M72 Fusion Proteins in Nanocapsules Enhance BCG Efficacy Against Bovine Tuberculosis in a Mouse Model
Abstract
1. Introduction
2. Materials and Methods
2.1. Cloning and Expression of Recombinant Proteins in Escherichia coli
2.2. Antigen–Chitosan/Alginate Nanocapsule (NC) Carrier Preparation
2.3. Bacterial Strains, Media, and Growth Conditions
2.4. Mouse Vaccination and Infection
2.5. Lung Tissue Processing and Flow Cytometry Analysis
2.6. Histopathology
2.7. Statistical Analysis
3. Results
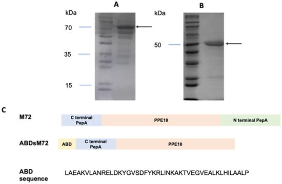
3.1. Expression and Purification of M72 and ABDsM72
3.2. Evaluation of Protein Vaccines Combined with BCG for Control of M. bovis Organ Colonization and Histopathology Outcomes
3.3. Analysis of Lung Immune Responses Following BCG Prime-Protein Boost Vaccination and M. bovis Challenge
4. Discussion
Supplementary Materials
Author Contributions
Funding
Institutional Review Board Statement
Informed Consent Statement
Data Availability Statement
Acknowledgments
Conflicts of Interest
References
- Buddle, B.M.; Wedlock, D.N.; Denis, M.; Vordermeier, H.M.; Hewinson, R.G. Update on Vaccination of Cattle and Wildlife Populations against Tuberculosis. Vet. Microbiol. 2011, 151, 14–22. [Google Scholar] [CrossRef] [PubMed]
- Viale, M.N.; Zumárraga, M.J.; Araújo, F.R.; Zarraga, A.M.; Cataldi, A.A.; Romano, M.I.; Bigi, F. The Genomics of Mycobacteria. Sci. Tech. Rev.—Int. Off. Epizoot. 2016, 35, 215–240. [Google Scholar] [CrossRef]
- Sabio y García, J.; Bigi, M.M.; Klepp, L.I.; García, E.A.; Blanco, F.C.; Bigi, F. Does Mycobacterium bovis Persist in Cattle in a Non-Replicative Latent State as Mycobacterium Tuberculosis in Human Beings? Vet. Microbiol. 2020, 247, 108758. [Google Scholar] [CrossRef]
- De Kantor, I.N.; Ritacco, V. An Update on Bovine Tuberculosis Programmes in Latin American and Caribbean Countries. Proc. Vet. Microbiol. 2006, 112, 111–118. [Google Scholar] [CrossRef] [PubMed]
- Vordermeier, H.M.; Chambers, M.A.; Buddle, B.M.; Pollock, J.M.; Hewinson, R.G. Progress in the Development of Vaccines and Diagnostic Reagents to Control Tuberculosis in Cattle. Vet. J. 2006, 171, 229–244. [Google Scholar] [CrossRef]
- Waters, W.R.; Palmer, M.V.; Buddle, B.M.; Vordermeier, H.M. Bovine Tuberculosis Vaccine Research: Historical Perspectives and Recent Advances. Vaccine 2012, 30, 2611–2622. [Google Scholar] [CrossRef] [PubMed]
- Buddle, B.M.; Vordermeier, H.M.; Chambers, M.A.; de Klerk-Lorist, L.M. Efficacy and Safety of BCG Vaccine for Control of Tuberculosis in Domestic Livestock and Wildlife. Front. Vet. Sci. 2018, 5, 259. [Google Scholar] [CrossRef]
- Fromsa, A.; Conlan, A.J.K.; Srinivasan, S.; Gumi, B.; Bedada, W.; Zeleke, M.; Worku, D.; Lakew, M.; Tadesse, B.; Bayissa, B.; et al. Comparative Performance of Tuberculin and Defined-Antigen Cocktails for Detecting Bovine Tuberculosis in BCG-Vaccinated Cattle in Natural Settings. Sci. Rep. 2025, 15, 4564. [Google Scholar] [CrossRef]
