Hantavirus Pulmonary Syndrome Caused by Puumala Orthohantavirus—A Case Report and Literature Review
Abstract
1. Introduction
2. Materials and Methods
2.1. Serological Methods
2.2. RT-PCR and Next-Generation Sequencing
2.2.1. Sample Preparation for Next-Generation Sequencing
2.2.2. Next-Generation Sequencing Library Preparation and Sequencing
2.2.3. Bioinformatic Analysis
2.3. Chemokine Determination
2.4. Literature Search for Hemorrhagic Fever with Pulmonary Syndrome
3. Results
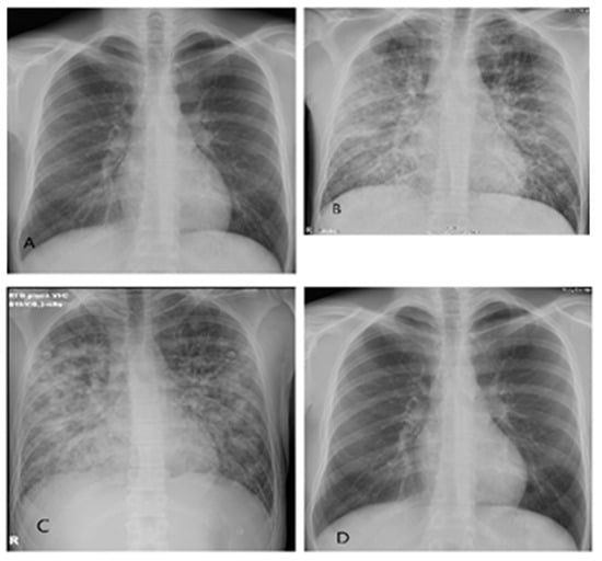
3.1. Case Report
3.2. Microbiology Results
3.3. Chemokine Concentrations and HLA Typing
3.4. Literature Review
4. Discussion
5. Conclusions
Author Contributions
Funding
Institutional Review Board Statement
Informed Consent Statement
Data Availability Statement
Acknowledgments
Conflicts of Interest
References
- Vial, P.A.; Ferrés, M.; Vial, C.; Klingström, J.; Ahlm, C.; López, R.; Le Corre, N.; Mertz, G.J. Hantavirus in humans: A review of clinical aspects and management. Lancet Infect. Dis. 2023, 23, e371–e382. [Google Scholar] [CrossRef] [PubMed]
- Tariq, M.; Kim, D.M. Hemorrhagic Fever with Renal Syndrome: Literature Review, Epidemiology, Clinical Picture and Pathogenesis. Infect. Chemother. 2022, 54, 1–19. [Google Scholar] [CrossRef] [PubMed]
- Akram, S.M.; Mangat, R.; Huang, B. Hantavirus cardiopulmonary syndrome. In StatPearls [Internet]; StatPearls Publishing: Treasure Island, FL, USA, 2023. [Google Scholar]
- Radosevic, Z.; Mohacek, I. The problem of nephropathia epidemica Myhrman-Zetterholm in relation to acute interstitial ne-phritis. Acta Med. Scand. 1954, 149, 221–228. [Google Scholar] [CrossRef] [PubMed]
- Kuzman, I.; Markotic, A.; Turcinov, D.; Beus, I. An epidemic of hemorrhagic fever with renal syndrome in Croatia in 1995. Lijec. Vjesn. 1997, 119, 311–315. [Google Scholar] [PubMed]
- Cvetko, L.; Markotić, A.; Plyusnina, A.; Margaletić, J.; Miletić-Medved, M.; Turk, N.; Milas, Z.; Avsic-Zupanc, T.; Plyusnin, A. Puumala virus in Croatia in the 2002 HFRS outbreak. J. Med. Virol. 2005, 77, 290–294. [Google Scholar] [CrossRef] [PubMed]
- Kuzman, I.; Puljiz, I.; Turcinov, D.; Markotić, A.; Turković, B.; Aleraj, B.; Andrić, Z.; Petković, D.; Tutek, V.; Herendić, B.; et al. The biggest epidemic of hemorrhagic fever with renal syndrome in Croatia. Acta Med. Croatica. 2003, 57, 337–346. (In Croatian) [Google Scholar] [PubMed]
- Vilibic-Cavlek, T.; Furic, A.; Barbic, L.; Tabain, I.; Stevanovic, V.; Mlinaric-Galinovic, G. Clinical and virological characteristics of hantavirus infections in a 2014 Croatian outbreak. J. Infect. Dev. Ctries 2017, 11, 73–80. [Google Scholar] [CrossRef] [PubMed][Green Version]
- Croatian Institute of Public Health. Croatian Health Statistics Yearbook. Infectious Diseases in Croatia in 2021. 2021, p. 175. Available online: https://www.hzjz.hr/wp-content/uploads/2023/05/HZSLj_-_2021_v._05.2023.pdf (accessed on 15 November 2023). (In Croatian).
