Peritoneal Tuberculosis during Infliximab Treatment in a Patient with Ulcerative Colitis Despite a Negative Quantiferon Test
Abstract
1. Introduction
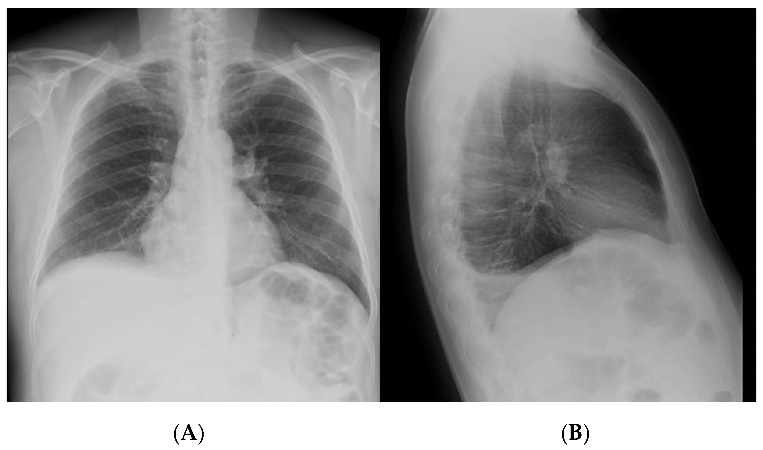
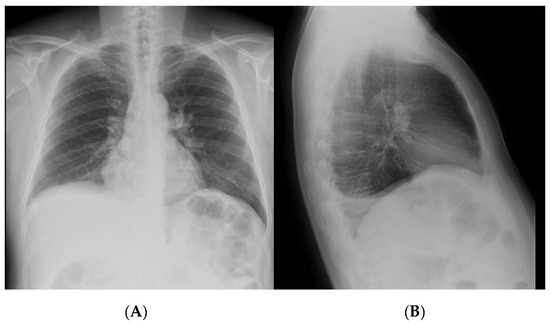
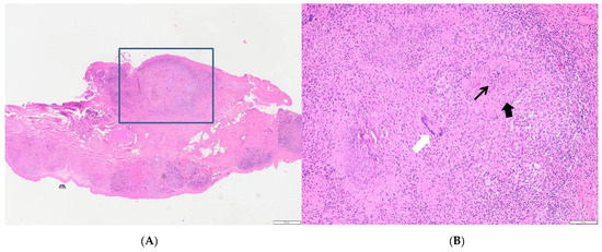
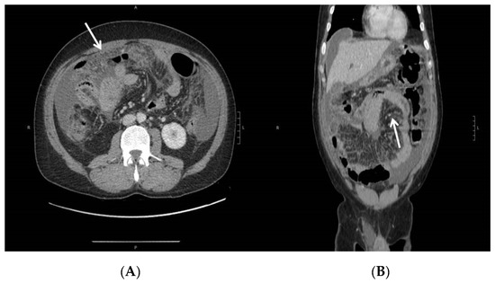
2. Case Report
3. Discussion
Author Contributions
Funding
Institutional Review Board Statement
Informed Consent Statement
Data Availability Statement
Conflicts of Interest
References
- Mouser, J.F.; Hyams, J.S. Infliximab: A novel chimeric monoclonal antibody for the treatment of Crohn’s disease. Clin. Ther. 1999, 21, 932–942. [Google Scholar] [CrossRef]
- Assche, G.; Vermeire, S.; Rutgeerts, P. Mucosal Healing and anti TNFs in IBD. Curr. Drug Targets 2010, 11, 227–233. [Google Scholar] [CrossRef] [PubMed]
- Keane, J.; Gershon, S.; Wise, R.P.; Mirabile-Levens, E.; Kasznica, J.; Schwieterman, W.D.; Siegel, J.N.; Braun, M.M. Tuberculosis Associated with Infliximab, a Tumor Necrosis Factor α–Neutralizing Agent. N. Engl. J. Med. 2001, 345, 1098–1104. [Google Scholar] [CrossRef]
- Scott Algood, H.M.; Lin, P.L.; Flynn, J.L. Tumor Necrosis Factor and Chemokine Interactions in the Formation and Maintenance of Granulomas in Tuberculosis. Clin. Infect. Dis. 2005, 41, S189–S193. [Google Scholar] [CrossRef] [PubMed]
- Magro, F.; Gionchetti, P.; Eliakim, R.; Ardizzone, S.; Armuzzi, A.; Barreiro-de Acosta, M.; Burisch, J.; Gecse, K.B.; Hart, A.L.; Hindryckx, P.; et al. Third European Evidence-based Consensus on Diagnosis and Management of Ulcerative Colitis. Part 1: Definitions, Diagnosis, Extra-intestinal Manifestations, Pregnancy, Cancer Surveillance, Surgery, and Ileo-anal Pouch Disorders. J. Crohn’s Colitis 2017, 11, 649–670. [Google Scholar] [CrossRef] [PubMed]
- QuantiFERON®-TB Gold Plus (QFT®-Plus) ELISA Package Insert. Available online: https://www.qiagen.com/us/products/diagnostics-and-clinical-research/tb-management/quantiferon-tb-gold-plus-us/ (accessed on 9 February 2021).
