First Detection of Francisella halioticida Infecting a Wild Population of Blue Mussels Mytilus edulis in the United Kingdom
Abstract
:1. Introduction
2. Results
2.1. Granulocytomas in Blue Mussels
2.2. Nanopore Sequencing of the 16S rRNA Gene of Francisella Halioticida Infecting Blue Mussels
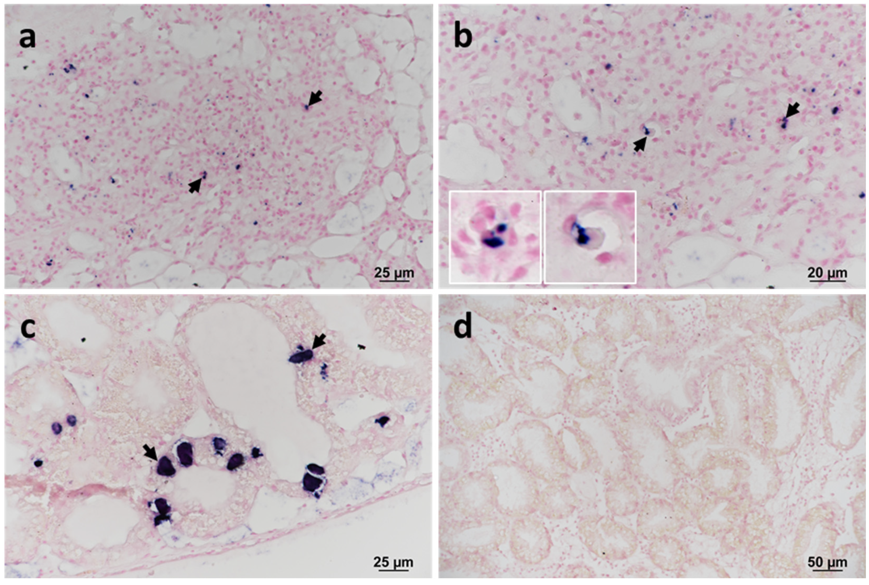
2.3. Confirmation of Francisella Halioticida in the Lesions
3. Discussion
4. Materials and Methods
4.1. Mussel Sampling in Tamar Estuary
4.2. 16S rRNA Gene Nanopore Sequencing
4.2.1. Library Preparation and Sequencing
4.2.2. Bioinformatic Analysis
4.3. Francisella Halioticida PCR and Sanger Sequencing
4.4. Phylogeny Studies
4.5. In Situ Hybridisation
Supplementary Materials
Author Contributions
Funding
Institutional Review Board Statement
Informed Consent Statement
Data Availability Statement
Acknowledgments
Conflicts of Interest
References
- Bignell, J.P.; Stentiford, G.D.; Taylor, N.G.H.; Lyons, B.P. Histopathology of mussels (Mytilus sp.) from the Tamar estuary, UK. Mar. Environ. Res. 2011, 72, 25–32. [Google Scholar] [CrossRef] [PubMed]
- Kerr, R.; Ward, G.M.; Stentiford, G.D.; Alfjorden, A.; Mortensen, S.; Bignell, J.P.; Feist, S.W.; Villalba, A.; Carballal, M.J.; Cao, A.; et al. Marteilia refringens and Marteilia pararefringens sp. nov. are distinct parasites of bivalves and have different European distributions. Parasitology 2018, 145, 1483–1492. [Google Scholar] [CrossRef] [PubMed] [Green Version]
- Cano, I.; Ryder, D.; Webb, S.C.; Jones, B.J.; Brosnahan, C.L.; Carrasco, N.; Bodinier, B.; Furones, D.; Pretto, T.; Carella, F.; et al. Cosmopolitan Distribution of Endozoicomonas-Like Organisms and Other Intracellular Microcolonies of Bacteria Causing Infection in Marine Mollusks. Front. Microbiol. 2020, 11, 2778. [Google Scholar] [CrossRef] [PubMed]
- Cano, I.; van Aerle, R.; Ross, S.; Verner-Jeffreys, D.W.; Paley, R.K.; Rimmer, G.; Ryder, D.; Hooper, P.; Stone, D.; Feist, S.W. Molecular characterization of an Endozoicomonas-like organism causing infection in king scallop Pecten maximus L. Appl. Environ. Microbiol. 2017, 84, e00952-17. [Google Scholar] [CrossRef] [Green Version]
- Kamaishi, T.; Miwa, S.; Goto, E.; Matsuyama, T.; Oseko, N. Mass mortality of giant abalone Haliotis gigantea caused by a Francisella sp. bacterium. Dis. Aquat. Organ. 2010, 89, 145–154. [Google Scholar] [CrossRef]
- Brevik, O.J.; Ottem, K.F.; Kamaishi, T.; Watanabe, K.; Nylund, A. Francisella halioticida sp. nov., a pathogen of farmed giant abalone (Haliotis gigantea) in Japan. J. Appl. Microbiol. 2011, 111, 1044–1056. [Google Scholar] [CrossRef]
- Meyer, G.R.; Lowe, G.J.; Gilmore, S.R.; Bower, S.M. Disease and mortality among Yesso scallops Patinopecten yessoensis putatively caused by infection with Francisella halioticida. Dis. Aquat. Organ. 2017, 125, 79–84. [Google Scholar] [CrossRef] [Green Version]
