Laboratory Evaluation of a Basic Recombinase Polymerase Amplification (RPA) Assay for Early Detection of Schistosoma japonicum
Abstract
1. Introduction
2. Results
2.1. Detection of S. japonicum-Infected Snails by Microscopy, PCR and RPA
2.2. Detection of S. japonicum-Infected Mice by PCR and RPA
2.2.1. Confirmation of Worm Burden in Infected Mice Models
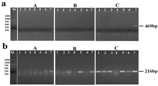
2.2.2. Examination of Fecal DNA
2.2.3. Examination of Serum DNA
3. Discussion
4. Materials and Methods
4.1. Establishment and Microscopic Screening of S. japonicum-Infected O. hupensis
4.2. Establishment of S. japonicum-Infected Mouse Models and Subsequent Fecal and Serum Sampling
4.3. DNA Extraction from Snail, Feces and Sera Samples
4.4. Detection and Amplific Ation of S. japonicum DNA by PCR and RPA
4.5. Ethical Statement
4.6. Data Management and Statistics
5. Conclusions
Author Contributions
Funding
Institutional Review Board Statement
Informed Consent Statement
Data Availability Statement
Conflicts of Interest
References
- McManus, D.P.; Dunne, D.W.; Sacko, M.; Utzinger, J.; Vennervald, B.J.; Zhou, X.N. Schistosomiasis. Nat. Rev. Dis. Primers 2018, 4, 13. [Google Scholar] [CrossRef] [PubMed]
- World Health Organization. Schistosomiasis (Bilharzia). Available online: https://www.who.int/health-topics/schistosomiasis#tab=tab_1 (accessed on 15 December 2021).
- Gordon, C.A.; Kurscheid, J.; Williams, G.M.; Clements, A.C.A.; Li, Y.; Zhou, X.N.; Utzinger, J.; McManus, D.P.; Gray, D.J. Asian Schistosomiasis: Current Status and Prospects for Control Leading to Elimination. Trop. Med. Infect. Dis. 2019, 4, 40. [Google Scholar] [CrossRef]
- Cao, C.L.; Zhang, L.J.; Deng, W.P.; Li, Y.L.; Lv, C.; Dai, S.M.; Feng, T.; Qin, Z.Q.; Duan, L.P.; Zhang, H.B.; et al. Contributions and achievements on schistosomiasis control and elimination in China by NIPD-CTDR. Adv. Parasitol. 2020, 110, 1–62. [Google Scholar] [PubMed]
- Zhang, L.J.; Xu, Z.M.; Yang, F.; Dang, H.; Li, Y.L.; Lv, S.; Cao, C.L.; Xu, J.; Li, S.Z.; Zhou, X.N. Endemic status of schistosomiasis in People’s Republic of China in 2020. Chin. J. Schistosomiasis Control 2021, 33, 225–233. [Google Scholar]
- Xu, J.; Hu, W.; Yang, K.; Lü, S.; Li, S.Z.; Zhou, X.N. Key points and research priorities of schistosomiasis control in China during the 14th Five-Year Plan Period. Chin. J. Schistosomiasis Control 2021, 33, 1–6. [Google Scholar]
- Weerakoon, K.G.; Gobert, G.N.; Cai, P.; McManus, D.P. Advances in the Diagnosis of Human Schistosomiasis. Clin. Microbiol. Rev. 2015, 28, 939–967. [Google Scholar] [CrossRef]
- Colley, D.G.; Bustinduy, A.L.; Secor, W.E.; King, C.H. Human schistosomiasis. Lancet 2014, 383, 2253–2264. [Google Scholar] [CrossRef]
- Jie, Z.; Wei, G.; Fu-Rong, W.; Yao, R.; Sheng-Ming, L.; Jing, X.; Tie-Wu, J.; Xiao-Nong, Z. Study on value of IHA in diagnosis of schistosomiasis japonica. Chin. J. Schistosomiasis Control 2016, 28, 375–380. [Google Scholar]
