Next Article in Journal
Food Is Reservoir of MDR Salmonella: Prevalence of ESBLs Profiles and Resistance Genes in Strains Isolated from Food
Next Article in Special Issue
Lignocellulolytic Biocatalysts: The Main Players Involved in Multiple Biotechnological Processes for Biomass Valorization
Previous Article in Journal
Surfactin Shows Relatively Low Antimicrobial Activity against Bacillus subtilis and Other Bacterial Model Organisms in the Absence of Synergistic Metabolites
 
 
Font Type:
Arial Georgia Verdana
Font Size:
Aa Aa Aa
Line Spacing:
Column Width:
Background:
Article

Construction and Application of a Plasmid-Based Signal Peptide Library for Improved Secretion of Recombinant Proteins with Priestia megaterium

1
Institute of Microbiology and Braunschweig Integrated Centre of Systems Biology (BRICS), Technische Universität Braunschweig, Rebenring 56, 38106 Braunschweig, Germany
2
Leibniz Institute DSMZ-German Collection of Microorganisms and Cell Cultures, Inhoffenstraße 7, 38124 Braunschweig, Germany
*
Author to whom correspondence should be addressed.
These authors contributed equally to this work.
Microorganisms 2022, 10(4), 777; https://doi.org/10.3390/microorganisms10040777
Submission received: 17 March 2022 / Revised: 31 March 2022 / Accepted: 1 April 2022 / Published: 5 April 2022
(This article belongs to the Special Issue Feature Papers in Biotechnology of Microbial Enzymes)

Abstract

The secretion of recombinant proteins plays an important role in their economic production and purification. The secretion efficiency depends on the responsible signal peptide (SP) in combination with the target protein and the given host and cannot be predicted so far. Due to its high plasmid stability, the lack of alkaline extracellular proteases and only few contaminating extracellular host proteins, Priestia megaterium provides a promising alternative to common Bacillus species. For the development of an easy and fast cloning and screening system to identify the SP best suited to a distinct protein, a plasmid-based SP library containing all predicted 182 Sec-dependent SPs from P. megaterium was established. The splitting of the SPs into 10 groups of individual multi-SP plasmids (pMSPs) allows their grouped amplification and application in screening approaches. The functionality of the whole library was demonstrated by enhancing the amount of the already well-secreted α-amylase AmyE by 1.6-fold. The secretion of a novel penicillin G acylase, which remained as insoluble protein inside the cells, as its native SP is unsuitable for secretion in P. megaterium, could be enhanced even up to 29-fold. Overall, only around 170 recombinant P. megaterium clones based on 50 inserted SPs had to be screened to achieve sufficient amounts for further enzyme characterizations. Thus, this newly developed plasmid-based genetic tool applicable for P. megaterium and also other Bacillus species facilitates the identification of suitable SPs for secretion of recombinant proteins.

1. Introduction

For decades, the biotechnological production of recombinant proteins has played an important role in industry [1]. The emergence of recombinant DNA technology in the 1970s led to an enormous increase of potential applications in the area of biopharmaceuticals and industrial enzymes [2,3]. The secretion of recombinant proteins to the extracellular environment has advantages over their intracellular production. The downstream processing is easier, non-denaturing, and cost-effective due to the purification of correctly folded proteins from the cell-free culture broth without cell disruption [4,5]. Furthermore, the secretion of recombinant proteins can facilitate continuous cultivation [6]. Due to the architecture of their cell wall, Gram-positive bacteria are especially well suited to the secretion of proteins. They are characterized by an intrinsic capacity to secrete proteins directly into the surrounding medium because of the lack of an outer membrane [4,7].
There are two main pathways for protein transport across the plasma membrane in bacteria: the general secretion (Sec-dependent) pathway and the twin-arginine translocation (Tat) pathway [7]. On the Sec-dependent pathway, proteins are transported unfolded across the plasma membrane and folded in the periplasm or the extracellular environment, whereas proteins which were already folded in the cytoplasm are exported via the Tat pathway [5]. In bacteria, the ubiquitous Sec-dependent pathway is the major secretion mechanism for proteins exported from the cytosol [8]. Studies in Gram-positive Bacillus subtilis have shown that more than 90% of all secreted proteins are transported via this pathway in this organism guided by so-called signal peptides (SPs) [9]. SPs are responsible for protein translocation by enabling the recognition and the transport of corresponding proteins to the membrane. After the transport across the plasma membrane, SPs are cleaved by signal peptidases (SPases) [10]. Sec-dependent SPs are localized N-terminally of the protein to be secreted. They consist of a positively charged amino-terminal n-region, which is thought to interact with the translocation machinery, the central hydrophobic h-region, which can form hairpin-like structures, and the polar carboxy-terminal c-region, which carries the SPase recognition sequence so that the SP can be cleaved from the translocated protein. All three regions contribute to efficient protein export [5,11,12,13].
Naturally, each protein to be exported has its own specific SP. For the secretion of heterologous proteins with a specific host, a suitable SP is needed. The probability of an N-terminal amino acid sequence to be a SP in bacteria or eukaryotes can be predicted bioinformatically using diverse web tools such as PrediSi [14] or SignalP [15,16]. This way, 173 natural Sec-dependent SPs were predicted for the Gram-positive model organism B. subtilis [17]. Nevertheless, the transport efficiency depends on the combination of the SP with the particular protein and cannot be predicted. Hence, a large number of SPs must be screened experimentally for each recombinant protein to achieve the best secretion efficiency in the given host [5]. For B. subtilis, all predicted Sec-dependent SPs were amplified individually by PCR and tested for their efficiency on the secretion of cutinase and esterase [17], α-amylase [18,19], and a protease [20] resulting in drastically different amounts of secreted protein depending on the used SP. A SP which was most effective for one protein could be really weak for another [17,21]. This system is available commercially, so that the 173 Sec-dependent SPs can be used directly as a mix of PCR-products followed by a high-throughput screening system for each individual target protein [18].
Apart from the well-established Gram-positive secretor B. subtilis, Priestia megaterium (formerly Bacillus megaterium) was developed for recombinant protein production and secretion during the past 30 years [4,22]. P. megaterium offers various advantages for recombinant protein production. Like all Gram-positive bacteria, P. megaterium contains no endotoxins, in contrast to Gram-negative bacteria, and is capable of producing high yields of recombinant protein metabolizing inexpensive substrates [23]. P. megaterium exhibits a high stability of recombinant plasmids even in the absence of antibiotics [24,25] and does not own extracellular alkaline proteases [26]. For further improvement of the stability of the secreted protein, the gene encoding the major extracellular protease NprM of P. megaterium DSM 319 was inactivated, resulting in the strain MS941 [27]. Existing plasmid systems based on a strong optimized xylose-inducible promoter system allow secretion of recombinant proteins in excess, representing more than 70% of all secreted proteins, enabling an easy purification directly from the cell-free medium [28,29,30].
To further expand the range of applications of P. megaterium to make even better use of the advantages mentioned above [22,23,31], the aim of this study was to establish a simple and rapid cloning and screening system allowing the identification of SPs best suited to efficient secretion of individual recombinant proteins. For this, a plasmid-based SP library including all Sec-dependent SPs from P. megaterium was designed. To validate the functionality of this system, the model enzyme α-amylase AmyE from B. subtilis was used. Further, the new tool was applied to find a suited SP for a novel penicillin G acylase from Bacillus massiliogorillae that is hardly secreted with its native SP in P. megaterium [30]. An upscaling from microtiter plate to shake flask scale could verify the functionality of the established plasmid-based SP test system.

2. Materials and Methods

2.1. Bacterial Strains and Construction of Expression Vectors

The cloning was carried out in Escherichia coli strain DH10B (Life Technologies, Carlsbad, USA). For screening experiments and protein production, the protease-deficient P. megaterium strain MS941 was used [27].
The plasmid p3STOP1623hp [28] (Table S1) served as the origin for the construction of expression vectors. In one cloning step, its multiple cloning site (MCS) was extended (restriction sites for KasI, MluI, AvrII, NotI, NheI, and AgeI) and the coding sequence of a His6-tag was integrated via oligos (Table S2) using the restriction site AgeI, resulting in plasmid pTKSP0. Next, the amyE gene of B. subtilis 168 (GenBank: CAB12098.2) encoding the α-amylase AmyE was amplified by PCR from genomic DNA without its native signal peptide (SP) and integrated in pTKSP0 via the restriction sites NgoMIV and AgeI, resulting in the plasmid pTKSPamyE0. As a control, the coding sequence of the previously used SP of lipase A (splipA, [32]) from P. megaterium was amplified via PCR primer (Table S2) from pEJBmD1.3scFv [33] and inserted in pTKSPamyE0 via the restriction sites BsrGI and NgoMIV yielding pTKSPamyElipA. Furthermore, the bmaspga gene was amplified by PCR from vector pRBBm317 [30] without its SP coding sequence and integrated in pTKSP0 via the restriction sites NgoMIV and NheI, resulting in the plasmid pJMBm75. The success of cloning procedures was verified by DNA sequencing (Microsynth Seqlab GmbH, Göttingen, Germany).

2.2. Construction of Multisignal Peptide Plasmids (pMSP)

Sec-dependent SPs of P. megaterium DSM 319 were identified with the online tool SignalP 4.0 [15]. The SP coding sequences were sorted by size and divided on ten multisignal peptide plasmids (pMSPs, Tables S3–S12). The coding sequences of all SPs in groups of 18 and 20 SPs, respectively, were arranged in alternating orientations and separated by the restriction sites BsrGI (5′) and NgoMIV (3′). All pMSPs were synthesized by General Biosystems (Morrisville, NC, USA).