- Vilibic-Cavlek, T.; Barbic, L.; Mrzljak, A.; Brnic, D.; Klobucar, A.; Ilic, M.; Janev-Holcer, N.; Bogdanic, M.; Jemersic, L.; Stevanovic, V.; et al. Emerging and Neglected Viruses of Zoonotic Importance in Croatia. Pathogens 2021, 10, 73. [Google Scholar] [CrossRef]
- Puljiz, I.; Kuzman, I.; Turcinov, D.; Markotić, A.; Celjuska, E. [Clinical and epidemiologic characteristics of hemorrhagic fever with renal syndrome in patients treated at the Dr. Fran Mihaljević Clinic for Infectious Diseases in Zagreb]. Acta Med. Croatica. 2003, 57, 347–353. [Google Scholar]
- Turčinov, D.; Puljiz, I.; Markotić, A.; Kuzman, I.; Begovac, J. Clinical and laboratory findings in patients with oliguric and non-oliguric hantavirus haemorrhagic fever with renal syndrome: An analysis of 128 patients. Clin. Microbiol. Infect. 2013, 19, 674–679. [Google Scholar] [CrossRef]
- Nichol, S.T.; Spiropoulou, C.F.; Morzunov, S.; Rollin, P.E.; Ksiazek, T.G.; Feldmann, H.; Sanchez, A.; Childs, J.; Zaki, S.; Peters, C.J. Genetic identification of a hantavirus associated with an outbreak of acute respiratory illness. Science 1993, 262, 914–917. [Google Scholar] [CrossRef] [PubMed]
- Bowen, M.D.; Gelbmann, W.; Ksiazek, T.; Nichol, S.T.; Nowotny, N. Puumala virus and two genetic variants of Tula virus are present in Austrian rodents. J. Med. Virol. 1997, 53, 174–181. [Google Scholar] [CrossRef]
- Fernandez-Cassi, X.; Rusiñol, M.; Martínez-Puchol, S. Viral Concentration and Amplification from Human Serum Samples Prior to Application of Next-Generation Sequencing Analysis. Methods Mol. Biol. 2018, 1838, 173–188. [Google Scholar] [CrossRef] [PubMed]
- Babraham Bioinformatics. A Quality Control Tool for High Throughput Sequence Data. Available online: https://www.bioinformatics.babraham.ac.uk/projects/fastqc/ (accessed on 20 November 2023).
- Joint Genome Institute. BBTools User Guide. Available online: https://jgi.doe.gov/data-and-tools/software-tools/bbtools/bb-tools-user-guide/bbduk-guide/ (accessed on 20 November 2023).
