Intrauterine Transmission of Hepatitis C Virus Concomitant with Isolated Severe Fetal Ascites
Abstract
1. Introduction and Literature Review
1.1. Congenital Hepatitis C Virus
1.2. Fetal Ascites
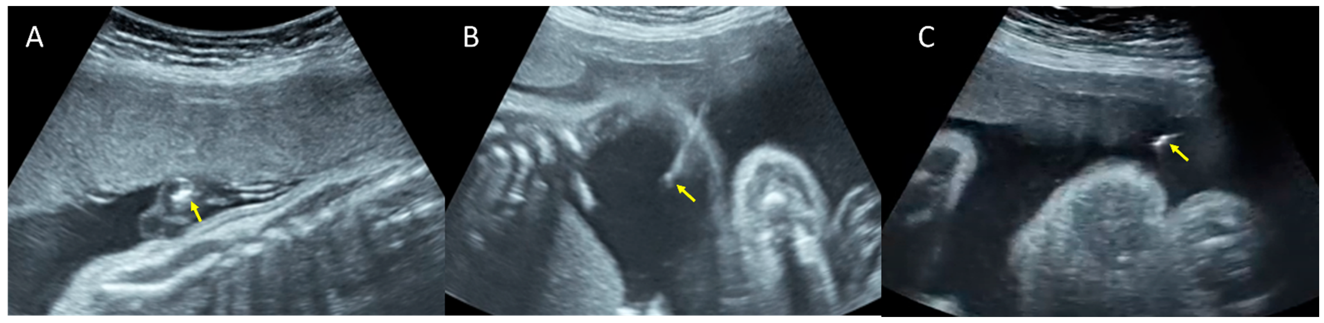
2. Case Report
3. Discussion
4. Conclusions
Author Contributions
Funding
Institutional Review Board Statement
Informed Consent Statement
Data Availability Statement
Conflicts of Interest
References
- Prasad, M.; Saade, G.R.; Sandoval, G.; Hughes, B.L.; Reddy, U.M.; Mele, L.; Salazar, A.; Varner, M.W.; Gyamfi-Bannerman, C.; Thorp, J.M., Jr.; et al. Hepatitis C Virus Antibody Screening in a Cohort of Pregnant Women: Identifying Seroprevalence and Risk Factors. Obstet. Gynecol. 2020, 135, 778–788. [Google Scholar] [CrossRef] [PubMed]
- HCV in Pregnancy. HCV Guidance. Available online: https://www.hcvguidelines.org/unique-populations/pregnancy (accessed on 8 June 2022).
- American College of Obstetricians and Gynecologists. ACOG Practice Bulletin No. 86: Viral hepatitis in pregnancy. Obstet. Gynecol. 2007, 110, 941–956. [Google Scholar] [CrossRef]
- Dotters-Katz, S.K.; Kuller, J.A.; Hughes, B.L. Society for Maternal-Fetal Medicine Consult Series #56: Hepatitis C in pregnancy—Updated guidelines: Replaces Consult Number 43, November 2017. Am. J. Obstet. Gynecol. 2021, 225, B8–B18. [Google Scholar] [CrossRef]
- Freeman, A.J.; Dore, G.J.; Law, M.G.; Thorpe, M.; Von Overbeck, J.; Lloyd, A.R.; Marinos, G.; Kaldor, J.M. Estimating progression to cirrhosis in chronic hepatitis C virus infection. Hepatology 2001, 34, 809–816. [Google Scholar] [CrossRef] [PubMed]
- Lingala, S.; Ghany, M.G. Natural History of Hepatitis C. Gastroenterol. Clin. 2015, 44, 717–734. [Google Scholar] [CrossRef]
- Altınbas, S.; Holmes, J.A.; Altınbas, A. Hepatitis C Virus Infection in Pregnancy: An Update. Gastroenterol. Nurs. 2020, 43, 12–21. [Google Scholar] [CrossRef] [PubMed]
- Razavi, H.; Waked, I.; Sarrazin, C.; Myers, R.P.; Idilman, R.; Calinas, F.; Vogel, W.; Mendes Correa, M.C.; Hézode, C.; Lázaro, P.; et al. The present and future disease burden of hepatitis C virus (HCV) infection with today’s treatment paradigm. J. Viral. Hepat. 2014, 21 (Suppl. 1), 34–59. [Google Scholar] [CrossRef]
- Alter, M.J. Prevention of spread of hepatitis C. Hepatology 2002, 36 (Suppl. 1), S93–S98. [Google Scholar] [CrossRef]
- Schillie, S. CDC Recommendations for Hepatitis C Screening among Adults—United States, 2020. MMWR Recomm. Rep. 2020, 69, 1–17. [Google Scholar] [CrossRef]
- Benova, L.; Mohamoud, Y.A.; Calvert, C.; Abu-Raddad, L.J. Vertical transmission of hepatitis C virus: Systematic review and meta-analysis. Clin. Infect. Dis. 2014, 59, 765–773. [Google Scholar] [CrossRef]
- Babik, J.M.; Cohan, D.; Monto, A.; Hartigan-O’Connor, D.J.; McCune, J.M. The Human Fetal Immune Response to Hepatitis C Virus Exposure in Utero. J. Infect. Dis. 2011, 203, 196–206. [Google Scholar] [CrossRef]
