Biliary Sepsis Due to Recurrent Acute Calculus Cholecystitis (ACC) in a High Surgical-Risk Elderly Patient: An Unexpected Complication
Abstract
1. Introduction
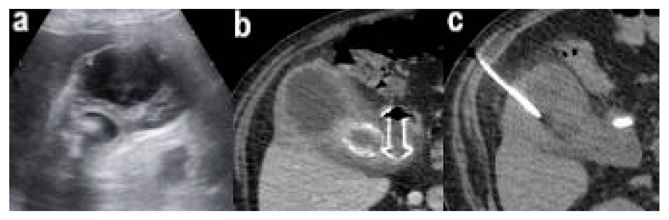
2. Case Report
3. Discussion
4. Conclusions
Author Contributions
Funding
Institutional Review Board Statement
Informed Consent Statement
Data Availability Statement
Conflicts of Interest
References
- Wadhwa, V.; Jobanputra, Y.; Garg, S.K.; Patwardhan, S.; Mehta, D.; Sanaka, M.R. Nationwide trends of hospital admissions for acute cholecystitis in the United States. Gastroenterol. Rep. 2017, 5, 36–42. [Google Scholar] [CrossRef] [PubMed]
- Edlund, G.; Ljungdahl, M. Acute cholecystitis in the elderly. Am. J. Surg. 1990, 159, 414–416. [Google Scholar] [CrossRef] [PubMed]
- Sugiyama, M.; Atomi, Y. Treatment of acute cholangitis due to choledocholithiasis in elderly and younger patients. Arch. Surg. 1997, 132, 1129–1133. [Google Scholar] [CrossRef]
- Podnos, Y.D.; Jimenez, J.C.; Wilson, S.E. Intra-abdominal sepsis in elderly persons. Clin. Infect. Dis. 2002, 35, 62–68. [Google Scholar] [CrossRef] [PubMed]
- Esposito, A.L.; Gleckman, R.A.; Cram, S.; Crowley, M.; McCabe, F.; Drapkin, M.S. Community-acquired bacteremia in the elderly: Analysis of one hundred consecutive episodes. J. Am. Geriatr. Soc. 1980, 28, 315–319. [Google Scholar] [CrossRef]
- Kuo, C.H.; Changchien, C.S.; Chen, J.J.; Tai, D.I.; Chiou, S.S.; Lee, C.M. Septic acute cholecystitis. Scand. J. Gastroenterol. 1995, 30, 272–275. [Google Scholar] [CrossRef]
- Ortega, M.; Marco, F.; Soriano, A.; Almela, M.; Martinez, J.A.; Lopez, J.; Pitart, C.; Mensa, J. Epidemiology and prognostic determinants of bacteraemic biliary tract infection. J. Antimicrob. Chemother. 2012, 67, 1508–1513. [Google Scholar] [CrossRef]
- Pisano, M.; Allievi, N.; Gurusamy, K.; Borzellino, G.; Cimbanassi, S.; Boerna, D.; Coccolini, F.; Tufo, A.; Di Martino, M.; Leung, J.; et al. 2020 World Society of Emergency Surgery updated guidelines for the diagnosis and treatment of acute calculus cholecystitis. World J. Emerg. Surg. 2020, 15, 61. [Google Scholar] [CrossRef]
- Ansaloni, L.; Pisano, M.; Coccolini, F.; Peitzmann, A.B.; Fingerhut, A.; Catena, F.; Agresta, F.; Allegri, A.; Bailey, I.; Balogh, Z.J.; et al. 2016 WSES guidelines on acute calculous cholecystitis. World J. Emerg. Surg. 2016, 11, 25. [Google Scholar] [CrossRef]
- Sartelli, M.; Catena, F.; Ansaloni, L.; Coccolini, F.; Corbella, D.; Moore, E.E.; Malangoni, M.; Velmahos, G.; Coimbra, R.; Koike, K.; et al. Complicated intra-abdominal infections worldwide: The definitive data of the CIAOW Study. World J. Emerg. Surg. 2014, 9, 37. [Google Scholar] [CrossRef]
- Ambe, P.C.; Kaptanis, S.; Papadakis, M.; Weber, S.A.; Jansen, S.; Zirngibl, H. The Treatment of Critically Ill Patients with Acute Cholecystitis. Dtsch. Ärzteblatt Int. 2016, 11, 545–551. [Google Scholar] [CrossRef] [PubMed]
