Main Cardiac Histopathologic Alterations in the Acute Phase of Trypanosoma cruzi Infection in a Murine Model
Abstract
1. Introduction
2. Materials and Methods
2.1. Parasites
2.2. Infection in a Murine Model
2.3. Parasitemia
2.4. Histopathological Analysis
2.5. Classification of Lesions
2.6. Microphotographs
2.7. Euthanizing Mice
2.8. Statistical Analysis
3. Results
3.1. Infection in a Murine Model
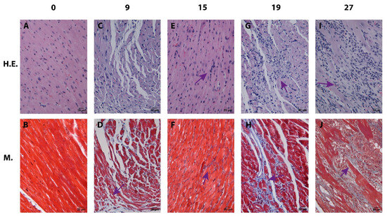
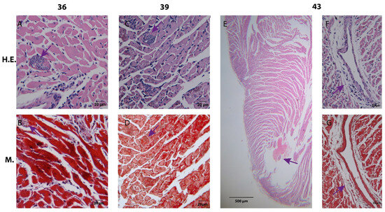
3.2. Histopathological Analysis
3.3. Composition and Location of Infiltrate
3.4. Characterizing Fibrotic Damage
4. Discussion
4.1. Macroscopical Findings
4.2. Fibrosis
5. Conclusions
Author Contributions
Funding
Institutional Review Board Statement
Informed Consent Statement
Data Availability Statement
Acknowledgments
Conflicts of Interest
References
- Chagas, C. Nova tripanozomiaze humana: Estudos sobre a morfolojia e o ciclo evolutivo do Schizotrypanum cruzi n. gen., n. sp., ajente etiolojico de nova entidade morbida do homem. Mem. Inst. Oswaldo Cruz 1909, 1, 159–218. [Google Scholar] [CrossRef]
- Organización Panamericana de la Salud. Guía para el Diagnóstico y el Tratamiento de la Enfermedad de Chagas; Washington, D.C. OPS: Philadelphia, PA, USA, 2018; ISBN 9789275320433. [Google Scholar]
- Tafuri, W. Immunopathology of Chagas disease—A historical overview. Mem. Inst. Oswaldo Cruz 1999, 94, 247–248. [Google Scholar] [CrossRef] [PubMed][Green Version]
- Aiello, V.D.; de Campos, F.P.F. Chronic Chagas cardiomyopathy. Autops. Case Rep. 2015, 5, 7–9. [Google Scholar] [CrossRef] [PubMed]
- Rossi, M.A.; Tanowitz, H.B.; Malvestio, L.M.; Celes, M.R.; Campos, E.C.; Blefari, V.; Prado, C.M. Coronary Microvascular Disease in Chronic Chagas Cardiomyopathy Including an Overview on History, Pathology, and Other Proposed Pathogenic Mechanisms. PLoS Negl. Trop. Dis. 2010, 4, e674. [Google Scholar] [CrossRef] [PubMed]
- De Alba-Alvarado, M.; Bucio-Torres, M.I.; Zenteno, E.; Sampedro-Carrillo, E.; Hernández-Lopez, M.; Reynoso-Ducoing, O.; Torres-Gutiérrez, E.; Guevara-Gomez, Y.; Guerrero-Alquicira, R.; Cabrera-Bravo, M.; et al. Response to Infection by Trypanosoma cruzi in a Murine Model. Front. Vet. Sci. 2020, 7, 568745. [Google Scholar] [CrossRef]
- Arteaga, H. Irene de Enfermedad de chagas en una comunidad del Altiplano Mexicano. Ph.D. Thesis, UNAM, Facultad de Medicina, Ciudad de México, Mexico, 1997. [Google Scholar]
- NOM-062-ZOO-1999; Technical Specifications for the Production, Care and Use of Laboratory Animals. Diario Oficial de la Federación: Mexico City, Mexico, 2001.
- Thomas, T.P.; Grisanti, L.A. The Dynamic Interplay Between Cardiac Inflammation and Fibrosis. Front. Physiol. 2020, 11, 529075. [Google Scholar] [CrossRef]
- Mewton, N.; Liu, C.Y.; Croisille, P.; Bluemke, D.; Lima, J.A.C. Assessment of myocardial fibrosis with cardiovascular magnetic resonance. J. Am. Coll. Cardiol. 2011, 57, 891–903. [Google Scholar] [CrossRef]
- NOM-087-SEMARNAT SSA1-2002; Protección Ambiental—Salud Ambiental—Residuos Peligrosos Biológico-Infecciosos—Clasificación y Especificaciones de Manejo. Diario Oficial de la Federación: Mexico City, Mexico, 2003.
