Gastrointestinal Helminths of a European Moose Population in Poland
Abstract
1. Introduction
2. Results
2.1. Gastrointestinal Tract
2.1.1. Moose Population
2.1.2. Parasite Species Diversity
2.1.3. Correlations of Parasitic Infections
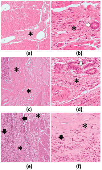
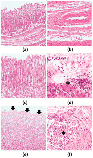
2.1.4. Anatomopathological Analysis
2.2. Liver
2.2.1. Moose Population
2.2.2. Parasite Species and Correlations of Parasitic Infections
2.2.3. Anatomopathological Analysis
2.3. Fecal Examination
3. Discussion
4. Materials and Methods
4.1. Study Area
4.2. Material Collection and Post-Mortem Examination
4.2.1. Gastrointestinal Tract
4.2.2. Liver
4.3. Anatomopathological Analysis
4.4. Fecal Analysis
4.5. Statistical Analysis
5. Conclusions
Supplementary Materials
Author Contributions
Funding
Institutional Review Board Statement
Data Availability Statement
Acknowledgments
Conflicts of Interest
References
- Stien, A.; Irvine, R.J.; Ropstad, E.; Halvorsen, O.; Langvatn, R.; Albon, S.D. The impact of gastrointestinal nematodes on wild reindeer: Experimental and cross-sectional studies. J. Anim. Ecol. 2002, 71, 937–945. [Google Scholar] [CrossRef]
- Kołodziej-Sobocińska, M. Factors affecting the spread of parasites in populations of wild European terrestrial mammals. Mammal Res. 2019, 64, 301–318. [Google Scholar] [CrossRef]
- Davidson, R.K.; Ličina, T.; Gorini, L.; Milner, J.M. Endoparasites in a Norwegian moose (Alces alces) population - Faunal diversity, abundance and body condition. Int. J. Parasitol. Parasites Wildl. 2015, 4, 29–36. [Google Scholar] [CrossRef] [PubMed]
- Johnson, P.T.J.; Hoverman, J.T. Parasite diversity and coinfection determine pathogen infection success and host fitness. Proc. Natl. Acad. Sci. USA 2012, 109, 9006–9011. [Google Scholar] [CrossRef] [PubMed]
- Tompkins, D.M.; Dunn, A.M.; Smith, M.J.; Telfer, S. Wildlife diseases: From individuals to ecosystems. J. Anim. Ecol. 2011, 80, 19–38. [Google Scholar] [CrossRef]
- Sugiura, N.; Doi, K.; Kato, T.; Morita, T.; Hayama, S. Epizootic ofsarcoptic mange in raccoon dogs (Nyctereutes procyonoides) in relation to population density. J. Vet. Med. Sci. 2018, 80, 544–548. [Google Scholar] [CrossRef]
- Borowik, T.; Ratkiewicz, M.; Maślanko, W.; Duda, N.; Kowalczyk, R. Too hot to handle: Summer space use shift in a cold-adapted ungulate at the edge of its range. Landsc. Ecol. 2020, 35, 1341–1351. [Google Scholar] [CrossRef]
- Hundertmark, K.J.; Bowyer, R.T. Genetics, evolution and phylogeography of moose. Alces 2004, 40, 103–122. [Google Scholar]
- Ratkiewicz, M.; Bereszyński, A.; Głowaciński, Z.; Borkowska, A.; Borkowski, J.; Duda, N.; Komenda, E.; Raczyński, J.; Czajkowska, M.; Popczyk, B.; et al. Strategia Ochrony i Gospodarowania Populacją Łosia w Polsce, 1st ed.; NFOŚiGW: Białystok, Poland, 2011. [Google Scholar]
- Filip, K.J.; Demiaszkiewicz, A.W. Internal parasitic fauna of elk (Alces alces) in Poland. Acta. Parasitol. 2016, 61, 657–664. [Google Scholar] [CrossRef]
- Wawrzyniak, P. Population dynamics, its impact upon the habitat and necessity of managament the moose (Alces alces) population in Poland. In Proceedings of the Conference “Zarządzanie Populacjami Zwierząt”, Warsaw, Poland, 5 August 2016; Łowiec Polski: Warsaw, Poland, 2016; pp. 17–27. (In Polish). [Google Scholar]
