Completing the Puzzle: A Cluster of Hunting Dogs with Tick-Borne Illness from a Fishing Community in Tobago, West Indies
Abstract
1. Background
2. Methods
2.1. Study Period and Location
2.2. Field Collection and Processing of Blood and Ticks
2.3. Diagnostic Testing
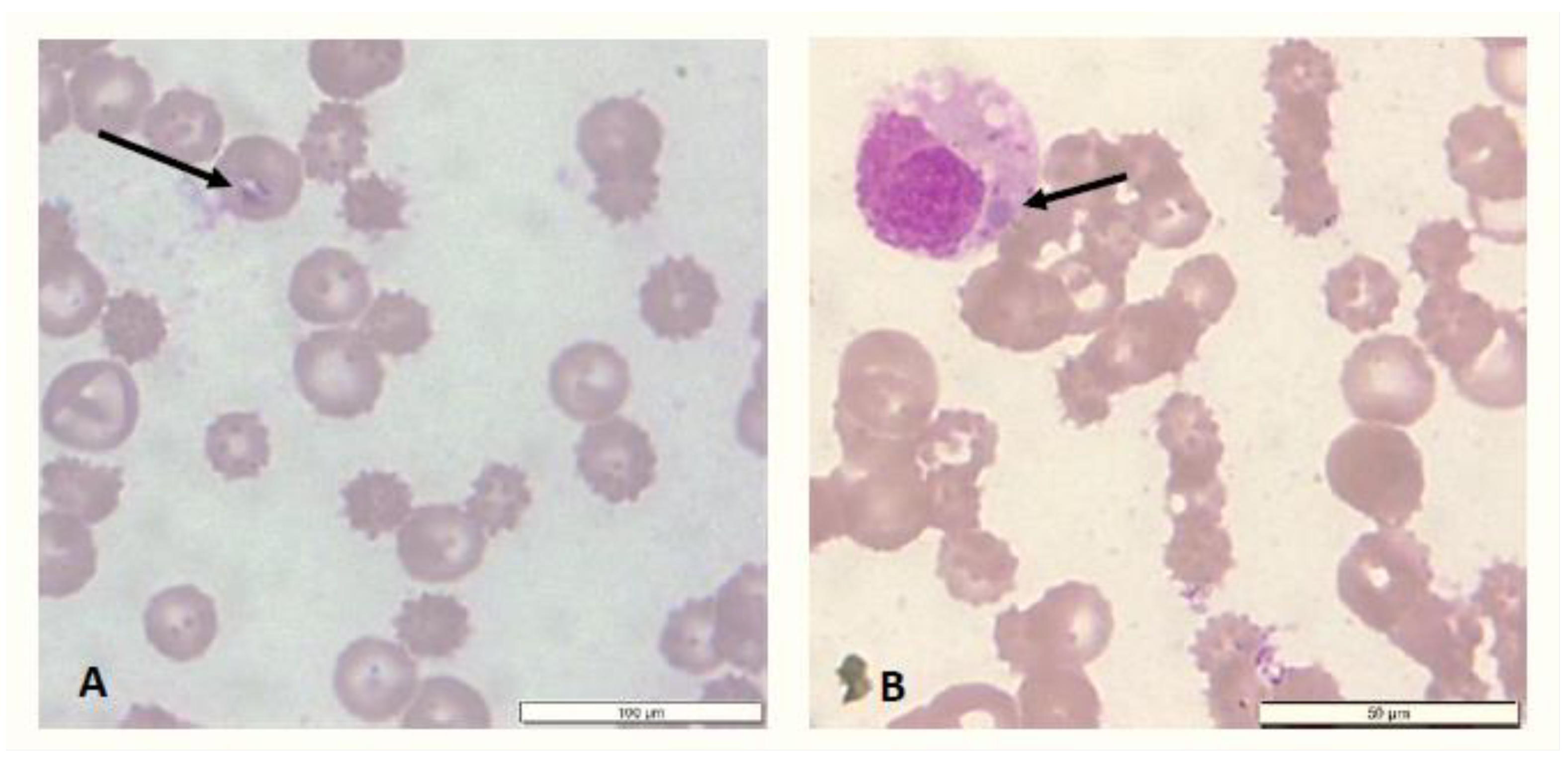
2.3.1. Microscopic Examination of Blood
2.3.2. Microscopic Examination of Ticks
2.3.3. Complete Blood Count and Serum Biochemistry
2.4. DNA Extraction and Quantification
2.5. PCR Amplification of 16S rRNA and 18S rRNA
2.6. Sequence Analysis of TBPs
2.7. Phylogenetic Analysis of TBPs
3. Results
3.1. Clinical Signs, Tick Infestations and Haematological Findings
3.2. Molecular Detection of TBPs in Dog Blood
3.3. TBPs in Ticks Infesting Dogs
3.4. Comparison between the Presence of TBP DNA in Blood and Ticks from the Same Dog
3.5. Comparison among the Presence of TBP DNA in the Blood, Clinical Signs and Haematological Findings Presented in Each Dog
3.6. Sequence Analysis
3.7. Phylogenetic Analysis
4. Discussion
5. Conclusions
Author Contributions
Funding
Institutional Review Board Statement
Informed Consent Statement
Data Availability Statement
Acknowledgments
Conflicts of Interest
References
- Johnson, E.M.; Allen, K.E.; Panciera, R.J.; Ewing, S.A.; Little, S.E. Experimental transmission of Hepatozoon americanum to New Zealand White rabbits (Oryctolagus cuniculus) and infectivity of cystozoites for a dog. Vet. Parasitol. 2009, 164, 162–166. [Google Scholar] [CrossRef]
- Breitschwerdt, E.B.; Hegarty, B.C.; Hancock, S.I. Sequential evaluation of dogs naturally infected with Ehrlichia canis, Ehrlichia chaffeensis, Ehrlichia equi, Ehrlichia ewingii, or Bartonella vinsonii. J. Clin. Microbiol. 1998, 36, 2645–2651. [Google Scholar] [CrossRef]
- Birkenheuer, A.J.; Levy, M.G.; Savary, K.C.; Gager, R.B.; Breitschwerdt, E.B. Babesia gibsoni infections in dogs from North Carolina. J. Am. Anim. Hosp. Assoc. 1999, 35, 125–128. [Google Scholar] [CrossRef] [PubMed]
- Solano-Gallego, L.; Baneth, G. Babesiosis in dogs and cats—Expanding parasitological and clinical spectra. Vet. Parasitol. 2011, 181, 48–60. [Google Scholar] [CrossRef]
- Dantas-Torres, F. Biology and ecology of the brown dog tick, Rhipicephalus sanguineus. Parasit. Vectors 2010, 3, 26. [Google Scholar] [CrossRef]
- Charles, R.; Basu, A.; Sanford, B.; King-Cenac, A.; Melville-Edwin, S.; Pow-Brown, P.; Sant, C.; Georges, K. Survey of ticks of domestic dogs and cattle in three Caribbean islands. Transbound. Emerg. Dis. 2020, 67 (Suppl. S2), 129–134. [Google Scholar] [CrossRef] [PubMed]
- Dantas-Torres, F. The brown dog tick, Rhipicephalus sanguineus (Latreille, 1806) (Acari: Ixodidae): From taxonomy to control. Vet. Parasitol. 2008, 152, 173–185. [Google Scholar] [CrossRef]
- Dantas-Torres, F. Canine vector-borne diseases in Brazil. Parasit. Vectors 2008, 1, 25. [Google Scholar] [CrossRef] [PubMed]
- Unver, A.; Perez, M.; Orellana, N.; Huang, H.; Rikihisa, Y. Molecular and antigenic comparison of Ehrlichia canis isolates from dogs, ticks, and a human in Venezuela. J. Clin. Microbiol. 2001, 39, 2788–2793. [Google Scholar] [CrossRef]
- Lineberry, M.W.; Grant, A.N.; Sundstrom, K.D.; Little, S.E.; Allen, K.E. Diversity and geographic distribution of rickettsial agents identified in brown dog ticks from across the United States. Ticks Tick-Borne Dis. 2022, 13, 102050. [Google Scholar]