- Nurk, S.; Meleshko, D.; Korobeynikov, A.; Pevzner, P.A. MetaSPAdes: A new versatile metagenomic assembler. Genome Res. 2017, 27, 824–834. [Google Scholar] [CrossRef] [PubMed]
- Buchfink, B.; Reuter, K.; Drost, H.G. Sensitive protein alignments at tree-of-life scale using DIAMOND. Nat. Methods 2021, 18, 366–368. [Google Scholar] [CrossRef]
- Huson, D.H.; Beier, S.; Flade, I.; Górska, A.; El-Hadidi, M.; Mitra, S.; Ruscheweyh, H.J.; Tappu, R. MEGAN Community Edition—Interactive Exploration and Analysis of Large-Scale Microbiome Sequencing Data. PLoS Comput. Biol. 2016, 12, e1004957. [Google Scholar] [CrossRef] [PubMed]
- Nguyen, L.T.; Schmidt, H.A.; von Haeseler, A.; Minh, B.Q. IQ-TREE: A fast and effective stochastic algorithm for estimating maximum-likelihood phylogenies. Mol. Biol. Evol. 2015, 32, 268–274. [Google Scholar] [CrossRef] [PubMed]
- Hoang, D.T.; Chernomor, O.; von Haeseler, A.; Minh, B.Q.; Vinh, L.S. UFBoot2: Improving the Ultrafast Bootstrap Approximation. Mol. Biol. Evol. 2018, 35, 518–522. [Google Scholar] [CrossRef]
- Anisimova, M.; Gil, M.; Dufayard, J.F.; Dessimoz, C.; Gascuel, O. Survey of branch support methods demonstrates accuracy, power, and robustness of fast likelihood-based approximation schemes. Syst. Biol. 2011, 60, 685–699. [Google Scholar] [CrossRef]
- Guindon, S.; Dufayard, J.F.; Lefort, V.; Anisimova, M.; Hordijk, W.; Gascuel, O. New algorithms and methods to estimate maximum-likelihood phylogenies: Assessing the performance of PhyML 3.0. Syst. Biol. 2010, 59, 307–321. [Google Scholar] [CrossRef]
- Xie, J.; Chen, Y.; Cai, G.; Cai, R.; Hu, Z.; Wang, H. Tree Visualization by One Table (tvBOT): A web application for visualizing, modifying and annotating phylogenetic trees. Nucleic Acids Res. 2023, 51, 587–592. [Google Scholar] [CrossRef] [PubMed]
- Inker, L.A.; Eneanya, N.D.; Coresh, J.; Tighiouart, H.; Wang, D.; Sang, Y.; Crews, D.C.; Doria, A.; Estrella, M.M.; Froissart, M.; et al. Chronic Kidney Disease Epidemiology Collaboration. New Creatinine- and Cystatin C-Based Equations to Estimate GFR without Race. N. Engl. J. Med. 2021, 385, 1737–1749. [Google Scholar] [CrossRef] [PubMed]
- Katoh, K.; Misawa, K.; Kuma, K.; Miyata, T. MAFFT: A novel method for rapid multiple sequence alignment based on fast Fourier transform. Nucleic Acids Res. 2002, 30, 3059–3066. [Google Scholar] [CrossRef] [PubMed]
- Caramello, P.; Canta, F.; Bonino, L.; Moiraghi, C.; Navone, F.; Lipani, F.; Balbiano, R.; Caputo, A.M.; Gai, V. Puumala virus pulmonary syndrome in a Romanian immigrant. J. Travel Med. 2002, 9, 326–329. [Google Scholar] [CrossRef] [PubMed]
- Seitsonen, E.; Hynninen, M.; Kolho, E.; Kallio-Kokko, H.; Pettilä, V. Corticosteroids combined with continuous veno-venous hemodiafiltration for treatment of hantavirus pulmonary syndrome caused by Puumala virus infection. Eur. J. Clin. Microbiol. Infect. Dis. 2006, 25, 261–266. [Google Scholar] [CrossRef] [PubMed]
- Rasmuson, J.M.; Andersson, C.; Norrman, E.; Haney, M.; Evander, M.; Ahlm, C. Time to revise the paradigm of hantavirus syndromes? Hantavirus pulmonary syndrome caused by European hantavirus. Eur. J. Clin. Microbiol. Infect. Dis. 2011, 30, 685–690. [Google Scholar] [CrossRef] [PubMed]
