Direct Detection of Streptococcus suis from Cerebrospinal Fluid, Positive Hemoculture, and Simultaneous Differentiation of Serotypes 1, 1/2, 2, and 14 within Single Reaction
Abstract
:1. Introduction
2. Results
2.1. New Designed Primers and Optimization of Multiplex PCR
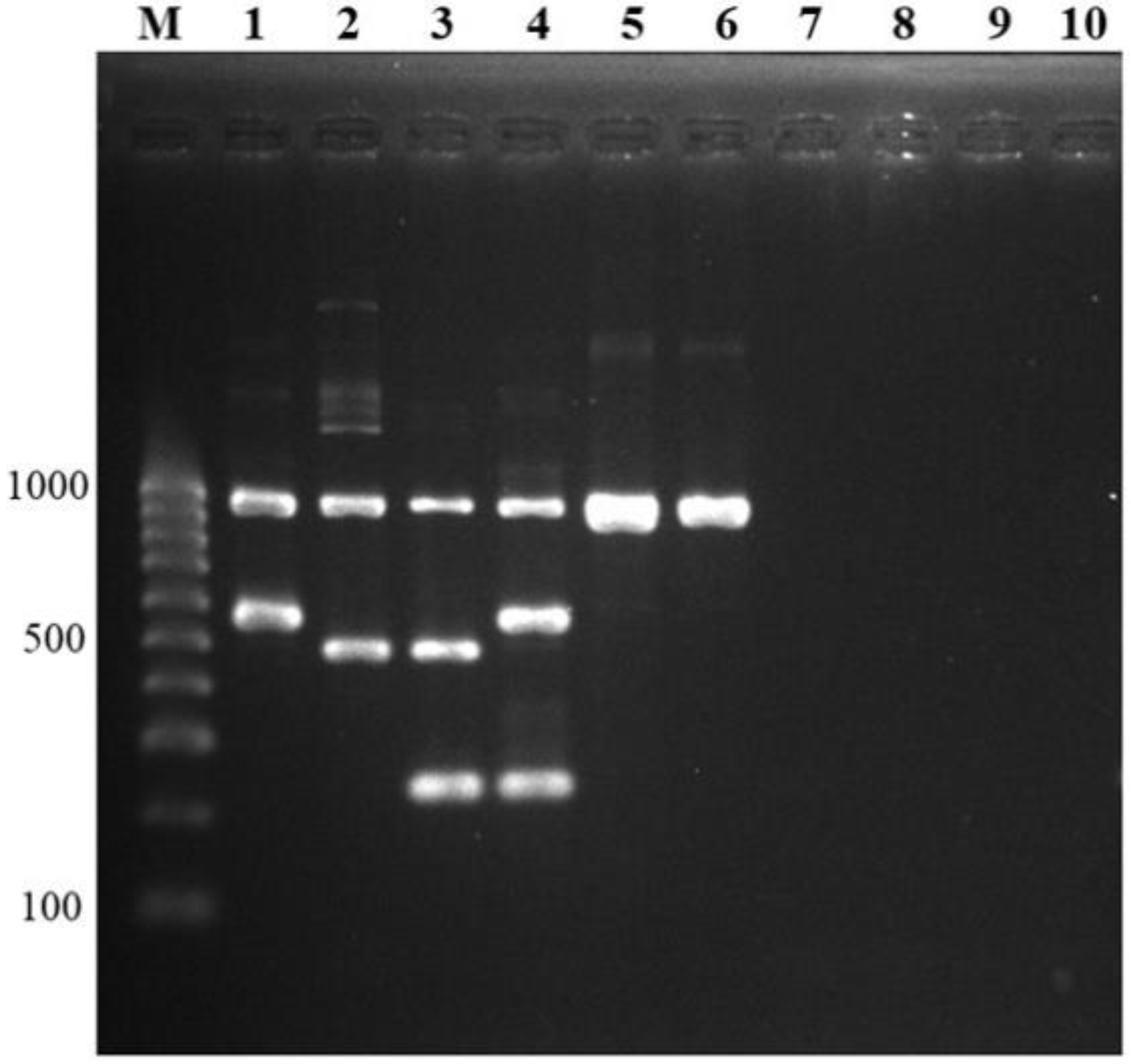
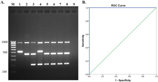
2.2. Specificity and LOD of Multiplex PCR
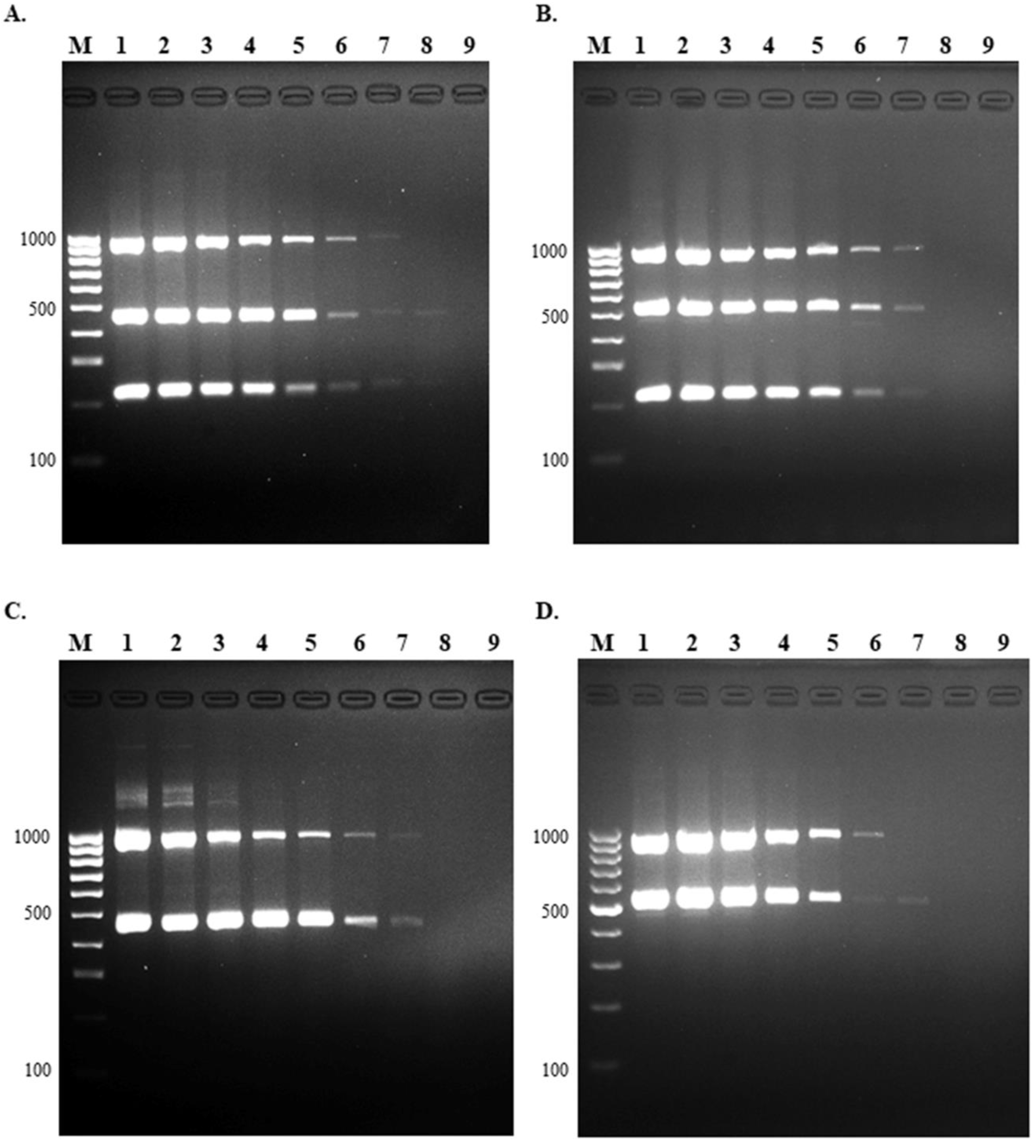
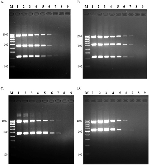
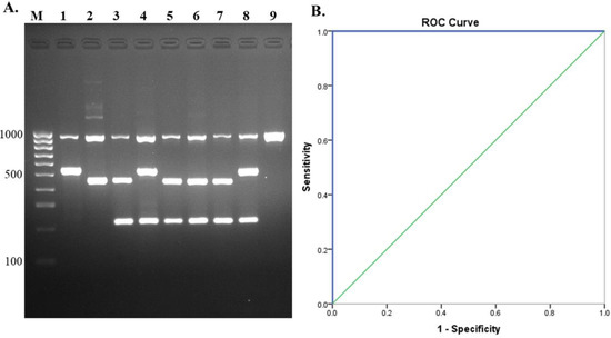
2.3. Evaluation of Multiplex PCR
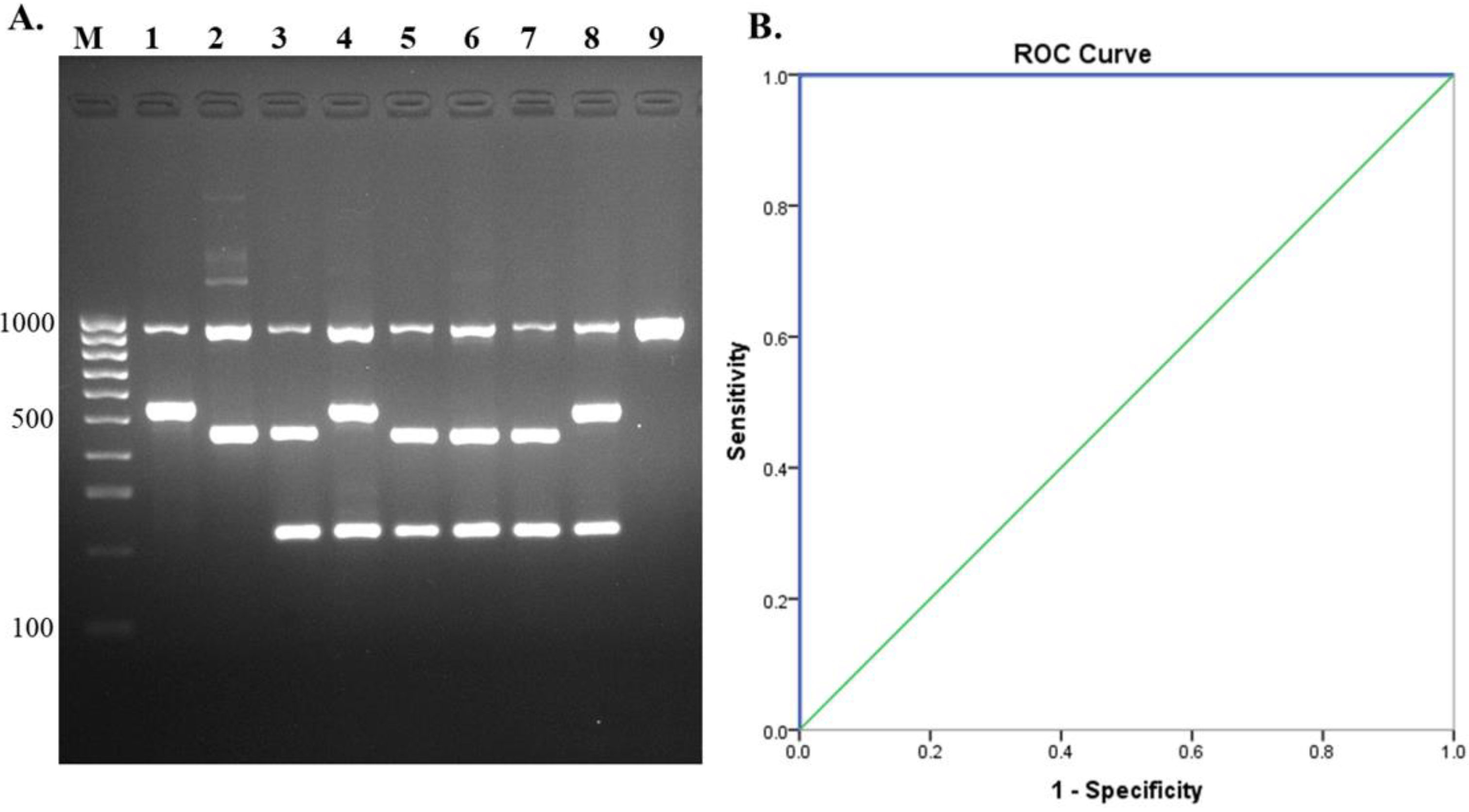
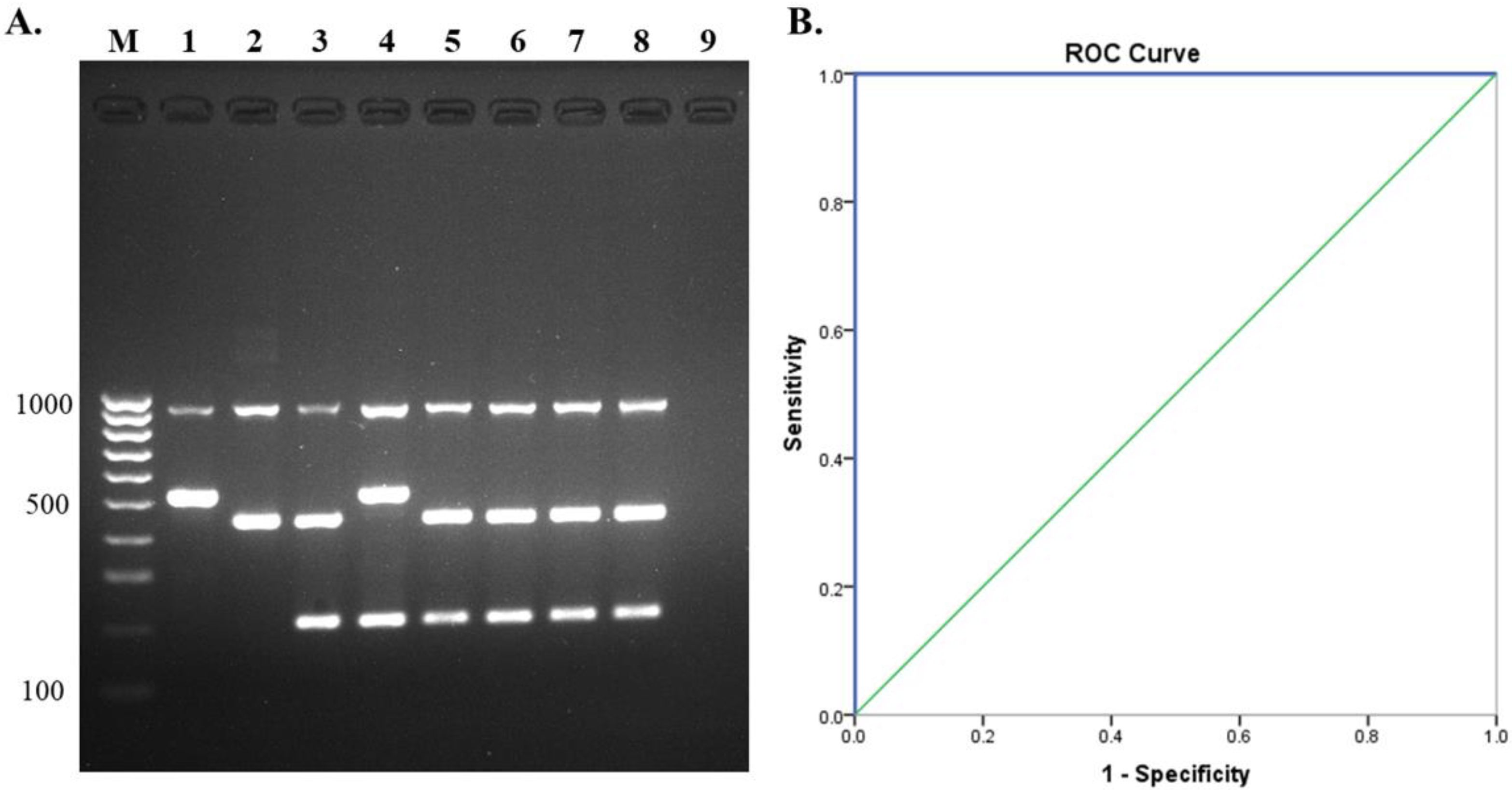
2.4. Direct Detection of S. suis from Clinical Samples
3. Discussion
4. Materials and Methods
4.1. Bacterial Strains and Growth Conditions
4.2. Genomic DNA Extraction
4.3. Multiplex PCR
4.4. Limit of Detection (LOD)
4.5. Evaluation of Multiplex PCR Using S. suis Colonies from Human and Pig Isolates and Direct Detection of S. suis from Clinical Specimens
5. Conclusions
Author Contributions
Funding
Institutional Review Board Statement
Informed Consent Statement
Data Availability Statement
Acknowledgments
Conflicts of Interest
References
- Gottschalk, M.; Xu, J.; Calzas, C.; Segura, M. Streptococcus suis: A new emerging or an old neglected zoonotic pathogen? Future Microbiol. 2010, 5, 371–391. [Google Scholar] [CrossRef]
- Dutkiewicz, J.; Zając, V.; Sroka, J.; Wasiński, B.; Cisak, E.; Sawczyn-Domańska, A.; Kloc, A.; Wójcik-Fatla, A. Streptococcus suis: A re-emerging pathogen associated with occupational exposure to pigs or pork products. Part II—Pathogenesis. Ann. Agric. Environ. Med. 2018, 25, 186–203. [Google Scholar] [CrossRef]
- Vötsch, D.; Willenborg, M.; Weldearegay, Y.B.; Valentin-Weigand, P. Streptococcus suis—The “Two Faces” of a Pathobiont in the Porcine Respiratory Tract. Front. Microbiol. 2018, 9, 480. [Google Scholar] [CrossRef]
- Goyette-Desjardins, G.; Auger, J.P.; Xu, J.; Segura, M.; Gottschalk, M. Streptococcus suis, an important pig pathogen and emerging zoonotic agent—An update on the worldwide distribution based on serotyping and sequence typing. Emerg. Microbes Infect. 2014, 3, e45. [Google Scholar] [CrossRef]