2.3. Cloning of SP Coding Sequences into Expression Vectors

For cloning of SP coding sequences from pMSPs into the obtained plasmids, the multi-SP plasmids (pMSP1–10) and the expression vector pTKSPamyE0 and pJMBm75, respectively, were digested with BsrGI and NgoMIV. To prevent ligation of more than one SP coding sequence in one vector, the ends of the obtained SP coding sequences were dephosphorylated with shrimp alkaline phosphatase (rSAP). Subsequently, the DNA fragments were separated by agarose gel electrophoresis and the corresponding band for the expression vector and SP mix were excised and purified. While the digested vectors were purified using the NucleoSpin PCR and Gel Clean-Up Kit (Macherey-Nagel, Düren, Germany), the SP mix was purified using the QIAEX II Gel Extr action Kit (QIAGEN, Hilden, Germany). Four µL (50 ng) of purified vector fragment and 4.5 µL (200 ng) of SP mix were ligated using T4 DNA ligase. Next, E. coli DH10B cells were transformed with ligation preparations to generate a higher number of isolated colonies representing clones with varying SPs. All clones were suspended together in LB medium (10 g L−1 tryptone, 5 g L−1 yeast extract, 5 g L−1 NaCl) and the plasmid mix was purified in one step using the NucleoSpin Plasmid Kit (Macherey-Nagel, Düren, Germany). Finally, P. megaterium MS941 was transformed with the plasmid mix by protoplast transformation [34]. Isolated single colonies were applied for the screening approach.

2.4. Cultivation in a Microbioreactor System

For the screening of different SPs, the cultivation of P. megaterium MS941 containing plasmids with differing SPs was carried out in 48-well flower plates in a BioLector system (m2p-labs, Baesweiler, Germany) at 37 °C and 1400 rpm for 24 h. One mL of LB medium supplemented with 10 mg L−1 tetracycline, 0.5% (w/v) xylose and, for PGA secretion, 2.5 mM of CaCl2 was used per well. Each well was inoculated with corresponding overnight pre-cultures, resulting in an initial optical density of 578 nm (OD578) of 0.055. During cultivation, the growth was monitored by scattered light at 620 nm. After 24 h, the flower plate was centrifuged for cell-harvesting (3300× g, 20 min, 4 °C) and the cell-free supernatant was used for activity determination.

2.5. Cultivation in Shake Flasks and Protein Analyses

For shake flask cultivations, overnight pre-cultures of corresponding P. megaterium MS941 plasmid strains were used to inoculate 50 mL LB medium supplemented with 10 mg L−1 tetracycline and 2.5 mM CaCl2. The cultures were incubated at 37 °C and 200 rpm. At an OD578 of 0.3 to 0.5, the induction of recombinant gene expression was performed by adding 0.5% (w/v) xylose. After further cultivation at 37 °C and 200 rpm for 22 h, cells were separated from the protein-containing supernatant by centrifugation.
For the analysis of extracellular proteins, these were precipitated from the cell-free supernatant by addition of ammonium sulfate. For this, 1.5 mL of cell-free supernatant was shaken with 660 mg ammonium sulfate for 2 h at 4 °C with shaking at 1000 rpm. After centrifugation at 17,000× g and 4 °C for 30 min, the precipitated proteins were suspended in 20 μL ddH2O and analyzed by SDS-PAGE.
For the analysis of intracellular proteins, cell sediments of two OD equivalents were suspended in 20 μL digestion buffer (100 mM Na3PO4, 5 mg mL−1 lysozyme, 2 μL mL−1 benzonase, pH 6.5) and incubated for 30 min at 37 °C and 1000 rpm. After centrifugation (17,000× g, 4 °C, 15 min), the supernatant was used to analyze soluble intracellular proteins by SDS-PAGE. The sediment obtained after centrifugation was suspended in 20 μL 8 M urea. After centrifugation (17,000× g, 4 °C, 10 min), the supernatant was used to analyze the insoluble intracellular proteins by SDS-PAGE.

2.6. Amylase Activity Assay

The Phadebas® Amylase test (Kristianstad, Sweden) was used to determine the enzyme activity of α-amylase in the cell-free supernatant. By degradation of starch by α-amylase the embedded dye is released. The measured absorption at 620 nm is proportional to the converted substrate and thus to the amount of secreted α-amylase. One hundred microliters of cell-free culture medium obtained after centrifugation were mixed with 800 µL Phadebas® Amylase test solution and incubated at 37 °C with shaking of 1400 rpm for 15 min. Subsequently, the reaction was stopped by the addition of 600 µL of 500 mM NaOH. The mixture was centrifuged (21,000× g, 10 min) and the supernatant was analyzed at 620 nm.

2.7. PGA Activity Assay

For PGA activity screening, the alternative substrate 2-nitro-5-[(phenylacetyl) amino]-benzoic acid (NIPAB) was used [35]. To each well of a 96-well-plate with flat bottom (Kisker Biotech, Steinfurt, Germany) 90 µL of substrate solution (600 mg L−1 NIPAB, 9.41 mM NaH2PO4, 40.59 mM Na2HPO4, pH 7.5) was added. To start each reaction, 10 µL of cell-free supernatant was added and mixed. The plate was incubated at 37 °C and the absorption (A) at 405 nm (extinction coefficient ε of 8.98 cm2 µmol−1) was measured every six seconds for three minutes using a microplate reader (Tecan, Männedorf, Switzerland). The enzymatic activity EA [U mL−1] was calculated using the following formula with the reaction volume VR [cm3], the sample volume VE [cm3], and the layer thickness d [mm].
EA = dA dt · V R ε · d · V E

2.8. Colony PCR for Identification of Signal Peptides

For the identification of the corresponding SPs, colony PCR was performed and the resulting fragments were sequenced. P. megaterium colonies were suspended in lysis buffer containing 150 mM Tris-HCl (pH 8), 1 mg mL−1 lysozyme, and 100 µg mL−1 proteinase K and incubated for 20 min at 37 °C and 400 rpm, followed for another 20 min at 55 °C and 400 rpm. Subsequently, the enzymes were heat inactivated at 95 °C and the samples centrifuged at 21,000× g for 10 min. The supernatant was used as template for the PCR reaction. For colony PCR, taq polymerase and primers SeqpXylA_fw and SeqpMM1520_rv were used (Table S2). The resulting fragments were purified and the coding sequences of the SPs were identified by DNA sequence analysis. Alternatively, P. megaterium colonies were directly applied for sequencing using Ecoli NightSeq (Microsynth Seqlab GmbH, Göttingen, Germany), which was proven to work for Gram-positive P. megaterium before.

3. Results

Secretion of recombinant proteins, in contrast to intracellular accumulation of proteins, offers advantages such as simplified product recovery or the possibility of continuous cultivation [34]. For this purpose, the Gram-positive soil bacterium P. megaterium is of biotechnological relevance as it secretes recombinant proteins directly into the surrounding medium with only low amounts of host proteins compared to other secreting bacteria such as B. subtilis [30,36].
The amount of a secreted protein depends on the combination of the N-terminal signal peptide (SP), responsible for translocation, and the protein itself. However, as bioinformatics predictions of efficiency are not yet possible, for each protein of interest the most effective SP has to be found experimentally [5].

3.1. Construction of a Signal Peptide Test System in P. megaterium

First, we developed a plasmid setup that allows a simple and standardized exchange of both the coding sequence of the SP and the corresponding gene of the protein to be secreted. Thereby, optimal combinations of SP and protein can be identified, while the plasmid scaffold remains unchanged. Therefore, the secretion efficiency is only affected by the SP and in addition the amount of secreted protein should provide a direct statement about the SP functionality and secretion efficiency. The new plasmid system is based on the plasmid p3STOP1623hp, an established shuttle vector for cloning in E. coli and xylose-dependent recombinant protein production in P. megaterium [28]. Downstream of the optimized xylose inducible promoter PxylAopt, a multiple cloning site (MCS) is located [37], which was extended by five recognition sites near the 3′ end in this study. In addition, the coding sequence of a His6-tag was introduced downstream of the MCS followed by a stop codon to allow an affinity chromatographic purification of the target protein, resulting in the new plasmid pTKSP0 (Figure 1). Due to the large selection of restriction sites, the construction of pTKSP0 allows the easy cloning of the SP coding sequence in the 5′ part of the MCS and of the target gene in the 3′ end.
For cloning of the SP coding sequence at the 5′ end of the MCS, restriction enzyme BsrGI can be chosen, whose recognition site is located between the ribosome binding site (RBS) and the corresponding start codon of the following coding sequence, so that the original 5′ end remains intact, resulting in the native N-terminus of the SP. The fusion of the SP coding sequence and the target gene results in the insertion of two amino acids on protein level between SP and target protein (Figure 1). These two residues at the so-called +1 and +2 position relative to the signal peptidase I (SPaseI) restriction site can affect the effectivity of SPase I. It depends on the N-terminal amino acid of the protein (+1) and on the C-terminal residues of the SP itself at positions −3, −2, −1 [10], while the latter are unchanged during the cloning procedure. Furthermore, these two additional +1 and +2 amino acids may influence the properties of the protein, since they remain at the N-terminus of the secreted protein after cleavage of the SP. Hence, the restriction enzyme NgoMIV was chosen, whose in-frame recognition sequence gccggc results in the insertion of the small and uncharged alanine and glycine residues with expectation of the least effect due to steric hindrance or other interactions on the secreted protein. In addition, both amino acids have been described as not negatively influencing the cleavage of the SP by SPaseI [10,38]. At the 3′ end, the in-frame recognition site of AgeI results in the least amino acid residues between protein of interest and His6-tag but all other cleavage sites are also possible, especially for cloning without His6-tag fusion.

