A Multiplex PCR Assay for Differential Identification of Wild-type and Vaccine Strains of Mycoplasma gallisepticum
Abstract
1. Introduction
2. Materials and Methods
2.1. Bacterial Strains and DNA Extraction
2.2. Sequence Analysis and Primer Design
2.3. Multiplex PCR Assay
2.4. Specificity and Sensitivity of the Multiplex PCR Assay
2.5. Limit of Detection of the Multiplex PCR Assay
2.6. Evaluation Using Clinical Samples
3. Results
3.1. Primer Design
3.2. Specificity and Sensitivity of the Multiplex PCR Assay
3.3. Detection Limit of the Multiplex PCR Assay
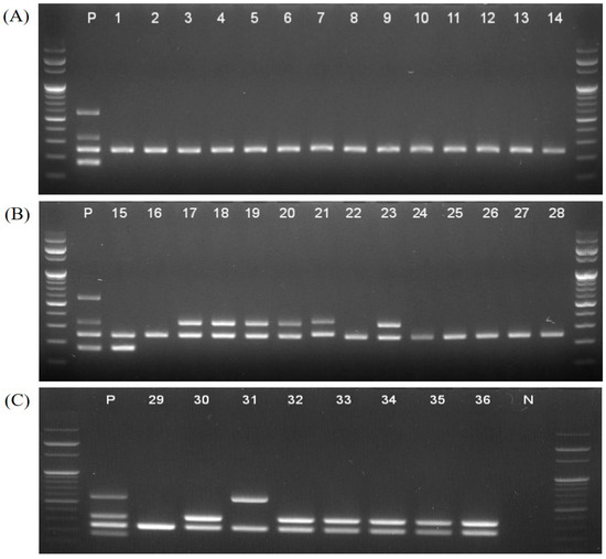
3.4. Efficiency on Clinical Samples
4. Discussion
Author Contributions
Funding
Institutional Review Board Statement
Informed Consent Statement
Data Availability Statement
Acknowledgments
Conflicts of Interest
References
- Swayne, D.E.; Boulianne, M.; Logue, C.M.; McDougald, L.R.; Nair, V.; Suarez, D.L. Diseases of Poultry, 14th ed.; Wiley Blackwell: Hoboken, NJ, USA, 2020; Volume 2, pp. 907–923. [Google Scholar]
- Emam, M.; Hashem, Y.M.; El-Hariri, M.; El-Jakee, J. Detection and antibiotic resistance of Mycoplasma gallisepticum and Mycoplasma synoviae among chicken flocks in Egypt. Vet. World 2020, 13, 1410–1416. [Google Scholar] [CrossRef] [PubMed]
- World Organisation for Animal Health. Available online: http://www.woah.org/en/what-we-do/standards/codes-and-manuals/terrestrial-manual-online-access (accessed on 1 December 2022).
- Yadav, J.P.; Tomar, P.; Singh, Y.; Khurana, S.K. Insights on Mycoplasma gallisepticum and Mycoplasma synoviae infection in poultry: A systematic review. Anim. Biotechnol. 2021, 10, 1–10. [Google Scholar] [CrossRef] [PubMed]
- Noormohammadi, A.H.; Whithear, K.G. Comparision of the short-term and long-term efficacies of the Mycoplasma gallisepticum vaccines ts-11 and 6/85Comparision of the short-term and long-term efficacies of the Mycoplasma gallisepticum vaccines ts-11 and 6/85. Avian. Pathol. 2019, 48, 238–244. [Google Scholar] [CrossRef] [PubMed]
- Ishfaq, M.; Hu, W.; Khan, M.Z.; Ahmad, I.; Guo, W.; Li, J. Current status of vaccine research, development, and challenges of vaccines for Mycoplasma gallisepticum. Poult. Sci. 2020, 99, 4195–4202. [Google Scholar] [CrossRef] [PubMed]
- Galluzzo, P.; Migliore, S.; Galuppo, L.; Condorelli, L.; Hussein, H.A.; Licitra, F.; Coltraro, M.; Sallemi, S.; Antoci, F.; Cascone, G.; et al. First molecular survey to detect Mycoplasma gallisepticum and Mycoplasma synoviae in poultry farms in a strategic production district of Sicily (South-Italy). Anim. 2022, 12, 962. [Google Scholar] [CrossRef] [PubMed]
- Raviv, Z.; Callison, S.A.; Ferguson-Noel, N.; Kleven, S.H. Strain differentiating real-time PCR for Mycoplasma gallisepticum live vaccine evaluation studies. Vet. Microbiol. 2008, 129, 179–187. [Google Scholar] [CrossRef] [PubMed]
- Raviv, Z.; Kleven, S.H. The development of diagnostic real-time TaqMan PCRs for the four pathogenic avian mycoplasmas. Avian. Dis. 2009, 53, 103–107. [Google Scholar] [CrossRef] [PubMed]
