Optimization and Validation of Reverse Transcription Recombinase-Aided Amplification (RT-RAA) for Sorghum Mosaic Virus Detection in Sugarcane
Abstract
:1. Introduction
2. Materials and Methods
2.1. Test Materials
2.2. RNA Extraction and cDNA Synthesis
2.3. SrMV-Positive Sample Screening
2.4. RT-RAA Primers for SrMV Screening
2.5. RT-RAA Assay and Reaction Conditions
2.6. Specificity of the RAA Method
2.7. Sensitivity Comparison of RAA and RT-PCR
2.8. Reliability of the RT-RAA Assay
3. Results
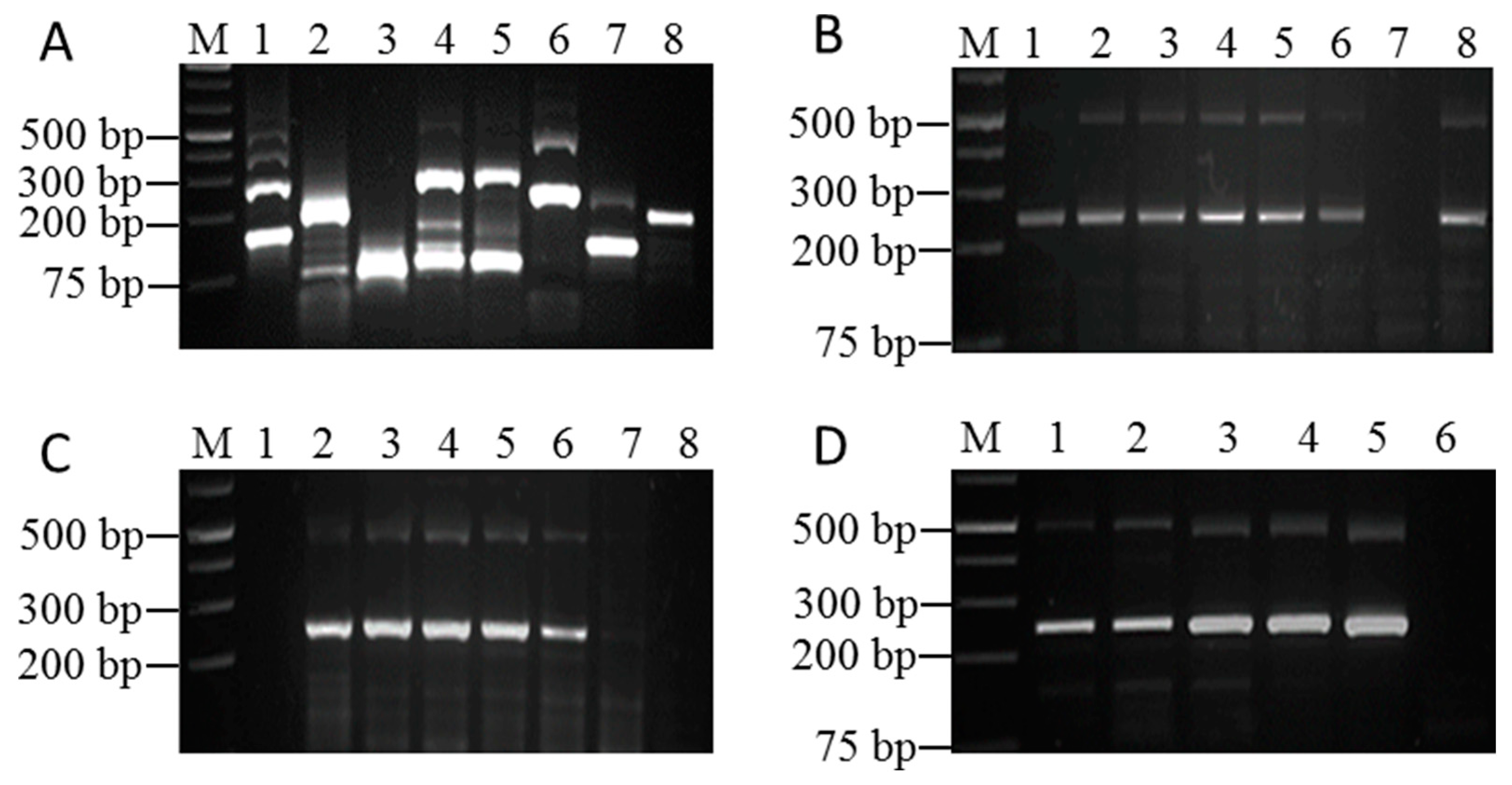
3.1. Optimization Results of RAA Reaction Conditions
3.2. Specificity of the RT-RAA Method
3.3. Sensitivity Comparison of RT-RAA and RT-PCR
3.4. Reliability of the RT-RAA Assay
4. Discussion
5. Conclusions
Supplementary Materials
Author Contributions
Funding
Institutional Review Board Statement
Informed Consent Statement
Data Availability Statement
Acknowledgments
Conflicts of Interest
References
- Rice, J.L.; Hoy, J.W.; Grisham, M.P. Sugarcane mosaic distribution, incidence, increase, and spatial pattern in Louisiana. Plant Dis. 2019, 103, 2051–2056. [Google Scholar] [CrossRef]
- Grisham, M. A Guide to Sugarcane Diseases; CIRAD-ISSCT, CIRAD Publication Services: Montpellier, France, 2000; pp. 249–254. [Google Scholar]
- Lu, G.; Wang, Z.; Xu, F.; Pan, Y.-B.; Grisham, M.P.; Xu, L. Sugarcane Mosaic Disease: Characteristics, Identification and Control. Microorganisms 2021, 9, 1984. [Google Scholar] [CrossRef] [PubMed]
- Zhou, F.J.; Huang, C.H.; Li, Z.W.; Shang, X.K.; Huang, W.H.; Pan, X.H.; Wei, J.L.; Lin, S.H. Analysis of the virus population causing sugarcane mosaic virus disease in sugarcane growing area of Guangxi. J. South. Agric. 2015, 46, 609–613. [Google Scholar]
- Zhou, Y.F.; Fu, Y.H.; Lei, S.F.; Lu, J.J. PCR Detection of Sorghum mosaic virus (SrMV) in Sugarcane Field of Guizhou. Chin. Agric. Sci. Bull. 2015, 31, 231–233. [Google Scholar]
- Luo, Q.; Ahmad, K.; Fu, H.Y.; Wang, J.D.; Chen, R.K.; Gao, S.J. Genetic diversity and population structure of Sorghum mosaic virus infecting Saccharum spp. hybrids. Ann. Appl. Biol. 2016, 169, 398–407. [Google Scholar] [CrossRef]
- Wang, X.-Y.; Li, W.-F.; Huang, Y.-K.; Zhang, R.-Y.; Shan, H.-L.; Yin, J.; Luo, Z.-M. Molecular detection and phylogenetic analysis of viruses causing mosaic symptoms in new sugarcane varieties in China. Eur. J. Plant Pathol. 2017, 148, 931–940. [Google Scholar] [CrossRef]