- Loozen, C.S.; van Santvoort, H.C.; van Duijvendijk, P.; Besselink, M.G.; Gouma, D.J.; Nieuwenhuijzen, G.A.; Kelder, J.C.; Donkervoort, S.C.; van Geloven, A.A.; Kruyt, P.M.; et al. Laparoscopic cholecystectomy versus percutaneous catheter drainage for acute cholecystitis in high risk patients (CHOCOLATE): Multicentre randomised clinical trial. BMJ 2018, 363, k3965. [Google Scholar] [CrossRef] [PubMed]
- Mohan, B.P.; Khan, S.R.; Trakroo, S.; Ponnada, S.; Jayaraj, M.; Asokkumar, R.; Adler, D.G. Endoscopic ultrasound-guided gallbladder drainage, transpapillary drainage, or percutaneous drainage in high risk acute cholecystitis patients: A systematic review and comparative meta-analysis. Endoscopy 2020, 52, 96–106. [Google Scholar] [CrossRef] [PubMed]
- Walter, D.; Teoh, A.Y.; Itoi, T.; Pérez-Miranda, M.; Larghi, A.; Sanchez-Yague, A.; Siersema, P.D.; Vleggaar, F.P. EUS-guided gall bladder drainage with a lumen-apposing metal stent: A prospective long-term evaluation. Gut 2016, 65, 6–8. [Google Scholar] [CrossRef] [PubMed]
- Choi, J.H.; Lee, S.S.; Choi, J.H.; Park, D.H.; Seo, D.W.; Lee, S.K.; Kim, M.H. Long-term outcomes after endoscopic ultrasonography-guided gallbladder drainage for acute cholecystitis. Endoscopy 2014, 46, 656–661. [Google Scholar] [CrossRef] [PubMed]
- Saumoy, M.; Novikov, A.; Kahaleh, M. Long-term outcomes after EUS-guided gallbladder drainage. Endosc. Ultrasound 2018, 7, 97–101. [Google Scholar]
- Kamata, K.; Takenaka, M.; Kitano, M.; Omoto, S.; Miyata, T.; Minaga, K.; Yamao, K.; Imai, H.; Sakurai, T.; Watanabe, T.; et al. Endoscopic ultrasound-guided gallbladder drainage for acute cholecystitis: Long-term outcomes after removal of a self-expandable metal stent. World J. Gastroenterol. 2017, 23, 661–667. [Google Scholar] [CrossRef]
- de la Serna-Higuera, C.; Pérez-Miranda, M.; Gil-Simón, P.; Ruiz-Zorrilla, R.; Diez-Redondo, P.; Alcaide, N.; Sancho-del Val, L.; Nuñez-Rodriguez, H. EUS-guided transenteric gallbladder drainage with a new fistula-forming, lumen-apposing metal stent. Gastrointest. Endosc. 2013, 77, 303–308. [Google Scholar] [CrossRef]
- Irani, S.; Baron, T.H.; Grimm, I.S.; Khashab, M.A. EUS-guided gallbladder drainage with a lumen-apposing metal stent (with video). Gastrointest. Endosc. 2015, 82, 1110–1115. [Google Scholar] [CrossRef]
- Law, R.; Grimm, I.S.; Stavas, J.M.; Baron, T.H. Conversion of percutaneous cholecystostomy to internal transmural gallbladder drainage using an endoscopic ultrasound-guided, lumen-apposing metal stent. Clin. Gastroenterol. Hepatol. 2016, 14, 476–480. [Google Scholar] [CrossRef]
- Irani, S.; Ngamruengphong, S.; Teoh, A.; Will, U.; Nieto, J.; Dayyeh, B.K.; Gan, S.I.; Larsen, M.; Yip, H.C.; Topazian, M.D.; et al. Similar efficacies of endoscopic ultrasound gallbladder drainage with a lumen-apposing metal stent versus percutaneous transhepatic gallbladder drainage for acute cholecystitis. Clin. Gastroenterol. Hepatol. 2017, 15, 738–745. [Google Scholar] [CrossRef] [PubMed]
