Optimization of Enterotoxigenic Escherichia coli (ETEC) Outer Membrane Vesicles Production and Isolation Method for Vaccination Purposes
Abstract
1. Introduction
2. Materials and Methods
2.1. Animal Ethics Statement
2.2. Bacterial Strain and Cell Line
2.3. Vesicles Production and Purification
2.4. Bacterial Vesicles Size Analysis
2.5. Quantitative Analysis of the Protein Content
2.6. Qualitative and Quantitative Analysis of the LPS
2.7. Polyclonal Antibodies Production
2.8. Immunoblotting
2.9. Cellular Assays
2.9.1. HEK293-TLR4 Cell Stimulation Assay
2.9.2. Cell Viability Assay
2.9.3. Macrophage Stimulation Assay
2.10. Mice Immunization and Specific Antibody Response
2.11. Statistical Analysis
3. Results
3.1. Yield
3.2. Bacterial Vesicles Characterization
3.2.1. Size
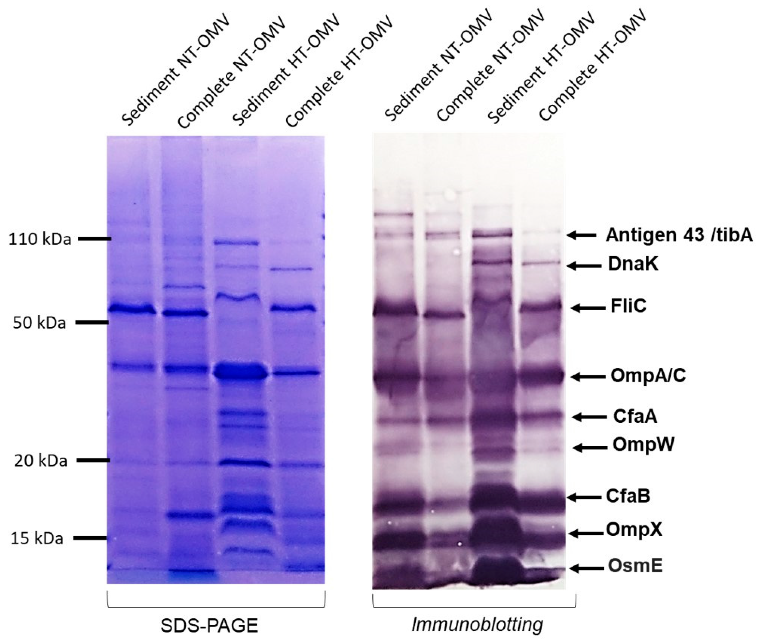
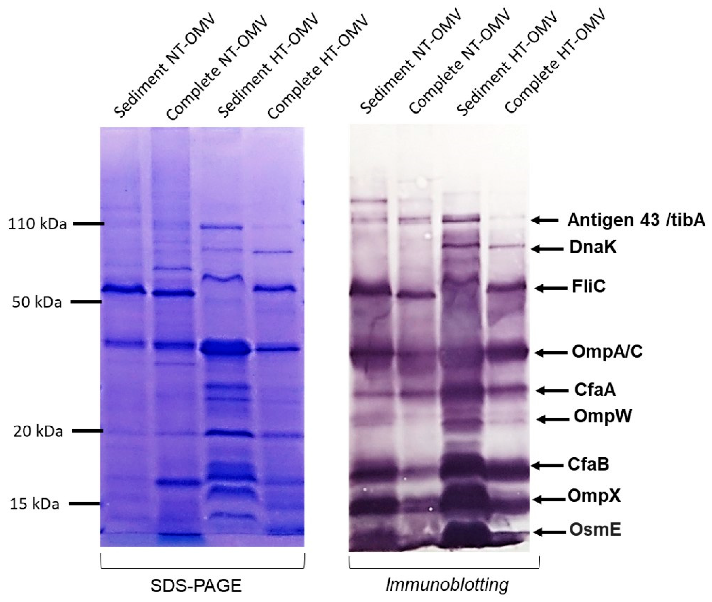
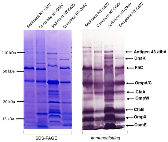
3.2.2. Quantitative and Qualitative Protein Analysis
3.2.3. Quantitative and Qualitative LPS Analysis
3.2.4. Antigenicity
3.3. Evaluation of In Vitro Biological Activities of the Samples
3.3.1. Activation of HEK293 Cells Expressing TLR4
3.3.2. Cell Viability Assays
3.3.3. Phagocytosis
3.3.4. Cell Stimulation Assay
3.4. Evaluation of Immunogenicity of the Vesicles in BALB/C Mice
4. Discussion
Supplementary Materials
Author Contributions
Funding
Data Availability Statement
Acknowledgments
Conflicts of Interest
References
- Khalil, I.A.; Troeger, C.; Blacker, B.F.; Rao, P.C.; Brown, A.; Atherly, D.E.; Brewer, T.G.; Engmann, C.M.; Houpt, E.R.; Kang, G.; et al. Morbidity and mortality due to Shigella and Enterotoxigenic Escherichia coli diarrhoea: The Global Burden of Disease Study 1990–2016. Lancet Infect. Dis. 2018, 18, 1229–1240. [Google Scholar] [CrossRef] [PubMed]
- Anderson, J.D.; Bagamian, K.H.; Muhib, F.; Amaya, M.P.; A Laytner, L.; Wierzba, T.; Rheingans, R. Burden of Enterotoxigenic Escherichia coli and Shigella non-fatal diarrhoeal infections in 79 low-income and lower middle-income countries: A modelling analysis. Lancet Glob. Health 2019, 7, e321–e330. [Google Scholar] [CrossRef]
- Sanders, J.W.; Riddle, M.S.; Taylor, D.N.; DuPont, H.L. Epidemiology of Travelers’ Diarrhea. Travel Medicine, 4th ed.; Elsevier: Amsterdam, The Netherlands, 2019; pp. 187–198. [Google Scholar] [CrossRef]
- von Mentzer, A.; Connor, T.R.; Wieler, L.H.; Semmler, T.; Iguchi, A.; Thomson, N.R.; A Rasko, D.A.; Joffré, E.; Corander, J.; Pickard, D.; et al. Identification of enterotoxigenic Escherichia coli (ETEC) clades with long-term global distribution. Nat. Genet. 2014, 46, 1321–1326. [Google Scholar] [CrossRef] [PubMed]