3.2. Identification of Sec-Dependent Signal Peptides from P. megaterium DSM 319

To identify Sec-dependent SPs used for protein secretion with P. megaterium, all annotated open reading frames (ORFs) of P. megaterium strain DSM 319 were translated to protein sequences. Possible N-terminal located Sec-dependent SPs were predicted using the web-based program SignalP 4.0 [15], based on a calculated discrimination score (d score), a measure to distinguish SPs from non-SPs. Amino acid sequences with a d score greater than 0.45 were considered as Sec-dependent SPs for P. megaterium. According to this procedure, 182 SPs were identified in the P. megaterium DSM 319 genome with lengths between ten and 56 amino acids (Tables S3–S12).

3.3. Construction of Multisignal Peptide Plasmids (pMSPs) for P. megaterium

In previous publications, the coding sequences of the SPs were often individually amplified by PCR [17,19], which allows for individual mixing of different SPs but also implies a higher workload and higher cost. Here we present a new approach in which the coding sequences of the SPs were located on plasmids separated by restriction sites so that their fast and easy amplification, restriction, and cloning is possible. For this, the coding sequences of the 182 predicted SPs of P. megaterium were arranged on ten multi-signal peptide plasmids (pMSPs) (Figure 2). pMSP1 to pMSP9 each contain 18 and pMSP10 contains 20 coding sequences for SPs. The sequences were sorted by size, so that the longest SP sequences were grouped on pMSP1 going up to pMSP10, which is carrying the shortest sequences (Tables S3–S12) to prevent possible preferential incorporation of long or short sequences into the targeting vector. The SP coding sequences were assembled as cassettes on the plasmids, arranged in alternating orientation so that BsrGI is at the 5′ and NgoMIV at the 3´ end for ligation in correct orientation into the target vector and synthesized by General Biosystems (Morrisville, NC, USA) (Figure 1 and Figure 2).
To investigate the functionality of the developed plasmid-based SP test system, a screening system in P. megaterium was established (Figure 3). First, the target gene has to be cloned into pTKSP0 using NgoMIV as 5′ recognition site and one of the following 3′ sites of the MCS (Figure 1). Subsequently, both the constructed target vector and one or more pMSPs have to be digested using BsrGI and NgoMIV. The fragments representing the SP coding sequences need to be dephosphorylated to prevent incorporation of multiple sequences in one target vector. After ligation of the SP mix with the target vector, E. coli has to be transformed with the corresponding ligation reaction, which allows a rapid amplification of the plasmid mix. A direct transformation of P. megaterium is not possible due to its low transformation efficiency [39]. After isolation of the amplified plasmid mix from all E. coli clones, P. megaterium can be transformed with the mixture and individual clones screened according to their secretion capability. An individual activity assay has to be established for each applied protein in order to use activity as a measure of the amount of protein secreted.

3.4. Screening of Signal Peptides of All pMSPs Regarding Secretion of Model Protein α-Amylase

To validate the new system, the α-amylase AmyE of B. subtilis was chosen as a model protein to observe, compare, and evaluate the secretion success achieved by different SPs. AmyE is characterized by its high stability, does not inhibit growth, and has no toxic effects on the host organism [40,41]. Furthermore, the secretion of amylases is widely used as a reporter system as it allows screening in liquid cultures as well as on starch-containing LB agar by detection via a colorimetric assay due to its enzymatic reaction, in which α-1-4-glycosidic bonds of polysaccharides are endohydrolytically cleaved [40].
The amyE gene and subsequently the SP coding sequences from pMSP1 to 10 were introduced into pTKSP0. After amplification in E. coli, P. megaterium was transformed with the obtained plasmid mixes, yielding 10 libraries of P. megaterium clones containing plasmids with amyE and SPs from one pMSP each. After cultivation of 45 individual clones per pMSP in a microbioreactor system, the amylase activities were determined in the cell-free supernatant. They were compared to the activity resulting from recombinant AmyE secretion with the SP of the lipase A from P. megaterium ATCC 9885 (pTKSPamyElipA), for which previous work has already demonstrated a high secretion efficiency of recombinant proteins with P. megaterium [22]. As a negative control, recombinant AmyE-production without SP (pTKSPamyE0) was chosen. The amylase activity in the cell-free supernatant of the 450 cultivations was related to the scattered light at 620 nm of the culture as a measure for the formed biomass (Figure 4).
The photometric screening of the SP-AmyE library with respect to the amount of secreted α-amylase in the culture supernatant revealed strong differences ranging from no (0%) to 161% secreted amylase compared to the control. While around 84% of the clones showed no or less than 10% amylase activity in the supernatant compared to the control, for 18 clones (4%) a higher activity of amylase was detected caused by SPs from pMSP2–4 and pMSP7–10, respectively. DNA sequencing revealed that enhanced AmyE secretion was caused by SPs originating from conserved hypothetical proteins with unknown function (nine of the 18 SPs) and also from proteins with functions reaching from flagellum and peptidoglycan biosynthesis (three) to hydrolases (four) and transferases (two) (Table 1).
The length of SPs leading to increased AmyE secretion varied between 21 and 31 amino acids in our study, while SPs ranging from 10 to 56 amino acids were predicted and tested (Table 1 and Tables S3–S12). However, 75% of the P. megaterium SPs are in the range of 21 to 31 amino acids, while only 7% of the SPs are shorter and 18% are longer.
The results of the first screening clearly showed the influence of SPs on protein secretion. With the system established here, several SPs could be identified, which led to a very good secretion efficiency for amylase. Although the secretion efficiency for α-amylase AmyE with the SP of lipase A used as control was already high, a further 1.6-fold increase in secretion efficiency could be achieved using the constructed SP library for P. megaterium. In a next step, it was of great interest to apply this new system to other proteins with previously poor secretory properties.

