A PCR Test Using the Mini-PCR Platform and Simplified Product Detection Methods Is Highly Sensitive and Specific to Detect Fasciola hepatica DNA Mixed in Human Stool, Snail Tissue, and Water DNA Specimens
Abstract
1. Introduction
2. Materials and Methods
2.1. Parasites and Biological Samples
2.2. DNA Purification
2.3. Real Time PCR Assays
2.4. F. hepatica Mini-PCR Assay
2.5. Analysis of Mini-PCR Products Using the P51 Molecular Fluorescence Viewer
2.6. Semi-Quantitative Colorimetric Analysis of Fasciola Mini-PCR Reaction Results
2.7. LOD Using Fasciola DNA Spiked in Water and Scrambled in Stool and Snail Tissue DNA
2.8. Specificity of the Real Time PCR and Mini-PCR
3. Results
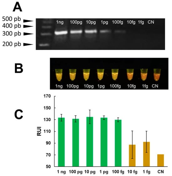
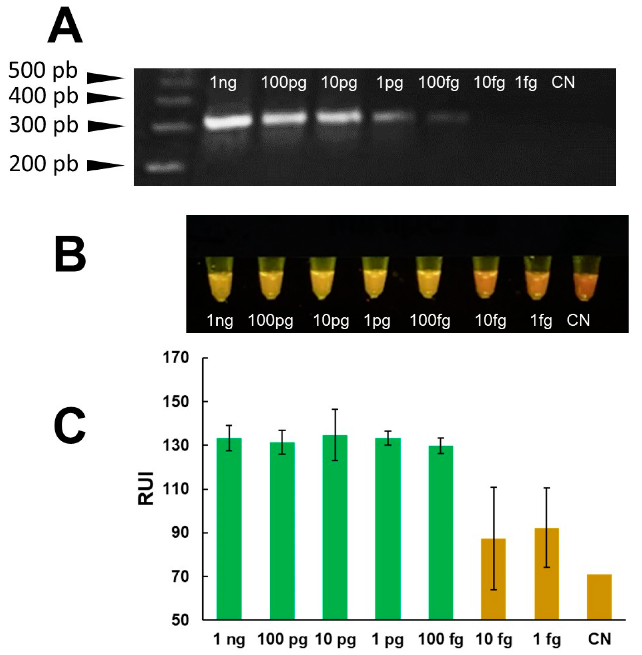
3.1. Mini-PCR Products Detection without Post-Reaction Manipulation
3.2. LOD of the Real Time PCR and Host DNA Interference
3.3. LOD of the Mini-PCR and Host DNA Interference
3.4. Mini-PCR and Real Time PCR Specificity
4. Discussion
Supplementary Materials
Author Contributions
Funding
Institutional Review Board Statement
Informed Consent Statement
Data Availability Statement
Acknowledgments
Conflicts of Interest
References
- Keiser, J.; Utzinger, J. Food-borne trematodiases. Clin. Microbiol. Rev. 2009, 22, 466–483. [Google Scholar] [CrossRef]
- Fürst, T.; Keiser, J.; Utzinger, J. Global burden of human food-borne trematodiasis: A systematic review and meta-analysis. Lancet Infect. Dis. 2012, 12, 210–221. [Google Scholar] [CrossRef]
- Fascioliasis. Pan American Health Organization (PAHO). Available online: www.paho.org/en/topics/fascioliasis (accessed on 26 April 2024).
- Pan American Health Organization (PAHO). Meeting Report of the PAHO Strategic and Technical Advisory Group on Disease Elimination. Meeting Report and Recommendations. 29–30 November 2022. Washington, D.C, 2023. Available online: https://iris.paho.org/handle/10665.2/58002 (accessed on 26 April 2024).