- Porter, C.K.; Riddle, M.S.; Tibble, D.R.; Bougeois, A.L.; McKenzie, R.; Isidean, S.D.; Sebeny, P.; Savarino, S.J. A systematic review of experimental infections with enterotoxigenic Escherichia coli (ETEC). Vaccine 2011, 29, 5869–5885. [Google Scholar] [CrossRef] [PubMed]
- Steinsland, H.; Lacher, D.W.; Sommerfelt, H.; Whittam, T.S. Ancestral Lineages of Human Enterotoxigenic Escherichia coli. J. Clin. Microbiol. 2010, 48, 2916–2924. [Google Scholar] [CrossRef]
- Bourgeois, A.L.; Wierzba, T.F.; Walker, R.I. Status of vaccine research and development for enterotoxigenic Escherichia coli. Vaccine 2016, 34, 2880–2886. [Google Scholar] [CrossRef]
- Svennerholm, A.-M. From cholera to enterotoxigenic Escherichia coli (ETEC) vaccine development. Indian J. Med Res. 2011, 133, 188–194. [Google Scholar]
- Fleckenstein, J.M. Confronting Challenges to Enterotoxigenic Escherichia coli Vaccine Development. Front. Trop. Dis. 2021, 2, 709907. [Google Scholar] [CrossRef]
- Schwechheimer, C.; Kuehn, M.J. Outer-membrane vesicles from Gram-negative bacteria: Biogenesis and functions. Nat. Rev. Genet. 2015, 13, 605–619. [Google Scholar] [CrossRef]
- Toyofuku, M.; Nomura, N.; Eberl, L. Types and origins of bacterial membrane vesicles. Nat. Rev. Microbiol. 2019, 17, 13–24. [Google Scholar] [CrossRef]
- Li, M.; Zhou, H.; Yang, C.; Wu, Y.; Zhou, X.; Liu, H.; Wang, Y. Bacterial outer membrane vesicles as a platform for biomedical applications: An update. J. Control. Release 2020, 323, 253–268. [Google Scholar] [CrossRef] [PubMed]
- Balhuizen, M.D.; Veldhuizen, E.J.A.; Haagsman, H.P. Outer Membrane Vesicle Induction and Isolation for Vaccine Development. Front. Microbiol. 2021, 12, 629090. [Google Scholar] [CrossRef] [PubMed]
- Klimentová, J.; Stulík, J. Methods of isolation and purification of outer membrane vesicles from gram-negative bacteria. Microbiol. Res. 2015, 170, 1–9. [Google Scholar] [CrossRef] [PubMed]
- de Jonge, E.F.; Balhuizen, M.D.; van Boxtel, R.; Wu, J.; Haagsman, H.P.; Tommassen, J. Heat shock enhances outer-membrane vesicle release in Bordetella spp. Curr. Res. Microb. Sci. 2021, 2, 100009. [Google Scholar] [CrossRef] [PubMed]
- Gamalier, J.P.; Silva, T.P.; Zarantonello, V.; Dias, F.F.; Melo, R.C. Increased production of outer membrane vesicles by cultured freshwater bacteria in response to ultraviolet radiation. Microbiol. Res. 2017, 194, 38–46. [Google Scholar] [CrossRef] [PubMed]