- Kawahara, M.; Kanamori, M.; Meyer, G.R.; Yoshinaga, T.; Itoh, N. Francisella halioticida, identified as the most probable cause of adductor muscle lesions in Yesso scallops Patinopecten yessoensis cultured in southern Hokkaido, Japan. Fish Pathol. 2018, 53, 78–85. [Google Scholar] [CrossRef] [Green Version]
- Kawahara, M.; Meyer, G.R.; Lowe, G.J.; Eliah, K.; Polinski, M.P.; Yoshinaga, T.; Itoh, N. Parallel studies confirm Francisella halioticida causes mortality in Yesso scallops Patinopecten yessoensis. Dis. Aquat. Organ. 2019, 135, 127–134. [Google Scholar] [CrossRef]
- Charles, M.; Villalba, A.; Meyer, G.; Trancart, S.; Lagy, C.; Bernard, I.; Houssin, M. First detection of Francisella halioticida in mussels Mytilus spp. experiencing mortalities in France. Dis. Aquat. Organ. 2020, 140, 203–208. [Google Scholar] [CrossRef]
- Kawahara, M.; Yoshitake, K.; Yoshinaga, T.; Itoh, N. Francisellosis of Yesso scallops Mizuhopecten yessoensis in Japan is caused by a novel type of Francisella halioticida. Dis. Aquat. Organ. 2021, 144, 9–19. [Google Scholar] [CrossRef]
- Sjödin, A.; Öhrman, C.; Bäckman, S.; Lärkeryd, A.; Granberg, M.; Lundmark, E.; Karlsson, E.; Nilsson, E.; Vallesi, A.; Tellgren-Roth, C.; et al. Complete genome sequence of Francisella endociliophora strain FSC1006, isolated from a laboratory culture of the marine ciliate Euplotes raikovi. Genome Announc. 2014, 2, e01227-14. [Google Scholar] [CrossRef] [PubMed] [Green Version]
- Soto, E.; Griffin, M.J.; Morales, J.A.; Calvo, E.B.; de Alexandre Sebastião, F.; Porras, A.L.; Víquez-Rodríguez, X.; Reichley, S.R.; Rosser, T.G.; Ware, C.; et al. Francisella marina sp. nov., Etiologic Agent of Systemic Disease in Cultured Spotted Rose Snapper (Lutjanus guttatus) in Central America. Appl. Environ. Microbiol. 2018, 84, e00144-18. [Google Scholar] [CrossRef] [PubMed] [Green Version]
- Johnson, S.L.; Daligault, H.E.; Davenport, K.W.; Coyne, S.R.; Frey, K.G.; Korolev, G.I.; Broomall, S.M.; Bishop-Lilly, K.A.; Bruce, D.C.; Chertkov, O.; et al. Genome sequencing of 18 Francisella strains to aid in assay development and testing. Genome Announc. 2016, 3, e00147-15. [Google Scholar] [CrossRef] [PubMed] [Green Version]
- Bull, R.A.; Adikari, T.N.; Ferguson, J.M.; Hammond, J.M.; Stevanovski, I.; Beukers, A.G.; Naing, Z.; Yeang, M.; Verich, A.; Gamaarachchi, H.; et al. Analytical validity of nanopore sequencing for rapid SARS-CoV-2 genome analysis. Nat. Commun. 2020, 11, 6272. [Google Scholar] [CrossRef] [PubMed]
- Rang, F.J.; Kloosterman, W.P.; de Ridder, J. From squiggle to basepair: Computational approaches for improving nanopore sequencing read accuracy. Genome Biol. 2018, 19, 90. [Google Scholar] [CrossRef] [Green Version]
- Loy, A.; Arnold, R.; Tischler, P.; Rattei, T.; Wagner, M.; Horn, M. ProbeCheck—A central resource for evaluating oligonucleotide probe coverage and specificity. Environ. Microbiol. 2008, 10, 2894–2898. [Google Scholar] [CrossRef] [Green Version]
- Lawson, T.S.; Connally, R.E.; Vemulpad, S.; Piper, J.A. In silico evaluation and testing of fluorescence in situ hybridization 16S rRNA probes for Staphylococcus aureus. Lab. Med. 2011, 42, 729–734. [Google Scholar] [CrossRef] [Green Version]