- Gilot, B.; Laforge, M.; Pichot, J.; Raoult, D. Relationships between the Rhipicephalus sanguineus complex ecology and Mediterranean spotted fever epidemiology in France. Eur. J. Epidemiol. 1990, 6, 357–362. [Google Scholar] [CrossRef]
- Guglielmone, A.A.; Estrada-Pena, A.; Mangold, A.J.; Barros-Battesti, D.M.; Labruna, M.B.; Martins, J.R.; Venzal, J.M.; Arzua, M.; Keirans, J.E. Amblyomma aureolatum (Pallas, 1772) and Amblyomma ovale Koch, 1844 (Acari: Ixodidae): Hosts, distribution and 16S rDNA sequences. Vet. Parasitol. 2003, 113, 273–288. [Google Scholar] [CrossRef]
- Guglielmone, A.A.; Beati, L.; Barros-Battesti, D.M.; Labruna, M.B.; Nava, S.; Venzal, J.M.; Mangold, A.J.; Szabo, M.P.; Martins, J.R.; Gonzalez-Acuna, D.; et al. Ticks (Ixodidae) on humans in South America. Exp. Appl. Acarol. 2006, 40, 83–100. [Google Scholar] [CrossRef]
- Calderón, V.Á.; Fonseca, V.H.; Gamboa, J.H. Catálogo de garrapatas suaves (Acari: Argasidae) y duras (Acari: Ixodidae) de Costa Rica. Brenesia 2005, 63, 81–88. [Google Scholar]
- Bermudez, C.S.; Castro, A.; Esser, H.; Liefting, Y.; Garcia, G.; Miranda, R.J. Ticks (Ixodida) on humans from central Panama, Panama (2010–2011). Exp. Appl. Acarol. 2012, 58, 81–88. [Google Scholar] [CrossRef]
- Jaguezeski, A.M.; Lavina, M.S.; Orsolin, V.; da Silva, A.S. Amblyomma ovale parasitizing a human. Comp. Clin. Pathol. 2018, 27, 535–537. [Google Scholar] [CrossRef]
- da Paixao Seva, A.; Martins, T.F.; Munoz-Leal, S.; Rodrigues, A.C.; Pinter, A.; Luz, H.R.; Angerami, R.N.; Labruna, M.B. A human case of spotted fever caused by Rickettsia parkeri strain Atlantic rainforest and its association to the tick Amblyomma ovale. Parasit. Vectors 2019, 12, 471. [Google Scholar] [CrossRef] [PubMed]
- Rubini, A.S.; Paduan, K.S.; Martins, T.F.; Labruna, M.B.; O’Dwyer, L.H. Acquisition and transmission of Hepatozoon canis (Apicomplexa: Hepatozoidae) by the tick Amblyomma ovale (Acari: Ixodidae). Vet. Parasitol. 2009, 164, 324–327. [Google Scholar] [CrossRef] [PubMed]
- Spolidorio, M.G.; Labruna, M.B.; Mantovani, E.; Brandao, P.E.; Richtzenhain, L.J.; Yoshinari, N.H. Novel spotted fever group rickettsiosis, Brazil. Emerg. Infect. Dis. 2010, 16, 521–523. [Google Scholar] [CrossRef] [PubMed]
- Silva, N.; Eremeeva, M.E.; Rozental, T.; Ribeiro, G.S.; Paddock, C.D.; Ramos, E.A.; Favacho, A.R.; Reis, M.G.; Dasch, G.A.; de Lemos, E.R.; et al. Eschar-associated spotted fever rickettsiosis, Bahia, Brazil. Emerg. Infect. Dis. 2011, 17, 275–278. [Google Scholar] [CrossRef] [PubMed]
- Krawczak, F.S.; Muñoz-Leal, S.; Guztzazky, A.C.; Oliveira, S.V.; Santos, F.C.; Angerami, R.N.; Moraes-Filho, J.; de Souza, J.C., Jr.; Labruna, M.B. Case report: Rickettsia sp. strain atlantic rainforest infection in a patient from a spotted fever-endemic area in southern Brazil. Am. J. Trop. Med. Hyg. 2016, 95, 551. [Google Scholar] [CrossRef] [PubMed]
- Gondard, M.; Cabezas-Cruz, A.; Charles, R.A.; Vayssier-Taussat, M.; Albina, E.; Moutailler, S. Ticks and Tick-Borne Pathogens of the Caribbean: Current Understanding and Future Directions for More Comprehensive Surveillance. Front. Cell Infect. Microbiol. 2017, 7, 490. [Google Scholar] [CrossRef] [PubMed]