- The European Paediatric Hepatitis C Virus Network. Three Broad Modalities in the Natural History of Vertically Acquired Hepatitis C Virus Infection. Clin. Infect. Dis. 2005, 41, 45–51. [Google Scholar] [CrossRef] [PubMed]
- El-Shabrawi, M.H.F.; Kamal, N.M.; Mogahed, E.A.; Elhusseini, M.A.; Aljabri, M.F. Perinatal transmission of hepatitis C virus: An update. Arch. Med. Sci. 2020, 16, 1360–1369. [Google Scholar] [CrossRef] [PubMed]
- Prasad, M.R.; Honegger, J.R. Hepatitis C Virus in Pregnancy. Am. J. Perinatol. 2013, 30, 149–160. [Google Scholar] [CrossRef] [PubMed]
- Sabatino, G.; Ramenghi, L.A.; di Marzio, M.; Pizzigallo, E. Vertical transmission of hepatitis C virus: An epidemiological study on 2980 pregnant women in Italy. Eur. J. Epidemiol. 1996, 12, 443–447. [Google Scholar] [CrossRef]
- Mazza, C.; Ravaggi, A.; Rodella, A.; Padula, D.; Duse, M.; Lomini, M.; Puoti, M.; Rossini, A.; Cariani, E. Prospective study of mother-to-infant transmission of hepatitis C virus (HCV) infection. Study Group for Vertical Transmission. J. Med. Virol. 1998, 54, 12–19. [Google Scholar] [CrossRef]
- Roberts, S.S.; Miller, R.K.; Jones, J.K.; Lindsay, K.L.; Greene, M.F.; Maddrey, W.C.; Williams, I.T.; Liu, J.; Spiegel, R.J. The Ribavirin Pregnancy Registry: Findings after 5 years of enrollment, 2003–2009. Birth Defects Res. Part A Clin. Mol. Teratol. 2010, 88, 551–559. [Google Scholar] [CrossRef]
- Alter, M.J. Epidemiology of hepatitis C virus infection. World J. Gastroenterol. 2007, 13, 2436–2441. [Google Scholar] [CrossRef]
- Syriopoulou, V.; Nikolopoulou, G.; Daikos, G.L.; Theodoridou, M.; Pavlopoulou, I.; Nicolaidou, P.; Manolaki, N. Mother to child transmission of hepatitis C virus: Rate of infection and risk factors. Scand. J. Infect. Dis. 2005, 37, 350–353. [Google Scholar] [CrossRef]
- Cottrell, E.B.; Chou, R.; Wasson, N.; Rahman, B.; Guise, J.M. Reducing risk for mother-to-infant transmission of hepatitis C virus: A systematic review for the U.S. Preventive Services Task Force. Ann. Intern. Med. 2013, 158, 109–113. [Google Scholar] [CrossRef]
- Domínguez-Rodríguez, S.; Prieto, L.; Fernández McPhee, C.; Illán-Ramos, M.; Beceiro, J.; Escosa, L.; Muñoz, E.; Olabarrieta, I.; Regidor, F.J.; Roa, M.Á.; et al. Perinatal HCV Transmission Rate in HIV/HCV Coinfected women with access to ART in Madrid, Spain. PLoS ONE 2020, 15, e0230109. [Google Scholar] [CrossRef]
- Checa Cabot, C.A.; Stoszek, S.K.; Quarleri, J.; Losso, M.H.; Ivalo, S.; Peixoto, M.F.; Pilotto, J.H.; Salomon, H.; Sidi, L.C.; Read, J.S. Mother-to-Child Transmission of Hepatitis C Virus (HCV) among HIV/HCV-Coinfected Women. J. Pediatr. Infect. Dis. Soc. 2013, 2, 126–135. [Google Scholar] [CrossRef] [PubMed][Green Version]
- Sturt, A.S.; Dokubo, E.K.; Sint, T.T. Antiretroviral therapy (ART) for treating HIV infection in ART-eligible pregnant women. Cochrane Database Syst. Rev. 2010, 3, CD008440. [Google Scholar] [CrossRef]
