Dissecting the Genetic Basis of the Technological, Functional, and Safety Characteristics of Lacticaseibacillus paracasei SRX10
Abstract
1. Introduction
2. Materials and Methods
2.1. Bacterial Strains, Culture Conditions, and DNA Isolation
2.2. Whole-Genome Sequencing, Assembly, and Annotation
2.3. Comparative Genomics
2.4. Identification of Genes Involved in Technological and Functional Characteristics
2.5. In Silico Safety Assessment
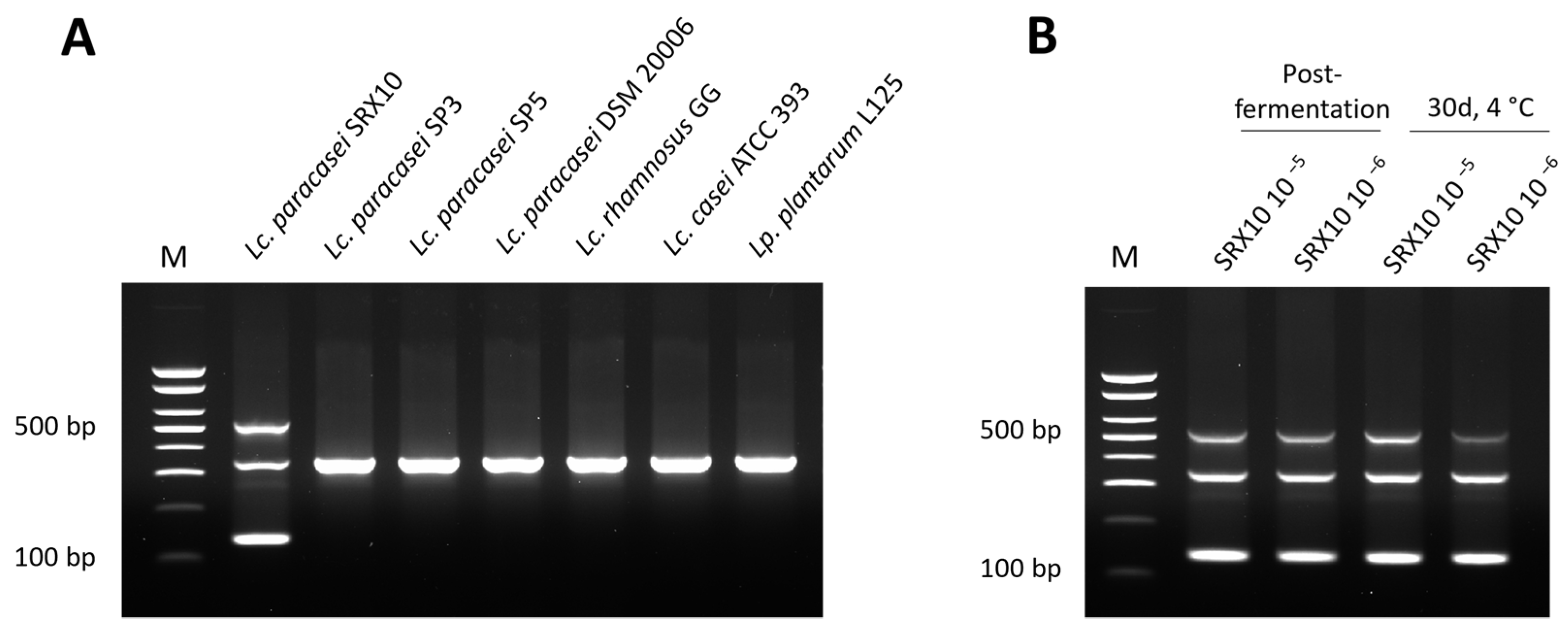
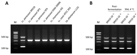
2.6. Development of a Strain-Specific Multiplex PCR Assay for Detection of Lc. paracasei SRX10 in Monocultures and Yoghurt Samples
3. Results
3.1. Genome Features
3.2. Phylogenomic and Pangenome Analysis
3.3. Detection of Genes Associated with Technological and Functional Characteristics
3.3.1. Stress Tolerance
3.3.2. Metabolic Pathways and Genes Associated with Flavor and Texture Development
Carbohydrate Metabolism
Lipid Metabolism
Protein Metabolism
EPS Production
3.4. Investigation of Genomic Features Related to the Safety Profile of Lc. paracasei SRX10
3.4.1. Genome Stability
3.4.2. Virulence and Antibiotic Resistance
3.4.3. Biogenic Amine Production
3.5. Development of a Strain-Specific PCR Assay for Lc. paracasei SRX10 Using Whole-Genome-Based Primers
4. Discussion
5. Conclusions
Supplementary Materials
Author Contributions
Funding
Data Availability Statement
Acknowledgments
Conflicts of Interest
References
- Guarcello, R.; Carpino, S.; Gaglio, R.; Pino, A.; Rapisarda, T.; Caggia, C.; Marino, G.; Randazzo, C.L.; Settanni, L.; Todaro, M. A Large Factory-Scale Application of Selected Autochthonous Lactic Acid Bacteria for PDO Pecorino Siciliano Cheese Production. Food Microbiol. 2016, 59, 66–75. [Google Scholar] [CrossRef] [PubMed]
- Bettera, L.; Levante, A.; Bancalari, E.; Bottari, B.; Gatti, M.; Roy, D.; Alexopoulos, A.; Tidona, F. Lactic Acid Bacteria in Cow Raw Milk for Cheese Production: Which and How Many? Front. Microbiol. 2023, 13, 1092224. [Google Scholar] [CrossRef] [PubMed]
- Gatti, M.; Bottari, B.; Lazzi, C.; Neviani, E.; Mucchetti, G. Microbial Evolution in Raw-Milk, Long-Ripened Cheeses Produced Using Undefined Natural Whey Starters. J. Dairy Sci. 2014, 97, 573–591. [Google Scholar] [CrossRef]
- Capra, M.L.; Guglielmotti, D.M.; Bochatay, T.; Binetti, A.G.; Braida, J.N.; Peverengo, M.R.; Peralta, G.H.; Bergamini, C.V.; Osella, C.A.; de la Torre, M.A.; et al. Study of dairy heterofermentative lactic acid bacilli for cereal-based matrices. Food Biosci. 2023, 56, 103168. [Google Scholar] [CrossRef]
- Stefanovic, E.; Fitzgerald, G.; McAuliffe, O. Advances in the Genomics and Metabolomics of Dairy Lactobacilli: A Review. Food Microbiol. 2017, 61, 33–49. [Google Scholar] [CrossRef]
- Zaravela, A.; Kontakos, S.; Badeka, A.V.; Kontominas, M.G. Effect of Adjunct Starter Culture on the Quality of Reduced Fat, White, Brined Goat Cheese: Part I. Assessment of Chemical Composition, Proteolysis, Lipolysis, Texture and Sensory Attributes. Eur. Food Res. Technol. 2021, 247, 2211–2225. [Google Scholar] [CrossRef]
- Kamarinou, C.S.; Papadopoulou, O.S.; Doulgeraki, A.I.; Tassou, C.C.; Galanis, A.; Chorianopoulos, N.G.; Argyri, A.A. Mapping the Key Technological and Functional Characteristics of Indigenous Lactic Acid Bacteria Isolated from Greek Traditional Dairy Products. Microorganisms 2022, 10, 246. [Google Scholar] [CrossRef]
- Colombo, M.; Castilho, N.P.A.; Todorov, S.D.; Nero, L.A. Beneficial Properties of Lactic Acid Bacteria Naturally Present in Dairy Production. BMC Microbiol. 2018, 18, 219. [Google Scholar] [CrossRef]
- Azat, R.; Liu, Y.; Li, W.; Kayir, A.; Lin, D.-B.; Zhou, W.-W.; Zheng, X.-D. Probiotic Properties of Lactic Acid Bacteria Isolated from Traditionally Fermented Xinjiang Cheese. J. Zhejiang Univ. Sci. B 2016, 17, 597–609. [Google Scholar] [CrossRef]