- Viotti, C.; Vigliano, R. Enfermedad de Chagas un Enfoque Práctico Basado en la Investigación Médica; Editorial Médica Panamericana: Ciudad Autónoma de Buenos Aires, Argentina, 2015; pp. 187–210. ISBN 9789500605571. [Google Scholar]
- Mazza, S.; Montaña, A.; Benitez, C.; Janzi, E. Transmisión de Schizotrypanum cruzi al niño por leche de la madre con enfermedad de Chagas. Mis. Est. Patol. Reg. Arg. 1983, 28, 41–46. [Google Scholar]
- Sánchez, L.V.; Ramírez, J.D. Congenital and oral transmission of American trypanosomiasis: An overview of physiopathogenic aspects. Parasitology 2013, 140, 147–159. [Google Scholar] [CrossRef]
- Velásquez-Ortiz, N.; Ramírez, J.D. Understanding the oral transmission of Trypanosoma cruzi as a veterinary and medical foodborne zoonosis. Res. Vet. Sci. 2020, 132, 448–461. [Google Scholar] [CrossRef]
- Rassi, A.; Rassi, A.; Marcondes de Rezende, J. American trypanosomiasis (Chagas disease). Infect. Dis. Clin. N. Am. 2012, 26, 275–291. [Google Scholar] [CrossRef] [PubMed]
- WHO. Chagas Disease (also Known as American Trypanosomiasis). Available online: https://www.who.int/news-room/fact-sheets/detail/chagas-disease-(american-trypanosomiasis) (accessed on 5 July 2023).
- Andrade, D.V.; Gollob, K.J.; Dutra, W.O. Acute Chagas Disease: New Global Challenges for an Old Neglected Disease. PLoS Negl. Trop. Dis. 2014, 8, e3010. [Google Scholar] [CrossRef] [PubMed]
- Salazar-Schettino, P.M.; Bucio-Torres, M.I.; Cabrera-Bravo, M.; De Alba-Alvarado, M.C.; Castillo-Saldañac, D.R.; Zenteno-Galindo, E.A.; Rojo-Medina, J.; Fernández-Santos, N.A.; Perera-Salazar, M.G. Enfermedad de Chagas en México. Rev. Fac. Med. 2016, 59, 6. [Google Scholar]
- Aldinger, K.A.; Sokoloff, G.; Rosenberg, D.M.; Palmer, A.A.; Millen, K.J. Genetic Variation and Population Substructure in Outbred CD-1 Mice: Implications for Genome-Wide Association Studies. PLoS ONE 2009, 4, e4729. [Google Scholar] [CrossRef] [PubMed]
- Espinoza, B.; Rico, T.; Sosa, S.; Oaxaca, E.; Vizcaino-Castillo, A.; Caballero, M.L.; Martínez, I. Trypanosoma cruzi TCI Strains with Different Degrees of Virulence Induce Diverse Humoral and Cellular Immune Responses in a Murine Experimental Infection Model. J. Biomed. Biotechnol. 2010, 2010, 890672. [Google Scholar] [CrossRef]
- Zumaya-Estrada, F.A.; Messenger, L.A.; Lopez-Ordonez, T.; Lewis, M.D.; Flores-Lopez, C.A.; Martínez-Ibarra, A.J.; Pennington, P.M.; Cordon-Rosales, C.; Carrasco, H.V.; Segovia, M.; et al. North American import? Charting the origins of an enigmatic Trypanosoma cruzi domestic genotype. Parasites Vectors 2012, 5, 226–229. [Google Scholar] [CrossRef]
- Zingales, B.; Andrade, S.G.; Briones, M.R.S.; Campbell, D.A.; Chiari, E.; Fernandes, O.; Guhl, F.; Lages-Silva, E.; Macedo, A.M.; Machado, C.R.; et al. A new consensus for Trypanosoma cruzi intraspecific nomenclature: Second revision meeting recommends TcI to TcVI. Mem. Inst. Oswaldo Cruz 2009, 104, 1051–1054. [Google Scholar] [CrossRef]
- Ackermann, A.A.; Carmona, S.J.; Agúero, F. TcSNP: A database of genetic variation in Trypanosoma cruzi. Nucleic Acids Res. 2009, 37, D544. [Google Scholar] [CrossRef]
- Andrade, S.G.; Andrade, Z.A. Chagas’ disease and neuron changes in Auerbach’s plexus. (Experimental study in mice). Rev. Inst. Med. Trop. Sao Paulo 1966, 8, 219–224. [Google Scholar]
- Ansari, N.A.; Saluja, S.; Salotra, P. Elevated levels of interferon-γ, interleukin-10, and interleukin-6 during active disease in Indian kala azar. Clin. Immunol. 2006, 119, 339–345. [Google Scholar] [CrossRef]