- Azzari, C.; Moriondo, M.; Indolfi, G.; Betti, L.; Gambineri, E.; de Martino, M.; Resti, M. Higher risk of hepatitis C virus perinatal transmission from drug user mothers is mediated by peripheral blood mononuclear cell infection. J. Med. Virol. 2008, 80, 65–71. [Google Scholar] [CrossRef]
- Azzari, C.; Resti, M.; Moriondo, M.; Ferrari, R.; Lionetti, P.; Vierucci, A. Vertical transmission of HCV is related to maternal peripheral blood mononuclear cell infection. Blood 2000, 96, 2045–2048. [Google Scholar] [CrossRef] [PubMed]
- Connor, E.M.; Sperling, R.S.; Gelber, R.; Kiselev, P.; Scott, G.; O’sullivan, M.J.; VanDyke, R.; Bey, M.; Shearer, W.; Jacobson, R.L.; et al. Reduction of maternal-infant transmission of human immunodeficiency virus type 1 with zidovudine treatment. Pediatric AIDS Clinical Trials Group Protocol 076 Study Group. N. Engl. J. Med. 1994, 331, 1173–1180. [Google Scholar] [CrossRef] [PubMed]
- Ceci, O.; Margiotta, M.; Marello, F.; Francavilla, R.; Loizzi, P.; Francavilla, A.; Mautone, A.; Impedovo, L.; Ierardi, E.; Mastroianni, M.; et al. Vertical transmission of hepatitis C virus in a cohort of 2447 HIV-seronegative pregnant women: A 24-month prospective study. J. Pediatr. Gastroenterol. Nutr. 2001, 33, 570–575. [Google Scholar] [CrossRef] [PubMed]
- McMenamin, M.B.; Jackson, A.D.; Lambert, J.; Hall, W.; Butler, K.; Coulter-Smith, S.; McAuliffe, F.M. Obstetric management of hepatitis C-positive mothers: Analysis of vertical transmission in 559 mother-infant pairs. Am. J. Obstet. Gynecol. 2008, 199, 315.e1–315.e5. [Google Scholar] [CrossRef]
- Gibb, D.M.; Goodall, R.L.; Dunn, D.T.; Healy, M.; Neave, P.; Cafferkey, M.; Butler, K. Mother-to-child transmission of hepatitis C virus: Evidence for preventable peripartum transmission. Lancet 2000, 356, 904–907. [Google Scholar] [CrossRef]
- Arshad, M.; El-Kamary, S.S.; Jhaveri, R. Hepatitis C virus infection during pregnancy and the newborn period--are they opportunities for treatment? J. Viral. Hepat. 2011, 18, 229–236. [Google Scholar] [CrossRef]
- Zahran, K.M.; Badary, M.S.; Agban, M.N.; Abdel Aziz, N.H.R. Pattern of hepatitis virus infection among pregnant women and their newborns at the Women’s Health Center of Assiut University, Upper Egypt. Int. J. Gynecol. Obstet. 2010, 111, 171–174. [Google Scholar] [CrossRef] [PubMed]
- Valladares, G.; Chacaltana, A.; Sjogren, M.H. The management of HCV-infected pregnant women. Ann. Hepatol. 2010, 9, S92–S97. [Google Scholar] [CrossRef]
- Roberts, E.A.; Yeung, L. Maternal-infant transmission of hepatitis C virus infection. Hepatology 2002, 36 (Suppl. 1), S106–S113. [Google Scholar] [CrossRef]
- Bortolotti, F.; Verucchi, G.; Cammà, C.; Cabibbo, G.; Zancan, L.; Indolfi, G.; Giacchino, R.; Marcellini, M.; Marazzi, M.G.; Barbera, C.; et al. Long-term course of chronic hepatitis C in children: From viral clearance to end-stage liver disease. Gastroenterology 2008, 134, 1900–1907. [Google Scholar] [CrossRef]