- Caravedo, M.A.; Cabada, M.M. Human Fascioliasis: Current Epidemiological Status and Strategies for Diagnosis, Treatment, and Control. Res. Rep. Trop. Med. 2020, 11, 149–158. [Google Scholar] [CrossRef]
- World Health Organization. Report of the WHO Informal Meeting on Use of Triclabendazole in Fascioliasis Control; WHO: Geneva, Switzerland, 2007. [Google Scholar]
- El-Morshedy, H.; Shehab, A.Y.; Zaki, A.; Farag, H.F. Intra-specimen and day-to-day variations of Fasciola egg counts in human stools. East. Mediterr. Health J. 2002, 8, 619–625. [Google Scholar] [CrossRef]
- Cools, P.; Vlaminck, J.; Albonico, M.; Ame, S.; Ayana, M.; José Antonio, B.P.; Cringoli, G.; Dana, D.; Keiser, J.; Maurelli, M.P.; et al. Diagnostic performance of a single and duplicate Kato-Katz, Mini-FLOTAC, FECPAKG2 and qPCR for the detection and quantification of soil-transmitted helminths in three endemic countries. PLoS Negl. Trop. Dis. 2019, 13, e0007446. [Google Scholar] [CrossRef]
- Zárate-Rendón, D.A.; Vlaminck, J.; Levecke, B.; Briones-Montero, A.; Geldhof, P. Comparison of Kato-Katz Thick Smear, Mini-FLOTAC, and Flukefinder for the Detection and Quantification of Fasciola hepatica Eggs in Artificially Spiked Human Stool. Am. J. Trop. Med. Hyg. 2019, 101, 59–61. [Google Scholar] [CrossRef]
- Lumbreras, H.; Cantella, R.; Burga, R. Acerca de un procedimiento de sedimentacion rapida para investigar huevos de Fasciola hepatica en las heces, su evaluacion y uso en el campo. Rev. Med. Peru. 1962, 31, 167–174. [Google Scholar]
- Valero, M.A.; Periago, M.V.; Pérez-Crespo, I.; Angles, R.; Villegas, F.; Aguirre, C.; Strauss, W.; Espinoza, J.R.; Herrera, P.; Terashima, A.; et al. Field evaluation of a coproantigen detection test for fascioliasis diagnosis and surveillance in human hyperendemic areas of Andean countries. PLoS Negl. Trop. Dis. 2012, 6, e1812. [Google Scholar] [CrossRef]
- Kajugu, P.E.; Hanna, R.E.; Edgar, H.W.; McMahon, C.; Cooper, M.; Gordon, A.; Barley, J.P.; Malone, F.E.; Brennan, G.P.; Fairweather, I. Fasciola hepatica: Specificity of a coproantigen ELISA test for diagnosis of fasciolosis in faecal samples from cattle and sheep concurrently infected with gastrointestinal nematodes, coccidians and/or rumen flukes (paramphistomes), under field conditions. Vet. Parasitol. 2015, 212, 181–187. [Google Scholar] [CrossRef]
- Cabada, M.M.; Malaga, J.L.; Castellanos-Gonzalez, A.; Bagwell, K.A.; Naeger, P.A.; Rogers, H.K.; Maharsi, S.; Mbaka, M.; White, A.C., Jr. Recombinase Polymerase Amplification Compared to Real-Time Polymerase Chain Reaction Test for the Detection of Fasciola hepatica in Human Stool. Am. J. Trop. Med. Hyg. 2017, 96, 341–346. [Google Scholar] [CrossRef]
- Shi, H.; Li, M.; Huang, X.; Yao, C.; Chen, X.; Du, A.; Yang, Y. Development of SYBR Green real-time PCR for diagnosis of fasciolosis in sheep. Vet. Parasitol. 2020, 283, 109193. [Google Scholar] [CrossRef]
- Alba, A.; Vázquez, A.A.; Hernández, H.; Sánchez, J.; Marcet, R.; Figueredo, M.; Sarracent, J.; Fraga, J. A multiplex PCR for the detection of Fasciola hepatica in the intermediate snail host Galba cubensis. Vet. Parasitol. 2015, 211, 195–200. [Google Scholar] [CrossRef]
- Rathinasamy, V.; Hosking, C.; Tran, L.; Kelley, J.; Williamson, G.; Swan, J.; Elliott, T.; Rawlin, G.; Beddoe, T.; Spithill, T.W. Development of a multiplex quantitative PCR assay for detection and quantification of DNA from Fasciola hepatica and the intermediate snail host, Austropeplea tomentosa, in water samples. Vet. Parasitol. 2018, 259, 17–24. [Google Scholar] [CrossRef]
- Rathinasamy, V.; Tran, L.; Swan, J.; Kelley, J.; Hosking, C.; Williamson, G.; Knowles, M.; Elliott, T.; Rawlin, G.; Spithill, T.W.; et al. Towards understanding the liver fluke transmission dynamics on farms: Detection of liver fluke transmitting snail and liver fluke-specific environmental DNA in water samples from an irrigated dairy farm in Southeast Australia. Vet. Parasitol. 2021, 291, 109373. [Google Scholar] [CrossRef] [PubMed]
- Prismo Mirage. Apple Store. Available online: https://apps.apple.com/tr/app/prismo-mirage/id579906334 (accessed on 26 April 2024).
