Experimental Infection of North American Sheep with Ehrlichia ruminantium
Abstract
1. Introduction
2. Results
2.1. E. ruminantium Infection with Blood Stabilates
2.1.1. Blood Stabilate Infections Induced Clinical Disease Consistent with Heartwater in North American-Raised White Dorper Sheep
2.1.2. Gross Pathological Lesions Consistent with Heartwater Were Observed in Sheep Infected with E. ruminantium Blood Stabilates
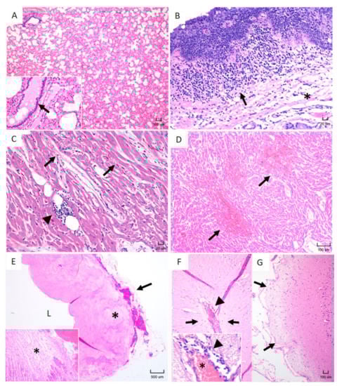
2.1.3. Histopathology Reveals Lesions Typically Observed in Heartwater in Sheep Infected with E. ruminantium Blood Stabilates
2.1.4. Blood Stabilate-Infected Sheep Induced a Bacterial Antigen-Specific IgG Response While Testing Negative for DNA
2.2. Infection Assessed in Sheep with In Vitro Cultured E. ruminantium Strains
2.2.1. Clinical Disease in Sheep Infected with In Vitro Cultured E. ruminantium Strains
2.2.2. Gross Lesions in Several Tissues Were Evident in Sheep Infected with In Vitro Cultured E. ruminantium
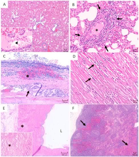
2.2.3. Histopathology Supported the Presence of Extensive Lesions Consistent with Heartwater in Sheep Infected with In Vitro Cultured E. ruminantium Strains
2.2.4. Infected Animals Developed IgG Response to E. ruminantium Infection, and Several Tissue Samples Tested Positive for Bacterial DNA
3. Discussion
4. Materials and Methods
4.1. E. ruminantium Infected Blood Stabilates
4.2. Propagation of E. ruminantium in Bovine Pulmonary Artery Endothelial Cells
4.3. Quantitation of the Cultured E. ruminantium by Real-Time PCR
4.4. Animal Inoculation
4.5. Necropsy, Tissue Sample Collection, and Histopathology Analysis
4.6. Evaluation of Sheep Blood and Tissue Samples for E. ruminantium Detection by PCR and Culture Recovery Methods
4.7. Enzyme Linked Immunosorbant Assay (ELISA)
4.8. Statistical Analysis
5. Conclusions
Supplementary Materials
Author Contributions
Funding
Institutional Review Board Statement
Informed Consent Statement
Data Availability Statement
Acknowledgments
Conflicts of Interest
References
- Dumler, J.S.; Barbet, A.F.; Bekker, C.P.; Dasch, G.A.; Palmer, G.H.; Ray, S.C.; Rikihisa, Y.; Rurangirwa, F.R. Reorganization of genera in the families Rickettsiaceae and Anaplasmataceae in the order Rickettsiales: Unification of some species of Ehrlichia with Anaplasma, Cowdria with Ehrlichia and Ehrlichia with Neorickettsia, descriptions of six new species combi. Int. J. Syst. Evol. Microbiol. 2001, 51, 2145–2165. [Google Scholar] [CrossRef] [PubMed]
- Mahan, S.M.; Smith, G.E.; Kumbula, D.; Burridge, M.J.; Barbet, A.F. Reduction in mortality from heartwater in cattle, sheep and goats exposed to field challenge using an inactivated vaccine. Vet. Parasitol. 2001, 97, 295–308. [Google Scholar] [CrossRef]
- Cowdry, E.V. Studies on the etiology of heartwater. J. Exp. Med. 1925, 42, 253–274. [Google Scholar] [CrossRef]
- Spickler, A.R. Heartwater. Available online: http://www.cfsph.iastate.edu/DiseaseInfo/factsheets.php (accessed on 8 April 2021).
