Study of Class 1, 2, and 3 Integrons, Antibiotic Resistance Patterns, and Biofilm Formation in Clinical Staphylococcus aureus Isolates from Hospital-Acquired Infections
Abstract
1. Introduction
2. Materials and Methods
2.1. Study Design and Sample Collection
2.2. Isolation and Identification of S. aureus
2.3. Antimicrobial Susceptibility Testing
2.4. Phenotypic Detection of Inducible Clindamycin Resistance
2.5. Biofilm Formation by Tissue Culture Plate Technique
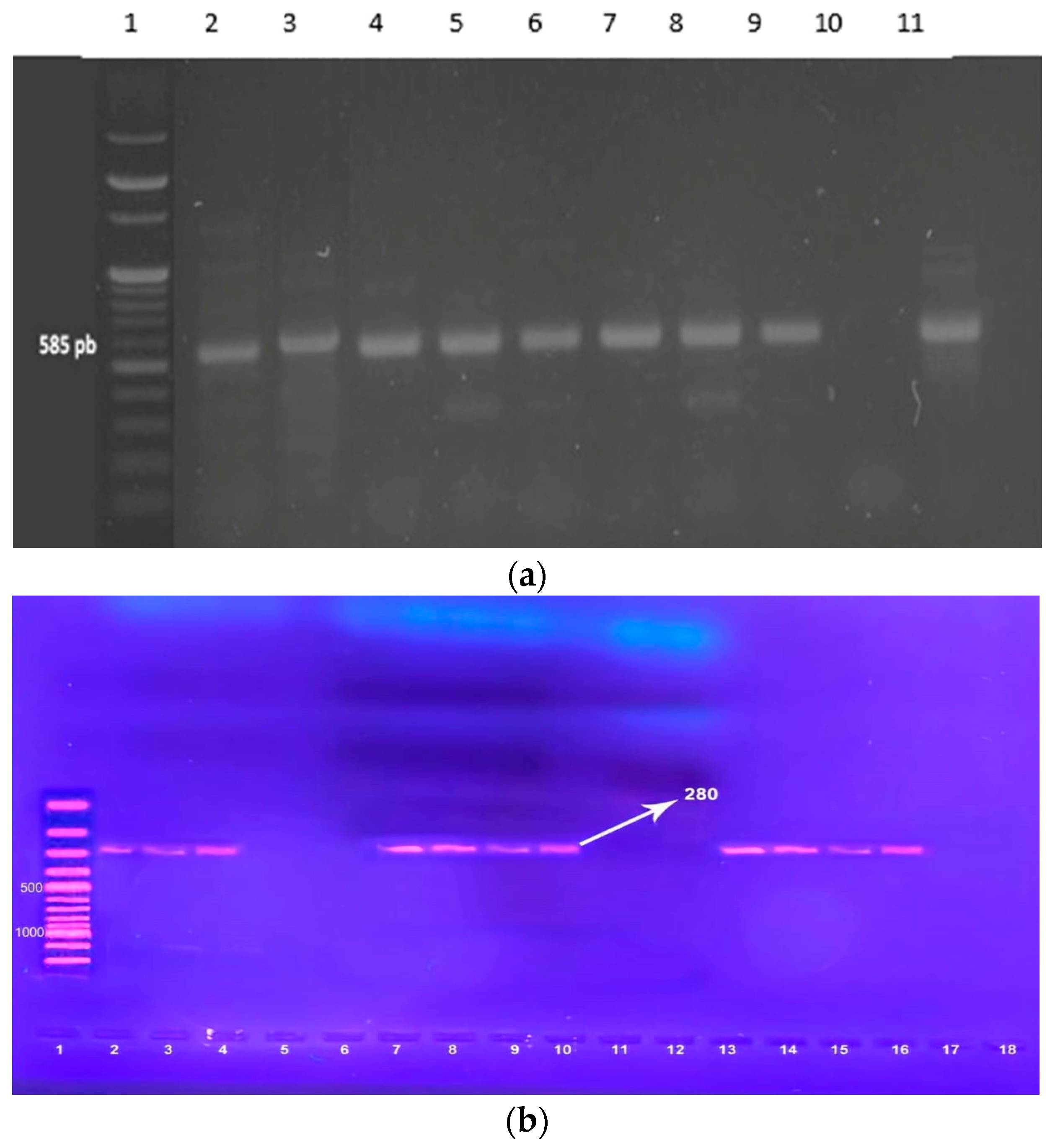
2.6. Molecular Detection of MRSA and Three Integron Classes by PCR
2.7. Statistical Analysis of the Data
3. Results
3.1. Demographic Data and Clinical Source of MRSA and MSSA Isolates
3.2. Antimicrobial Resistance Patterns Among MRSA and MSSA
3.3. MLSB Phenotypes and Biofilm Formation
3.4. Correlation Between Biofilm Formation and Antibiotic Resistance
3.5. Characterization of intI1 Gene-Positive S. aureus Isolates
3.6. Logistic Regression Analysis for Predictors of Biofilm Production
4. Discussion
5. Conclusions
Supplementary Materials
Author Contributions
Funding
Institutional Review Board Statement
Informed Consent Statement
Data Availability Statement
Conflicts of Interest
References
- Pollitt, E.J.; Otter, J.; French, G. Community-associated methicillin-resistant Staphylococcus aureus strains as a cause of healthcare-associated infection. J. Hosp. Infect. 2011, 79, 189–193. [Google Scholar]
- Pollitt, E.J.; Szkuta, P.T.; Burns, N.; Foster, S.J. Staphylococcus aureus infection dynamics. PLoS Pathog. 2018, 14, e1007112. [Google Scholar] [CrossRef] [PubMed]
- De Oliveira, D.M.P.; Forde, B.M.; Kidd, T.J.; Harris, P.N.A.; Schembri, M.A.; Beatson, S.A.; Paterson, D.L.; Walker, M.J. Antimicrobial resistance in ESKAPE pathogens. Clin. Microbiol. Rev. 2020, 33, e00181-19. [Google Scholar] [CrossRef] [PubMed]
- Mancuso, G.; Midiri, A.; Gerace, E.; Biondo, C. Bacterial antibiotic resistance: The most critical pathogens. Pathogens 2021, 10, 1310. [Google Scholar] [CrossRef] [PubMed]
- Tanhaeian, A.; Damavandi, M.S.; Mansury, D.; Ghaznini, K. Expression in eukaryotic cells and purification of synthetic gene encoding enterocin P: A bacteriocin with broad antimicrobial spectrum. AMB Express 2019, 9, 6. [Google Scholar] [CrossRef] [PubMed]
- Santajit, S.; Indrawattana, N. Mechanisms of antimicrobial resistance in ESKAPE pathogens. Biomed. Res. Int. 2016, 2016, 2475067. [Google Scholar] [CrossRef] [PubMed]
- Huang, J.; Xiao, J.; Wang, X.; Xue, X.; Ma, Y.; Zhang, Z.; Zheng, L.; Zafir, M.; Liu, P.; Zhao, X.; et al. Unearthing new ccr genes and staphylococcal cassette chromosome elements in staphylococci through genome mining. J. Infect. Dis. 2024, 230, 231–238. [Google Scholar] [CrossRef] [PubMed]
- Zeinali, E.; Moniri, R.; Safari, M.; Mousavi, G.A. Molecular characterization and SCCmec typing in methicillin-resistant Staphylococcus aureus isolated from clinical samples. Feyz J. Kashan Univ. Med. Sci. 2010, 14, 310–315. [Google Scholar]
- Gillings, M.R. Integrons: Past, present, and future. Microbiol. Mol. Biol. Rev. 2014, 78, 257–277. [Google Scholar] [CrossRef] [PubMed]
- Bhat, B.A.; Mir, R.A.; Qadri, H.; Dhiman, R.; Almilaibary, A.; Alkhanani, M.; Mir, M.A. Integrons in the development of antimicrobial resistance: Critical review and perspectives. Front. Microbiol. 2023, 14, 1231938. [Google Scholar] [CrossRef] [PubMed]