- Kahya, S.; Temelli, S.; Eyigor, A.; Carli, K.T. Real-time PCR culture and serology for the diagnosis of Mycoplasma gallisepticum in chicken breeder flocks. Vet. Microbiol. 2010, 144, 319–324. [Google Scholar] [CrossRef] [PubMed]
- Ali, M.Z.; Rahman, M.M.; Sultana, S. Seroprevalence of Mycoplasma gallisepticum antibody by ELISA and serum plate agglutination test of laying chicken. Vet. World 2015, 8, 9–14. [Google Scholar] [CrossRef] [PubMed]
- Ferguson, N.M.; Heep, D.; Sun, S.; Ikuta, N.; Levisohn, S.; Kleven, S.H.; García, M. Use of molecular diversity of Mycoplasma gallisepticum by gene-targeted sequence (GTS) and random amplified polymorphic DNA (RAPD) analysis for epidemiological studies. Microbiology 2005, 151, 1883–1893. [Google Scholar] [CrossRef] [PubMed]
- Matucci, A.; Stefani, E.; Gastaldelli, M.; Rossi, I.; De Grandi, G.; Gyuranecz, M.; Catania, S. Molecular differentiation of Mycoplasma gallisepticum outbreaks: A last decade study on Italian farms using GTS and MLST. Vaccines 2020, 8, 665. [Google Scholar] [CrossRef] [PubMed]
- Limsatanun, A.; Pakpinyo, S.; Limpavithayakul, K.; Prasertsee, T. Targeted sequencing analysis of Mycoplasma gallisepticum isolates in chicken layer and breeder flocks in Thailand. Sci. Rep. 2022, 12, 9900. [Google Scholar] [CrossRef] [PubMed]
- Feberwee, A.; de Wit, S.; Dijkman, R. Clinical expression, epidemiology, and monitoring of Mycoplasma gallisepticum and Mycoplasma synoviae: An update. Avian. Pathol. 2022, 51, 2–18. [Google Scholar] [CrossRef] [PubMed]
- Fraga, A.P.; de Vargas, T.; Ikuta, N.; Fonseca, A.S.K.; Celmer, Á.J.; Marques, E.K.; Lunge, V.R. A multiplex real-time PCR for detection of Mycoplasma gallisepticum and Mycoplasma synoviae in clinical samples from Brazilian commercial poultry flocks. Braz. J. Microbiol. 2013, 30, 505–510. [Google Scholar] [CrossRef] [PubMed]
- Petrone-García, V.M.; Tellez-Isaias, G.; Alba-Hurtado, F.; Vuong, C.N.; Lopez-Arellano, R. Isolation and antimicrobial sensitivity of Mycoplasma synoviae and Mycoplasma gallisepticum from vaccinated hens in Mexico. Pathogens 2020, 9, 924. [Google Scholar] [CrossRef] [PubMed]
- Veen, C.T.; Dijkman, R.; de Wit, J.J.; Gyuranecz, M.; Feberwee, A. Decrease of Mycoplasma gallisepticum seroprevalence and introduction of new genotypes in Dutch commercial poultry during the years 2001–2018. Avian. Pathol. 2021, 50, 52–60. [Google Scholar] [CrossRef] [PubMed]
- Ball, C.; Forrester, A.; Ganapathy, K. Co-circulation of genetically diverse population of vaccine related and unrelated respiratory mycoplasmas and viruses in UK poultry flocks with health or production problems. Vet. Microbiol. 2018, 225, 132–138. [Google Scholar] [CrossRef] [PubMed]
- Yadav, J.P.; Singh, Y.; Jindl, N.; Mahajan, N.K. Rapid and specific detection of Mycoplasma gallisepticum and Mycoplasma synoviae infection in poultry using single and duplex PCR assays. J. Microbiol. Methods 2022, 192, 106365. [Google Scholar] [CrossRef] [PubMed]