- Grandi, G.; Uhlhorn, H.; Agren, E.; Morner, T.; Righi, F.; Osterman-Lind, E.; Neimanis, A. Gastrointestinal Parasitic Infections in Dead or Debilitated Moose (Alces alces) in Sweden. J. Wildl. Dis. 2018, 54, 165–169. [Google Scholar] [CrossRef]
- Filip-Hutsch, K.; Czopowicz, M.; Świsłocka, M.; Ratkiewicz, M.; Borkowska, A.; Kowalczyk, R.; Demiaszkiewicz, A.W. Patterns of parasite eggs, oocysts and larvae shedding by moose in the Biebrza marshland (NE Poland). Int. J. Parasitol. Parasites Wildl. 2020, 11, 191–197. [Google Scholar] [CrossRef]
- Świsłocka, M.; Borkowska, A.; Matosiuk, M.; Czajkowska, M.; Duda, N.; Kowalczyk, R.; Ratkiewicz, M. Sex-biased polyparasitism in moose (Alces alces) based on molecular analysis of faecal samples. Int. J. Parasitol. Parasites Wildl. 2020, 13, 171–177. [Google Scholar] [CrossRef]
- Drożdż, J.; Bylund, G. A contribution to the knowledge of Trichostrongylidae (Nematoda) from Alces alces (L.) of Finland. Acta Parasitol. Pol. 1970, 17, 259–260. [Google Scholar]
- Winter, J.; Rehbein, S.; Joachim, A. Transmission of Helminths between Species of Ruminants in Austria Appears More Likely to Occur than Generally Assumed. Front. Vet. Sci. 2018, 5, 30. [Google Scholar] [CrossRef]
- Pyziel, A.M.; Demiaszkiewicz, A.W. Coccidia (Apicomplexa: Eimeriidae) of elk (Alces alces) in Poland. Parasitol. Res. 2013, 112, 2083–2085. [Google Scholar] [CrossRef]
- Kołodziej-Sobocińska, M.; Demiaszkiewicz, A.W.; Pyziel, A.; Marczuk, B.; Kowalczyk, R. Does the blood-sucking nematode Ashworthius sidemi (Trichostrongylidae) cause deterioration of blood parameters in European bison (Bison bonasus)? Eur. J. Wildl. Res. 2016, 62, 781–785. [Google Scholar] [CrossRef][Green Version]
- Besier, B.; Kahn, L.P.; Sargison, N.D.; Aucamp van Wyk, J. The Pathophysiology, Ecology and Epidemiology of Haemonchus contortus Infection in Small Ruminants. Adv. Parasit. 2016, 93, 95–143. [Google Scholar]
- Dróżdż, J.; Demiaszkiewicz, A.W.; Lachowicz, J. Expansion of the Asiatic parasite Ashworthius sidemi (Nematoda, Trichostrongylidae) in wild ruminants in Polish territory. Parasitol. Res. 2003, 89, 94–97. [Google Scholar] [CrossRef]
- Verocai, G.G.; Hoberg, E.P.; Vikoren, T.; Handeland, K.; Ytrehus, B.; Resansoff, A.M.; Davidson, R.K.; Gilleard, J.S.; Kutz, S.J. Resurrection and redescription of Varestrongylus alces (Nematoda: Protostrongylidae), a lungworm of the Eurasian moose (Alces alces), with report on associated pathology. Parasit. Vectors 2014, 7, 557. [Google Scholar] [CrossRef]
- Filip-Hutsch, K.; Demiaszkiewicz, A.W.; Chęcińska, A.; Hutsch, T.; Czopowicz, M.; Pyziel, A.M. First report of a newly-described lungworm, Dictyocaulus cervi (Nematoda: Trichostrongyloidea), in moose (Alces alces) in central Europe. Int. J. Parasitol. Parasites Wildl. 2020, 13, 275–282. [Google Scholar] [CrossRef] [PubMed]
- Lello, J.; McClure, S.J.; Tyrrell, K.; Viney, M.E. Predicting the effects of parasite co-infection across species boundaries. Proc. Biol. Sci. 2018, 285, 20172610. [Google Scholar] [CrossRef] [PubMed]
- Demiaszkiewicz, A.W.; Pyziel, A.M. Forming of European bison helminthfauna in Białowieża Forest. In European Bison Conservation in the Białowieża Forest. Threats and Prospects of the Population Development; Kowalczyk, R., Ławreszuk, D., Wójcik, J.M., Eds.; Zakład Badania Ssaków Polskiej Akademii Nauk: Białowieża, Poland, 2010; pp. 63–74. (In Polish) [Google Scholar]