- Mostafa, M.; Siadat, S.D.; Shahcheraghi, F.; Vaziri, F.; Japoni-Nejad, A.; Vand Yousefi, J.; Rajaei, B.; Harifi Mood, E.; Ebrahimzadeh, N.; Moshiri, A.; et al. Variability in gene cassette patterns of class 1 and 2 integrons associated with multidrug resistance patterns in Staphylococcus aureus clinical isolates in Tehran-Iran. BMC Microbiol. 2015, 15, 152. [Google Scholar] [CrossRef] [PubMed]
- Lister, J.L.; Horswill, A.R. Staphylococcus aureus biofilms: Recent developments in biofilm dispersal. Front. Cell. Infect. Microbiol. 2014, 4, 178. [Google Scholar] [CrossRef] [PubMed]
- Sultan, A.M.; Mahmoud, N.M. Detection of resistance integrons among biofilm and non-biofilm producing clinical isolates of Pseudomonas aeruginosa. Germs 2024, 14, 11. [Google Scholar] [CrossRef] [PubMed]
- Abdelraheem, W.M.; Khairy, R.M.; Zaki, A.I.; Zaki, S.H. Effect of ZnO nanoparticles on methicillin, vancomycin, linezolid resistance and biofilm formation in Staphylococcus aureus isolates. Ann. Clin. Microbiol. Antimicrob. 2021, 20, 54. [Google Scholar] [CrossRef] [PubMed]
- Mlynarczyk-Bonikowska, B.; Kowalewski, C.; Krolak-Ulinska, A.; Marusza, W. Molecular mechanisms of drug resistance in Staphylococcus aureus. Int. J. Mol. Sci. 2022, 23, 8088. [Google Scholar] [CrossRef] [PubMed]
- Forbes, B.A.; Sahm, D.F.; Weissfeld, A.S. Bailey and Scott’s Diagnostic Microbiology, 12th ed.; Elsevier: Maryland Heights, MO, USA, 2007; p. 811. [Google Scholar]
- CLSI. Performance Standards for Antimicrobial Susceptibility Testing, 35th ed.; CLSI Supplement M100; Clinical and Laboratory Standards Institute: Wayne, PA, USA, 2025. [Google Scholar]
- Stepanović, S.; Vuković, D.; Hola, V.; Bonaventura, G.D.; Djukić, S.; Ćirković, I.; Ruzicka, F. Quantification of biofilm in microtiter plates: Overview of testing conditions and practical recommendations for assessment of biofilm production by staphylococci. APMIS 2007, 115, 891–899. [Google Scholar] [CrossRef] [PubMed]
- Jomehzadeh, N.; Emrani, S.S. Assessment of biofilm formation, antibiotic resistance patterns, and the prevalence of adhesion-related genes in clinical Staphylococcus aureus isolates. Heliyon 2025, 11, e41537. [Google Scholar] [CrossRef] [PubMed]
- Zhang, K.; Sparling, J.; Chow, B.L.; Elsayed, S.; Hussain, Z.; Church, D.L.; Gregson, D.B.; Louie, T.; Conly, J.M. New quadriplex PCR assay for detection of methicillin and mupirocin resistance and simultaneous discrimination of Staphylococcus aureus from coagulase-negative staphylococci. J. Clin. Microbiol. 2004, 42, 4947–4955. [Google Scholar] [CrossRef] [PubMed]
- Zomorodi, A.R.; Motamedifar, M.; Rahmanian, K.; Shakeri, M.; Hajikhani, B.; Heidari, H.; Mansury, D.; Jahromi, A.S. Investigation of integron classes 1, 2 and 3 among multi-drug-resistant Staphylococcus aureus isolates in Iran: A multi-center study. BMC Infect. Dis. 2024, 24, 1430. [Google Scholar] [CrossRef] [PubMed]
- Kumar, S.; Singh, S.; Kumar, V.; Datta, S.; Dhanjal, D.S.; Sharma, P.; Singh, J. Pathogenesis and antibiotic resistance of Staphylococcus aureus. In Model Organisms for Microbial Pathogenesis, Biofilm Formation and Antimicrobial Drug Discovery; Springer: Berlin/Heidelberg, Germany, 2020; pp. 99–115. [Google Scholar]