- Ewing, S.A.; Panciera, R.J. American canine hepatozoonosis. Clin. Microbiol. Rev. 2003, 16, 688–697. [Google Scholar] [CrossRef] [PubMed]
- Harvey, J.W.; Simpson, C.F.; Gaskin, J.M. Cyclic thrombocytopenia induced by a Rickettsia-like agent in dogs. J. Infect. Dis. 1978, 137, 182–188. [Google Scholar] [CrossRef]
- Sainz, A.; Roura, X.; Miro, G.; Estrada-Pena, A.; Kohn, B.; Harrus, S.; Solano-Gallego, L. Guideline for veterinary practitioners on canine ehrlichiosis and anaplasmosis in Europe. Parasit. Vectors 2015, 8, 75. [Google Scholar] [CrossRef]
- Harrus, S.; Bark, H.; Waner, T. Canine monocytic ehrlichiosis: An update. Compend. Contin. Educ. Pract. Vet. 1997, 19, 431–447. [Google Scholar]
- Harrus, S.; Waner, T. Diagnosis of canine monocytotropic ehrlichiosis (Ehrlichia canis): An overview. Vet. J. 2011, 187, 292–296. [Google Scholar] [CrossRef]
- Dumler, J.S.; Barbet, A.F.; Bekker, C.; Dasch, G.A.; Palmer, G.H.; Ray, S.C.; Rikihisa, Y.; Rurangirwa, F.R. Reorganization of genera in the families Rickettsiaceae and Anaplasmataceae in the order Rickettsiales: Unification of some species of Ehrlichia with Anaplasma, Cowdria with Ehrlichia and Ehrlichia with Neorickettsia, descriptions of six new species combinations and designation of Ehrlichia equi and ‘HGE agent’ as subjective synonyms of Ehrlichia phagocytophila. Int. J. Syst. Evol. Microbiol. 2001, 51, 2145–2165. [Google Scholar]
- Snellgrove, A.N.; Krapiunaya, I.; Ford, S.L.; Stanley, H.M.; Wickson, A.G.; Hartzer, K.L.; Levin, M.L. Vector competence of Rhipicephalus sanguineus sensu stricto for Anaplasma platys. Ticks Tick-Borne Dis. 2020, 11, 101517. [Google Scholar] [CrossRef]
- Lanza-Perea, M.; Zieger, U.; Qurollo, B.A.; Hegarty, B.C.; Pultorak, E.L.; Kumthekar, S.; Bruhl-Day, R.; Breitschwerdt, E.B. Intraoperative bleeding in dogs from Grenada seroreactive to Anaplasma platys and Ehrlichia canis. J. Vet. Intern. Med. 2014, 28, 1702–1707. [Google Scholar] [CrossRef]
- Alhassan, A.; Hove, P.; Sharma, B.; Matthew-Belmar, V.; Karasek, I.; Lanza-Perea, M.; Werners, A.H.; Wilkerson, M.J.; Ganta, R.R. Molecular detection and characterization of Anaplasma platys and Ehrlichia canis in dogs from the Caribbean. Ticks Tick-Borne Dis. 2021, 12, 101727. [Google Scholar] [CrossRef]
- Almazan, C.; Gonzalez-Alvarez, V.H.; Fernandez de Mera, I.G.; Cabezas-Cruz, A.; Rodriguez-Martinez, R.; de la Fuente, J. Molecular identification and characterization of Anaplasma platys and Ehrlichia canis in dogs in Mexico. Ticks Tick-Borne Dis. 2016, 7, 276–283. [Google Scholar] [CrossRef]
- Sameroff, S.; Tokarz, R.; Charles, R.A.; Jain, K.; Oleynik, A.; Che, X.; Georges, K.; Carrington, C.V.; Lipkin, W.I.; Oura, C. Viral diversity of tick species parasitizing cattle and dogs in Trinidad and Tobago. Sci. Rep. 2019, 9, 10421. [Google Scholar] [CrossRef]
- Sant, C.; Georges, K.C.; Pow-Brown, P. Novel incidental finding of Hepatozoon canis infection in two dogs of the same household in Trinidad, West Indies. Vet. Parasitol. Reg. Stud. Rep. 2017, 9, 98–103. [Google Scholar] [CrossRef]
- Yabsley, M.J.; McKibben, J.; Macpherson, C.N.; Cattan, P.F.; Cherry, N.A.; Hegarty, B.C.; Breitschwerdt, E.B.; O’Connor, T.; Chandrashekar, R.; Paterson, T.; et al. Prevalence of Ehrlichia canis, Anaplasma platys, Babesia canis vogeli, Hepatozoon canis, Bartonella vinsonii berkhoffii, and Rickettsia spp. in dogs from Grenada. Vet. Parasitol. 2008, 151, 279–285. [Google Scholar] [CrossRef]