- Peng, X.; Ed-Dra, A.; Yue, M. Whole Genome Sequencing for the Risk Assessment of Probiotic Lactic Acid Bacteria. Crit. Rev. Food Sci. Nutr. 2023, 63, 11244–11262. [Google Scholar] [CrossRef]
- European Food Safety Authority (EFSA). EFSA Statement on the Requirements for Whole Genome Sequence Analysis of Microorganisms Intentionally Used in the Food Chain. EFSA J. 2021, 19, e06506. [Google Scholar] [CrossRef]
- Vinay-Lara, E.; Hamilton, J.J.; Stahl, B.; Broadbent, J.R.; Reed, J.L. Genome-Scale Reconstruction of Metabolic Networks of Lactobacillus casei ATCC 334 and 12A. PLoS ONE 2014, 9, 110785. [Google Scholar] [CrossRef] [PubMed]
- Stergiou, O.S.; Tegopoulos, K.; Kiousi, D.E.; Tsifintaris, M.; Papageorgiou, A.C.; Tassou, C.C.; Chorianopoulos, N.; Kolovos, P.; Galanis, A. Whole-Genome Sequencing, Phylogenetic and Genomic Analysis of Lactiplantibacillus pentosus L33, a Potential Probiotic Strain Isolated From Fermented Sausages. Front. Microbiol. 2021, 12, 746659. [Google Scholar] [CrossRef] [PubMed]
- Kiousi, D.E.; Efstathiou, C.; Tegopoulos, K.; Mantzourani, I.; Alexopoulos, A.; Plessas, S.; Kolovos, P.; Koffa, M.; Galanis, A. Genomic Insight Into Lacticaseibacillus paracasei SP5, Reveals Genes and Gene Clusters of Probiotic Interest and Biotechnological Potential. Front. Microbiol. 2022, 13, 922689. [Google Scholar] [CrossRef] [PubMed]
- Kim, E.; Kim, H.B.; Yang, S.M.; Kim, D.; Kim, H.Y. Real-Time PCR Assay for Detecting Lactobacillus plantarum Group Using Species/Subspecies-Specific Genes Identified by Comparative Genomics. LWT 2021, 138, 110789. [Google Scholar] [CrossRef]
- Kiousi, D.E.; Karadedos, D.M.; Sykoudi, A.; Repanas, P.; Kamarinou, C.S.; Argyri, A.A.; Galanis, A. Development of a Multiplex PCR Assay for Efficient Detection of Two Potential Probiotic Strains Using Whole Genome-Based Primers. Microorganisms 2023, 11, 2553. [Google Scholar] [CrossRef] [PubMed]
- Hill, C.; Guarner, F.; Reid, G.; Gibson, G.R.; Merenstein, D.J.; Pot, B.; Morelli, L.; Canani, R.B.; Flint, H.J.; Salminen, S.; et al. The International Scientific Association for Probiotics and Prebiotics Consensus Statement on the Scope and Appropriate Use of the Term Probiotic. Nat. Rev. Gastroenterol. Hepatol. 2014, 11, 506–514. [Google Scholar] [CrossRef]
- Kamarinou, C.S.; Papadopoulou, O.S.; Doulgeraki, A.I.; Tassou, C.C.; Galanis, A.; Chorianopoulos, N.G.; Argyri, A.A.; Tsaltas, D.; Papademas, P. Application of Multi-Functional Lactic Acid Bacteria Strains in a Pilot Scale Feta Cheese Production. Front. Microbiol. 2023, 14, 1254598. [Google Scholar] [CrossRef]
- Mantzourani, I.; Chondrou, P.; Bontsidis, C.; Karolidou, K.; Terpou, A.; Alexopoulos, A.; Bezirtzoglou, E.; Galanis, A.; Plessas, S. Assessment of the Probiotic Potential of Lactic Acid Bacteria Isolated from Kefir Grains: Evaluation of Adhesion and Antiproliferative Properties in in Vitro Experimental Systems. Ann. Microbiol. 2019, 69, 751–763. [Google Scholar] [CrossRef]
- Mantzourani, I.; Terpou, A.; Alexopoulos, A.; Chondrou, P.; Galanis, A.; Bekatorou, A.; Bezirtzoglou, E.; Koutinas, A.A.; Plessas, S. Application of a Novel Potential Probiotic Lactobacillus paracasei Strain Isolated from Kefir Grains in the Production of Feta-Type Cheese. Microorganisms 2018, 6, 121. [Google Scholar] [CrossRef]
- Pavli, F.; Argyri, A.; Papadopoulou, O.S. Probiotic Potential of Lactic Acid Bacteria from Traditional Fermented Dairy and Meat Products: Assessment by In Vitro Tests and Molecular Characterization. J. Probiotics Health 2016, 4, 3. [Google Scholar] [CrossRef]