- Brdová, D.; Ruml, T.; Viktorová, J. Mechanism of staphylococcal resistance to clinically relevant antibiotics. Drug Resist. Updates 2024, 77, 101147. [Google Scholar] [CrossRef] [PubMed]
- Mohammadi, M.; Bahrami, N.; Khajavian, M.; Faghri, J. The occurrence of type I, II, and III integrons in multi-drug resistance and methicillin-resistant Staphylococcus aureus isolates in Iran. Curr. Microbiol. 2020, 77, 1653–1659. [Google Scholar] [CrossRef] [PubMed]
- Naimi, H.M.; Rasekh, H.; Noori, A.Z.; Bahaduri, M.A. Determination of antimicrobial susceptibility patterns in Staphylococcus aureus strains recovered from patients at two main health facilities in Kabul, Afghanistan. BMC Infect. Dis. 2017, 17, 737. [Google Scholar] [CrossRef] [PubMed]
- Dendi, F.Z.; Allem, R.; Sebaihia, M.; Bensefia, S.; Cheurfa, M.; Alamir, H.; Obeagu, E.I. Prevalence and molecular detection of Staphylococcus aureus resistance to antibiotics. Medicine 2024, 14, 103. [Google Scholar] [CrossRef] [PubMed]
- Mahfouz, A.A.; Said, H.S.; Elfeky, S.M.; Shaaban, M.I. Inhibition of erythromycin and erythromycin-induced resistance among Staphylococcus aureus clinical isolates. Antibiotics 2023, 12, 503. [Google Scholar] [CrossRef] [PubMed]
- El Maghraby, H.M.; Orabi, E.E.; Abdallah, A.L. Multidrug resistance and biofilm production among Staphylococcus aureus clinical isolates at a tertiary care hospital, Egypt. Microbes Infect. Dis. 2025, 6, 226–235. [Google Scholar] [CrossRef]
- Amr, G.E.; Gammal, S.A. Emergence of vancomycin resistant Staphylococcus aureus isolated from patients in ICUs of Zagazig University Hospitals. Egypt. J. Med. Microbiol. 2017, 26, 53–59. [Google Scholar] [CrossRef]
- Saeed, A.; Ahsan, F.; Nawaz, M.; Iqbal, K.; Rehman, K.U.; Ijaz, T. Incidence of vancomycin resistant phenotype of the methicillin resistant Staphylococcus aureus isolated from a tertiary care hospital in Lahore. Antibiotics 2020, 9, 3. [Google Scholar] [CrossRef] [PubMed]
- Gurung, R.R.; Maharjan, P.; Chhetri, G.G. Antibiotic resistance pattern of Staphylococcus aureus with reference to MRSA isolates from pediatric patients. Future Sci. OA 2020, 6, FSO464. [Google Scholar] [CrossRef] [PubMed]
- Garoy, E.Y.; Gebreab, Y.B.; Achila, O.O.; Tekeste, D.G.; Kesete, R.; Ghirmay, R.; Kiflay, R.; Tesfu, T. Methicillin-resistant Staphylococcus aureus (MRSA): Prevalence and antimicrobial sensitivity pattern among patients—A multicenter study in Asmara, Eritrea. Can. J. Infect. Dis. Med. Microbiol. 2019, 2019, 8321834. [Google Scholar] [CrossRef] [PubMed]
- Afshari, A.; Taheri, S.; Hashemi, M.; Norouzy, A.; Nematy, M.; Mohamadi, S. Methicillin- and Vancomycin-Resistant Staphylococcus aureus and Vancomycin-Resistant Enterococci Isolated from Hospital Foods: Prevalence and Antimicrobial Resistance Patterns. Curr. Microbiol. 2022, 79, 326. [Google Scholar] [CrossRef] [PubMed]
- Taha, A.E.; Badr, M.F.; El-Morsy, F.E.; Hammad, E. Prevalence and antimicrobial susceptibility of methicillin-resistant Staphylococcus aureus in an Egyptian University Hospital. J. Pure Appl. Microbiol. 2019, 13, 4. [Google Scholar] [CrossRef]