- Sharma, B.; Ganta, R.R.; Stone, D.; Alhassan, A.; Lanza-Perea, M.; Matthew Belmar, V.; Karasek, I.; Cooksey, E.; Butler, C.M.; Gibson, K.; et al. Development of a multiplex PCR and magnetic DNA capture assay for detecting six species pathogens of the genera Anaplasma and Ehrlichia in canine, bovine, caprine and ovine blood samples from Grenada, West Indies. Pathogens 2021, 10, 192. [Google Scholar] [CrossRef] [PubMed]
- Alvarez, D.O.; Corona-Gonzalez, B.; Rodriguez-Mallon, A.; Rodriguez Gonzalez, I.; Alfonso, P.; Noda Ramos, A.A.; Diaz-Sanchez, A.A.; Gonzalez Navarrete, M.; Rodriguez Fernandez, R.; Mendez Mellor, L.; et al. Ticks and Tick-Borne Diseases in Cuba, Half a Century of Scientific Research. Pathogens 2020, 9, 616. [Google Scholar] [CrossRef] [PubMed]
- Basu, A.K.; Charles, R. Ticks of Trinidad and Tobago—An Overview; Academic Press: London, UK, 2017; p. 106. [Google Scholar]
- Gubbels, J.M.; de Vos, A.P.; van der Weide, M.; Viseras, J.; Schouls, L.M.; de Vries, E.; Jongejan, F. Simultaneous detection of bovine Theileria and Babesia species by reverse line blot hybridization. J. Clin. Microbiol. 1999, 37, 1782–1789. [Google Scholar] [CrossRef]
- Bekker, C.P.; de Vos, S.; Taoufik, A.; Sparagano, O.A.; Jongejan, F. Simultaneous detection of Anaplasma and Ehrlichia species in ruminants and detection of Ehrlichia ruminantium in Amblyomma variegatum ticks by reverse line blot hybridization. Vet. Microbiol. 2002, 89, 223–238. [Google Scholar] [CrossRef] [PubMed]
- Schouls, L.M.; Van De Pol, I.; Rijpkema, S.G.; Schot, C.S. Detection and identification of Ehrlichia, Borrelia burgdorferi sensu lato, and Bartonella species in Dutch Ixodes ricinus ticks. J. Clin. Microbiol. 1999, 37, 2215–2222. [Google Scholar] [CrossRef] [PubMed]
- Weiss, D.J.; Wardrop, K.J. Schalm’s Veterinary Hematology; John Wiley & Sons: Hoboken, NJ, USA, 2011. [Google Scholar]
- Tamura, K.; Stecher, G.; Kumar, S. MEGA11: Molecular Evolutionary Genetics Analysis Version 11. Mol. Biol. Evol. 2021, 38, 3022–3027. [Google Scholar] [CrossRef] [PubMed]
- Tamura, K.; Nei, M. Estimation of the number of nucleotide substitutions in the control region of mitochondrial DNA in humans and chimpanzees. Mol. Biol. Evol. 1993, 10, 512–526. [Google Scholar]
- Comazzi, S.; Pieralisi, C.; Bertazzolo, W. Haematological and biochemical abnormalities in canine blood: Frequency and associations in 1022 samples. J. Small Anim. Pract. 2004, 45, 343–349. [Google Scholar] [CrossRef]
- Asgarali, Z.; Pargass, I.; Adam, J.; Mutani, A.; Ezeokoli, C. Haematological parameters in stray dogs seropositive and seronegative to Ehrlichia canis in North Trinidad. Ticks Tick-Borne Dis. 2012, 3, 207–211. [Google Scholar] [CrossRef]
- Georges, K.; Ezeokoli, C.D.; Newaj-Fyzul, A.; Campbell, M.; Mootoo, N.; Mutani, A.; Sparagano, O.A. The application of PCR and reverse line blot hybridization to detect arthropod-borne hemopathogens of dogs and cats in Trinidad. Ann. N. Y. Acad. Sci. 2008, 1149, 196–199. [Google Scholar] [CrossRef]
- Loftis, A.D.; Kelly, P.J.; Freeman, M.D.; Fitzharris, S.; Beeler-Marfisi, J.; Wang, C. Tick-borne pathogens and disease in dogs on St. Kitts, West Indies. Vet. Parasitol. 2013, 196, 44–49. [Google Scholar] [CrossRef]
