Characterization of Early Lesions of Human Post-Primary Tuberculosis and Its Progression to Necrosis Using Archival Material of the Pre-Antibiotic Era
Abstract
1. Introduction
2. Material and Methods
2.1. Immunohistochemistry
2.2. Macrophages
2.3. Quantification of Immune Markers
2.4. Statistical Analysis
3. Results
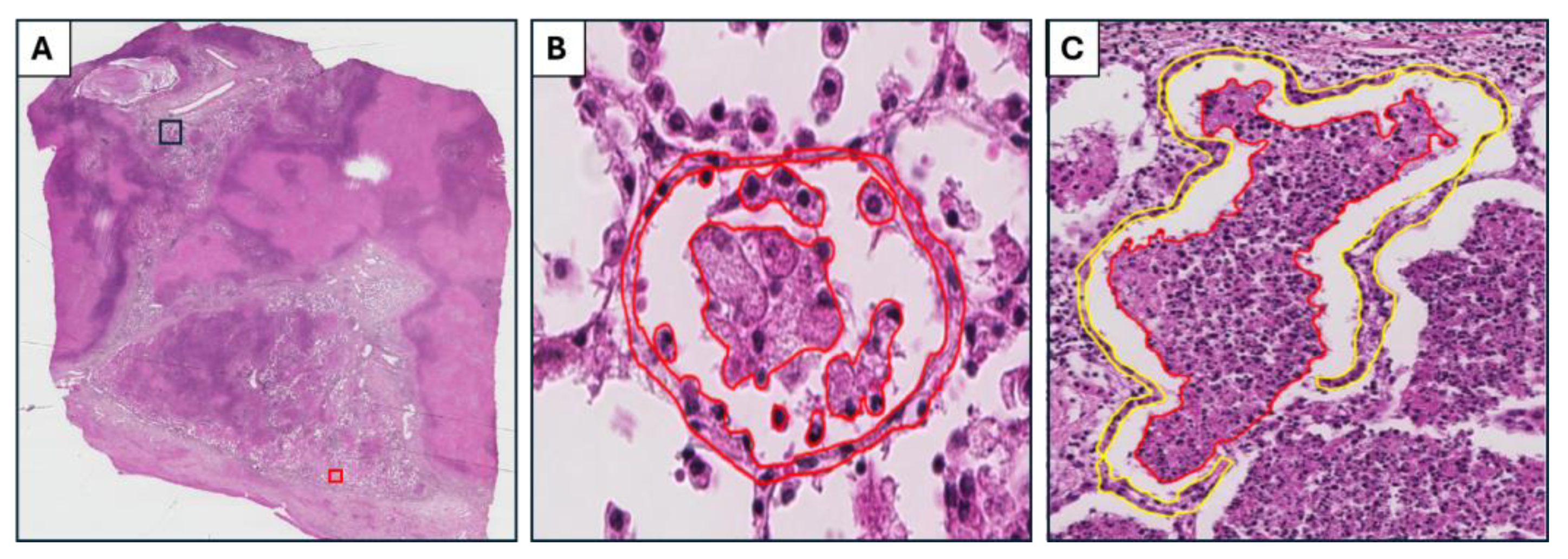
3.1. Early Lesion: Compartmentalization of Macrophages with Mixed M1/M2 Morphology in the Alveoli and T Cells in the Interstitium
3.2. Interstitium Around Early Lesion
3.3. Necrotic Lesions: Influx of T Cells in the Necrotic Alveolar Lesions, Increase in CD8+ Cells, and Destruction of Macrophages
3.4. Interstitium Around Necrotic Lesion
3.5. Comparison Between Early and Necrotic Lesions: Increase in PDL+, PD1+, and CD8+ Cells Associated with the Progression of Disease
3.6. Association of MMP9 with the Formation of Cavities
3.7. Association of Immune Cells in TB Lesions with TB Mortality
4. Discussion
4.1. Macrophage Profile in Early and Necrotic Lesions
4.2. T Cells in Early and Necrotic Lesions
4.3. Role of PD1-PDL-1 Pathway in TB Pathogenesis
4.4. Mycobacterial Antigens
4.5. MMP in Early and Necrotic Lesions
4.6. Immune Cell Dynamics in TB
4.7. Post-Primary TB Pneumonia with Neutrophils
4.8. Strengths and Limitations
5. Conclusions
Supplementary Materials
Author Contributions
Funding
Institutional Review Board Statement
Informed Consent Statement
Data Availability Statement
Conflicts of Interest
Abbreviations
| MTB | Mycobacterium tuberculosis |
| MMP | Matrix metalloproteinases |
| M1 | Classically activated macrophages |
| M2 | Alternatively activated macrophages |
| PDL | programmed death-ligand |
| TB | tuberculosis |
References
- Pinner, M. Pulmonary tuberculosis in the adult. Its fundamental aspects. South. Med. J. 1945, 38, 856. [Google Scholar] [CrossRef]
- Opie, E.L. The focal pulmonary tuberculosis of children and adults. J. Exp. Med. 1917, 25, 855. [Google Scholar] [CrossRef] [PubMed]
- Brown, R.E.; Hunter, R.L. Early Lesion of Post-Primary Tuberculosis: Subclinical Driver of Disease and Target for Vaccines and Host-Directed Therapies. Pathogens 2021, 10, 1572. [Google Scholar] [CrossRef] [PubMed]
- Dharmadhikari, A.S.; Nardell, E.A. What animal models teach humans about tuberculosis. Am. J. Respir. Cell Mol. Biol. 2008, 39, 503–508. [Google Scholar] [CrossRef]
- Ramirez-Lapausa, M.; Menendez-Saldana, A.; Noguerado-Asensio, A. Extrapulmonary tuberculosis: An overview. Rev. Esp. Sanid. Penit. 2015, 17, 3–11. [Google Scholar] [CrossRef] [PubMed]
- Hunter, R.L. Pathology of post primary tuberculosis of the lung: An illustrated critical review. Tuberculosis 2011, 91, 497–509. [Google Scholar] [CrossRef]
- Bennett, J.H. The Pathology and Treatment of Pulmonary Tuberculosis: And on the Local Medication of Pharyngeal and Laryngeal Diseases Frequently Mistaken For, Or Associated with, Phthisis; Blanchard and Lea: Wilmington, NC, USA, 1854. [Google Scholar]