- Nahid, P.; Dorman, S.E.; Alipanah, N.; Barry, P.M.; Brozek, J.L.; Cattamanchi, A.; Chaisson, L.H.; Chaisson, R.E.; Daley, C.L.; Grzemska, M.; et al. Official American Thoracic Society/Centers for Disease Control and Prevention/Infectious Diseases Society of America Clinical Practice Guidelines: Treatment of Drug-Susceptible Tuberculosis. Clin. Infect. Dis. 2016, 63, e147–e195. [Google Scholar] [CrossRef]
- Lehmann, P.F. PR Murray, EJ Baron, MA Pfaller, FC Tenover and RH Yolken, eds. Manual of Clinical Microbiology. Mycopathologia 1999, 146, 107. [Google Scholar] [CrossRef]
- Gideon, H.P.; Flynn, J.L. Latent tuberculosis: What the host “sees”? Immunol. Res. 2011, 50, 202–212. [Google Scholar] [CrossRef]
- ANNEX 4 TB Burden Estimates, Notifications and Treatment Outcomes for Individual Countries and Territories, Who Regions and the World. 2018. Available online: https://www.who.int/tb/publications/global_report/gtbr2018_annex4.pdf (accessed on 9 February 2021).
- Dutta, N.K.; Karakousis, C. Latent Tuberculosis Infection: Myths, Models, and Molecular Mechanisms. Microbiol. Mol. Biol. Rev. 2014, 78, 343–371. [Google Scholar] [CrossRef]
- Wu, D.C.; Averbukh, L.D.; Wu, G.Y. Diagnostic and Therapeutic Strategies for Peritoneal Tuberculosis: A Review. J. Clin. Transl. Hepatol. 2019, 7, 1–9. [Google Scholar] [CrossRef]
- Akgun, Y. Intestinal and peritoneal tuberculosis: Changing trends over 10 years and a review of 80 patients. Can. J. Surg. 2005, 48, 131–136. [Google Scholar] [PubMed]
- Frieden, T.R.; Jaffe, M.W.H.; Stephens, J.W.; Thacker, S.B.; Shaw, F.E.; Starr, S.R.S.T.M.; Doan, Q.M.; Phyllis King, M.H.; Holtzman, D.; John Iglehart, G.K.; et al. Department of Health and Human Services Centers for Disease Control and Prevention Morbidity and Mortality Weekly Report Updated Guidelines for Using Interferon Gamma Release Assays to Detect Mycobacterium tuberculosis Infection-United States, 2010 Editorial and Production Staff. 2009. Available online: www.cdc.gov/mmwr (accessed on 9 February 2021).