- Okura, M.; Lachance, C.; Osaki, M.; Sekizaki, T.; Maruyama, F.; Nozawa, T.; Nakagawa, I.; Hamada, S.; Rossignol, C.; Gottschalk, M.; et al. Development of a Two-Step Multiplex PCR Assay for Typing of Capsular Polysaccharide Synthesis Gene Clusters of Streptococcus suis. J. Clin. Microbiol. 2014, 52, 1714–1719. [Google Scholar] [CrossRef] [PubMed] [Green Version]
- Okura, M.; Osaki, M.; Nomoto, R.; Arai, S.; Osawa, R.; Sekizaki, T.; Takamatsu, D. Current Taxonomical Situation of Streptococcus suis. Pathogens 2016, 5, 45. [Google Scholar] [CrossRef] [Green Version]
- Gottschalk, M.; Higgins, R.; Jacques, M.; Mittal, K.R.; Henrichsen, J. Description of 14 new capsular types of Streptococcus suis. J. Clin. Microbiol. 1989, 27, 2633–2636. [Google Scholar] [CrossRef] [PubMed] [Green Version]
- Gottschalk, M.; Higgins, R.; Jacques, M.; Beaudoin, M.; Henrichsen, J. Characterization of six new capsular types (23 through 28) of Streptococcus suis. J. Clin. Microbiol. 1991, 29, 2590–2594. [Google Scholar] [CrossRef] [PubMed] [Green Version]
- Gottschalk, M.; Higgins, R.; Jacques, M.; Beaudoin, M.; Henrichsen, J. Isolation and Characterization of Streptococcus suis Capsular Types 9–22. J. Veter Diagn. Investig. 1991, 3, 60–65. [Google Scholar] [CrossRef] [Green Version]
- Higgins, R.; Gottschalk, M.; Boudreau, M.; Lebrun, A.; Henrichsen, J. Description of Six New Capsular Types (29–34) of Streptococcus suis. J. Veter Diagn. Investig. 1995, 7, 405–406. [Google Scholar] [CrossRef] [Green Version]
- Tien, L.H.T.; Nishibori, T.; Nishitani, Y.; Nomoto, R.; Osawa, R. Reappraisal of the taxonomy of Streptococcus suis serotypes 20, 22, 26, and 33 based on DNA–DNA homology and sodA and recN phylogenies. Veter Microbiol. 2013, 162, 842–849. [Google Scholar] [CrossRef] [PubMed]
- Dutkiewicz, J.; Sroka, J.; Zając, V.; Wasiński, B.; Cisak, E.; Sawczyn-Domańska, A.; Kloc, A.; Wójcik-Fatla, A. Streptococcus suis: A re-emerging pathogen associated with occupational exposure to pigs or pork products. Part I—Epidemiology. Ann. Agric. Environ. Med. 2017, 24, 683–695. [Google Scholar] [CrossRef] [PubMed]
