Movement of Chronic Wasting Disease Prions in Prairie, Boreal and Alpine Soils
Abstract
1. Introduction
2. Materials and Methods
2.1. Soils and Minerals
2.2. Prion Preparation, Binding Experiments and Immunoblotting
2.3. PrPCWD Transport Experiments
2.4. Protein Misfolding Cyclic Amplification (PMCA) Assay
2.5. Infectivity Bioassay
2.6. Ethics Statement
3. Results and Discussion
3.1. PrPCWD Interaction with Soil Minerals and Soils
3.2. PrPCWD Transport Experiments
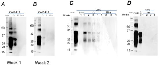
3.2.1. Leachate from Mineral/Soil Column Experiment
3.2.2. Extraction from Solids
4. Conclusions
Supplementary Materials
Author Contributions
Funding
Institutional Review Board Statement
Data Availability Statement
Acknowledgments
Conflicts of Interest
References
- Benestad, S.L.; Mitchell, G.; Simmons, M.; Ytrehus, B.; Vikøren, T. First case of chronic wasting disease in Europe in a Norwegian free-ranging reindeer. Vet. Res. 2016, 47, 88. [Google Scholar] [CrossRef] [PubMed]
- Lee, Y.-H.; Sohn, H.-J.; Kim, M.-J.; Kim, H.-J.; Lee, W.-Y.; Yun, E.-I.; Tark, D.-S.; Cho, I.-S.; Balachandran, A. Strain characterization of the Korean CWD cases in 2001 and 2004. J. Vet. Med. Sci. 2013, 75, 95–98. [Google Scholar] [CrossRef] [PubMed]
- Brown, P.; Gajdusek, D.C. Survival of scrapie virus after 3 years’ interment. Lancet 1991, 337, 269–270. [Google Scholar] [CrossRef] [PubMed]
- Georgsson, G.; Sigurdarson, S.; Brown, P. Infectious agent of sheep scrapie may persist in the environment for at least 16 years. J. Gen. Virol. 2006, 87, 3737–3740. [Google Scholar] [CrossRef] [PubMed]
- Johnson, C.J.; Phillips, K.E.; Schramm, P.T.; McKenzie, D.; Aiken, J.M.; Pedersen, J.A. Prions adhere to soil minerals and remain infectious. PLoS Pathog. 2006, 2, e32. [Google Scholar] [CrossRef] [PubMed]
- Kuznetsova, A.; McKenzie, D.; Banser, P.; Siddique, T.; Aiken, J.M. Potential role of soil properties in the spread of CWD in western Canada. Prion 2014, 8, 92–99. [Google Scholar] [CrossRef] [PubMed]
- Saunders, S.E.; Bartz, J.C.; Bartelt-Hunt, S.L. Soil-mediated prion transmission: Is local soil-type a key determinant of prion disease incidence? Chemosphere 2012, 87, 661–667. [Google Scholar] [CrossRef]
- Johnson, C.J.; Pedersen, J.A.; Chappell, R.J.; McKenzie, D.; Aiken, J.M. Oral transmissibility of prion disease is enhanced by binding to soil particles. PLoS Pathog. 2007, 3, e93. [Google Scholar] [CrossRef]
- Seidel, B.; Thomzig, A.; Buschmann, A.; Groschup, M.H.; Peters, R.; Beekes, M.; Terytze, K. Scrapie agent (Strain 263K) can transmit disease via the oral route after persistence in soil over years. PLoS ONE 2007, 2, e435. [Google Scholar] [CrossRef]
- Giachin, G.; Narkiewicz, J.; Scaini, D.; Ngoc, A.T.; Margon, A.; Sequi, P.; Leita, L.; Legname, G. Prion protein interaction with soil humic substances: Environmental implications. PLoS ONE 2014, 9, e100016. [Google Scholar] [CrossRef]