- Jauregui-Amezaga, A.; Turon, F.; Ordás, I.; Gallego, M.; Feu, F.; Ricart, E.; Panés, J. Risk of developing tuberculosis under anti-TNF treatment despite latent infection screening. J. Crohn’s Colitis 2013, 7, 208–212. [Google Scholar] [CrossRef] [PubMed]
- Harada, N.; Higuchi, K.; Yoshiyama, T.; Kawabe, Y.; Fujita, A.; Sasaki, Y.; Horiba, M.; Mitarai, S.; Yonemaru, M.; Ogata, H.; et al. Comparison of the sensitivity and specificity of two whole blood interferon-gamma assays for M. tuberculosis infection. J. Infect. 2008, 56, 348–353. [Google Scholar] [CrossRef] [PubMed]
- Ryu, M.R.; Park, M.S.; Cho, E.H.; Jung, C.W.; Kim, K.; Kim, S.J.; Oh, H.Y.; Huh, W.; Ryoun, H.; Koh, W.J.; et al. Comparative evaluation of quantiFERON-TB gold in-tube and quantiFERON-TB gold plus in diagnosis of latent tuberculosis infection in immunocompromised patients. J. Clin. Microbiol. 2018, 56, 1–10. [Google Scholar] [CrossRef]
- Wong, S.H.; Gao, Q.; Tsoi, K.K.F.; Wu, W.K.K.; Tam, L.S.; Lee, N.; Chan, F.K.L.; Wu, J.C.Y.; Sung, J.J.Y.; Ng, S.C. Effect of immunosuppressive therapy on interferon γ release assay for latent tuberculosis screening in patients with autoimmune diseases: A systematic review and meta-analysis. Thorax 2016, 71, 64–72. [Google Scholar] [CrossRef] [PubMed]
- Bocchino, M.; Matarese, A.; Bellofiore, B.; Giacomelli, P.; Santoro, G.; Balato, N.; Castiglione, F.; Scarpa, R.; Perna, F.; Signoriello, G.; et al. Performance of two commercial blood IFN-γ release assays for the detection of Mycobacterium tuberculosis infection in patient candidates for anti-TNF-α treatment. Eur. J. Clin. Microbiol. Infect. Dis. 2008, 27, 907–913. [Google Scholar] [CrossRef] [PubMed]
- Lamb, C.A.; Kennedy, N.A.; Raine, T.; Hendy, P.A.; Smith, P.J.; Limdi, J.K.; Hayee, B.; Lomer, M.C.E.; Parkes, G.C.; Selinger, C.; et al. British Society of Gastroenterology consensus guidelines on the management of inflammatory bowel disease in adults. Gut 2019, 68, s1–s106. [Google Scholar] [CrossRef] [PubMed]
- Cuomo, G.; D’Abrsca, V.; Iacono, D.; Pantano, I. The conversion rate of tuberculosis screening tests during biological therapies in patients with rheumatoid arthritis. Clin. Rheumatol. 2017, 36, 457–461. [Google Scholar] [CrossRef]
- Hatzara, C.; Hadziyannis, E.; Kandili, A.; Koutsianas, C.; Makris, A.; Georgiopoulos, G.; Vassilopoulos, D. Frequent conversion of tuberculosis screening tests during anti-tumour necrosis factor therapy in patients with rheumatic diseases. Ann. Rheum. Dis. 2015, 74, 1848–1853. [Google Scholar] [CrossRef]
- Singh, J.A.; Saag, K.G.; Bridges, S.L.; Akl, E.A.; Bannuru, R.R.; Sullivan, M.C.; Vaysbrot, E.; McNaughton, C.; Osani, M.; Shmerling, R.H.; et al. 2015 American College of Rheumatology Guideline for the Treatment of Rheumatoid Arthritis. Arthritis Care Res. 2016, 68, 1–25. [Google Scholar] [CrossRef]