- Chan, S.M.; Teoh, A.Y.; Yip, H.C.; Wong, V.W.; Chiu, P.W.; Ng, E.K. Feasibility of per-oral cholecystoscopy and advanced gallbladder interventions after EUS-guided gallbladder stenting (with video). Gastrointest. Endosc. 2017, 85, 1225–1232. [Google Scholar] [CrossRef] [PubMed]
- Wang, W.; Shi, X.; Jin, Z.; Li, Z. Endoscopic laser lithotripsy and lithotomy through the lumen-apposing metal stent for a giant gallstone after EUS gallbladder drainage. VideoGIE 2017, 2, 112–115. [Google Scholar] [CrossRef] [PubMed]
- Jain, D.; Bhandari, B.S.; Agrawal, N.; Singhal, S. Endoscopic Ultrasound-Guided Gallbladder Drainage Using a Lumen-Apposing Metal Stent for Acute Cholecystitis: A Systematic Review. Clin. Endosc. 2018, 51, 450–462. [Google Scholar] [CrossRef] [PubMed]
- Serban, D.; Socea, B.; Balasescu, S.A.; Badiu, C.D.; Tudor, C.; Dascalu, A.M.; Vancea, G.; Spataru, R.I.; Sabau, A.D.; Sabau, D.; et al. Safety of Laparoscopic Cholecystectomy for Acute Cholecystitis in the Elderly: A Multivariate Analysis of Risk Factors for Intra and Postoperative Complications. Medicina 2021, 57, 230. [Google Scholar] [CrossRef]





Publisher’s Note: MDPI stays neutral with regard to jurisdictional claims in published maps and institutional affiliations. |
© 2022 by the authors. Licensee MDPI, Basel, Switzerland. This article is an open access article distributed under the terms and conditions of the Creative Commons Attribution (CC BY) license (https://creativecommons.org/licenses/by/4.0/).
Share and Cite
Sermonesi, G.; Rampini, A.; Convertini, G.; Bova, R.; Zanini, N.; Bertelli, R.; Vallicelli, C.; Favi, F.; Stacchini, G.; Faccani, E.; et al. Biliary Sepsis Due to Recurrent Acute Calculus Cholecystitis (ACC) in a High Surgical-Risk Elderly Patient: An Unexpected Complication. Pathogens 2022, 11, 1423. https://doi.org/10.3390/pathogens11121423
Sermonesi G, Rampini A, Convertini G, Bova R, Zanini N, Bertelli R, Vallicelli C, Favi F, Stacchini G, Faccani E, et al. Biliary Sepsis Due to Recurrent Acute Calculus Cholecystitis (ACC) in a High Surgical-Risk Elderly Patient: An Unexpected Complication. Pathogens. 2022; 11(12):1423. https://doi.org/10.3390/pathogens11121423
Chicago/Turabian StyleSermonesi, Giacomo, Alessia Rampini, Girolamo Convertini, Raffaele Bova, Nicola Zanini, Riccardo Bertelli, Carlo Vallicelli, Francesco Favi, Giacomo Stacchini, Enrico Faccani, and et al. 2022. "Biliary Sepsis Due to Recurrent Acute Calculus Cholecystitis (ACC) in a High Surgical-Risk Elderly Patient: An Unexpected Complication" Pathogens 11, no. 12: 1423. https://doi.org/10.3390/pathogens11121423
APA StyleSermonesi, G., Rampini, A., Convertini, G., Bova, R., Zanini, N., Bertelli, R., Vallicelli, C., Favi, F., Stacchini, G., Faccani, E., Fabbri, N., & Catena, F. (2022). Biliary Sepsis Due to Recurrent Acute Calculus Cholecystitis (ACC) in a High Surgical-Risk Elderly Patient: An Unexpected Complication. Pathogens, 11(12), 1423. https://doi.org/10.3390/pathogens11121423