- Keefe, T.; Holland, C.; Salyer, P.; Ristic, M. Distribution of Ehrlichia canis among military working dogs in the world and selected civilian dogs in the United States. J. Am. Vet. Med. Assoc. 1982, 181, 236–238. [Google Scholar] [PubMed]
- Ewing, S. Geographic distribution and tick transmission of Ehrlichia canis. J. Med. Entomol. 1972, 92, 597–598. [Google Scholar]
- Codner, E.; Farris-Smith, L. Characterization of the subclinical phase of ehrlichiosis in dogs. J. Am. Vet. Med. Assoc. 1986, 189, 47–50. [Google Scholar] [PubMed]
- Cowell, R.; Tyler, R.; Clinkenbeard, K.; Meinkoth, J. Ehrlichiosis and polyarthritis in three dogs. J. Am. Vet. Med. Assoc. 1988, 192, 1093–1095. [Google Scholar] [PubMed]
- Woody, B.J.; Hoskins, J.D. Ehrlichial diseases of dogs. Vet. Clin. N. Am. Small Anim. Pract. 1991, 21, 75–98. [Google Scholar] [CrossRef]
- Jongejan, F.; Uilenberg, G. The global importance of ticks. Parasitology 2004, 129 (Suppl. S1), S3–S14. [Google Scholar] [CrossRef]
- Dikmans, G. The transmission of anaplasmosis. Am. J. Vet. Res. 1950, 11, 5–16. [Google Scholar]
- Kocan, K.M.; De La Fuente, J.; Blouin, E.; Garcia-Garcia, J. Anaplasma marginale (Rickettsiales: Anaplasmataceae): Recent advances in defining host–pathogen adaptations of a tick-borne rickettsia. Parasitology 2004, 129 (Suppl. S1), S285–S300. [Google Scholar] [CrossRef]
- Kocan, K.M.; de la Fuente, J.; Blouin, E.F.; Coetzee, J.F.; Ewing, S. The natural history of Anaplasma marginale. Vet. Parasitol. 2010, 167, 95–107. [Google Scholar] [CrossRef] [PubMed]
- Hornok, S.; Horvath, G.; Takacs, N.; Farkas, R.; Szoke, K.; Kontschan, J. Molecular evidence of a badger-associated Ehrlichia sp., a Candidatus Neoehrlichia lotoris-like genotype and Anaplasma marginale in dogs. Ticks Tick-Borne Dis. 2018, 9, 1302–1309. [Google Scholar] [CrossRef] [PubMed]
- Kelly, P.J.; Xu, C.; Lucas, H.; Loftis, A.; Abete, J.; Zeoli, F.; Stevens, A.; Jaegersen, K.; Ackerson, K.; Gessner, A.; et al. Ehrlichiosis, babesiosis, anaplasmosis and hepatozoonosis in dogs from St. Kitts, West Indies. PLoS ONE 2013, 8, e53450. [Google Scholar] [CrossRef] [PubMed]
- Solano-Gallego, L.; Trotta, M.; Carli, E.; Carcy, B.; Caldin, M.; Furlanello, T. Babesia canis canis and Babesia canis vogeli clinicopathological findings and DNA detection by means of PCR-RFLP in blood from Italian dogs suspected of tick-borne disease. Vet. Parasitol. 2008, 157, 211–221. [Google Scholar] [CrossRef] [PubMed]
- Shaw, S.E.; Day, M.J.; Birtles, R.J.; Breitschwerdt, E.B. Tick-borne infectious diseases of dogs. Trends Parasitol. 2001, 17, 74–80. [Google Scholar] [CrossRef] [PubMed]
- Diaz-Sanchez, A.A.; Hofmann-Lehmann, R.; Meli, M.L.; Roblejo-Arias, L.; Fonseca-Rodriguez, O.; Castillo, A.P.; Canizares, E.V.; Rivero, E.L.; Chilton, N.B.; Corona-Gonzalez, B. Molecular detection and characterization of Hepatozoon canis in stray dogs from Cuba. Parasitol. Int. 2021, 80, 102200. [Google Scholar] [CrossRef] [PubMed]
- Thomas, R.; Santodomingo, A.; Castro, L. Molecular detection of Babesia canis vogeli and Hepatozoon canis in dogs in the department of Magdalena (Colombia). Rev. Fac. Med. Vet. Zootec. 2020, 67, 107–122. [Google Scholar] [CrossRef]