- Arshad, F.; Saleem, S.; Tahir, R.; Ghazal, A.; Khawaja, A.; Jahan, S. Four-year trend of antimicrobial susceptibility of methicillin-resistant Staphylococcus aureus in a tertiary care hospital, Lahore. J. Pak. Med. Assoc. 2022, 72, 296–299. [Google Scholar] [CrossRef] [PubMed]
- Moghaddam, T.S.; Namaei, M.H.; Afshar, D.; Yousefi, M. High frequency of SCCmec type IV and multidrug-resistant SCCmec type I among hospital acquired methicillin-resistant Staphylococcus aureus isolates in Birjand Imam Reza Hospital, Iran. Iran. J. Microbiol. 2022, 14, 67. [Google Scholar] [CrossRef] [PubMed]
- Qodrati, M.; SeyedAlinaghi, S.; Dehghan Manshadi, S.A.; Abdollahi, A.; Dadras, O. Antimicrobial susceptibility testing of Staphylococcus aureus isolates from patients at a tertiary hospital in Tehran, Iran, 2018–2019. Eur. J. Med. Res. 2022, 27, 152. [Google Scholar] [CrossRef] [PubMed]
- Guggenheim, M.; Zbinden, R.; Handschin, A.; Gohritz, A.; Altintas, M.; Giovanoli, P. Changes in bacterial isolates from burn wounds and their antibiograms: A 20-year study (1986–2005). Burns 2009, 35, 553–558. [Google Scholar] [CrossRef] [PubMed]
- Adesoji, A.T.; Onuh, J.P.; Bagu, J.; Itohan, S.A. Prevalence and antibiogram study of Staphylococcus aureus isolated from clinical and selected drinking water of Dutsin-Ma, Katsina state, Nigeria. Afr. Health Sci. 2019, 19, 1385–1392. [Google Scholar] [PubMed]
- Kashef, M.T.; Saleh, N.M.; Assar, N.H.; Ramadan, M.A. The antimicrobial activity of ciprofloxacin-loaded niosomes against ciprofloxacin-resistant and biofilm-forming Staphylococcus aureus. Infect. Drug Resist. 2020, 13, 1619–1629. [Google Scholar] [CrossRef] [PubMed]
- Olowe, O.A.; Kukoyi, O.O.; Taiwo, S.S.; Ojurongbe, O.; Opaleye, O.O.; Bolaji, O.S.; Adegoke, A.A.; Makanjuola, O.B.; Ogbolu, D.O.; Alli, O.T. Phenotypic and molecular characteristics of methicillin-resistant Staphylococcus aureus isolates from Ekiti State, Nigeria. Infect. Drug Resist. 2013, 6, 87–92. [Google Scholar] [CrossRef] [PubMed][Green Version]
- La Vecchia, A.; Ippolito, G.; Taccani, V.; Gatti, E.; Bono, P.; Bettocchi, S.; Pinzani, R.; Tagliabue, C.; Bosis, S.; Marchisio, P.; et al. Epidemiology and antimicrobial susceptibility of Staphylococcus aureus in children in a tertiary care pediatric hospital in Milan, Italy, 2017–2021. Ital. J. Pediatr. 2022, 48, 67. [Google Scholar] [CrossRef] [PubMed]
- Kishk, R.M.; Anani, M.M.; Nemr, N.A.; Soliman, N.M.; Fouad, M.M. Inducible clindamycin resistance in clinical isolates of Staphylococcus aureus in Suez Canal University Hospital, Ismailia, Egypt. J. Infect. Dev. Ctries. 2020, 14, 1281–1287. [Google Scholar] [CrossRef] [PubMed]
- Al-Kasaby, N.M.; El-Khier, N.T.A. Phenotypic and genotypic detection of macrolide-lincosamide-streptogramin B resistance among clinical isolates of Staphylococcus aureus from Mansoura University children hospital, Egypt. Afr. J. Microbiol. Res. 2017, 11, 488–494. [Google Scholar]
- Marincola, G.; Liong, O.; Schoen, C.; Abouelfetouh, A.; Hamdy, A.; Wencker, F.D.R.; Marciniak, T.; Betcker, K.; Köck, R.; Ziebuhr, W. Antimicrobial resistance profiles of coagulase-negative staphylococci in community-based healthy individuals in Germany. Front. Public Health 2021, 9, 684456. [Google Scholar] [CrossRef] [PubMed]