- Kayne, G.G. Origin, diagnosis, and management of early bronchogenic tuberculosis. Br. Med. J. 1941, 2, 154. [Google Scholar] [CrossRef][Green Version]
- Riaz, S.M.; Hanevik, K.; Helgeland, L.; Sviland, L.; Hunter, R.L.; Mustafa, T. Novel Insights into the Pathogenesis of Human Post-Primary Tuberculosis from Archival Material of the Pre-Antibiotic Era, 1931–1947. Pathogens 2023, 12, 1426. [Google Scholar] [CrossRef]
- Kerley, P. Assmann’s focus. Br. J. Tuberc. 1935, 29, 19–25. [Google Scholar] [CrossRef]
- Hunter, R.L. The pathogenesis of tuberculosis: The early infiltrate of post-primary (adult pulmonary) tuberculosis: A distinct disease entity. Front. Immunol. 2018, 9, 2108. [Google Scholar] [CrossRef]
- Hunter, R.L. Tuberculosis as a three-act play: A new paradigm for the pathogenesis of pulmonary tuberculosis. Tuberculosis 2016, 97, 8–17. [Google Scholar] [CrossRef] [PubMed]
- Dunham, H.K.; Skavlem, J.H. X-ray observations of the pathogenesis of pulmonary tuberculosis. Tubercle 1924, 5, 217–232. [Google Scholar] [CrossRef]
- Cohen, S.B.; Gern, B.H.; Urdahl, K.B. The tuberculous granuloma and preexisting immunity. Annu. Rev. Immunol. 2022, 40, 589–614. [Google Scholar] [CrossRef]
- Dunham, K.; Norton, V. X-ray Study of the Absorption of Tuberculous Exudate within the Lung. Am. J. Roentgenol. 1923, 10, 112. [Google Scholar]
- Nisa, A.; Kipper, F.C.; Panigrahy, D.; Tiwari, S.; Kupz, A.; Subbian, S. Different modalities of host cell death and their impact on Mycobacterium tuberculosis infection. Am. J. Physiol. Cell Physiol. 2022, 323, C1444–C1474. [Google Scholar] [CrossRef]
- Zhai, W.; Wu, F.; Zhang, Y.; Fu, Y.; Liu, Z. The Immune Escape Mechanisms of Mycobacterium Tuberculosis. Int. J. Mol. Sci. 2019, 20, 340. [Google Scholar] [CrossRef]
- Jung, H.I.; Jeong, D.; Ji, S.; Ahn, T.S.; Bae, S.H.; Chin, S.; Chung, J.C.; Kim, H.C.; Lee, M.S.; Baek, M.J. Overexpression of PD-L1 and PD-L2 Is Associated with Poor Prognosis in Patients with Hepatocellular Carcinoma. Cancer Res. Treat. 2017, 49, 246–254. [Google Scholar] [CrossRef]
- Mustafa, T.; Leversen, N.A.; Sviland, L.; Wiker, H.G. Differential in vivo expression of mycobacterial antigens in Mycobacterium tuberculosisinfected lungs and lymph node tissues. BMC Infect. Dis. 2014, 14, 535. [Google Scholar] [CrossRef]
- Riaz, S.M.; Bjune, G.A.; Wiker, H.G.; Sviland, L.; Mustafa, T. Mycobacterial antigens accumulation in foamy macrophages in murine pulmonary tuberculosis lesions: Association with necrosis and making of cavities. Scand. J. Immunol. 2020, 91, e12866. [Google Scholar] [CrossRef]
- Bashir, S.; Sharma, Y.; Elahi, A.; Khan, F. Macrophage polarization: The link between inflammation and related diseases. Inflamm. Res. 2016, 65, 1–11. [Google Scholar] [CrossRef]
- Bertani, F.R.; Mozetic, P.; Fioramonti, M.; Iuliani, M.; Ribelli, G.; Pantano, F.; Santini, D.; Tonini, G.; Trombetta, M.; Businaro, L.; et al. Classification of M1/M2-polarized human macrophages by label-free hyperspectral reflectance confocal microscopy and multivariate analysis. Sci. Rep. 2017, 7, 8965. [Google Scholar] [CrossRef] [PubMed]