3.5. Application of the SP Library for Improved Secretion of Penicillin G Acylase

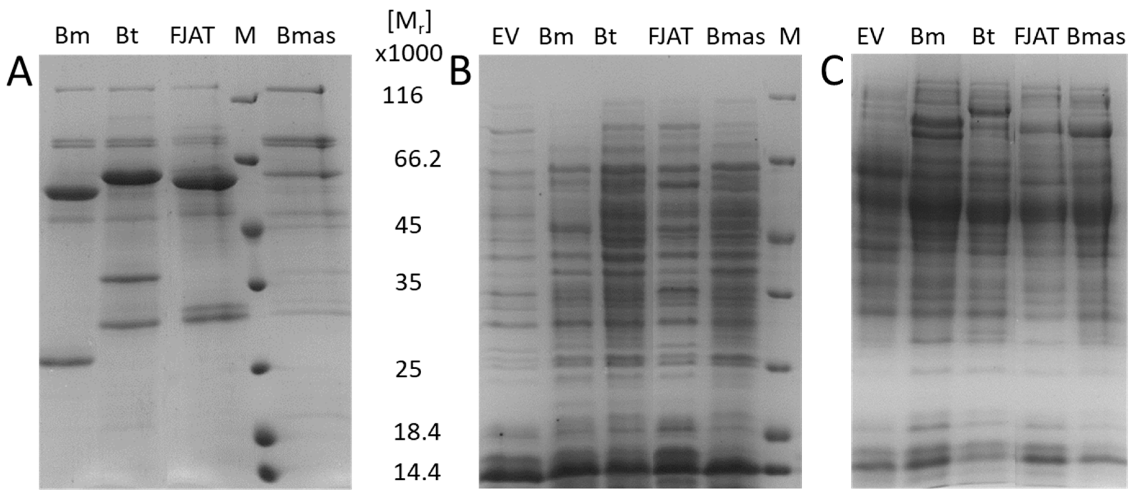
Next, our SP library was applied to the secretion of industrially relevant penicillin G acylase (PGA), a heterodimeric enzyme with a molecular weight of around 90,000, which is used for the production of semisynthetic β-lactam antibiotics [30,42,43]. Recently, newly identified PGAs from different Bacillus species were found to be recombinantly secretable by P. megaterium via their Sec-dependent native SPs [30]. However, the amount of recombinant PGA in the cell-free supernatant differed significantly. While the PGAs from Bacillus thermotolerans (BtPGA) and B. sp. FJAT-27231 (FJAT-PGA) guided by their native SPs were secreted in similar amounts as the industrially used PGA from P. megaterium (BmPGA), allowing their purification and characterization, hardly any secretion was observed for the PGA from B. massiliogorillae (BmasPGA) even 22 h after induction of the recombinant protein production (Figure 5A) [30].
To exclude ineffective production of BmasPGA in general, the intracellular proteins of plasmid-carrying P. megaterium recombinantly producing different PGAs were analyzed. In the patterns of the intracellular soluble proteins, no differences between the strain containing the pga encoding plasmid and a negative control could be detected (Figure 5B). When insoluble proteins were analyzed, additional bands representing proteins with a relative molecular weight of 80,000 to 90,000 were observed 3 h after induction of recombinant protein production, which were missing in the negative control. When exported via the Sec-dependent pathway, PGAs are initially produced as a preproprotein with SP, α-subunit, linker, and β-subunit. Only after export, the SP and linker are cleaved and the PGA is folded into its active conformation [44]. Consequently, the observed bands in the patterns of the insoluble proteins could be the not yet or incorrectly folded insoluble preproPGAs. As obviously the export of recombinant BmasPGA with its native SP represents the main bottleneck, it should be improved by screening SPs from P. megaterium.
After constructing the new target vector (Figure 1) carrying the pga gene from B. massiliogorillae (pJMBm75), SPs from pMSP3 to 5 were inserted as described above. SPs from pMSP3 and 4 were chosen as they caused the most robust results for the secretion of recombinant AmyE. In contrast, the functionality of SPs from pMSP5 should be tested for BmasPGA as they showed poor secretion for amylase (Figure 4). Single colonies of 171 recombinant P. megaterium clones were cultivated in a microbioreactor system for 22 h and the volumetric PGA activity in the cell-free supernatant was determined, serving as an indirect measure of the amount of secreted BmasPGA. By using alternative SPs from P. megaterium DSM 319, the secretion of recombinant BmasPGA with P. megaterium could be significantly increased (Figure 6).
When cell-free supernatants of 86 clones with SPs from pMSP3 were analyzed, 93% of the clones secreted higher amounts of BmasPGA compared to the secretion with its native SP. Eighty-five percent of the 46 BmasPGA clones with SPs from pMSP4 showed higher PGA activity in the supernatant than the reference strain. In contrast, when SPs from pMSP5 were used, only 28% of the clones resulted in increased activity in the supernatant, while the others resulted in even less secretion of BmasPGA compared to the secretion with the native Bmas-SP (Figure 6). The highest enzyme activities in the supernatant were obtained by SPs from pMSP3 (29-fold increased) followed by pMSP4 (21-fold), while using pMSP5, still 15-fold higher activity compared to the reference strain was observed.
Next, SPs were identified by DNA sequencing. From pMSP3 and 4, SP-coding sequences from all clones were sequenced while for pMSP5 only SP-sequences from clones secreting BmasPGA were investigated. Interestingly, the individual SPs occurred with very different frequencies. For pMSP3, 14 of 18 possible SPs were found in the clones examined. The most frequently found SP was SP 6, which originated from the conserved hypothetical protein BMD_0560 from P. megaterium DSM 319, with 38% of all sequenced SPs (Table 2). For clones with SPs from pMSP4, 11 of 18 possible SPs were found but only half as many clones were studied as for pMSP3. The most frequent SP 9 from a protein of the ErfK/YbiS/YcfS/YnhG family occurred in 25% of the clones. In clones with SPs from pMSP5, seven of 18 possible SPs were detected in 12 sequenced clones. The most frequent SP 15 from a conserved hypothetical protein from P. megaterium DSM 319 occurred four times. In eight clones across all pMSPs, no SP could be found. This correlates also with nearly no measured activity. In six clones, multiple SPs were detected (Table 2).
In contrast to these results, it was assumed that by amplifying the entire plasmid, all corresponding genes of the SPs would be equally abundant and accordingly equally distributed among the vectors with bmaspga gene. However, this was not the case. It would be possible that secondary structures of some SP genes were formed due to complementary segments, which led to the altered insertion rate. Furthermore, several SP genes might align with each other or were attached to the vector by complementary stretches, so that fewer of these SP genes were freely present and less likely to ligate into the target vector.
The highest amount of secreted BmasPGA was achieved by the SP of a β-amylase from P. megaterium DSM 319 (SP 2 on pMSP3) with an activity of 0.37 to 0.43 U mL−1 and the SP of an extracellular ribonuclease (SP 5 of pMSP3, 0.25 U mL−1). In addition, the SPs from a D-alanyl-D-alanine carboxypeptidase (SP 3 of pMSP3), an alkaline phosphatase (SP 7 of pMSP3), an ErfK/YbiS/YcfS/YnhG family protein (SP 9 of pMSP4), two conserved hypothetical proteins, BMD_0470 (ADF37360. 1, SP 11 of pMSP4) and BMD_3362 (SP 2 of pMSP5), a hypothetical protein BMD_2542 (SP 1 of pMSP5), and l-asparaginase II (SP 9 of pMSP5) led to a high amount of secreted BmasPGA of up to 0.43 U mL−1.
Next, it was analyzed whether the same SPs in different clones of the screening resulted in similar activity in the supernatant. As only a few clones of SPs of pMSP5 showed activity, the analysis was omitted. It was found that the same SPs resulted in similar activities in the supernatant with only a few outliers such as one clone with SP 9 from pMSP4. This may have resulted from a poorly grown culture, as all other 10 clones with this SP showed a narrow distribution of activity (Figure 7). In summary, all SPs except SP 17 from pMSP4 resulted in higher activity in the supernatant compared with secretion with the native SP (Figure 6 and Figure 7, Table 2).

3.6. Scale-Up of Penicillin G Acylase Secretion for Verification of the Screening Results

To verify these promising screening results, the best BmasPGA secreting strains were cultivated at 50 mL scale in shake flasks and the cell-free supernatant was analyzed 22 h after induction by measuring enzyme activity and SDS-PAGE analyses of secreted proteins (Figure 8 and Figure S1). All investigated clones showed PGA activities in the supernatant which were between 7.1- and 16.5-fold higher compared to the reference strain with the native SP (Figure 8, Table 3). Additionally, all identified SPs led to a large amount of secreted BmasPGA visible as 25 kDa α-subunit and 60 kDa β-subunit, while for the native SP hardly any secretion was detectable (Figure S1). The highest protein amounts also correlated to the highest measured PGA activities (Figure 8 and Figure S1). Both in screening as well as upscaling, the activity and amount of secreted BmasPGA was the highest with the clones containing the SP of β-amylase (pMSP3-SP 2). Thus, although the increase was slightly smaller than in the screening, the improved secretion based on the alternative SPs could be reproduced on a larger scale. The highest activity of heterologous BmasPGA found (0.36 U mL−1) was in the range of native BmPGA (0.5 U mL−1) [30] in the cell-free supernatant.
When considering the original proteins guided by the SPs enhancing secretion of BmasPGA, five belong to the enzyme class of hydrolases like the PGA, one belongs to the transferases, three are hypothetical proteins, and one protein is utilized in the biosynthesis of peptidoglycan (Table 3). As the majority of well-suited SPs originate from proteins belonging to the same enzyme class of hydrolases as the PGA, there could be a correlation. A comparison with the secretion of AmyE, also a hydrolase, shows that the use of some SPs such as from the ErfK/YbiS/YcfS/YnhG family protein showed high secretion of AmyE as well as BmasPGA, whereas other SPs, such as from levansucrase, also a saccharide degrading enzyme like AmyE, or conserved hypothetical protein BMD_3012 were among the best SPs for AmyE secretion but under average for BmasPGA secretion.