| No. | Species | Strains | No. | Species | Strains | No. | Species | Strains |
|---|---|---|---|---|---|---|---|---|
| 1 | M. gallisepticum | ATCC15302 | 24 | S. Typhimurium | ATCC14028 | 47 | M. gallisepticum isolate strain | HS-3 |
| 2 | M. gallisepticum | ts-11 | 25 | S. Pullorum | ATCC10398 | 48 | M. gallisepticum isolate strain | 58–6 |
| 3 | M. gallisepticum | 6/85 | 26 | S. Gallinarum | ATCC98252 | 49 | M. gallisepticum isolate strain | LYK |
| 4 | M. gallisepticum | F | 27 | S. aureus | ATCC25923 | 50 | M. gallisepticum isolate strain | 11KCG-51 |
| 5 | M. gallisepticum | R-low | 28 | P. aeruginosa | APQA | 51 | M. gallisepticum isolate strain | 11KCH-3 |
| 6 | M. synoviae | NCTC10124 | 29 | C. coli | ATCC33559 | 52 | M. gallisepticum isolate strain | 15JI240 |
| 7 | M. hyorhinis | APQA | 30 | C. jejuni | ATCC33560 | 53 | M. gallisepticum isolate strain | 16DY-26 |
| 8 | M. hyopneumoniae | ATCC25934 | 31 | C. perfringens type A | APQA | 54 | M. gallisepticum isolate strain | 16AD084 |
| 9 | A. avium | NCTC11297 | 32 | C. perfringens type C | APQA | 55 | M. gallisepticum isolate strain | 16AD099–4 |
| 10 | A. gallinarum | NCTC11188 | 33 | M. gallisepticum isolate strain | Hanpo | 56 | M. gallisepticum isolate strain | 16LO8–6 |
| 11 | A. volantium | NCTC3438 | 34 | M. gallisepticum isolate strain | DS7–3 | 57 | M. gallisepticum isolate strain | 16WS3–3 |
| 12 | E. coli | ATCC25922 | 35 | M. gallisepticum isolate strain | 41–15 | 58 | M. gallisepticum isolate strain | 16HBM-4 |
| 13 | E. coli | ATCC35218 | 36 | M. gallisepticum isolate strain | 6_57 | 59 | M. gallisepticum isolate strain | 16KWY-27 |
| 14 | E. coli | ATCC8739 | 37 | M. gallisepticum isolate strain | 11AGH | 60 | M. gallisepticum isolate strain | 6KSM-1 |
| 15 | E. faecalis | ATCC29212 | 38 | M. gallisepticum isolate strain | NSG | 61 | M. gallisepticum isolate strain | 17MHJ-24 |
| 16 | E. faecium | APQA | 39 | M. gallisepticum isolate strain | LJH4 | 62 | M. gallisepticum isolate strain | 19OS-1 |
| 17 | P. multocida subsp. gallicida | ATCC51689 | 40 | M. gallisepticum isolate strain | 11CSG-17 | 63 | M. gallisepticum isolate strain | 20HS-G1 |
| 18 | P. multocida subsp. multocida | ATCC43137 | 41 | M. gallisepticum isolate strain | SJ-1 | 64 | M. gallisepticum isolate strain | AD58–1 |
| 19 | P. canis | ATCC43326 | 42 | M. gallisepticum isolate strain | 13AD117 | 65 | M. gallisepticum isolate strain | AD58–2 |
| 20 | G. anatis | NCTC11413 | 43 | M. gallisepticum isolate strain | 16NU-8 | 66 | M. gallisepticum isolate strain | AD58–3 |
| 21 | R. anatipestifer | ATCC11845 | 44 | M. gallisepticum isolate strain | 11KCH-4 | 67 | M. gallisepticum isolate strain | AD56–3 |
| 22 | R. anatipestifer | ATCC51412 | 45 | M. gallisepticum isolate strain | 16BWB-24 | 68 | M. gallisepticum isolate strain | DW1–3 |
| 23 | S. Enteritis | ATCC13076 | 46 | M. gallisepticum isolate strain | PSB |
