Atypical Mycobacteriosis Due to Mycobacterium abscessus subsp. massiliense: Our Experince
Abstract
1. Introduction
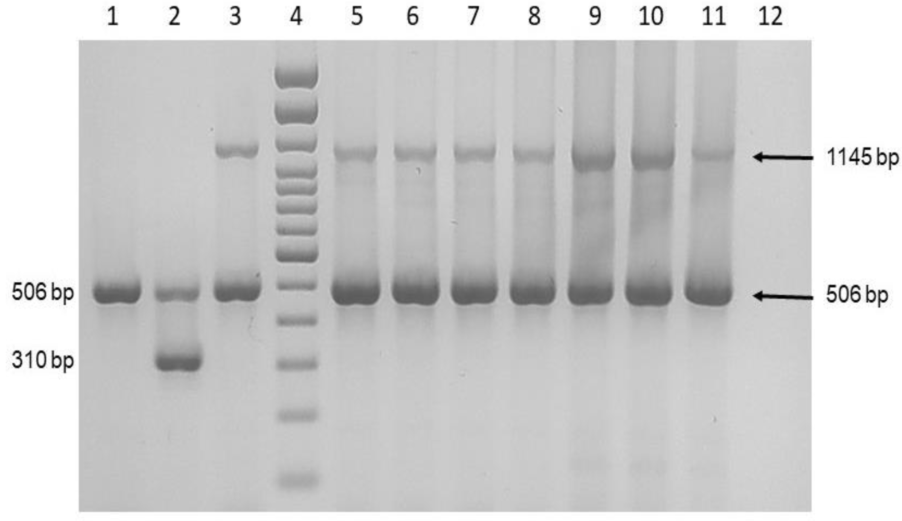
2. Material and Methods
3. Results
4. Discussion
5. Conclusions
Author Contributions
Funding
Institutional Review Board Statement
Informed Consent Statement
Data Availability Statement
Conflicts of Interest
References
- Thomson, R.; Tolson, C.; Sidjabat, H.; Huygens, F.; Hargreaves, M. Mycobacterium abscessus isolated from municipal water-a potential source of human infection. BMC Infect. Dis. 2013, 13, 241. [Google Scholar] [CrossRef] [PubMed]
- Jung, M.Y.; Lee, J.H.; Kim, C.R.; Kim, H.J.; Koh, W.J.; Ki, C.S.; Lee, J.H.; Yang, J.M.; Lee, D.Y. Cutaneous Mycobacterium massiliense infection of the sole of the feet. Ann. Dermatol. 2014, 26, 92–95. [Google Scholar] [CrossRef] [PubMed]
- Wu, T.S.; Yang, C.H.; Brown-Elliott, B.A.; Chao, A.S.; Leu, H.S.; Wu, T.L.; Lin, C.S.; Griffith, D.E.; Chiu, C.H. Postcesarean section wound infection caused by Mycobacterium massiliense. J. Microbiol. Immunol. Infect. 2016, 49, 955–961. [Google Scholar] [CrossRef][Green Version]
- Tsao, S.M.; Liu, K.S.; Liao, H.H.; Huang, T.L.; Shen, G.H.; Tsao, T.C.; Lee, Y.T. The clinical management of cesarean section-acquired Mycobacterium abscessus surgical site infections. J. Infect. Dev. Ctries. 2014, 8, 184–192. [Google Scholar] [CrossRef] [PubMed][Green Version]
- Johansen, M.D.; Herrmann, J.L.; Kremer, L. Non-tuberculous mycobacteria and the rise of Mycobacterium abscessus. Nat. Rev. Microbiol. 2020, 18, 392–407. [Google Scholar] [CrossRef] [PubMed]
- Victoria, L.; Gupta, A.; Gómez, J.L.; Robledo, J. Mycobacterium abscessus complex: A Review of Recent Developments in an Emerging Pathogen. Front. Cell Infect. Microbiol. 2021, 11, 659997. [Google Scholar] [CrossRef] [PubMed]
- Lopeman, R.C.; Harrison, J.; Desai, M.; Cox, J.A. Mycobacterium abscessus: Environmental Bacterium Turned Clinical Nightmare. Microorganisms 2019, 7, 90. [Google Scholar] [CrossRef] [PubMed]
- Lee, M.R.; Sheng, W.H.; Hung, C.C.; Yu, C.J.; Lee, L.N.; Hsueh, P.R. Mycobacterium abscessus Complex Infections in Humans. Emerg. Infect. Dis. 2015, 21, 1638–1646. [Google Scholar] [CrossRef]
- Koh, W.J. Nontuberculous Mycobacteria-Overview. Microbiol. Spectrum. 2017, 5, 5-1. [Google Scholar] [CrossRef]
- Hsu, J.Y.; Cheng, A.; Ku, C.C.; Chen, Y.C.; Wang, J.T.; Hsieh, T.W.; Sheng, W.H.; Chang, S.C.; Wu, U.I. Mycobacterium abscessus and Mycobacterium massiliense exhibit distinct host and organ specificity: A cross-sectional study. Int. J. Infect. Diseases 2022, 116, 21–26. [Google Scholar] [CrossRef]
- Sardiña, L.A.; Kaw, U.; Jour, G.; Knabel, D.; Dyck, R.M.; Procop, G.W.; Bergfeld, W.F.; Harrington, S.; Demkowicz, R.; Piliang, M.P. Diagnosis of Mycobacterium abscessus/chelonae complex cutaneous infection: Correlation of tissue culture and skin biopsy. J. Cutan. Pathol. 2020, 47, 321–327. [Google Scholar] [CrossRef]
- Chae, H.; Han, S.J.; Kim, S.Y.; Ki, C.S.; Huh, H.J.; Yong, D.; Koh, W.J.; Shin, S.J. Development of a one-step multiplex PCR assay for differential detection of major Mycobacterium species. J. Clin. Microbiol. 2017, 55, 2736–2751. [Google Scholar] [CrossRef] [PubMed]
- Duarte, R.S.; Lourenço, M.C.S.; Fonseca, L.D.S.; Leão, S.C.; Amorim, E.D.L.T.; Rocha, I.L. Epidemic of postsurgical infections caused by Mycobacterium massiliense. J. Clin. Microbiol. 2009, 47, 2149–2155. [Google Scholar] [CrossRef] [PubMed]