- Nghia, H.D.T.; Hoa, N.T.; Linh, L.D.; Campbell, J.; Diep, T.S.; Chau, N.V.V.; Mai, N.T.H.; Hien, T.T.; Spratt, B.; Farrar, J.; et al. Human Case of Streptococcus suis Serotype 16 Infection. Emerg. Infect. Dis. 2008, 14, 155–157. [Google Scholar] [CrossRef] [PubMed] [Green Version]
- Gottschalk, M.; Segura, M.; Xu, J. Streptococcus suis infections in humans: The Chinese experience and the situation in North America. Anim. Health Res. Rev. 2007, 8, 29–45. [Google Scholar] [CrossRef] [Green Version]
- Kerdsin, A.; Dejsirilert, S.; Sawanpanyalert, P.; Boonnark, A.; Noithachang, W.; Sriyakum, D.; Simkum, S.; Chokngam, S.; Gottschalk, M.; Akeda, Y.; et al. Sepsis and spontaneous bacterial peritonitis in Thailand. Lancet 2011, 378, 960. [Google Scholar] [CrossRef]
- Kerdsin, A.; Hatrongjit, R.; Gottschalk, M.; Takeuchi, D.; Hamada, S.; Akeda, Y.; Oishi, K. Emergence of Streptococcus suis serotype 9 infection in humans. J. Microbiol. Immunol. Infect. 2017, 50, 545–546. [Google Scholar] [CrossRef] [Green Version]
- Kerdsin, A.; Gottschalk, M.; Hatrongjit, R.; Hamada, S.; Akeda, Y.; Oishi, K. Fatal Septic Meningitis in Child Caused by Streptococcus suis Serotype 24. Emerg. Infect. Dis. 2016, 22, 1519–1520. [Google Scholar] [CrossRef] [Green Version]
- Taniyama, D.; Sakurai, M.; Sakai, T.; Kikuchi, T.; Takahashi, T. Human case of bacteremia due to Streptococcus suis serotype 5 in Japan: The first report and literature review. IDCases 2016, 6, 36–38. [Google Scholar] [CrossRef] [Green Version]
- Arends, J.P.; Zanen, H.C. Meningitis Caused by Streptococcus suis in Humans. Clin. Infect. Dis. 1988, 10, 131–137. [Google Scholar] [CrossRef]
- Al, R.C.E.; Prieto, M.; Salamone, F.; Auger, J.-P.; Goyette-Desjardins, G.; Gottschalk, M. Atypical Streptococcus suis in Man, Argentina, 2013. Emerg. Infect. Dis. 2014, 20, 500–502. [Google Scholar] [CrossRef]
- Hatrongjit, R.; Kerdsin, A.; Gottschalk, M.; Takeuchi, D.; Hamada, S.; Oishi, K.; Akeda, Y. First human case report of sepsis due to infection with Streptococcus suis serotype 31 in Thailand. BMC Infect. Dis. 2015, 15, 392. [Google Scholar] [CrossRef] [PubMed]