- Oliveira, B.; Veigas, B.; Baptista, P. Isothermal Amplification of Nucleic Acids: The Race for the Next “Gold Standard”. Front. Sens. 2021, 2, 752600. [Google Scholar] [CrossRef]
- Bosonkie, M.; Egbende, L.; Namale, A.; Fawole, O.I.; Seck, I.; Kizito, S.; Kaba, D.; Kiwanuka, S.N.; Diallo, I.; Bello, S.; et al. Improving testing capacity for COVID-19: Experiences and lessons from Senegal, Uganda, Nigeria, and the Democratic Republic of Congo. Front. Public. Health. 2023, 11, 1202966. [Google Scholar] [CrossRef]
- Kuupiel, D.; Bawontuo, V.; Mashamba-Thompson, T.P. Improving the Accessibility and Efficiency of Point-of-Care Diagnostics Services in Low- and Middle-Income Countries: Lean and Agile Supply Chain Management. Diagnostics 2017, 29, 58. [Google Scholar] [CrossRef]
- Alemnji, G.; Mosha, F.; Maggiore, P.; Alexander, H.; Ndlovu, N.; Kebede, Y.; Tiam, A.; Albert, H.; Edgil, D.; de Lussigny, S.; et al. Building Integrated Testing Programs for Infectious Diseases. J. Infect. Dis. 2023, 228, 1314–1317. [Google Scholar] [CrossRef]
- Lee, S.; Khoo, V.S.L.; Medriano, C.A.D.; Lee, T.; Park, S.Y.; Bae, S. Rapid and in-situ detection of fecal indicator bacteria in water using simple DNA extraction and portable loop-mediated isothermal amplification (LAMP) PCR methods. Water Res. 2019, 160, 371–379. [Google Scholar] [CrossRef] [PubMed]
- Lobato, I.M.; O’Sullivan, C.K. Recombinase polymerase amplification: Basics, applications and recent advances. Trends Analyt Chem. 2018, 98, 19–35. [Google Scholar] [CrossRef] [PubMed]
- Anand, G.; Thyagarajan, T.; Ramakrishnan, S. Fluorescence Nano Particle Detection in a Liquid Sample Using the Smartphone for Biomedical Application. J. Fluoresc. 2022, 32, 135–143. [Google Scholar]
- Huang, W.; Luo, S.; Yang, D.; Zhang, S. Applications of smartphone-based near-infrared (NIR) imaging, measurement, and spectroscopy technologies to point-of-care (POC) diagnostics. J. Zhejiang Univ. Sci. B. 2021, 22, 171–189. [Google Scholar] [CrossRef] [PubMed]
- Coelho, P.M.; Siqueira, L.M.; Grenfell, R.F.; Almeida, N.B.; Katz, N.; Almeida, Á.; Carneiro, N.F.; Oliveira, E. Improvement of POC-CCA Interpretation by Using Lyophilization of Urine from Patients with Schistosoma mansoni Low Worm Burden: Towards an Elimination of Doubts about the Concept of Trace. PLoS Negl. Trop. Dis. 2016, 10, e0004778. [Google Scholar] [CrossRef] [PubMed]
- Fascioliasis. Centers for Disease Control and Prevention. Available online: https://www.cdc.gov/dpdx/fascioliasis/index.html (accessed on 26 April 2024).