- Andrade, L.O.; Andrews, N.W. Lysosomal fusion is essential for the retention of Trypanosoma cruzi inside host cells. J. Exp. Med. 2004, 200, 1135–1143. [Google Scholar] [CrossRef] [PubMed]
- Lewis, M.D.; Fortes Francisco, A.; Taylor, M.C.; Burrell-Saward, H.; Mclatchie, A.P.; Miles, M.A.; Kelly, J.M. Bioluminescence imaging of chronic Trypanosoma cruzi infections reveals tissue-specific parasite dynamics and heart disease in the absence of locally persistent infection. Cell. Microbiol. 2014, 16, 1285–1300. [Google Scholar] [CrossRef] [PubMed]
- Lewis, M.D.; Francisco, A.F.; Taylor, M.C.; Jayawardhana, S.; Kelly, J.M. Host and parasite genetics shape a link between Trypanosoma cruzi infection dynamics and chronic cardiomyopathy. Cell. Microbiol. 2016, 18, 1429–1443. [Google Scholar] [CrossRef] [PubMed]
- Miller, C.M.D.; Smith, N.C.; Ikin, R.J.; Boulter, N.R.; Dalton, J.P.; Donnelly, S. Immunological Interactions between 2 Common Pathogens, Th1-Inducing Protozoan Toxoplasma gondii and the Th2-Inducing Helminth Fasciola hepatica. PLoS ONE 2009, 4, e5692. [Google Scholar] [CrossRef][Green Version]
- Machado, P.R.L.; Araújo, M.I.A.S.; Carvalho, L.; Carvalho, E.M. Mecanismos de resposta imune às infecções. An. Bras. Dermatol. 2004, 79, 647–662. [Google Scholar] [CrossRef]
- Köberle, F. Chagas’ Disease and Chagas’ Syndromes: The Pathology of American Trypanosomiasis. Adv. Parasitol. 1968, 6, 63–116. [Google Scholar] [CrossRef]
- Sanderson, C.J.; De Souza, W. A morphological study of the interaction between Trypanosoma cruzi and rat eosinophils, neutrophils and macrophages in vitro. J. Cell Sci. 1979, 37, 275–286. [Google Scholar] [CrossRef]
- Cardoni, R.L.; Antunez, M.I.; Abrami, A.A. Respuesta TH1 en la infeccion experimental con Trypanosoma cruzi. Med. (B. Aires) 1999, 59, 84–90. [Google Scholar]
- Celentano, A.M.; González Cappa, S.M. In vivo macrophage function in experimental infection with Trypanosoma cruzi subpopulations. Acta Trop. 1993, 55, 171–180. [Google Scholar] [CrossRef]
- Andrade, L.O.; Andrews, N.W. The Trypanosoma cruzi—Host-cell interplay: Location, invasion, retention. Nat. Rev. Microbiol. 2005, 3, 819–823. [Google Scholar] [CrossRef]
- De Higuchi, M.L.; Gutierrez, P.S.; Aiello, V.D.; Palomino, S.; Bocchi, E.; Kalil, J.; Bellotti, G.; Pileggi, F. Immunohistochemical characterization of infiltrating cells in human chronic chagasic myocarditis: Comparison with myocardial rejection process. Virchows Arch. A Pathol. Anat. Histopathol. 1993, 423, 157–160. [Google Scholar] [CrossRef] [PubMed]
- Silverio, J.C.; Pereira, I.R.; da Cipitelli, M.C.; Vinagre, N.F.; Rodrigues, M.M.; Gazzinelli, R.T.; Lannes-Vieira, J. CD8+ T-cells expressing interferon gamma or perforin play antagonistic roles in heart injury in experimental Trypanosoma cruzi-elicited cardiomyopathy. PLoS Pathog. 2012, 8, e1002645. [Google Scholar] [CrossRef] [PubMed]
- Yu, X.; Ge, L.; Niu, L.; Lian, X.; Ma, H.; Pang, L. The dual role of inducible nitric oxide synthase in myocardial ischemia/reperfusion injury: Friend or foe? Oxid. Med. Cell. Longev. 2018, 2018, 8364848. [Google Scholar] [CrossRef] [PubMed]
- Cabral, H.R.; Novak, I.T.; Glocker, M.; Castro Viera, G.A. Neomicrovasculatura: Factor activo en la inmunopatogenia de la cardiopatía chagásica crónica. Rev. Argent. Cardiol. 2005, 73, 201–207. Available online: http://www.redalyc.org/articulo.oa?id=305325329008 (accessed on 5 July 2023).