- Xu, J.; Peeling, R.W.; Chen, J.X.; Wu, X.H.; Wu, Z.D.; Wang, S.P.; Feng, T.; Chen, S.H.; Li, H.; Guo, J.G.; et al. Evaluation of immunoassays for the diagnosis of Schistosoma japonicum infection using archived sera. PLoS Negl. Trop. Dis. 2011, 5, e949. [Google Scholar] [CrossRef]
- Wang, X.Y.; Yang, K. Serological diagnosis methods of schistosomiasis japonica at different prevalence: A meta-analysis. Chin. J. Schistosomiasis Control 2016, 28, 18–25. [Google Scholar]
- Xu, J.; Feng, T.; Lin, D.D.; Wang, Q.Z.; Tang, L.; Wu, X.H.; Guo, J.G.; Peeling, R.W.; Zhou, X.N. Performance of a dipstick dye immunoassay for rapid screening of Schistosoma japonicum infection in areas of low endemicity. Parasites Vectors 2011, 4, 87. [Google Scholar] [CrossRef] [PubMed]
- Zhang, J.F.; Xu, J.; Bergquist, R.; Yu, L.L.; Yan, X.L.; Zhu, H.Q.; Wen, L.Y. Development and Application of Diagnostics in the National Schistosomiasis Control Programme in The People’s Republic of China. Adv. Parasitol. 2016, 92, 409–434. [Google Scholar] [PubMed]
- Xu, X.; Cui, X.; Zhu, L.; Li, Z.; Zhang, Y.; Ma, L.; Pan, W. Effects of Polymorphisms in the SjSP-13 Gene of Schistosoma japonicum on Its Diagnostic Efficacy and Immunogenicity. Front. Microbiol. 2018, 9, 1695. [Google Scholar] [CrossRef] [PubMed]
- Cai, P.; Weerakoon, K.G.; Mu, Y.; Olveda, D.U.; Piao, X.; Liu, S.; Olveda, R.M.; Chen, Q.; Ross, A.G.; McManus, D.P. A Parallel Comparison of Antigen Candidates for Development of an Optimized Serological Diagnosis of Schistosomiasis Japonica in the Philippines. PLoS Negl. Trop. Dis. 2017, 24, 237–246. [Google Scholar] [CrossRef]
- Bergquist, R.; Zhou, X.N.; Rollinson, D.; Reinhard-Rupp, J.; Klohe, K. Elimination of schistosomiasis: The tools required. Infect. Dis. Poverty 2017, 6, 158. [Google Scholar] [CrossRef]
- Zhu, H.Q.; Xu, J.; Zhu, R.; Cao, C.L.; Bao, Z.P.; Yu, Q.; Zhang, L.J.; Xu, X.L.; Feng, Z.; Guo, J.G. Comparison of the miracidium hatching test and modified Kato-Katz method for detecting Schistosoma japonicum in low prevalence areas of China. Southeast Asian J. Trop. Med. Public Health 2014, 45, 20–25. [Google Scholar]
- Xu, X.; Zhang, Y.; Lin, D.; Zhang, J.; Xu, J.; Liu, Y.-m.; Hu, F.; Qing, X.; Xia, C.; Pan, W. Serodiagnosis of Schistosoma japonicum infection: Genome-wide identification of a protein marker, and assessment of its diagnostic validity in a field study in China. Lancet Infect. Dis. 2014, 14, 489–497. [Google Scholar] [CrossRef]
- Chen, J.H.; Wen, L.Y.; Zhang, X.Z.; Zhang, J.F.; Yu, L.L.; Honh, L.D. Development of a PCR Assay for Detecting Schistosomajaponicum-Infected Oncomelania hupensis. Chin. J. Parasitol. Parasit. Dis. 2006, 24, 204–207. [Google Scholar]
- Xu, J.; Duan, Z.L.; Guan, Z.X.; Wang, Y.Y.; Lin, C.; Zhang, T.T.; Zhang, H.Q.; Qian, X.; Xia, C.M. Early detection of circulating DNA of Schistosoma japonicum in sentinel mice models. Exp. Parasitol. 2017, 176, 82–88. [Google Scholar] [CrossRef]
- Siqueira, L.M.V.; Senra, C.; de Oliveira, A.A.; Carneiro, N.F.F.; Gomes, L.I.; Rabello, A.; Coelho, P.M.Z.; Oliveira, E. A Real-Time PCR Assay for the Diagnosis of Intestinal Schistosomiasis and Cure Assessment After the Treatment of Individuals with Low Parasite Burden. Front. Immunol. 2020, 11, 620417. [Google Scholar] [CrossRef]