- Molina, K.C.; Morrisette, T.; Miller, M.A.; Huang, V.; Fish, D.N. The emerging role of β-lactams in the treatment of methicillin-resistant Staphylococcus aureus bloodstream infections. Antimicrob. Agents Chemother. 2020, 64, e00468-20. [Google Scholar] [CrossRef] [PubMed]
- Esmaeel, N.E.; Gebriel, M.G.; Yahia, S.; Hosny, T.; Mohammed, S.Y.; Gerges, M.A. Phenotypic and genotypic detection of macrolide resistance among clinical isolates of Staphylococci, Zagazig University Hospitals, Egypt. Microbes Infect. Dis. 2025, 6, 213–225. [Google Scholar] [CrossRef]
- Wu, X.; Wang, H.; Xiong, J.; Yang, G.X.; Hu, J.F.; Zhu, Q.; Chen, Z. Staphylococcus aureus biofilm: Formulation, regulatory, and emerging natural products-derived therapeutics. Biofilm 2024, 7, 100175. [Google Scholar] [CrossRef] [PubMed]
- Neopane, P.; Nepal, H.P.; Shrestha, R.; Uehara, O.; Abiko, Y. In vitro biofilm formation by Staphylococcus aureus isolated from wounds of hospital-admitted patients and their association with antimicrobial resistance. Int. J. Gen. Med. 2018, 11, 25–32. [Google Scholar] [CrossRef] [PubMed]
- Abdelraheem, W.; Abdelrahim, S.; Zaky, S. Phenotypic and genotypic detection of biofilm formation and methicillin resistance among Staphylococcus aureus isolates. Microbes Infect. Dis. 2021, 2, 485–496. [Google Scholar] [CrossRef]
- Karki, S.; Sah, A.; Lamichhane, J.; Maharjan, A.; Sharma, L.; Rajbhandari, R.; Parajuli, S.; Acharya, S.; Khanal, S. Biofilm formation and detection of icaD gene in Staphylococcus aureus isolated from clinical specimens. Open Microbiol. J. 2019, 13, 12–17. [Google Scholar] [CrossRef]
- Bimanand, L.; Taherikalani, M.; Jalilian, F.A.; Sadeghifard, N.; Ghafourian, S.; Mahdavi, Z.; Mohamadi, S.; Sayehmiri, K.; Hematian, A.; Pakzad, I. Association between biofilm production, adhesion genes and drugs resistance in different SCCmec types of methicillin resistant Staphylococcus aureus strains isolated from several major hospitals of Iran. Iran. J. Basic Med. Sci. 2018, 21, 400–406. [Google Scholar] [PubMed]
- Nasr, R.A.; Abu Shady, H.M.; Hussein, H.S. Biofilm formation and presence of icaAD gene in clinical isolates of staphylococci. Egypt. J. Med. Hum. Genet. 2012, 13, 269–274. [Google Scholar] [CrossRef]
- Banerjee, B.; Gowda, P.; Ananda, K.T. Biofilm formation and antibiotic resistance of Staphylococcus aureus strains isolated from chronic traumatic wounds. J. Pure Appl. Microbiol. 2022, 16, 424–429. [Google Scholar] [CrossRef]
- Hosseini, S.M.; Hadi, N.; Bazargani, A.; Emami, A.; Pirbonyeh, N. The first report of prevalence of class 1-3 integrons in clinical isolates of Staphylococcus aureus in Southwestern Iran: A multicenter study. Jundishapur J. Microbiol. 2019, 12, e90902. [Google Scholar] [CrossRef]
- Xu, Z.; Li, L.; Shirtliff, M.; Peters, B.; Li, B.; Peng, Y.; Alam, M.J.; Yamasaki, S.; Shi, L. Resistance class 1 integron in clinical methicillin-resistant Staphylococcus aureus strains in southern China, 2001–2006. Clin. Microbiol. Infect. 2011, 17, 714–718. [Google Scholar] [CrossRef] [PubMed]
- El-Baz, A.M.; Yahya, G.; Mansour, B.; El-Sokkary, M.M.; Alshaman, R.; Alattar, A.; El-Ganiny, A.M. The link between occurrence of class I integron and acquired aminoglycoside resistance in clinical MRSA isolates. Antibiotics 2021, 10, 488. [Google Scholar] [CrossRef] [PubMed]
