Purification of Porcine Circovirus Type 2 Using an Affinity Chromatography Based on a Neutralizing Monoclonal Antibody against Viral Capsid Protein
Abstract
:1. Introduction
2. Results
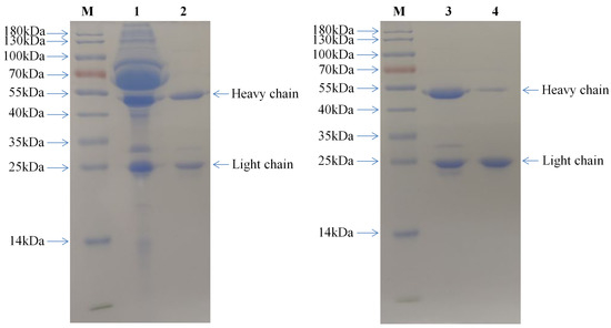
2.1. Purification and Immobilization of PCV2 mAb 3A5
2.2. Purification of PCV2a/LG by the Affinity Chromatography Based on mAb 3A5
2.3. Purification of PCV2b and PCV2d Strains by the Affinity Chromatography Based on mAb 3A5
2.4. PCV2 Adsorption and Invasion of PK15 Cells
3. Discussion
4. Materials and Methods
4.1. Cells, Viruses and Antibodies
4.2. Propagation of PCV2
4.3. Coupling of PCV2 mAb 3A5 to CNBr-Activated SepharoseTM 4B
4.4. Purification and Evaluation of PCV2a Strain
4.5. Purification and Evaluation of PCV2b and PCV2d Strains
4.6. Assessment of Adsorption and Invasion of PCV2 Using Purified Virus
Author Contributions
Funding
Institutional Review Board Statement
Data Availability Statement
Acknowledgments
Conflicts of Interest
References
- Allan, G.M.; McNeilly, F.; Kennedy, S.; Daft, B.; Clarke, E.G.; Ellis, J.A.; Haines, D.M.; Meehan, B.M.; Adair, B.M. Isolation of porcine circovirus-like viruses from pigs with a wasting disease in the USA and Europe. J. Vet. Diagn. Investig. 1998, 10, 3–10. [Google Scholar] [CrossRef] [Green Version]
- Segalés, J. Porcine circovirus type 2 (PCV2) infections: Clinical signs, pathology and laboratory diagnosis. Virus Res. 2012, 164, 10–19. [Google Scholar] [CrossRef]
- Tischer, I.; Gelderblom, H.; Vettermann, W.; Koch, M.A. A very small porcine virus with circular single-stranded DNA. Nature 1982, 295, 64–66. [Google Scholar] [CrossRef] [PubMed]
- Liu, J.; Chen, I.; Du, Q.; Chua, H.; Kwang, J. The ORF3 protein of porcine circovirus type 2 is involved in viral pathogenesis in vivo. J. Virol. 2006, 80, 5065–5073. [Google Scholar] [CrossRef] [Green Version]
- Liu, J.; Chen, I.; Kwang, J. Characterization of a previously unidentified viral protein in porcine circovirus type 2-infected cells and its role in virus-induced apoptosis. J. Virol. 2005, 79, 8262–8274. [Google Scholar] [CrossRef] [PubMed] [Green Version]
- Hamel, A.L.; Lin, L.L.; Nayar, G.P. Nucleotide sequence of porcine circovirus associated with postweaning multisystemic wasting syndrome in pigs. J. Virol. 1998, 72, 5262–5267. [Google Scholar] [CrossRef] [PubMed] [Green Version]
- He, J.; Cao, J.; Zhou, N.; Jin, Y.; Wu, J.; Zhou, J. Identification and functional analysis of the novel ORF4 protein encoded by porcine circovirus type 2. J. Virol. 2013, 87, 1420–1429. [Google Scholar] [CrossRef] [PubMed] [Green Version]
- Mankertz, A.; Çaliskan, R.; Hattermann, K.; Hillenbrand, B.; Kurzendoerfer, P.; Mueller, B.; Schmitt, C.; Steinfeldt, T.; Finsterbusch, T. Molecular biology of Porcine circovirus: Analyses of gene expression and viral replication. Vet. Microbiol. 2004, 98, 81–88. [Google Scholar] [CrossRef]
- Meehan, B.M.; McNeilly, F.; Todd, D.; Kennedy, S.; Jewhurst, V.A.; Ellis, J.A.; Hassard, L.E.; Clark, E.G.; Haines, D.M.; Allan, G.M. Characterization of novel circovirus DNAs associated with wasting syndromes in pigs. J. Gen. Virol. 1998, 79 Pt 9, 2171–2179. [Google Scholar] [CrossRef]
- Lv, Q.; Guo, K.; Xu, H.; Wang, T.; Zhang, Y. Identification of Putative ORF5 Protein of Porcine Circovirus Type 2 and Functional Analysis of GFP-Fused ORF5 Protein. PLoS ONE 2015, 10, e0127859. [Google Scholar]