4. Discussion

Due to the lack of the outer membrane, Gram-positive bacteria are well suited to the secretion of recombinant proteins directly to the surrounding growth medium, simplifying protein purification [4,5]. N-terminal SPs mediate the translocation across the cytoplasmic membrane, hence different numbers of SPs have been bioinformatically predicted and identified for a range of Gram-positive bacteria. As early as 2000, Tjalsma et al. predicted 180 potential SPs for B. subtilis strain 168, of which 14 were hypothetically assigned to the Tat-dependent and 166 to the Sec-dependent pathway with lengths between 19 and 44 amino acids [38]. Later, 173 of these identified SPs were attributed to the Sec-dependent pathway and tested according to their secretion of different target proteins [17,19]. Additionally, 220 SPs from Bacillus licheniformis DSM 13 together with the 173 SPs of B. subtilis were applied to optimize the secretion of a protease in both organisms [45]. For Lactobacillus plantarum WCFS1, 76 SPs with lengths ranging from 24 to 57 amino acid residues were predicted and applied to improved secretion of a nuclease [21]. For Corynebacterium glutamicum, 405 SP candidates were predicted, of which 90 SPs with lengths between 21 to 53 amino acids were proven to be Sec-dependent [46]. In our study, 182 Sec-dependent SPs from P. megaterium DSM 319 were predicted, which is in the scope of Bacillus species SPs. The lengths of the identified P. megaterium SPs range from ten to 56 amino acids. In 2012, Payne and coworkers described the minimal length of SPs for different species to be 10 amino acids separated in two, five, and three residues for n-, h,- and c-domains of the SP, respectively [13]. Hence, although the minimal length of ten amino acids is shorter than the minimal lengths of the SPs described above, these short SPs were included in our screenings to test their functionality. However, most of these short SPs did not show high secretion capacity of our model enzyme α-amylase (Figure 4) so that they were not further analyzed for the following screening of BmasPGA.
The identification and screening of SP libraries for many industrially relevant production hosts mentioned above underlines the importance of improving secretion of recombinant proteins. For this purpose, P. megaterium shows lower protease activity in the surrounding medium compared to B. subtilis [31] and the introduced recombinant plasmids show high stability [24]. In addition, P. megaterium is particularly advantageous because it secretes a remarkably low amount of potentially contaminating host proteins to the surrounding medium so that downstream processing of a recombinant target protein is additionally favored [30] (Figure S1).
So, with the identified P. megaterium SPs, a method to improve protein secretion for P. megaterium by SP screening using a plasmid-based SP library was established for the first time. Although the prediction of SPs using different tools has been possible for many years [14,15,16], so far it has not been possible to predict the efficiency of a SP for a given protein [19,47] resulting in laborious screening approaches [5]. In previous screenings with all B. subtilis SPs, each of the 173 SPs was amplified individually by PCR and B. subtilis was transformed individually with the constructed plasmids. This great effort for individual amplification, cloning, and transformation ensured that all SPs were tested [17]. Another possibility is the individual amplification of all 173 B. subtilis SPs, and their ligation as a mix into vectors followed by the transformation of B. subtilis with the ligation mix [19]. However, the major advantage of our new plasmid-based SP test system is a greatly reduced workload due to the amplification of the coding sequences of the SPs in E. coli instead of a PCR amplification before ligation to the target gene. As P. megaterium has a low transformation efficiency [39], the transformation of E. coli with the ligation mixture was necessary to achieve a high concentration of the ligation products. This step could provide a helpful strategy also for other hosts with low transformation rates such as undomesticated isolates of B. subtilis [48], Lactobacillus plantarum, or Lactobacillus buchneri [49]. For analyzing a small number of specific SPs of P. megaterium, individual PCR amplification can be easily used [28]. Nevertheless, the division of SPs into size-related groups of 18 to 20 SPs, each group on one pMSP, reduces the screening effort by organization into individual screening experiments.
The sequencing of SP-coding sequences of our clones from the plasmid-based SPs test system revealed that the individual SPs were represented with different frequencies, which seems to depend on the given recombinant protein (our unpublished data). Fu and coworkers (2018) screened more than 1500 clones for α-amylase secretion based on the 173 SPs of B. subtilis, which corresponded to a more than 8-fold oversampling. The SPs of the best 100 clones were sequenced and only 15 different SPs were identified, resulting in up to an 1.7-fold increase in secretion compared to the native SP [19]. In our study, the screening of 86 colonies of a cloning round with SPs from one pMSP represented 78% (14 SPs) of all possible 18 SPs, resulting in a more than 16.5-fold increase of BmasPGA secretion, while even the screening of only 12 clones already represents around 40% of the 18 SPs of another pMSP with an 8.5-fold increase. To cover more or even all SPs, the number of clones to be screened has to be increased accordingly. Anyway, as shown here, testing lower numbers of SPs can be sufficient to identify a suitable SP for secretion.
During the screening and sequencing of SPs applied for α-amylase secretion, it was observed that a high d score, a measure for identification of a SP, does not correlate to strong secretion and vice versa (Table 1) as described previously [17]. This was also observed for the SPs leading to highly enhanced secretion of BmasPGA. Their d scores were found to be only slightly above the threshold value of 0.45, ranging to high values of 0.88 (Table 3). Interestingly, the native SP of BmasPGA also shows a high d score of 0.77 although it hardly leads to recombinant secretion by P. megaterium. Consequently, d scores seem to be useful in predicting SPs but cannot valuate them, mainly because the secretion efficiency is determined by the combination of protein and SP and additionally depends on the host organism [5,15]. This could also be shown for the B. subtilis SP library, which was applied successfully in C. glutamicum, whereas the secretion efficiency of a recombinant protein based on a given SP differed significantly in both organisms [47].

5. Conclusions

Our plasmid-based SP library used here is the first SP screening-system for the Gram-positive production host P. megaterium. Ours, as well as previous results, confirm that it is still not possible to predict optimally suited SPs for the secretion of recombinant target proteins [19,47]. Therefore, these best SPs need to be identified using a rapid and simple cloning and screening system. In our work, several suited SPs were identified for the secretion of a novel penicillin G acylase from B. massiliogorillae (BmasPGA) that resulted in up to a 29-fold increase in the amount of protein secreted compared to secretion via the native SP. With this drastic increase of the required production and secretion to high amounts, the purification from the cell-free supernatant, and the following characterization of the BmasPGA but also of other recombinant novel proteins using P. megaterium is possible. Hence, our plasmid-based, easily amplifiable SP library will further widen the application of the interesting production host P. megaterium for the secretion of recombinant proteins and additionally could be applied for other hosts due to the functionality of our plasmids in a broad range of Bacillus species.

Supplementary Materials

The following supporting information can be downloaded at: https://www.mdpi.com/article/10.3390/microorganisms10040777/s1, Table S1: List of plasmids, Table S2: List of primers, Table S3: List of signal peptides available at pMSP1, Table S4: List of signal peptides available at pMSP2, Table S5: List of signal peptides available at pMSP3, Table S6: List of signal peptides available at pMSP4, Table S7: List of signal peptides available at pMSP5, Table S8: List of signal peptides available at pMSP6, Table S9: List of signal peptides available at pMSP7, Table S10: List of signal peptides available at pMSP8, Table S11: List of signal peptides available at pMSP9, Table S12: List of signal peptides available at pMSP10, Figure S1: Comparison of secreted amount of BmasPGA of selected clones in upscaling. Reference [50] is cited in the supplementary materials.

Author Contributions

Conceptualization, J.M., T.K. and R.B.; methodology, J.M. and T.K.; software, B.B.; validation, J.M., T.K. and R.B.; formal analysis, J.M. and T.K.; investigation, J.M., T.K., L.B. (Lisa Baumgarten), E.M., and L.B. (Lena Bischoff); data curation, J.M.; writing—original draft preparation, J.M.; writing—review and editing, R.B.; visualization, J.M.; supervision, R.B.; project administration, R.B.; funding acquisition, R.B. All authors have read and agreed to the published version of the manuscript.

Funding

This work was funded by the German Research Foundation (DFG), within the priority program, SPP1934 “Dispersitäts-, Struktur- und Phasenänderungen von Proteinen und biologischen Agglomeraten in biotechnologischen Prozessen” and by the Volkswagen Foundation within the project “Change of Course”.

Institutional Review Board Statement

Not applicable.

Informed Consent Statement

Not applicable.

Data Availability Statement

The data presented in this study are available within the article.

Acknowledgments

We would like to thank Dieter Jahn for fruitful discussions and Louisa Roselius for her support in bioinformatics. We acknowledge financial support by the German Research Foundation, TH Volkswagen Foundation, and the Open Access Publication Funds of the Technische Universität Braunschweig.

Conflicts of Interest

The authors declare no conflict of interest.