- Guo, Q.; Chen, C.; Zhou, K.; Li, Y.; Tong, L.; Yue, Y.; Zhou, K.; Liu, J.; Fu, Z.; Lin, J.; et al. Evaluation of a real-time PCR assay for diagnosis of schistosomiasis japonica in the domestic goat. Parasites Vectors 2020, 13, 535. [Google Scholar] [CrossRef] [PubMed]
- He, P.; Gordon, C.A.; Williams, G.M.; Li, Y.; Wang, Y.; Hu, J.; Gray, D.J.; Ross, A.G.; Harn, D.; McManus, D.P. Real-time PCR diagnosis of Schistosoma japonicum in low transmission areas of China. Infect. Dis. Poverty 2018, 7, 25–35. [Google Scholar] [CrossRef] [PubMed]
- Cai, P.; Weerakoon, K.G.; Mu, Y.; Olveda, R.M.; Ross, A.G.; Olveda, D.U.; McManus, D.P. Comparison of Kato Katz, antibody-based ELISA and droplet digital PCR diagnosis of schistosomiasis japonica: Lessons learnt from a setting of low infection intensity. PLoS Negl. Trop. Dis. 2019, 13, e0007228. [Google Scholar] [CrossRef]
- Weerakoon, K.G.; Gordon, C.A.; McManus, D.P. DNA Diagnostics for Schistosomiasis Control. Trop. Med. Infect. Dis. 2018, 3, 81. [Google Scholar] [CrossRef] [PubMed]
- Weerakoon, K.G.; McManus, D.P. Cell-Free DNA as a Diagnostic Tool for Human Parasitic Infections. Trends Parasitol. 2016, 32, 378–391. [Google Scholar] [CrossRef]
- Kato-Hayashi, N.; Leonardo, L.R.; Arevalo, N.L.; Tagum, M.N.; Apin, J.; Agsolid, L.M.; Chua, J.C.; Villacorte, E.A.; Kirinoki, M.; Kikuchi, M.; et al. Detection of active schistosome infection by cell-free circulating DNA of Schistosoma japonicum in highly endemic areas in Sorsogon Province, the Philippines. Acta Trop. 2015, 141, 178–183. [Google Scholar] [CrossRef]
- He, P.; Song, L.G.; Xie, H.; Liang, J.Y.; Yuan, D.Y.; Wu, Z.D.; Lv, Z.Y. Nucleic acid detection in the diagnosis and prevention of schistosomiasis. Infect. Dis. Poverty 2016, 5, 25. [Google Scholar] [CrossRef]
- Zhao, Y.X.; Chen, F.; Li, Q.; Wang, L.H.; Fan, C.H. Isothermal Amplification of Nucleic Acids. Chem. Rev. 2015, 115, 12491–12545. [Google Scholar] [CrossRef]
- Xu, J.; Guan, Z.X.; Zhao, B.; Wang, Y.Y.; Cao, Y.; Zhang, H.Q.; Zhu, X.Q.; He, Y.K.; Xia, C.M. DNA detection of Schistosoma japonicum: Diagnostic validity of a LAMP assay for low-intensity infection and effects of chemotherapy in humans. PLoS Negl. Trop. Dis. 2015, 9, e0003668. [Google Scholar] [CrossRef]
- Tong, Q.B.; Chen, R.; Zhang, Y.; Yang, G.J.; Kumagai, T.; Furushima-Shimogawara, R.; Lou, D.; Yang, K.; Wen, L.Y.; Lu, S.H.; et al. A new surveillance and response tool: Risk map of infected Oncomelania hupensis detected by Loop-mediated isothermal amplification (LAMP) from pooled samples. Acta Trop. 2015, 141, 170–177. [Google Scholar] [CrossRef]
- Qin, Z.Q.; Xu, J.; Feng, T.; Lv, S.; Qian, Y.J.; Zhang, L.J.; Li, Y.L.; Lv, C.; Bergquist, R.; Li, S.Z.; et al. Field Evaluation of a Loop-Mediated Isothermal Amplification (LAMP) Platform for the Detection of Schistosoma japonicum Infection in Oncomelania hupensis Snails. Trop. Med. Infect. Dis. 2018, 3, 124. [Google Scholar] [CrossRef] [PubMed]