- Davidson, R.; Kutz, S.J.; Madslien, K.; Hoberg, E.; Handeland, K. Gastrointestinal parasites in an isolated Norwegian population of wild red deer (Cervus elaphus). Acta. Vet. Scand. 2014, 56, 59. [Google Scholar] [CrossRef] [PubMed][Green Version]
- Hoberg, E.P.; Kocan, A.A.; Rickard, L.G. Gastrointestinal strongyles in wild ruminants. In Parasitic Diseases of Wild Mammals, 2nd ed.; Samuel, W.M., Pybus, M.J., Kocan, A.A., Eds.; Iowa State University Press: Ames, IA, USA, 2001; pp. 193–227. [Google Scholar]
- Albon, S.; Stien, A.; Irvine, R.; Langvatn, R.; Ropstad, E.; Halvorsen, O. The role of parasites in the dynamics of a reindeer population. Proc. Biol. Sci. 2002, 169, 1625–1632. [Google Scholar] [CrossRef] [PubMed]
- Andrews, J.R.H. The arthropod and helminth parasites of red deer (Cervus elaphus L) in New Zealand. Trans. R. Soc. N. Z. 1964, 5, 97–127. [Google Scholar]
- Charlier, J.; Dorny, P.; Levecke, B.; Demeler, J.; Samson-Himmelstjerna, G.; Höglund, J.; Vercruysse, J. Serum pepsinogen levels to monitor gastrointestinal nematode infections in cattle revisited. Res. Vet. Sci. 2011, 90, 451–456. [Google Scholar] [CrossRef]
- Clauss, M.; Kienzle, E.; Wiesner, H. Importance of the wasting syndrome complex in captive moose (Alces alces). Zoo. Biol. 2002, 21, 499–506. [Google Scholar] [CrossRef]
- Marcos, L.A.; Yi, P.; Machicado, A.; Andrade, R.; Samalvides, F.; Sánchez, J.; Terashima, A. Hepatic fibrosis and Fasciola hepatica infection in cattle. J. Helminthol. 2007, 81, 381–386. [Google Scholar] [CrossRef]
- Saleha, A.A. Liver fluke disease (Fascioliasis): Epidemiology, economic impact and public health significance. Southeast Asian J. Trop. Med. Public Health 1991, 22, 361–364. [Google Scholar]
- Świsłocka, M.; Czajkowska, M.; Duda, N.; Danylow, J.; Owadowska-Cornil, E.; Ratkiewicz, M. Complex patterns of population genetic structure of moose, Alces alces, after recent spatial expansion in Poland revealed by sex-linked markers. Acta Theriol. 2013, 58, 367–378. [Google Scholar] [CrossRef]
- Wawrzyniak, P.; Jędrzejewski, W.; Jędrzejewska, B.; Borowk, T. Ungulates and their management in Poland. In European Ungulates and Their Management in the 21st Century, 1st ed.; Apollonio, M., Andersen, R., Putman, R., Eds.; Cambridge University Press: Cambridge, UK, 2010; pp. 223–242. [Google Scholar]
- Chmielewski, T.J. Rezerwat Biosfery “Polesie Zachodnie”: Walory, Funkcjonowanie, Perspektywy Rozwoju; PPH Zapol: Lublin-Urszulin, Polska, 2009. (In Polish) [Google Scholar]
- Andrzejewska, A. Klimat Puszczy Kampinoskiej. In Kampinoski Park Narodowy. Tom 1. Przyroda Kampinoskiego Parku Narodowego; Andrzejewski, R., Ed.; Kampinoski Park Narodowy: Izabelin, Poland, 2003; pp. 41–68. (In Polish) [Google Scholar]
- Drożdż, J. Studies on helminths and helminthiases in Cervidae II. The helminth fauna in Cervidae in Poland. Acta Parasitol. Pol. 1966, 14, 1–13. [Google Scholar]
- Passmore, R.C.; Peterson, R.L.; Cringan, A.T. A.T. A study of mandibular tooth wear as an index to age of moose. In North American Moose, 1st ed.; Peterson, R.L., Ed.; University of Toronto Press: Toronto, ON, Canada, 1955; pp. 223–238. [Google Scholar]
- Kistner, T.P.; Trainer, C.E.; Hartmann, N.A. A field technique for evaluating physical condition of deer. Wildl. Soc. Bull. 1980, 8, 11–17. [Google Scholar]
