif, G.; Rodriguez, M.; Alvarez-Valin, F.; Robello, C. Transcriptomic analysis reveals metabolic switches and surface remodeling as key processes for stage transition in Trypanosoma cruzi. PeerJ 2017, 5, e3017. [Google Scholar] [CrossRef] [PubMed]
- Lucena, A.C.R.; Amorim, J.C.; Lima, C.E.V.d.P.; Batista, M.; Krieger, M.A.; de Godoy, L.M.F.; Marchini, F.K. Quantitative phosphoproteome and proteome analyses emphasize the influence of phosphorylation events during the nutritional stress of Trypanosoma cruzi: The initial moments of in vitro metacyclogenesis. Cell Stress Chaperones 2019, 24, 927–936. [Google Scholar] [CrossRef] [PubMed]
- Queiroz, R.M.L.; Charneau, S.; Mandacaru, S.C.; Schwämmle, V.; Lima, B.D.; Roepstorff, P.; Ricart, C.A.O. Quantitative proteomic and phosphoproteomic analysis of Trypanosoma cruzi amastigogenesis. Mol. Cell. Proteom. 2014, 13, 3457–3472. [Google Scholar] [CrossRef] [PubMed]
- de Castro Moreira Dos Santos Júnior, A.; Melo, R.M.; Ferreira, B.V.G.; Pontes, A.H.; de Lima, C.M.R.; Fontes, W.; de Sousa, M.V.; de Lima, B.D.; Ricart, C.A.O. Quantitative proteomics and phosphoproteomics of Trypanosoma cruzi epimastigote cell cycle. Biochim. Biophys. Acta (BBA)-Proteins Proteom. 2021, 1869, 140619. [Google Scholar]
- Beard, W.A.; Wilson, S.H. DNA polymerase beta and other gap-filling enzymes in mammalian base excision repair. Enzymes 2019, 45, 1–26. [Google Scholar]
- Kladova, O.A.; Fedorova, O.S.; Kuznetsov, N.A. The role of natural polymorphic variants of DNA polymerase β in DNA repair. Int. J. Mol. Sci. 2022, 23, 2390. [Google Scholar] [CrossRef] [PubMed]
- Jain, R.; Aggarwal, A.K.; Rechkoblit, O. Eukaryotic DNA polymerases. Curr. Opin. Struct. Biol. 2018, 53, 77–87. [Google Scholar] [CrossRef] [PubMed]
- Costa, A.; Diffley, J.F.X. The initiation of eukaryotic DNA replication. Annu. Rev. Biochem. 2022, 91, 107–131. [Google Scholar] [CrossRef]
- Gilea, A.I.; Magistrati, M.; Notaroberto, I.; Tiso, N.; Dallabona, C.; Baruffini, E. The Saccharomyces cerevisiae mitochondrial DNA polymerase and its contribution to the knowledge about human POLG-related disorders. IUBMB Life 2023, 75, 983–1002. [Google Scholar] [CrossRef] [PubMed]
- Solari, A.; Tharaud, D.; Repetto, Y.; Aldunate, J.; Morello, A.; Litvak, S. In vitro and in vivo studies of Trypanosoma cruzi DNA polymerase. Biochem. Int. 1983, 7, 147–157. [Google Scholar] [PubMed]
- Rojas, C.; Gutierrez, C.; Litvak, S.; Solari, A. Nuclear and kinetoplast DNA synthesis in (Trypanosoma cruzi), autoradiographical study with DNA polymerase inhibitors. Int. J. Parasitol. 1993, 23, 361–364. [Google Scholar] [CrossRef] [PubMed]
- Rojas, C.; Venegas, J.; Litvak, S.; Solari, A. Two DNA polymerases from Trypanosoma cruzi: Biochemical characterization and effects of inhibitors. Comp. Biochem. Physiol. 1992, 101, 27–33. [Google Scholar] [CrossRef] [PubMed]
- Holmes, A.M.; Cheriathundam, E.; Kalinski, A.; Chang, L.M. Isolation and partial characterization of DNA polymerases from Crithidia fasciculata. Mol. Biochem. Parasitol. 1984, 10, 195–205. [Google Scholar] [CrossRef] [PubMed]
- Marcus, S.L.; Kopelman, R.; Koll, B.; Bacchi, C.J. Effects of exogenous polyamine and trypanocides on the DNA polymerase activities from Trypanosoma brucei brucei, mouse thymus and murine leukemia virus. Mol. Biochem. Parasitol. 1982, 5, 231–243. [Google Scholar] [CrossRef]