- Baumgarten, T.; Sperling, S.; Seifert, J.; von Bergen, M.; Steiniger, F.; Wick, L.Y.; Heipieper, H.J. Membrane Vesicle Formation as a Multiple-Stress Response Mechanism Enhances Pseudomonas putida DOT-T1E Cell Surface Hydrophobicity and Biofilm Formation. Appl. Environ. Microbiol. 2012, 78, 6217–6224. [Google Scholar] [CrossRef]
- Acevedo, R.; Fernã¡Ndez, S.; Zayas, C.; Acosta, A.; Sarmiento, M.E.; Ferro, V.A.; Rosenqvist, E.; Campa, C.; Cardoso, D.; Garcia, L.; et al. Bacterial Outer Membrane Vesicles and Vaccine Applications. Front. Immunol. 2014, 5, 121. [Google Scholar] [CrossRef]
- van der Pol, L.; Stork, M.; van der Ley, P. Outer membrane vesicles as platform vaccine technology. Biotechnol. J. 2015, 10, 1689–1706. [Google Scholar] [CrossRef]
- Avila-Calderón, E.D.; Ruiz-Palma, M.d.S.; Aguilera-Arreola, M.G.; Velázquez-Guadarrama, N.; Ruiz, E.A.; Gomez-Lunar, Z.; Witonsky, S.; Contreras-Rodríguez, A. Outer Membrane Vesicles of Gram-Negative Bacteria: An Outlook on Biogenesis. Front. Microbiol. 2021, 12, 557902. [Google Scholar] [CrossRef]
- Micoli, F.; Nakakana, U.N.; Berlanda Scorza, F. Towards a Four-Component GMMA-Based Vaccine against Shigella. Vaccines 2022, 10, 328. [Google Scholar] [CrossRef]
- Lowry, O.H.; Rosebrough, N.J.; Farr, A.L.; Randall, R.J. Protein measurement with the Folin phenol reagent. J. Biol. Chem. 1951, 193, 265–275. [Google Scholar] [CrossRef]
- Lachén-Montes, M.; González-Morales, A.; Zelaya, M.V.; Pérez-Valderrama, E.; Ausín, K.; Ferrer, I.; Fernández-Irigoyen, J.; Santamaría, E. Olfactory bulb neuroproteomics reveals a chronological perturbation of survival routes and a disruption ofprohibitin complex during Alzheimer’s disease progression. Sci. Rep. 2017, 7, 9115. [Google Scholar] [CrossRef] [PubMed]
- Lachén-Montes, M.; González-Morales, A.; de Morentin, X.M.; Pérez-Valderrama, E.; Ausín, K.; Zelaya, M.V.; Serna, A.; Aso, E.; Ferrer, I.; Fernández-Irigoyen, J.; et al. An early dysregulation of FAK and MEK/ERK signaling pathways precedes the β-amyloiddeposition in the olfactory bulb of APP/PS1 mouse model of Alzheimer’s disease. J. Proteom. 2016, 148, 149–158. [Google Scholar] [CrossRef] [PubMed]
- Shilov, I.V.; Seymour, S.L.; Patel, A.A.; Loboda, A.; Tang, W.H.; Keating, S.P.; Hunter, C.L.; Nuwaysir, L.M.; Schaeffer, D.A. TheParagon Algorithm, a Next Generation Search Engine That Uses Sequence Temperature Values and Feature Probabilities toIdentify Peptides from Tandem Mass Spectra. Mol. Cell. Proteom. 2007, 6, 1638–1655. [Google Scholar] [CrossRef] [PubMed]