- Teixeira, A.R.L.; Hecht, M.M.; Guimaro, M.C.; Sousa, A.O.; Nitz, N. Pathogenesis of chagas’ disease: Parasite persistence and autoimmunity. Clin. Microbiol. Rev. 2011, 24, 592–630. [Google Scholar] [CrossRef] [PubMed]
- Teixeira, A.R.; Nascimento, R.J.; Sturm, N.R. Evolution and pathology in Chagas disease: A review. Mem. Inst. Oswaldo Cruz 2006, 101, 463–491. [Google Scholar] [CrossRef]
- Mendoza, I.; Moleiro, F.; Marques, J.; Guerrero, J.; Matheus, Á.; Rodriguez, F.; Rodriguez, A.; Britto, I.M.; Bayes de Luna, A.; Castellanos, A. Implications of sudden death in Chagas disease. Rev. Patol. Trop. 2007, 2, 26. [Google Scholar] [CrossRef][Green Version]
- De Suárez, B.B.; Santiago, L.-L.E. Enfermedad de Chagas canina: Presentación de dos casos en perros de raza Huski siberiano con miocarditis chagásica procedentes de Paracotos, Estado Miranda, Venezuela. Gaceta Médica de Caracas. Gac. Med. Caracas 2017, 124, 28–336. Available online: http://ve.scielo.org/scielo.php?script=sci_arttext&pid=S0367-47622017000400006&lng=es&tlng=es (accessed on 5 July 2023).
- Rassi, A., Jr.; Rassi, S.G.; Rassi, A. Sudden death in Chagas’ disease. Arq. Bras. Cardiol. 2001, 76, 86–96. [Google Scholar] [CrossRef]
- Wong, E.C.; Angiono, L.; Dorsch, J.; Pintor, L.; Blanco, S.; Morral, E.; Tomán, F. Pericarditis constrictiva asociada a miocardiopatía chagásica. Rev. Del Cons. Argent. Resid. Cardiol. 2018, 33, 0322–0324. [Google Scholar] [CrossRef]
- Bommineni, Y.R.; Dick, E.J.; Estep, J.S.; Van de Berg, J.L.; Hubbard, G.B. Fatal acute Chagas disease in a chimpanzee. J. Med. Primatol. 2009, 38, 247–251. [Google Scholar] [CrossRef]
- Kai, H.; Mori, T.; Tokuda, K.; Takayama, N.; Tahara, N.; Takemiya, K.; Kudo, H.; Sugi, Y.; Fukui, D.; Yasukawa, H.; et al. Pressure Overload-Induced Transient Oxidative Stress Mediates Perivascular Inflammation and Cardiac Fibrosis through Angiotensin II. Hypertens. Res. 2006, 29, 711–718. [Google Scholar] [CrossRef] [PubMed]
- Stahl, P.; Ruppert, V.; Meyer, T.; Schmidt, J.; Campos, M.A.; Gazzinelli, R.T.; Maisch, B.; Schwarz, R.T.; Debierre-Grockiego, F. Trypomastigotes and amastigotes of Trypanosoma cruzi induce apoptosis and STAT3 activation in cardiomyocytes in vitro. Apoptosis 2013, 18, 653–663. [Google Scholar] [CrossRef] [PubMed]
- Mitelman, J.E.; Giménez, L. De la miocardiopatía chagásica a la miocardiopatía isquémica no aterosclerótica Lesión endotelial: Alteraciones de la microcirculación en la enfermedad de Chagas-Mazza. Insuf. Card. 2017, 12, 97–105. Available online: http://www.insuficienciacardiaca.org (accessed on 5 July 2023).