- Deng, Y.; Liu, J.; Peters, B.M.; Chen, L.; Miao, J.; Li, B.; Li, L.; Chen, D.; Yu, G.; Xu, Z.; et al. Antimicrobial resistance investigation on Staphylococcus strains in a local hospital in Guangzhou, China, 2001–2010. Microb. Drug Resist. 2015, 21, 102–104. [Google Scholar] [CrossRef] [PubMed]
- Marathe, N.P.; Nagarkar, S.S.; Vaishampayan, A.A.; Rasane, M.H.; Samant, S.A.; Dohe, V.; Kagal, A.; Shouche, Y.S.; Deshpande, N. High prevalence of class 1 integrons in clinical isolates of methicillin-resistant Staphylococcus aureus from India. Indian J. Med. Microbiol. 2015, 33, 231–236. [Google Scholar] [CrossRef] [PubMed]
- Pozzi, C.; Waters, E.M.; Rudkin, J.K.; Schaeffer, C.R.; Lohan, A.J.; Tong, P.; Loftus, B.J.; Pier, G.B.; Fey, P.D.; Massey, R.C.; et al. Methicillin resistance alters the biofilm phenotype and attenuates virulence in Staphylococcus aureus device-associated infections. PLoS Pathog. 2012, 8, e1002626. [Google Scholar] [CrossRef] [PubMed]
- Aghmiyuni, Z.F.; Ahmadi, M.H.; Saderi, H. Relationship between the strength of biofilm production and the presence of pvl and mecA genes in Staphylococcus aureus isolated from skin and soft tissue infections. Heliyon 2024, 10, 23. [Google Scholar] [CrossRef] [PubMed]
- McCarthy, H.; Rudkin, J.K.; Black, N.S.; Gallagher, L.; O’Neill, E.; O’Gara, J.P. Methicillin resistance and the biofilm phenotype in Staphylococcus aureus. Front. Cell. Infect. Microbiol. 2015, 5, 1. [Google Scholar] [CrossRef] [PubMed]
- Rather, M.A.; Gupta, K.; Mandal, M. Microbial biofilm: Formation, architecture, antibiotic resistance, and control strategies. Braz. J. Microbiol. 2021, 52, 1701–1718. [Google Scholar] [CrossRef] [PubMed]


| MRSA (n = 38) | MSSA (n = 25) | Test of Sig. | p | |
|---|---|---|---|---|
| Age (years) | ||||
| Min.–Max | 18–70 | 27–68 | t = 2.227 * | 0.030 * |
| Mean ± SD | 41.47 ± 14.62 | 49.24 ± 11.68 | ||
| Median (IQR) | 41 (28–53) | 51 (40–60) | ||
| Sex | ||||
| Male | 23 (60.5%) | 13 (52.0%) | χ2= 0.448 | 0.503 |
| Female | 15 (39.5%) | 12 (48.0%) | ||
| Type of specimen | ||||
| Blood | 7 (18.4%) | 6 (24.0%) | χ2= 4.591 | MC p = 0.340 |
| ETT | 4 (10.5%) | 5 (20.0%) | ||
| Urine | 7 (18.4%) | 5 (20.0%) | ||
| Pus | 15 (39.5%) | 4 (16.0%) | ||
| Sputum | 5 (13.2%) | 5 (20.0%) |
| MRSA (n = 38) | MSSA (n = 25) | χ2 | p | |
|---|---|---|---|---|
| Antibiotics | ||||
| Cefoxitin (FOX) | 38 (100.0%) | 0 (0.0%) | 63.000 * | <0.001 * |
| Linezolid (LZD) | 0 (0.0%) | 0 (0.0%) | – | – |
| Vancomycin | 0 (0.0%) | 0 (0.0%) | – | – |
| Erythromycin (ERY) | 30 (78.9%) | 20 (80.0%) | 0.010 | 0.920 |
| Clindamycin (CLD) | 18 (47.4%) | 2 (8.0%) | 10.786 * | 0.001 * |
| Ciprofloxacin (CIP) | 29 (76.3%) | 13 (52.0%) | 4.012 * | 0.045 * |
| Gentamycin (GEN) | 17 (44.7%) | 7 (28.0%) | 1.791 | 0.181 |
| Ofloxacin (OFX) | 24 (63.2%) | 8 (32.0%) | 5.857 * | 0.016 * |
| Levofloxacin (LEV) | 27 (71.1%) | 10 (40.0%) | 5.999 * | 0.014 * |
| Tetracycline (TET) | 30 (78.9%) | 5 (20.0%) | 21.221 * | <0.001 * |
| Doxycycline (DO) | 28 (73.7%) | 4 (16.0%) | 20.076 * | <0.001 * |
| Trimethoprim/sulfamethoxazole (SXT) | 20 (52.6%) | 8 (32.0%) | 2.600 | 0.107 |
| No. (%) | |
|---|---|
| Biofilm | |
| Non-biofilm producer | 15 (23.8%) |