- Jones, G.J.; Konold, T.; Hurley, S.; Holder, T.; Steinbach, S.; Coad, M.; Neil Wedlock, D.; Buddle, B.M.; Singh, M.; Martin Vordermeier, H. Test Performance Data Demonstrates Utility of a Cattle DIVA Skin Test Reagent (DST-F) Compatible with BCG Vaccination. Sci. Rep. 2022, 12, 12058. [Google Scholar] [CrossRef]
- Tait, D.R.; Hatherill, M.; Van Der Meeren, O.; Ginsberg, A.M.; Van Brakel, E.; Salaun, B.; Scriba, T.J.; Akite, E.J.; Ayles, H.M.; Bollaerts, A.; et al. Final Analysis of a Trial of M72/AS01 E Vaccine to Prevent Tuberculosis. N. Engl. J. Med. 2019, 381, 2429–2439. [Google Scholar] [CrossRef]
- Gao, Y.; Yue, Y.; Xiong, S. An Albumin-Binding Domain Peptide Confers Enhanced Immunoprotection Against Viral Myocarditis by CVB3 VP1 Vaccine. Front. Immunol. 2021, 12, 666594. [Google Scholar] [CrossRef] [PubMed]
- Wang, P.; Zhao, P.; Dong, S.; Xu, T.; He, X.; Chen, M. An Albumin-Binding Polypeptide Both Targets Cytotoxic T Lymphocyte Vaccines to Lymph Nodes and Boosts Vaccine Presentation by Dendritic Cells. Theranostics 2018, 8, 223. [Google Scholar] [CrossRef] [PubMed]
- Abdallah, M.; Müllertz, O.O.; Styles, I.K.; Mörsdorf, A.; Quinn, J.F.; Whittaker, M.R.; Trevaskis, N.L. Lymphatic Targeting by Albumin-Hitchhiking: Applications and Optimisation. J. Control. Release 2020, 327, 117–128. [Google Scholar] [CrossRef]
- Zhang, X.; Zhang, Z.; Xia, N.; Zhao, Q. Carbohydrate-Containing Nanoparticles as Vaccine Adjuvants. Expert. Rev. Vaccines 2021, 20, 797–810. [Google Scholar] [CrossRef]
- Renu, S.; Renukaradhya, G.J. Chitosan Nanoparticle Based Mucosal Vaccines Delivered Against Infectious Diseases of Poultry and Pigs. Front. Bioeng. Biotechnol. 2020, 8, 558349. [Google Scholar] [CrossRef]
- Jearanaiwitayakul, T.; Apichirapokey, S.; Chawengkirttikul, R.; Limthongkul, J.; Seesen, M.; Jakaew, P.; Trisiriwanich, S.; Sapsutthipas, S.; Sunintaboon, P.; Ubol, S. Peritoneal Administration of a Subunit Vaccine Encapsulated in a Nanodelivery System Not Only Augments Systemic Responses against Sars-Cov-2 but Also Stimulates Responses in the Respiratory Tract. Viruses 2021, 13, 2202. [Google Scholar] [CrossRef]
- Manolova, V.; Flace, A.; Bauer, M.; Schwarz, K.; Saudan, P.; Bachmann, M.F. Nanoparticles Target Distinct Dendritic Cell Populations According to Their Size. Eur. J. Immunol. 2008, 38, 1404–1413. [Google Scholar] [CrossRef]
- Onnainty, R.; Marini, M.R.; Gravisaco, M.J.; García, E.A.; Aagaard, C.; Canal, A.; Granero, G.; Bigi, F.; Blanco, F.C. Live Attenuated Mycobacterium bovis Strains Combined with the Encapsulated H65 Antigen as a Vaccine Strategy against Bovine Tuberculosis in a Mouse Model. Vet. Microbiol. 2024, 291, 110007. [Google Scholar] [CrossRef] [PubMed]