- Nawagitgul, P.; Morozov, I.; Bolin, S.R.; Harms, P.A.; Sorden, S.D.; Paul, P.S. Open reading frame 2 of porcine circovirus type 2 encodes a major capsid protein. J. Gen. Virol. 2000, 81 Pt 9, 2281–2287. [Google Scholar] [CrossRef]
- Liu, J.; Wei, C.; Dai, A.; Lin, Z.; Fan, K.; Fan, J.; Liu, J.; Luo, M.; Yang, X. Detection of PCV2e strains in Southeast China. PeerJ 2018, 6, e4476. [Google Scholar] [CrossRef] [PubMed] [Green Version]
- Bao, F.; Mi, S.; Luo, Q.; Guo, H.; Tu, C.; Zhu, G.; Gong, W. Retrospective study of porcine circovirus type 2 infec-tion reveals a novel genotype PCV2f. Transbound. Emerg. Dis. 2018, 65, 432–440. [Google Scholar] [CrossRef]
- Segalés, J.; Kekarainen, T.; Cortey, M. The natural history of porcine circovirus type 2: From an inoffensive virus to a devastating swine disease? Vet. Microbiol. 2013, 165, 13–20. [Google Scholar] [CrossRef]
- Xiao, C.T.; Halbur, P.G.; Opriessnig, T. Global molecular genetic analysis of porcine circovirus type 2 (PCV2) sequences confirms the presence of four main PCV2 genotypes and reveals a rapid increase of PCV2d. J. Gen. Virol. 2015, 96, 1830–1841. [Google Scholar] [CrossRef] [PubMed]
- Kwon, T.; Lee, D.U.; Yoo, S.J.; Je, S.H.; Shin, J.Y.; Lyoo, Y.S. Genotypic diversity of porcine circovirus type 2 (PCV2) and genotype shift to PCV2d in Korean pig population. Virus Res. 2017, 228, 24–29. [Google Scholar] [CrossRef]
- Xia, D.; Huang, L.; Xie, Y.; Zhang, X.; Wei, Y.; Liu, D.; Zhu, H.; Bian, H.; Feng, L.; Liu, C. The prevalence and genetic diversity of porcine circovirus types 2 and 3 in Northeast China from 2015 to 2018. Arch. Virol. 2019, 164, 2435–2449. [Google Scholar] [CrossRef] [PubMed]
- Khayat, R.; Brunn, N.; Speir, J.A.; Hardham, J.M.; Ankenbauer, R.G.; Schneemann, A.; Johnson, J.E. The 2.3-angstrom structure of porcine circovirus 2. J. Virol. 2011, 85, 7856–7862. [Google Scholar] [CrossRef] [PubMed] [Green Version]
- Huang, L.; Wei, Y.; Xia, D.; Liu, D.; Zhu, H.; Wu, H.; Feng, L.; Liu, C. A broad spectrum monoclonal antibody against porcine circovirus type 2 for antigen and antibody detection. Appl. Microbiol. Biotechnol. 2019, 103, 3453–3464. [Google Scholar] [CrossRef] [PubMed]
- Huang, L.P.; Sun, Z.Z.; Xia, D.L.; Wei, Y.W.; Sun, E.C.; Zhu, H.Z.; Bian, H.Q.; Wu, H.L.; Feng, L.; Wang, J.F.; et al. Neu-tralization mechanism of a monoclonal antibody targeting a porcine circovirus type 2 Cap protein conformational epitope. J. Virol. 2020, 94, e01836-19. [Google Scholar] [CrossRef]
- Masuda, A.; Lee, J.M.; Miyata, T.; Sato, T.; Hayashi, S.; Hino, M.; Morokuma, D.; Karasaki, N.; Mon, H.; Kusakabe, T. Puri-fication and characterization of immunogenic recombinant virus-like particles of porcine circovirus type 2 expressed in silk-worm pupae. J. Gen. Virol. 2018, 99, 917–926. [Google Scholar] [CrossRef]
- Wu, P.-C.; Chen, T.-Y.; Chi, J.-N.; Chien, M.; Huang, C. Efficient expression and purification of porcine circovirus type 2 virus-like particles in Escherichia coli. J. Biotechnol. 2016, 220, 78–85. [Google Scholar] [CrossRef]
- Zaveckas, M.; Snipaitis, S.; Pesliakas, H.; Nainys, J.; Gedvilaite, A. Purification of recombinant virus-like particles of porcine circovirustype 2 capsid protein using ion-exchange monolith chromatography. J. Chromatogr. B 2015, 991, 21–28. [Google Scholar] [CrossRef]