- Indolfi, G.; Easterbrook, P.; Dusheiko, G.; El-Sayed, M.H.; Jonas, M.M.; Thorne, C.; Bulterys, M.; Siberry, G.; Walsh, N.; Chang, M.-H.; et al. Hepatitis C virus infection in children and adolescents. Lancet Gastroenterol. Hepatol. 2019, 4, 477–487. [Google Scholar] [CrossRef]
- Tovo, P.A.; Pembrey, L.J.; Newell, M.L. Persistence rate and progression of vertically acquired hepatitis C infection. European Paediatric Hepatitis C Virus Infection. J. Infect. Dis. 2000, 181, 419–424. [Google Scholar] [CrossRef]
- HCV in Children. HCV Guidance. Available online: https://www.hcvguidelines.org/unique-populations/children (accessed on 8 June 2022).
- Modin, L.; Arshad, A.; Wilkes, B.; Benselin, J.; Lloyd, C.; Irving, W.L.; Kelly, D.A. Epidemiology and natural history of hepatitis C virus infection among children and young people. J. Hepatol. 2019, 70, 371–378. [Google Scholar] [CrossRef]
- Yazdani Brojeni, P.; Matok, I.; Garcia Bournissen, F.; Koren, G. A systematic review of the fetal safety of interferon alpha. Reprod. Toxicol. 2012, 33, 265–268. [Google Scholar] [CrossRef] [PubMed]
- Chappell, C.A.; Krans, E.E.; Bunge, K.; Macio, I.; Bogen, D.; Scarsi, K.K.; Meyn, L.A.; Hiller, S.L. A Phase 1 Study of Ledipasvir/Sofosbuvir in Pregnant Women with Hepatitis C Virus. In Proceedings of the Conference on Retroviruses and Opportunistic Infections, Seattle, WA, USA, 4–7 March 2019. [Google Scholar]
- Garazzino, S.; Calitri, C.; Versace, A.; Alfarano, A.; Scolfaro, C.; Bertaina, C.; Tovo, P.A. Natural history of vertically acquired HCV infection and associated autoimmune phenomena. Eur. J. Pediatr. 2014, 173, 1025–1031. [Google Scholar] [CrossRef] [PubMed]
- Farmand, S.; Wirth, S.; Loffler, H.; Loffler, H. Spontaneous clearance of hepatitis C virus in vertically infected children. Eur. J. Pediatr. 2012, 171, 253–258. [Google Scholar] [CrossRef]
- Yeung, L.; To, T.; King, S.M.; Roberts, E.A. Spontaneous clearance of childhood hepatitis C virus infection. J. Viral. Hepat. 2007, 14, 797–805. [Google Scholar] [CrossRef] [PubMed]
- European Paediatric Hepatitis C Virus Network. European paediatric hepatitis C virus network. A significant sex—But not elective cesarean section—Effect on mother-to-child transmission of hepatitis C virus infection. J. Infect. Dis. 2005, 192, 1872–1879. [Google Scholar] [CrossRef] [PubMed]
- Mast, E.E.; Hwang, L.Y.; Seto, D.S.; Nolte, F.S.; Nainan, O.V.; Wurtzel, H.; Alter, M.J. Risk factors for perinatal transmission of hepatitis C virus (HCV) and the natural history of HCV infection acquired in infancy. J Infect. Dis. 2005, 192, 1880–1889. [Google Scholar] [CrossRef] [PubMed]
- Honegger, J.; Crim, L.; Gowda, C.; Sanchez, P.J. Polymerase chain reaction (PCR) for detection of vertically-acquired hepatitis C virus (HCV) infection in early infancy. Open Forum Infect Dis. 2018, 5, S654. [Google Scholar] [CrossRef][Green Version]