- Wang, K.; Deng, Q.; Dou, Z.; Wang, M.; Chen, J.; Shen, W. Molecular detection of viral diseases in chewing cane (Saccharum officinarum) from Southern China. Int. J. Agric. Biol. 2018, 20, 655–660. [Google Scholar] [CrossRef]
- He, E.-Q.; Bao, W.-Q.; Sun, S.-R.; Hu, C.-Y.; Chen, J.-S.; Bi, Z.-W.; Xie, Y.; Lu, J.-J.; Gao, S.-J. Incidence and Distribution of Four Viruses Causing Diverse Mosaic Diseases of Sugarcane in China. Agronomy 2022, 12, 302. [Google Scholar] [CrossRef]
- Perera, M.F.; Filippone, M.P.; Ramallo, C.; Cuenya, M.I.; García, M.L.; Ploper, L.D.; Castagnaro, A.P. Genetic diversity among viruses associated with sugarcane mosaic disease in Tucumán, Argentina. Phytopathology 2009, 99, 38–49. [Google Scholar] [CrossRef]
- Xu, Z.Y.; Lv, B.L.; Li, P.; Zhou, L.W.; Tang, Y.; Tang, J.H.; Qin, B.X.; Meng, J.R.; Wen, R.H.; Chen, B.S. Disease survey and identification of viruses in sugarcane in Guangxi. J. South. Agric. 2014, 45, 1957–1962. [Google Scholar]
- Wang, F.L.; Liao, Y.F.; Li, S.Q.; Lin, Y.F.; Huang, Z.F.; Yuan, J.T.; Chen, B.S.; Wen, R.H. Establishment and Application of Indirect-ELISA for Detection of Sorghum mosaic virus in Sugarcane. Genom. Appl. Biol. 2017, 36, 4206–4211. [Google Scholar]
- Chen, H.; Ali, N.; Lv, W.; Shen, Y.; Qing, Z.; Lin, Y.; Chen, B.; Wen, R. Comparison of IC-RT-PCR, Dot-ELISA and Indirect-ELISA for the Detection of Sorghum Mosaic Virus in Field-Grown Sugarcane Plants. Sugar Tech. 2020, 22, 122–129. [Google Scholar] [CrossRef]
- Han, Z.; Yang, C.; Xiao, D.; Lin, Y.; Wen, R.; Chen, B.; He, X. A Rapid, Fluorescence Switch-On Biosensor for Early Diagnosis of Sorghum Mosaic Virus. Biosensors 2022, 12, 1034. [Google Scholar] [CrossRef] [PubMed]
- Zhang, X.; Guo, L.; Ma, R.; Cong, L.; Wu, Z.; Wei, Y.; Xue, S.; Zheng, W.; Tang, S. Rapid detection of Salmonella with Recombinase Aided Amplification. J. Microbiol. Methods 2017, 139, 202–204. [Google Scholar] [CrossRef]
- Qi, J.; Li, X.; Zhang, Y.; Shen, X.; Song, G.; Pan, J.; Fan, T.; Wang, R.; Li, L.; Ma, X. Development of a duplex reverse transcription recombinase-aided amplification assay for respiratory syncytial virus incorporating an internal control. Arch. Virol. 2019, 164, 1843–1850. [Google Scholar] [CrossRef] [PubMed]
- Wu, X.; Liu, Y.; Gao, L.; Yan, Z.; Zhao, Q.; Chen, F.; Xie, Q.; Zhang, X. Development and Application of a Reverse-Transcription Recombinase-Aided Amplification Assay for Porcine Epidemic Diarrhea Virus. Viruses 2022, 14, 591. [Google Scholar] [CrossRef] [PubMed]