References

  1. Rosano, G.L.; Ceccarelli, E.A. Recombinant protein expression in Escherichia coli: Advances and challenges. Front. Microbiol. 2014, 5, 172. [Google Scholar] [CrossRef] [PubMed]
  2. Waegeman, H.; Soetaert, W. Increasing recombinant protein production in Escherichia coli through metabolic and genetic engineering. J. Ind. Microbiol. Biotechnol. 2011, 38, 1891–1910. [Google Scholar] [CrossRef] [PubMed]
  3. Rosano, G.L.; Ceccarelli, E.A. Recombinant protein expression in microbial systems. Front. Microbiol. 2014, 5, 737–741. [Google Scholar] [CrossRef] [PubMed]
  4. Neef, J.; van Dijl, J.M.; Buist, G. Recombinant protein secretion by Bacillus subtilis and Lactococcus lactis: Pathways, applications, and innovation potential. Essays Biochem. 2021, 65, 187–195. [Google Scholar]
  5. Freudl, R. Signal peptides for recombinant protein secretion in bacterial expression systems. Microb. Cell Fact. 2018, 17, 52. [Google Scholar] [CrossRef]
  6. Simonen, M.; Palva, I. Protein secretion in Bacillus Species. Microbiol. Rev. 1993, 57, 109–137. [Google Scholar] [CrossRef]
  7. Forster, B.M.; Marquis, H. Protein transport across the cell wall of monoderm Gram-positive bacteria. Mol. Microbiol. 2012, 84, 405–413. [Google Scholar] [CrossRef]
  8. Tsirigotaki, A.; De Geyter, J.; Šoštaric´, N.; Economou, A.; Karamanou, S. Protein export through the bacterial Sec pathway. Nat. Rev. Microbiol. 2017, 15, 21–36. [Google Scholar] [CrossRef]
  9. Yamane, K.; Bunai, K.; Kakeshita, H. Protein Traffic for Secretion and Related Machinery of Bacillus subtilis. Biosci. Biotechnol. Biochem. 2004, 68, 2007–2023. [Google Scholar] [CrossRef]
  10. Tjalsma, H.; Antelmann, H.; Jongbloed, J.D.H.; Braun, P.G.; Darmon, E.; Dorenbos, R.; Dubois, J.-Y.F.; Westers, H.; Zanen, G.; Quax, W.J.; et al. Proteomics of Protein Secretion by Bacillus subtilis: Separating the “Secrets” of the Secretome. Microbiol. Mol. Biol. Rev. 2004, 68, 207–233. [Google Scholar] [CrossRef]
  11. Dalbey, R.E.; Wang, P.; van Dijl, J.M. Membrane Proteases in the Bacterial Protein Secretion and Quality Control Pathway. Microbiol. Mol. Biol. Rev. 2012, 76, 311–330. [Google Scholar] [CrossRef] [PubMed]
  12. Wang, Y.; Liu, Y.; Wang, Z.; Lu, F. Influence of promoter and signal peptide on the expression of pullulanase in Bacillus subtilis. Biotechnol. Lett. 2014, 36, 1783–1789. [Google Scholar] [CrossRef] [PubMed]
  13. Payne, S.H.; Bonissone, S.; Wu, S.; Brown, R.N.; Ivankov, D.N.; Frishman, D.; Paša-Tolić, L.; Smith, R.D.; Pevzner, P.A. Unexpected Diversity of Signal Peptides in Prokaryotes. MBio 2012, 3, e00339-12. [Google Scholar] [CrossRef] [PubMed]
  14. Hiller, K.; Grote, A.; Scheer, M.; Munch, R.; Jahn, D. PrediSi: Prediction of signal peptides and their cleavage positions. Nucleic Acids Res. 2004, 32, W375–W379. [Google Scholar] [CrossRef] [PubMed]
  15. Petersen, T.N.; Brunak, S.; Von Heijne, G.; Nielsen, H. SignalP 4.0: Discriminating signal peptides from transmembrane regions. Nat. Methods 2011, 8, 785–786. [Google Scholar] [CrossRef]
  16. Almagro Armenteros, J.J.; Tsirigos, K.D.; Sønderby, C.K.; Petersen, T.N.; Winther, O.; Brunak, S.; von Heijne, G.; Nielsen, H. SignalP 5.0 improves signal peptide predictions using deep neural networks. Nat. Biotechnol. 2019, 37, 420–423. [Google Scholar] [CrossRef]
  17. Brockmeier, U.; Caspers, M.; Freudl, R.; Jockwer, A.; Noll, T.; Eggert, T. Systematic Screening of All Signal Peptides from Bacillus subtilis: A Powerful Strategy in Optimizing Heterologous Protein Secretion in Gram-positive Bacteria. J. Mol. Biol. 2006, 362, 393–402. [Google Scholar] [CrossRef]
  18. Yao, D.; Su, L.; Li, N.; Wu, J. Enhanced extracellular expression of Bacillus stearothermophilus α-amylase in Bacillus subtilis through signal peptide optimization, chaperone overexpression and α-amylase mutant selection. Microb. Cell Fact. 2019, 18, 69. [Google Scholar] [CrossRef]
  19. Fu, G.; Liu, J.; Li, J.; Zhu, B.; Zhang, D. Systematic Screening of Optimal Signal Peptides for Secretory Production of Heterologous Proteins in Bacillus subtilis. J. Agric. Food Chem. 2018, 66, 13141–13151. [Google Scholar] [CrossRef]
  20. Liu, Y.; Shi, C.; Li, D.; Chen, X.; Li, J.; Zhang, Y.; Yuan, H.; Li, Y.; Lu, F. Engineering a highly efficient expression system to produce BcaPRO protease in Bacillus subtilis by an optimized promoter and signal peptide. Int. J. Biol. Macromol. 2019, 138, 903–911. [Google Scholar] [CrossRef]
  21. Mathiesen, G.; Sveen, A.; Brurberg, M.; Fredriksen, L.; Axelsson, L.; Eijsink, V.G.H. Genome-wide analysis of signal peptide functionality in Lactobacillus plantarum WCFS1. BMC Genomics 2009, 10, 425. [Google Scholar] [CrossRef] [PubMed]
  22. Biedendieck, R.; Knuuti, T.; Moore, S.J.; Jahn, D. The “beauty in the beast”—the multiple uses of Priestia megaterium in biotechnology. Appl. Microbiol. Biotechnol. 2021, 105, 5719–5737. [Google Scholar] [CrossRef] [PubMed]
  23. Vary, P.S.; Biedendieck, R.; Fuerch, T.; Meinhardt, F.; Rohde, M.; Deckwer, W.D.; Jahn, D. Bacillus megaterium—From simple soil bacterium to industrial protein production host. Appl. Microbiol. Biotechnol. 2007, 76, 957–967. [Google Scholar] [CrossRef] [PubMed]
  24. Meinhardt, F.; Stahl, U.; Ebeling, W. Highly efficient expression of homologous and heterologous genes in Bacillus megaterium. Appl. Microbiol. Biotechnol. 1989, 30, 343–350. [Google Scholar] [CrossRef]
  25. Radha, S.; Gunasekaran, P. Sustained expression of keratinase gene under PxylA and PamyL promoters in the recombinant Bacillus megaterium MS941. Bioresour. Technol. 2008, 99, 5528–5537. [Google Scholar] [CrossRef]
  26. Biedendieck, R.; Yang, Y.; Deckwer, W.-D.; Malten, M.; Jahn, D. Plasmid system for the intracellular production and purification of affinity-tagged proteins in Bacillus megaterium. Biotechnol. Bioeng. 2007, 96, 525–537. [Google Scholar] [CrossRef]
  27. Wittchen, K.D.; Meinhardt, F. Inactivation of the major extracellular protease from Bacillus megaterium DSM319 by gene replacement. Appl. Microbiol. Biotechnol. 1995, 42, 871–877. [Google Scholar] [CrossRef]
  28. Stammen, S.; Müller, B.K.; Korneli, C.; Biedendieck, R.; Gamer, M.; Franco-Lara, E.; Jahn, D. High-yield intra- and extracellular protein production using Bacillus megaterium. Appl. Environ. Microbiol. 2010, 76, 4037–4046. [Google Scholar] [CrossRef]
  29. Korneli, C.; Biedendieck, R.; David, F.; Jahn, D.; Wittmann, C. High yield production of extracellular recombinant levansucrase by Bacillus megaterium. Appl. Microbiol. Biotechnol. 2013, 97, 3343–3353. [Google Scholar] [CrossRef]
  30. Mayer, J.; Pippel, J.; Günther, G.; Müller, C.; Lauermann, A.; Knuuti, T.; Blankenfeldt, W.; Jahn, D.; Biedendieck, R. Crystal structures and protein engineering of three different penicillin G acylases from Gram-positive bacteria with different thermostability. Appl. Microbiol. Biotechnol. 2019, 103, 7537–7552. [Google Scholar] [CrossRef]
  31. Bunk, B.; Schulz, A.; Stammen, S.; Münch, R.; Warren, M.J.; Rohde, M.; Jahn, D.; Biedendieck, R. A short story about a big magic bug. Bioeng. Bugs 2010, 1, 85–91. [Google Scholar] [CrossRef] [PubMed]
  32. Yang, Y.; Biedendieck, R.; Wang, W.; Gamer, M.; Malten, M.; Jahn, D.; Deckwer, W.-D. High yield recombinant penicillin G amidase production and export into the growth medium using Bacillus megaterium. Microb. Cell Fact. 2006, 5, 36. [Google Scholar] [CrossRef] [PubMed][Green Version]
  33. Jordan, E.; Hust, M.; Roth, A.; Biedendieck, R.; Schirrmann, T.; Jahn, D.; Dübel, S. Production of recombinant antibody fragments in Bacillus megaterium. Microb. Cell Fact. 2007, 6, 2. [Google Scholar] [CrossRef] [PubMed]
  34. Biedendieck, R.; Borgmeier, C.; Bunk, B.; Stammen, S.; Scherling, C.; Meinhardt, F.; Wittmann, C.; Jahn, D. Systems biology of recombinant protein production using Bacillus megaterium. Methods Enzymol. 2011, 500, 165–195. [Google Scholar] [PubMed]
  35. Zhang, Q.; Zhang, L.; Han, H.; Zhang, Y. A method for screening penicillin G acylase-producing bacteria by means of 2-nitro-5-phenylacetaminobenzoic acid test paper. Anal. Biochem. 1986, 156, 413–416. [Google Scholar] [CrossRef]
  36. Korneli, C.; David, F.; Biedendieck, R.; Jahn, D.; Wittmann, C. Getting the big beast to work-systems biotechnology of Bacillus megaterium for novel high-value proteins. J. Biotechnol. 2013, 163, 87–96. [Google Scholar] [CrossRef]
  37. Malten, M.; Biedendieck, R.; Gamer, M.; Drews, A.C.; Stammen, S.; Buchholz, K.; Dijkhuizen, L.; Jahn, D. A Bacillus megaterium plasmid system for the production, export, and one-step purification of affinity-tagged heterologous levansucrase from growth medium. Appl. Environ. Microbiol. 2006, 72, 1677–1679. [Google Scholar] [CrossRef][Green Version]
  38. Tjalsma, H.; Bolhuis, A.; Jongbloed, J.D.H.; Bron, S.; van Dijl, J.M. Signal Peptide-Dependent Protein Transport in Bacillus subtilis: A Genome-Based Survey of the Secretome. Microbiol. Mol. Biol. Rev. 2000, 64, 515–547. [Google Scholar] [CrossRef]
  39. Von Tersch, M.A.; Robbins, H.L. Efficient cloning in Bacillus megaterium: Comparison to Bacillus subtilis and Escherichia coli cloning hosts. FEMS Microbiol. Lett. 1990, 70, 305–309. [Google Scholar] [CrossRef][Green Version]
  40. Gupta, R.; Gigras, P.; Mohapatra, H.; Goswami, V.K.; Chauhan, B. Microbial α-amylases: A biotechnological perspective. Process Biochem. 2003, 38, 1599–1616. [Google Scholar] [CrossRef]
  41. Movahedpour, A.; Asadi, M.; Khatami, S.H.; Taheri-Anganeh, M.; Adelipour, M.; Shabaninejad, Z.; Ahmadi, N.; Irajie, C.; Mousavi, P. A brief overview on the application and sources of α-amylase and expression hosts properties in order to production of recombinant α-amylase. Biotechnol. Appl. Biochem. 2021. [Google Scholar] [CrossRef] [PubMed]
  42. Srirangan, K.; Orr, V.; Akawi, L.; Westbrook, A.; Moo-Young, M.; Chou, C.P. Biotechnological advances on Penicillin G acylase: Pharmaceutical implications, unique expression mechanism and production strategies. Biotechnol. Adv. 2013, 31, 1319–1332. [Google Scholar] [CrossRef] [PubMed]
  43. Marešová, H.; Plačková, M.; Grulich, M.; Kyslík, P. Current state and perspectives of penicillin G acylase-based biocatalyses. Appl. Microbiol. Biotechnol. 2014, 98, 2867–2879. [Google Scholar] [CrossRef]
  44. Rajendhran, J.; Gunasekaran, P. Recent biotechnological interventions for developing improved penicillin G acylases. J. Biosci. Bioeng. 2004, 97, 1–13. [Google Scholar] [CrossRef]
  45. Degering, C.; Eggert, T.; Puls, M.; Bongaerts, J.; Evers, S.; Maurer, K.-H.; Jaeger, K.-E. Optimization of Protease Secretion in Bacillus subtilis and Bacillus licheniformis by Screening of Homologous and Heterologous Signal Peptides. Appl. Environ. Microbiol. 2010, 76, 6370–6376. [Google Scholar] [CrossRef]
  46. Watanabe, K.; Tsuchida, Y.; Okibe, N.; Teramoto, H.; Suzuki, N.; Inui, M.; Yukawa, H. Scanning the Corynebacterium glutamicum R genome for high-efficiency secretion signal sequences. Microbiology 2009, 155, 741–750. [Google Scholar] [CrossRef]
  47. Hemmerich, J.; Rohe, P.; Kleine, B.; Jurischka, S.; Wiechert, W.; Freudl, R.; Oldiges, M. Use of a Sec signal peptide library from Bacillus subtilis for the optimization of cutinase secretion in Corynebacterium glutamicum. Microb. Cell Fact. 2016, 15, 208. [Google Scholar] [CrossRef]
  48. Romero, D.; Pérez-García, A.; Veening, J.-W.; de Vicente, A.; Kuipers, O.P. Transformation of undomesticated strains of Bacillus subtilis by protoplast electroporation. J. Microbiol. Methods 2006, 66, 556–559. [Google Scholar] [CrossRef]
  49. Spath, K.; Heinl, S.; Egger, E.; Grabherr, R. Lactobacillus plantarum and Lactobacillus buchneri as Expression Systems: Evaluation of Different Origins of Replication for the Design of Suitable Shuttle Vectors. Mol. Biotechnol. 2012, 52, 40–48. [Google Scholar] [CrossRef]
  50. Lakowitz, A.; Krull, R.; Biedendieck, R. Recombinant production of the antibody fragment D1.3 scFv with different Bacillus strains. Microb. Cell Fact. 2017, 16, 14. [Google Scholar] [CrossRef]
Figure 1. Schematic representation of the molecular components of the plasmid-based SP test system in P. megaterium based on the plasmid pTKSP0. The SP coding sequences including their appropriate native start codon can be cloned in the 5′ part of the MCS, ideally using the BsrGI (5′) and NgoMIV (3′) sites. The target gene can be cloned in the 3′ part of the MCS using the corresponding recognition sites optional as fusion to the His6-tag coding sequence. On the protein level, the inserted NgoMIV restriction site leads to the indicated additional alanine and glycine residues between SP and target protein, which now represent the +1 and +2 positions relative to the signal peptidase I (SPaseI) cleaving site. The SPaseI cleaving site is defined as position −3, −2, −1 (last residues of the SP) and position +1 of the target protein. PxylAopt—optimized xylose inducible promoter; RBS—ribosome binding site.