- Tang, W.H.; Shilov, I.V.; Seymour, S.L. Nonlinear Fitting Method for Determining Local False Discovery Rates from DecoyDatabase Searches. J. Proteome Res. 2008, 7, 3661–3667. [Google Scholar] [CrossRef]
- Quesenberry, M.; Lee, Y. A Rapid Formaldehyde Assay Using Purpald Reagent: Application under Periodation Conditions. Anal. Biochem. 1996, 234, 50–55. [Google Scholar] [CrossRef]
- Tsai, C.M.; Frasch, C.E. A sensitive silver stain for detecting lipopolysaccharides in polyacrylamide gels. Anal. Biochem. 1982, 119, 115–119. [Google Scholar] [CrossRef]
- Gadó, I.; Erdei, J.; Laszlo, V.G.; Pászti, J.; Czirók, E.; Kontrohr, T.; Tóth, I.; Forsgren, A.; Naidu, A.S. Correlation between human lactoferrin binding and colicin susceptibility in Escherichia coli. Antimicrob. Agents Chemother. 1991, 35, 2538–2543. [Google Scholar] [CrossRef]
- Pollard, A.J.; Bijker, E.M. A guide to vaccinology: From basic principles to new developments. Nat. Rev. Immunol. 2021, 21, 83–100. [Google Scholar] [CrossRef]
- Duan, Q.; Xia, P.; Nandre, R.; Zhang, W.; Zhu, G. Review of Newly Identified Functions Associated with the Heat-Labile Toxin of Enterotoxigenic Escherichia coli. Front. Cell. Infect. Microbiol. 2019, 9, 292. [Google Scholar] [CrossRef]
- Jeannin, P.; Magistrelli, G.; Goetsch, L.; Haeuw, J.-F.; Thieblemont, N.; Bonnefoy, J.-Y.; Delneste, Y. Outer membrane protein A (OmpA): A new pathogen-associated molecular pattern that interacts with antigen presenting cells—Impact on vaccine strategies. Vaccine 2002, 20, A23–A27. [Google Scholar] [CrossRef]
- Ansari, H.; Tahmasebi-Birgani, M.; Bijanzadeh, M.; Doosti, A.; Kargar, M. Study of the immunogenicity of outer membrane protein A (ompA) gene from Acinetobacter baumannii as DNA vaccine candidate in vivo. Iran. J. Basic Med. Sci. 2019, 22, 669–675. [Google Scholar]
- Pérez-Toledo, M.; Valero-Pacheco, N.; Pastelin-Palacios, R.; Gil-Cruz, C.; Perez-Shibayama, C.; Moreno-Eutimio, M.A.; Becker, I.; Pérez-Tapia, S.M.; Arriaga-Pizano, L.; Cunningham, A.F.; et al. Salmonella Typhi Porins OmpC and OmpF Are Potent Adjuvants for T-Dependent and T-Independent Antigens. Front. Immunol. 2017, 8, 230. [Google Scholar] [CrossRef] [PubMed]
- Hays, M.P.; Houben, D.; Yang, Y.; Luirink, J.; Hardwidge, P.R. Immunization with Skp Delivered on Outer Membrane Vesicles Protects Mice Against Enterotoxigenic Escherichia coli Challenge. Front. Cell. Infect. Microbiol. 2018, 8, 132. [Google Scholar] [CrossRef] [PubMed]