- Walter, D.W.; Walsh, D.P.; Farnsworth, M.L.; Winkelman, D.L.; Miller, M.W. Soil clay content underlies prion infection odds. Nat. Commun. 2011, 2, 200. [Google Scholar] [CrossRef] [PubMed]
- Beyer, W.N.; Connor, E.E.; Gerould, S. Estimates of soil ingestion by wildlife. J. Wildl. Manag. 1994, 58, 375–382. [Google Scholar] [CrossRef]
- Silbernagel, E.R.; Skelton, N.K.; Waldner, C.L.; Bollinger, T.K. Interaction among deer in a chronic wasting disease endemic zone. J. Wildl. Manag. 2011, 75, 1453–1461. [Google Scholar] [CrossRef]
- Miller, M.W.; Williams, E.S. Chronic Wasting Disease of Cervids. Curr. Top. Microbiol. Immunol. 2004, 284. [Google Scholar] [CrossRef]
- Rigou, P.; Rezaei, H.; Grosclaude, J.; Staunton, S.; Quiquampoix, H. Fate of prions in soil: Adsorption and extraction by electroelution of recombinant ovine prion protein from montmorillonite and natural soils. Environ. Sci. Technol. 2006, 40, 1497–1503. [Google Scholar] [CrossRef]
- Smith, C.; Booth, C.J.; Wadzinski, T.J.; Legname, G.; Chappell, R.; Johnson, C.J.; Pedersen, J.A. Humic substances interfere with detection of pathogenic prion protein. Soil Biol. Biochem. 2014, 68, 309–316. [Google Scholar] [CrossRef]
- Xu, S.; Reuter, T.; Gilroyed, B.H.; Mitchell, G.B.; Price, L.M.; Dudas, S.; Braithwaite, S.L.; Graham, C.; Czub, S.; Leonard, J.J.; et al. Biodegradation of prions in compost. Environ. Sci. Technol. 2014, 48, 6909–6918. [Google Scholar] [CrossRef]
- Davies, P.; Brown, D.R. Prion diseases, metals and antioxidants. In Brain Diseases and Metalloproteins, 1st ed; Brown, D.R., Ed.; Jenny Stanford Publishing: Dubai, United Arab Emirates, 2012. [Google Scholar] [CrossRef]
- Davies, P.; Brown, D.R. Manganese enhances prion protein survival in model soils and increases prion infectivity to cells. PLoS ONE 2009, 4, e7518. [Google Scholar] [CrossRef]
- Jacobson, K.H.; Kuech, T.R.; Pedersen, J.A. Attachment of pathogenic prion protein to model oxide surfaces. Environ. Sci. Technol. 2013, 47, 6925–6934. [Google Scholar] [CrossRef]
- Johnson, C.J.; Gilbert, P.U.P.A.; Abrecht, M.; Baldwin, K.L.; Russell, R.E.; Pedersen, J.A.; Aiken, J.M.; McKenzie, D. Low copper and high manganese levels in prion protein plaques. Viruses 2013, 5, 654–662. [Google Scholar] [CrossRef]
- Russo, F.; Johnson, C.J.; Johnson, C.J.; McKenzie, D.; Aiken, J.M.; Pedersen, J.A. Pathogenic prion protein is degraded by a manganese oxide mineral found in soils. J. Gen. Virol. 2009, 90, 275–280. [Google Scholar] [CrossRef] [PubMed]
- Saunders, S.E.; Bartz, J.C.; Bartelt-Hunt, S.L. Influence of prion strain on prion protein adsorption to soil in a competitive matrix. Environ. Sci. Technol. 2009, 43, 5242–5248. [Google Scholar] [CrossRef] [PubMed]
- Kuznetsova, A.; Cullingham, C.; McKenzie, D.; Aiken, J.M. Soil humic acids degrade CWD prions and reduce infectivity. PLoS Pathog. 2018, 14, e1007414. [Google Scholar] [CrossRef] [PubMed]
- Sposito, G. The Chemistry of Soils, 2nd ed.; Oxford University Press: New York, NY, USA, 2008. [Google Scholar]