- Gizzi, M.; Delaere, B.; Weynand, B.; Clement, J.; Maes, P.; Vergote, V.; Laenen, L.; Hjelle, B.; Verroken, A.; Dive, A.; et al. Another case of “European hantavirus pulmonary syndrome” with severe lung, prior to kidney, involvement, and diagnosed by viral inclusions in lung macrophages. Eur. J. Clin. Microbiol. Infect. Dis. 2013, 32, 1341–1345. [Google Scholar] [CrossRef]
- Vollmar, P.; Lubnow, M.; Simon, M.; Müller, T.; Bergler, T.; Alois, P.; Thoma, B.R.; Essbauer, S. Hantavirus cardiopulmonary syndrome due to Puumala virus in Germany. J. Clin. Virol. 2016, 84, 42–47. [Google Scholar] [CrossRef]
- Gozdas, H.T.; Menemenlioğlu, D.; Coşgun, Y.; Çelebi, G. Bilateral massive pneumonia as an unusual manifestation of Puumala hantavirus infection. J. Postgrad. Med. 2018, 64, 237–239. [Google Scholar] [CrossRef]
- Sulleiro, E.; Aznar, M.L.; Serre-Delcor, N.; Salvador, F.; Sanchez-Montalvá, A.; Espasa, M.; Molina, D.; de Ory, F.; Sanchez-Seco, M.P.; Molina, I.; et al. Hantavirus Pulmonary Syndrome in Traveler Returning from Nepal to Spain. Emerg. Infect. Dis. 2020, 26, 150–153. [Google Scholar] [CrossRef]
- Svoboda, P.; Dobler, G.; Markotić, A.; Kurolt, I.C.; Speck, S.; Habuš, J.; Vucelja, M.; Krajinović, L.C.; Tadin, A.; Margaletić, J.; et al. Survey for hantaviruses, tick-borne encephalitis virus, and Rickettsia spp. in small rodents in Croatia. Vector Borne Zoonotic Dis. 2014, 14, 523–530. [Google Scholar] [CrossRef] [PubMed]
- Khaiboullina, S.F.; Levis, S.; Morzunov, S.P.; Martynova, E.V.; Anokhin, V.A.; Gusev, O.A.; St Jeor, S.C.; Lombardi, V.C.; Rizvanov, A.A. Serum Cytokine Profiles Differentiating Hemorrhagic Fever with Renal Syndrome and Hantavirus Pulmonary Syndrome. Front. Immunol. 2017, 8, 567. [Google Scholar] [CrossRef] [PubMed]
- Jin, J.; Lin, J.; Xu, A.; Lou, J.; Qian, C.; Li, X.; Wang, Y.; Yu, W.; Tao, H. CCL2: An Important Mediator Between Tumor Cells and Host Cells in Tumor Microenvironment. Front. Oncol. 2021, 11, 722916. [Google Scholar] [CrossRef] [PubMed]
- Xue, S.; Su, X.M.; Ke, L.N.; Huang, Y.G. CXCL9 correlates with antitumor immunity and is predictive of a favorable prognosis in uterine corpus endometrial carcinoma. Front. Oncol. 2023, 13, 1077780. [Google Scholar] [CrossRef]
- Garanina, E.; Martynova, E.; Davidyuk, Y.; Kabwe, E.; Ivanov, K.; Titova, A.; Markelova, M.; Zhuravleva, M.; Cherepnev, G.; Shakirova, V.G.; et al. Cytokine Storm Combined with Humoral Immune Response Defect in Fatal Hemorrhagic Fever with Renal Syndrome Case, Tatarstan, Russia. Viruses 2019, 11, 601. [Google Scholar] [CrossRef]
- Korva, M.; Rus, K.R.; Pavletič, M.; Saksida, A.; Knap, N.; Jelovšek, M.; Smrdel, K.S.; Jakupi, X.; Humolli, I.; Dedushaj, J.; et al. Characterization of Biomarker Levels in Crimean-Congo Hemorrhagic Fever and Hantavirus Fever with Renal Syndrome. Viruses 2019, 11, 686. [Google Scholar] [CrossRef]
- Mäkelä, S.; Mustonen, J.; Ala-Houhala, I.; Hurme, M.; Partanen, J.; Vapalahti, O.; Vaheri, A.; Pasternack, A. Human leukocyte antigen-B8-DR3 is a more important risk factor for severe Puumala hantavirus infection than the tumor necrosis factor-alpha (-308) G/A polymorphism. J. Infect. Dis. 2002, 186, 843–846. [Google Scholar] [CrossRef]