- Crocker, P.R.; Jefferies, W.A.; Clark, S.J.; Chung, L.P.; Gordon, S. Species heterogeneity in macrophage expression of the CD4 antigen. J. Exp. Med. 1987, 166, 613–618. [Google Scholar] [CrossRef] [PubMed]
- Bankhead, P.; Loughrey, M.B.; Fernández, J.A.; Dombrowski, Y.; McArt, D.G.; Dunne, P.D.; McQuaid, S.; Gray, R.T.; Murray, L.J.; Coleman, H.G.; et al. QuPath: Open source software for digital pathology image analysis. Sci. Rep. 2017, 7, 16878. [Google Scholar] [CrossRef] [PubMed]
- Khan, A.; Singh, V.K.; Hunter, R.L.; Jagannath, C. Macrophage heterogeneity and plasticity in tuberculosis. J. Leukoc. Biol. 2019, 106, 275–282. [Google Scholar] [CrossRef]
- Huang, Z.; Luo, Q.; Guo, Y.; Chen, J.; Xiong, G.; Peng, Y.; Ye, J.; Li, J. Mycobacterium tuberculosis-Induced Polarization of Human Macrophage Orchestrates the Formation and Development of Tuberculous Granulomas In Vitro. PLoS ONE 2015, 10, e0129744. [Google Scholar] [CrossRef]
- Zandberg, D.P.; Strome, S.E. The role of the PD-L1: PD-1 pathway in squamous cell carcinoma of the head and neck. Oral Oncol. 2014, 50, 627–632. [Google Scholar] [CrossRef]
- Welsh, K.J.; Risin, S.A.; Actor, J.K.; Hunter, R.L. Immunopathology of postprimary tuberculosis: Increased T-regulatory cells and DEC-205-positive foamy macrophages in cavitary lesions. J. Immunol. Res. 2011, 2011, 307631. [Google Scholar] [CrossRef]
- Fujita, K.; Terashima, T.; Mio, T. Anti-PD1 antibody treatment and the development of acute pulmonary tuberculosis. J. Thorac. Oncol. 2016, 11, 2238–2240. [Google Scholar] [CrossRef]
- Chu, Y.-C.; Fang, K.-C.; Chen, H.-C.; Yeh, Y.-C.; Tseng, C.-E.; Chou, T.-Y.; Lai, C.-L. Pericardial tamponade caused by a hypersensitivity response to tuberculosis reactivation after anti–PD-1 treatment in a patient with advanced pulmonary adenocarcinoma. J. Thorac. Oncol. 2017, 12, e111–e114. [Google Scholar] [CrossRef]
- Elkington, P.T.; Bateman, A.C.; Thomas, G.J.; Ottensmeier, C.H. Implications of tuberculosis reactivation after immune checkpoint inhibition. Am. J. Respir. Crit. Care Med. 2018, 198, 1451–1453. [Google Scholar] [CrossRef]
- Jiang, Y.; Chen, M.; Nie, H.; Yuan, Y. PD-1 and PD-L1 in cancer immunotherapy: Clinical implications and future considerations. Hum. Vaccines Immunother. 2019, 15, 1111–1122. [Google Scholar] [CrossRef] [PubMed]
- Pan, S.W.; Shu, C.C.; Huang, J.R.; Lee, C.C.; Tseng, Y.H.; Hung, J.J.; Hsu, P.K.; Chen, N.J.; Su, W.J.; Feng, J.Y.; et al. PD-L1 Expression in Monocytes Correlates with Bacterial Burden and Treatment Outcomes in Active Pulmonary Tuberculosis. Int. J. Mol. Sci. 2022, 23, 1619. [Google Scholar] [CrossRef] [PubMed]
- Singh, A.; Mohan, A.; Dey, A.B.; Mitra, D.K. Inhibiting the programmed death 1 pathway rescues Mycobacterium tuberculosis–specific interferon γ–producing T cells from apoptosis in patients with pulmonary tuberculosis. J. Infect. Dis. 2013, 208, 603–615. [Google Scholar] [CrossRef] [PubMed]