- Estrada, A.A.; Gottschalk, M.; Rossow, S.; Rendahl, A.; Gebhart, C.; Marthaler, D.G. Serotype and Genotype (Multilocus Sequence Type) of Streptococcus suis Isolates from the United States Serve as Predictors of Pathotype. J. Clin. Microbiol. 2019, 57, e00377-19. [Google Scholar] [CrossRef] [PubMed] [Green Version]
- Kerdsin, A.; Takeuchi, D.; Nuangmek, A.; Akeda, Y.; Gottschalk, M.; Oishi, K. Genotypic Comparison between Streptococcus suis Isolated from Pigs and Humans in Thailand. Pathogens 2020, 9, 50. [Google Scholar] [CrossRef] [PubMed] [Green Version]
- Kerdsin, A.; Oishi, K.; Sripakdee, S.; Boonkerd, N.; Polwichai, P.; Nakamura, S.; Uchida, R.; Sawanpanyalert, P.; Dejsirilert, S. Clonal dissemination of human isolates of Streptococcus suis serotype 14 in Thailand. J. Med. Microbiol. 2009, 58, 1508–1513. [Google Scholar] [CrossRef] [PubMed]
- Kerdsin, A.; Dejsirilert, S.; Puangpatra, P.; Sripakdee, S.; Chumla, K.; Boonkerd, N.; Polwichai, P.; Tanimura, S.; Takeuchi, D.; Nakayama, T.; et al. Genotypic Profile of Streptococcus suis Serotype 2 and Clinical Features of Infection in Humans, Thailand. Emerg. Infect. Dis. 2011, 17, 835–842. [Google Scholar] [CrossRef] [PubMed]
- Kerdsin, A.; Akeda, Y.; Takeuchi, D.; Dejsirilert, S.; Gottschalk, M.; Oishi, K. Genotypic diversity of Streptococcus suis strains isolated from humans in Thailand. Eur. J. Clin. Microbiol. Infect. Dis. 2018, 37, 917–925. [Google Scholar] [CrossRef]
- Higgins, R.; Gottschalk, M. An Update on Streptococcus suis Identification. J. Veter. Diagn. Investig. 1990, 2, 249–252. [Google Scholar] [CrossRef] [Green Version]
- Gottschalk, M.; Higgins, R.; Boudreau, M. Use of polyvalent coagglutination reagents for serotyping of Streptococcus suis. J. Clin. Microbiol. 1993, 31, 2192–2194. [Google Scholar] [CrossRef] [PubMed] [Green Version]
- LZhijie, L.; Han, Z.; Marcelo, G. Development of Multiplex PCR Assays for the Identification of the 33 Serotypes of Streptococcus suis. PLoS ONE 2013, 8, e72070. [Google Scholar] [CrossRef] [Green Version]