- Carballal, M.J.; López, C.; Azevedo, C.; Villalba, A. In vitro study of phagocytic ability of Mytilus galloprovincialis Lmk. haemocytes. Fish Shellfish Immunol. 1997, 7, 403–416. [Google Scholar] [CrossRef]
- Pipe, R.K. Generation of reactive oxygen metabolites by the haemocytes of the mussel Mytilus edulis. Dev. Comp. Immunol. 1992, 16, 111–122. [Google Scholar] [CrossRef]
- Ma, Z.; Russo, V.C.; Rabadi, S.M.; Jen, Y.; Catlett, S.V.; Bakshi, C.S.; Malik, M. Elucidation of a mechanism of oxidative stress regulation in Francisella tularensis live vaccine strain. Mol. Microbiol. 2016, 101, 856–878. [Google Scholar] [CrossRef] [PubMed] [Green Version]
- Chiang, S.M.; Schellhorn, H.E. Regulators of oxidative stress response genes in Escherichia coli and their functional conservation in bacteria. Arch. Biochem. Biophys. 2012, 525, 161–169. [Google Scholar] [CrossRef] [PubMed]
- Travers, M.-A.; Pepin, J.-F.; Soletchnik, P.; Guesdon, S.; Le Moine, O. Mortalités de Moules Bleues Dans Les Pertuis Charentais: Description et Facteurs Liés—MORBLEU; Ifremer: Brest, France, 2016; p. 126. [Google Scholar]
- Pepin, J.-F.; Benabdelmouna, A.; Degremont, L.; Guesdon, S.; Le Moine, O.; Morga, B.; Bierne, N.; Travers, M.-A.; Robert, S.; Soletchnik, P. Mortalités de Moules Bleues Dans Les Secteurs Mytilicoles Charentais et Vendéens: Description et Facteurs Liés—MORBLEU; Ifremer: Brest, France, 2017; p. 93. [Google Scholar]
- Pepin, J.-F.; Benabdelmouna, A.; Bierne, N.; Costes, L.; Degremont, L.; Garcia, C.; Guesdon, S.; Lamy, J.-B.; Le Moine, O.; Morga, B.; et al. Mortalités de Moules Bleues Dans Les Secteurs Mytilicoles: Description et Étude des Facteurs Liés, Action—MORBLEU-2017; Ifremer: Brest, France, 2018; p. 54. [Google Scholar]
- Colquhoun, D.J.; Duodu, S. Francisella infections in farmed and wild aquatic organisms. Vet. Res. 2011, 42, 47. [Google Scholar] [CrossRef] [Green Version]
- Howard, D.W.; Lewis, E.J.; Keller, B.J.; Smith, C.S. Histological Techniques for Marine Bivalve Mollusks and Crustaceans; NOAA Technical Memorandum NOS NCCOS 5: Oxford, MD, USA, 2004; 218p. [Google Scholar]
- Winnepenninckx, B.; Backeljau, T.; De Wachter, R. Extraction of high molecular weight DNA from molluscs. Trends Genet. 1993, 9, 407. [Google Scholar]
- Weisburg, W.G.; Barns, S.M.; Pelletier, D.A.; Lane, D.J. 16S Ribosomal DNA Amplification for Phylogenetic Study. J. Bacteriol. 1991, 173, 697–703. [Google Scholar] [CrossRef] [PubMed] [Green Version]
- Roche Life Science. DIG Application Manual for Nonradioactive In Situ Hybridizationtitle, 4th ed.; Roche Diagnostics: Mannhelm, Germany, 2008; p. 227. [Google Scholar]
- Altschul, S.F.; Gish, W.; Miller, W.; Myers, E.W.; Lipman, D.J. Basic Local Alignment Search Tool. J. Mol. Biol. 1990, 215, 403–410. [Google Scholar] [CrossRef]
- Ronquist, F.; Teslenko, M.; Van Der Mark, P.; Ayres, D.L.; Darling, A.; Höhna, S.; Larget, B.; Liu, L.; Suchard, M.A.; Huelsenbeck, J.P. Mrbayes 3.2: Efficient bayesian phylogenetic inference and model choice across a large model space. Syst. Biol. 2012, 61, 539–542. [Google Scholar] [CrossRef] [Green Version]