| Biofilm producer | 48 (76.2%) |
| Weak | 12 (19.0%) |
| Moderate | 17 (27.0%) |
| Strong | 19 (30.2%) |
| MLSB phenotypes | |
| MS | 13 (20.6%) |
| cMLSB | 21 (33.3%) |
| iMLSB | 17 (27.0%) |
| Sensitive | 12 (19.0%) |
| Biofilm Production | χ2 | p | ||||
|---|---|---|---|---|---|---|
| Non-Biofilm Producer (n = 15) | Biofilm Producer (n = 48) | |||||
| Resistance | Sensitivity | Resistance | Sensitivity | |||
| Antibiotic resistance | ||||||
| Cefoxitin (FOX) | 4 (26.7%) | 11 (73.3%) | 34 (70.8%) | 14 (29.2%) | 9.314 * | 0.002 * |
| Erythromycin (ERY) | 11 (73.3%) | 4 (26.7%) | 39 (81.3%) | 9 (18.8%) | 0.437 | FE p = 0.489 |
| Clindamycin (CLD) | 1 (6.7%) | 14 (93.3%) | 19 (39.6%) | 29 (60.4%) | 5.715 * | FE p = 0.024 * |
| Ciprofloxacin (CIP) | 10 (66.7%) | 5 (33.3%) | 32 (66.7%) | 16 (33.3%) | 0.00 | 1.000 |
| Gentamycin (GEN) | 3 (20.0%) | 12 (80.0%) | 21 (43.8%) | 27 (56.3%) | 2.734 | 0.098 |
| Ofloxacin (OFX) | 7 (46.7%) | 8 (53.3%) | 25 (52.1%) | 23 (47.9%) | 0.134 | 0.714 |
| Levofloxacin (LEV) | 9 (60.0%) | 6 (40.0%) | 28 (58.3%) | 20 (41.7%) | 0.013 | 0.909 |
| Tetracycline (TET) | 6 (40.0%) | 9 (60.0%) | 29 (60.4%) | 19 (39.6%) | 1.929 | 0.165 |
| Doxycycline (DO) | 6 (40.0%) | 9 (60.0%) | 26 (54.2%) | 22 (45.8%) | 0.918 | 0.338 |
| Trimethoprim/sulfamethoxazole (SXT) | 4 (26.7%) | 11 (73.3%) | 24 (50.0%) | 24 (50.0%) | 2.520 | 0.112 |
| Isolate No. | Clinical Source | MLSB Phenotype | Biofilm Production | Antibiotic Resistance Profile |
|---|---|---|---|---|
| 1 | Pus | cMLSB | Strong | FOX, ERY, CLD, CIP, OFX, TET, DO, SXT |
| 3 | Blood | cMLSB | Strong | FOX, ERY, CLD, CIP, OFX, GEN, DO, SXT |
| 5 | Pus | cMLSB | Strong | FOX, ERY, CLD, CIP, GEN, DO, SXT |
| 6 | ETT | cMLSB | Strong | FOX, ERY, CLD, CIP, GEN, OFX, LEV, DO, SXT |
| 8 | Pus | cMLSB | Weak | FOX, ERY, CLD, CIP, GEN, OFX, LEV, DO, SXT |
| 10 | Urine | cMLSB | Moderate | FOX, ERY, CLD, LEV, DO, SXT |
| 12 | Pus | cMLSB | Strong | FOX, ERY, CLD, OFX, DO, SXT |
| 13 | Blood | cMLSB | Moderate | FOX, ERY, CLD, OFX, TET |
| 15 | Pus | cMLSB | Strong | FOX, ERY, CLD, CIP, GEN, LEV, OFX, TET, DO, SXT |
| 20 | Pus | cMLSB | Strong | FOX, ERY, CLD, CIP, GEN, OFX, TET, SXT |
| 23 | Urine | cMLSB | Moderate | FOX, ERY, CLD, TET, DO, SXT |
| 27 | Pus | cMLSB | Strong | FOX, ERY, CLD, CIP, OFX, LEV, TET, SXT |
| 32 | Pus | cMLSB | Weak | FOX, ERY, CLD, CIP, GEN, LEV, TET, SXT |
| 39 | Urine | MS | Strong | FOX, ERY, CIP, GEN, OFX, LEV, TET, DO, SXT |
| 42 | Urine | iMLSB | Moderate | FOX, ERY CIP, GEN, OFX, LEV, TET, DO, SXT |
| 44 | Sputum | iMLSB | Strong | FOX, ERY, CIP, GEN, OFX, LEV, TET, DO |
| 47 | ETT | MS | Strong | FOX, ERY, CIP, OFX, LEV, TET |
| 50 | Blood | iMLSB | Weak | FOX, CIP, LEV, TET, DO |
| 54 | Sputum | Sensitive | Weak | FOX, CIP, OFX, LEV, TET, DO |
| 60 | Pus | Sensitive | Strong | CIP |
| 63 | Blood | Sensitive | Strong | FOX, CIP, OFX, LEV, TET, DO |
| Variables | Biofilm Production | Bivariate Analysis | Logistic Regression Analysis * | |||
|---|---|---|---|---|---|---|
| Non-Biofilm Producer (n = 15) | Biofilm Producer (n = 48) | p Value | COR (95% CI) | p Value | AOR (95% CI) | |
| Type of specimen | ||||||
| Urine | 6 (50%) | 6 (50%) | Ref. | |||
| ETT | 3 (33.3%) | 6 (66.7%) | 0.4 | 2 (0.3–11.9) | ||