- Kerdsin, A.; Dejsirilert, S.; Akeda, Y.; Sekizaki, T.; Hamada, S.; Gottschalk, M.; Oishi, K. Fifteen Streptococcus suis serotypes identified by multiplex PCR. J. Med. Microbiol. 2012, 61, 1669–1672. [Google Scholar] [CrossRef] [Green Version]
- Kerdsin, A.; Akeda, Y.; Hatrongjit, R.; Detchawna, U.; Sekizaki, T.; Hamada, S.; Gottschalk, M.; Oishi, K. Streptococcus suis serotyping by a new multiplex PCR. J. Med. Microbiol. 2014, 63, 824–830. [Google Scholar] [CrossRef] [PubMed] [Green Version]
- Athey, T.B.T.; Teatero, S.; Lacouture, S.; Takamatsu, D.; Gottschalk, M.; Fittipaldi, N. Determining Streptococcus suis serotype from short-read whole-genome sequencing data. BMC Microbiol. 2016, 16, 162. [Google Scholar] [CrossRef] [Green Version]
- Scherrer, S.; Rademacher, F.; Serrano, N.S.; Schrenzel, J.; Gottschalk, M.; Stephan, R.; Landolt, P. Rapid high resolution melting assay to differentiate Streptococcus suis serotypes 2, 1/2, 1, and 14. Microbiologyopen 2020, 9, e995. [Google Scholar] [CrossRef] [PubMed]
- Matiasovic, J.; Zouharova, M.; Nedbalcova, K.; Kralova, N.; Matiaskova, K.; Simek, B.; Kucharovicova, I.; Gottschalk, M. Resolution of Streptococcus suis Serotypes 1/2 versus 2 and 1 versus 14 by PCR-Restriction Fragment Length Polymorphism Method. J. Clin. Microbiol. 2020, 58, e00480-20. [Google Scholar] [CrossRef] [PubMed]
- Lacouture, S.; Okura, M.; Takamatsu, D.; Corsaut, L.; Gottschalk, M. Development of a mismatch amplification mutation assay to correctly serotype isolates of Streptococcus suis serotypes 1, 2, 1/2, and 14. J. Veter Diagn. Investig. 2020, 32, 490–494. [Google Scholar] [CrossRef] [PubMed]
- Lakkitjaroen, N.; Takamatsu, D.; Okura, M.; Sato, M.; Osaki, M.; Sekizaki, T. Loss of capsule among Streptococcus suis isolates from porcine endocarditis and its biological significance. J. Med. Microbiol. 2011, 60, 1669–1676. [Google Scholar] [CrossRef] [PubMed] [Green Version]