- Letunic, I.; Bork, P. Interactive Tree of Life (iTOL) v4: Recent updates and new developments. Nucleic Acids Res. 2019, 47, 256–259. [Google Scholar] [CrossRef] [Green Version]



| Date_ID | Sampling Site | No | Granulocytomas (%) |
|---|---|---|---|
| 08/06/2013_RA13082 | Cremyll Ferry | 162 | 6.7 |
| 21/07/2013_RA13085 | Cremyll Ferry | 153 | 7.1 |
| 19/06/2016_RA16043 | Jupiter Point | 120 | 17.5 |
| 13/08/2018_RA18075 | Jupiter Point | 57 | 15.7 |
| 21/02/2019_RA19012 | Jupiter Point | 56 | 17.8 |
| Bacterium Strain | F. halioticida in Mussels | Host | GenBank Acc. | Reference |
|---|---|---|---|---|
| F. halioticida DSM 23729 | 99.93% | Giant abalone | CP022132.1 | Unpublished |
| F. halioticida Miyagi-1 | 99.93% | Disk abalone | JF290369.1 | [6] |
| F. halioticida UTH170823 | 99.93% | Yesso scallop | AP023084.1 | [11] |
| F. halioticida Shimane-1 | 99.86% | Giant abalone | NR_112804.1 AB449247.1 | [5] |
| Francisella sp. FSC1006 | 98.90% | Marine Ciliate Euplotes raikovi | CP009574.1 | [12] |
| F. marina E-103-15 | 98.83% | Spotted rose snapper Lutjanus guttatus | MH057676.1 | [13] |
| F. philomiragia GA01-2794 | 97.81% | Human Homo sapiens | CP009440.1 | [14] |
Publisher’s Note: MDPI stays neutral with regard to jurisdictional claims in published maps and institutional affiliations. |
© 2022 by the authors. Licensee MDPI, Basel, Switzerland. This article is an open access article distributed under the terms and conditions of the Creative Commons Attribution (CC BY) license (https://creativecommons.org/licenses/by/4.0/).
Share and Cite
Cano, I.; Parker, A.; Ward, G.M.; Green, M.; Ross, S.; Bignell, J.; Daumich, C.; Kerr, R.; Feist, S.W.; Batista, F.M. First Detection of Francisella halioticida Infecting a Wild Population of Blue Mussels Mytilus edulis in the United Kingdom. Pathogens 2022, 11, 329. https://doi.org/10.3390/pathogens11030329
Cano I, Parker A, Ward GM, Green M, Ross S, Bignell J, Daumich C, Kerr R, Feist SW, Batista FM. First Detection of Francisella halioticida Infecting a Wild Population of Blue Mussels Mytilus edulis in the United Kingdom. Pathogens. 2022; 11(3):329. https://doi.org/10.3390/pathogens11030329
Chicago/Turabian StyleCano, Irene, Abigail Parker, Georgia M. Ward, Matthew Green, Stuart Ross, John Bignell, Caroline Daumich, Rose Kerr, Stephen W. Feist, and Frederico M. Batista. 2022. "First Detection of Francisella halioticida Infecting a Wild Population of Blue Mussels Mytilus edulis in the United Kingdom" Pathogens 11, no. 3: 329. https://doi.org/10.3390/pathogens11030329
APA StyleCano, I., Parker, A., Ward, G. M., Green, M., Ross, S., Bignell, J., Daumich, C., Kerr, R., Feist, S. W., & Batista, F. M. (2022). First Detection of Francisella halioticida Infecting a Wild Population of Blue Mussels Mytilus edulis in the United Kingdom. Pathogens, 11(3), 329. https://doi.org/10.3390/pathogens11030329