- A Hajam, I.; A Dar, P.; Shahnawaz, I.; Jaume, J.C.; Lee, J.H. Bacterial flagellin—A potent immunomodulatory agent. Exp. Mol. Med. 2017, 49, e373. [Google Scholar] [CrossRef]
- Khalil, I.; Walker, R.; Porter, C.K.; Muhib, F.; Chilengi, R.; Cravioto, A.; Guerrant, R.; Svennerholm, A.-M.; Qadri, F.; Baqar, S.; et al. Enterotoxigenic Escherichia coli (ETEC) vaccines: Priority activities to enable product development, licensure, and global access. Vaccine 2021, 39, 4266–4277. [Google Scholar] [CrossRef]
- Luo, Q.; Qadri, F.; Kansal, R.; Rasko, D.A.; Sheikh, A.; Fleckenstein, J.M. Conservation and Immunogenicity of Novel Antigens in Diverse Isolates of Enterotoxigenic Escherichia coli. PLOS Negl. Trop. Dis. 2015, 9, e0003446. [Google Scholar] [CrossRef] [PubMed]
- Ma, Y. Recent advances in nontoxic Escherichia coli heat-labile toxin and its derivative adjuvants. Expert Rev. Vaccines 2016, 15, 1361–1371. [Google Scholar] [CrossRef]
- Turner, L.; Bitto, N.J.; Steer, D.L.; Lo, C.; D’costa, K.; Ramm, G.; Shambrook, M.; Hill, A.F.; Ferrero, R.L.; Kaparakis-Liaskos, M. Helicobacter pylori Outer Membrane Vesicle Size Determines Their Mechanisms of Host Cell Entry and Protein Content. Front. Immunol. 2018, 9, 1466. [Google Scholar] [CrossRef] [PubMed]
- E Ritter, T.; Fajardo, O.; Matsue, H.; Anderson, R.G.; Lacey, S.W. Folate receptors targeted to clathrin-coated pits cannot regulate vitamin uptake. Proc. Natl. Acad. Sci. USA 1995, 92, 3824–3828. [Google Scholar] [CrossRef]
- O’Donoghue, E.J.; Krachler, A.M. Mechanisms of outer membrane vesicle entry into host cells. Cell. Microbiol. 2016, 18, 1508–1517. [Google Scholar] [CrossRef] [PubMed]
- Théry, C.; Amigorena, S.; Raposo, G.; Clayton, A. Isolation and Characterization of Exosomes from Cell Culture Supernatants and Biological Fluids. Curr. Protoc. Cell Biol. 2006, 30, 1–29. [Google Scholar] [CrossRef] [PubMed]
- Issman, L.; Brenner, B.; Talmon, Y.; Aharon, A. Cryogenic Transmission Electron Microscopy Nanostructural Study of Shed Microparticles. PLoS ONE 2013, 8, e83680. [Google Scholar] [CrossRef]
- Witwer, K.W.; Buzás, E.I.; Bemis, L.T.; Bora, A.; Lässer, C.; Lötvall, J.; Nolte-’t Hoen, E.N.; Piper, M.G.; Sivaraman, S.; Skog, J.; et al. Standardization of sample collection, isolation and analysis methods in extracellular vesicle research. J. Extracell. Vesicles 2013, 2, 20360. [Google Scholar] [CrossRef]
- Linares, R.; Tan, S.; Gounou, C.; Arraud, N.; Brisson, A.R. High-speed centrifugation induces aggregation of extracellular vesicles. J. Extracell. Vesicles 2015, 4, 29509. [Google Scholar] [CrossRef]