- Blanco, F.C.; Bigi, M.M.; García, E.A.; Elola, M.T.; Vázquez, C.L.; Bigi, F. A Transcriptional Analysis of Cattle Immune Cells Reveals a Central Role of Type 1 Interferon in the In Vitro Innate Immune Response against Mycobacterium bovis. Pathogens 2023, 12, 1159. [Google Scholar] [CrossRef]
- Blanco, F.C.; García, E.A.; Aagaard, C.; Bigi, F. The Subunit Vaccine H65 + CAF01 Increased the BCG- Protection against Mycobacterium bovis Infection in a Mouse Model of Bovine Tuberculosis. Res. Vet. Sci. 2021, 136, 595–597. [Google Scholar] [CrossRef]
- Aguilar León, D.; Zumárraga, M.J.; Jiménez Oropeza, R.; Gioffré, A.K.; Bernardelli, A.; Orozco Estévez, H.; Cataldi, A.A.; Hernández Pando, R. Mycobacterium bovis with Different Genotypes and from Different Hosts Induce Dissimilar Immunopathological Lesions in a Mouse Model of Tuberculosis. Clin. Exp. Immunol. 2009, 157, 139–147. [Google Scholar] [CrossRef] [PubMed]
- Skeiky, Y.A.W.; Alderson, M.R.; Ovendale, P.J.; Guderian, J.A.; Brandt, L.; Dillon, D.C.; Campos-Neto, A.; Lobet, Y.; Dalemans, W.; Orme, I.M.; et al. Differential Immune Responses and Protective Efficacy Induced by Components of a Tuberculosis Polyprotein Vaccine, Mtb72F, Delivered as Naked DNA or Recombinant Protein. J. Immunol. 2004, 172, 7618–7628. [Google Scholar] [CrossRef] [PubMed]
- Blanco, F.C.; Marini, M.R.; Klepp, L.I.; Vázquez, C.L.; García, E.A.; Bigi, M.M.; Canal, A.; Bigi, F. Long-Term Evaluation in BALBc Mice of a Triple Mutant of Mycobacterium Bovis and the Bacillus Calmette-Guérin as Potential Vaccines against Bovine Tuberculosis. Vet. Microbiol. 2025, 302, 110371. [Google Scholar] [CrossRef]
- Stylianou, E.; Harrington-Kandt, R.; Beglov, J.; Bull, N.; Pinpathomrat, N.; Swarbrick, G.M.; Lewinsohn, D.A.; Lewinsohn, D.M.; McShane, H. Identification and Evaluation of Novel Protective Antigens for the Development of a Candidate Tuberculosis Subunit Vaccine. Infect. Immun. 2018, 86, 10-1128. [Google Scholar] [CrossRef]
- Bull, N.C.; Stylianou, E.; Kaveh, D.A.; Pinpathomrat, N.; Pasricha, J.; Harrington-Kandt, R.; Garcia-Pelayo, M.C.; Hogarth, P.J.; McShane, H. Enhanced Protection Conferred by Mucosal BCG Vaccination Associates with Presence of Antigen-Specific Lung Tissue-Resident PD-1+ KLRG1− CD4+ T Cells. Mucosal Immunol. 2019, 12, 555–564. [Google Scholar] [CrossRef]
- Pinpathomrat, N.; Bull, N.; Pasricha, J.; Harrington-Kandt, R.; McShane, H.; Stylianou, E. Using an Effective TB Vaccination Regimen to Identify Immune Responses Associated with Protection in the Murine Model. Vaccine 2021, 39, 1452–1462. [Google Scholar] [CrossRef] [PubMed]
- Sakai, S.; Kauffman, K.D.; Schenkel, J.M.; McBerry, C.C.; Mayer-Barber, K.D.; Masopust, D.; Barber, D.L. Cutting Edge: Control of Mycobacterium Tuberculosis Infection by a Subset of Lung Parenchyma–Homing CD4 T Cells. J. Immunol. 2014, 192, 2965–2969. [Google Scholar] [CrossRef]