- Yan, T.-F.; Li, X.-N.; Wang, L.; Chen, C.; Duan, S.-X.; Qi, J.-J.; Li, L.-X.; Ma, X.-J. Development of a reverse transcription recombinase-aided amplification assay for the detection of coxsackievirus A10 and coxsackievirus A6 RNA. Arch. Virol. 2018, 163, 1455–1461. [Google Scholar] [CrossRef]
- Liang, S.; Luo, Q.; Chen, R.; Gao, S. Advances in researches on molecular biology of viruses causing sugarcane mosaic. J. Plant Prot. 2017, 44, 363–370. [Google Scholar]
- Bagyalakshmi, K.; Viswanathan, R. Development of a Scoring System for Sugarcane Mosaic Disease and Genotyping of Sugarcane Germplasm for Mosaic Viruses. Sugar Tech 2021, 23, 1105–1117. [Google Scholar] [CrossRef]
- Lin, Y.; Ali, N.; Hajimorad, M.R.; Zhang, L.; Qi, X.; Zhou, L.; Wen, R.; Chen, B. Incidence, Geographical Distribution, and Genetic Diversity of Sugarcane Striate Virus in Saccharum Species in China. Plant Dis. 2021, 105, 3531–3537. [Google Scholar] [CrossRef]
- Li, W.-F.; Shen, K.; Huang, Y.-K.; Wang, X.-Y.; Zhang, R.-Y.; Shan, H.-L.; Yin, J.; Luo, Z.-M. Evaluation of resistance to Sorghum mosaic virus (SrMV) in 49 new elite sugarcane varieties/clones in China. Crop. Prot. 2014, 60, 62–65. [Google Scholar] [CrossRef]
- Singh, P.; Singh, S.N.; Tiwari, A.K.; Pathak, S.K.; Singh, A.K.; Srivastava, S.; Mohan, N. Integration of sugarcane production technologies for enhanced cane and sugar productivity targeting to increase farmers’ income: Strategies and prospects. 3 Biotech 2019, 9, 48. [Google Scholar] [CrossRef] [PubMed]
- Wei, X.; Li, Y.; Lu, X.; Zhao, R.T.; Yuan, Z.Q.; Shi, H.; Zhao, X.N. Rapid Detection of Yersinia pestis by Real-time Recombinase-aided Amplification. Biomed. Environ. Sci. 2021, 34, 309–313. [Google Scholar] [PubMed]
- Xiong, Y.; Luo, Y.; Li, H.; Wu, W.; Ruan, X.; Mu, X. Rapid visual detection of dengue virus by combining reverse transcription recombinase-aided amplification with lateral-flow dipstick assay. Int. J. Infect. Dis. 2020, 95, 406–412. [Google Scholar] [CrossRef] [PubMed]



| Primer | Primer Sequence | Product Length (bp) | Primer Length (bp) |
|---|---|---|---|
| 2F | TATAAGCCACAACAGCAAGCATCTCCAAACA | 142 | 31 |
| 2R | TGCACCATACCATTAGTCCGCTCATAACAAC | 30 | |
| 3F | TAGATGTTGATGTTGTAGTGGATTTCGGTC | 189 | 30 |
| 3R | TCTCCTGTAGTCCTTTCATTGTCACACCCG | 30 | |
| 4F | ATAAGCCACAACAGCAAGACATTTCAAACA | 140 | 30 |
| 4R | GCACCATACCATTAGTCCACTCATAACAACTG | 32 | |
| 5F | GCAAAGAGCACAAAATCAGAAAGATAAAGAC | 296 | 31 |
| 5R | TTTCTATGCACCATACCATTAGTCCACTCAT | 31 | |