- O’Dea, M.A.; Hughes, A.P.; Davies, L.J.; Muhling, J.; Buddle, R.; Wilcox, G.E. Thermal stability of porcine circovirus type 2 in cell culture. J. Virol. Methods 2008, 147, 61–66. [Google Scholar] [CrossRef]
- Misinzo, G.; Meerts, P.; Bublot, M.; Mast, J.; Weingartl, H.M.; Nauwynck, H.J. Binding and entry characteristics of porcine circovirus 2 in cells of the porcine monoocytic line 3D4/31. J. Gen. Virol. 2005, 86, 2057–2068. [Google Scholar] [CrossRef] [PubMed]
- Misinzo, G.; Delputte, P.L.; Meerts, P.; Lefebvre, D.J.; Nauwynck, H.J. Porcine circovirus 2 uses heparan sulfate and chondroitin Sulfate B glycosaminoglycans as receptors for its attachment to host cells. J. Virol. 2006, 80, 3487–3494. [Google Scholar] [CrossRef] [PubMed] [Green Version]
- Misinzo, G.; Delputte, P.L.; Nauwynck, H.J. Inhibition of endosome-lysosome system acidification enhances porcine circovirus 2 infection of porcine epithelial cells. J. Virol. 2008, 82, 1128–1135. [Google Scholar] [CrossRef] [Green Version]
- Liu, C.; Wei, Y.; Zhang, C.; Lu, Y.; Kong, X. Construction and characterization of porcine circovirus type 2 carrying a genetic marker strain. Virus Res. 2007, 127, 95–99. [Google Scholar] [CrossRef]
- Huang, L.; Lu, Y.; Wei, Y.; Guo, L.; Liu, C. Development of a blocking ELISA for detection of serum neutralizing antibodies against porcine circovirus type 2. J. Virol. Methods 2011, 171, 26–33. [Google Scholar] [CrossRef] [PubMed]




| Isolates Name | Isolate Region | Isolate Time | Genotype | Genome Length (nt) | Accession Numbers |
|---|---|---|---|---|---|
| LG | Jilin | 2008 | PCV2a | 1768 | HM038034 |
| LN590516 | Liaoning | 2016 | PCV2b | 1767 | MK347352 |
| SD446F16 | Shandong | 2019 | PCV2d | 1767 | MK347371 |
Publisher’s Note: MDPI stays neutral with regard to jurisdictional claims in published maps and institutional affiliations. |
© 2021 by the authors. Licensee MDPI, Basel, Switzerland. This article is an open access article distributed under the terms and conditions of the Creative Commons Attribution (CC BY) license (https://creativecommons.org/licenses/by/4.0/).
Share and Cite
Bian, H.; Yu, C.; Wei, Y.; Feng, L.; Liu, C.; Huang, L. Purification of Porcine Circovirus Type 2 Using an Affinity Chromatography Based on a Neutralizing Monoclonal Antibody against Viral Capsid Protein. Pathogens 2021, 10, 1564. https://doi.org/10.3390/pathogens10121564
Bian H, Yu C, Wei Y, Feng L, Liu C, Huang L. Purification of Porcine Circovirus Type 2 Using an Affinity Chromatography Based on a Neutralizing Monoclonal Antibody against Viral Capsid Protein. Pathogens. 2021; 10(12):1564. https://doi.org/10.3390/pathogens10121564
Chicago/Turabian StyleBian, Haiqiao, Chong Yu, Yanwu Wei, Li Feng, Changming Liu, and Liping Huang. 2021. "Purification of Porcine Circovirus Type 2 Using an Affinity Chromatography Based on a Neutralizing Monoclonal Antibody against Viral Capsid Protein" Pathogens 10, no. 12: 1564. https://doi.org/10.3390/pathogens10121564
APA StyleBian, H., Yu, C., Wei, Y., Feng, L., Liu, C., & Huang, L. (2021). Purification of Porcine Circovirus Type 2 Using an Affinity Chromatography Based on a Neutralizing Monoclonal Antibody against Viral Capsid Protein. Pathogens, 10(12), 1564. https://doi.org/10.3390/pathogens10121564