- Baccega, F.; de Lourdes Brizot, M.; Jornada Krebs, V.L.; Vieira Francisco, R.P.; Zugaib, M. Nonimmune fetal ascites: Identification of ultrasound findings predictive of perinatal death. J. Perinat. Med. 2016, 44, 195–200. [Google Scholar] [CrossRef]
- Schmider, A.; Henrich, W.; Reles, A.; Kjos, S.; Dudenhausen, J.W. Etiology and prognosis of fetal ascites. Fetal Diagn. Ther. 2003, 18, 230–236. [Google Scholar] [CrossRef]
- Veluchamy, M.; Ramasamy, K.; Liyakat, N. Isolated Fetal Ascites: A Rare Cause. Cureus 2020, 12, e8433. [Google Scholar] [CrossRef]
- Favre, R.; Dreux, S.; Dommergues, M.; Dumez, Y.; Luton, D.; Oury, J.F.; Le Fiblec, B.; Nisand, I.; Muller, F. Nonimmune fetal ascites: A series of 79 cases. Am. J. Obstet. Gynecol. 2004, 190, 407–412. [Google Scholar] [CrossRef]
- Winn, H.N.; Stiller, R.; Grannum, P.A.; Crane, J.C.; Coster, B.; Romero, R. Isolated fetal ascites: Prenatal diagnosis and management. Am. J. Perinatol. 1990, 7, 370–373. [Google Scholar] [CrossRef]
- El Bishry, G. The outcome of isolated fetal ascites. Eur. J. Obstet. Gynecol. Reprod. Biol. 2008, 137, 43–46. [Google Scholar] [CrossRef]
- Abdellatif, M.; Alsinani, S.; Al-Balushi, Z.; Al-Dughaishi, T.; Abuanza, M.; Al-Riyami, N. Spontaneous Resolution of Fetal and Neonatal Ascites after Birth. Sultan Qaboos Univ. Med. J. 2013, 13, 175–178. [Google Scholar] [CrossRef]
- Horgan, R.; Youssef, J.A.; Levy, A.T.; Berger, S.I.; Dreux, S.; Brizot, M.L.; Boutall, A.; Abuhamed, A.; Angarita, A.M.; Al-Kouatly, H.B. Etiology and Outcome of Isolated Fetal Ascites: A Systematic Review. Obstet. Gynecol. 2021, 138, 897–904. [Google Scholar] [CrossRef] [PubMed]
- McDuffie, R.S.; Bader, T. Fetal meconium peritonitis after maternal hepatitis A. Am. J. Obstet. Gynecol. 1999, 180, 1031–1032. [Google Scholar] [CrossRef]
- Leikin, E.; Lysikiewicz, A.; Garry, D.; Tejani, N. Intrauterine transmission of hepatitis A virus. Obstet. Gynecol. 1996, 88, 690–691. [Google Scholar] [CrossRef]
- Pradhan, M.; Anand, B.; Singh, A. Hepatitis E virus infection causing isolated fetal ascites: A case report. Fetal Diagn. Ther. 2012, 32, 292–294. [Google Scholar] [CrossRef]
- Ling, P.Y.; Fang, S.B.; Liao, W.C.; Lu, Y.M.; Jou, H.J. Fetal ascites and second trimester maternal hepatitis C virus infection. Taiwan J. Obstet. Gynecol. 2006, 45, 260–263. [Google Scholar] [CrossRef][Green Version]
- De Oronzo, M.A. Hyperechogenic fetal bowel: An ultrasonographic marker for adverse fetal and neonatal outcome? J. Prenat. Med. 2011, 5, 9–13. [Google Scholar]
- Vintzileos, A.M.; Egan, J.F. Adjusting the risk for trisomy 21 on the basis of second-trimester ultrasonography. Am. J. Obstet. Gynecol. 1995, 172, 837–844. [Google Scholar] [CrossRef]
- Muller, F.; Dommergues, M.; Aubry, M.C.; Simon-Bouy, B.; Gautier, E.; Oury, J.F.; Narcy, F. Hyperechogenic fetal bowel: An ultrasonographic marker for adverse fetal and neonatal outcome. Am. J. Obstet. Gynecol. 1995, 173, 508–513. [Google Scholar] [CrossRef]