- Wei, L.; Kelly, P.; Ackerson, K.; El-Mahallawy, H.S.; Kaltenboeck, B.; Wang, C. Molecular detection of Dirofilaria immitis, Hepatozoon canis, Babesia spp., Anaplasma platys, and Ehrlichia canis in dogs on Costa Rica. Acta Parasitol. 2015, 60, 21–25. [Google Scholar] [CrossRef] [PubMed]
- Vilar, T.; Volino, W.; Nalim, M.; Barros, N.; Stelling, W.; Serra-Freire, N.; Almosny, N. Registro de Infeccao no Rio de Janeiro Brasil por Hepatozoon sp. e Ehrlichia sp. em cao (Canis familiaris) Proveniente de Aruba, Caribe. South American Conference of Veterinary Medicine Proceedings. 2005. [Google Scholar]
- Starkey, L.A.; Newton, K.; Brunker, J.; Crowdis, K.; Edourad EJ, P.; Meneus, P.; Little, S.E. Prevalence of vector-borne pathogens in dogs from Haiti. Vet. Parasitol. 2016, 224, 7–12. [Google Scholar] [CrossRef] [PubMed]
- de Miranda, R.L.; de Castro, J.R.; Olegario, M.M.; Beletti, M.E.; Mundim, A.V.; O’Dwyer, L.H.; Eyal, O.; Talmi-Frank, D.; Cury, M.C.; Baneth, G. Oocysts of Hepatozoon canis in Rhipicephalus (Boophilus) microplus collected from a naturally infected dog. Vet. Parasitol. 2011, 177, 392–396. [Google Scholar] [CrossRef]
- de Castro Demoner, L.; Rubini, A.S.; dos Santos Paduan, K.; Metzger, B.; de Paula Antunes, J.M.A.; Martins, T.F.; Mathias, M.I.C.; O’Dwyer, L.H. Investigation of tick vectors of Hepatozoon canis in Brazil. Ticks Tick-Borne Dis. 2013, 4, 542–546. [Google Scholar] [CrossRef] [PubMed]




| Target Organism | Target Gene | Primer Name | Primer Sequence (5′-3′) | Product Size (bp) | Reference |
|---|---|---|---|---|---|
| Ehrlichia/ Anaplasma | 16S rRNA | 16 S8FE † | AGAGTTGGATCMTGGYTCAG | ~500 | [40] |
| B-GA1B ‡ | CGAGTTTGCCGGGACTTYTTC | [40] | |||
| Babesia/Theileria/ Hepatozoon | 18S rRNA | RLB-F2 † | ACACAGGGAGGTAGTGACAAG | 460–540 | [39,41] |
| RLB-R2 ‡ | CTAAGAATTTCACCTCTGACAGT | [39,41] |
| Case Number | Signalment | Clinical Presentation | Tick Species Detected (n = 20) | Haematology Results a | Summary Haematology Report | Summary Biochemistry Report | Parasites on Blood Smear | Amplification of TBP DNA | |
|---|---|---|---|---|---|---|---|---|---|
| Blood | Ticks | ||||||||
| Dog 1 | 5 month old, intact female mixed breed | Anaemic Anorexic Listless Ecchymosis Icteric Paralysis (fore and hindlimbs) Weight loss | Rhipicephalus sanguineus (n = 2F, 1M) | WBC: 24.27 Segs: 13.24 RBC: 0.8 HCT: 0.043 Hgb: 16 PP: 45 | Neutrophilia Lymphocytosis Poorly regenerative anaemia | Hypoproteinemia Hypoalbulinemia Hyponatremia, Hypochloremia Elevated BUN, ALT and CK | None detected | None | Babesia vogeli |
| Dog 2 | 7 month old, intact male mixed breed | Anorexic Listless Paralysis and oedema (fore and hindlimbs) Weight loss | R. sanguineus (n = 1M) | WBC: 30.38 Segs: 25.52 RBC: 5.46 HCT: 0.352 Hgb: 116 | Mild, non-regenerative anaemia Neutrophilia Monocytosis | Hyperglobulinemia Elevated CK Hyperkalemia | None detected | None | None |
| Dog 3 | 10 month old, intact female hound | Anaemic Anorexic Listless Weight loss Thin blood | R. sanguineus (n = 3F, 3M) | WBC: 15.42 Segs: 13.26 PLT: 44 | Neutrophilia Thrombocytopaenia | Hypoalbulinemia Hyperglobulinemia Hypocalcaemia | None detected | Anaplasma spp. | B. vogeli and Hepatozoon canis |