- Saxowsky, T.T.; Choudhary, G.; Klingbeil, M.M.; Englund, P.T. Trypanosoma brucei has two distinct mitochondrial DNA polymerase β enzymes. J. Biol. Chem. 2003, 278, 49095–49101. [Google Scholar] [CrossRef] [PubMed]
- Aoshima, J.; Kueota, M.; Nishimura, T.; Iwamura, T. DNA polymerases of Chlorella. II. Characterization to distinguish the two enzymes. J. Biochem. 1984, 96, 461–473. [Google Scholar] [PubMed]
- Venegas, J.; Salas, J.; Gonzalez, C.; Zulantay, I.; Diaz, E.; Gajardo, M.; Sanchez, G.; Solari, A. Isolation and partial characterization of three DNA polymerases from Trypanosoma cruzi. Comp. Biochem. Physiol. Part B Biochem. Mol. Biol. 2000, 127, 11–19. [Google Scholar] [CrossRef] [PubMed]
- Venegas, J.; Solari, A. Purification and characterization of a β-like DNA polymerase from Trypanosoma cruzi. Mol. Biochem. Parasitol. 1995, 73, 53–62. [Google Scholar] [CrossRef] [PubMed]
- Torri, A.; Englund, P. Purification of a mitochondrial DNA polymerase from Crithidia fasciculata. J. Biol. Chem. 1992, 267, 4786–4792. [Google Scholar] [CrossRef] [PubMed]
- Torri, A.; Kunkel, T.; Englund, P. A beta-like DNA polymerase from the mitochondrion of the trypanosomatid Crithidia fasciculata. J. Biol. Chem. 1994, 269, 8165–8171. [Google Scholar] [CrossRef] [PubMed]
- Venegas, J.A.; Åslund, L.; Solari, A. Cloning and characterization of a DNA polymerase β gene from Trypanosoma cruzi. Parasitol. Int. 2009, 58, 187–192. [Google Scholar] [CrossRef] [PubMed]
- Maldonado, E.; Rojas, D.A.; Moreira-Ramos, S.; Urbina, F.; Miralles, V.J.; Solari, A.; Venegas, J. Expression, purification, and biochemical characterization of recombinant DNA polymerase beta of the Trypanosoma cruzi TcI lineage: Requirement of additional factors and detection of phosphorylation of the native form. Parasitol. Res. 2015, 114, 1313–1326. [Google Scholar] [CrossRef]
- Rojas, D.A.; Urbina, F.; Moreira-Ramos, S.; Castillo, C.; Kemmerling, U.; Lapier, M.; Maya, J.D.; Solari, A.; Maldonado, E. Endogenous overexpression of an active phosphorylated form of DNA polymerase β under oxidative stress in Trypanosoma cruzi. PLoS Negl. Trop. Dis. 2018, 12, e0006220. [Google Scholar] [CrossRef] [PubMed]
- Schamber-Reis, B.L.F.; Nardelli, S.; Régis-Silva, C.G.; Campos, P.C.; Cerqueira, P.G.; Lima, S.A.; Franco, G.R.; Macedo, A.M.; Pena, S.D.J.; Cazaux, C.; et al. DNA polymerase beta from Trypanosoma cruzi is involved in kinetoplast DNA replication and repair of oxidative lesions. Mol. Biochem. Parasitol. 2012, 183, 122–131. [Google Scholar] [CrossRef] [PubMed]
- Fernandes, J.; Castellani, O. Growth characteristics and chemical composition of Trypanosoma cruzi. Exp. Parasitol. 1966, 18, 195–202. [Google Scholar] [CrossRef]
- Castillo, C.; Carrillo, I.; Libisch, G.; Juiz, N.; Schijman, A.; Robello, C.; Kemmerling, U. Host-parasite interaction: Changes in human placental gene expression induced by Trypanosoma cruzi. Parasites Vectors 2018, 11, 479. [Google Scholar] [CrossRef]
- Maldonado, E.T. cruzi DNA polymerase beta (Tcpolβ) is phosphorylated in vitro by TCTCCK1, CK2 and TcAUK1 leading to the potentiation of its DNA synthesis activity. PLoS Negl. Trop. Dis. 2021, 15, e0009588. [Google Scholar] [CrossRef] [PubMed]
- Maldonado, E.; Rojas, D.A.; Urbina, F.; Valenzuela-Pérez, L.; Castillo, C.; Solari, A. Trypanosoma cruzi DNA Polymerase β Is Phosphorylated In Vivo and In Vitro by Protein Kinase C (PKC) and Casein Kinase 2 (CK2). Cells 2022, 11, 3693. [Google Scholar] [CrossRef] [PubMed]