- Parks, D.H.; Imelfort, M.; Skennerton, C.T.; Hugenholtz, P.; Tyson, G.W. CheckM: Assessing the Quality of Microbial Genomes Recovered from Isolates, Single Cells, and Metagenomes. Genome Res. 2015, 25, 1043–1055. [Google Scholar] [CrossRef] [PubMed]
- Carver, T.; Harris, S.R.; Berriman, M.; Parkhill, J.; McQuillan, J.A. Artemis: An Integrated Platform for Visualization and Analysis of High-Throughput Sequence-Based Experimental Data. Bioinformatics 2012, 28, 464. [Google Scholar] [CrossRef] [PubMed]
- Pritchard, L.; Glover, R.H.; Humphris, S.; Elphinstone, J.G.; Toth, I.K. Genomics and Taxonomy in Diagnostics for Food Security: Soft-Rotting Enterobacterial Plant Pathogens. Anal. Methods 2015, 8, 12–24. [Google Scholar] [CrossRef]
- Page, A.J.; Cummins, C.A.; Hunt, M.; Wong, V.K.; Reuter, S.; Holden, M.T.G.; Fookes, M.; Falush, D.; Keane, J.A.; Parkhill, J. Roary: Rapid Large-Scale Prokaryote Pan Genome Analysis. Bioinformatics 2015, 31, 3691–3693. [Google Scholar] [CrossRef] [PubMed]
- Price, M.N.; Dehal, P.S.; Arkin, A.P. FastTree 2—Approximately Maximum-Likelihood Trees for Large Alignments. PLoS ONE 2010, 5, e9490. [Google Scholar] [CrossRef]
- Letunic, I.; Bork, P. Interactive Tree of Life (ITOL) v3: An Online Tool for the Display and Annotation of Phylogenetic and Other Trees. Nucleic Acids Res. 2016, 44, W242–W245. [Google Scholar] [CrossRef]
- Huerta-Cepas, J.; Szklarczyk, D.; Heller, D.; Hernández-Plaza, A.; Forslund, S.K.; Cook, H.; Mende, D.R.; Letunic, I.; Rattei, T.; Jensen, L.J.; et al. EggNOG 5.0: A Hierarchical, Functionally and Phylogenetically Annotated Orthology Resource Based on 5090 Organisms and 2502 Viruses. Nucleic Acids Res. 2019, 47, D309–D314. [Google Scholar] [CrossRef]
- Kanehisa, M.; Sato, Y.; Kawashima, M.; Furumichi, M.; Tanabe, M. KEGG as a Reference Resource for Gene and Protein Annotation. Nucleic Acids Res. 2016, 44, D457. [Google Scholar] [CrossRef]
- Zhang, H.; Yohe, T.; Huang, L.; Entwistle, S.; Wu, P.; Yang, Z.; Busk, P.K.; Xu, Y.; Yin, Y. DbCAN2: A Meta Server for Automated Carbohydrate-Active Enzyme Annotation. Nucleic Acids Res. 2018, 46, W95–W101. [Google Scholar] [CrossRef]
- Rychen, G.; Aquilina, G.; Azimonti, G.; Bampidis, V.; de Lourdes Bastos, M.; Bories, G.; Chesson, A.; Cocconcelli, P.S.; Flachowsky, G.; Gropp, J.; et al. Guidance on the Characterisation of Microorganisms Used as Feed Additives or as Production Organisms. EFSA J. 2018, 16. [Google Scholar] [CrossRef]
- Arndt, D.; Grant, J.R.; Marcu, A.; Sajed, T.; Pon, A.; Liang, Y.; Wishart, D.S. PHASTER: A Better, Faster Version of the PHAST Phage Search Tool. Nucleic Acids Res. 2016, 44, W16–W21. [Google Scholar] [CrossRef] [PubMed]
- Siguier, P.; Perochon, J.; Lestrade, L.; Mahillon, J.; Chandler, M. ISfinder: The Reference Centre for Bacterial Insertion Sequences. Nucleic Acids Res. 2006, 34, D32–D36. [Google Scholar] [CrossRef] [PubMed]
- Biswas, A.; Staals, R.H.J.; Morales, S.E.; Fineran, P.C.; Brown, C.M. CRISPRDetect: A Flexible Algorithm to Define CRISPR Arrays. BMC Genom. 2016, 17, 356. [Google Scholar] [CrossRef]
- Edgar, R.C. PILER-CR: Fast and Accurate Identification of CRISPR Repeats. BMC Bioinform. 2007, 8, 18. [Google Scholar] [CrossRef]
- Carattoli, A.; Zankari, E.; Garciá-Fernández, A.; Larsen, M.V.; Lund, O.; Villa, L.; Aarestrup, F.M.; Hasman, H. In Silico Detection and Typing of Plasmids Using PlasmidFinder and Plasmid Multilocus Sequence Typing. Antimicrob. Agents Chemother. 2014, 58, 3895. [Google Scholar] [CrossRef]
- Johansson, M.H.K.; Bortolaia, V.; Tansirichaiya, S.; Aarestrup, F.M.; Roberts, A.P.; Petersen, T.N. Detection of Mobile Genetic Elements Associated with Antibiotic Resistance in Salmonella enterica Using a Newly Developed Web Tool: MobileElementFinder. J. Antimicrob. Chemother. 2021, 76, 101–109. [Google Scholar] [CrossRef]