- Rostron, P.; Pennance, T.; Bakar, F.; Rollinson, D.; Knopp, S.; Allan, F.; Kabole, F.; Ali, S.M.; Ame, S.M.; Webster, B.L. Development of a recombinase polymerase amplification (RPA) fluorescence assay for the detection of Schistosoma haematobium. Parasites Vectors 2019, 12, 514. [Google Scholar] [CrossRef] [PubMed]
- Xing, W.; Yu, X.; Feng, J.; Sun, K.; Fu, W.; Wang, Y.; Zou, M.; Xia, W.; Luo, Z.; He, H.; et al. Field evaluation of a recombinase polymerase amplification assay for the diagnosis of Schistosoma japonicum infection in Hunan province of China. BMC Infect. Dis. 2017, 17, 164. [Google Scholar] [CrossRef] [PubMed]
- Rosser, A.; Rollinson, D.; Forrest, M.; Webster, B.L. Isothermal Recombinase Polymerase amplification (RPA) of Schistosoma haematobium DNA and oligochromatographic lateral flow detection. Parasites Vectors 2015, 8, 446. [Google Scholar] [CrossRef]
- Sun, K.; Xing, W.; Yu, X.; Fu, W.; Wang, Y.; Zou, M.; Luo, Z.; Xu, D. Recombinase polymerase amplification combined with a lateral flow dipstick for rapid and visual detection of Schistosoma japonicum. Parasites Vectors 2016, 9, 476. [Google Scholar] [CrossRef][Green Version]
- Archer, J.; Barksby, R.; Pennance, T.; Rostron, P.; Bakar, F.; Knopp, S.; Allan, F.; Kabole, F.; Ali, S.M.; Ame, S.M.; et al. Analytical and Clinical Assessment of a Portable, Isothermal Recombinase Polymerase Amplification (RPA) Assay for the Molecular Diagnosis of Urogenital Schistosomiasis. Molecules 2020, 25, 4175. [Google Scholar] [CrossRef]
- Xiong, C.R.; Yin, X.R.; Song, L.J.; Shen, S.; Wang, J.; Gao, G.; Liu, Q.; Yu, C.X.; Yang, K. Comparison of the effectiveness of loop-mediated isothermal DNA amplification (LAMP) and mocroscopic dissection at detecting snails infected with schistosoma japonicum. J. Pathog. Biol. 2014, 9, 1084–1087. [Google Scholar]
- James, A.; Macdonald, J. Recombinase polymerase amplification: Emergence as a critical molecular technology for rapid, low-resource diagnostics. Expert Rev. Mol. Diagn. 2015, 15, 1475–1489. [Google Scholar] [CrossRef]
- Bergeron, M.G.; Boissinot, M.; Stewart, G.; Daher, R.K. Recombinase Polymerase Amplification for Diagnostic Applications. Clin. Chem. 2016, 62, 947–958. [Google Scholar]
- Guo, Q.H.; Zhou, K.; Chen, C.; Yue, Y.C.; Shang, Z.; Zhou, K.K.; Fu, Z.Q.; Liu, J.M.; Lin, J.J.; Xia, C.Y.; et al. Development of a Recombinase Polymerase Amplification Assay for Schistosomiasis Japonica Diagnosis in the Experimental Mice and Domestic Goats. Front. Cell. Infect Microbiol. 2021, 11, 791997. [Google Scholar] [CrossRef]
- Wang, S.L.; Deng, W.P.; Li, Y.L.; Wang, L.P.; Zhang, L.J.; Shan, L.V.; Xu, J. Establishment of recombinase polymerase amplification technique for rapid detection of Schistosoma japonicum nucleic acid. Chin. J. Parasitol. Parasit. Dis. 2020, 38, 293–298. [Google Scholar]