- Day, C.L.; Abrahams, D.A.; Walzl, G.; Wilkinson, R.J.; Burgers, W.A.; Hanekom, W.A. PD-1 expression on Mycobacterium tuberculosis-specific CD4 T cells is associated with bacterial load in human tuberculosis. Front. Immunol. 2018, 9, 410113. [Google Scholar] [CrossRef]
- Ribas, A.; Wolchok, J.D. Cancer immunotherapy using checkpoint blockade. Science 2018, 359, 1350–1355. [Google Scholar] [CrossRef]
- Hunter, R.L. The Pathogenesis of Tuberculosis–The Koch Phenomenon Reinstated. Pathogens 2020, 9, 813. [Google Scholar] [CrossRef]
- Hunter, R.L.; Jagannath, C.; Actor, J.K. Pathology of postprimary tuberculosis in humans and mice: Contradiction of long-held beliefs. Tuberculosis 2007, 87, 267–278. [Google Scholar] [CrossRef]
- Kempker, R.R.; Rabin, A.S.; Nikolaishvili, K.; Kalandadze, I.; Gogishvili, S.; Blumberg, H.M.; Vashakidze, S. Additional drug resistance in Mycobacterium tuberculosis isolates from resected cavities among patients with multidrug-resistant or extensively drug-resistant pulmonary tuberculosis. Clin. Infect. Dis. 2012, 54, e51–e54. [Google Scholar] [CrossRef]
- Chatterjee, A.; D'Souza, D.; Vira, T.; Bamne, A.; Ambe, G.T.; Nicol, M.P.; Wilkinson, R.J.; Mistry, N. Strains of Mycobacterium tuberculosis from western Maharashtra, India, exhibit a high degree of diversity and strain-specific associations with drug resistance, cavitary disease, and treatment failure. J. Clin. Microbiol. 2010, 48, 3593–3599. [Google Scholar] [CrossRef]
- Ong, C.W.; Elkington, P.T.; Friedland, J.S. Tuberculosis, pulmonary cavitation, and matrix metalloproteinases. Am. J. Respir. Crit. Care Med. 2014, 190, 9–18. [Google Scholar] [CrossRef]
- Elkington, P.T.; D’Armiento, J.M.; Friedland, J.S. Tuberculosis immunopathology: The neglected role of extracellular matrix destruction. Sci. Transl. Med. 2011, 3, 71ps6-71ps6. [Google Scholar] [CrossRef]
- Chakrabarti, S.; Patel, K.D. Matrix metalloproteinase-2 (MMP-2) and MMP-9 in pulmonary pathology. Exp. Lung Res. 2005, 31, 599–621. [Google Scholar] [CrossRef]







| Markers | pH for Antigen Retrieval/Dilution | Host Species | Source | Predicted Location |
|---|---|---|---|---|
| CD68 (Pan macrophage marker) | 9/1:4000 | Mouse | Dako clone KP-1 | Membrane, Intracellular |
| CD64 (M1 marker) | 9/1:6000 | Mouse | Abcam OTI3D3 (Abcam, Cambridge, UK) | Membrane, Intracellular |
| CD163 (M2 marker) | 9/1:3000 | Rabbit | Abcam EPR14643-36 | Secreted, Membrane, Intracellular |
| CD 3 (Pan T-cell marker) | 9/1:100 | Mouse | Dako F7.2.38 | Membrane |
| CD 8 (Cytotoixc T-cell marker) | 9/1:100 | Mouse | Dako C8/144B | Membrane |
| MMP-9 | 9/1:400 | Mouse | Thermo Fisher IIA5 (Greenville, NC, USA) | Cytoplasm |
| PD-1 | 9/1:400 | Rabbit | Abcam EPR4877(2) | Membrane |
| PDL-1 | 9/1:200 | Rabbit | Abcam SP142 | Membrane, intracellular |
| BCG (Bacterial sonicates of BCG containing both secreted and cell-wall antigens) | 6/1:4000 | Rabbit | DAKO code B124; lot 063B | Cytoplasm |