- Zankari, E.; Hasman, H.; Cosentino, S.; Vestergaard, M.; Rasmussen, S.; Lund, O.; Aarestrup, F.M.; Larsen, M.V. Identification of Acquired Antimicrobial Resistance Genes. J. Antimicrob. Chemother. 2012, 67, 2640–2644. [Google Scholar] [CrossRef]
- Bortolaia, V.; Kaas, R.S.; Ruppe, E.; Roberts, M.C.; Schwarz, S.; Cattoir, V.; Philippon, A.; Allesoe, R.L.; Rebelo, A.R.; Florensa, A.F.; et al. ResFinder 4.0 for Predictions of Phenotypes from Genotypes. J. Antimicrob. Chemother. 2020, 75, 3491–3500. [Google Scholar] [CrossRef]
- Joensen, K.G.; Scheutz, F.; Lund, O.; Hasman, H.; Kaas, R.S.; Nielsen, E.M.; Aarestrup, F.M. Real-Time Whole-Genome Sequencing for Routine Typing, Surveillance, and Outbreak Detection of Verotoxigenic Escherichia coli. J. Clin. Microbiol. 2014, 52, 1501–1510. [Google Scholar] [CrossRef]
- Tetzschner, A.M.M.; Johnson, J.R.; Johnston, B.D.; Lund, O.; Scheutz, F. In Silico Genotyping of Escherichia coli Isolates for Extraintestinal Virulence Genes by Use of Whole-Genome Sequencing Data. J. Clin. Microbiol. 2020, 58, e01269-20. [Google Scholar] [CrossRef]
- Cosentino, S.; Voldby Larsen, M.; Møller Aarestrup, F.; Lund, O. PathogenFinder—Distinguishing Friend from Foe Using Bacterial Whole Genome Sequence Data. PLoS ONE 2013, 8, e77302. [Google Scholar] [CrossRef]
- Walter, J.; Hertel, C.; Tannock, G.W.; Lis, C.M.; Munro, K.; Hammes, W.P. Detection of Lactobacillus, Pediococcus, Leuconostoc, and Weissella Species in Human Feces by Using Group-Specific PCR Primers and Denaturing Gradient Gel Electrophoresis. Appl. Environ. Microbiol. 2001, 67, 2578–2585. [Google Scholar] [CrossRef] [PubMed]
- Smokvina, T.; Wels, M.; Polka, J.; Chervaux, C.; Brisse, S.; Boekhorst, J.; van Vlieg, J.E.T.H.; Siezen, R.J. Lactobacillus paracasei Comparative Genomics: Towards Species Pan-Genome Definition and Exploitation of Diversity. PLoS ONE 2013, 8, e68731. [Google Scholar] [CrossRef] [PubMed]
- Wüthrich, C.D.; Irmler, S.; Berthoud, H.; Guggenbühl, B.; Eugster, E.; Bruggmann, R. Conversion of Methionine to Cysteine in Lactobacillus paracasei Depends on the Highly Mobile CysK-Ctl-CysE Gene Cluster. Front. Microbiol. 2018, 9, 2415. [Google Scholar] [CrossRef] [PubMed]
- Collins, Y.F.; McSweeney, P.L.H.; Wilkinson, M.G. Lipolysis and Free Fatty Acid Catabolism in Cheese: A Review of Current Knowledge. Int. Dairy J. 2003, 13, 841–866. [Google Scholar] [CrossRef]
- Anastasiou, R.; Kazou, M.; Georgalaki, M.; Aktypis, A.; Zoumpopoulou, G.; Tsakalidou, E. Omics Approaches to Assess Flavor Development in Cheese. Foods 2022, 11, 188. [Google Scholar] [CrossRef]
- Liu, M.; Nauta, A.; Francke, C.; Siezen, R.J. Comparative Genomics of Enzymes in Flavor-Forming Pathways from Amino Acids in Lactic Acid Bacteria. Appl. Environ. Microbiol. 2008, 74, 4590–4600. [Google Scholar] [CrossRef]
- Duar, R.M.; Lin, X.B.; Zheng, J.; Martino, M.E.; Grenier, T.; Pérez-Muñoz, M.E.; Leulier, F.; Gänzle, M.; Walter, J. Lifestyles in Transition: Evolution and Natural History of the Genus Lactobacillus. FEMS Microbiol. Rev. 2017, 41, S27–S48. [Google Scholar] [CrossRef]
- Sun, Z.; Harris, H.M.B.; McCann, A.; Guo, C.; Argimón, S.; Zhang, W.; Yang, X.; Jeffery, I.B.; Cooney, J.C.; Kagawa, T.F.; et al. Expanding the Biotechnology Potential of Lactobacilli through Comparative Genomics of 213 Strains and Associated Genera. Nat. Commun. 2015, 6, 8322. [Google Scholar] [CrossRef]
- Asahina, Y.; Shiroma, A.; Nakano, K.; Tamotsu, H.; Ashimine, N.; Shinzato, M.; Minami, M.; Shimoji, M.; Nakanishi, T.; Ohki, S.; et al. Complete Genome Sequence of Lactobacillus paracasei EG9, a Strain Accelerating Free Amino Acid Production during Cheese Ripening. Genome Announc. 2018, 6, e00627-18. [Google Scholar] [CrossRef] [PubMed]