- Vogelzang, A.; Perdomo, C.; Zedler, U.; Kuhlmann, S.; Hurwitz, R.; Gengenbacher, M.; Kaufmann, S.H.E. Central Memory CD4+ T Cells Are Responsible for the Recombinant Bacillus Calmette-Guérin ΔureC::hly Vaccine’s Superior Protection against Tuberculosis. J. Infect. Dis. 2014, 210, 1928–1937. [Google Scholar] [CrossRef]
- Wykes, M.N.; Lewin, S.R. Immune Checkpoint Blockade in Infectious Diseases. Nat. Rev. Immunol. 2018, 18, 91–104. [Google Scholar] [CrossRef]
- Vordermeier, M.; Jones, G.J.; Whelan, A.O. DIVA Reagents for Bovine Tuberculosis Vaccines in Cattle. Expert Rev. Vaccines 2011, 10, 1083–1091. [Google Scholar] [CrossRef]
- Fromsa, A.; Willgert, K.; Srinivasan, S.; Mekonnen, G.; Bedada, W.; Gumi, B.; Lakew, M.; Tadesse, B.; Bayissa, B.; Sirak, A.; et al. BCG Vaccination Reduces Bovine Tuberculosis Transmission, Improving Prospects for Elimination. Science (1979) 2024, 383, eadl3962. [Google Scholar] [CrossRef] [PubMed]
- Brandt, L.; Skeiky, Y.A.W.; Alderson, M.R.; Lobet, Y.; Dalemans, W.; Turner, O.C.; Basaraba, R.J.; Izzo, A.A.; Lasco, T.M.; Chapman, P.L.; et al. The Protective Effect of the Mycobacterium bovis BCG Vaccine Is Increased by Coadministration with the Mycobacterium Tuberculosis 72-Kilodalton Fusion Polyprotein Mtb72F in M. Tuberculosis-Infected Guinea Pigs. Infect. Immun. 2004, 72, 6622–6632. [Google Scholar] [CrossRef]
- Farooq, M.A.; Johnston, A.P.R.; Trevaskis, N.L. Impact of Nanoparticle Properties on Immune Cell Interactions in the Lymph Node. Acta Biomater. 2025, 193, 65–82. [Google Scholar] [CrossRef]
- AbdelAllah, N.H.; Gaber, Y.; Rashed, M.E.; Azmy, A.F.; Abou-Taleb, H.A.; AbdelGhani, S. Alginate-Coated Chitosan Nanoparticles Act as Effective Adjuvant for Hepatitis A Vaccine in Mice. Int. J. Biol. Macromol. 2020, 152, 904–912. [Google Scholar] [CrossRef]
- Nieuwenhuizen, N.E.; Zyla, J.; Zedler, U.; Bandermann, S.; Abu Abed, U.; Brinkmann, V.; Kaufmann, S.H.E. Weaker Protection against Tuberculosis in BCG-Vaccinated Male 129 S2 Mice Compared to Females. Vaccine 2021, 39, 7253–7264. [Google Scholar] [CrossRef] [PubMed]
- Gordy, J.T.; Bates, R.E.; Glass, E.; Meza, J.; Li, Y.; Schill, C.; Taylor, A.D.; Wang, T.; Chen, F.; Plunkett, K.; et al. MIP-3α-Antigen Fusion DNA Vaccine Enhances Sex Differences in Tuberculosis Model and Alters Dendritic Cell Activity Early Post Vaccination [Preprint]. Res. Sq. 2025. [Google Scholar] [CrossRef]
- Fritsch, R.D.; Shen, X.; Sims, G.P.; Hathcock, K.S.; Hodes, R.J.; Lipsky, P.E. Stepwise Differentiation of CD4 Memory T Cells Defined by Expression of CCR7 and CD27. J. Immunol. 2005, 175, 6489–6497. [Google Scholar] [CrossRef]
- Day, C.L.; Abrahams, D.A.; Bunjun, R.; Stone, L.; de Kock, M.; Walzl, G.; Wilkinson, R.J.; Burgers, W.A.; Hanekom, W.A. PD-1 Expression on Mycobacterium Tuberculosis-Specific CD4 T Cells Is Associated with Bacterial Load in Human Tuberculosis. Front. Immunol. 2018, 9, 1995. [Google Scholar] [CrossRef] [PubMed]