| Blood | 3 (23.1%) | 10 (76.9%) | 0.2 | 3.3 (0.6–18.5) | ||
| Pus | 2 (10.5%) | 17 (89.5%) | 0.02 | 8.5 (1.3–54.1) | ||
| Sputum | 1 (10%) | 9 (90%) | 0.07 | 9 (0.9–94.9) | ||
| intI1 gene | ||||||
| Negative | 15 (35.7%) | 27 (64.3%) | 0.002* | Ref. | ||
| Positive | 0 | 21 (100%) | Undefined | |||
| mec A gene | ||||||
| Negative | 11 (44%) | 14 (56%) | 0.002 * | Ref. | 0.049 | Ref. |
| Positive | 4 (10.5%) | 34 (89.5%) | 6.7 (1.8–24.6) | 4.2 (1.009–17.4) | ||
| MLSB phenotypes | ||||||
| MS | 7 (53.8%) | 6 (46.2%) | Ref. | Ref. | ||
| cMLSB | 1 (4.8%) | 20 (95.2%) | 0.007 | 23.3 (2.4–229.3) | 0.04 | 12.2 (1.1–133) |
| iMLSB | 3 (17.6%) | 14 (82.4%) | 0.05 | 5.4 (1.04–28.5) | 0.08 | 4.7 (0.8–26.2) |
| Sensitive | 4 (33.3%) | 8 (66.7%) | 0.3 | 2.3 (0.5–11.8) | 0.5 | 1.7 (0.3–9.6) |
| Constant % correctly predicted Model ꭓ2, p-value | −0.6 76.2 16.2, 0.003 | |||||
Disclaimer/Publisher’s Note: The statements, opinions and data contained in all publications are solely those of the individual author(s) and contributor(s) and not of MDPI and/or the editor(s). MDPI and/or the editor(s) disclaim responsibility for any injury to people or property resulting from any ideas, methods, instructions or products referred to in the content. |
© 2025 by the authors. Licensee MDPI, Basel, Switzerland. This article is an open access article distributed under the terms and conditions of the Creative Commons Attribution (CC BY) license (https://creativecommons.org/licenses/by/4.0/).
Share and Cite
Hegazy, E.E.; ElNaghy, W.S.; Shalaby, M.M.; Shoeib, S.M.; Abdeen, N.S.M.; Fouda, M.H.; Elshora, O.A.; Elnaggar, M.H.; Elrefaey, W.; Hagag, R.Y.; et al. Study of Class 1, 2, and 3 Integrons, Antibiotic Resistance Patterns, and Biofilm Formation in Clinical Staphylococcus aureus Isolates from Hospital-Acquired Infections. Pathogens 2025, 14, 705. https://doi.org/10.3390/pathogens14070705
Hegazy EE, ElNaghy WS, Shalaby MM, Shoeib SM, Abdeen NSM, Fouda MH, Elshora OA, Elnaggar MH, Elrefaey W, Hagag RY, et al. Study of Class 1, 2, and 3 Integrons, Antibiotic Resistance Patterns, and Biofilm Formation in Clinical Staphylococcus aureus Isolates from Hospital-Acquired Infections. Pathogens. 2025; 14(7):705. https://doi.org/10.3390/pathogens14070705
Chicago/Turabian StyleHegazy, Eman E., Wageih Salem ElNaghy, Marwa M. Shalaby, Sarah M. Shoeib, Nashwa S. M. Abdeen, Mohamed H. Fouda, Ola A. Elshora, Mohammed H. Elnaggar, Waleed Elrefaey, Rasha Youssef Hagag, and et al. 2025. "Study of Class 1, 2, and 3 Integrons, Antibiotic Resistance Patterns, and Biofilm Formation in Clinical Staphylococcus aureus Isolates from Hospital-Acquired Infections" Pathogens 14, no. 7: 705. https://doi.org/10.3390/pathogens14070705
APA StyleHegazy, E. E., ElNaghy, W. S., Shalaby, M. M., Shoeib, S. M., Abdeen, N. S. M., Fouda, M. H., Elshora, O. A., Elnaggar, M. H., Elrefaey, W., Hagag, R. Y., Elhadidy, A. A., Elsebaey, M. A., Eltomey, M. A., El Nakib, A. M., Ageez, M. N., & Elnady, M. S. (2025). Study of Class 1, 2, and 3 Integrons, Antibiotic Resistance Patterns, and Biofilm Formation in Clinical Staphylococcus aureus Isolates from Hospital-Acquired Infections. Pathogens, 14(7), 705. https://doi.org/10.3390/pathogens14070705