- Nakanaga, K.; Hoshino, Y.; Era, Y.; Matsumoto, K.; Kanazawa, Y.; Tomita, A.; Furuta, M.; Washizu, M.; Makino, M.; Ishii, N. Multiple cases of cutaneous Mycobacterium massiliense infection in a “hot spa” in Japan. J. Clin. Microbiol. 2011, 49, 613–617. [Google Scholar] [CrossRef]
- Ingen, J.v.; Zwaan, R.D.; Dekhuijzen, R.P.N.; Boeree, M.J.; Soolingen, D.v. Clinical relevance of Mycobacterium chelonae-abscessus group isolation in 95 patients. J. Infect. 2009, 59, 324–331. [Google Scholar] [CrossRef]
- Choi, G.E.; Shin, S.J.; Won, C.J.; Min, K.N.; Oh, T.; Hahn, M.Y.; Lee, K.; Lee, S.H.; Daley, C.L.; Kim, S.; et al. Macrolide treatment for Mycobacterium abscessus and Mycobacterium massiliense infection and inducible resistance. Am. J. Respir. Crit. Care Med. 2012, 186, 917–925. [Google Scholar] [CrossRef] [PubMed]
- Zhang, Z.; Lu, J.; Liu, M.; Wang, Y.; Zhao, Y.; Pang, Y. In vitro activity of clarithromycin in combination with other antimicrobial agents against Mycobacterium abscessus and Mycobacterium massiliense. Int. J. Antimicrob. Agents 2017, 49, 383–386. [Google Scholar] [CrossRef]
- Simmon, K.E.; Pounder, J.I.; Greene, J.N.; Walsh, F.; Anderson, C.M.; Cohen, S. Identification of an emerging pathogen, Mycobacterium massiliense, by rpoB sequencing of clinical isolates collected in the United States. J. Clin. Microbiol. 2007, 45, 1978–1980. [Google Scholar] [CrossRef]
- Meir, M.; Barkan, D. Alternative and Experimental Therapies of Mycobacterium abscessus Infections. Int. J. Mol. Sci. 2020, 21, 6793. [Google Scholar] [CrossRef]
- Nessar, R.; Cambau, E.; Reyrat, J.M.; Murray, A.; Gicquel, B. Mycobacterium abscessus: A new antibiotic nightmare. J. Antimicrob. Chemother. 2012, 67, 810–818. [Google Scholar] [CrossRef]
- Hashemi Shahraki, A.; Mirsaeidi, M. Phage Therapy for Mycobacterium abscessus and Strategies to Improve Outcomes. Microorganisms 2021, 9, 596. [Google Scholar] [CrossRef] [PubMed]
- Lee, M.R.; Tsai, H.Y.; Cheng, A.; Liu, C.Y.; Huang, Y.T.; Liao, C.H. Otitis media and otomastoiditis caused by Mycobacterium massiliense (Mycobacterium abscessus subsp. bolletii). J. Clin. Microbiol. 2012, 50, 3754–3756. [Google Scholar] [CrossRef] [PubMed]
- Rominski, A.; Roditscheff, A.; Selchow, P.; Böttger, E.C.; Sander, P. Intrinsic rifamycin resistance of Mycobacterium abscessus is mediated by ADP- ribosyltransferase MAB_0591. J. Antimicrob. Chemother. 2017, 72, 376–384. [Google Scholar] [CrossRef]
- Koh, W.J.; Jeon, K.; Shin, S.J. Successful treatment of Mycobacterium massiliense lung disease with oral antibiotics only. Antimicrob. Agents Chemother. 2013, 57, 1098–1100. [Google Scholar] [CrossRef] [PubMed]
- Cho, Y.J.; Yi, H.; Chun, J.; Cho, S.N.; Daley, C.L.; Koh, W.J.; Shin, S.J. The genome sequence of ‘Mycobacterium massiliense’ strain CIP 108297 suggests the independent taxonomic status of the Mycobacterium abscessus complex at the subspecies level. PLoS ONE 2013, 8, e81560. [Google Scholar] [CrossRef] [PubMed]





| Cases | 1 | 2 | 3 | 4 | 5 | 6 | 7 | 8 | 9 |
|---|---|---|---|---|---|---|---|---|---|
| Sex | Male | Female | Male | Male | Female | Male | Male | Female | Male |
| Age (years) | 29 | 25 | 18 | 24 | 55 | 23 | 28 | 56 | 60 |