- Abitbol, Y.; Laharie, D.; Cosnes, J.; Allez, M.; Nancey, S.; Amiot, A.; Aubourg, A.; Fumery, M.; Altwegg, R.; Michetti, P.; et al. Negative screening does not rule out the risk of tuberculosis in patients with inflammatory bowel disease undergoing anti-TNF treatment: A descriptive study on the GETAID cohort. J. Crohn’s Colitis 2016, 10, 1179–1185. [Google Scholar] [CrossRef] [PubMed]
- Bonse-Geuking, U.; Kraus, M. Primary tuberculous peritonitis during infliximab therapy for Crohn’s disease. J. Crohn’s Colitis 2012, 6, 720–723. [Google Scholar] [CrossRef] [PubMed]
- Jun, Y.K.; Chun, J.; Kang, E.A.; Lee, H.J.; Im, J.P.; Kim, J.S. Multidrug-resistant Disseminated Tuberculosis Related to Infliximab in a Patient with Ulcerative Colitis and Negative Evaluation for Latent Tuberculosis. Korean J. Gastroenterol. 2019, 74, 168. [Google Scholar] [CrossRef] [PubMed]



| Reference | Age, Sex | IBD | LTBI Screening Test | TB Location | IS at Screening | Time of Anti-TNF before TB (we) | IS at TB Diagnosis | Detection of TB |
|---|---|---|---|---|---|---|---|---|
| U. Bonse-Geuking and M. Kraus [25] | 64, male | CD | TST (NEG.) | Peritoneal | Not specified | 20 | IFX + AZA | M. tuberculosis DNA in the peritoneal specimen, which was obtained via laparoscopy |
| Y. K. Jun et al., [26] | 27, female | UC | QFT-G (NEG.) | Disseminated (lung, peritoneal, lymph nodes) | Corticosteroids | 28 | IFX | M. tuberculosis culture that was resistant to rifampicin. Positive in lymph node |
| A. Jauregui-Amezaga et al., [14] | 38, female | CD | TST (NEG.) | Peritoneal | AZA | 10 | IFX + AZA | No microbiological detection. High levels of ADA in ascitic fluid. |
Publisher’s Note: MDPI stays neutral with regard to jurisdictional claims in published maps and institutional affiliations. |
© 2021 by the authors. Licensee MDPI, Basel, Switzerland. This article is an open access article distributed under the terms and conditions of the Creative Commons Attribution (CC BY) license (https://creativecommons.org/licenses/by/4.0/).
Share and Cite
Colombo, A.; Giuffrè, M.; Crocè, L.S.; Venturini, S.; Sablich, R. Peritoneal Tuberculosis during Infliximab Treatment in a Patient with Ulcerative Colitis Despite a Negative Quantiferon Test. Pathogens 2021, 10, 535. https://doi.org/10.3390/pathogens10050535
Colombo A, Giuffrè M, Crocè LS, Venturini S, Sablich R. Peritoneal Tuberculosis during Infliximab Treatment in a Patient with Ulcerative Colitis Despite a Negative Quantiferon Test. Pathogens. 2021; 10(5):535. https://doi.org/10.3390/pathogens10050535
Chicago/Turabian StyleColombo, Anna, Mauro Giuffrè, Lory Saveria Crocè, Sergio Venturini, and Renato Sablich. 2021. "Peritoneal Tuberculosis during Infliximab Treatment in a Patient with Ulcerative Colitis Despite a Negative Quantiferon Test" Pathogens 10, no. 5: 535. https://doi.org/10.3390/pathogens10050535
APA StyleColombo, A., Giuffrè, M., Crocè, L. S., Venturini, S., & Sablich, R. (2021). Peritoneal Tuberculosis during Infliximab Treatment in a Patient with Ulcerative Colitis Despite a Negative Quantiferon Test. Pathogens, 10(5), 535. https://doi.org/10.3390/pathogens10050535