- Cabello-Olmo, M.; Oneca, M.; Torre, P.; Díaz, J.V.; Encio, I.J.; Barajas, M.; Araña, M. Influence of Storage Temperature and Packaging on Bacteria and Yeast Viability in a Plant-Based Fermented Food. Foods 2020, 9, 302. [Google Scholar] [CrossRef] [PubMed]
- Papadimitriou, K.; Alegría, Á.; Bron, P.A.; de Angelis, M.; Gobbetti, M.; Kleerebezem, M.; Lemos, J.A.; Linares, D.M.; Ross, P.; Stanton, C.; et al. Stress Physiology of Lactic Acid Bacteria. Microbiol. Mol. Biol. Rev. 2016, 80, 837–890. [Google Scholar] [CrossRef] [PubMed]
- Corcoran, B.M.; Ross, R.P.; Fitzgerald, G.F.; Dockery, P.; Stanton, C. Enhanced Survival of GroESL-Overproducing Lactobacillus paracasei NFBC 338 under Stressful Conditions Induced by Drying. Appl. Environ. Microbiol. 2006, 72, 5104–5107. [Google Scholar] [CrossRef] [PubMed]
- Iglesias, N.G.; Navarro, M.E.; Brizuela, N.S.; Valdés La Hens, D.; Semorile, L.C.; Tymczyszyn, E.E.; Bravo Ferrada, B.M. Analysis of the Genome Architecture of Lacticaseibacillus paracasei UNQLpc 10, a Strain with Oenological Potential as a Malolactic Starter. Fermentation 2022, 8, 726. [Google Scholar] [CrossRef]
- Grujović, M.Ž.; Mladenović, K.G.; Semedo-Lemsaddek, T.; Laranjo, M.; Stefanović, O.D.; Kocić-Tanackov, S.D. Advantages and disadvantages of non-starter lactic acid bacteria from traditional fermented foods: Potential use as starters or probiotics. Compr. Rev. Food Sci. Food Saf. 2022, 21, 1537–1567. [Google Scholar] [CrossRef] [PubMed]
- Zhang, S.; Shang, Z.; Liu, Z.; Hu, X.; Yi, J. Flavor Production in Fermented Chayote Inoculated with Lactic Acid Bacteria Strains: Genomics and Metabolomics Based Analysis. Food Res. Int. 2023, 163, 112224. [Google Scholar] [CrossRef]
- Wang, Y.; Wu, J.; Lv, M.; Shao, Z.; Hungwe, M.; Wang, J.; Bai, X.; Xie, J.; Wang, Y.; Geng, W. Metabolism Characteristics of Lactic Acid Bacteria and the Expanding Applications in Food Industry. Front. Bioeng. Biotechnol. 2021, 9, 378. [Google Scholar] [CrossRef]
- Hanne, K.S.; Pekka Varmanen, I. Proteolytic Systems of Lactic Acid Bacteria. Appl. Microbiol. Biotechnol. 2006, 71, 394–406. [Google Scholar] [CrossRef]
- Sousa, M.J.; Ardö, Y.; McSweeney, P.L.H. Advances in the Study of Proteolysis during Cheese Ripening. Int. Dairy J. 2001, 11, 327–345. [Google Scholar] [CrossRef]
- Furse, S.; Torres, A.G.; Koulman, A. Fermentation of Milk into Yoghurt and Cheese Leads to Contrasting Lipid and Glyceride Profiles. Nutrients 2019, 11, 2178. [Google Scholar] [CrossRef] [PubMed]
- Domingos-Lopes, M.F.P.; Stanton, C.; Ross, P.R.; Dapkevicius, M.L.E.; Silva, C.C.G. Genetic Diversity, Safety and Technological Characterization of Lactic Acid Bacteria Isolated from Artisanal Pico Cheese. Food Microbiol. 2017, 63, 178–190. [Google Scholar] [CrossRef] [PubMed]
- Jurášková, D.; Ribeiro, S.C.; Silva, C.C.G. Exopolysaccharides Produced by Lactic Acid Bacteria: From Biosynthesis to Health-Promoting Properties. Foods 2022, 11, 156. [Google Scholar] [CrossRef] [PubMed]
- Strickertsson, M.S.; Hui, Y.; Nielsen, D.S.; Vera-Jiménez, N.I.; Olsen, J.; Sandelin, A.; Wichmann, A. Genomic Stability and Phenotypic Characteristics of Industrially Produced Lacticaseibacillus rhamnosus GG in a Yogurt Matrix. Appl. Environ. Microbiol. 2021, 87, e01575-21. [Google Scholar] [CrossRef] [PubMed]
- Daliri, E.B.M.; Balnionytė, T.; Stankevičiūtė, J.; Lastauskienė, E.; Meskys, R.; Burokas, A. High Temperature Lacto-Fermentation Improves Antioxidant and Antidiabetic Potentials of Lithuanian Red Beetroot. LWT 2023, 185, 115122. [Google Scholar] [CrossRef]
- Lastauskienė, E.; Valskys, V.; Stankevičiūtė, J.; Kalcienė, V.; Gėgžna, V.; Kavoliūnas, J.; Ružauskas, M.; Armalytė, J. The Impact of Intensive Fish Farming on Pond Sediment Microbiome and Antibiotic Resistance Gene Composition. Front. Vet. Sci. 2021, 8, 673756. [Google Scholar] [CrossRef]