- Zheng, H.; Qiu, X.; Roy, D.; Segura, M.; Du, P.; Xu, J.; Gottschalk, M. Genotyping and investigating capsular polysaccharide synthesis gene loci of non-serotypeable Streptococcus suis isolated from diseased pigs in Canada. Veter Res. 2017, 48, 10. [Google Scholar] [CrossRef] [Green Version]
- Kerdsin, A.; Takeuchi, D.; Gottschalk, M.; Hamada, S.; Akeda, Y.; Oishi, K. A human case of Streptococcus suis infection caused by an unencapsulated strain. JMM Case Rep. 2014, 1, 1. [Google Scholar] [CrossRef] [Green Version]
- Ágoston, Z.; Terhes, G.; Hannauer, P.; Gajdács, M.; Urbán, E. Fatal case of bacteremia caused by Streptococcus suis in a splenectomized man and a review of the European literature. Acta Microbiol. Immunol. Hung. 2020, 67, 148–155. [Google Scholar] [CrossRef] [Green Version]
- Dai, Y.; Chen, L.; Chang, W.; Lu, H.; Cui, P.; Ma, X. Culture-Negative Streptococcus suis Infection Diagnosed by Metagenomic Next-Generation Sequencing. Front. Public Health 2019, 7, 7. [Google Scholar] [CrossRef] [PubMed] [Green Version]
- Mai, N.T.H.; Hoa, N.T.; Nga, T.V.T.; Linh, L.D.; Chau, T.T.H.; Sinh, D.X.; Phu, N.H.; Van Chuong, L.; Diep, T.S.; Campbell, J.; et al. Streptococcus suis Meningitis in Adults in Vietnam. Clin. Infect. Dis. 2008, 46, 659–667. [Google Scholar] [CrossRef] [PubMed] [Green Version]
- Huang, Y.T.; Teng, L.J.; Ho, S.W.; Hsueh, P.R. Streptococcus suis infection. J. Microbiol. Immunol. Infect. 2005, 38, 306–313. [Google Scholar] [PubMed]
- Tarini, N.M.A.; Setiabudy, M.; Susilawathi, N.M.; Fatmawati, N.N.D.; Mayura, I.; Darwinata, A.E.; Sudiariani, N. Misidentification of S. suis as a Zoonotic Agent. Open Access Maced. J. Med. Sci. 2019, 7, 2309–2312. [Google Scholar] [CrossRef] [PubMed] [Green Version]
- Fredricks, D.; Relman, D.A. Improved Amplification of Microbial DNA from Blood Cultures by Removal of the PCR Inhibitor Sodium Polyanetholesulfonate. J. Clin. Microbiol. 1998, 36, 2810–2816. [Google Scholar] [CrossRef] [PubMed] [Green Version]
- Liu, L.; Coenye, T.; Burns, J.L.; Whitby, P.W.; Stull, T.L.; LiPuma, J.J. Ribosomal DNA-Directed PCR for Identification of Achromobacter (Alcaligenes) xylosoxidans Recovered from Sputum Samples from Cystic Fibrosis Patients. J. Clin. Microbiol. 2002, 40, 1210–1213. [Google Scholar] [CrossRef] [PubMed] [Green Version]