- Dróżdż, J. Polymorphism in the Ostertagiinae (Lopez-Neyra, 1947) and comments on the systematics of these nematodes. Syst. Parasitol. 1995, 32, 91–99. [Google Scholar] [CrossRef]
- Lichtenfels, J.R.; Hoberg, E.P. The systematics of nematodes that cause ostertagiasis in domestic and wild ruminants in North America: An update and a key to species. Vet. Parasitol. 1993, 46, 33–53. [Google Scholar] [CrossRef]
- Filip, K.J.; Pyziel, A.M.; Demiaszkiewicz, A.W. A massive invasion of Parafasciolopsis fasciolaemorpha in elk (Alces alces) in Lublin Province, Poland. Ann. Parasitol. 2016, 62, 107–110. [Google Scholar] [PubMed]
- Filip-Hutsch, K.; Hutsch, T.; Kolasa, S.; Demiaszkiewicz, A.W. First description of histopathological lesions associated with a fatal infection of moose (Alces alces) with the liver fluke Parafasciolopsis fasciolaemorpha Ejsmont, 1932. J. Vet. Res. 2019, 63, 549–554. [Google Scholar] [CrossRef] [PubMed]
- Taylor, M.A. Coop, R.L.; Wall, R.L. Veterinary Parasitology, 4th ed.; Wiley-Blackwell: Oxford, UK, 2015; pp. 259–261. [Google Scholar]
- Ziomko, I.; Cencek, T. Inwazje Pasożytnicze Zwierząt Gospodarskich, 1st ed.; Drukarnia Piotra Włodarskiego: Warsaw, Poland, 1999; pp. 20–21. (In Polish) [Google Scholar]
- Bowman, D.D. Georgis’ Parasitology for Veterinarians, 9th ed.; Saunders: St Louis, MO, USA, 2009; pp. 304–305. [Google Scholar]
- Goliszewska, A.; Demiaszkiewicz, A.W. The first record of Elaphostrongylus alces larvae in moose in Poland and theirdevelopment to invasive stage. Wiad. Parazytol. 2007, 53, 331–333. [Google Scholar]
- Lankester, M. Olsson, I.M.C.; Steen, M.; Gajadhar, A. Extra-mammalian larval stages of Elaphostrongylus alces (Nematoda: Protostrongylidae), a parasite of moose (Alces alces) in Fennoscandia. Can. J. Zool 2011, 76, 33–38. [Google Scholar] [CrossRef]
- Altman, D.G.; Machin, D.; Bryant, T.N.; Gardner, M.J. Statistics with Confidence; BMJ Books: London, UK, 2000; pp. 46–47. [Google Scholar]
- Akoglu, H. User’s guide to correlation coefficients. Turk. J. Emerg. Med. 2018, 18, 91–93. [Google Scholar] [CrossRef]
- Wyrobisz-Papiewska, A.; Kowal, J.; Nosal, P. Chovancová, G.; Rehbein, S. Host specificity and species diversity of the Ostertagiinae Lopez-Neyra, 1947 in ruminants: A European perspective. Parasit. Vectors 2018, 11, 369. [Google Scholar] [CrossRef]




| Parasitic Species | No. of Infected Moose | Prevalence (CI 95%) | Parasite Count Median (Range) |
|---|---|---|---|
| Abomasum (n = 42) | |||
| Mazamastrongylus dagestanica | 42 | 100 (91.6–100) | 1410 (5–28,900) |
| Ostertagia antipinia | 40 | 95.2 (84.2–98.7) | 2920 (1–33,550) |
| Ostertagia leptospicularisb | 29 | 69.0 (54.0–80.9) | 60 (2–585) |
| Ostertagia kolchida | 28 | 66.7 (51.6–79.0) | 50 (1–800) |
| Ostertagia lyrataeformis | 5 | 11.9 (5.2–25.0) | 40 (10–80) |
| Ostertagia ostertagi | 1 | 2.4 (0.4–12.3) | 10 |
| Trichostrongylus axei | 12 | 28.6 (17.2–43.6) | 20 (10–3300) |
| Trichostrongylus colubriformis | 1 | 2.4 (0.4–12.3) | 1 |
| Trichostrongylus capricola | 13 | 31.0 (19.1–46.0) | 10 (1–150) |
| Spiculopteragia boehmi | 31 | 73.8 (58.9–84.7) | 110 (4–890) |
| Trichostrongylinae& Ostertagiinae ♀ ♀ | 42 | 100 (91.6–100) | 7760 (30–61,900) |
| Subfamily: Trichostrongylinae & Ostertagiinae | 42 | 100 (91.6–100) | 13,195 (60–98,150) |