- Huys, G.; D’Haene, K.; Cnockaert, M.; Tosi, L.; Danielsen, M.; Flórez, A.B.; Mättö, J.; Axelsson, L.; Korhonen, J.; Mayrhofer, S.; et al. Intra- and Interlaboratory Performances of Two Commercial Antimicrobial Susceptibility Testing Methods for Bifidobacteria and Nonenterococcal Lactic Acid Bacteria. Antimicrob. Agents Chemother. 2010, 54, 2567–2574. [Google Scholar] [CrossRef]
- Rodrigo-Torres, L.; María Landete, J.; Huedo, P.; Peirotén, Á.; Langa, S.; Rodríguez-Minguez, E.; Medina, M.; Arahal, D.R.; Aznar, R.; Arqués, J.L. Complete Genome Sequences of Lacticaseibacillus paracasei INIA P272 (CECT 8315) and Lacticaseibacillus rhamnosus INIA P344 (CECT 8316) Isolated from Breast-Fed Infants Reveal Probiotic Determinants. Gene 2022, 840, 146743. [Google Scholar] [CrossRef]
- Barbieri, F.; Montanari, C.; Gardini, F.; Tabanelli, G. Biogenic Amine Production by Lactic Acid Bacteria: A Review. Foods 2019, 8, 17. [Google Scholar] [CrossRef]
- Chokesajjawatee, N.; Santiyanont, P.; Chantarasakha, K.; Kocharin, K.; Thammarongtham, C.; Lertampaiporn, S.; Vorapreeda, T.; Srisuk, T.; Wongsurawat, T.; Jenjaroenpun, P.; et al. Safety Assessment of a Nham Starter Culture Lactobacillus plantarum BCC9546 via Whole-Genome Analysis. Sci. Rep. 2020, 10, 10241. [Google Scholar] [CrossRef]
- Bezie, A.; Regasa, H. The Role of Starter Culture and Enzymes/ Rennet for Fermented Dairy Products Manufacture—A Review. Nutr. Food Sci. 2019, 9, 555756. [Google Scholar] [CrossRef]
- Sabater, C.; Cobo-Díaz, J.F.; Álvarez-Ordóñez, A.; Ruas-Madiedo, P.; Ruiz, L.; Margolles, A. Novel Methods of Microbiome Analysis in the Food Industry. Int. Microbiol. 2021, 24, 593–605. [Google Scholar] [CrossRef] [PubMed]
- Stefanis, C.; Mantzourani, I.; Plessas, S.; Alexopoulos, A.; Galanis, A.; Bezirtzoglou, E.; Kandylis, P.; Varzakas, T. Reviewing Classical and Molecular Techniques Regarding Profiling of Probiotic Character of Microorganisms. Curr. Res. Nutr. Food Sci. 2016, 4, 27–47. [Google Scholar] [CrossRef]
- Valero-Cases, E.; Cerdá-Bernad, D.; Pastor, J.-J.; Frutos, M.-J. Non-Dairy Fermented Beverages as Potential Carriers to Ensure Probiotics, Prebiotics, and Bioactive Compounds Arrival to the Gut and Their Health Benefits. Nutrients 2020, 12, 1666. [Google Scholar] [CrossRef]





| Genome Characteristic | Value |
|---|---|
| Length | 2,813,407 bp |
| GC content | 46.40 |
| Total genes | 2764 |
| CDSs | 2711 |
| rRNAs | 6 |
| tRNAs | 44 |
| ncRNAs | 3 |
| Pseudogenes | 106 |
| Contamination (%) | 1.89 |
| Lc. paracasei Strain | ANI (%) with SRX10 |
|---|---|
| SRX10 | 100 |
| KMB_622 | 99.67 |
| EG9 | 99.62 |
| FAM18172 | 99.58 |
| FAM18123 | 99.51 |
| FAM22279 | 99.50 |
| SP5 | 99.42 |
| FAM18110 | 99.40 |
| Lpp14 | 99.34 |
| Lpc-yoghurt_C5 | 99.34 |
| Lpc-yoghurt_C1 | 99.31 |
| Lpc-yoghurt_C3 | 99.31 |
| FAM19404 | 99.26 |
| FAM18175 | 99.26 |
| ATCC334 | 99.23 |
| FAM8407 | 99.20 |
| Locus Tag | Gene Function | Gene | E-Value |
|---|---|---|---|
| Acid tolerance response | |||
| SRX10_000077 | Sodium proton antiporter | yvgP | 0.0 |
| SRX10_000089 | ATP synthase subunit alpha | atpA | 0.0 |
| SRX10_001052 | ATP synthase subunit beta | atpB | 1.23 × 10−162 |
| SRX10_001843 | ATP synthase epsilon chain | atpC | 1.88 × 10−91 |
| SRX10_001842 | ATP synthase subunit delta | atpD | 0.0 |
| SRX10_001053 | ATP synthase subunit c | atpE | 2.57 × 10−37 |
| SRX10_001054 | ATP synthase subunit b | atpF | 3.59 × 10−80 |
| SRX10_001057 | ATP synthase gamma chain | atpG | 1.92 × 10−211 |
| SRX10_001055 | ATP synthase subunit delta | atpH | 3.93 × 10−116 |
| Extreme temperature tolerance | |||
| SRX10_002468 | Cold shock protein | cspB | 4.62 × 10−48 |