- Reimer, S.L.; Beniac, D.R.; Hiebert, S.L.; Booth, T.F.; Chong, P.M.; Westmacott, G.R.; Zhanel, G.G.; Bay, D.C. Comparative Analysis of Outer Membrane Vesicle Isolation Methods with an Escherichia coli tolA Mutant Reveals a Hypervesiculating Phenotype With Outer-Inner Membrane Vesicle Content. Front. Microbiol. 2021, 12, 628801. [Google Scholar] [CrossRef]
- Chaplin, D.D. Overview of the immune response. J. Allergy Clin. Immunol. 2010, 125, S3–S23. [Google Scholar] [CrossRef]
- Dauphinee, S.M.; Karsan, A. Lipopolysaccharide signaling in endothelial cells. Lab. Investig. 2006, 86, 9–22. [Google Scholar] [CrossRef]
- Rossi, O.; Citiulo, F.; Mancini, F. Outer membrane vesicles: Moving within the intricate labyrinth of assays that can predict risks of reactogenicity in humans. Hum. Vaccines Immunother. 2021, 17, 601–613. [Google Scholar] [CrossRef]
- Raetz, C.R.H.; Whitfield, C. Lipopolysaccharide Endotoxins Endotoxins as Activators of Innate Immunity. Annu. Rev. Biochem. 2008, 71, 635–700. [Google Scholar] [CrossRef] [PubMed]
- Vidal, R.M.; Muhsen, K.; Tennant, S.M.; Svennerholm, A.-M.; Sow, S.O.; Sur, D.; Zaidi, A.K.M.; Faruque, A.S.G.; Saha, D.; Adegbola, R.; et al. Colonization factors among enterotoxigenic Escherichia coli isolates from children with moderate-to-severe diarrhea and from matched controls in the Global Enteric Multicenter Study (GEMS). PLoS Neglected Trop. Dis. 2019, 13, e0007037. [Google Scholar] [CrossRef] [PubMed]
- Steven, T.P.; Milton, M., Jr.; Premkumar, D.; Kathleen, E.D.; Annette, L.; Veigh, M.; Yang, L.; Eileen, B.; Christen, G.; Michael, G.P.; et al. Biochemical and Immunological Evaluation of Recombinant CS6-Derived Subunit Enterotoxigenic Escherichia coli Vaccine Candidates. Infect. Immun. 2019, 87, 3. [Google Scholar]
- Espinosa, M.F.; Sancho, A.N.; Mendoza, L.M.; Mota, C.R.; Verbyla, M.E. Systematic review and meta-analysis of time-temperature pathogen inactivation. Int. J. Hyg. Environ. Health 2020, 230, 113595. [Google Scholar] [CrossRef] [PubMed]
- Qing, G.; Gong, N.; Chen, X.; Chen, J.; Zhang, H.; Wang, Y.; Wang, R.; Zhang, S.; Zhang, Z.; Zhao, X.; et al. Natural and engineered bacterial outer membrane vesicles. Biophys. Rep. 2019, 5, 184–198. [Google Scholar] [CrossRef]








| Vesicle Type | Vesicles in PBS (%) | Sonicated Vesicles in PBS-Tween (%) | ||||
|---|---|---|---|---|---|---|
| <50 nm | 50–300 nm | >300 nm | <50 nm | 50–300 nm | >300 nm | |
| NT-OMV a (sediment) | 0.0 ± 0.0 | 41.3 ± 2.8 | 58.7 ± 2.8 | 32.0 ± 0.0 | 23.7 ± 0.6 | 44.3 ± 0.6 |