- Xu, J.; Liu, A.P.; Guo, J.J.; Wang, B.; Qiu, S.J.; Sun, H.; Guan, W.; Zhu, X.Q.; Xia, C.M.; Wu, Z.D. The sources and metabolic dynamics of Schistosoma japonicum DNA in serum of the host. Parasitol. Res. 2013, 112, 129–133. [Google Scholar] [CrossRef] [PubMed]



| Time Point * | Number of Snails Tested | Number of Positive Snails (Positive rate) | ||
|---|---|---|---|---|
| Microscopy | PCR | RPA | ||
| D1 | 10 | 0 (0%) | 6 (60%) | 8 (80%) |
| D3 | 10 | 0 (0%) | 7 (70%) | 6 (60%) |
| D5 | 10 | 0 (0%) | 6 (60%) | 5 (50%) |
| W1 | 10 | 0 (0%) | 5 (50%) | 6 (60%) |
| W2 | 10 | 0 (0%) | 2 (20%) | 4 (40%) |
| W3 | 10 | 0 (0%) | 0 (0%) | 6 (60%) |
| W4 | 10 | 0 (0%) | 3 (30%) | 6 (60%) |
| W5 | 10 | 0 (0%) | 0 (0%) | 5 (50%) |
| W6 | 10 | 0 (0%) | 2 (20%) | 2 (20%) |
| W7 | 10 | 1(10%) | 0 (0%) | 2 (20%) |
| W8 | 10 | 3 (30%) | 1(10%) | 7 (70%) |
| W9 | 10 | 2 (20%) | 3 (30%) | 5 (50%) |
| W10 | 10 | 4 (40%) | 5 (50%) | 5 (50%) |
| W11 | 10 | 3 (30%) | 5 (50%) | 5 (50%) |
| Total | 140 | 13 (9.29%) | 45 (32.14%) | 72 (51.43%) |
| Assay | Number of True Positive | Number of True Negative | Sensitivity% (95% CI *) | Specificity% (95% CI *) |
|---|---|---|---|---|
| PCR | 9 | 91 | 69.23 (38.88–89.64) | 71.65 (62.86–79.11) |
| RPA | 13 | 68 | 100 (71.66–100) | 53.54 (44.51–62.36) |
| Infection Stage | Positive Rate (%, n/N) | χ2 | p | ||
|---|---|---|---|---|---|
| Microscopy | PCR | RPA | |||
| Within 6 weeks | 0 (0/90) | 34.44 (31/90) | 53.33 (48/90) | 6.52 * | 0.011 |
| After 6 weeks | 26.00 (13/50) | 28.00 (14/50) | 48.00 (24/50) | 6.60 | 0.037 |
| Total | 9.29 (13/140) | 32.14 (45/140) | 51.43 (72/140) | 58.31 | <0.001 |
Publisher’s Note: MDPI stays neutral with regard to jurisdictional claims in published maps and institutional affiliations. |
© 2022 by the authors. Licensee MDPI, Basel, Switzerland. This article is an open access article distributed under the terms and conditions of the Creative Commons Attribution (CC BY) license (https://creativecommons.org/licenses/by/4.0/).
Share and Cite
Deng, W.; Wang, S.; Wang, L.; Lv, C.; Li, Y.; Feng, T.; Qin, Z.; Xu, J. Laboratory Evaluation of a Basic Recombinase Polymerase Amplification (RPA) Assay for Early Detection of Schistosoma japonicum. Pathogens 2022, 11, 319. https://doi.org/10.3390/pathogens11030319
Deng W, Wang S, Wang L, Lv C, Li Y, Feng T, Qin Z, Xu J. Laboratory Evaluation of a Basic Recombinase Polymerase Amplification (RPA) Assay for Early Detection of Schistosoma japonicum. Pathogens. 2022; 11(3):319. https://doi.org/10.3390/pathogens11030319
Chicago/Turabian StyleDeng, Wangping, Shenglin Wang, Liping Wang, Chao Lv, Yinlong Li, Ting Feng, Zhiqiang Qin, and Jing Xu. 2022. "Laboratory Evaluation of a Basic Recombinase Polymerase Amplification (RPA) Assay for Early Detection of Schistosoma japonicum" Pathogens 11, no. 3: 319. https://doi.org/10.3390/pathogens11030319
APA StyleDeng, W., Wang, S., Wang, L., Lv, C., Li, Y., Feng, T., Qin, Z., & Xu, J. (2022). Laboratory Evaluation of a Basic Recombinase Polymerase Amplification (RPA) Assay for Early Detection of Schistosoma japonicum. Pathogens, 11(3), 319. https://doi.org/10.3390/pathogens11030319