- Mustonen, J.; Partanen, J.; Kanerva, M.; Pietilä, K.; Vapalahti, O.; Pasternack, A.; Vaheri, A. Genetic susceptibility to severe course of nephropathia epidemica caused by Puumala hantavirus. Kidney Int. 1996, 49, 217–221. [Google Scholar] [CrossRef]
- Huggins, J.W.; Hsiang, C.M.; Cosgriff, T.M.; Guang, M.Y.; Smith, J.I.; Wu, Z.O.; LeDuc, J.W.; Zheng, Z.M.; Meegan, J.M.; Wang, Q.N.; et al. Prospective, double-blind, concurrent, placebo-controlled clinical trial of intravenous ribavirin therapy of hemorrhagic fever with renal syndrome. J. Infect. Dis. 1991, 164, 1119–1127. [Google Scholar] [CrossRef]
- Vial, P.A.; Valdivieso, F.; Ferres, M.; Riquelme, R.; Rioseco, M.L.; Calvo, M.; Castillo, C.; Díaz, R.; Scholz, L.; Cuiza, A.; et al. High-dose intravenous methylprednisolone for hantavirus cardiopulmonary syndrome in Chile: A double-blind, randomized controlled clinical trial. Clin. Infect. Dis. 2013, 57, 943–951. [Google Scholar] [CrossRef]
- Antonen, J.; Leppänen, I.; Tenhunen, J.; Arvola, P.; Mäkelä, S.; Vaheri, A.; Mustonen, J. A severe case of Puumala hantavirus infection successfully treated with bradykinin receptor antagonist icatibant. Scand. J. Infect. Dis. 2013, 45, 494–496. [Google Scholar] [CrossRef] [PubMed]
- Vaheri, A.; Strandin, T.; Jääskeläinen, A.J.; Vapalahti, O.; Jarva, H.; Lokki, M.L.; Antonen, J.; Leppänen, I.; Mäkelä, S.; Meri, S.; et al. Pathophysiology of a severe case of Puumala hantavirus infection successfully treated with bradykinin receptor antagonist icatibant. Antivir. Res. 2014, 111, 23–25. [Google Scholar] [CrossRef] [PubMed]


| Parameter | 31 October 2022 | 3 November 2022 | 7 November 2022 | Reference Range |
|---|---|---|---|---|
| C-reactive protein, mg/L | 182.3 | 10.5 | <5.0 | |
| Procalcitonin, µg/L | 0.761 | <0.5 | ||
| Interleukin-6, ng/L | 199.5 | <7.0 | ||
| Lactate, mmol/L | 1.25 | 1.10–2.20 | ||
| White blood cells, ×109/L | 6.9 | 15.6 | 14.6 | 3.4–9.7 |
| Segmented neutrophils, % | 63.7 | 68.6 | 71.4 | 44–72 |
| Lymphocytes, % | 15.8 | 18.5 | 15.0 | 20–46 |
| Monocytes, % | 13.9 | 12.3 | 11.2 | 2–12 |
| Eosinophils, % | 5.8 | 0.1 | 1.6 | 0–7 |
| Basophils, % | 0.8 | 0.5 | 0.8 | 0–1 |
| Red blood cells, ×1012/L | 4.81 | 4.30 | 3.81 | 4.34–5.72 |
| Hemoglobin, g/L | 148 | 131 | 116 | 138–175 |
| Hematocrit, g/L | 0.438 | 0.382 | 0.341 | >0.415 |
| Thrombocytes, ×109/L | 23 | 72 | 338 | 158–424 |
| Serum sodium, mmol/L | 140 | 140 | 145 | 137–146 |
| Serum potassium, mmol/L | 4.0 | 4.5 | 4.3 | 3.9–5.1 |
| Serum chloride, mmol/L | 103 | 104 | 108 | 97–108 |
| Serum glucose, mmol/L | 5.6 | 4.9 | 4.2–6.0 | |
| Serum urea, mmol/L | 5.7 | 8.4 | 9.3 | 2.8–8.3 |
| Serum creatinine, µmol/L | 87 | 90 | 133 | 64–104 |
| Total bilirubin, µmol/L | 18 | 3–20 | ||
| Aspartate aminotransferase, U/L | 27 | 56 | 11–38 | |
| Alanine aminotransferase, U/L | 13 | 168 | 12–48 | |
| Gamma-glutamyl transpeptidase, U/L | 15 | 117 | 11–55 | |
| Alkaline phosphatase, U/L | 44 | 85 | 60–142 | |
| Lactate dehydrogenase, U/L | 195 | 161 | <241 | |