- Velde, B.; Meunier, A. The Origin of Clay Minerals in Soils and Weathered Rocks; Springer-Verlag: Berlin/Heidelberg, Germany, 2008. [Google Scholar]
- Erickson, H.P. Size and shape of protein molecules at the nanometer level determined by sedimentation, gel filtration, and electron microscopy. Biol. Proced. Online 2009, 11, 32–51. [Google Scholar] [CrossRef]
- Kodama, H. Clay minerals in Canadian soils: Their origin, distribution and alteration. Can. J. Soil Sci. 1979, 59, 37–85. [Google Scholar] [CrossRef]
- Nagaoka, K.; Yoshioka, M.; Shimozaki, N.; Yamamura, Y.; Murayama, Y.; Yokoyama, T.; Mohri, S. Sensitive detection of scrapie prion protein in soil. Biochem. Biophys. Res. Commun. 2010, 397, 626–630. [Google Scholar] [CrossRef]
- Cooke, C.M.; Shaw, G. Fate of prions in soil: Longevity and migration of recPrP in soil columns. Soil Biol. Biochem. 2007, 39, 1181–1191. [Google Scholar] [CrossRef]
- Jacobson, K.H.; Lee, S.; Mckenzie, D.; Benson, C.H.; Pedersen, J.A. Transport of the pathogenic prion protein through landfill materials. Environ. Sci. Technol. 2009, 43, 2022–2028. [Google Scholar] [CrossRef]
- Somerville, R.A.; Fernie, K.; Smith, A.; Bishop, K.; Maddison, B.C.; Gough, K.C.; Hunter, N. BSE infectivity survives burial for five years with only limited spread. Arch. Virol. 2019, 164, 1135–1145. [Google Scholar] [CrossRef]
- Brash, J.L.; Horbett, T.A. Proteins at interfaces: An overview. In Proteins at Interfaces II: Fundamentals and Applications; Brash, J.L., Horbett, T.A., Eds.; American Chemical Society: Washington, DC, USA, 1995. [Google Scholar]
- Deleault, N.R.; Harris, B.T.; Rees, J.R.; Supattapone, S. Formation of native prions from minimal components in vitro. Proc. Natl. Acad. Sci. USA 2007, 104, 9741–9746. [Google Scholar] [CrossRef]
- Silveira, J.R.; Raymond, G.J.; Hughson, A.G.; Race, R.E.; Sim, V.L.; Hayes, S.F.; Caughey, B. The most infectious prion protein particles. Nature 2005, 437, 257–261. [Google Scholar] [CrossRef] [PubMed]
- Dorak, S.J.; Green, M.L.; Wander, M.M.; Ruiz, M.O.; Buhnerkempe, M.G.; Tian, T.; Novakofski, J.E.; Mateus-Pinilla, N.E. Clay content and pH: Soil characteristic associations with the persistent presence of chronic wasting disease in northern Illinois. Sci. Rep. 2017, 7, 18062. [Google Scholar] [CrossRef] [PubMed]
- Booth, C.J.; Lichtenberg, S.S.; Chappell, R.J.; Pedersen, J.A. Chemical Inactivation of Prions Is Altered by Binding to the Soil Mineral Montmorillonite. ACS Infect. Dis. 2021, 7, 859–870. [Google Scholar] [CrossRef] [PubMed]
- Saunders, S.E.; Bartz, J.C.; Vercauteren, K.C.; Bartelt-Hunt, S.L. An enzymatic treatment of soil-bound prions effectively inhibits replication. Appl. Environ. Microbiol. 2011, 77, 4313–4317. [Google Scholar] [CrossRef] [PubMed]







| ID | Soil | Location | Horizon | pH | TOC, % | Humic Acid Content, g L−1 | Texture | Mineralogy of Clay Fraction |