| Polyclonal anti-body against MTB cell-wall antigens | 6/1:10000 | Rabbit | In-house | Cytoplasm |
| MPT46 (Thioredoxin Trx C, Rv3914) | 6/1:1000 | Rabbit | In-house | Cytoplasm |
| MPT63 (Secreted, Rv1926c) | 6/1:1000 | Rabbit | In-house | Cytoplasm |
| MPT64 (Secreted, Rv1980c) | 6/1:1000 | Rabbit | In-house | Cytoplasm |
| Markers | Early Lesion n = 138 | Necrotic Lesion n = 92 | ||
|---|---|---|---|---|
| Alveolar | Interstitium | Alveolar | Interstitium | |
| Median (IQR) | Median (IQR) | Median (IQR) | Median (IQR) | |
| Pan macrophage (CD68) | 43.4 (28.6–54.8) | 1.87 (0.69–3.44) | 15.0 (6.47–26.4) | 2.12 (1.00–4.87) |
| M1 (CD64) | 43.8 (22.0–60.9) | 6.41 (2.32–12.4) | 36.5 (20.4–67.0) | 7.77 (2.99–16.1) |
| M2 (CD163) | 42.4 (21.0–55.4) | 4.63 (1.83–7.93) | 12.5 (5.79–22.8) | 3.30 (1.27–7.49) |
| CD3 | 0.43 (0.07–1.29) | 1.16 (0.11–3.27) | 1.26 (0.23–3.40) | 1.17 (0.33–4.73) |
| CD8 | 0.00 (0.00–0.10) | 0.78 (0.00–0.30) | 0.22 (0.00–0.97) | 0.20 (0.00–0.75) |
| MMP-9 | 0.00 (0.00–0.27) | 0.81 (0.00–2.46) | 0.43 (0.12–0.95) | 0.96 (0.13–3.66) |
| PD-1 | 0.00 (0.00–0.01) | 0.00 (0.00–0.04) | 0.03 (0.00–0.35) | 0.26 (0.00–0.43) |
| PDL-1 | 9.34 (0.64–40.7) | 1.48 (0.35–5.82) | 28.1 (4.28–68.9) | 6.44 (1.80–13.3) |
Disclaimer/Publisher’s Note: The statements, opinions and data contained in all publications are solely those of the individual author(s) and contributor(s) and not of MDPI and/or the editor(s). MDPI and/or the editor(s) disclaim responsibility for any injury to people or property resulting from any ideas, methods, instructions or products referred to in the content. |
© 2025 by the authors. Licensee MDPI, Basel, Switzerland. This article is an open access article distributed under the terms and conditions of the Creative Commons Attribution (CC BY) license (https://creativecommons.org/licenses/by/4.0/).
Share and Cite
Riaz, S.M.; Hanevik, K.; Sviland, L.; Mustafa, T. Characterization of Early Lesions of Human Post-Primary Tuberculosis and Its Progression to Necrosis Using Archival Material of the Pre-Antibiotic Era. Pathogens 2025, 14, 224. https://doi.org/10.3390/pathogens14030224
Riaz SM, Hanevik K, Sviland L, Mustafa T. Characterization of Early Lesions of Human Post-Primary Tuberculosis and Its Progression to Necrosis Using Archival Material of the Pre-Antibiotic Era. Pathogens. 2025; 14(3):224. https://doi.org/10.3390/pathogens14030224
Chicago/Turabian StyleRiaz, Syeda Mariam, Kurt Hanevik, Lisbet Sviland, and Tehmina Mustafa. 2025. "Characterization of Early Lesions of Human Post-Primary Tuberculosis and Its Progression to Necrosis Using Archival Material of the Pre-Antibiotic Era" Pathogens 14, no. 3: 224. https://doi.org/10.3390/pathogens14030224
APA StyleRiaz, S. M., Hanevik, K., Sviland, L., & Mustafa, T. (2025). Characterization of Early Lesions of Human Post-Primary Tuberculosis and Its Progression to Necrosis Using Archival Material of the Pre-Antibiotic Era. Pathogens, 14(3), 224. https://doi.org/10.3390/pathogens14030224