| Creatine kinase | 51 | 26 | <177 | |
| Hs-Troponin T, µg/L | 0.011 | <0.1 | ||
| NT-pro-BNP, ng/L | 200 | 0–100 | ||
| Serum total protein, g/L | 57 | 56 | 66–81 | |
| Serum albumin, g/L | 33.6 | 30.8 | 40.6–51.4 | |
| Prothrombin time ratio | 0.86 | 1.12 | >0.70 | |
| International normalized ratio, INR | 1.10 | 0.98 | 2.0–3.0 for anticoagulation | |
| Fibrinogen, g/L | 4.4 | 1.8–3.5 | ||
| D dimers, mg/L | 1.69 | <0.55 | ||
| Urine pH | 5.0 | 5.5 | 5.0–9.0 | |
| Urine-specific gravity, kg/L | 1.041 | 1.007 | 1.005–1.030 | |
| Urine-nitrates, negative or positive | negative | negative | negative | |
| Urine-leukocyte esterase, negative to 3+ | 1+ | 1+ | negative | |
| Urine-erythrocytes, negative to 4+ | 1+ | 1+ | negative | |
| Urine-ketones, negative to 4+ | 1+ | negative | negative | |
| Urine-proteins, negative to 4+ | 3+ | 1+ | negative | |
| Urine sediment-white cells (N/v.f.×400) | 1–2 | 1–2 | 0–2 |
| Parameter | 3 November 2022 | 7 November 2022 | Controls (Range) ** |
|---|---|---|---|
| IL-8, pg/mL | 61.6 | 20.2 | not detected—2704 |
| CXCL10, pg/mL | 2474.9 | 1169.3 | 13–1700 |
| CCL11, pg/mL | 49.8 | 204.1 | not detected—18,866 |
| CCL17, pg/mL | 11.4 | 264.3 | 3–253 |
| CCL2, pg/mL | 778.9 | 462.6 | 37–351 |
| CCL3, pg/mL | 264.9 | 310.1 | not detected—924 |
| CXCL9, pg/mL | 3690.8 | 3055.6 | 8–491 |
| CXCL5, pg/mL | <12.6 | 227.9 | 6–326 |
| CCL20, pg/mL | 10.96 | 16.8 | not detected—193 |
| CXCL1, pg/mL | 27.5 | 100.8 | not detected—359 |
| CXCL11, pg/mL | 782.7 | 536.8 | not detected—1356 |
| CCL4, pg/mL | 13.4 | 5.0 | not detected—57 |
| Author, Year, Country, N Patients | Gender, Age | Symptoms and Signs | POS (Days) | ICU | ICU LOS (Days) | Hospital LOS (Days) | Vital Status at Discharge |
|---|---|---|---|---|---|---|---|
| Caramello P., et al., 2002, Italy, 1 [28] | M (NA) | malaise, fever, headache, blurred vision, conjunctival injection, abdominal and back pain | 2 | no | NA | 18 | vital |
| Seitsonen E., et al., 2006, Finland, 2 [29] | M (72 years) | fever, upper abdominal pain, melena | 3 | yes | 18 | NA | vital |
| M (34 years) | high fever, fatigue, myalgia, upper abdominal pain, vomiting, diarrhea | 4 | yes | 15 | 18 | vital | |
| Rasmuson J., et al., 2011, Sweden, 3 [30] | F (73 years) | malaise, fever, nausea, vomiting, dyspnoea, somnolence | 2 | yes | 13 | 13 | deceased |
| F (65 years) | fever, chills, dyspnoea, dry cough, diarrhea, syncope | 4 | yes | 13 | NA | vital | |
| F (63 years) | fever, chills, dyspnoea, dry cough, diarrhea | 3 | yes | 2 | NA | deceased | |
| Gizzi M., et al., 2013, Belgium, 1 * [31] | F (42 years) | fever, thoracic pain, dyspnea, rhinorrhea, blurred vision, headache, lumbar discomfort, nausea, vomiting | 4 | yes | 12 | NA | vital |
| Vollmar P., et al., 2016, Germany, 1 ** [32] | F (53 years) | severe headache, radiating into the neck, chills, fatigue and vomiting | 3 | yes | 39 | 55 | vital |
| Gözdaş H.T., et al., 2018, Turkey, 1 [33] | M (24 years) | fever, fatigue, and severe headache | 3 | yes | 1 | 10 | vital |