- Bromley, B.; Doubilet, P.; Frigoletto, F.D.; Krauss, C.; Estroff, J.A.; Benacerraf, B.R. Is fetal hyperechoic bowel on second-trimester sonogram an indication for amniocentesis? Obstet. Gynecol. 1994, 83, 647–651. [Google Scholar]
- Sepulveda, W.; Reid, R.; Nicolaidis, P.; Prendiville, O.; Chapman, R.S.; Fisk, N.M. Second-trimester echogenic bowel and intraamniotic bleeding: Association between fetal bowel echogenicity and amniotic fluid spectrophotometry at 410 nm. Am. J. Obstet. Gynecol. 1996, 174, 839–842. [Google Scholar] [CrossRef]
- Boué, A.; Muller, F.; Nezelof, C.; Oury, J.F.; Duchatel, F.; Dumez, Y.; Aubry, M.C.; Boué, J. Prenatal diagnosis in 200 pregnancies with a 1-in-4 risk of cystic fibrosis. Hum. Genet. 1986, 74, 288–297. [Google Scholar] [CrossRef] [PubMed]
- Hill, L.M. Ultrasound of fetal gastrointestinal tract. In Canllen’s Ultrasonography in Obstetrics and Gynecology; WB Saunders: Philadelphia, PA, USA, 2000; pp. 457–487. [Google Scholar]
- Dicke, J.M.; Crane, J.P. Sonographically detected hyperechoic fetal bowel: Significance and implications for pregnancy management. Obstet. Gynecol. 1992, 80, 778–782. [Google Scholar] [PubMed]
- Hill, L.M.; Fries, J.; Hecker, J.; Grzybek, P. Second-trimester echogenic small bowel: An increased risk for adverse perinatal outcome. Prenat. Diagn. 1994, 14, 845–850. [Google Scholar] [CrossRef] [PubMed]
- Sipes, S.L.; Weiner, C.P.; Wenstrom, K.D.; Williamson, R.A.; Grant, S.S.; Mueller, G.M. Fetal echogenic bowel on ultrasound: Is there clinical significance? Fetal Diagn. Ther. 1994, 9, 38–43. [Google Scholar] [CrossRef]
- Brock, D.J. A comparative study of microvillar enzyme activities in the prenatal diagnosis of cystic fibrosis. Prenat. Diagn. 1985, 5, 129–134. [Google Scholar] [CrossRef]
- Nyberg, D.A.; Dubinsky, T.; Resta, R.G.; Mahony, B.S.; Hickok, D.E.; Luthy, D.A. Echogenic fetal bowel during the second trimester: Clinical importance. Radiology 1993, 188, 527–531. [Google Scholar] [CrossRef]
- Nyberg, D.A.; Resta, R.G.; Luthy, D.A.; Hickok, D.E.; Mahony, B.S.; Hirsch, J.H. Prenatal sonographic findings of Down syndrome: Review of 94 cases. Obstet. Gynecol. 1990, 76, 370–377. [Google Scholar] [CrossRef]
- Minato, M.; Okada, T.; Miyagi, H.; Honda, S.; Takazawa, K.; Kubota, K.C.; Todo, S. Meconium pseudocyst with particular pathologic findings: A case report and review of the literature. J. Pediatr. Surg. 2012, 47, e9–e12. [Google Scholar] [CrossRef]
- Govaert, P.; van Hecke, R.; Vanhaesebrouck, P.; Verpaele, A.; Derom, F.; Defoort, P. Meconium peritonitis: Diagnosis, etiology and treatment. Tijdschr. Kindergeneeskd. 1991, 59, 98–105. [Google Scholar]
- Panaiotova, J.; Mitev, D.; Atanasova, V.; Nikolov, A. Case Report of Fetal Ascites Caused by Prenatal Perforation of Bowel. Akush. Ginekol. 2015, 54, 44–48. [Google Scholar]
- Niramis, R.; Watanatittan, S.; Anuntakosol, M.; Rattanasuwan, T.; Buranakitjaroen, V. Meconium peritonitis. J. Med. Assoc. Thail. 1999, 82, 1063–1070. [Google Scholar]