| NT-OMV a (complete) | 23.3 ± 12.5 | 38.7 ± 1.5 | 38 ± 14.0 | 35.7 ± 0.6 | 30.3 ± 0.6 | 34 ± 0.5 |
| HT-OMV b (sediment) | 9.3 ± 2.0 | 44.3 ± 2.5 | 46.3 ± 0.6 | 16.0 ± 8.4 | 60.0 ± 11.3 | 24 ± 9.1 |
| HT-OMV b (complete) | 24.0 ± 0.0 | 44.5 ± 0.7 | 31.5 ± 0.7 | 22.5 ± 2.1 | 59.5 ± 4.9 | 18 ± 7.0 |
| Log iBaqs. | ||||||
|---|---|---|---|---|---|---|
| Uniprot Identifier | Gene | Protein | NT-OMV (Sediment) | NT-OMV (Complete) | HT-OMV (Sediment) | HT-OMV (Complete) |
| E3PJ90 | yghJ ETEC_3241 | Putative lipoprotein YghJ | 8.04 | 8.33 | 6.39 | 5.43 |
| E3PD73 | flu ETEC_4462 | Putative antigen 43 (Fluffing protein) | 6.82 | 7.41 | 7.87 | 7.42 |
| D3H0H9 | ompA EC042_1042 | Outer membrane protein A | 6.54 | 7.28 | 6.45 | 7.19 |
| D3H0Q5 | ompC EC042_2456 | Outer membrane protein C | 8.64 | 7.70 | 9.05 | 6.59 |
| E3PI44 | ETEC_0881 | Outer membrane protein X | 8.64 | 9.06 | 9.53 | 9.35 |
| E3PL14 | ETEC_1358 | Outer membrane protein W | 8.36 | 8.40 | 8.78 | 8.70 |
| E3PIV0 | ETEC_0997 | Outer membrane protein F | 7.54 | 7.98 | 8.13 | 7.31 |
| E3PAU9 | ETEC_2032 | Flagellin | 8.88 | 8.84 | 8.49 | 8.77 |
| E3PDD0 | ETEC_0173 | Chaperone protein Skp | 7.40 | 7.46 | 8.62 | 8.23 |
| E3PBA3 | dnaK ETEC_0013 | Chaperone protein DnaK | 8.79 | 7.95 | 7.88 | 8.63 |
| E3PDA1 | groEL ETEC_4490 | Chaperonin GroEL (60 kDa chaperonin) (Cpn60) | 8.99 | 9.18 | 7.31 | 7.96 |
| E3PNC3 | ETEC_1771 | Osmotically inducible lipoprotein E | 7.92 | 7.92 | 9.32 | 8.94 |
| E3PIP9 | ETEC_3168 | Putative lipoprotein | 7.72 | 8.28 | 8.16 | 8.00 |
| E3PMQ2 | lpp ETEC_1710 | Major outer membrane lipoprotein Lpp (Braun lipoprotein) | 6.97 | 6.97 | 7.94 | 7.50 |
| E3PKJ6 | lolB ETEC_1313 | Outer-membrane lipoprotein LolB | 6.79 | 7.24 | 8.62 | 7.98 |
| B7UTL1 | traV E2348_P1_065 | Pilus assembly lipoprotein | 7.25 | 7.98 | 7.25 | 6.99 |
| D3GZW1 | lolA EC042_0983 | Outer-membrane lipoprotein carrier protein | 5.89 | 6.03 | 7.32 | 7.45 |
| E3PDA9 | ETEC_4498 | Outer membrane lipoprotein Blc | 6.64 | 7.15 | 8.06 | 7.59 |
| Log iBaqs. | ||||||
|---|---|---|---|---|---|---|
| Uniprot Identifier | Gene | Protein | NT-OMV (Sediment) | NT-OMV (Complete) | HT-OMV (Sediment) | HT-OMV (Complete) |
| E3PP99 | etpA ETEC_p948_0110 | Two-partner secreted adhesin EtpA | 7.32 | 8.11 | 7.68 | 7.11 |
| E3PPA0 | etpB ETEC_p948_0120 | Putative two-partner secretion transporter EtpB | 6.51 | 7.42 | 7.29 | 6.74 |
| Q9XD84 | tibA ETEC_2141 | Adhesin/invasin TibA autotransporter | 7.71 | 8.17 | 8.07 | 7.69 |