- Allsop, B.A. Heartwater—Ehrlichia ruminantium infection. Rev. Sci. Tech. l’OIE 2015, 34, 557–568. [Google Scholar] [CrossRef] [PubMed]
- Uilenberg, G. Heartwater (Cowdria ruminantium infection): Current status. Adv. Vet. Sci. Comp. Med. 1983, 27, 427–480. [Google Scholar] [PubMed]
- Kasari, T.R.; Miller, R.S.; James, A.M.; Freier, J.E. Recognition of the threat of Ehrlichia ruminantium infection in domestic and wild ruminants in the continental united states. J. Am. Vet. Med. Assoc. 2010, 237, 520–530. [Google Scholar] [CrossRef] [PubMed]
- Kahn, C.M.; Line, S. Shakespeare Overview of Heartwater (Cowdriosis). In The Merck Veterinary Manual; Merck and Co.: Whitehouse Station, NJ, USA, 2014. [Google Scholar]
- Heartwater. Available online: https://www.oie.int/fileadmin/home/eng/health_standards/tahm/2.01.09_heartwater.pdf (accessed on 8 April 2021).
- Walker, J.B.; Olwage, A. The tick vectors of Cowdria ruminantium (Ixodoidea, Ixodidae, genus Amblyomma) and their distribution. Onderstepoort J. Vet. Res. 1987, 54, 353–379. [Google Scholar] [PubMed]
- Barré, N.; Garris, G.; Camus, E. Propagation of the tick Amblyomma variegatum in the Caribbean. Rev. Sci. Tech. 1995, 14, 841–855. [Google Scholar] [CrossRef] [PubMed]
- Birnie, E.; Burridge, M.; Camus, E.; Barre, N. Heartwater in the Caribbean: Isolation of Cowdria ruminantium from Antigua. Vet. Rec. 1985, 116, 121–123. [Google Scholar] [CrossRef]
- Uilenberg, G.; Barre, N.; Camus, E.; Burridge, M.J.; Garris, G.I. Heartwater in the Caribbean. Prev. Vet. Med. 1984, 2, 255–267. [Google Scholar] [CrossRef]
- Reddy, G.R.; Sulsona, C.R.; Harrison, R.H.; Mahan, S.M.; Burridge, M.J.; Barbet, A.F. Sequence heterogeneity of the major antigenic protein 1 genes from Cowdria ruminantium isolates from different geographical areas. Clin. Diagn. Lab. Immunol. 1996, 3, 417–422. [Google Scholar] [CrossRef] [PubMed]
- Kelly, P.J.; Lucas, H.; Yowell, C.; Beati, L.; Dame, J.; Urdaz-Rodriguez, J.; Mahan, S. Ehrlichia ruminantium in Amblyomma variegatum and domestic ruminants in the Caribbean. J. Med. Entomol. 2011, 48, 485–488. [Google Scholar] [CrossRef]
- Camus, E.; Maillard, J.C.; Ruff, G.; Pepin, L.; Naves, M.; Matheron, G. Genetic Resistance of Creole Goats to Cowdriosis in Guadeloupe Status in 1995. Ann. N. Y. Acad. Sci. 1996, 791, 46–53. [Google Scholar] [CrossRef]
- Loftis, A.D.; Mixson, T.R.; Stromdahl, E.Y.; Yabsley, M.J.; Garrison, L.E.; Williamson, P.C.; Fitak, R.R.; Fuerst, P.A.; Kelly, D.J.; Blount, K.W. Geographic distribution and genetic diversity of the Ehrlichia sp. from from Panola Mountain in Amblyomma americanum. BMC Infect. Dis. 2008, 8, 54. [Google Scholar] [CrossRef]
- Loftis, A.D.; Reeves, W.K.; Spurlock, J.P.; Mahan, S.M.; Troughton, D.R.; Dasch, G.A.; Levin, M.L. Infection of a goat with a tick-transmitted Ehrlichia from Georgia, U.S.A., that is closely related to Ehrlichia ruminantium. J. Vector Ecol. 2006, 31, 213–223. [Google Scholar] [CrossRef]
- Deem, S.L. A review of heartwater and the threat of introduction of Cowdria ruminantium and Amblyomma spp. ticks to the American mainland. J. Zoo Wildl. Med. 1998, 29, 109–113. [Google Scholar] [PubMed]
- Barré, N.; Uilenberg, G.; Morel, P.C.; Camus, E. Danger of introducing heartwater onto the American mainland: Potential role of indigenous and exotic Amblyomma ticks. Onderstepoort J. Vet. Res. 1987, 54, 405–417. [Google Scholar]