| SRX10_000179 | Cold-shock protein | cspA | 3.08 × 10−43 |
| SRX10_001462 | Cold shock protein | cspC | 6.22 × 10−43 |
| SRX10_001823 | Heat-inducible transcription repressor | hrcA | 3.76 × 10−245 |
| SRX10_000446 | Small heat shock protein | hsp3 | 1.48 × 10−98 |
| SRX10_ 001002 | Small heat shock protein | hsp1 | 7.42 × 10−112 |
| SRX10_001824 | Gro-P like protein E | grpE | 3.18 × 10−127 |
| SRX10_001825 | Heat shock 70 kDa protein | dnaK | 0.0 |
| SRX10_002247 | ATP-dependent protease | clpC | 0.0 |
| SRX10_000636 | Co-chaperonin | groS | 1.7 × 10−59 |
| SRX10_000637 | Chaperonin | groL | 0.0 |
| Osmotic shock tolerance | |||
| SRX10_002092 | Periplasmic glycine betaine choline-binding (lipo)protein | opuCC | 1.02 × 10−221 |
| SRX10_002458 | Periplasmic glycine betaine choline-binding (lipo)protein | choS | 0.0 |
| SRX10_000873 | Glycine betaine/carnitine transport ATP-binding protein | gbuA | 3.07 × 10−283 |
| SRX10_000872 | Glycine betaine/carnitine transport ATP-binding protein | gbuB | 5.82 × 10−189 |
| Oxidative stress response | |||
| SRX10_000743 | Glutathione peroxidase | gpo | 9.78 × 10−112 |
| SRX10_000517 | Thiol-specific peroxidase | tpx | 8.23 × 10−117 |
| SRX10_000197 | Peroxidase | ywbn | 9.75 × 10−228 |
| SRX10_000359 | Redox regulated molecular chaperone. | hslO | 2 × 10−206 |
| SRX10_002197 | NADH dehydrogenase | ndh | 0.0 |
| SRX10_001933 | NADH oxidase | nox | 0.0 |
| SRX10_001342 | NADH oxidase | nox | 0.0 |
| Alcohol resistance | |||
| SRX10_002216 | Succinate-semialdehyde dehydrogenase | gabD | 0.0 |
| SRX10_001400 | Lactaldehyde dehydrogenase | aldA | 0.0 |
| SRX10_002037 | Glyceraldehyde-3-phosphate dehydrogenase | gap | 2.1 × 10−247 |
| Locus Tag | Gene Function | Gene | E-Value |
|---|---|---|---|
| Lactose degradation | |||
| SRX10_000981 | Galactokinase | galK | 1.1 × 10−280 |
| SRX10_000982 | UDP-glucose 4-epimerase | galE | 4.24 × 10−247 |
| SRX10_000983 | Galactose-1-phosphate uridylyltransferase | galT | 0.0 |
| SRX10_000985 | Maltose epimerase | galM | 6.81 × 10−251 |
| Fatty acid biosynthesis | |||
| SRX10_001747 | Beta-ketoacyl-[acyl-carrier-protein] synthase III | fabH | 3.96 × 10−226 |
| SRX10_001739 | Acetyl-CoA carboxylase biotin carboxylase | accC | 0.0 |
| SRX10_001744 | Malonyl CoA-acyl carrier protein transacylase | fabD | 9.85 × 10−209 |
| SRX10_001737 | Acetyl-coenzyme A carboxylase carboxyl transferase subunit alpha | accA | 1.33 × 10−181 |
| SRX10_001738 | Acetyl-coenzyme A carboxylase carboxyl transferase subunit beta | accD | 8.74 × 10−194 |
| SRX10_001741 | Biotin carboxyl carrier protein of acetyl-CoA carboxylase | accB | 2.52 × 10−92 |
| SRX10_000718 | Enoyl-(Acyl carrier protein) reductase | fabG | 3.01 × 10−166 |
| SRX10_001063 | Enoyl-(Acyl carrier protein) reductase | fabG | 4.44 × 10−161 |
| SRX10_001743 | 3-oxoacyl-(acyl-carrier-protein) reductase | fabG | 2.37 × 10−163 |
| SRX10_001745 | Nitronate monooxygenase | fabK | 4.56 × 10−220 |
| SRX10_001740 | 3-hydroxyacyl-(acyl-carrier-protein) dehydratase | fabZ | 3.23 × 10−98 |
| SRX10_001742 | 3-oxoacyl-(acyl-carrier-protein) synthase 2 | fabF | 5.73 × 10−283 |
| Proteolysis | |||
| SRX10_002167 | Aminopeptidase E | pepE | 0.0 |
| SRX10_000249 | Proline iminopeptidase | pepI | 4.11 × 10−223 |
| SRX10_001793 | Xaa-Pro dipeptidase | pepQ | 2.2 × 10−274 |
| SRX10_001533 | Proline iminopeptidase | pepR | 1.97 × 10−230 |
| SRX10_002393 | X-prolyl dipeptidyl aminopeptidase | pepX | 0.0 |
| SRX10_001496 | Aminopeptidase N | pepN | 0.0 |
| SRX10_002166 | Aminopeptidase C | pepC | 0.0 |
| SRX10_002386 | Proline iminopeptidase | pepP | 2.92 × 10−257 |
| SRX10_000060 | Oligopeptidase F | pepF2 | 0.0 |
| SRX10_001991 | Oligopeptidase F | pepF | 0.0 |