|---|---|---|---|---|---|---|---|---|
| Cher1 | Orthic Dark Brown Chernozem | South-central region, Alberta, Canada | Ah * | 7.9 | 3.9 | 15 | Clay loam | Mte-Kte |
| Cher2 | Orthic Black Chernozem | Central region, Leduc, Alberta, Canada | Ah | 7.3 | 4 | 19 | Silt loam | Mte-Kte |
| MBr | Gleyed Dystric Brunisol | Mountain region, Old Entrance, Alberta, Canada | LF ¥ | 4.8 | 38 | 1.5 | N/A (org.hor.) | N/A (org.hor.) |
| Bf # | 6.3 | 1.0 | 0.5 | Loam | Mica-illite | |||
| NBr | Gleyed Eluviated Melanic Brunisol | Northern region, Hangingstone river, Alberta, Canada | LFH € | 4.0 | 35 | 3.8 | N/A (org.hor.) | N/A (org.hor.) |
| Ae £ | 5.3 | 1.3 | 0.5 | Silt loam | Mica-illite | |||
| NLuv | Podzolic Grey Luvisol | Northern region, Hangingstone river, Alberta, Canada | LFH € | 3.7 | 40 | 4.2 | N/A (org.hor.) | N/A (org.hor.) |
| Ae | 5.5 | 1.1 | 0.2 | Silt loam | Mica-illite | |||
| Lep | Leptosol | Nordfjella region, Norway | A | 4.8 | 21 | 0.8 | Silt sand | Vermiculate, quartz |
| Soil Columns | Infected BH | Uninfected BH |
|---|---|---|
| Quartz (Qz) | 3 weeks and 6 weeks | 6 weeks |
| Illite | 3 weeks and 6 weeks | 6 weeks |
| Mte | 3 weeks and 6 weeks | 6 weeks |
| Luvisolic LFH | 3 weeks | -- |
| Luvisolic Ae | 3 weeks | -- |
| Brunisolic LF | 3 weeks | -- |
| Brunisolic Bf | 3 weeks | -- |
| Chernozem 1 | 3 weeks | -- |
| Chernozem 2 | 3 weeks | -- |
Disclaimer/Publisher’s Note: The statements, opinions and data contained in all publications are solely those of the individual author(s) and contributor(s) and not of MDPI and/or the editor(s). MDPI and/or the editor(s) disclaim responsibility for any injury to people or property resulting from any ideas, methods, instructions or products referred to in the content. |
© 2023 by the authors. Licensee MDPI, Basel, Switzerland. This article is an open access article distributed under the terms and conditions of the Creative Commons Attribution (CC BY) license (https://creativecommons.org/licenses/by/4.0/).
Share and Cite
Kuznetsova, A.; McKenzie, D.; Ytrehus, B.; Utaaker, K.S.; Aiken, J.M. Movement of Chronic Wasting Disease Prions in Prairie, Boreal and Alpine Soils. Pathogens 2023, 12, 269. https://doi.org/10.3390/pathogens12020269
Kuznetsova A, McKenzie D, Ytrehus B, Utaaker KS, Aiken JM. Movement of Chronic Wasting Disease Prions in Prairie, Boreal and Alpine Soils. Pathogens. 2023; 12(2):269. https://doi.org/10.3390/pathogens12020269
Chicago/Turabian StyleKuznetsova, Alsu, Debbie McKenzie, Bjørnar Ytrehus, Kjersti Selstad Utaaker, and Judd M. Aiken. 2023. "Movement of Chronic Wasting Disease Prions in Prairie, Boreal and Alpine Soils" Pathogens 12, no. 2: 269. https://doi.org/10.3390/pathogens12020269
APA StyleKuznetsova, A., McKenzie, D., Ytrehus, B., Utaaker, K. S., & Aiken, J. M. (2023). Movement of Chronic Wasting Disease Prions in Prairie, Boreal and Alpine Soils. Pathogens, 12(2), 269. https://doi.org/10.3390/pathogens12020269