- Castellanos-Gonzalez, A.; Shelite, T.R.; Lloyd, N.; Sadiqova, A.; Ping, R.; Williams-Bouyer, N.; Melby, P.C.; Travi, B.L. Direct RT-PCR amplification of SARS-CoV-2 from clinical samples using a concentrated viral lysis-amplification buffer prepared with IGEPAL-630. Sci. Rep. 2021, 11, 14204. [Google Scholar] [CrossRef] [PubMed]
- Castellanos-Gonzalez, A.; White, A.C., Jr.; Melby, P.; Travi, B. Molecular diagnosis of protozoan parasites by Recombinase Polymerase Amplification. Acta Trop. 2018, 182, 4–11. [Google Scholar] [CrossRef]
- Gavina, K.; Franco, L.C.; Khan, H.; Lavik, J.P.; Relich, R.F. Molecular point-of-care devices for the diagnosis of infectious diseases in resource-limited settings–A review of the current landscape, technical challenges, and clinical impact. J. Clin. Virol. 2023, 169, 105613. [Google Scholar] [CrossRef]







Disclaimer/Publisher’s Note: The statements, opinions and data contained in all publications are solely those of the individual author(s) and contributor(s) and not of MDPI and/or the editor(s). MDPI and/or the editor(s) disclaim responsibility for any injury to people or property resulting from any ideas, methods, instructions or products referred to in the content. |
© 2024 by the authors. Licensee MDPI, Basel, Switzerland. This article is an open access article distributed under the terms and conditions of the Creative Commons Attribution (CC BY) license (https://creativecommons.org/licenses/by/4.0/).
Share and Cite
Fernandez-Baca, M.V.; Castellanos-Gonzalez, A.; Ore, R.A.; Alccacontor-Munoz, J.L.; Hoban, C.; Castro, C.A.; Tanabe, M.B.; Morales, M.L.; Ortiz, P.; White, A.C., Jr.; et al. A PCR Test Using the Mini-PCR Platform and Simplified Product Detection Methods Is Highly Sensitive and Specific to Detect Fasciola hepatica DNA Mixed in Human Stool, Snail Tissue, and Water DNA Specimens. Pathogens 2024, 13, 440. https://doi.org/10.3390/pathogens13060440
Fernandez-Baca MV, Castellanos-Gonzalez A, Ore RA, Alccacontor-Munoz JL, Hoban C, Castro CA, Tanabe MB, Morales ML, Ortiz P, White AC Jr., et al. A PCR Test Using the Mini-PCR Platform and Simplified Product Detection Methods Is Highly Sensitive and Specific to Detect Fasciola hepatica DNA Mixed in Human Stool, Snail Tissue, and Water DNA Specimens. Pathogens. 2024; 13(6):440. https://doi.org/10.3390/pathogens13060440
Chicago/Turabian StyleFernandez-Baca, Martha V., Alejandro Castellanos-Gonzalez, Rodrigo A. Ore, Jose L. Alccacontor-Munoz, Cristian Hoban, Carol A. Castro, Melinda B. Tanabe, Maria L. Morales, Pedro Ortiz, A. Clinton White, Jr., and et al. 2024. "A PCR Test Using the Mini-PCR Platform and Simplified Product Detection Methods Is Highly Sensitive and Specific to Detect Fasciola hepatica DNA Mixed in Human Stool, Snail Tissue, and Water DNA Specimens" Pathogens 13, no. 6: 440. https://doi.org/10.3390/pathogens13060440
APA StyleFernandez-Baca, M. V., Castellanos-Gonzalez, A., Ore, R. A., Alccacontor-Munoz, J. L., Hoban, C., Castro, C. A., Tanabe, M. B., Morales, M. L., Ortiz, P., White, A. C., Jr., Cabada, M. M., & on behalf of the Fasciola TMRC in Peru. (2024). A PCR Test Using the Mini-PCR Platform and Simplified Product Detection Methods Is Highly Sensitive and Specific to Detect Fasciola hepatica DNA Mixed in Human Stool, Snail Tissue, and Water DNA Specimens. Pathogens, 13(6), 440. https://doi.org/10.3390/pathogens13060440