| Haemonchus spp. | 11 | 26.2 (15.3–41.1) | 18 (1–260) |
| Ashworthius sidemi | 8 | 19.0 (10.0–33.3) | 13 (1–776) |
| Haemonchinae ♀ ♀ | 15 | 35.7 (23.0–50.8) | 20 (1–503) |
| Subfamily: Haemonchinae | 17 | 40.5 (27.0–55.5) | 50 (2–1300) |
| Nematodirella alcidis | 13 | 31.0 (19.1–46.0) | 60 (1–200) |
| Total abomasal GIN | 42 | 100 (91.6–100) | 13,333 (60–98,159) |
| Duodenum (n = 35) | |||
| Mazamastrongylus dagestanica | 24 | 66.7 (50.3–79.8) | 3 (1–197) |
| Ostertagia antipinia | 21 | 58.3 (42.2–72.9) | 4 (1–127) |
| Ostertagia leptospicularisb | 3 | 8.3 (2.9–21.8) | 2, 3, 3 |
| Ostertagia kolchida | 3 | 8.3 (2.9–21.8) | 1, 1, 6 |
| Ostertagia lyrataeformis | 1 | 2.8 (0.5–14.2) | 1 |
| Trichostrongylus axei | 18 | 50.0 (34.5–65.5) | 7 (1–17) |
| Trichostrongylus capricola | 24 | 66.7 (50.3–79.8) | 5 (1–24) |
| Spiculopteragia boehmi | 7 | 19.4 (9.8–35.0) | 3 (1–17) |
| Trichostrongylinae& Ostertagiinae ♀ ♀ | 33 | 91.7 (78.2–97.1) | 23 (2–791) |
| Subfamily: Trichostrongylinae & Ostertagiinae | 33 | 91.7 (78.2–97.1) | 45 (2–1002) |
| Haemonchus spp. | 2 | 5.6 (1.5–18.1) | 1, 1 |
| Nematodirella alcidis | 21 | 58.3 (42.2–72.9) | 4 (1–208) |
| Bunostomum spp. | 5 | 13.9 (6.1–28.7) | 8 (2–269) |
| Parafasciolopsis fasciolaemorpha | 24 | 66.7 (50.3–79.8) | 26 (1–1538) |
| Paramphistomidae | 8 | 22.2 (11.7–38.1) | 3 (1–71) |
| Caecum (n = 12) | |||
| Trichuris spp. | 10 | 83.3 (55.2–95.3) | 41 (10–583) |
| Liver (n = 20) | |||
| Parafasciolopsis fasciolaemorpha | 13 | 65.0 (43.3–81.9) | 300 (4–11,150) |
| Parasite | No. of Infected Moose | Prevalence (CI 95%) | Intensity [EPG] Median (Range) |
|---|---|---|---|
| Trichostrongylidae | 286 | 99.0 (97.0–99.6) | 7 (<1–1076) |
| Nematodirella alcidis | 177 | 61.2 (55.5–66.7) | 1 (<1–30) |
| Aonchotheca sp. | 37 | 12.8 (9.4–17.1) | <1 (<1–4) |
| Trichuris spp. | 199 | 68.9 (63.3–73.9) | 4 (<1–978) |
| Moniezia spp. | 27 | 9.3 (6.5–13.3) | 18 (<1–217) |
| Parafasciolopsis fasciolaemorpha | 186 | 64.4 (58.7–69.7) | 1 (<1–872) |
| Paramphistomidae | 85 | 29.4 (24.5–34.9) | 1 (<1–19) |
Publisher’s Note: MDPI stays neutral with regard to jurisdictional claims in published maps and institutional affiliations. |
© 2021 by the authors. Licensee MDPI, Basel, Switzerland. This article is an open access article distributed under the terms and conditions of the Creative Commons Attribution (CC BY) license (https://creativecommons.org/licenses/by/4.0/).
Share and Cite
Filip-Hutsch, K.; Czopowicz, M.; Barc, A.; Demiaszkiewicz, A.W. Gastrointestinal Helminths of a European Moose Population in Poland. Pathogens 2021, 10, 456. https://doi.org/10.3390/pathogens10040456
Filip-Hutsch K, Czopowicz M, Barc A, Demiaszkiewicz AW. Gastrointestinal Helminths of a European Moose Population in Poland. Pathogens. 2021; 10(4):456. https://doi.org/10.3390/pathogens10040456
Chicago/Turabian StyleFilip-Hutsch, Katarzyna, Michał Czopowicz, Agnieszka Barc, and Aleksander W. Demiaszkiewicz. 2021. "Gastrointestinal Helminths of a European Moose Population in Poland" Pathogens 10, no. 4: 456. https://doi.org/10.3390/pathogens10040456
APA StyleFilip-Hutsch, K., Czopowicz, M., Barc, A., & Demiaszkiewicz, A. W. (2021). Gastrointestinal Helminths of a European Moose Population in Poland. Pathogens, 10(4), 456. https://doi.org/10.3390/pathogens10040456