| Target | Specific Region | Primer Set | Sequence | Product Size (bp) |
|---|---|---|---|---|
| MG | parE | MG-L | AGAACTAATCGAACAAGGTAAG | 245 |
| MG-R | CAGCGTTTTGAATTGAGACT | |||
| ts-11 | RS03710-rlmB (879439–879607) | ts-11-L | GCAATAACAACACCGTTAGT | 169 |
| ts-11-R | CTTTACGACATCAATAGCTACA | |||
| 6/85 | scpA (525779–526349) | 6/85-L | CTTGGTTATAGATAATCGTATTTGG | 571 |
| 6/85-R | CCCGACTTTGATAATGAAGAAA | |||
| F | MGF_RS03965 (598289–598621) | F-L | CTTATTAAGTCCAATAGCTCCA | 333 |
| F-R | GCCAAATAATATCGATTGGTTG |
| Classification | Vol. (μL) | Reaction Condition | Cycles | |
|---|---|---|---|---|
| Nuclease-Free Water | 13 | Initial denaturation | 94 °C, 3 min | 1 |
| Primer common-L (5 pmole/μL = 5 μM) | 0.75 | |||
| Primer common-R (5 pmole/μL = 5 μM) | 0.75 | Denaturation | 94 °C, 30 s | 30 |
| Primer ts-11-L (10 pmole/μL = 10 μM) | 0.75 | |||
| Primer ts-11-R (10 pmole/μL = 10 μM) | 0.75 | Annealing | 52 °C, 30 s | |
| Primer 6/85-L (5 pmole/μL = 5 μM) | 0.75 | |||
| Primer 6/85-R (5 pmole/μL = 5 μM) | 0.75 | Extension | 72 °C, 1 min | |
| Primer F-L (5 pmole/μL = 5 μM) | 0.75 | |||
| Primer F-R (5 pmole/μL = 5 μM) | 0.75 | Final extension | 72 °C, 5 min | 1 |
| DNA | 1 | |||
| Total | 20 | Cooling | 4 °C | ∞ |
Disclaimer/Publisher’s Note: The statements, opinions and data contained in all publications are solely those of the individual author(s) and contributor(s) and not of MDPI and/or the editor(s). MDPI and/or the editor(s) disclaim responsibility for any injury to people or property resulting from any ideas, methods, instructions or products referred to in the content. |
© 2023 by the authors. Licensee MDPI, Basel, Switzerland. This article is an open access article distributed under the terms and conditions of the Creative Commons Attribution (CC BY) license (https://creativecommons.org/licenses/by/4.0/).
Share and Cite
Kang, S.-I.; Lee, O.-M.; Lee, H.-J.; Kwon, Y.-K.; Chae, M.J.; Jeong, J.-Y.; Kang, M.-S. A Multiplex PCR Assay for Differential Identification of Wild-type and Vaccine Strains of Mycoplasma gallisepticum. Pathogens 2023, 12, 111. https://doi.org/10.3390/pathogens12010111
Kang S-I, Lee O-M, Lee H-J, Kwon Y-K, Chae MJ, Jeong J-Y, Kang M-S. A Multiplex PCR Assay for Differential Identification of Wild-type and Vaccine Strains of Mycoplasma gallisepticum. Pathogens. 2023; 12(1):111. https://doi.org/10.3390/pathogens12010111
Chicago/Turabian StyleKang, Sung-Il, O-Mi Lee, Hye-Jin Lee, Yong-Kuk Kwon, Myeong Ju Chae, Ji-Yeon Jeong, and Min-Su Kang. 2023. "A Multiplex PCR Assay for Differential Identification of Wild-type and Vaccine Strains of Mycoplasma gallisepticum" Pathogens 12, no. 1: 111. https://doi.org/10.3390/pathogens12010111
APA StyleKang, S.-I., Lee, O.-M., Lee, H.-J., Kwon, Y.-K., Chae, M. J., Jeong, J.-Y., & Kang, M.-S. (2023). A Multiplex PCR Assay for Differential Identification of Wild-type and Vaccine Strains of Mycoplasma gallisepticum. Pathogens, 12(1), 111. https://doi.org/10.3390/pathogens12010111