| Dog 4 | 2 year old, intact female hound | Anaemic Anorexic Listless Ecchymosis Uveitis | No ticks detected | WBC: 22.9 Segs: 6.41 RBC: 4.4 HCT: 0.283 Hgb: 98 PLT: 162 | Non-regenerative anaemia Lymphocytosis, Monocytosis Cytotoxic T lymphocyte Clumped platelets | Hyperglobulinemia Hypoalbulinemia Elevated ALT and CK | None detected | Ehrlichia spp. | No ticks |
| Dog 5 § | 3 year old, intact female hound | Anaemic Anorexic Ecchymosis Weight loss Thin blood | No ticks detected | WBC: 2.09 Segs: 1.8 RBC: 3.0 HCT: 0.184 Hgb: 60 PLT: 5 | Pancytopenia (neutropenia, lymphopenia and thrombocytopaenia) Non-regenerative anaemia | Hyperglobulinemia Hypoalbulinemia Hyppocalcaemia Azotemia | B.vogeli and Ehrlichia spp. | B. vogeli and Ehrlichia spp. | No ticks |
| Dog 6 ‡§ | 4 year old, pregnant (6 weeks) hound | Aborted puppies Paralysis | R. sanguineus (n = 2M) Amblyomma ovale (n = 1F) | WBC: 9.4 Segs: 5.26 RBC: 5.92 HCT: 0.356 Hgb: 119 PLT: 100 PP: 87 | Moderate platelet clumps Hyperproteinemia | Hyperproteinemia Hyperglobulinemia Hypoalbulinemia Elevated CK | None detected | Ehrlichia spp. | Franciscella endosymbiont |
| Dog 7 ‡§ | 6 year old, intact male hound | Anaemia Weight loss Paralysis | R. sanguineus (n = 4M) A. ovale (n = 2M) | WBC: 7.74 Segs: 5.73 RBC: 5.84 HCT: 0.34 Hgb: 115 PP: 80 | Hyperproteinemia | Hyperproteinemia Hyperglobulinemia Hypoalbulinemia Elevated CK | None detected | None | B. vogeli and Anaplasma spp. |
| Dog 8 § | 8 year old, intact female hound | Anaemia Listless Weight loss Paralysis | A. ovale (n = 1F) | WBC: 8.14 Segs: 5.05 RBC: 5.29 HCT: 0.343 Hgb: 113 PLT: 87 | Non-regenerative anaemia Thrombocytopaenia | Hyperglobulinemia Hypoalbulinemia Hypocalcaemia Elevated CK | None detected | Anaplasma spp. | B. vogeli and Ehrlichia spp. |
| Case No. | Clinical Update/Outcome |
|---|---|
| Dog 1 | Died on 13 November 2020. Carcass disposed of by owner. |
| Dog 2 | Paralysis and other clinical signs resolved. |
| Dog 3 | Resolution of clinical signs. |
| Dog 4 | Bright, alert, responsive and eating well. |
| Dog 5 | Much improvement after prednisone treatment and two cycles of doxycycline. |
| Dog 6 | C-section done to remove six dead and decomposing pups. Treated for septic shock and doing better. |
| Dog 7 | Treated for tick fever but still anorexic. |
| Dog 8 | Died on 28 December 2020. |
| Canine Host | TBPs in Host Blood | Tick ID | Tick spp. | TBPs in Ticks | |||
|---|---|---|---|---|---|---|---|
| 16S rRNA | 18S rRNA | ||||||
| Ehrlichia spp. | Anaplasma spp. | Babesia vogeli | Hepatozoon canis | ||||
| Dog 1 | n.d. | T1 T2 T3 | R.s R.s R.s | - - - | - - - | - + - | - - - |
| Dog 2 | n.d. | T4 | R.s | - | - | - | - |
| Dog 3 | Anaplasma spp. | T5 T6 T7 T8 T9 T10 | R.s R.s R.s R.s R.s R.s | - - - - - - | - - - - - - | - + + - - - | - - - - - + |
| Dog 4 | Ehrlichia spp. | No ticks | No ticks | ||||
| Dog 5 | Ehrlichia spp. and B. vogeli | No ticks | No ticks | ||||
| Dog 6 | Ehrlichia spp. | T11 T12 T13 | R.s R.s A.o | - - - | - - - | - - - | - - - |
| Dog 7 | n.d. | T14 T15 T16 T17 T18 T19 | R.s R.s R.s R.s A.o A.o | - - - - - - | - - - - - + | - + + - - + | - - - - - - |
| Dog 8 | Anaplasma spp. | T20 | A.o | + | - | + | - |
| Pathogen Sequences from Ticks | Pathogen Sequences from Dog Blood | ||
|---|---|---|---|
| Tobago TBP-Accession No. (Tick Id) | First GenBank Match TBP Accession No. (% identity) | Tobago TBP-Accession No. (Dog Id) | First GenBank Match TBP Accession No. (% identity) |