- Uchida, K.; Koike, Y.; Matsushita, K.; Nagano, Y.; Hashimoto, K.; Otake, K.; Inoue, M.; Kusunoki, M. Meconium peritonitis: Prenatal diagnosis of a rare entity and postnatal management. Intractable Rare Dis. Res. 2015, 4, 93–97. [Google Scholar] [CrossRef] [PubMed]
- Leung, W.C.; Lam, Y.H.; Tang, M.H. Isolated foetal ascites. Hong Kong Med. J. 2001, 7, 432–434. [Google Scholar] [PubMed]
- Staboulidou, I.; Schauer, J.; Rau, G.A.; Hass, R.; Hollwitz, B.; Scharf, A. Antenatal ultrasonographic appearance of isolated fetal ascites. A case report of sinus urogenitalis. Fetal Diagn. Ther. 2006, 21, 501–505. [Google Scholar] [CrossRef] [PubMed]
- Fung, T.Y.; Fung, H.Y.; Lau, T.K.; Chang, A.M. Abdomino-amniotic shunting in isolated fetal ascites with polyhydramnios. Acta Obstet. Gynecol. Scand. 1997, 76, 706–707. [Google Scholar] [CrossRef] [PubMed]
- Hwang, D.S.; Mahdy, H. Polyhydramnios. In StatPearls; StatPearls Publishing: Tampa, FL, USA, 2022. Available online: http://www.ncbi.nlm.nih.gov/books/NBK562140/ (accessed on 7 June 2022).
- HCV Testing and Linkage to Care. HCV Guidance. Available online: https://www.hcvguidelines.org/evaluate/testing-and-linkage#testing-initial (accessed on 14 August 2022).





Publisher’s Note: MDPI stays neutral with regard to jurisdictional claims in published maps and institutional affiliations. |
© 2022 by the authors. Licensee MDPI, Basel, Switzerland. This article is an open access article distributed under the terms and conditions of the Creative Commons Attribution (CC BY) license (https://creativecommons.org/licenses/by/4.0/).
Share and Cite
Rădoi, C.L.; Berbecaru, E.-I.-A.; Istrate-Ofițeru, A.-M.; Nagy, R.D.; Drăgușin, R.C.; Căpitănescu, R.G.; Zorilă, M.V.; Zorilă, L.G.; Iliescu, D.G. Intrauterine Transmission of Hepatitis C Virus Concomitant with Isolated Severe Fetal Ascites. Pathogens 2022, 11, 1335. https://doi.org/10.3390/pathogens11111335
Rădoi CL, Berbecaru E-I-A, Istrate-Ofițeru A-M, Nagy RD, Drăgușin RC, Căpitănescu RG, Zorilă MV, Zorilă LG, Iliescu DG. Intrauterine Transmission of Hepatitis C Virus Concomitant with Isolated Severe Fetal Ascites. Pathogens. 2022; 11(11):1335. https://doi.org/10.3390/pathogens11111335
Chicago/Turabian StyleRădoi, Cristiana Luiza, Elena-Iuliana-Anamaria Berbecaru, Anca-Maria Istrate-Ofițeru, Rodica Daniela Nagy, Roxana Cristina Drăgușin, Razvan Grigoraș Căpitănescu, Marian Valentin Zorilă, Lucian George Zorilă, and Dominic Gabriel Iliescu. 2022. "Intrauterine Transmission of Hepatitis C Virus Concomitant with Isolated Severe Fetal Ascites" Pathogens 11, no. 11: 1335. https://doi.org/10.3390/pathogens11111335
APA StyleRădoi, C. L., Berbecaru, E.-I.-A., Istrate-Ofițeru, A.-M., Nagy, R. D., Drăgușin, R. C., Căpitănescu, R. G., Zorilă, M. V., Zorilă, L. G., & Iliescu, D. G. (2022). Intrauterine Transmission of Hepatitis C Virus Concomitant with Isolated Severe Fetal Ascites. Pathogens, 11(11), 1335. https://doi.org/10.3390/pathogens11111335