Figure 1. Schematic representation of the molecular components of the plasmid-based SP test system in P. megaterium based on the plasmid pTKSP0. The SP coding sequences including their appropriate native start codon can be cloned in the 5′ part of the MCS, ideally using the BsrGI (5′) and NgoMIV (3′) sites. The target gene can be cloned in the 3′ part of the MCS using the corresponding recognition sites optional as fusion to the His6-tag coding sequence. On the protein level, the inserted NgoMIV restriction site leads to the indicated additional alanine and glycine residues between SP and target protein, which now represent the +1 and +2 positions relative to the signal peptidase I (SPaseI) cleaving site. The SPaseI cleaving site is defined as position −3, −2, −1 (last residues of the SP) and position +1 of the target protein. PxylAopt—optimized xylose inducible promoter; RBS—ribosome binding site.
Microorganisms 10 00777 g001
Figure 2. Map of a multi-signal peptide plasmid (pMSP). All pMSPs carry a resistance gene (bla) for carbenicillin resistance (striped), the ori of pBR322 for E. coli (black) and a DNA cassette encoding the individual SPs (gray). This DNA cassette is shown in more detail in the image below. It contains coding sequences of 18–20 SPs from P. megaterium DSM 319 flanked by BsrGI (upstream) and NgoMIV (downstream) recognition sites. The black arrows indicate the respective orientation of coding sequences of the SPs.
Figure 2. Map of a multi-signal peptide plasmid (pMSP). All pMSPs carry a resistance gene (bla) for carbenicillin resistance (striped), the ori of pBR322 for E. coli (black) and a DNA cassette encoding the individual SPs (gray). This DNA cassette is shown in more detail in the image below. It contains coding sequences of 18–20 SPs from P. megaterium DSM 319 flanked by BsrGI (upstream) and NgoMIV (downstream) recognition sites. The black arrows indicate the respective orientation of coding sequences of the SPs.
Microorganisms 10 00777 g002
Figure 3. Illustration of cloning and screening procedure to identify efficient combinations of SP and target protein that lead to high secretion in recombinant P. megaterium. Coding sequences of SPs are shown in blue, the target gene in yellow.
Figure 3. Illustration of cloning and screening procedure to identify efficient combinations of SP and target protein that lead to high secretion in recombinant P. megaterium. Coding sequences of SPs are shown in blue, the target gene in yellow.
Microorganisms 10 00777 g003
Figure 4. Activity of α-amylase AmyE in the cell-free supernatant recombinantly secreted by P. megaterium MS941 with SPs from pMSP1 to 10. The measured enzyme activity was related to the scattered light at 620 nm of the culture. Enzyme activity is given as a percentage and refers to the positive control (100%), in which the α-amylase is recombinantly secreted by the SP from lipase A of P. megaterium ATCC 9885. Cultivation was performed in a microbioreactor system with 1 mL of LB medium supplemented with tetracycline (10 μg mL−1) and 0.5% (w/v) xylose at 37 °C and 1400 rpm. After 24 h, α-amylase activity in the cell-free culture supernatant was determined photometrically (OD620).
Figure 4. Activity of α-amylase AmyE in the cell-free supernatant recombinantly secreted by P. megaterium MS941 with SPs from pMSP1 to 10. The measured enzyme activity was related to the scattered light at 620 nm of the culture. Enzyme activity is given as a percentage and refers to the positive control (100%), in which the α-amylase is recombinantly secreted by the SP from lipase A of P. megaterium ATCC 9885. Cultivation was performed in a microbioreactor system with 1 mL of LB medium supplemented with tetracycline (10 μg mL−1) and 0.5% (w/v) xylose at 37 °C and 1400 rpm. After 24 h, α-amylase activity in the cell-free culture supernatant was determined photometrically (OD620).
Microorganisms 10 00777 g004
Figure 5. SDS-PAGE analyses of extra- and intracellular proteins during the recombinant production of PGAs with P. megaterium. Recombinant P. megaterium carrying the plasmids for production of PGAs from P. megaterium (pALBm1, Bm), B. thermotolerans (pRBBm311, Bt), B. sp. FJAT-27231 (pRBBm316, FJAT), and B. massiliogorillae (pRBBm317, Bmas), respectively, were cultivated aerobically at 37 °C, recombinant protein production was induced, and samples were taken for the analyses of extra- (A, 22 h after induction) and intracellular (B + C, 3 h after induction) proteins. Intracellular proteins were further separated in soluble (B) and insoluble (C) fractions. P. megaterium carrying an empty vector (EV) served as control. M: protein molecular weight marker.
Figure 5. SDS-PAGE analyses of extra- and intracellular proteins during the recombinant production of PGAs with P. megaterium. Recombinant P. megaterium carrying the plasmids for production of PGAs from P. megaterium (pALBm1, Bm), B. thermotolerans (pRBBm311, Bt), B. sp. FJAT-27231 (pRBBm316, FJAT), and B. massiliogorillae (pRBBm317, Bmas), respectively, were cultivated aerobically at 37 °C, recombinant protein production was induced, and samples were taken for the analyses of extra- (A, 22 h after induction) and intracellular (B + C, 3 h after induction) proteins. Intracellular proteins were further separated in soluble (B) and insoluble (C) fractions. P. megaterium carrying an empty vector (EV) served as control. M: protein molecular weight marker.
Microorganisms 10 00777 g005
Figure 6. Volumetric enzyme activity (EA) in supernatants from recombinant P. megaterium MS941 containing BmasPGA secreted by alternative SPs from pMSP3 to 5. Cultivation was performed in a microbioreactor system at 37 °C and 1400 rpm for 22 h. After centrifugation, enzyme activity was determined in the cell-free supernatant by NIPAB assay at 37 °C. Supernatant of BmasPGA secreted by its native SP served as control (orange line).
Figure 6. Volumetric enzyme activity (EA) in supernatants from recombinant P. megaterium MS941 containing BmasPGA secreted by alternative SPs from pMSP3 to 5. Cultivation was performed in a microbioreactor system at 37 °C and 1400 rpm for 22 h. After centrifugation, enzyme activity was determined in the cell-free supernatant by NIPAB assay at 37 °C. Supernatant of BmasPGA secreted by its native SP served as control (orange line).
Microorganisms 10 00777 g006
Figure 7. Box plot representation of enzyme activities of BmasPGA in the supernatant obtained by secretion with specific SPs of pMSP3 (a) and pMSP4 (b). In (a), the activity of BmasPGA secreted with the native SPs of all screenings is also plotted.
Figure 7. Box plot representation of enzyme activities of BmasPGA in the supernatant obtained by secretion with specific SPs of pMSP3 (a) and pMSP4 (b). In (a), the activity of BmasPGA secreted with the native SPs of all screenings is also plotted.
Microorganisms 10 00777 g007
Figure 8. Comparison of volumetric enzyme activity (EA) of selected BmasPGA clones in screening (gray, Figure 6) and upscaling (black). The clones with the native SP as control and the new SPs were cultured at 37 °C in shake flasks (50 mL culture volume). Twenty-two hours after induction of recombinant PGA secretion, the PGA activity was determined in cell-free supernatant by NIPAB assay in triplicates at 37 °C. pMSP3 to 5 are indicating the corresponding multi-SP plasmids; SP X indicates the corresponding SP of the given plasmid as presented in Table 2.
Figure 8. Comparison of volumetric enzyme activity (EA) of selected BmasPGA clones in screening (gray, Figure 6) and upscaling (black). The clones with the native SP as control and the new SPs were cultured at 37 °C in shake flasks (50 mL culture volume). Twenty-two hours after induction of recombinant PGA secretion, the PGA activity was determined in cell-free supernatant by NIPAB assay in triplicates at 37 °C. pMSP3 to 5 are indicating the corresponding multi-SP plasmids; SP X indicates the corresponding SP of the given plasmid as presented in Table 2.
Microorganisms 10 00777 g008
Table 1. Signal peptides achieving a better secretion of AmyE compared to the SP of the lipase A (100%).
Table 1. Signal peptides achieving a better secretion of AmyE compared to the SP of the lipase A (100%).
Signal Peptide Native Protein 1 Secreted AmyE [%] 2 d ScoreLength
SP 10 from pMSP3Conserved hypothetical protein BMD_3012 (ADF39852.1) 160.9 0.80230
SP 6 from pMSP8Flagellar biosynthetic protein FliZ (ADF40996.1) 160.7 0.66024
SP 18 from pMSP7Spore cortex-lytic enzyme (ADF39204.1)147.0 0.68424
SP 6 from pMSP8Flagellar biosynthetic protein FliZ (ADF40996.1)145.10.66024
SP 9 from pMSP4ErfK/YbiS/YcfS/YnhG family protein (ADF37131.1)128.2 0.81528
SP 12 from pMSP8Conserved hypothetical protein BMD_0825 (ADF37687.1)125.50.66323
SP 14 from pMSP3Levanase (ADF38396.1)124.0 0.51729
SP 14 from pMSP3Levanase (ADF38396.1)119.30.51729
SP 10 from pMSP3Conserved hypothetical protein BMD_3012 (ADF39852.1)117.40.80230
SP 3 from pMSP4Polysaccharide deacetylase (ADF40719.1)116.7 0.48229
SP 6 from pMSP4Levansucrase (ADF38395.1) 114.70.56329
SP 7 from pMSP4Phospholipase/carboxylesterase family protein (ADF37374.1)109.90.57428
SP 10 from pMSP3Conserved hypothetical protein BMD_3012 (ADF39852.1)106.80.80230
SP 10 from pMSP3Conserved hypothetical protein BMD_3012 (ADF39852.1)106.00.80230
SP 3 from pMSP10Conserved hypothetical protein BMD_1725 (ADF38580.1)104.90.69421
SP 10 from pMSP3Conserved hypothetical protein BMD_3012 (ADF39852.1)104.20.80230
SP 9 from pMSP9Conserved hypothetical protein BMD_1305 (ADF38166.1)102.90.56222
SP 17 from pMSP2Conserved hypothetical protein BMD_2947 (ADF39787.1)102.00.51731
1 Genebank IDs given in brackets. 2 Amount of secreted amylase AmyE [%] compared to the positive control.
Table 2. Identity of SPs of pMSP3–5 that led to secretion of BmasPGA.
Table 2. Identity of SPs of pMSP3–5 that led to secretion of BmasPGA.
Signal PeptideNative ProteinNumber of Clonesd Score Length
pMSP3
none 7
SP 2β-amylase30.64831
SP 3D-alanyl-D-alanine carboxypeptidase10.87530
SP 5Extracellular ribonuclease40.74030
SP 6Conserved hypothetical protein BMD_0560290.52630
SP 7Alkaline phosphatase20.46230
SP 9Putative peptidoglycan binding domain protein10.80630
SP 10Conserved hypothetical protein BMD_301240.80230
SP 11Hypothetical protein BMD_315230.47430
SP 12Putative cell wall endopeptidase10.74530
SP 14Levanase10.51729
SP 15Hypothetical protein BMD_202730.47229
SP 16Bacillolysin precursor (neutral protease)20.88829
SP 17VanW family protein70.45429
SP 18N-acetylmuramoyl-L-alanine amidase CwlB 140.82629
multiple 4
pMSP4
SP 1Hypothetical protein BMD_342730.45129
SP 3Polysaccharide deacetylase10.48229
SP 4Signal peptide peptidase SppA, 36K type40.45229
SP 5Peptidase M23 family protein80.45429
SP 6Levansucrase10.56329
SP 7Phospholipase/carboxylesterase family protein10.57428
SP 9ErfK/YbiS/YcfS/YnhG family protein110.81528
SP 10Conserved hypothetical protein BMD_030920.66028
SP 11Conserved hypothetical protein BMD_047010.64128
SP 16AhpC/TSA family protein50.56728
SP 17Spore cortex-lytic enzyme70.83528
multiple 2
pMSP5
none 1
SP 1Hypothetical protein BMD_254210.66528
SP 2Conserved hypothetical protein BMD_336210.88127
SP 9L-Asparaginase II10.66727
SP 10Conserved hypothetical protein BMD_394620.47627
SP 11D-alanyl-D-alanine carboxypeptidase10.75827
SP 15Conserved hypothetical protein BMD_113940.58226
SP 17Conserved hypothetical protein BMD_036910.47926
Table 3. Signal peptides achieving a better secretion of BmasPGA compared to the native SP.
Table 3. Signal peptides achieving a better secretion of BmasPGA compared to the native SP.
Signal Peptide Native Protein Secreted BmasPGA [-] Referred to Native SP 1 d ScoreLength
nativeBmasPGA1.000.77226
SP 7 from pMSP3Alkaline phosphatase10.430.46230
SP 5 from pMSP3Extracellular ribonuclease7.06/8.73/11.180.74030
SP 3 from pMSP3D-alanyl-D-alanine carboxypeptidase10.030.87530
SP 2 from pMSP3β-amylase15.06/16.55/14.900.64831
SP 11 from pMSP4Conserved hypothetical protein BMD_04707.570.64128
SP 9 from pMSP4ErfK/YbiS/YcfS/YnhG family protein9.03/9.210.81528
SP 1 from pMSP5Hypothetical Protein BMD_25428.540.66528
SP 9 from pMSP5L-Asparaginase II8.280.66727
SP 2 from pMSP5Conserved hypothetical protein BMD_33627.170.88127
1 X-fold amount of secreted BmasPGA compared to the native SP.
Publisher’s Note: MDPI stays neutral with regard to jurisdictional claims in published maps and institutional affiliations.