- Mahan, S.M.; Peter, T.F.; Simbi, B.H.; Kocan, K.; Camus, E.; Barbet, A.F.; Burridge, M.J. Comparison of efficacy of American and African Amblyomma ticks as vectors of heartwater (Cowdria ruminantium) infection by molecular analyses and transmission trials. J. Parasitol. 2000, 86, 44–49. [Google Scholar] [CrossRef]
- Wo, R. Respiration in Mammals, 12th ed.; Wo, R., Ed.; Cornell University Press: Ithaca, NY, USA, 2004; ISBN 801442389. [Google Scholar]
- Pascucci, I.; Di Domenico, M.; Di Mattia, T.; Molini, U.; Pini, A.; Scacchia, M. Study of heartwater by infection of sheep with Ball 3 E. ruminantium stock in Namibia: Clinical symptoms, gross lesions and molecular diagnosis. Large Anim. Rev. 2014, 20, 215–219. [Google Scholar]
- Barbet, A.F.; Lundgren, A.; Yi, J.; Rurangirwa, F.R.; Palmer, G.H. Antigenic Variation of Anaplasma marginale by Expression of MSP2 Mosaics. Infect. Immun. 2000, 68, 6133–6138. [Google Scholar] [CrossRef] [PubMed]
- Ganta, R.R.; Cheng, C.; Miller, E.C.; McGuire, B.L.; Peddireddi, L.; Sirigireddy, K.R.; Chapes, S.K. Differential Clearance and Immune Responses to Tick Cell-Derived versus Macrophage Culture-Derived Ehrlichia chaffeensis in Mice. Infect. Immun. 2007, 75, 135–145. [Google Scholar] [CrossRef] [PubMed]
- Nair, A.D.S.; Cheng, C.; Jaworski, D.C.; Willard, L.H.; Sanderson, M.W.; Ganta, R.R. Ehrlichia chaffeensis infection in the reservoir host (white-tailed deer) and in an incidental host (dog) is impacted by its prior growth in macrophage and tick cell environments. PLoS ONE 2014, 9, e0109056. [Google Scholar] [CrossRef]
- Norval, R.A.I.; Donachie, P.L.; Meltzer, M.I.; Deem, S.L.; Mahan, S.M. The relationship between tick (Amblyomma hebraeum) infestation and immunity to heartwater (Cowdria ruminantium infection) in calves in Zimbabwe. Vet. Parasitol. 1995, 58, 335–352. [Google Scholar] [CrossRef]
- Van der Merwe, L. The infection and treatment method of vaccination against heartwater. Onderstepoort J. Vet. Res. 1987, 54, 489–491. [Google Scholar]
- Combrink, M.P.; De Waal, D.T.; Troskie, P.C. Evaluation of a 3 mL heartwater (cowdriosis) infective blood vaccine dose. Onderstepoort J. Vet. Res. 1997, 64, 309–311. [Google Scholar] [PubMed]
- Marcelino, I.; Lefrançois, T.; Martinez, D.; Giraud-Girard, K.; Aprelon, R.; Mandonnet, N.; Gaucheron, J.; Bertrand, F.; Vachiéry, N. A user-friendly and scalable process to prepare a ready-to-use inactivated vaccine: The example of heartwater in ruminants under tropical conditions. Vaccine 2015, 33, 678–685. [Google Scholar] [CrossRef]
- Faburay, B.; Geysen, D.; Ceesay, A.; Marcelino, I.; Alves, P.M.; Taoufik, A.; Postigo, M.; Bell-Sakyi, L.; Jongejan, F. Immunisation of sheep against heartwater in The Gambia using inactivated and attenuated Ehrlichia ruminantium vaccines. Vaccine 2007, 25, 7939–7947. [Google Scholar] [CrossRef]
- Wagner, G.G.; Holman, P.; Waghela, S. Babesiosis and heartwater: Threats without boundaries. Vet. Clin. N. Am. Food Anim. Pract. 2002, 18, 417–430. [Google Scholar] [CrossRef]
- Corn, J.L.; Barré, N.; Thiebot, B.; Creekmore, T.E.; Garris, G.I.; Nettles, V.F. Potential Role of Cattle Egrets, Bubulcus ibis (Ciconiformes: Ardeidae), in the Dissemination of Amblyomma variegatum (Acari: Ixodidae) in the Eastern Caribbean. J. Med. Entomol. 1993, 30, 1029–1037. [Google Scholar] [CrossRef]