- Venegas, J.; Solari, A. Colorimetric detection of DNA polymerase activity after sodium dodecyl sulfate polyacrylamide gel electrophoresis. Anal. Biochem. 1994, 221, 57–60. [Google Scholar] [CrossRef]
- Naula, C.; Parsons, M.; Mottram, J.C. Protein kinases as drug targets in trypanosomes and Leishmania. Biochim. Biophys. Acta (BBA)-Proteins Proteom. 2005, 1754, 151–159. [Google Scholar] [CrossRef] [PubMed]
- Tanowitz, H.B.; Kirchhoff, L.V.; Simon, D.; Morris, S.A.; Weiss, L.M.; Wittner, M. Chagas’ disease. Clin. Microbiol. Rev. 1992, 5, 400–419. [Google Scholar] [CrossRef] [PubMed]
- Cayla, M.; Nievas, Y.R.; Matthews, K.R.; Mottram, J.C. Distinguishing functions of trypanosomatid protein kinases. Trends Parasitol. 2022, 38, 950–961. [Google Scholar] [CrossRef] [PubMed]
- Gomperts, B.D.; Tatham, P.E.R.; Kramer, I.M. Signal Transduction; Gulf Professional Publishing: Oxford, UK, 2002. [Google Scholar]
- Gómez, M.L.; Erijman, L.; Arauzo, S.; Torres, H.N.; Téllez-Iñón, M.T. Protein kinase C in Trypanosoma cruzi epimastigote forms: Partial purification and characterization. Mol. Biochem. Parasitol. 1989, 36, 101–108. [Google Scholar] [CrossRef] [PubMed]
- Gómez, M.L.; Ochatt, C.M.; Kazanietz, M.G.; Torres, H.N.; Téllez-Iñón, M. Biochemical and immunological studies of protein kinase C from Trypanosoma cruzi. Int. J. Parasitol. 1999, 29, 981–989. [Google Scholar] [CrossRef]
- Keith, K.; Hide, G.; Tait, A. Characterisation of protein kinase C like activities in Trypanosoma brucei. Mol. Biochem. Parasitol. 1990, 43, 107–116. [Google Scholar] [CrossRef] [PubMed]
- Belaunzarán, M.L.; Lammel, E.M.; Giménez, G.; Wainszelbaum, M.J.; de Isola, E.L.D. Involvement of protein kinase C isoenzymes in Trypanosoma cruzi metacyclogenesis induced by oleic acid. Parasitol. Res. 2009, 105, 47–55. [Google Scholar] [CrossRef] [PubMed]
- Gstraunthaler, G. Alternatives to the use of fetal bovine serum: Serum-free cell culture. ALTEX-Altern. Anim. Exp. 2003, 20, 275–281. [Google Scholar] [CrossRef]
- Ma, R.; Li, S.; Li, W.; Yao, L.; Huang, H.-D.; Lee, T.-Y. KinasePhos 3.0: Redesign and expansion of the prediction on kinase-specific phosphorylation sites. Genom. Proteom. Bioinform. 2023, 21, 228–241. [Google Scholar] [CrossRef] [PubMed]
- Miller, C.J.; Turk, B.E. Homing in: Mechanisms of substrate targeting by protein kinases. Trends Biochem. Sci. 2018, 43, 380–394. [Google Scholar] [CrossRef] [PubMed]
- McCormick, J.W.; Pincus, D.; Resnekov, O.; Reynolds, K.A. Strategies for engineering and rewiring kinase regulation. Trends Biochem. Sci. 2020, 45, 259–271. [Google Scholar] [CrossRef] [PubMed]
- Johnson, J.L.; Yaron, T.M.; Huntsman, E.M.; Kerelsky, A.; Song, J.; Regev, A.; Lin, T.-Y.; Liberatore, K.; Cizin, D.M.; Cohen, B.M.; et al. An atlas of substrate specificities for the human serine/threonine kinome. Nature 2023, 613, 759–766. [Google Scholar] [CrossRef] [PubMed]
- Tokui, T.; Inagaki, M.; Nishizawa, K.; Yatani, R.; Kusagawa, M.; Ajiro, K.; Nishimoto, Y.; Date, T.; Matsukage, A. Inactivation of DNA polymerase beta by in vitro phosphorylation with protein kinase C. J. Biol. Chem. 1991, 266, 10820–10824. [Google Scholar] [CrossRef] [PubMed]
- Srivastava, A.; Idriss, H.; Taha, K.; Lee, S.; Homouz, D. Phosphorylation induced conformational transitions in DNA Polymerase β. Front. Mol. Biosci. 2022, 9, 900771. [Google Scholar] [CrossRef] [PubMed]