- Landis, J.R.; Koch, G.G. The Measurement of Observer Agreement for Categorical Data. Biometrics 1977, 33, 159–174. [Google Scholar] [CrossRef] [PubMed] [Green Version]






| Microorganisms | Species |
|---|---|
| Gram-positive bacteria (n = 22) | Streptococcus pneumoniae ATCC 49619, Streptococcus mutans ATCC 18777, Streptococcus agalactiae ATCC 17129, Streptococcus pyogenes ATCC 19615, Streptococcus bovis (n = 2), Streptococcus oralis, Streptococcus mitis, Staphylococcus aureus ATCC 25923, Staphylococcus epidermidis ATCC 14990, Staphylococcus saprophyticus ATCC 15305, Staphylococcus haemolyticus ATCC 29970, Staphylococcus intermedius group (n = 3), Micrococcus spp., Enterococcus faecalis ATCC 4736, Enterococcus faecium ATCC 4743, Bacillus cereus, Listeria monocytogenes, Erysipelothrix rhusiopathiae, Corynebacterium spp. |
| Gram-negative bacteria (n = 26) | Escherichia coli ATCC 25922, Pseudomonas aeruginosa ATCC 27853, Klebsiella pneumoniae ATCC 700603, Klebsiella oxytoca, Proteus mirabilis, Proteus vulgaris, Proteus peneri, Burkholderia cepacia, Acinetobacter baumannii ATCC 19606, Acinetobacter lwoffii, Pasteurella multocida, Enterobacter aerogenes, Enterobacter cloacae, Salmonella Choleraesuis, Salmonella Enteritidis, Salmonella Typhi, Salmonella Paratyphi, Stenotrophomonas maltophilia, Haemophilus influenzae ATCC 49247, Neisseria meningitidis, Achromobacter xylosoxidans, Aeromonas hydrophilia, Shigella flexneri, Shigella boydii, Shigella sonnei, Haemophilus parainfluenzae |
| Fungal Candida spp. (n = 6) | Candida albicans ATCC 90028, Candida tropicalis, Candida glabrata, Candida parapsilosis ATCC 22019, Candida guilliermondii, Candida krusei |
| Primer Name | Sequence (5′–3′) | Target Gene | PCR Product Size | Result | Reference |
|---|---|---|---|---|---|
| cps1,14J | F: AATCATGGAATAAAGCGGAGTACAG R: ACAATTGATACGTCAAAATCCTCACC | cps1J, cps14J | 550 | Serotypes 1 and 14 | [30] |
| cps2,1/2J | F: GATTTGTCGGGAGGGTTACTTG R: TAAATAATATGCCACTGTAGCGTCTC | cps2J, cps1/2J | 450 | Serotypes 2 and 1/2 | [30] |