- Machado, F.S.; Jelicks, L.A.; Kirchhoff, L.V.; Shirani, J.; Nagajyothi, F.; Mukherjee, S.; Nelson, R.; Coyle, C.M.; Spray, D.C.; de Carvalho, A.C.C.; et al. Chagas Heart Disease. Cardiol. Rev. 2012, 20, 53–65. [Google Scholar] [CrossRef] [PubMed]
- Torres, M. Estudo do miocardio na molestia de Chagas (fórma aguda): I. Alterações da fibra muscular cardiaca. Mem. Inst. Oswaldo Cruz 1917, 9, 114–139. [Google Scholar] [CrossRef][Green Version]
- Mateus, J.; Guerrero, P.; Lasso, P.; Cuervo, C.; González, J.M.; Puerta, C.J.; Cuéllar, A. An animal model of acute and chronic Chagas disease with the reticulotropic Y strain of Trypanosoma cruzi that depicts the multifunctionality and dysfunctionality of T cells. Front. Immunol. 2019, 10, 450465. [Google Scholar] [CrossRef]
- Tanowitz, H.B.; Machado, F.S.; Jelicks, L.A.; Shirani, J.; Campos de Carvalho, A.C.; Spray, D.C.; Factor, S.M.; Kirchhoff, L.V.; Weiss, L.M. Perspectives on Trypanosoma cruzi-Induced Heart Disease (Chagas disease). Prog. Cardiovasc. Dis. 2009, 51, 524–539. [Google Scholar] [CrossRef][Green Version]
- Marin-Neto, J.A.; Cunha-Neto, E.; Maciel, B.C.; Simões, M.V. Pathogenesis of chronic Chagas heart disease. Circulation 2007, 115, 1109–1123. [Google Scholar] [CrossRef]
- De, M.; Higuchi, L.; Benvenuti, A.; Reis, M.M.; Metzger, M.; Metzger, M. Pathophysiology of the heart in Chagas’ disease: Current status and new developments. Cardiovasc. Res. 2003, 60, 96–107. [Google Scholar] [CrossRef]
- Salazar-Schettino, P.M.; Cabrera-Bravo, M.; Vazquez-Antona, C.; Zenteno, E.; De Alba-Alvarado, M.; Gutierrez, E.T.; Gomez, Y.G.; Perera-Salazar, M.G.; de la Torre, G.G.; Bucio-Torres, M.I. Chagas disease in Mexico: Report of 14 Cases of Chagasic Cardiomyopathy in Children. Tohoku J. Exp. Med. 2016, 240, 243–249. [Google Scholar] [CrossRef] [PubMed]
- De Alba-Alvarado, M.; Salazar-Schettino, P.M.; Jiménez-Álvarez, L.; Cabrera-Bravo, M.; García-Sancho, C.; Zenteno, E.; Vazquez-Antona, C.; Cruz-Lagunas, A.; Zúñiga, J.; Bucio-Torres, M.I. Th-17 cytokines are associated with severity of Trypanosoma cruzi chronic infection in pediatric patients from endemic areas of Mexico. Acta Trop. 2018, 178, 134–141. [Google Scholar] [CrossRef] [PubMed]










Disclaimer/Publisher’s Note: The statements, opinions and data contained in all publications are solely those of the individual author(s) and contributor(s) and not of MDPI and/or the editor(s). MDPI and/or the editor(s) disclaim responsibility for any injury to people or property resulting from any ideas, methods, instructions or products referred to in the content. |
© 2023 by the authors. Licensee MDPI, Basel, Switzerland. This article is an open access article distributed under the terms and conditions of the Creative Commons Attribution (CC BY) license (https://creativecommons.org/licenses/by/4.0/).
Share and Cite
de Alba Alvarado, M.C.; Torres Gutiérrez, E.; Cabrera Bravo, M.; Zenteno Galindo, E.; Villarreal Muñoz, J.A.; Salazar Schettino, P.M.; Bucio Torres, M.I. Main Cardiac Histopathologic Alterations in the Acute Phase of Trypanosoma cruzi Infection in a Murine Model. Pathogens 2023, 12, 1084. https://doi.org/10.3390/pathogens12091084
de Alba Alvarado MC, Torres Gutiérrez E, Cabrera Bravo M, Zenteno Galindo E, Villarreal Muñoz JA, Salazar Schettino PM, Bucio Torres MI. Main Cardiac Histopathologic Alterations in the Acute Phase of Trypanosoma cruzi Infection in a Murine Model. Pathogens. 2023; 12(9):1084. https://doi.org/10.3390/pathogens12091084
Chicago/Turabian Stylede Alba Alvarado, Mariana C., Elia Torres Gutiérrez, Margarita Cabrera Bravo, Edgar Zenteno Galindo, José Antonio Villarreal Muñoz, Paz María Salazar Schettino, and Martha Irene Bucio Torres. 2023. "Main Cardiac Histopathologic Alterations in the Acute Phase of Trypanosoma cruzi Infection in a Murine Model" Pathogens 12, no. 9: 1084. https://doi.org/10.3390/pathogens12091084
APA Stylede Alba Alvarado, M. C., Torres Gutiérrez, E., Cabrera Bravo, M., Zenteno Galindo, E., Villarreal Muñoz, J. A., Salazar Schettino, P. M., & Bucio Torres, M. I. (2023). Main Cardiac Histopathologic Alterations in the Acute Phase of Trypanosoma cruzi Infection in a Murine Model. Pathogens, 12(9), 1084. https://doi.org/10.3390/pathogens12091084