- Marchini, F.K.; de Godoy, L.M.F.; Rampazzo, R.C.P.; Pavoni, D.P.; Probst, C.M.; Gnad, F.; Mann, M.; Krieger, M.A. Profiling the Trypanosoma cruzi phosphoproteome. PLoS ONE 2011, 6, e25381. [Google Scholar] [CrossRef] [PubMed]
- Parsons, M.; A Worthey, E.; Ward, P.N.; Mottram, J.C. Comparative analysis of the kinomes of three pathogenic trypanosomatids: Leishmania major, Trypanosoma brucei and Trypanosoma cruzi. BMC Genom. 2005, 6, 127. [Google Scholar] [CrossRef] [PubMed]
- Newton, A.C. Protein kinase C: Perfectly balanced. Crit. Rev. Biochem. Mol. Biol. 2018, 53, 208–230. [Google Scholar] [CrossRef] [PubMed]
- De Carvalho, T.U.; De Souza, W. Effect of phorbol-12-myristate-13-acetate (PMA) on the fine structure of Trypanosoma cruzi and its interaction with activated and resident macrophages. Parasitol. Res. 1987, 74, 11–17. [Google Scholar] [CrossRef] [PubMed]







| Kinase | Phosphorylated Residues on TcPolβ | |||
|---|---|---|---|---|
| AUK1 | S 69 | S 275 | T 366 | |
| CK2 | S 69 | S 275 | T 382 | |
| CK1 | S 13 | S 46 | T 49 | S 69 |
| S 185 | S 193 | S 275 | T 278 | |
| Y 307 | S 336 | T 338 | T 345 | |
| T 382 | ||||
| PKC1 | S 13 | S 46 | T 49 | S 69 |
| S 185 | S 275 | T 382 | Y 302 | |
Disclaimer/Publisher’s Note: The statements, opinions and data contained in all publications are solely those of the individual author(s) and contributor(s) and not of MDPI and/or the editor(s). MDPI and/or the editor(s) disclaim responsibility for any injury to people or property resulting from any ideas, methods, instructions or products referred to in the content. |
© 2024 by the authors. Licensee MDPI, Basel, Switzerland. This article is an open access article distributed under the terms and conditions of the Creative Commons Attribution (CC BY) license (https://creativecommons.org/licenses/by/4.0/).
Share and Cite
Maldonado, E.; Canobra, P.; Oyarce, M.; Urbina, F.; Miralles, V.J.; Tapia, J.C.; Castillo, C.; Solari, A. In Vitro Identification of Phosphorylation Sites on TcPolβ by Protein Kinases TcCK1, TcCK2, TcAUK1, and TcPKC1 and Effect of Phorbol Ester on Activation by TcPKC of TcPolβ in Trypanosoma cruzi Epimastigotes. Microorganisms 2024, 12, 907. https://doi.org/10.3390/microorganisms12050907
Maldonado E, Canobra P, Oyarce M, Urbina F, Miralles VJ, Tapia JC, Castillo C, Solari A. In Vitro Identification of Phosphorylation Sites on TcPolβ by Protein Kinases TcCK1, TcCK2, TcAUK1, and TcPKC1 and Effect of Phorbol Ester on Activation by TcPKC of TcPolβ in Trypanosoma cruzi Epimastigotes. Microorganisms. 2024; 12(5):907. https://doi.org/10.3390/microorganisms12050907
Chicago/Turabian StyleMaldonado, Edio, Paz Canobra, Matías Oyarce, Fabiola Urbina, Vicente J. Miralles, Julio C. Tapia, Christian Castillo, and Aldo Solari. 2024. "In Vitro Identification of Phosphorylation Sites on TcPolβ by Protein Kinases TcCK1, TcCK2, TcAUK1, and TcPKC1 and Effect of Phorbol Ester on Activation by TcPKC of TcPolβ in Trypanosoma cruzi Epimastigotes" Microorganisms 12, no. 5: 907. https://doi.org/10.3390/microorganisms12050907
APA StyleMaldonado, E., Canobra, P., Oyarce, M., Urbina, F., Miralles, V. J., Tapia, J. C., Castillo, C., & Solari, A. (2024). In Vitro Identification of Phosphorylation Sites on TcPolβ by Protein Kinases TcCK1, TcCK2, TcAUK1, and TcPKC1 and Effect of Phorbol Ester on Activation by TcPKC of TcPolβ in Trypanosoma cruzi Epimastigotes. Microorganisms, 12(5), 907. https://doi.org/10.3390/microorganisms12050907