| cps2,14K | F: CTTTGTGGTGGCCTGG R: AATGGAAGCGATGGTCAG | cps2K, cps14K | 209 | Serotypes 2 and 14 | This study |
| All S. suis specific | F: TCCTTTGAAAATAGCAGAGCTC R: GCGGATAATATCTTCTAAAACA | recN | 946 | S. suis | This study |
Publisher’s Note: MDPI stays neutral with regard to jurisdictional claims in published maps and institutional affiliations. |
© 2021 by the authors. Licensee MDPI, Basel, Switzerland. This article is an open access article distributed under the terms and conditions of the Creative Commons Attribution (CC BY) license (https://creativecommons.org/licenses/by/4.0/).
Share and Cite
Thu, I.S.L.; Tragoolpua, K.; Intorasoot, S.; Anukool, U.; Khamnoi, P.; Kerdsin, A.; Tharinjaroen, C.S. Direct Detection of Streptococcus suis from Cerebrospinal Fluid, Positive Hemoculture, and Simultaneous Differentiation of Serotypes 1, 1/2, 2, and 14 within Single Reaction. Pathogens 2021, 10, 996. https://doi.org/10.3390/pathogens10080996
Thu ISL, Tragoolpua K, Intorasoot S, Anukool U, Khamnoi P, Kerdsin A, Tharinjaroen CS. Direct Detection of Streptococcus suis from Cerebrospinal Fluid, Positive Hemoculture, and Simultaneous Differentiation of Serotypes 1, 1/2, 2, and 14 within Single Reaction. Pathogens. 2021; 10(8):996. https://doi.org/10.3390/pathogens10080996
Chicago/Turabian StyleThu, Ingyin Shun Lae, Khajornsak Tragoolpua, Sorasak Intorasoot, Usanee Anukool, Phadungkiat Khamnoi, Anusak Kerdsin, and Chayada Sitthidet Tharinjaroen. 2021. "Direct Detection of Streptococcus suis from Cerebrospinal Fluid, Positive Hemoculture, and Simultaneous Differentiation of Serotypes 1, 1/2, 2, and 14 within Single Reaction" Pathogens 10, no. 8: 996. https://doi.org/10.3390/pathogens10080996
APA StyleThu, I. S. L., Tragoolpua, K., Intorasoot, S., Anukool, U., Khamnoi, P., Kerdsin, A., & Tharinjaroen, C. S. (2021). Direct Detection of Streptococcus suis from Cerebrospinal Fluid, Positive Hemoculture, and Simultaneous Differentiation of Serotypes 1, 1/2, 2, and 14 within Single Reaction. Pathogens, 10(8), 996. https://doi.org/10.3390/pathogens10080996