| 6F | ATGATGAAGCAGCAGAGAAACAGAGACAAG | 298 | 30 |
| 6R | CGTGTATTTGAGATGTCTTGCTGTTGTGGC | 30 | |
| 3PF | AGTCAGCTCTATTTCAACCAAACTCCACCAC | 244 | 31 |
| 3PR | TCTCACTTCGCTAACTTCTCGTTCGTATTCC | 31 | |
| 3P2F | GGAATACGAACGAGAAGTTAGCGAAGTGAGA | 117 | 31 |
| 3P2R | CTTGGATGATTCTCTCTAATGTATGCTATG | 30 |
| RT-RAA | Total | Kappa (κ) | p Value of Kappa | Sensitivity% (95% CI) | Specificity% (95% CI) | |||
|---|---|---|---|---|---|---|---|---|
| Positive | Negative | |||||||
| RT-PCR | Positive | 53 | 2 | 55 | 0.809 | <0.001 | 96.36 (86.39–99.37) | 82.86 (65.70–92.83) |
| Negative | 6 | 29 | 35 | |||||
| Total | 59 | 31 | 90 | |||||
Disclaimer/Publisher’s Note: The statements, opinions and data contained in all publications are solely those of the individual author(s) and contributor(s) and not of MDPI and/or the editor(s). MDPI and/or the editor(s) disclaim responsibility for any injury to people or property resulting from any ideas, methods, instructions or products referred to in the content. |
© 2023 by the authors. Licensee MDPI, Basel, Switzerland. This article is an open access article distributed under the terms and conditions of the Creative Commons Attribution (CC BY) license (https://creativecommons.org/licenses/by/4.0/).
Share and Cite
Wang, F.; Liang, Q.; Lv, R.; Ahmad, S.; Bano, M.; Weng, G.; Wen, R. Optimization and Validation of Reverse Transcription Recombinase-Aided Amplification (RT-RAA) for Sorghum Mosaic Virus Detection in Sugarcane. Pathogens 2023, 12, 1055. https://doi.org/10.3390/pathogens12081055
Wang F, Liang Q, Lv R, Ahmad S, Bano M, Weng G, Wen R. Optimization and Validation of Reverse Transcription Recombinase-Aided Amplification (RT-RAA) for Sorghum Mosaic Virus Detection in Sugarcane. Pathogens. 2023; 12(8):1055. https://doi.org/10.3390/pathogens12081055
Chicago/Turabian StyleWang, Fenglin, Qinmin Liang, Rongman Lv, Shakeel Ahmad, Mishal Bano, Guangzhen Weng, and Ronghui Wen. 2023. "Optimization and Validation of Reverse Transcription Recombinase-Aided Amplification (RT-RAA) for Sorghum Mosaic Virus Detection in Sugarcane" Pathogens 12, no. 8: 1055. https://doi.org/10.3390/pathogens12081055
APA StyleWang, F., Liang, Q., Lv, R., Ahmad, S., Bano, M., Weng, G., & Wen, R. (2023). Optimization and Validation of Reverse Transcription Recombinase-Aided Amplification (RT-RAA) for Sorghum Mosaic Virus Detection in Sugarcane. Pathogens, 12(8), 1055. https://doi.org/10.3390/pathogens12081055