| Babesia spp. | |||
| Babesia vogeli-OR077267.1 (T6) | B. vogeli-AY371197.1 (98) | B. vogeli-OR666420.1 (Dog 5) | B. vogeli-MN823219.1 (97) |
| B. vogeli-OR077268.1 (T19) ‡ | B. vogeli-AY371197.1 (98) | - | - |
| B. vogeli-OR077269.1 (T2) | B. vogeli-AY371197.1 (98) | - | - |
| B. vogeli-OR077270.1 (T7) | B. vogeli-HM590440.1 (98) | - | - |
| B. vogeli-OR077271.1 (T15) | B. vogeli-HM590440.1 (98) | - | - |
| B. vogeli-OR077272.1 (T16) | B. vogeli-AY371197.1 (98) | - | - |
| B. vogeli-OR077273.1 (T20) ‡ | B. vogeli-LC602472.1 (98) | - | - |
| Hepatozoon spp. | |||
| Hepatozoon canis-OR077266.1 (T10) | H. canis-LC331053.1 (99) | - | - |
| - | - | ||
| Ehrlichia spp. | |||
| Ehrlichia spp.-OR29688.1 (T20) ‡ | E. canis-KX364265.1 (98) | Ehrlichia spp.-OR296880.1 (Dog 4) | E. canis-AB287435.1 (100) |
| - | Ehrlichia spp.-OR296878.1 (Dog 5) | E. canis-KY247110.1 (100) | |
| - | Ehrlichia spp.-OR296879.1 (Dog 6) | E. canis-AB287435.1 (100) | |
| Anaplasma spp. | |||
| Anaplasma spp.-OR296884.1 (T19) ‡ | A. marginale-MK737024.1 (99) | - | - |
| - | - | - | |
| - | - | Anaplasma spp.-OR296883.2 (Dog 3) | A. marginale-MK737024.1 (100) |
| - | - | Anaplasma spp.-OR296882.2 (Dog 8) | A. marginale-MK737024.1 (100) |
Disclaimer/Publisher’s Note: The statements, opinions and data contained in all publications are solely those of the individual author(s) and contributor(s) and not of MDPI and/or the editor(s). MDPI and/or the editor(s) disclaim responsibility for any injury to people or property resulting from any ideas, methods, instructions or products referred to in the content. |
© 2024 by the authors. Licensee MDPI, Basel, Switzerland. This article is an open access article distributed under the terms and conditions of the Creative Commons Attribution (CC BY) license (https://creativecommons.org/licenses/by/4.0/).
Share and Cite
Charles, R.A.; Pow-Brown, P.; Gordon-Dillon, A.; Blake, L.; Nicholls, S.; Brown-Jordan, A.; Caruth, J.; Sant, C.; Pargass, I.; Basu, A.; et al. Completing the Puzzle: A Cluster of Hunting Dogs with Tick-Borne Illness from a Fishing Community in Tobago, West Indies. Pathogens 2024, 13, 161. https://doi.org/10.3390/pathogens13020161
Charles RA, Pow-Brown P, Gordon-Dillon A, Blake L, Nicholls S, Brown-Jordan A, Caruth J, Sant C, Pargass I, Basu A, et al. Completing the Puzzle: A Cluster of Hunting Dogs with Tick-Borne Illness from a Fishing Community in Tobago, West Indies. Pathogens. 2024; 13(2):161. https://doi.org/10.3390/pathogens13020161
Chicago/Turabian StyleCharles, Roxanne A., Patricia Pow-Brown, Annika Gordon-Dillon, Lemar Blake, Soren Nicholls, Arianne Brown-Jordan, Joanne Caruth, Candice Sant, Indira Pargass, Asoke Basu, and et al. 2024. "Completing the Puzzle: A Cluster of Hunting Dogs with Tick-Borne Illness from a Fishing Community in Tobago, West Indies" Pathogens 13, no. 2: 161. https://doi.org/10.3390/pathogens13020161
APA StyleCharles, R. A., Pow-Brown, P., Gordon-Dillon, A., Blake, L., Nicholls, S., Brown-Jordan, A., Caruth, J., Sant, C., Pargass, I., Basu, A., Albina, E., Oura, C., & Georges, K. (2024). Completing the Puzzle: A Cluster of Hunting Dogs with Tick-Borne Illness from a Fishing Community in Tobago, West Indies. Pathogens, 13(2), 161. https://doi.org/10.3390/pathogens13020161