| Sulleiro E., et al., 2020, Spain, 1 [34] | M (28 years) | fever, malaise, weakness, headache, arthralgia, abdominal pain, rash on trunk, dyspnea | 2 | yes | NA | 7 | vital |
| Author, Year, Country, N Patients | MV | VV or VA ECMO | CRRT | Vasopressor | Corticosteroids | Antivirals | Antibiotics |
|---|---|---|---|---|---|---|---|
| Caramello P., et al., 2002, Italy, 1 [28] | no | no | no | NA | NA | NA | NA |
| Seitsonen E., et al., 2006, Finland, 2 [29] | yes | no | yes | yes | yes | no | yes |
| yes | no | yes | yes | yes | no | yes | |
| Rasmuson J., et al., 2011, Sweden, 3 [30] | yes | no | no | yes | yes | no | yes |
| yes | no | yes | yes | yes | no | yes | |
| yes | no | no | yes | yes | no | yes | |
| Gizzi M., et al., 2013, Belgium, 1 [31] | no | no | yes | yes | no | no | yes |
| Vollmar P., et al., 2016, Germany, 1 [32] | yes | VA, VV ECMO | yes | yes | NA | Acyclovir | yes |
| Gözdaş H.T., et al., 2018, Turkey, 1 [33] | no | no | no | no | no | Oseltamivir | yes |
| Sulleiro E., et al., 2020, Spain, 1 [34] | no | no | no | yes | NA | NA | NA |
Disclaimer/Publisher’s Note: The statements, opinions and data contained in all publications are solely those of the individual author(s) and contributor(s) and not of MDPI and/or the editor(s). MDPI and/or the editor(s) disclaim responsibility for any injury to people or property resulting from any ideas, methods, instructions or products referred to in the content. |
© 2023 by the authors. Licensee MDPI, Basel, Switzerland. This article is an open access article distributed under the terms and conditions of the Creative Commons Attribution (CC BY) license (https://creativecommons.org/licenses/by/4.0/).
Share and Cite
Santini, M.; Ljubić, J.; Šoštar, N.; Vilibić-Čavlek, T.; Bogdanić, M.; Zakotnik, S.; Avšič-Županc, T.; Korva, M.; Kurolt, I.C.; Radmanić, L.; et al. Hantavirus Pulmonary Syndrome Caused by Puumala Orthohantavirus—A Case Report and Literature Review. Microorganisms 2023, 11, 2963. https://doi.org/10.3390/microorganisms11122963
Santini M, Ljubić J, Šoštar N, Vilibić-Čavlek T, Bogdanić M, Zakotnik S, Avšič-Županc T, Korva M, Kurolt IC, Radmanić L, et al. Hantavirus Pulmonary Syndrome Caused by Puumala Orthohantavirus—A Case Report and Literature Review. Microorganisms. 2023; 11(12):2963. https://doi.org/10.3390/microorganisms11122963
Chicago/Turabian StyleSantini, Marija, Jelena Ljubić, Nikola Šoštar, Tatjana Vilibić-Čavlek, Maja Bogdanić, Samo Zakotnik, Tatjana Avšič-Županc, Miša Korva, Ivan Christian Kurolt, Leona Radmanić, and et al. 2023. "Hantavirus Pulmonary Syndrome Caused by Puumala Orthohantavirus—A Case Report and Literature Review" Microorganisms 11, no. 12: 2963. https://doi.org/10.3390/microorganisms11122963
APA StyleSantini, M., Ljubić, J., Šoštar, N., Vilibić-Čavlek, T., Bogdanić, M., Zakotnik, S., Avšič-Županc, T., Korva, M., Kurolt, I. C., Radmanić, L., Šimičić, P., Krznarić, J., Gjurašin, B., Kutleša, M., Višković, K., Balent, N. C., Žunec, R., Margeta Marić, I., Ribarović, A., & Židovec-Lepej, S. (2023). Hantavirus Pulmonary Syndrome Caused by Puumala Orthohantavirus—A Case Report and Literature Review. Microorganisms, 11(12), 2963. https://doi.org/10.3390/microorganisms11122963