| SRX10_001495 | PII-type proteinase | prtP | 0.0 |
| SRX10_001622 | Neutral endopeptidase | pepO | 0.0 |
| SRX10_001991 | Oligoendopeptidase F | pepF | 0.0 |
| SRX10_001034 | Dipeptidase | pepD2 | 0.0 |
| SRX10_001432 | Dipeptidase | pepD3 | 0.0 |
| SRX10_001528 | Dipeptidase A | pepDA | 0.0 |
| SRX10_002225 | Dipeptidase (Serine protease) | pepD | 0.0 |
| SRX10_001788 | Beta-Ala-Xaa dipeptidase | pepV | 0.0 |
| SRX10_001725 | Peptidase T | pepT | 2.45 × 10−309 |
| Amino acid metabolism | |||
| SRX10_001504 | Shikimate dehydrogenase (NADP (+)) | aroE | 8.84 × 10−211 |
| SRX10_001502 | Shikimate dehydrogenase (NADP (+)) | aroE | 2.98 × 10−215 |
| SRX10_001556 | Branched-chain amino acid aminotransferase | ilvE | 8.73 × 10−262 |
| EPS biosynthesis | |||
| SRX10_002122 | Glycosyl transferase 4-like | epsD | 1.67 × 10−96 |
| SRX10_002127 | Capsular polysaccharide biosynthesis protein | epsB | 4.88 × 10−141 |
| SRX10_000238 | Exopolyphosphatase | ppx | 5.77 × 10−204 |
| SRX10_000236 | Exopolyphosphatase 3 | ppx3 | 0.0 |
| SRX10_002126 | Tyrosine-protein kinase | ywqD | 1.54 × 10−35 |
| SRX10_002445 | Glycosyltransferase like family 2 | epsG | 4.18 × 10−151 |
| Feature | |
|---|---|
| No. of CRISPR arrays | 0 |
| Phages | |
| Intact | 2 |
| Incomplete | 0 |
| Questionable | 1 |
| Mobile elements | 0 |
| IS elements | 98 |
| Antibiotic resistance genes | |
| Perfect hits | 0 |
| Strict hits | 1 |
| Loose hits | 210 |
| Virulence genes | 0 |
| Biogenic amine genes | 0 |
| Plasmids | 0 |
| Primer Code | Sequence (5′-3′) | Product Size (bp) | Reference |
|---|---|---|---|
| 3.1F | GTCCGTATAACGAGCCAATGC | 137 | This study |
| 3.1R | TCGGACGCATACTAGGACAC | This study | |
| 1.1F | CGTTAAGTGAAGGCGTAGTCG | 534 | This study |
| 1.1R | CCACGCACATGCTATTCTAGTG | This study | |
| LacF | AGCAGTAGGGAATGTTCCA | 340 | [43] |
| LacR | ATTYCACCGCTACACATG | [43] |
Disclaimer/Publisher’s Note: The statements, opinions and data contained in all publications are solely those of the individual author(s) and contributor(s) and not of MDPI and/or the editor(s). MDPI and/or the editor(s) disclaim responsibility for any injury to people or property resulting from any ideas, methods, instructions or products referred to in the content. |
© 2024 by the authors. Licensee MDPI, Basel, Switzerland. This article is an open access article distributed under the terms and conditions of the Creative Commons Attribution (CC BY) license (https://creativecommons.org/licenses/by/4.0/).
Share and Cite
Kamarinou, C.S.; Kiousi, D.E.; Repanas, P.; Argyri, A.A.; Chorianopoulos, N.G.; Galanis, A. Dissecting the Genetic Basis of the Technological, Functional, and Safety Characteristics of Lacticaseibacillus paracasei SRX10. Microorganisms 2024, 12, 93. https://doi.org/10.3390/microorganisms12010093
Kamarinou CS, Kiousi DE, Repanas P, Argyri AA, Chorianopoulos NG, Galanis A. Dissecting the Genetic Basis of the Technological, Functional, and Safety Characteristics of Lacticaseibacillus paracasei SRX10. Microorganisms. 2024; 12(1):93. https://doi.org/10.3390/microorganisms12010093
Chicago/Turabian StyleKamarinou, Christina S., Despoina E. Kiousi, Panagiotis Repanas, Anthoula A. Argyri, Nikos G. Chorianopoulos, and Alex Galanis. 2024. "Dissecting the Genetic Basis of the Technological, Functional, and Safety Characteristics of Lacticaseibacillus paracasei SRX10" Microorganisms 12, no. 1: 93. https://doi.org/10.3390/microorganisms12010093
APA StyleKamarinou, C. S., Kiousi, D. E., Repanas, P., Argyri, A. A., Chorianopoulos, N. G., & Galanis, A. (2024). Dissecting the Genetic Basis of the Technological, Functional, and Safety Characteristics of Lacticaseibacillus paracasei SRX10. Microorganisms, 12(1), 93. https://doi.org/10.3390/microorganisms12010093