| Q84GK0 | eatA ETEC_p948_0020 | Serine protease EatA | 7.54 | 7.50 | 7.47 | 7.30 |
| A7ZGL8 | eltA EcE24377A_F0020 | Heat-labile enterotoxin A chain | 7.12 | 7.82 | 5.94 | 0.00 |
| D7GK42 | eltB ETEC1392/75_p1018_007 | Heat-labile enterotoxin B chain | 7.76 | 8.58 | 7.24 | 6.51 |
| D0Z6V6 | relB ETEC_p666_0010 | Antitoxin of toxin-antitoxin stability system | 0.00 | 0.00 | 6.21 | 7.69 |
| E3PPC3 | cfaA ETEC_p948_0390 | CfA/I fimbrial subunit A | 5.77 | 6.25 | 6.74 | 5.64 |
| E3PPC4 | cfaB ETEC_p948_0400 | CFA/I fimbrial subunit B | 8.47 | 8.53 | 6.77 | 7.26 |
| E3PPC5 | cfaC ETEC_p948_0410 | Cfa/I fimbrial subunit C | 4.64 | 5.83 | 6.13 | 4.62 |
| E3PPC6 | cfaE ETEC_p948_0420 | Cfa/I fimbrial subunit E | 5.83 | 6.42 | 6.18 | 5.29 |
Disclaimer/Publisher’s Note: The statements, opinions and data contained in all publications are solely those of the individual author(s) and contributor(s) and not of MDPI and/or the editor(s). MDPI and/or the editor(s) disclaim responsibility for any injury to people or property resulting from any ideas, methods, instructions or products referred to in the content. |
© 2023 by the authors. Licensee MDPI, Basel, Switzerland. This article is an open access article distributed under the terms and conditions of the Creative Commons Attribution (CC BY) license (https://creativecommons.org/licenses/by/4.0/).
Share and Cite
Berzosa, M.; Delgado-López, A.; Irache, J.M.; Gamazo, C. Optimization of Enterotoxigenic Escherichia coli (ETEC) Outer Membrane Vesicles Production and Isolation Method for Vaccination Purposes. Microorganisms 2023, 11, 2088. https://doi.org/10.3390/microorganisms11082088
Berzosa M, Delgado-López A, Irache JM, Gamazo C. Optimization of Enterotoxigenic Escherichia coli (ETEC) Outer Membrane Vesicles Production and Isolation Method for Vaccination Purposes. Microorganisms. 2023; 11(8):2088. https://doi.org/10.3390/microorganisms11082088
Chicago/Turabian StyleBerzosa, Melibea, Alberto Delgado-López, Juan Manuel Irache, and Carlos Gamazo. 2023. "Optimization of Enterotoxigenic Escherichia coli (ETEC) Outer Membrane Vesicles Production and Isolation Method for Vaccination Purposes" Microorganisms 11, no. 8: 2088. https://doi.org/10.3390/microorganisms11082088
APA StyleBerzosa, M., Delgado-López, A., Irache, J. M., & Gamazo, C. (2023). Optimization of Enterotoxigenic Escherichia coli (ETEC) Outer Membrane Vesicles Production and Isolation Method for Vaccination Purposes. Microorganisms, 11(8), 2088. https://doi.org/10.3390/microorganisms11082088