- Burridge, M.J.; Simmons, L.A.; Simbi, B.H.; Peter, T.F.; Mahan, S.M. Evidence of Cowdria ruminantium infection (heartwater) in Amblyomma sparsum ticks found on tortoises imported into Florida. J. Parasitol. 2000, 86, 1135–1136. [Google Scholar] [CrossRef]
- Schappach, B.L.; Krell, R.K.; Hornbostel, V.L.; Connally, N.P. Exotic Haemaphysalis longicornis (Acari: Ixodidae) in the United States: Biology, Ecology, and Strategies for Management. J. Integr. Pest Manag. 2020, 11. [Google Scholar] [CrossRef]
- Raghavan, R.K.; Barker, S.C.; Cobos, M.E.; Barker, D.; Teo, E.J.M.; Foley, D.H.; Nakao, R.; Lawrence, K.; Heath, A.C.G.; Peterson, A.T. Potential Spatial Distribution of the Newly Introduced Long-horned Tick, Haemaphysalis longicornis in North America. Sci. Rep. 2019, 9, 498. [Google Scholar] [CrossRef] [PubMed]
- Magori, K. Preliminary prediction of the potential distribution and consequences of Haemaphysalis longicornis using a simple rule-based climate envelope model. bioRxiv 2018. [Google Scholar] [CrossRef]
- Smith, G.E.; Anderson, E.C.; Burridge, M.J.; Peter, T.F.; Mahan, S.M. Growth of Cowdria ruminantium in tissue culture endothelial cell lines from wild African mammals. J. Wildl. Dis. 1998, 34, 297–304. [Google Scholar] [CrossRef] [PubMed]
- Sayler, K.A.; Loftis, A.D.; Mahan, S.M.; Barbet, A.F. Development of a Quantitative PCR Assay for Differentiating the Agent of Heartwater Disease, Ehrlichia ruminantium, from the Panola Mountain Ehrlichia. Transbound. Emerg. Dis. 2016, 63, e260–e269. [Google Scholar] [CrossRef] [PubMed]
- Molia, S.; Frebling, M.; Vachiéry, N.; Pinarello, V.; Petitclerc, M.; Rousteau, A.; Martinez, D.; Lefrançois, T. Amblyomma variegatum in cattle in Marie Galante, French Antilles: Prevalence, control measures, and infection by Ehrlichia ruminantium. Vet. Parasitol. 2008, 153, 338–346. [Google Scholar] [CrossRef]
- Nair, A.D.S.; Cheng, C.; Ganta, C.K.; Sanderson, M.W.; Alleman, A.R.; Munderloh, U.G.; Ganta, R.R. Comparative experimental infection study in dogs with Ehrlichia canis, E. chaffeensis, Anaplasma platys and A. phagocytophilum. PLoS ONE 2016, 11, e0148239. [Google Scholar] [CrossRef]






| Sheep Numbers | Strain | Highest Body Temperature Observed | First Day of Clinical Signs | Clinical Signs | Duration of Clinical Signs in Days |
|---|---|---|---|---|---|
| 45 | Gardel | 39.4 °C | 15 | Labored breathing, depression | 5 |
| 46 | Crystal Springs | 39.6 °C | 15 | Labored breathing, depression | 6 |
| 47 | Nigeria | 39.7 °C | 15 | Labored breathing, depression, coughing, mucopurulent discharge | 13 |
| 48 | Malelane | 39.7 °C | 15 | Labored breathing, depression | 3 |
| 49 | Pokuase | 40 °C (2 days) | 14 | Labored breathing, depression, coughing | 8 |
| 50 | Highway | 39.6 °C | 15 | Labored breathing | 2 |
| Sheep Numbers | Strain | Larynx | Trachea | Lungs | Heart/Pericardium | Other |
|---|---|---|---|---|---|---|
| 45 | Gardel | Edema mucus | mucus in trachea and bronchi | |||
| 46 | Crystal Springs | Diffuse pulmonary edema | Liver-edema Edema of Tracheobronchial lymph nodes | |||
| 47 | Nigeria | Diffuse pulmonary edema | Moderate hydropericardium | Mucus in the oral cavity | ||
| 48 | Malelane | Petechial hemorrhage | Hemorrhage | Diffuse pulmonary edema | ||
| 49 | Pokuase | Copious amount of frothy mucus | Diffuse pulmonary edema | Mild hydropericardium | ||
| 50 | Highway | Diffuse pulmonary edema and congestion | Enlarged and edematous mediastinal lymph node |