| Clinical manifestations | Nodules | Ulcers | Nodules | Nodules and ulcers | Gums | Shrink scares and fistulas | Erythema and infiltration | Erythema and infiltration | Erythema and infiltration |
| Location of lesions | Face, forearm and left leg | Perianal | Right thigh | Lower limb right | Upper limb right | Trunk | Both upper and lower limbs | Abdomen | Lower limb right |
| Evolution (months) | 1 | 36 | 0.1 | 0.4 | 4 | 60 | 5 | 0.5 | 2 |
| Comorbidities/ Personal history | HIV | Trauma | Tattoo | - | - | Electromagnetic girdle | HIV | - | Anti-TNF-α biological drug treatment |
| Histophatology | CD8+ lymphoproliferative disorder | Suppurative and granulomatous dermatitis | Suppurative and granulomatous dermatitis | Suppurative and granulomatous dermatitis | Suppurative and granulomatous dermatitis | Fistulous tract | Suppurative and granulomatous dermatitis | Abscess | Suppurative and granulomatous dermatitis |
| PCR | M. abscessus subsp. massiliense | M. abscessus subsp. massiliense | M. abscessus subsp. massiliense | M. abscessus subsp. massiliense | M. abscessus subsp. massiliense | M. abscessus subsp. massiliense | M. abscessus subsp. massiliense | M. abscessus subsp. massiliense | M. abscessus subsp. massiliense |
| Treatment | - | - | Doxycycline 200 mg/orally, every day for 6 weeks; Minocycline 200 mg/orally, for 6 weeks; Ceftriaxone 2 g/IM/daily /14 days Rifampicin 300 mg orally/daily/ 12 weeks | - | Trimethoprim/sulfamethoxazole 60 mg/800 mg /12 h Minocycline 200 mg/orally, for 6 weeks | Cephalexin 500 mg and 300 mg clindamycin every 8 h, both orally and for 6 weeks | - | Clindamycin 300 mg, orally, every 8 h for 6 weeks | Moxifloxacin 400 mg, orally for 8 weeks |
Publisher’s Note: MDPI stays neutral with regard to jurisdictional claims in published maps and institutional affiliations. |
© 2022 by the authors. Licensee MDPI, Basel, Switzerland. This article is an open access article distributed under the terms and conditions of the Creative Commons Attribution (CC BY) license (https://creativecommons.org/licenses/by/4.0/).
Share and Cite
Rodríguez-Cerdeira, C.; Hernández-Castro, R.; Sánchez-Cárdenas, C.D.; Arenas, R.; Meza-Robles, A.; Toussaint-Caire, S.; Atoche-Diéguez, C.; Martínez-Herrera, E. Atypical Mycobacteriosis Due to Mycobacterium abscessus subsp. massiliense: Our Experince. Pathogens 2022, 11, 1399. https://doi.org/10.3390/pathogens11121399
Rodríguez-Cerdeira C, Hernández-Castro R, Sánchez-Cárdenas CD, Arenas R, Meza-Robles A, Toussaint-Caire S, Atoche-Diéguez C, Martínez-Herrera E. Atypical Mycobacteriosis Due to Mycobacterium abscessus subsp. massiliense: Our Experince. Pathogens. 2022; 11(12):1399. https://doi.org/10.3390/pathogens11121399
Chicago/Turabian StyleRodríguez-Cerdeira, Carmen, Rigoberto Hernández-Castro, Carlos Daniel Sánchez-Cárdenas, Roberto Arenas, Alejandro Meza-Robles, Sonia Toussaint-Caire, Carlos Atoche-Diéguez, and Erick Martínez-Herrera. 2022. "Atypical Mycobacteriosis Due to Mycobacterium abscessus subsp. massiliense: Our Experince" Pathogens 11, no. 12: 1399. https://doi.org/10.3390/pathogens11121399
APA StyleRodríguez-Cerdeira, C., Hernández-Castro, R., Sánchez-Cárdenas, C. D., Arenas, R., Meza-Robles, A., Toussaint-Caire, S., Atoche-Diéguez, C., & Martínez-Herrera, E. (2022). Atypical Mycobacteriosis Due to Mycobacterium abscessus subsp. massiliense: Our Experince. Pathogens, 11(12), 1399. https://doi.org/10.3390/pathogens11121399