Share and Cite

MDPI and ACS Style

Mayer, J.; Knuuti, T.; Baumgarten, L.; Menke, E.; Bischoff, L.; Bunk, B.; Biedendieck, R. Construction and Application of a Plasmid-Based Signal Peptide Library for Improved Secretion of Recombinant Proteins with Priestia megaterium. Microorganisms 2022, 10, 777. https://doi.org/10.3390/microorganisms10040777

AMA Style

Mayer J, Knuuti T, Baumgarten L, Menke E, Bischoff L, Bunk B, Biedendieck R. Construction and Application of a Plasmid-Based Signal Peptide Library for Improved Secretion of Recombinant Proteins with Priestia megaterium. Microorganisms. 2022; 10(4):777. https://doi.org/10.3390/microorganisms10040777

Chicago/Turabian Style

Mayer, Janine, Tobias Knuuti, Lisa Baumgarten, Elise Menke, Lena Bischoff, Boyke Bunk, and Rebekka Biedendieck. 2022. "Construction and Application of a Plasmid-Based Signal Peptide Library for Improved Secretion of Recombinant Proteins with Priestia megaterium" Microorganisms 10, no. 4: 777. https://doi.org/10.3390/microorganisms10040777

APA Style

Mayer, J., Knuuti, T., Baumgarten, L., Menke, E., Bischoff, L., Bunk, B., & Biedendieck, R. (2022). Construction and Application of a Plasmid-Based Signal Peptide Library for Improved Secretion of Recombinant Proteins with Priestia megaterium. Microorganisms, 10(4), 777. https://doi.org/10.3390/microorganisms10040777

Note that from the first issue of 2016, this journal uses article numbers instead of page numbers. See further details here.

Article Metrics

Back to TopTop