- Chen, H.W.; Kuo, Y.W.; Chen, C.Y.; Chang, C.H.; Wang, S.M.; Chien, Y.C.; Lu, W.C.; Chen, J.P.; Chang, C.Y.; Wei, Y.F.; et al. Increased Tuberculosis Reactivation Risk in Patients Receiving Immune Checkpoint Inhibitor-Based Therapy. Oncologist 2024, 29, e498–e506. [Google Scholar] [CrossRef]
- Barber, D.L.; Sakai, S.; Kudchadkar, R.R.; Fling, S.P.; Day, T.A.; Vergara, J.A.; Ashkin, D.; Cheng, J.H.; Lundgren, L.M.; Raabe, V.N.; et al. Tuberculosis Following PD-1 Blockade for Cancer Immunotherapy. Sci. Transl. Med. 2019, 11, eaat2702. [Google Scholar] [CrossRef]
- Barber, D.L.; Mayer-Barber, K.D.; Feng, C.G.; Sharpe, A.H.; Sher, A. CD4 T Cells Promote Rather than Control Tuberculosis in the Absence of PD-1–Mediated Inhibition. J. Immunol. 2011, 186, 1598–1607. [Google Scholar] [CrossRef] [PubMed]





Disclaimer/Publisher’s Note: The statements, opinions and data contained in all publications are solely those of the individual author(s) and contributor(s) and not of MDPI and/or the editor(s). MDPI and/or the editor(s) disclaim responsibility for any injury to people or property resulting from any ideas, methods, instructions or products referred to in the content. |
© 2025 by the authors. Licensee MDPI, Basel, Switzerland. This article is an open access article distributed under the terms and conditions of the Creative Commons Attribution (CC BY) license (https://creativecommons.org/licenses/by/4.0/).
Share and Cite
Blanco, F.C.; Onnainty, R.; Marini, M.R.; Klepp, L.I.; García, E.A.; Vazquez, C.L.; Canal, A.; Granero, G.; Bigi, F. M72 Fusion Proteins in Nanocapsules Enhance BCG Efficacy Against Bovine Tuberculosis in a Mouse Model. Pathogens 2025, 14, 592. https://doi.org/10.3390/pathogens14060592
Blanco FC, Onnainty R, Marini MR, Klepp LI, García EA, Vazquez CL, Canal A, Granero G, Bigi F. M72 Fusion Proteins in Nanocapsules Enhance BCG Efficacy Against Bovine Tuberculosis in a Mouse Model. Pathogens. 2025; 14(6):592. https://doi.org/10.3390/pathogens14060592
Chicago/Turabian StyleBlanco, Federico Carlos, Renée Onnainty, María Rocío Marini, Laura Inés Klepp, Elizabeth Andrea García, Cristina Lourdes Vazquez, Ana Canal, Gladys Granero, and Fabiana Bigi. 2025. "M72 Fusion Proteins in Nanocapsules Enhance BCG Efficacy Against Bovine Tuberculosis in a Mouse Model" Pathogens 14, no. 6: 592. https://doi.org/10.3390/pathogens14060592
APA StyleBlanco, F. C., Onnainty, R., Marini, M. R., Klepp, L. I., García, E. A., Vazquez, C. L., Canal, A., Granero, G., & Bigi, F. (2025). M72 Fusion Proteins in Nanocapsules Enhance BCG Efficacy Against Bovine Tuberculosis in a Mouse Model. Pathogens, 14(6), 592. https://doi.org/10.3390/pathogens14060592