| Sheep Numbers | Strain | Highest Body Temperature Observed (Duration of Fever in Days) | First Day of Clinical Signs | Clinical Signs | Duration of Clinical Signs in Days |
|---|---|---|---|---|---|
| 1 | Crystal Springs | 40.3 °C (1) | 12 | Labored breathing, coughing | 4 |
| 2 | Crystal Springs | 40.2 °C (1) | 9 | Labored breathing, depression | 3 |
| 3 | Highway | 41.1 °C (3) | 6 | Labored breathing, coughing | 7 |
| 4 | Highway | 40.2 °C (1) | 7 | Labored breathing, depression | 7 |
| 5 | Mbizi | 40.1 °C (1) | 12 | Labored breathing, depression | 4 |
| 6 | Mbizi | 40.6 °C (1) | 9 | Labored breathing, depression, abdominal distension | 14 |
| Sheep Numbers | Strain | Larynx | Trachea | Lungs | Heart/Pericardium | Other |
|---|---|---|---|---|---|---|
| 1 | Crystal Springs | Lymphoid proliferation in arytenoid | Frothy mucus in trachea and bronchi | Congested, edema and copious amount of frothy mucous in the right lung | Subserosal hemorrhage in the atrium | Mediastinal lymph nodes-enlarged Retro parietal LN-enlarged and congested Spleen- congested |
| 2 | Crystal Springs | Petechial hemorrhage | Petechial hemorrhage on the pericardial surface of heart | |||
| 3 | Highway | congested | ||||
| 4 | Highway | congested | Enlarged and hemorrhagic aortic LN | Enlarged and hemorrhagic mediastinal LN | ||
| 5 | Mbizi | Slightly enlarged mediastinal LN | ||||
| 6 | Mbizi | Frothy mucus and petechial hemorrhage | Filled with white mucous, congested, jelly like consistency | Subserosal petechial hemorrhage around auricles and ventricles | Subserosal hemorrhage in the thoracic wall Liver-congested around margin Hemorrhagic mammary LN and congested mammary tissue Congested conjunctiva MLN, bronchial LN, aortic LN-enlarged and hemorrhagic |
| Sheep | Liver | Heart | Aorta | Mediastinal Lymph Node | CNS | Aortic Lymph Node | |
|---|---|---|---|---|---|---|---|
| Crystal Springs | 1 | − | + | − | + | − | − |
| 2 | − | − | + | − | + | + | |
| Highway | 3 | − | − | − | − | + | − |
| 4 | − | + | − | + | − | ||
| Mbizi | 5 | − | − | − | + | − | |
| 6 | − | − | − | − | − | + |
Publisher’s Note: MDPI stays neutral with regard to jurisdictional claims in published maps and institutional affiliations. |
© 2021 by the authors. Licensee MDPI, Basel, Switzerland. This article is an open access article distributed under the terms and conditions of the Creative Commons Attribution (CC BY) license (https://creativecommons.org/licenses/by/4.0/).
Share and Cite
Nair, A.; Hove, P.; Liu, H.; Wang, Y.; Cino-Ozuna, A.G.; Henningson, J.; Ganta, C.K.; Ganta, R.R. Experimental Infection of North American Sheep with Ehrlichia ruminantium. Pathogens 2021, 10, 451. https://doi.org/10.3390/pathogens10040451
Nair A, Hove P, Liu H, Wang Y, Cino-Ozuna AG, Henningson J, Ganta CK, Ganta RR. Experimental Infection of North American Sheep with Ehrlichia ruminantium. Pathogens. 2021; 10(4):451. https://doi.org/10.3390/pathogens10040451
Chicago/Turabian StyleNair, Arathy, Paidashe Hove, Huitao Liu, Ying Wang, Ada G. Cino-Ozuna, Jamie Henningson, Charan K. Ganta, and Roman R. Ganta. 2021. "Experimental Infection of North American Sheep with Ehrlichia ruminantium" Pathogens 10, no. 4: 451. https://doi.org/10.3390/pathogens10040451
APA StyleNair, A., Hove, P., Liu, H., Wang, Y., Cino-Ozuna, A. G., Henningson, J., Ganta, C. K., & Ganta, R. R. (2021). Experimental Infection of North American Sheep with Ehrlichia ruminantium. Pathogens, 10(4), 451. https://doi.org/10.3390/pathogens10040451

